Abstract
Immunotoxin (IT) therapy shows potential for selectively eliminating GVHD-causing T cells in vivo, but the field has been hampered by toxicity. Previously, we showed that a genetically engineered IT consisting of a single-chain protein, including the anti-CD3sFv spliced to a portion of diphtheria-toxin (DT390) has anti-GVHD effects, but pronounced organ toxicity common to this class of agent. A recombinant DT390 anti-CD3sFv protein previously shown to have anti-GVHD activity was modified to reduce its filtration into kidney by genetically inserting a cysteine residue downstream of the sFv moiety at the c-terminus of the protein. This modification produced an intermolecular disulfide bridge, resulting in a bivalent, rather than a monovalent IT, termed SS2, that selectively inhibited T-cell proliferation in vitro. Although monomer and SS2 were similar in in vitro activity, SS2 had a superior therapeutic index in vivo with at least 8-fold more being tolerated with reduced kidney toxicity. Most importantly, in a lethal model of GVHD, 40 μg SS2 given for 1 day, protected 100% of the mice from lethal GVHD for 3 months, whereas the maximum tolerated dose (MTD) of monomer protected only 33%. To our knowledge, this is the first time disulfide bonded ITs have been created in this way and this simple molecular modification may address several problems in the IT field because it (1) markedly increased efficacy curing mice of GVHD after a single daily treatment, (2) markedly decreased organ toxicity, (3) increased the tolerated dosage, and (4) created a therapeutic window where none existed before.
The expanded use of bone marrow (BM) transplantation, in part due to the availability of matched unrelated donors, has enhanced the need for anti–graft-versus-host disease (GVHD) approaches. GVHD is a major complication and pathologic syndrome that occurs when transplanted donor grafts containing T cells respond against HLA and non-HLA antigens present on the recipient's cells with liver, gastrointestinal system, and skin as the primary target sites.1 Despite attempts to more closely match donors and recipients, GVHD still is responsible directly or indirectly for about 20% of the mortality that follows BM transplantation.2
Because T cells mediate GVHD, numerous attempts have been made to target T cells with anti-CD3 monoclonal antibody (mAb) recognizing the CD3 component of the T-cell receptor (TCR) (reviewed by Vallera3). Although promising in animal models,4 one drawback is that anti-CD3 triggers T-cell activation releasing a myriad of inflammatory cytokines that have devastating side effects and are too high risk.5,6 One solution to this problem is removal of the antibody Fc binding region that prevents activation, but still permits targeting.7This modification can be accomplished by cloning anti-CD3 single-chain Fv (sFv).8 The Fv portion of an antibody is comprised of the antibody VH and VL domains linked in a single chain configuration with a short peptide that bridges about 3.5 nm between the carboxy terminus of one domain and the amino-terminus of the other.9 sFv with a molecular weight (mw) of 20 kd, have been developed because they have more rapid blood clearance and better tumor penetration.10-12 However, rapid clearance into nontarget tissues has limited their benefit for therapy.
A number of laboratories have set out to target T cells using ITs in which the antibody is linked to potent catalytic toxins such as diphtheria toxin of which one molecule can kill a cell.13One advantage of the IT approach is that unlike most drugs that inhibit T-cell proliferation, IT will kill both dividing and nondividing targets. Although several laboratories have developed experimental approaches using IT (reviewed in Thrush et al14 and Pastan15), clinical and preclinical studies with IT have been limited by side effects such as renal toxicity, hepatic toxicity, and vascular leak syndrome (VLS).16
Thus, we directed our studies toward the development of a modifiable anti-CD3 sFv IT that could be studied in a mouse GVHD model.17 CD3ε was chosen as a target marker because studies showed that targeting CD3ε with IT was superior to targeting other pan–T-cell surface glycoproteins18,19 and were also superior for treating GVHD.18,20 Genetic construction of IT, rather than conventional biochemical coupling of antibodies and toxins was chosen because recombinant ITs are homogeneous and can be modified to address future problems identified on in vivo testing. A vector was assembled consisting of a DNA fragment encoding the sFv of an antimurine CD3 spliced to a DNA fragment encoding the first 389 amino acids of DT (devoid of the region encoding its native binding site for human cells). DT was chosen for these studies because it can be readily altered by genetic engineering as performed in these studies to remove the portion of the B chain that binds to eukaryotic cells, but retains the portion of the molecule that promotes A-chain translocation.21 The kinetics of DT once internalized shows first-order inhibition of protein synthesis.22 Previous studies showed that this DT390 anti-CD3sFv protein was capable of potent anti-GVHD activity, but these effects were accompanied by toxic side effects predominantly directed at the kidneys.23 Such renal effects have been common among this type of reagent in other studies.24 25 We hypothesized that DT390anti-CD3sFv was filtered into the kidneys and if a means of reducing kidney clearance could be found, then higher levels of efficacy would result and toxicity would drop.
Of particular interest to us was the design and expression of IT with a c-terminal mutation containing the amino acid cysteine that would form intermolecular disulfide bridges. The presence of c-terminal cysteine facilitates the creation of bivalent homodimers by site specific dimerization in vitro. Other groups have used this modification related to Fab′ fragments26-28 and sFv29 and have shown that bivalent antibodies have increased avidity and have a longer biological half-life as compared to sFv. Thus, introduction of c-terminal cysteine might affect localization and reduce IT toxicity, particularly to the kidney. The goal of this study was to mutate DT390 anti-CD3sFv gene to express a bivalent recombinant IT, thereby increasing its size and reducing its kidney infiltration. We reasoned that this modification might increase the narrow therapeutic window, permitting the administration of higher IT dosages in an attempt to induce an anti-GVHD effect.
