Intravascular hemolysis is associated with several pathologic conditions that include hemoglobinopathies, trauma, malaria, and bacterial infections. Among plasma-protective proteins against oxidative damage caused by red blood cell rupture, haptoglobin and hemopexin are thought to play a crucial role. Haptoglobin and hemopexin, by binding with high-affinity hemoglobin and heme, respectively, exert an antioxidant action by preventing heme-catalyzed free radical production. Moreover, these proteins prevent iron loss by inhibiting glomerular filtration of hemoglobin and heme diffusion through plasma membranes. Analysis of single-null mice demonstrated the antioxidant action of haptoglobin and hemopexin in vivo and suggests that the 2 proteins cooperate in the resolution of hemolytic stress. To evaluate the physiological relevance of the haptoglobin-hemopexin system and the principal targets of its action, we generated haptoglobin-hemopexin double-knockout mice and analyzed them under basal conditions and after acute hemolysis. Whereas haptoglobin-hemopexin double-null mice displayed no obvious alteration in phenotype under basal conditions, nonlethal hemolytic stress in these animals led to pronounced splenomegaly as well as liver inflammation and fibrosis. These data demonstrate that haptoglobin and hemopexin together are essential for protection from splenomegaly and liver fibrosis resulting from intravascular hemolysis.
Introduction
Haptoglobin (Hp) and hemopexin (Hx) are plasma proteins with the highest binding affinity for hemoglobin (Hb) (Kd ≈ 1 pM) and heme (Kd < 1 pM), respectively. They are expressed mainly in the liver and belong to the family of acute phase proteins, the synthesis of which may be induced by several cytokines following inflammatory processes.1 2
Hb is the most abundant and functionally important protein in erythrocytes. However, once released from red blood cells, it becomes highly toxic because of the oxidative properties of heme (protoporphyrin IX and iron), which participates in the Fenton reaction to produce reactive oxygen species causing cell injury.3The toxicity of heme is increased by heme hydrophobicity, which enables it to intercalate into lipid membranes and other lipophylic compartments when not associated with proteins.4Interestingly, in accordance with a pro-oxidant effect of heme, recent data 5 provide evidence of a proinflammatory role in vivo. These data show that intravenous heme administration results in increased vasopermeability, adhesion molecule expression, and tissue infiltration of leukocytes, which are the hallmarks of inflammation.
Usually, low amounts of extravascular hemolysis occur during enucleation of erythroblasts and destruction of senescent erythrocytes, thus causing Hb release into plasma. However, under various intravascular hemolysis-linked pathologic conditions, such as hemorrhage, hemoglobinopathies, ischemia reperfusion, or malaria, large amounts of free Hb are released.6 Once in the plasma, free Hb rapidly dissociates in αβ dimers that are bound by Hp. Metabolism of plasma Hb is a main function of tissue macrophages, which can take up Hb-Hp complexes through a specific receptor and catabolize them.7
When the buffering capacity of plasma Hp is exceeded, Hb is quickly oxidized to ferrihemoglobin, which, in turn, dissociates into globin and ferriheme. Ferriheme then binds to albumin (Kd ≈ 10 nM) and, subsequently, is transferred to Hx. Whereas a specific receptor for the heme-Hx complex has not yet been identified, several in vitro studies have shown that liver parenchymal cells and several cell lines internalize the heme-Hx complex through receptor-mediated endocytosis.8
In the cells, the toxic effects of heme are counteracted by heme oxygenase (HO), which breaks down the porphyrin ring into carbon monoxide, iron, and biliverdin.9 Iron is rapidly sequestered by ferritin, whereas biliverdin is converted by biliverdin reductase to bilirubin. Hitherto, 3 isoforms of HO have been identified, among which HO-1 is highly inducible by a great variety of stimuli other than heme, including oxidative stress, heat shock, UV radiation, ischemia reperfusion, heavy metals, cytokines, and nitric oxide. HO-2 and HO-3 isoenzymes are constitutively expressed and probably function in the normal heme capturing and metabolism.10
We have previously reported the generation and analysis of Hp-null and Hx-null mice.11 12 These studies have shown that both Hp and Hx protect against the effects of intravascular hemolysis. This is evident from the observation that both Hp-null and Hx-null mice, after a strong hemolytic stress, suffer from renal injury due to oxidative damage. Moreover, Hx-deficient mice present an altered Hp turnover after hemolysis, since Hp persists in the circulation for several days after the hemolytic stimulus.
In the present study, we show that after acute hemolysis, Hx is up-regulated in Hp-null mice, similar to Hp up-regulation in Hx-null mice. This suggested that the 2 proteins have a redundant function in relation to each other. To test this hypothesis, we generated HpHx double-knockout (dKO) mice and analyzed them under basal conditions and after acute hemolysis, comparing their response to that of wild-type and single-knockout mice.
HpHx dKO mice displayed no obvious alterations in Hb and heme catabolism in a physiologic state but, after acute hemolysis, showed enhanced splenomegaly and liver inflammation and fibrosis compared to wild-type and single-null mice.
Materials and methods
Generation of HpHx dKO mice
Hp-null and Hx-null mice were generated as previously described.11 12 HpHx dKO mice were generated by breeding single Hp and Hx knockout mice. Since Hp and Hx mutations were in a genetic C57/BLJ6 and 129Sv background, respectively, heterozygous mice at the 2 loci in the mixed genetic background C57BL/J6 × 129Sv were obtained by breeding single deficient mice. These mice were then crossed to obtain single Hp- and Hx- and double HpHx-deficient mice. All the different types of mice used in these experiments—wild type (Hp+/Hx+/), Hp-null (Hp−/−Hx+/), Hx-null (Hp+/Hx−/−), and HpHx-null (Hp−/−Hx−/−)—were littermates derived by breeding F1 double-heterozygous Hp+/−Hx+/− mice in the mixed genetic background C57BL/J6 × 129Sv.
