Skip Nav Destination
Midostaurin plus intensive chemotherapy for younger and older patients with AML and FLT3 internal tandem duplications
Phase 2 trial of ixazomib, cyclophosphamide, and dexamethasone for previously untreated light chain amyloidosis
The VWF binding aptamer rondoraptivon pegol increases platelet counts and VWF/FVIII in type 2B von Willebrand disease
Bendamustine or high-dose cytarabine-based induction with rituximab in transplant-eligible mantle cell lymphoma
Ponatinib, chemotherapy, and transplant in adults with Philadelphia chromosome–positive acute lymphoblastic leukemia
Phenotypic heterogeneity in individuals with MECOM variants in 2 families
A phase 1 trial of copanlisib plus ibrutinib in relapsed/refractory mantle cell lymphoma
Issue Archive
Table of Contents
STIMULUS REPORT
A gain-of-function variant in the Wiskott-Aldrich syndrome gene is associated with a MYH9-related disease-like syndrome
David Marx,Arnaud Dupuis,Anita Eckly,Anne Molitor,Jérôme Olagne,Guy Touchard,Sihem Kaaki,Cécile Ory,Anne-Laure Faller,Bénédicte Gérard,Melanie Cotter,Lisa Westerberg,Marton Keszei,Bruno Moulin,Christian Gachet,Sophie Caillard,Seiamak Bahram,Raphaël Carapito
REVIEW ARTICLES
International consensus statement on the management of cardiovascular risk of Bruton’s tyrosine kinase inhibitors in CLL
Farrukh T. Awan,Daniel Addison,Feras Alfraih,Sergio J. Baratta,Rodrigo Noronha Campos,María Silvana Cugliari,Yeow Tee Goh,Valery Alexandrovich Ionin,Stefanie Mundnich,Aaron L. Sverdlov,Constantine Tam,Loïc Ysebaert
CLINICAL TRIALS AND OBSERVATIONS
Midostaurin plus intensive chemotherapy for younger and older patients with AML and FLT3 internal tandem duplications
Clinical Trials & Observations
Hartmut Döhner,Daniela Weber,Julia Krzykalla,Walter Fiedler,Gerald Wulf,Helmut Salih,Michael Lübbert,Michael W. M. Kühn,Thomas Schroeder,Hans Salwender,Katharina Götze,Jörg Westermann,Lars Fransecky,Karin Mayer,Bernd Hertenstein,Mark Ringhoffer,Hans-Joachim Tischler,Sigrid Machherndl-Spandl,Anika Schrade,Peter Paschka,Verena I. Gaidzik,Frauke Theis,Felicitas Thol,Michael Heuser,Richard F. Schlenk,Lars Bullinger,Maral Saadati,Axel Benner,Richard Larson,Richard Stone,Konstanze Döhner,Arnold Ganser,on behalf of the German-Austrian AML Study Group
Phase 2 trial of ixazomib, cyclophosphamide, and dexamethasone for previously untreated light chain amyloidosis
Clinical Trials & Observations
Eli Muchtar,Morie A. Gertz,Betsy R. LaPlant,Francis K. Buadi,Nelson Leung,Patrick O’Brien,P. Leif Bergsagel,Amie Fonder,Yi Lisa Hwa,Miriam Hobbs,Dania K. Helgeson,Erin E. Bradt,Wilson Gonsalves,Martha Q. Lacy,Prashant Kapoor,Mustaqueem Siddiqui,Jeremy T. Larsen,Rahma Warsame,Suzanne R. Hayman,Ronald S. Go,David Dingli,Taxiarchis V. Kourelis,Angela Dispenzieri,S. Vincent Rajkumar,Shaji K. Kumar
The VWF binding aptamer rondoraptivon pegol increases platelet counts and VWF/FVIII in type 2B von Willebrand disease
Clinical Trials & Observations
Cihan Ay,Ingrid Pabinger,Katarina D. Kovacevic,Georg Gelbenegger,Christian Schörgenhofer,Peter Quehenberger,Petra Jilma-Stohlawetz,Raute Sunder-Plassman,James C. Gilbert,Shuhao Zhu,Bernd Jilma,Ulla Derhaschnig
HEMATOPOIESIS AND STEM CELLS
Assessment of safety and immunogenicity of MHC homozygous iPSC-derived CD34+ hematopoietic progenitors in an NHP model
Saritha S. D’Souza,Akhilesh Kumar,John Maufort,Jason T. Weinfurter,Matthew Raymond,Nick S. Strelchenko,Elizabeth Perrin,Jennifer Coonen,Andres Mejia,Heather A. Simmons,Bruce E. Torbett,Matthew Reynolds,James A. Thomson,Igor I. Slukvin
LYMPHOID NEOPLASIA
Bendamustine or high-dose cytarabine-based induction with rituximab in transplant-eligible mantle cell lymphoma
Clinical Trials & Observations
Diego Villa,Eva Hoster,Olivier Hermine,Wolfram Klapper,Michal Szymczyk,André Bosly,Michael Unterhalt,Lisa M. Rimsza,Colleen A. Ramsower,Ciara L. Freeman,David W. Scott,Alina S. Gerrie,Kerry J. Savage,Laurie H. Sehn,Martin Dreyling
Ponatinib, chemotherapy, and transplant in adults with Philadelphia chromosome–positive acute lymphoblastic leukemia
Clinical Trials & Observations