Materials and methods
Construction and expression of SS2
A 1.9-kb hybrid gene encoding an ATG initiation codon, the first 389 amino acids of diphtheria toxin, a 5 ASGGP amino acid connector, and a sFv gene derived from the murine anti-CD3 hybridoma 145-2C11, kindly provided by Dr Carolina Jost (NIH, Bethesda, MD),8 was constructed by the method of gene splicing by overlap extension. The gene was cloned into the pET21d bacterial expression vector (Invitrogen, Carlsbad, CA) to create the plasmid pDTmCD3sFv. The plasmid was mutated by polymerase chain reaction (PCR) using a forward primer 5′AGATATTCCATGGGCGCTGATGATGTTGTTGAT to introduce an Nco1 site and a back primer 3′AA- GCTTTTACTAACAGGAGACGGT to introduce C-terminal cysteine.
DNA sequencing analysis (University of Minnesota Microchemical Facility) was used to verify that the gene had been cloned in frame and correct in its desired sequence (data not shown). The resulting 1914-base pair (bp) Nco1/HindIII fragment hybrid gene was spliced into the pET21d expression vector under the control of the IPTG inducible T7 promoter creating plasmid pDTmCD3.cys.pET21d (Figure1).
Construct encoding the SS2 fusion toxin gene fragment used in these studies.
A Nco 1/HindIII gene fragment was cloned by PCR and splice overlap extension encoding DT390, a 5 amino acid connector, the downstream anti-CD3 sFv derived from the 11452C11 hybridoma, and a cysteine residue on the c-terminus. The gene was cloned into the pET21d expression vector forming the plasmid pDTmCD3sFv.CYS.pET21d.
Construct encoding the SS2 fusion toxin gene fragment used in these studies.
A Nco 1/HindIII gene fragment was cloned by PCR and splice overlap extension encoding DT390, a 5 amino acid connector, the downstream anti-CD3 sFv derived from the 11452C11 hybridoma, and a cysteine residue on the c-terminus. The gene was cloned into the pET21d expression vector forming the plasmid pDTmCD3sFv.CYS.pET21d.
Plasmid pDTmCD3.cys.pET21d was transformed into the Escherichia coli strain BL21(DE3) (Novagen, Madison, WI) and protein expressed and purified from inclusion bodies as previously described.17 To ensure proper tertiary structure, renaturation was initiated by a rapid 100-fold dilution of the denatured and reduced protein into refolding buffer consisting of 0.1 mol/L Tris, pH 8.0, 0.5 mol/L L-arginine, 0.9 mmol/L oxidized glutathione (GSSG), and 2 mmol/L EDTA. The samples were incubated at 10°C for 48 hours. The refolded protein was diluted 10-fold in distilled water and loaded on a Q- Sepharose ion exchange (Sigma, St Louis, MO) column and eluted with 0.2 mol/L NaCl in 20 mmol/L Tris, pH 7.8. The protein was then further purified and measured30by size-exclusion chromatography on a TSK GS3000SW column (TosoHass, Philadelphia, PA). Two fractions were collected representing the monomeric and dimeric forms of IT. The dimeric DT390anti-CD3.cys protein was called SS2.
Sodium dodecylsulfate-polyacrylamide gel electrophoresis
Purified fusion proteins were analyzed using 10% SDS-PAGE gels (Bio-Rad, Richmond, CA) and a Mini-Protein II gel apparatus (Bio-Rad, Richmond, CA).31 Proteins were stained with Coomassie brilliant blue.
Monoclonal antibodies and biochemical immunotoxins
Monoclonal antibodies included: 145-2C11, a hamster IgG reactive with the ε-chain of the CD3 component of the T-cell receptor (TCR)32 that was used on the blocking studies and anti-Ly5.2, a rat IgG2a from clone A20-1.7, generously provided by Dr Uli Hammerling, Sloan Kettering Cancer Research Center, New York, NY. Anti-Ly5.2 was used as a control because it recognized CD45.1, a hematopoietic cell surface marker not expressed in the mice used in these studies.
Mitogen bioassays
T-cell mitogens such as phytohemagglutinin (PHA) and concanavalin A (conA) selectively induce all T cells to proliferate. Mitogenesis was measured as previously described.20 Cells (105) were plated in a 96-well flat-bottom plate in DMEM, supplemented with 10% fetal bovine serum, 2-mercaptoethanol, and then stimulated with 12 μg/mL PHA (Sigma, St Louis, MO) or conA 10 μg/ml (Sigma) to induce T-cell expansion. To measure B-cell proliferation, cells were similarly prepared, but stimulated with 50 μg/mL lipopolysaccharide (LPS) (Difco Laboratories, Detroit, MI). Immunotoxin in varying concentrations was added to triplicate wells containing cells. The plates were incubated at 37°C, 10% CO2 for 48 hours and then labeled with 0.037 Mbq (1 μCi) tritiated thymidine per well for 24 hours. Cells were harvested onto glass fiber filters, washed, dried, and counted using standard scintillation methods.
In vitro viability assays
The 2B4 cell line is a T-cell hybridoma expressing the T-cell receptor and the associated CD3 complex.33 Two hundred thousand 2B4 cells were plated into individual wells (24-well flat-bottom plate, Costar, Cambridge, MA) in RPMI 1640 plus 10% fetal bovine serum (Hyclone, Logan, UT) in the presence of varying concentrations of SS2. Time points were performed in triplicate. At 24, 48, and 72 hours, a small sample was removed and stained with trypan blue dye to quantitate the number of cells remaining in the well and their viability. The C1498 is a CD3ε− spontaneously occurring myeloid leukemia cell line obtained from the American Type Culture Collection (Rockville, MD).