Phenylhydrazine treatment
Phenylhydrazine hydrochloride (φhyd; Sigma P6929; Sigma, St Louis, MO) was dissolved in sterile phosphate-buffered saline (PBS) within the range 15 to 20 mg/mL, and the pH was adjusted to 7.4 with NaOH. Age-matched adult males of all genotypes under investigation were injected intraperitoneally with freshly prepared φhyd ranging from 0.15 to 0.2 mg/g body weight.
Hb injection
Blood was collected from anesthetized mice by retro-orbital bleeding. The red blood cells were purified by serum gradient, washed twice with PBS, and lysed by freezing/thawing. After centrifugation in a microcentrifuge for 20 minutes at 4°C for removal of red blood cell debris, Hb was quantified using a kit from Sigma (S527-A; Sigma), and the concentration was adjusted to 200 mg/mL with PBS. Age-matched adult males were injected into the tail vein with purified Hb at 0.5 mg/g body weight.
Splenectomy
Age-matched adult males of all genotypes were anesthetized with Avertin (2,2,2-tribromoethanol; Sigma-Aldrich, St Louis, MO). After surgical skin preparation, the spleen was exteriorized through a 1-cm left subcostal incision. The splenic artery and vein were double ligated, and the spleen was removed. The peritoneum and skin were closed in separate layers, using 4.0 absorbable suture. Mice were rested for 4 weeks before histological analysis.
Histology and immunohistochemistry
Tissues were dissected, fixed in 10% formalin for 24 hours, and embedded in paraffin. Microtome sections, 7 to 10 μm thick, were mounted onto TESPA (3-aminopropyl-thiethoxysilane; Sigma)–treated slides. Kidney sections were stained with hematoxylin and eosin, periodic acid Schiff (PAS), or Perls staining, according to standard procedures. The following parameters were chosen as indicative of morphological renal damage: brush border loss, red blood cell extravasation, and tubule dilatation. Liver sections were stained with hematoxylin and eosin or Masson Trichrome reaction. Leukocyte infiltration, hepatocyte degeneration, necrosis, and fibrosis were analyzed as parameters of liver injury.
For immunohistochemistry, mice were perfused with PBS, organs dissected, fixed in 10% formalin, and embedded in paraffin. Microtome sections, 7 to 10 μm thick, were analyzed with the following antibodies: rat monoclonal anti–mouse F4/80 antigen (MCA497R; Serotec, Oxford, United Kingdom), rabbit polyclonal anti–mouse hemoglobin (catalog no. 55447; ICN, Irvine, CA), and rabbit polyclonal anti–human HO-1 (SPA-896; StressGen, BC, Canada), which cross-react also with the mouse proteins. Briefly, the sections were deparaffinised, rehydrated, and treated as follows: 10 minutes with 0.1% triton in Tris [tris(hydroxymethyl)aminomethane]-buffered saline (TBS), 10-20 minutes with 3% hydrogen peroxide solution, 5 minutes with TBS, saturated with blocking buffer (3% milk, 10% normal swine serum in TBS) for 20 minutes, followed by antibody incubation overnight at 4°C. The following secondary antibodies were used: biotynilated swine anti–rabbit IgG and biotynilated rabbit anti–rat IgG (Dako A/S, Denmark). Immunoreactivity was detected with the StreptABComplex/HRP system (Dako) and developed with DAB (methanol 3,3′ diamino-benzidine; Boehringer Mannheim, Mannheim, Germany). The slides were then counter-colored rapidly with hematoxylin and mounted with DPX (BDH Laboratory Supplies, Leicester, United Kingdom). Liver cells counts were made on a microscope at × 20 magnification using an image analyzer (Image Pro Plus 4.0). Positive cells were counted on 4 randomly chosen fields within an area of 7 × 10−2mm2 per section. At least 4 animals for each experimental point were counted.
Western blot
To determine Hp and Hx levels, 1 μL plasma, collected from the tail vein, was separated on 6% (Hp) or 10% (Hx) sodium dodecyl sulfate–polyacrylamide gel electrophoresis (SDS-PAGE), blotted onto nitrocellulose membranes (Amersham, Buckinghamshire, United Kingdom), and probed overnight with a goat antiserum against human Hp (Sigma H 5015; Sigma) or with a goat antiserum against human Hx (AES-217; Harlan Sera-Lab, Crawley Down, Sussex, United Kingdom) that also cross-react with mouse Hp or Hx, respectively. Filters were then incubated with horseradish peroxidase–conjugated rabbit anti–goat IgG (Southern Biotechnology Associates, Birmingham, AL) and developed with an enhanced chemiluminescence (ECL) detection system (Amersham). Quantitation of the band intensity was performed by densitometry using a Biorad system (Biorad, Munchen, Germany).
For HO-1 detection, protein extracts were made by homogenization in 50 mM HEPES (N-2-hydroxyethylpiperazine-N′-2-ethanesulfonic acid), 5 mM NaCl, and 50 mM EDTA (ethylenediaminetetraacetic acid) with protease inhibitors (aprotinin, leupeptin, pepstatin; Sigma). Protein concentration was determined with the Biorad protein assay system (Biorad), and 50 μg protein extracts were separated on a 12% SDS-PAGE, blotted onto nitrocellulose membranes (Amersham), and probed with a rabbit polyclonal antibody to HO-1 (SPA-896; StressGen). Filters were then incubated with horseradish peroxidase–conjugated goat anti–rabbit IgG (Southern Biotechnology Associates) and developed with an ECL detection system (Amersham).
RNA slot blot
Total RNA was extracted with the RNeasy Mini Kit (Qiagen, Hilden, Germany) and analyzed as described by Sambrook et al.13 Filters were sequentially probed with α-32P dCTP random primer labeled probes to mouse serum amyloid A (SAA3) and P (SAP) components, rat α1-acid glycoprotein (α-AGP), and mouse β-actin. Quantitation of the slot intensity was performed by densitometry, using a Biorad system (Biorad).
Blood and urine analyses
Blood was collected from anesthetized mice by retro-orbital sampling, and blood cell counts were determined using an automatic cell counter. Renal damage was monitored by following blood urea nitrogen (BUN) concentrations in serum with a diagnostic kit (Sigma). Urine Hb content was measured with the Bayer Hemastix system (Bayer, Milano, Italy).
