Issue Archive
Table of Contents
BLOOD COMMENTARIES
PLENARY PAPER
Single-cell panleukemia signatures of HSPC-like blasts predict drug response and clinical outcome
Despite well-defined genetic and phenotypic differences, do the roots of pediatric leukemias have a common transcriptional phenotype? This is the question asked by Chen and colleagues using single-cell genomics (expression and methylation) to investigate 96 primary acute leukemia samples of myeloid, lymphoid, or mixed phenotype. The authors identify a common transcriptional signature, reminiscent of hematopoietic stem cells, in chemotherapy-resistant cells from patients destined to relapse, explore its regulation, and suggest potential treatment targets for further investigation.
PERSPECTIVE
        
        Considerations on the dose and schedule of tyrosine kinase inhibitors for chronic myeloid leukemia: does dose matter?
        
        
            
        
                    
                        Clinical Trials & Observations
                    
        
            
    
        
    
            It is a common misperception that tyrosine kinase inhibitor (TKI) dosing in patients with chronic myeloid leukemia is very standard and straightforward. In this Perspective, Dalgetty and Cortes highlight what we know and do not know about optimal dosing and scheduling for the various TKIs. The authors make a robust case for a dynamic approach to dosing that starts with standard regimens and is adapted according to disease state, response markers, resistance mutations, and treatment goals. Specific guidance for practice is outlined.
REVIEW ARTICLE
Immunoactinopathies revisited: understanding clinical manifestations and biological pathways
If you mess with the actin cytoskeleton, you disrupt immune-cell function. Immunoactinopathies are rare monogenic disorders that result from mutations in 23 actin-related genes and manifest in a variety of clinical presentations, including thrombocytopenia, immune deficiency, and growth disturbance. Hiensch and colleagues categorize immunoactinopathies based on their most distinguishing symptoms and discuss the underlying biological pathways, with the aim of aiding in diagnosis and improving patient care.
CLINICAL TRIALS AND OBSERVATIONS
        
        The MURANO study: final analysis and retreatment/crossover substudy results of VenR for patients with relapsed/refractory CLL
        
        
            
        
                    
                        Clinical Trials & Observations
                    
        
            
    
        Fixed-duration venetoclax-rituximab (VenR) is standard therapy for relapsed chronic lymphocytic leukemia (CLL) based on the initial results of the randomized MURANO trial. Kater and colleagues provide a final report of this trial, with the 7-year progression-free survival (PFS) being 23% and overall survival 70%. Among patients with relapse requiring further therapy, retreatment with VenR achieved a 72% overall response rate and a median second PFS of approximately 2 years. These long-term results reinforce the utility of this regimen and validate its reuse in selected patients.
IMMUNOBIOLOGY AND IMMUNOTHERAPY
IL-10 from tumoral B cells modulates the diffuse large B-cell lymphoma microenvironment and response to immunotherapy
We know that the tumor microenvironment can influence treatment responses in diffuse large B-cell lymphoma (DLBCL). Using a high-fidelity murine model of activated B-cell subtype DLBCL, Garcia-Lacarte et al identified autocrine and paracrine activities of lymphoma cell–derived interleukin-10 (IL-10). These important biological effects may be exploited for tailoring immunotherapy interventions.
LYMPHOID NEOPLASIA
        
        Outcomes among adult recipients of CAR T-cell therapy for Burkitt lymphoma
        
        
            
        
                    
                        Clinical Trials & Observations
                    
                    
                        Brief Report
                    
        
            
    
        Burkitt lymphoma (BL) is a rare but highly aggressive CD19 B-cell malignancy affecting both children and adults, and relapse portends a dismal prognosis. Samples and colleagues report real-world outcomes from CD19-directed chimeric antigen receptor (CAR) T-cell therapy in 31 patients with relapsed BL. Unfortunately, despite a 58% response rate, the data indicate that benefit is typically short-lived, and median survival is only 6 months. The authors conclude that current CAR T-cell therapy is not indicated for BL, even as a bridge to later allograft.
THROMBOSIS AND HEMOSTASIS
        
        Enhanced α2-3–linked sialylation determines the extended half-life of CHO-rVWF
        
        
            
        
                    
                        Brief Report
                    
        
            
    
        von Willebrand factor (VWF), which is deficient in von Willebrand disease, is a multimeric glycoprotein essential for primary hemostasis but prothrombotic when overly abundant or active; hence, its levels need to be tightly controlled. Byrne and colleagues reveal that recombinant VWF produced in Chinese hamster ovary (CHO) cells has a longer half-life than native VWF due to an alteration in its oligosaccharide structures. Switching of the end-sugar structure reduces the interaction of VWF with clearance receptors, thereby increasing its half-life. These findings open the door to targeted glycan engineering as a strategy to develop novel extended half-life VWF therapies.
TRANSPLANTATION
Novel regulators of GVHD revealed through microbiome and metabolome patterns across distinct intestinal regions
The relationship between the gut microbiota, the metabolome, and graft-versus-host disease (GVHD) is an area of intense focus given the disappointing outcomes for steroid-refractory gastrointestinal GVHD (GI GVHD). Lauder et al used integrated multiomics to describe microbial and metabolite changes between syngeneic and allogeneic transplant recipients in well-established murine models, analyzing variations by specific location in the gut and time after transplantation. The authors also identified and experimentally validated phenyl lactate as a novel regulator of GI GVHD, shedding additional light on the regulation of inflammation in the gut.
LETTERS TO BLOOD
        
        Cyclophosphamide mitigates non-ICANS neurotoxicities following ciltacabtagene autoleucel treatment
        
        
            
        
                    
                        Clinical Trials & Observations
                    
        
            
    
        Distinct from other chimeric antigen receptor (CAR) therapies, B-cell maturation antigen–targeted CAR T-cell therapy can cause non-immune effector cell–associated neurotoxicity syndrome neurotoxicities (NINTs), typically associated with high CAR T-cell expansion that manifests as movement disorder or cranial nerve palsies and a variety of other neurological disturbances. Blumenberg et al present 13 cases of NINT, including 6 patients receiving cyclophosphamide for steroid-refractory symptoms. While steroids appear sufficient for isolated cranial nerve palsies, cyclophosphamide provides major benefits in more complex cases. This finding requires formal validation, ideally in prospective trials.
        