Flow cytometry
Flow cytometry was used for analysis of the purity of the donor T-cell fraction. The following mAb were used: anti-CD4 (clone GK 1.5 provided by Dr Frank Fitch, University of Chicago, Chicago, IL),34 anti-CD8 (clone 53-6.72, rat IgG2a provided by Dr Jeffrey Ledbetter, Bristol-Myers-Squibb, Seattle, WA),35anti-T-cell receptor α/β,36 and an irrelevant rat IgG2 antihuman antibody (3A1E)37 (used as a negative control). Monoclonal antibodies were purified38and directly labeled with fluorescein isothiocyanate (FITC) and phycoerythrin (PE) as described.39 Two-color cytometry studies were performed on single cell suspensions of lymph nodes, spleens, and thymi from toxin-treated mice. The cells were washed and resuspended in FACS buffer (phosphate-buffered saline [PBS] supplemented with 2.5% newborn calf serum and 0.01% sodium azide). One million pelleted cells were incubated for 10 minutes at 4°C with 0.4 μg of an anti-Fc receptor mAb40 to prevent Fc binding. Optimal concentrations of PE- and FITC-labeled mAb were added to a total volume of 100 μL and incubated 1 hour at 4°C. Cells were washed 3 times with FACS buffer and, after the final washing, were fixed in 1% formaldehyde. All samples were analyzed on a FACScalibur using CellQuest Software (Becton Dickinson, Palo Alto, CA). A minimum of 20 000 events was examined. Background subtraction using directly conjugated irrelevant antibody control was performed for each sample.
Mice
C57BL/6 (H2b)mice (termed B6) were purchased from NIH (Bethesda, MD). B6 congenic mice containing mutation at MHC class II B6.C-H2(bm12), (termed bm12) were purchased from the Jackson Laboratory (Bar Harbor, ME). Donors were 4 to 6 weeks of age and recipients were 8 to 10 weeks of age at the time of bone marrow transplant (BMT). All mice were housed in specific pathogen-free facility in microisolator cages.
Graft-versus-host disease model
To induce lethal GVHD, bm12 recipients were irradiated sublethally (6.0 Gy total body irradiation from a 137Cs source at a dose rate of 85 cGy/min), and injected with enriched lymph node T cells, as previously described.41 To purify lymph node (LN) cells, single-cell suspensions of axillary, mesenteric, and inguinal LN cells were obtained (as a source of GVHD-causing effector cells) by passing minced LN through a wire mesh and collecting them into PBS per 2% fetal calf serum. Cell preparations were depleted of B cells by passage through a goat antimouse immunoglobulin-coated column (Biotex, Edmonton, Canada). One million enriched C57BL/6 (termed B6) lymph node T cells were administered via caudal vein in 0.5 mL volume. The development of GVHD was assessed by survival and weight loss.
Pathologic examination of tissues
Mice were killed, autopsied, and tissues were taken for histopathologic analysis as described.42 All samples were embedded in OCT compound (Miles, Elkhark, IN), snap frozen in liquid nitrogen, and stored at −80°C until sectioned. To ensure maximum quality of frozen specimens, this was achieved in under 10 minutes per mouse. Serial 4 μm sections were cut, thaw mounted onto glass slides, and fixed for 5 minutes in acetone. Slides were stained with hematoxylin and eosin (H&E) for histopathologic assessment.
Immunohistochemistry
Sections were stained for cell surface antigen determinants. After blocking with 10% normal horse serum, sections were incubated with biotinylated mAb (purchased from PharMingen) specific for CD4 (GK1.5), CD8(53-6.7), CD19(1D3), or Mac-1+ macrophages/neutrophils (M1/70). Detection with alkaline phosphatase-conjugated avidin-biotin complex and BCIP/NBT as chromogen was performed essentially as described43 with reagents purchased from Vector Laboratories, Inc (Burlingame, CA).
Blood urea nitrogen and alanine transferase assays
As previously described,23 both assays were performed on Kodak EKTACHEM clinical chemistry slides on a Kodak ETACHEM 950 by the Clinical Chemistry Laboratory, Fairview University Medical Center-University Campus (Minneapolis, MN). Mice were killed, individual serum samples collected, and analysis was performed in a coded fashion on the undiluted samples. Minimum specimen volume was 11 μL for each assay. The blood urea nitrogen (BUN) assay is read spectrophotometrically at 670 nm. In the alanine transferase (ALT) assay, the oxidation of NADH is used to measure ALT activity at 340 nm.
Fusion toxin administration
Fusion toxin was given intraperitoneally (ip) in a 0.2-mL volume in the morning and then again 6 to 8 hours later. Doses mentioned in this paper are total daily doses administered twice daily (BID).
Radiolabeling of SS2 and monomer and biodistribution
SS2 and monomer were radiolabeled with 125I using the [N-succinimidyl-3-(tri-n-butylstannyl) benzoate] method of Zalutsky and Narula.44 The radiolabeled products were analyzed by polyacrylamide gel electrophoresis and demonstrated the same protein bands observed with unlabeled SS2 and monomer. Autoradiography of the gel showed that the radioactivity was associated with the protein bands. The 125I-mIP-SS2 and 125I-mIP-monomer were active as demonstrated by their specific binding to 2B4 cells and their cytotoxicity against EL4 cells. The 125I-mIP-SS2 and125I-mIP-monomer were then evaluated for biodistribution in normal C57BL/6 mice (National Cancer Institute Frederick Research Laboratory, Frederick, MD). Then 0.074 Mbq (2 μCi)125I-mIP-SS2 or 125I-mIP-monomer were injected intravenously into the mice and they were killed 30 minutes later. The kidney, liver, and heart were removed and weighed, and the radioactivity counted in a gamma counter. The percentage injected dose per gram for each tissue was calculated.
Statistical analyses
Groupwise comparisons of continuous data were made by Student t test. Survival data were analyzed by Mantel-Peto-Cox summary of chi square.45 Probability (P) values less than or equal to .05 were considered significant.