Statistical analysis
All data were expressed as mean ± SD or mean ± SEM and analyzed with the Student t test. Differences were considered significant when P < .05.
Results
Analysis of basal and induced levels of Hp and Hx in single-knockout mice
Wild-type and Hp and Hx single-null mice were subjected to acute hemolysis by intraperitoneal injection of a single dose of φhyd of 0.15 mg/g body weight. Both basal and φhyd-induced plasma levels of Hp and Hx were analyzed by Western blotting.
The basal level of Hp was significantly higher in Hx-null than in wild-type mice. Moreover, the φhyd-induced Hp level remained elevated for much longer in Hx-null mice compared with wild-type mice (Figure1A).
Expression of Hp and Hx in the plasma of Hx-null and Hp-null mice, respectively.
(A) Hp expression. (i) A representative Western blot of plasma proteins of a wild-type, an Hx−/−, and an Hp−/− mouse assayed for Hp expression under basal conditions and after φhyd injection. (ii) Densitometric analyses of separate Western blots. Three mice of each genotype were analyzed at each time point. (B) Hx expression. (i) A representative Western blot of plasma proteins of a wild-type, an Hp−/−, and an Hx−/− mouse assayed for Hx expression under basal conditions and after φhyd injection. (ii) Densitometric analyses of separate Western blots. Three mice of each genotype were analyzed at each time point. *P < .02, **P < .01, ***P < .001.
Expression of Hp and Hx in the plasma of Hx-null and Hp-null mice, respectively.
(A) Hp expression. (i) A representative Western blot of plasma proteins of a wild-type, an Hx−/−, and an Hp−/− mouse assayed for Hp expression under basal conditions and after φhyd injection. (ii) Densitometric analyses of separate Western blots. Three mice of each genotype were analyzed at each time point. (B) Hx expression. (i) A representative Western blot of plasma proteins of a wild-type, an Hp−/−, and an Hx−/− mouse assayed for Hx expression under basal conditions and after φhyd injection. (ii) Densitometric analyses of separate Western blots. Three mice of each genotype were analyzed at each time point. *P < .02, **P < .01, ***P < .001.
In Hp-null mice, the basal Hx level was comparable to that of wild-type mice, but at 1 and 3 days after φhyd injection, Hx induction was significantly higher in Hp−/− mice than in wild-type mice (Figure 1B).
The overexpression of Hp and Hx, after hemolytic stress, in Hx- and Hp-deficient mice, respectively, suggested that in single-knockout strains, reciprocal compensatory effects could be taking place in the resolution of the acute phase.
Generation of HpHx dKO mice
HpHx dKO mice were generated by breeding single Hp and Hx knockout mice. The HpHx dKO mice were viable and fertile. Furthermore, histological analysis of liver, kidney, spleen, heart, brain, and bone marrow showed no evident abnormalities and/or tissue lesions due to oxidative damage, abnormal iron deposition, or inflammation (not shown), thus indicating that, under physiologic conditions, the simultaneous lack of Hp and Hx did not affect the clearance of free plasma Hb and heme.
Induction of acute hemolysis
HpHx dKO mice were then analyzed after hemolytic stress. We used the well-established model of φhyd treatment to induce acute hemolysis.14 15 Mice of all genotypes were injected intraperitoneally with a single dose of φhyd (0.15 mg/g body weight) that is nonlethal. Hemolysis was evident on day 1 by hemoglobinemia, hemoglobinuria, and marked depression in hematocrit level. On day 1, Hb urine content was within 450 to 600 μg/L both in wild-type and Hp and Hx single- and double-knockout mice. Hematocrit fell to similar values in all genotypes (Hp+/Hx+/: 25.6% ± 2.76%; Hp−/−Hx+/: 24.6% ± 0.85%; Hp+/Hx−/−: 21.03% ± 4.58%; Hp−/−Hx−/−: 21.67% ± 2.35%, n = 3). Recovery of blood parameters was almost complete 7 days after φhyd injection, as hematocrit returned to normal levels in all mice (Hp+/Hx+/: 43.8% ± 5.52%; Hp−/−Hx+/: 42.6% ± 5.3%; Hp+/Hx−/−: 42.9% ± 4.92%; Hp−/−Hx−/−: 44.3% ± 4.56%, n = 3), thus indicating that the double mutation in Hp and Hx genes did not affect either the severity of hemolysis or the recovery of normal hematologic values.
Reduced Hb deposits in the kidney of HpHx dKO mice after acute hemolysis
The kidney is considered to be the most sensitive organ to heme overload.3 Hb and heme overload were evaluated on perfused kidney sections by immunohistochemistry with an anti-Hb antibody and on renal extracts by Western blotting with an anti–HO-1 antibody. Renal histopathological changes were evaluated by PAS staining.
On day 1 after φhyd injection, Hb deposits were significantly higher in the kidney of wild-type and single-null mice than in that of HpHx dKO mice (Figure 2A). In most proximal tubules, the apical plasma membrane and adjacent endosomes were stained. Distal tubule cells had no Hb immunoreactivity. To verify if Hb accumulation in the kidney was not due to φhyd treatment, mice of all genotypes were injected into the tail vein with purified Hb. A similar pattern of Hb immunoreactivity was observed one day after Hb injection (Figure 2A), thus indicating that plasma Hb overload was responsible for renal Hb accumulation. By day 3 after φhyd or Hb injection, Hb deposits were undetectable in all genotypes. Moreover, a good correlation between splenomegaly and renal Hb overload was observed: when spleen–body weight ratio was about 0.8% or higher, no Hb deposits in the proximal tubules of the kidney were observed. HO-1 expression was already evident 5 hours after φhyd treatment in the proximal tubules of the kidney of mice of all genotypes, but was higher in wild-type and single-null mice compared with HpHx dKO mice (not shown).