Josep-Maria Ribera,Olga García-Calduch,Jordi Ribera,Pau Montesinos,Isabel Cano-Ferri,Pilar Martínez,Jordi Esteve,Daniel Esteban,María García-Fortes,Natalia Alonso,José González-Campos,Arancha Bermúdez,Anna Torrent,Eulàlia Genescà,Santiago Mercadal,Joaquín Martínez-Lopez,Ramón García-Sanz
Genomic characterization of lymphomas in patients with inborn errors of immunity
Xiaofei Ye,Paul J. Maglione,Claudia Wehr,Xiaobo Li,Yating Wang,Hassan Abolhassani,Elena Deripapa,Dongbing Liu,Stephan Borte,Likun Du,Hui Wan,Andreas Plötner,Yvonne Giannoula,Huai-Bin Ko,Yong Hou,Shida Zhu,Jennifer K. Grossman,Birgitta Sander,Bodo Grimbacher,Lennart Hammarström,Alina Fedorova,Sergio D. Rosenzweig,Anna Shcherbina,Kui Wu,Klaus Warnatz,Charlotte Cunningham-Rundles,Qiang Pan-Hammarström
Genomic and microenvironmental landscape of stage I follicular lymphoma, compared with stage III/IV
G. Tjitske Los-de Vries,Wendy B. C. Stevens,Erik van Dijk,Carole Langois-Jacques,Andrew J. Clear,Phylicia Stathi,Margaretha G. M. Roemer,Matias Mendeville,Nathalie J. Hijmering,Birgitta Sander,Andreas Rosenwald,Maria Calaminici,Eva Hoster,Wolfgang Hiddemann,Philippe Gaulard,Gilles Salles,Heike Horn,Wolfram Klapper,Luc Xerri,Catherine Burton,Reuben M. Tooze,Alexandra G. Smith,Christian Buske,David W. Scott,Yasodha Natkunam,Ranjana Advani,Laurie H. Sehn,John Raemaekers,John Gribben,Eva Kimby,Marie José Kersten,Delphine Maucort-Boulch,Bauke Ylstra,Daphne de Jong
High surface IgM levels associate with shorter response to ibrutinib and BTK bypass in patients with CLL
Giorgia Chiodin,Samantha Drennan,Enrica A. Martino,Laura Ondrisova,Isla Henderson,Luis del Rio,Ian Tracy,Annalisa D’Avola,Helen Parker,Silvia Bonfiglio,Lydia Scarfò,Lesley-Ann Sutton,Jonathan C. Strefford,Jade Forster,Oliver Brake,Kathleen N. Potter,Benjamin Sale,Stuart Lanham,Marek Mraz,Paolo Ghia,Freda K. Stevenson,Francesco Forconi
MYELOID NEOPLASIA
THROMBOSIS AND HEMOSTASIS
Desmopressin response depends on the presence and type of genetic variants in patients with type 1 and type 2 von Willebrand disease
Ferdows Atiq,Jessica Heijdra,Fleur Snijders,Johan Boender,Eva Kempers,Waander L. van Heerde,Dominique P. M. S. M. Maas,Sandy Krouwel,Selene C. Schoormans,Joke de Meris,Saskia E. M. Schols,Karin P. M. van Galen,Johanna G. van der Bom,Marjon H. Cnossen,Karina Meijer,Karin Fijnvandraat,Jeroen Eikenboom,Frank W. G. Leebeek,for the WiN study group
TRANSFUSION MEDICINE
Metabolic reprogramming under hypoxic storage preserves faster oxygen unloading from stored red blood cells
Julija Rabcuka,Slawomir Blonski,Athinoula Meli,Samuel Sowemimo-Coker,Damian Zaremba,Daniel Stephenson,Monika Dzieciatkowska,David Nerguizian,Rebecca Cardigan,Piotr M. Korczyk,Peter A. Smethurst,Angelo D’Alessandro,Pawel Swietach
TRANSPLANTATION
RESEARCH LETTERS
Phenotypic heterogeneity in individuals with MECOM variants in 2 families
Clinical Trials & Observations
Tetsuya Niihori,Reo Tanoshima,Yoji Sasahara,Atsushi Sato,Masahiro Irie,Yuka Saito-Nanjo,Ryo Funayama,Matsuyuki Shirota,Taiki Abe,Yuko Okuyama,Naoto Ishii,Keiko Nakayama,Shigeo Kure,Masue Imaizumi,Yoko Aoki
A phase 1 trial of copanlisib plus ibrutinib in relapsed/refractory mantle cell lymphoma
Clinical Trials & Observations
David Qualls,Hiu Ying Lam,Karissa Whiting,Anita Kumar,Matthew Matasar,Colette Owens,Chelsea Nichols,James A Espeleta,Annie Qiu,Sarima Subzwari,Erin Biggar,Venkatraman Seshan,Gilles Salles,Anas Younes,Connie Batlevi
Anti-CD20 rechallenge with ofatumumab in relapsed/refractory splenic marginal zone lymphoma: the MORE trial
Lydia Scarfò,Silvia Ferrari,Anna Maria Frustaci,Monica Tani,Alessia Bari,Eloise Scarano,Maria Colia,Pamela Ranghetti,Piera Angelillo,Paola Ronchi,Maurilio Ponzoni,Andrés J. M. Ferreri,Paolo Ghia
-
Cover Image
Cover Image
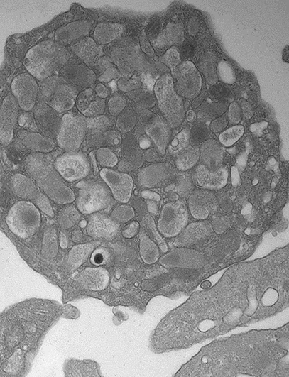
Transmission electron microscopy image showing the compact appearance of a platelet from a patient with a MYH9-related disease–like syndrome. See the article by Marx et al.
- PDF Icon Front MatterFront Matter
- PDF Icon Editorial BoardEditorial Board
Advertisement intended for health care professionals
Advertisement intended for health care professionals



