Results
Purity of SS2
To assess the fractions collected from our chromatography procedure, SDS-PAGE analysis was performed. The isoelectric point of SS2 was 5.64 and determined using ISOELECTRIC (Genetics Computer Group, Wisconsin Package version 10.0-UNIX, Madison, WI). Figure2, lane 1, shows that the SS2 fraction consisted of about 65% dimer/23% monomer. Densitometry was performed using NIH Image 1.61 software. Lane 2 shows that the monomeric fraction contained 63% monomer/20% dimer with the remainder of the fraction contaminants. Lane 3 shows mw standards with the upper 2 bands representing 66 and 97.4 kd.
SDS-PAGE analysis of SS2.
Gel showing the purity of the SS2 and monomeric HPLC fractions of the DT390sFv modified by introducing a c-terminal cysteine. (Lane 1) SS2 fraction; (lane 2) monomeric fraction; (lane 3) mw standards.
SDS-PAGE analysis of SS2.
Gel showing the purity of the SS2 and monomeric HPLC fractions of the DT390sFv modified by introducing a c-terminal cysteine. (Lane 1) SS2 fraction; (lane 2) monomeric fraction; (lane 3) mw standards.
In vitro activity of SS2 measured against mitogen stimulated T cells
To measure the activity and selectivity of SS2 against T-cells, 2 different mitogenic assays were used. In the first assay, murine splenocytes were activated with the T-cell mitogen PHA. Figure3, panel A, shows that T-cell proliferation was inhibited in a dose-dependent manner by SS2. The IC50was about 10 nmol/L. Inhibition was selective because the addition of the parental 1452C11 mAb entirely blocked IT activity. The addition of control anti-Ly5.2 mAb (which was not reactive with either SS2 or the splenocytes) had no blocking effect, indicating that binding of the SS2 molecule was mediated entirely through the sFv moiety of the engineered protein. Panel B indicates that the monomer had comparable activity.
Activity of SS2 against PHA stimulated T cells.
Splenocytes were stimulated with PHA to induce T-cell proliferation, and then cultured in triplicate with IT. Three days later thymidine incorporation was assayed as a measure of T-cell activation. (A) SS2 added to PHA stimulated T-cells; (B) monomeric IT added to T cells. Background counts were determined by measuring incorporation of splenocytes without PHA stimulation (mean 254 ± SD 58). The counts of PHA-stimulated cells without the addition of any IT were mean 22 416 ± SD 4 229. Data are expressed as activity versus concentration. Activity was calculated by averaging triplicates and subtracting the spontaneous background.
Activity of SS2 against PHA stimulated T cells.
Splenocytes were stimulated with PHA to induce T-cell proliferation, and then cultured in triplicate with IT. Three days later thymidine incorporation was assayed as a measure of T-cell activation. (A) SS2 added to PHA stimulated T-cells; (B) monomeric IT added to T cells. Background counts were determined by measuring incorporation of splenocytes without PHA stimulation (mean 254 ± SD 58). The counts of PHA-stimulated cells without the addition of any IT were mean 22 416 ± SD 4 229. Data are expressed as activity versus concentration. Activity was calculated by averaging triplicates and subtracting the spontaneous background.
In a different experiment, splenocytes were stimulated with conA. Figure 4A shows more than 95% of T-cell proliferation was inhibited by 10 nmol/L SS2. In contrast, B-cell proliferation measured by stimulating splenocytes with the B-cell mitogen LPS was only partly affected, even at a dosage of 100 nmol/L SS2. Figure 4B shows that a similar pattern of activity was observed for monomer. In this assay, SS2 was slightly more effective.
SS2 selectively kills T cells and not B cells.
Splenocytes were stimulated with conA to induce T-cell proliferation or with LPS to induce B-cell proliferation, and then cultured in triplicate with IT. Three days later thymidine incorporation was assayed. (A) SS2 added to T cells and to B cells as control; (B) monomeric IT added in an identical manner. Spontaneous counts were determined for LPS stimulation (mean 864 ± SD 345) and conA stimulation (mean 1 587 ± SD 630). Maximum counts for LPS (mean 11 501 ± SD 2 228) and conA (mean 19 364 ± SD 2 660) were determined. Data are expressed as percentage (%) control response (experimental counts-spontaneous counts per maximum counts-spontaneous counts) × 100.
SS2 selectively kills T cells and not B cells.
Splenocytes were stimulated with conA to induce T-cell proliferation or with LPS to induce B-cell proliferation, and then cultured in triplicate with IT. Three days later thymidine incorporation was assayed. (A) SS2 added to T cells and to B cells as control; (B) monomeric IT added in an identical manner. Spontaneous counts were determined for LPS stimulation (mean 864 ± SD 345) and conA stimulation (mean 1 587 ± SD 630). Maximum counts for LPS (mean 11 501 ± SD 2 228) and conA (mean 19 364 ± SD 2 660) were determined. Data are expressed as percentage (%) control response (experimental counts-spontaneous counts per maximum counts-spontaneous counts) × 100.
Together, all our in vitro studies indicated that SS2 was potent and highly selective in its activity against CD3-expressing cells. Because SS2 and monomer had nearly identical activity, intermolecular disulfide bonding did not sterically obstruct the binding or the catalytic activity of SS2.
In vitro activity of SS2 measured against a T-cell line
As another indicator of the in vitro cytotoxic activity of SS2, activity was measured against the murine CD3ε-expressing T-cell hybridoma 2B4 in a trypan blue viability assay. Figure5A shows that SS2 activity was dose dependent and all the 2 × 105 2B4 cells plated were eliminated at 10 nmol/L. Thus, IT appears to kill more than 5 logs of cells at this dose. Figure 5B shows that monomer activity was similar. SS2 had no inhibitory activity against control C1498 cells that did not express CD3ε (not shown).
Activity and selectivity of SS2.
(A) Triplicate cultures of CD3 + 2B4 cells were incubated with various concentrations of SS2 for up to 72 hours. At 24-hour intervals, individual wells were sampled and aliquots stained with trypan blue and counted. Standard deviations of the mean for each data point did not exceed 29% of mean values. (B) Cells were cultured with monomeric ITs.