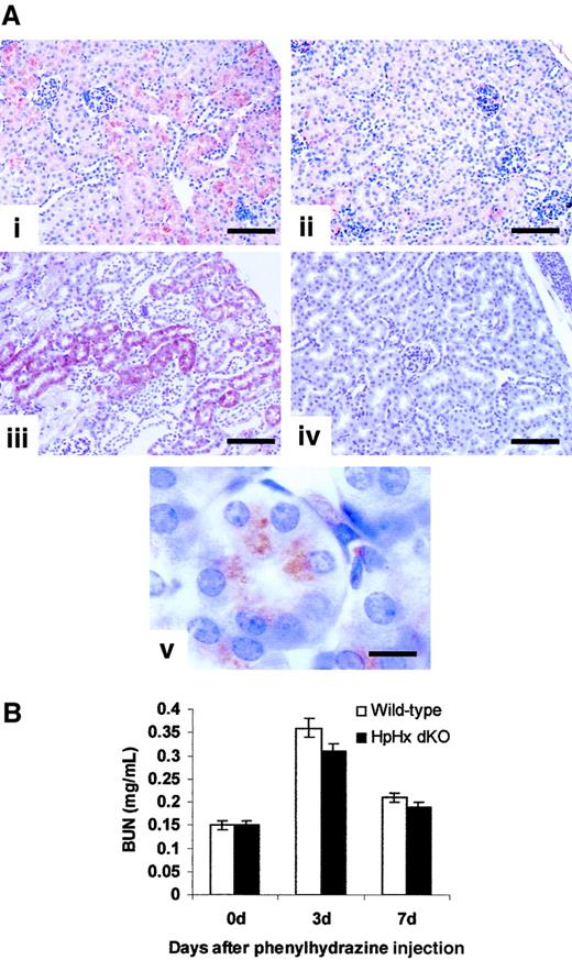
Analysis of the kidney after acute hemolysis.
(A) Kidney sections of 2 wild-type (i,iii) and 2 HpHx dKO (ii,iv) mice one day after φhyd (i-ii) or Hb (iii-iv) injection processed by immunohistochemistry with an anti-Hb antibody. Note Hb accumulation in proximal tubules of wild-type mice after both φhyd and Hb injection. Hb immunoreactivity is localized near the apical membrane in the endosomal/lysosomal compartment (v). Scale bars: i-iv, 100 μm; v, 20 μm. (B) BUN serum levels of wild-type and HpHx dKO mice under basal conditions and after acute hemolysis. Three mice of each genotype were analyzed at each time point. No significant differences were detectable.
Analysis of the kidney after acute hemolysis.
(A) Kidney sections of 2 wild-type (i,iii) and 2 HpHx dKO (ii,iv) mice one day after φhyd (i-ii) or Hb (iii-iv) injection processed by immunohistochemistry with an anti-Hb antibody. Note Hb accumulation in proximal tubules of wild-type mice after both φhyd and Hb injection. Hb immunoreactivity is localized near the apical membrane in the endosomal/lysosomal compartment (v). Scale bars: i-iv, 100 μm; v, 20 μm. (B) BUN serum levels of wild-type and HpHx dKO mice under basal conditions and after acute hemolysis. Three mice of each genotype were analyzed at each time point. No significant differences were detectable.
PAS staining did not reveal any obvious morphological abnormalities in mice of all genotypes, thus showing that Hb overload did not cause histopathological changes.
Kidney function was assayed by determining BUN serum level in all genotypes. BUN was equal in wild-type, single-, and double-null mice at 0, 3, and 7 days after φhyd injection, showing that Hb deposits did not compromise kidney function (Figure 2B).
Reduced susceptibility of HpHx dKO mice to a lethal hemolytic stress
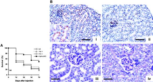
A lethal hemolytic stress was obtained by increasing the injected dose of φhyd to 0.2 mg/g body weight. Hemolysis was evident on day 1 by hemoglobinemia, hemoglobinuria, and marked depression in hematocrit level to about 20% to 25% in all genotypes. Susceptibility to this dose of φhyd was significantly different in HpHx dKO mice compared with the other genotypes: whereas 80% of wild-type and single-knockout mice died within a week after injection, death occurred in only 50% of HpHx dKO mice (Figure 3A). Mortality occurred mostly in the first 3 days of φhyd treatment. Immunohistochemical and histological analyses showed Hb accumulation near the apical membrane of proximal tubules of the kidney of dying mice and evident signs of renal damage as tubular dilatation, brush border loss, and flattened epithelium (Figure 3B). These data suggest that renal dysfunction is the cause of death in these mice, in agreement with previously reported data and clinical observations.3,11 12
Analysis of mice of all genotypes after a lethal hemolytic stimulus.
(A) Percent survival of wild-type, Hp-null, Hx-null, and HpHx dKO mice subjected to φhyd-induced hemolysis. Mice were injected with a single dose of φhyd of 0.2 mg/g body weight. Each group consisted of 60 mice. Differences between wild-type and single KO mice were not significant. Differences between wild-type and HpHx dKO mice were significant at each time point (P < .01). (B) Kidney sections of a wild-type (i,iii) and an HpHx dKO (ii,iv) mouse one day after an injection of 0.2 mg/g body weight of φhyd processed by immunohistochemistry with an anti-Hb antibody (i-ii) and by PAS staining (iii-iv). Note Hb deposition in proximal tubular cells in the wild-type mouse (more evident in the insert at a higher magnification of × 400) that results in tubular degeneration evidenced by brush border loss and flattened epithelium. Scale bars: i-ii, 100 μm; iii-iv, 50 μm.
Analysis of mice of all genotypes after a lethal hemolytic stimulus.