        STAT1-mediated interferon signatures are associated with preclinical JAK inhibitor sensitivity in T-ALL
        
        
            
        
                    
                        Clinical Trials & Observations
                    
        
            
    
        BLOOD WORK
- 
        
            Cover Image
        
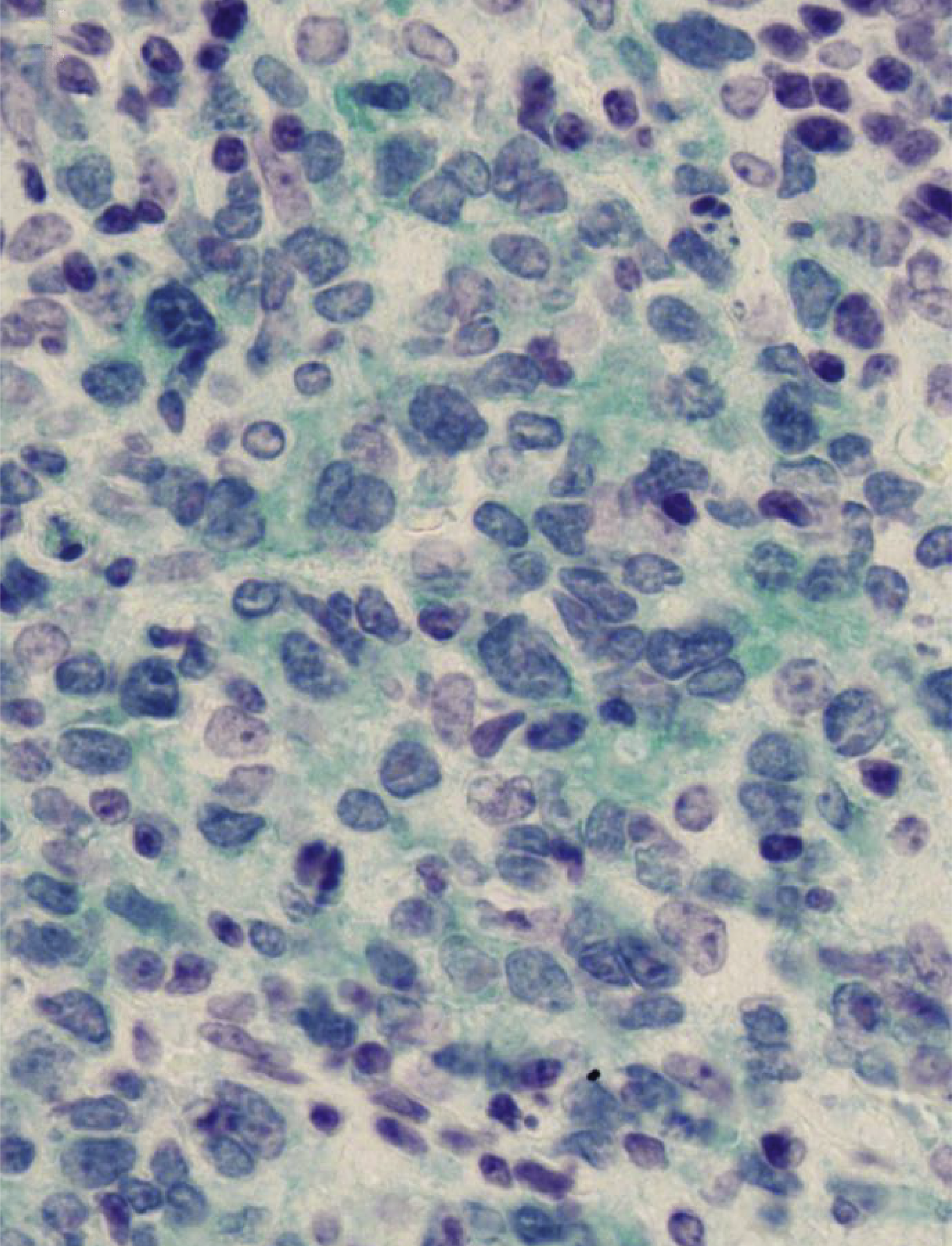
        Cover Image![issue cover]()  Immunohistochemistry staining shows GFP-expressing diffuse large B-cell lymphoma cells infiltrating a murine spleen inflamed with smaller tumor-infiltrating lymphocytes. Interleukin-10 secretion from these malignant B cells shapes a pro-oncogenic yet immunoprotective microenvironment. See the article by Garcia-Lacarte et al on page 2746. 
- PDF Icon Front MatterFront Matter
- PDF Icon Table of ContentsTable of Contents
- PDF Icon Editorial BoardEditorial Board
Advertisement intended for health care professionals
Email alerts
Advertisement intended for health care professionals
 
                    






 
            
Getting to the root of high-risk leukemias