Activity and selectivity of SS2.
(A) Triplicate cultures of CD3 + 2B4 cells were incubated with various concentrations of SS2 for up to 72 hours. At 24-hour intervals, individual wells were sampled and aliquots stained with trypan blue and counted. Standard deviations of the mean for each data point did not exceed 29% of mean values. (B) Cells were cultured with monomeric ITs.
Determination of the maximum tolerated dose of SS2
To study the toxicity of SS2, it was first injected into B6 mice (n = 4-5 per group) over a 4-day course BID. Administration of anti-CD3 recombinant17 and conventional18anti-CD3 IT by this schedule was previously shown to induce a significant anti-GVHD effect. Table 1 shows that all mice tolerated either 20 or 40 μg/d SS2. When the dose was increased to 80 μg/d, one mouse died on day 18. In contrast, all mice given 20 or 40 μg/d monomer died, whereas one mouse died in the group given 10 μg/d. There was a significant (P < .01) difference between groups given 10 μg/d and 20 to 40 μg/d of monomer. Because findings were identical in the 80 μg/d SS2 group and in the 10 μg/d monomer group, SS2 was 8-fold less toxic than monomer. Survivors were monitored for an additional 30 days with no signs of delayed toxic effects.
Determination of the maximum tolerated dose of SS2 in mice
| Dose (μg) . | . | Number alive/ total treated . | ||
|---|---|---|---|---|
| Day 10 . | Day 20 . | Day 30 . | ||
| 0 | — | 5/5 | 5/5 | 5/5 |
| 20 | SS2 | 5/5 | 5/5 | 5/5 |
| 40 | SS2 | 5/5 | 5/5 | 5/5 |
| 80 | SS2 | 4/4 | 3/4 | 3/4 |
| 10 | Monomer | 4/4 | 4/4 | 3/4 |
| 20 | Monomer | 1/4 | 0/4 | 0/4 |
| 40 | Monomer | 0/4 | 0/4 | 0/4 |
| Dose (μg) . | . | Number alive/ total treated . | ||
|---|---|---|---|---|
| Day 10 . | Day 20 . | Day 30 . | ||
| 0 | — | 5/5 | 5/5 | 5/5 |
| 20 | SS2 | 5/5 | 5/5 | 5/5 |
| 40 | SS2 | 5/5 | 5/5 | 5/5 |
| 80 | SS2 | 4/4 | 3/4 | 3/4 |
| 10 | Monomer | 4/4 | 4/4 | 3/4 |
| 20 | Monomer | 1/4 | 0/4 | 0/4 |
| 40 | Monomer | 0/4 | 0/4 | 0/4 |
C57BL/6 mice were randomly divided into groups (n = 4-5 per group) and injected with varying concentrations of SS2 given intraperitoneally and twice a day on days 0 to 3. Data are expressed as number of survivors per number of mice treated. Mice were observed for at least an additional 30 days with no change in survival.
Toxicity was also studied in a separate experiment, giving only a single day's treatment (2 injections). Groups of mice given 40 μg/d, 80 μg/d, or 160 μg/d SS2 all survived. For monomer, groups given a single day's treatment at 10 or 20 μg survived, but mice given 40 or 80 μg all died. Because the maximum tolerated dose (MTD) for a single day's treatment was 20 μg/d for the monomer and at least 160 μg/d for SS2, there was again at least an 8-fold toxicity difference (4-fold molar difference). Together, independent studies of 1-day treatment and 4-day treatment schedules both confirmed the same 8-fold toxicity difference between monomer and SS2.
In vivo activity of SS2
A different experiment was performed to determine whether SS2 had an effect on T cells in vivo. Splenocytes were removed from mice given 80 μg/d SS2 BID for 4 days and stimulated with the T-cell mitogen conA. Table 2 shows greater than 77% reduction (P = .002) in activity compared with control untreated mice. In contrast, there was no significant reduction in B-cell activity measured by stimulating the same splenocytes with LPS. Flow cytometry studies were performed on splenocytes from these same mice. Table 2shows that spleens were comprised of 22% CD4+ T cells plus 15% CD8+ T cells, totaling 35%. SS2 significantly (P = .001) reduced CD4+ cells by 95.6% and CD8+ cells by 78.9%. The CD19+ B cells were not reduced. The percentage of myeloid cells (Mac-1+) was not reduced (not shown).
The effect of SS2 administration on T-cell activity in vivo
| . | Mitogen activity CPM/well . | Flow cytometry % fluorescent positive cells . | |||
|---|---|---|---|---|---|
| ConA . | LPS . | CD4 . | CD8 . | CD19 . | |
| Untreated mouse | 13,921 ± 1,879 | 12,453 ± 806 | 22 ± 1 | 15 ± 1 | 56 ± 1 |
| SS2-treated | 3,131 ± 1,224 | 10,723 ± 1,244 | 1 ± 1 | 4 ± 2 | 63 ± 8 |
| % Change in activity | −77.5%* | −13.9% | −95.6% | −78.9% | +12.5% |
| P value | .002 | NS | .001 | .001 | NS |
| . | Mitogen activity CPM/well . | Flow cytometry % fluorescent positive cells . | |||
|---|---|---|---|---|---|
| ConA . | LPS . | CD4 . | CD8 . | CD19 . | |
| Untreated mouse | 13,921 ± 1,879 | 12,453 ± 806 | 22 ± 1 | 15 ± 1 | 56 ± 1 |
| SS2-treated | 3,131 ± 1,224 | 10,723 ± 1,244 | 1 ± 1 | 4 ± 2 | 63 ± 8 |
| % Change in activity | −77.5%* | −13.9% | −95.6% | −78.9% | +12.5% |
| P value | .002 | NS | .001 | .001 | NS |
Mice (n = 3-4 per group) were given intraperitoneally injections of SS2 (80 g/d) twice daily day 0 to 3. On day 4, splenocytes from treated or untreated control mice were tested for their ability to respond to mitogens conA and LPS using a thymidine incorporation assay. Spontaneous activity (activity in cells not stimulated with mitogen) was 1,260 ± 355 cpm. A sample of the same cells were also tested for the expression of various cell surface markers by flow cytometry as described.