(A) Percent survival of wild-type, Hp-null, Hx-null, and HpHx dKO mice subjected to φhyd-induced hemolysis. Mice were injected with a single dose of φhyd of 0.2 mg/g body weight. Each group consisted of 60 mice. Differences between wild-type and single KO mice were not significant. Differences between wild-type and HpHx dKO mice were significant at each time point (P < .01). (B) Kidney sections of a wild-type (i,iii) and an HpHx dKO (ii,iv) mouse one day after an injection of 0.2 mg/g body weight of φhyd processed by immunohistochemistry with an anti-Hb antibody (i-ii) and by PAS staining (iii-iv). Note Hb deposition in proximal tubular cells in the wild-type mouse (more evident in the insert at a higher magnification of × 400) that results in tubular degeneration evidenced by brush border loss and flattened epithelium. Scale bars: i-ii, 100 μm; iii-iv, 50 μm.
Interestingly, histological alterations were strongly attenuated or absent in surviving mice, mostly in HpHx dKOs (Figure 3B), thus indicating that the simultaneous lack of Hp and Hx protected double-null mice from acute renal failure by reducing Hb deposits on the tubular cells of the kidney. Backing up these data is the observation that, in surviving mice, one day after φhyd injection BUN serum level was significantly higher in wild-type than in HpHx dKO mice (0.64 mg/mL ± 0.23 vs 0.32 mg/mL ± 0.04 respectively, n = 4, P < .02).
Pronounced splenomegaly in HpHx dKO mice after acute hemolysis
Because the spleen and the liver are the main sites for free plasma Hb and heme clearance after hemolysis, a detailed analysis of these organs was carried out.
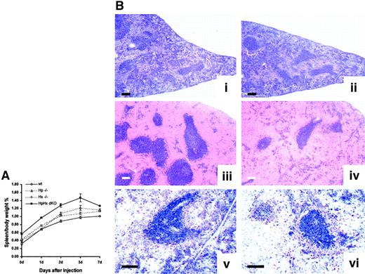
After acute hemolysis, mice of all genotypes developed splenomegaly. Spleen–body weight ratio was measured under basal conditions and after acute hemolysis (Figure 4A). On day 0, spleens of HpHx dKO mice were significantly larger than spleens of wild-type mice (spleen–body weight ratio was 0.56% ± 0.02% vs 0.33% ± 0.03%, P < .001). Furthermore, after acute hemolysis, enlargement of the spleen was much more significant in HpHx dKO mice. The highest spleen–body weight ratio was reached on day 3 (1.47% ± 0.1% in HpHx dKO mice vs 0.98% ± 0.03% in wild-type mice, P < .001). On the other hand, spleens of Hp-null and Hx-null mice, under basal conditions, were similar to those of wild-type mice (spleen–body weight ratio was 0.37% ± 0.01% and 0.38% ± 0.01%, respectively), whereas after acute hemolysis, they were significantly lower than those of HpHx dKO mice: the highest spleen–body weight ratio on day 3 was 1.22% ± 0.06% in Hp-null mice and 1.08% ± 0.06% in Hx-null mice.
Analysis of the spleen under basal conditions and after acute hemolysis.
(A) Spleen/body weight percent in wild-type, Hp-null, Hx-null, and HpHx dKO mice subjected to φhyd-induced hemolysis. Mice were injected with 0.15 mg/g body weight of φhyd. Values represent means ± SEM. At least 5 animals at each time point were analyzed. Differences between wild-type and HpHx dKO mice were significant at each time point (P < .001). Differences between wild-type and single KO mice became significant from day 2 (P < .001). (B) Spleen sections of 2 wild-type (i,iii,v) and 2 HpHx dKO (ii,iv,vi) mice before (i-ii) and one day after φhyd injection (iii-vi) stained with hematoxylin and eosin (i-iv) and processed by immunohistochemistry with an anti–HO-1 antibody (v-vi). Note the stronger red blood cell accumulation in the HpHx dKO mouse than in the wild-type mouse after φhyd treatment, but no differences in HO-1 expression. Scale bars: i-iv, 250 μm; v-vi, 200 μm.
Analysis of the spleen under basal conditions and after acute hemolysis.
(A) Spleen/body weight percent in wild-type, Hp-null, Hx-null, and HpHx dKO mice subjected to φhyd-induced hemolysis. Mice were injected with 0.15 mg/g body weight of φhyd. Values represent means ± SEM. At least 5 animals at each time point were analyzed. Differences between wild-type and HpHx dKO mice were significant at each time point (P < .001). Differences between wild-type and single KO mice became significant from day 2 (P < .001). (B) Spleen sections of 2 wild-type (i,iii,v) and 2 HpHx dKO (ii,iv,vi) mice before (i-ii) and one day after φhyd injection (iii-vi) stained with hematoxylin and eosin (i-iv) and processed by immunohistochemistry with an anti–HO-1 antibody (v-vi). Note the stronger red blood cell accumulation in the HpHx dKO mouse than in the wild-type mouse after φhyd treatment, but no differences in HO-1 expression. Scale bars: i-iv, 250 μm; v-vi, 200 μm.
Histological analysis of HpHx dKO spleens, under basal conditions, did not show any abnormality in cellularity and tissue organization in spite of their larger size. However, the further enlargement in size after φhyd injection was accompanied by stronger red blood cell accumulation than in wild-type and single-null mice, with a consequent increase of the splenic red pulp and a proportional reduction of the white pulp (Figure 4B).
The reticuloendothelial system was analyzed with an antibody against the macrophage lineage specific antigen, F4/80, and an anti–HO-1 antibody that labeled heme-activated macrophages. In all genotypes, most of HO-1–expressing macrophages were seen in the marginal zone around the white pulp. Histologically, no differences were observed, in either the number or the distribution of activated macrophages among HpHx dKO, wild-type, and single-knockout mice (Figure 4B).
Marked liver inflammation in HpHx dKO mice after acute hemolysis
Histological examination of the HpHx dKO liver revealed no abnormality under basal conditions. Moreover, in untreated animals of all genotypes, only few scattered HO-1–positive cells were detectable.
On day 1 after injection of a nonlethal dose of φhyd, Hb accumulation was evident in the Kupffer cells of mice of all genotypes. The pattern of distribution of Hb-positive cells was the same after injection of 0.5 mg/g body weight of purified Hb in the tail vein (Figure5A). HO-1–positive Kupffer cells were already evident 5 hours after φhyd injection, and the number increased progressively and reached a peak at day 2. The increase in HO-1–positive cells was more pronounced in HpHx dKO mice than in wild-type mice (Figure 5B-C). To quantify this difference, consecutive liver sections were stained with the anti-F4/80 antibody, which labeled all Kupffer cells, and the anti–HO-1 antibody, respectively, and the percentage of Kupffer cells expressing HO-1 was hence calculated (Figure 5D).
Analysis of Hb accumulation and HO-1 expression in the liver after acute hemolysis.
(A) Liver sections of 2 wild-type (i,iii) and 2 HpHx dKO (ii,iv) mice one day after φhyd (i-ii) or Hb (iii-iv) injection processed by immunohistochemistry with an anti-Hb antibody. Note Hb accumulation in Kupffer cells of both wild-type and HpHx dKO mice. Scale bars = 100 μm in all subpanels. (B) Liver sections of a wild-type (i) and an HpHx dKO (ii) mouse one day after φhyd injection processed by immunohistochemistry with an anti–HO-1 antibody. Note the higher number of HO-1–expressing cells in the HpHx dKO mouse than in the wild-type mouse. Scale bars = 100 μm in both subpanels. (C) Number of HO-1–positive cells per microscopic field: cells were counted as reported in “Materials and methods.” At least 4 animals per genotype at each time point were analyzed. *P < .01, **P < .001. (D) Percent of Kupffer cells expressing HO-1: consecutive liver sections were stained with the anti-F4/80 or anti–HO-1 antibodies, and positive cells were counted as reported in “Materials and methods.” At least 3 animals per genotype at each time point were analyzed. *P < .01; **P < .001.
Analysis of Hb accumulation and HO-1 expression in the liver after acute hemolysis.
(A) Liver sections of 2 wild-type (i,iii) and 2 HpHx dKO (ii,iv) mice one day after φhyd (i-ii) or Hb (iii-iv) injection processed by immunohistochemistry with an anti-Hb antibody. Note Hb accumulation in Kupffer cells of both wild-type and HpHx dKO mice. Scale bars = 100 μm in all subpanels. (B) Liver sections of a wild-type (i) and an HpHx dKO (ii) mouse one day after φhyd injection processed by immunohistochemistry with an anti–HO-1 antibody. Note the higher number of HO-1–expressing cells in the HpHx dKO mouse than in the wild-type mouse. Scale bars = 100 μm in both subpanels. (C) Number of HO-1–positive cells per microscopic field: cells were counted as reported in “Materials and methods.” At least 4 animals per genotype at each time point were analyzed. *P < .01, **P < .001. (D) Percent of Kupffer cells expressing HO-1: consecutive liver sections were stained with the anti-F4/80 or anti–HO-1 antibodies, and positive cells were counted as reported in “Materials and methods.” At least 3 animals per genotype at each time point were analyzed. *P < .01; **P < .001.
From day 1 to day 3 after φhyd injection, about 60% to 70% of Kupffer cells expressed HO-1 in wild-type mice, whereas almost 100% of Kupffer cells expressed HO-1 in HpHx dKO mice. In single-knockout mice, the percentage of heme-activated Kupffer cells was significantly lower than in HpHx dKO mice and amounted to 69% ± 9% between days 1 and 3 in mice carrying the Hp mutation, and to 78% ± 7% in Hx-null mice.
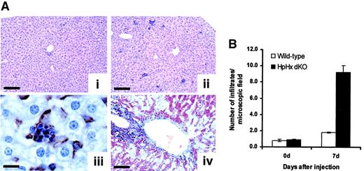
The state of liver inflammation was analyzed 7 days after φhyd injection by evaluating the presence of leukocyte infiltrates on hematoxylin-and-eosin–stained sections. The livers of Hp and Hx single-knockout mice presented weak signs of inflammation with few leukocyte infiltrates compared with wild-type mice. In contrast, livers of HpHx dKO mice revealed several foci with pronounced leukocyte infiltration. These infiltrates were strongly F4/80 positive, thus indicating that they were mainly composed of macrophages (Figure6A). To quantify the degree of liver inflammation, macrophage infiltrates were counted on liver sections after hemolysis. The mean number of macrophage foci reached the basal level in wild-type mice 7 days after φhyd injection but remained 10-fold higher than basal level in HpHx dKO (Figure 6B). Inflammatory infiltrates were frequently accompanied by necrotic areas. Moreover, in some cases (2 HpHx dKO mice of 7) inflammation was more dramatic, with massive macrophage infiltration and extensive fibrosis (Figure 6A). On the other hand, none of the single KO mice showed significant signs of hepatic inflammation, such as fibrosis (n = 6 for both genotypes).
Analysis of the liver 7 days after acute hemolysis.
(A) Liver sections of a wild-type (i) and 2 HpHx dKO mice (ii-iv) 7 days after φhyd injection stained with hematoxylin and eosin (i-ii), processed by immunohistochemistry with an anti-F4/80 antibody (iii) and stained with the Masson trichrome reaction (iv). Several leukocyte infiltrates were evident in the HpHx dKO mouse (ii). These infiltrates were strongly F4/80 positive (iii). The animal in panel iv showed massive hepatic injury with extensive fibrosis. Scale bars: i-ii, 200 μm; iii, 20 μm; iv, 100 μm. (B) Number of macrophage infiltrates per microscopic field in wild-type and HpHx dKO mice under basal condition and 7 days after φhyd injection. Macrophage infiltrates were counted on hematoxylin-and-eosin–stained sections as reported in “Materials and methods.” Four mice of each genotype were analyzed at each time point. At 7 days,P < .02.
Analysis of the liver 7 days after acute hemolysis.