To further study the cells inhibited by SS2 treatment, frozen tissue sections from 80 μg/d SS2-treated mice were studied in a different experiment for the expression of surface markers in situ. Figure6 is a series of panels showing the same splenic follicle after immunohistochemistry (IHC) analysis. Panel A shows the follicle stained by H&E. A large number of mononuclear cells are congregated around the central arteriole in the perivascular area of the white pulp. Panel B shows that the majority of these cells stain in a positive fashion for CD19, a well-studied B-cell specific marker, indicating that the majority of these cells are B cells. Panel C shows positive staining for the Mac-1 myeloid marker. As expected the majority of myeloid cells are localized in the red pulp region. Panel D shows that the majority of CD4 expressing T cells have been eliminated by SS2 and only a few are still present. The same is true of CD8 expressing T cells. These data provide visual evidence that T cells are killed in situ by the administration of SS2.
Sections of spleen (objective lens 40×) from a mouse given ip injections SS2 at 80 μg/d.
Cryosections were stained by immunoperoxidase using biotinylated monoclonal antibodies.
Sections of spleen (objective lens 40×) from a mouse given ip injections SS2 at 80 μg/d.
Cryosections were stained by immunoperoxidase using biotinylated monoclonal antibodies.
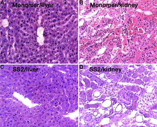
Toxicity of SS2
In our previous studies, monomeric DT390anti-CD3sFv had unacceptable kidney toxicity.23 To determine whether modification had altered renal toxicity, tissue for histologic analysis and serum for functional analysis were collected from the same mice. Extra mice had been injected in the experiment shown in Table 1 for histologic studies. Visual examination of mice given SS2 confirms that at 80 μg/d SS2 was far less destructive to the kidney than monomer at 40 μg/d (Figure 7). Panel D shows that after 80 μg/d SS2 treatment, kidney tissue looked nearly normal with glomeruli, distal tubules, and proximal tubules intact. There was some minor infiltration with polymorphonuclear cells. All mice given this dosage were alive at 10 days. In contrast, panel B shows that monomer treatment severely damaged the kidney to the point that glomeruli disintegrated. Proximal tubules were destroyed, and there were large areas of necrosis and infiltration of predominantly mononuclear cells with fewer polymorphonuclear cells. Damage at this level has been associated with a complete loss of function in our previous studies.23 As expected, these mice all died within 10 days. Panel C shows only minor hepatic damage in SS2-treated mice with minor mononuclear cell infiltration. The same is true for monomer-treated mice (panel A).
C57BL/6 mice were randomly grouped and injected with SS2 or monomer.
Kidney and liver were removed, sectioned, and stained with H&E to visualize organ damage. Two animals per group were examined with identical results.
C57BL/6 mice were randomly grouped and injected with SS2 or monomer.
Kidney and liver were removed, sectioned, and stained with H&E to visualize organ damage. Two animals per group were examined with identical results.
To determine whether SS2 had an effect on renal function, serum levels of BUN were measured (n = 3-4 per group) the day after SS2 was given at 80 μg/d on days 0 to 3. There was no significant difference in the average BUN levels measured in mice given SS2 (23.3 ± 5.7 mg/dL) compared with untreated mice (19.3 ± 1.5 mg/dL), indicating that SS2 did not significantly impair renal function. Precipitous increases in BUN levels induced by monomer administration have been previously reported.23 All values were in the normal range and there was no difference in ALT levels with SS2 treatment (treated = 54.0 ± 31.3 U/L, untreated = 54.7 ± 14.6 U/L), indicating that hepatic activity also was unaffected. Histology studies also indicated that IT did not damage the brain or heart muscle.
Biodistribution of SS2 in the kidney
To determine whether there was a correlation between the decreased toxicity of SS2 and its localization into the kidney, SS2 was radiolabeled, injected into normal mice and then studied for its biodistribution into the kidney and liver. Table3 shows that, when SS2 and monomer were injected at similar doses (0.074 Mbq [2 μCi]), significantly (P < .002) less SS2 (20.8% ± 2.3% injected dose per gram) accumulated in the kidney than did monomer (34.5% ± 6.4%). Regarding the liver, there was some increase in the accumulation of SS2, compared with monomer. As a control, there was no difference in the amount of SS2 distributed in heart, compared with monomer. Thus, biodistribution data correlated with histology results and data from the functional studies reported above.
Biodistribution of SS2 and monomer in kidney liver and heart tissue
| Organ . | % Injected dose per gram . | |
|---|---|---|
| SS2 . | Monomer . | |
| Kidney | 20.8 ± 2.33-150 | 34.5 ± 6.4 |
| Liver | 29.2 ± 2.8 | 25.1 ± 3.3 |
| Heart | 4.1 ± 1.04 | 3.5 ± 0.5 |
| Organ . | % Injected dose per gram . | |
|---|---|---|
| SS2 . | Monomer . | |
| Kidney | 20.8 ± 2.33-150 | 34.5 ± 6.4 |
| Liver | 29.2 ± 2.8 | 25.1 ± 3.3 |
| Heart | 4.1 ± 1.04 | 3.5 ± 0.5 |
P < .002 compared with monomer.
SS2 and monomer were radiolabeled with 125I and 0.074 Mbq (2 μCi) were injected intravenously into C57BL/6 mice (n = 5 per group). After 30 minutes, organs were removed and counted. Data are presented as % injected dose per gram (mean ± 1 SD unit). Groups were compared using the Student t test.