(A) Liver sections of a wild-type (i) and 2 HpHx dKO mice (ii-iv) 7 days after φhyd injection stained with hematoxylin and eosin (i-ii), processed by immunohistochemistry with an anti-F4/80 antibody (iii) and stained with the Masson trichrome reaction (iv). Several leukocyte infiltrates were evident in the HpHx dKO mouse (ii). These infiltrates were strongly F4/80 positive (iii). The animal in panel iv showed massive hepatic injury with extensive fibrosis. Scale bars: i-ii, 200 μm; iii, 20 μm; iv, 100 μm. (B) Number of macrophage infiltrates per microscopic field in wild-type and HpHx dKO mice under basal condition and 7 days after φhyd injection. Macrophage infiltrates were counted on hematoxylin-and-eosin–stained sections as reported in “Materials and methods.” Four mice of each genotype were analyzed at each time point. At 7 days,P < .02.
Therefore, the simultaneous lack of Hp and Hx affected the reticuloendothelial system after acute hemolysis, resulting in a state of severe hepatic injury. The phenotype of single-null mice clearly demonstrated that overexpression of the remaining protein maintained a significantly lower number of heme-activated Kupffer cells than in HpHx double-null mice, thus causing only a limited inflammatory reaction.
Pronounced liver inflammation in splenectomized HpHx dKO mice
Marked liver inflammation and fibrosis seen in HpHx dKO mice 7 days after φhyd treatment indicated that, when spleen buffer capacity was exceeded, the simultaneous lack of Hp and Hx caused hepatic injury. To further confirm the anti-inflammatory action of Hp and Hx, we used a different experimental model in which mice of all genotypes were splenectomized and analyzed at increasing times after surgical operation without pharmacological treatment. One and 2 months after splenectomy, histological sections of the liver of Hp and Hx single-null mice showed weak signs of inflammation, determined by leukocyte infiltrates, compared with wild-type mice (not shown). In contrast, the liver of HpHx dKO mice presented evident signs of inflammation with cellular vacuolization, leukocyte infiltration, and necrotic areas (Figure 7Ai-ii). Moreover, 2 months after splenectomy, the livers of most (5 of 7) HpHx dKO mice showed marked fibrosis (Figure 7Aiii-iv). The state of systemic inflammation was also evaluated by determining the expression of other acute phase proteins. The expression of serum amyloid A (SAA3) and P (SAP) components and of α1-acid glycoprotein (α-AGP) remained at the basal level in wild-type and single-null mice 2 months after splenectomy, but increased several-fold in HpHx dKO mice (Figure7B).
Analysis of the liver of splenectomized mice.
(A) Liver sections of 2 wild-type (i,iii) and 2 HpHx dKO (ii,iv) mice one month (i-ii) and 2 months (iii-iv) after splenectomy, stained with hematoxylin and eosin (i-ii) and with the Masson trichrome reaction (iii-iv). Note extensive necrotic areas in the liver of HpHx dKO mouse one month after splenectomy (ii; arrows) and massive fibrosis one month later (iv). For all panels, scale bar = 200 μm. (B) Slot blot of total RNA from wild-type (on the left) and HpHx dKO mice (on the right) under basal conditions and one and 2 months after splenectomy, assayed for SAA3 and β-actin expression. Note the strong expression of SAA3 only in HpHx dKO mice 2 months after splenectomy.
Analysis of the liver of splenectomized mice.
(A) Liver sections of 2 wild-type (i,iii) and 2 HpHx dKO (ii,iv) mice one month (i-ii) and 2 months (iii-iv) after splenectomy, stained with hematoxylin and eosin (i-ii) and with the Masson trichrome reaction (iii-iv). Note extensive necrotic areas in the liver of HpHx dKO mouse one month after splenectomy (ii; arrows) and massive fibrosis one month later (iv). For all panels, scale bar = 200 μm. (B) Slot blot of total RNA from wild-type (on the left) and HpHx dKO mice (on the right) under basal conditions and one and 2 months after splenectomy, assayed for SAA3 and β-actin expression. Note the strong expression of SAA3 only in HpHx dKO mice 2 months after splenectomy.
Thus, when the splenic filtering activity was missing, the simultaneous lack of Hp and Hx caused severe liver inflammation and fibrosis.
Discussion
Hp and Hx, being scavengers of Hb and heme, respectively, from circulation are considered plasma-protective proteins against intravascular hemolysis.3 In this study, we analyzed their positive effects by evaluating the response of Hp and Hx single- and double-knockout mice to a nonlethal hemolytic stress. We showed that the simultaneous lack of Hp and Hx caused significant alterations in the spleen, liver, and kidney, whereas the single deficiency in either Hp or Hx gene generated a phenotype quite similar to that of wild-type mice. This is probably due to the overexpression of the remaining protein in single-null mice, that is Hx in Hp−/− and Hp in Hx−/−, which counteracts the overload of Hb and heme.
Following acute hemolysis, the spleen of HpHx dKO mice became much more enlarged than that of wild-type and single-null mice. Splenomegaly was clearly evident 5 hours after φhyd injection, thus suggesting that red blood cell accumulation, rather than expansion of the reticuloendothelial system, was the main cause of organ enlargement. This was confirmed by histological and immunohistochemical analyses. A major cause of blood accumulation in the spleen could be vascular obstruction and occlusion due to clumping of hemolyzed erythrocyte membranes. This phenomenon could be potentiated by free plasma Hb and heme. In fact, Wagener et al have recently reported that heme induces the expression of ICAM-1 (intercellular adhesion molecule-1), VCAM-1 (vascular adhesion molecule-1), and E-selectin on endothelial cells, which results in the adhesion of blood cells to endothelium.16 Moreover, heme is a potent inducer of inflammation in vivo, and it has been proposed as a vascular occlusion-promoting factor in sickle cell disease.5 6Hence, in HpHx dKO mice, free plasma Hb and heme could possibly potentiate vaso-occlusion, thus promoting splenomegaly. Supporting this hypothesis, the phenotypes of Hp-null and Hx-null mice showed that, when only one of the 2 proteins was present and, consequently, intravascular levels of pro-occlusive molecules were lower, spleen enlargement was enhanced compared with wild-type mice, but not as much as when both proteins were missing.