SS2 administration prevents lethal GVHD in vivo
To determine whether SS2 was able to protect against lethal GVHD, LN T cells from B6 mice were given to MHC class II disparate bm12 irradiated (6 Gy) recipients to induce GVHD (Figure8A). A total of 106 highly purifed LN T cells were given to each recipient. This dose was selected because it is about 50 to 100 times greater than the minimal lethal dose in this system. In a separate experiment, 104 cells killed 75% recipients in about 45 days. In preparing the T-cell fraction, passage over an Ig-column removed the contaminating 34% surface Ig-expressing cells so that only 0.1% contaminating Ig-expressing cells remained. All but 4% of the remaining cells expressed the αβ T-cell receptor. This highly enriched T-cell fraction composed of 54% CD4+ cells and 37% CD8+cells killed a control group of bm 12 recipients in 20 days.
The in vivo effect of SS2 administration on GVHD induced across the MHC class II barrier in bm12 recipients of C57BL/6 T cells.
Irradiated (6 Gy) recipients were given enriched LN T cells. Groups of mice (n = 6 per group) received BID ip injections of SS2 at 40 μg/d administered for 1 day, monomer at its MTD of 10 μg/d for 4 days, or were untreated. (A) Data are represented as actuarial survival versus time in days. Statistical analysis indicated that the SS2 group differed significantly (P = .009) from the monomer group, the SS2 group differed significantly (P = .00062)) from the untreated group, and the monomer group differed significantly (P = .015) from the untreated group. (B) For these same mice, mean weights were plotted versus time. Standard deviation did not exceed 29% of the mean. On days 14 to 25, mean weights for the SS2 group differed significantly (P < .008) from the monomer group. † Untreated mice all died by day 18.
The in vivo effect of SS2 administration on GVHD induced across the MHC class II barrier in bm12 recipients of C57BL/6 T cells.
Irradiated (6 Gy) recipients were given enriched LN T cells. Groups of mice (n = 6 per group) received BID ip injections of SS2 at 40 μg/d administered for 1 day, monomer at its MTD of 10 μg/d for 4 days, or were untreated. (A) Data are represented as actuarial survival versus time in days. Statistical analysis indicated that the SS2 group differed significantly (P = .009) from the monomer group, the SS2 group differed significantly (P = .00062)) from the untreated group, and the monomer group differed significantly (P = .015) from the untreated group. (B) For these same mice, mean weights were plotted versus time. Standard deviation did not exceed 29% of the mean. On days 14 to 25, mean weights for the SS2 group differed significantly (P < .008) from the monomer group. † Untreated mice all died by day 18.
A cohort of mice were given 10 μg/d monomeric DT390anti-CD3sFv for 4 days, a dose based on the MTD determined from the data in Table 1. Of these 6 mice, 4 (66%) died (Figure 8A). The weight data for mice in Figure 8B showed that all these animals had precipitous weight loss (over 25% of pretransplant body weight) and death occurred late on days 19 to 26. In contrast to the monomer, the administration of only 2 injections of SS2 over the course of 1 day totaling 40 μg was sufficient to protect 100% of the mice from lethal GVHD. This dose was well below the MTD.
As previously discussed in the section “Determination of the maximum tolerated dose,” a cohort of untransplanted normal bm12 mice given 160 μg/d SS2 for a single day, all lived, indicating that the MTD was at least 160 μg/d. The GVHD studies described above also administered SS2 for a single day and showed that 40 μg/d was an efficacious dose, fully inhibiting GVHD. These studies with the same lot, dose schedule, and recipient strain demonstrated the presence of a therapeutic window in which the efficacious dose was at least 4-fold lower than the toxic dose. Thus, the therapeutic window for SS2 was 40 to 160 μg/d. The presence of a therapeutic window for SS2 was in contrast to the absence of a window for monomeric IT that has less of an anti-GVHD effect in the B6 into bm12 model at its MTD of 10 μg/d BID given over the course of 4 days.
Discussion
This is the first report, to our knowledge, using terminal cysteine disulfide bonding to establish an intermolecular bridge between engineered ITs. The major contribution of this work was the finding that rendering a sFv fusion toxin bivalent, so as to double its molecular size and raise it above the filtration threshold for the kidneys, markedly reduced its toxicity. In reducing its toxicity, its efficacy was increased so that 100% of all treated mice were protected from lethal GVHD with a single day's treatment, so a therapeutic window was created where none existed before.
The kidney plays the major homeostatic role of maintaining the volume and composition of the body fluids largely through glomerular filtration and tubular reabsorption and secretion. Small proteins readily enter the kidneys and in a previous study,23 the monomeric form of the same DT390 anti-CD3sFv fusion toxin at 58 kd was filtered into the kidney and caused severe and irreversible renal damage. Similar renal effects have been noted by other investigators with other fusion toxins of a similar size. Kirkman and coworkers24 evaluated an IL-2 fusion toxin and reported that toxicity was largely limited to the renal system. In a different study,25 an IL-4 IT, consisting of IL-4 and DT389 (similar to our DT390) given to mice subcutaneously, showed a MTD similar to that of monomeric DT390 anti-CD3sFv (10 μg/d). Mice given doses exceeding the MTD died with markedly elevated BUN and creatinine and extensive necrosis of proximal renal tubular cells.
In contrast to findings with these smaller proteins ranging in size from 58 to 90 kd, our data with 120 kd bivalent SS2 showed a dramatic shift in toxicity. SS2 was at least 8-fold less toxic to mice than monomer with a visible reduction in the amount of kidney toxicity. Also, radiolabeling studies showed that SS2 did not localize as readily in kidney as did monomer and mice readily tolerated much higher doses of SS2.
Another major finding was that SS2 demonstrated a therapeutic window in a lethal and aggressive GVHD model, whereas monomeric DT390anti-CD3sFv did not. The window was defined by giving SS2 at 40 μg/d for a single day and demonstrating that the mice did not develop GVHD. The same strain of mice tolerates at least 160 μg in a single day, indicating at least a 4-fold difference between the toxic dose and efficacious therapeutic dose. In contrast, monomeric IT showed no such window when tested under similar conditions. Four of 6 mice that received the MTD of 10 μg/d given for 4 days succumbed of GVHD or toxicity, whereas the remaining 2 mice demonstrated symptoms of subclinical GVHD as evidenced by histologic examination. Monomer was administered on a 4-day schedule because, unlike SS2, administration of monomer for a single day at a dose of 10 μg/d does not result in an anti-GVHD effect.
Our design was influenced by other studies. For example, Luo et al46 placed a fragment with cysteine residues on the c-terminus and found that binding was greatly reduced. Although the exact reason for the decreased binding was not known, a loop structure in the c-extension might be formed through a disulfide bridge between the cysteines, which might interfere with the overall binding conformation. After considering this and other methods used to fuse sFv to protein domains capable of dimerization, including leucine zippers,47 amphipathic helices,48 the k constant domain, or CH3 in the form of a minibody,49 we decided that the c-terminal modification would be the most straightforward.
On the basis of the literature, a sFv dimer formed with a covalent bond might have increased activity as a result of increased binding activity. For example, Kipriyanov et al50 showed that a sFv recognizing RNA polymerase and modified to express a cysteine near the c-terminus demonstrated a 4-fold higher binding affinity in its bivalent form, compared with its monomeric form. Adams et al12 using a sFv recognizing c-erbB-2 showed improved retention of specific bivalent sFv dimers by tumors in vivo compared with monovalent fragments. However, direct comparisons of the bivalent and monomeric forms of our DT390 anti-CD3sFv revealed no difference in in vitro activity when measured in thymidine incorporation assays (PHA or conA) or bioassays designed to directly measure killing of CD3+ cells in viability assays. This suggests that the advantage of SS2 in vivo may not necessarily be related to its binding.
In addition to its size and binding, disulfide bonding may provide advantages to the in vivo activity of ITs by increasing their stability. Cumber et al29 chemically cross-linked 2 sFv fragments with a single cysteine residue at the c-terminus. The bivalent conjugate was completely stable to incubation in solution at 37°C for 24 hours, whereas only 60% of the monomeric fragment remained. Disulfide bonding may also have the advantage of increasing circulation time because these studies showed that after intravenous administration to normal rats, the bivalent agent was cleared with an alpha-phase half-life significantly longer than that of the monomeric agent. It is possible that dimerization increased the stability of the protein.
Bera et al51 made a bivalent IT using a truncated form ofPseudomonas toxin linked to a stable bivalent Fv molecule of the anti-erb2 antibody. This molecule showed a large increase in avidity and in vitro cytotoxicity, compared with monomeric IT. Whereas our in vivo findings demonstrated superiority of SS2 over monomeric IT, their in vivo findings showed that bivalent IT was inferior to monomeric IT in inhibiting solid tumors in scid mice. The agents in the 2 studies were prepared differently, but the difference in findings also might be explained by the fact that GVHD-causing T cells might be more accessible as targets than solid tumors. Many issues still need to be addressed regarding this class of agent.
There are several reasons to pursue the targeting of CD3 for destroying GVHD-causing T cells. GVHD can readily be studied in experimental mouse models and is extremely difficult to control once the disease begins.3 In these models, anti-CD3 ITs have shown superiority over other approaches such as drugs, antibodies alone, antibody fragments, or radiolabeled immunoconjugates (reviewed in Vallera3). Also, in in vitro studies, direct comparison showed that anti-CD3 ITs were superior to anti-CD5 ITs, more completely and rapidly internalizing than other IT.52-54 Anti-CD5 IT has been the most widely studied IT for clinical GVHD use. Our preclinical data20 show that anti-CD5 produced only transient, even marginal protection in the mouse. In clinical studies, Martin et al55 showed in 243 patients given CD5-specific IT, significant control of GVHD in the first 5 weeks, but no long-term effect. In an aggressive murine model of established GVHD, CD5 IT extended survival only a few weeks, anti-CD3 IT extended it months.18 Anti-CD3 ITs may be useful for treatment of other diseases and are currently being studied in experimental models for the prevention of lymphoproliferative disease56 and prevention of organ rejection.57 Studies examining the use of nonmitogenic CD3 antibodies58 and anti–interleukin-2 receptor alpha chain59 for GVHD therapy also show promise. It is possible that they permit facilitated immunologic recovery, but whether these approaches will be superior to the use of IT remains to be determined.
In conclusion, the gene of a previously reported recombinant IT was mutated to generate a novel bivalent IT that markedly reduced its renal toxicity. The new divalent form of the DT390 anti-CD3sFv IT showed an expanded therapeutic window that allowed for enhanced anti-GVHD efficacy in a lethal model of murine GVHD. It will be important to determine in future studies whether this modification allows for improvement of other recombinant sFv ITs in other disease models.
Acknowledgments
We thank Dr S. Ramakrishnan for their helpful comments and John Hermanson and Kim Laffoon for expert technical assistance.
Supported in part by US Public Health Service Grants RO1-CA36725 and AI34495 awarded by the NCI and the NIAID, DHHS, by DOE grant DE-FG02-96ER62181, and by the Children's Cancer Research Fund and the Minnesota Medical Foundation.
Reprints:Daniel A. Vallera, Box 367 Mayo Building, Harvard St at East River Rd, Minneapolis, MN 55455; email:valle001@tc.umn.edu.
The publication costs of this article were defrayed in part by page charge payment. Therefore, and solely to indicate this fact, this article is hereby marked “advertisement” in accordance with 18 U.S.C. section 1734.








This feature is available to Subscribers Only
Sign In or Create an Account Close Modal