The liver of HpHx dKO mice presented important alterations, after a nonlethal hemolytic stress, compared with the other genotypes. Particularly, even if immunohistochemical data did not show differences in Hb accumulation after acute hemolysis, the liver of HpHx dKO mice presented a higher number of HO-1–expressing Kupffer cells compared with wild-type and single-null mice. Moreover, 7 days after φhyd injection, when blood parameters returned to the normal range in all genotypes, livers of HpHx dKO mice still presented strong signs of inflammation and fibrosis.
Kupffer cells, together with sinusoidal cells, are thought to play prominent roles in maintaining liver homeostasis.17 Our data demonstrate that, after acute hemolysis, HO-1 expression in Kupffer cells, by degrading excess heme, provided the most important protective system for the liver. Higher plasma levels of unbound Hb and heme could account for the increased number of HO-1–expressing cells in HpHx dKO mice, as well as for the state of liver inflammation. However, several other factors could contribute to hepatic injury. The state of activation of Kupffer cells has been associated with liver injury, as these cells produce proinflammatory cytokines such as tumor necrosis factor α (TNFα) and interleukin 1β (IL-1β).18 Also, the overexpression of HO-1 could worsen the damage, probably by increasing toxic iron.19
Therefore, in HpHx dKO mice, unbound Hb and heme, overexpression of HO-1, and the state of activation of Kupffer cells might contribute toward the high level of liver inflammation and fibrosis.
The proinflammatory effects of Hb and heme were further evidenced by the analysis of splenectomized HpHx dKO mice. Indeed, when the liver took on the role of scavenging free Hb and heme from circulation, it became prone to developing inflammation and fibrosis. It could be possible that Hb and heme, not bound by Hp and Hx, respectively, account for this situation.
The kidney of HpHx dKO mice, one day after φhyd injection, showed low or no Hb deposits, in contrast to wild-type and single-null mice, which presented Hb overload in proximal tubular cells. Hb deposits are due to reabsorbed Hb, as demonstrated by vesicular localization near the apical membrane. In agreement with Hb accumulation, the lower induction of HO-1 in the kidney of dKO than in that of wild-type mice was indicative of a lower heme overload. On the other hand, hemoglobinuria was equally present in mice of all genotypes. These data are quite surprising because binding of Hp to Hb is suggested to limit renal filtration of the Hb molecule. It is possible that, at the dose of φhyd used, plasma Hb content overcomes the binding capacity of Hp in wild-type mice. Thus, we cannot exclude that Hp during less severe hemolysis actually limits the renal filtration of Hb.
The difference in Hb accumulation between wild-type and HpHx dKO mice could be explained by a defect in Hb reabsorption and/or degradation by tubular cells in HpHx dKO mice. According to this view, the Hp/Hx system would affect the ability of tubular cells to take up and/or degrade filtered Hb. On the other hand, there is an interesting correlation between enhanced splenomegaly in HpHx dKO mice and the reduction of Hb deposits in the kidney. These data suggested that Hb accumulation in the spleen could protect the kidney from Hb overload and could explain the reduced mortality rate of HpHx dKO mice compared with the other genotypes. Indeed, when we used a lethal hemolytic stress at the LD50 for HpHx dKO mice, 80% of wild-type and single KOs died in the first 3 days from acute renal failure due to Hb accumulation in proximal tubules of the kidney. Previously reported data on Hp- and Hx-null mice had shown a higher mortality in Hp-deficient than in wild-type mice and renal damage due to oxidative stress in both Hp−/− and Hx−/− compared with control mice.11,12 There are 2 important differences that distinguish this study from the previous ones: (1) the genetic background of the mice, 129Sv used in the previous work compared to C57/BLJ6-129Sv in this one, suggests the presence of strain-specific genes controlling the sensitivity to hemolysis, and (2) only the phenotypes of surviving mutant and wild-type mice 7 days after a lethal hemolytic stimulus were previously characterized. Therefore, it can be deduced that, at high φhyd doses, which reproduce a fatal hemolytic shock, the kidney is most sensitive to Hb and heme overload, whereas at a lower, nonlethal φhyd dose, the liver is the more-exposed organ to the toxic effects of Hb and heme. Thus, the Hp/Hx system seems to be crucial to protect the liver from injury during nonlethal hemolytic stimuli. In these conditions, the kidney probably counteracts Hb overload through other protective mechanisms, such as the expression of specific receptors on tubular cells.20
The protective effects of Hp and Hx on the liver could be explained by different mechanisms. One intriguing possibility is that these proteins modulate the inflammatory response by triggering specific intracellular signals. Consistent with this view is the recently reported identification of the CD163 antigen as the specific receptor for the Hb-Hp complex.7 CD163 is a member of the scavenger receptor cysteine-rich superfamily, restricted to the monocyte-macrophage lineage and is thought to have an important role in the down-regulation of inflammatory processes.21,22 On the other hand, although a specific receptor for the heme-Hx complex has not yet been identified, several in vitro studies have shown that, following exposure to heme-Hx complexes, important events involved in cell survival and response to stress take place, such as activation of the N-terminal c-jun kinase and nuclear translocation of NFkB.23 Therefore, characterization of these receptors and analysis of receptor-null mice will be useful in understanding the mechanisms of response to hemolytic stress.
We conclude that Hp and Hx protect the spleen from excessive enlargement and the liver from inflammation and fibrosis in those pathological conditions that are characterized by hemolysis. Moreover, either of the 2 proteins alone can control spleen and liver homeostasis. Interestingly, in humans, a variant of the Hp gene has been reported, and the Hp2 allele has been associated with an increased risk for inflammatory complications.24 25 Our data support these observations, indicating that plasma levels of Hp and Hx can influence the inflammatory status in patients suffering from hemolytic disorders.
We thank S. K. Moestrup, M. Cirillo, M. Mostert, and V. Poli for critical reading of the manuscript; C. Camaschella for helpful discussion; and A. Gariboldi and A. Grillo for performing hematologic analyses.
Prepublished online as Blood First Edition Paper, July 25, 2002; DOI 10.1182/blood-2002-04-1270.
Supported by Contributo Consiglio Nazionale delle Ricerche-Ministero dell'Istruzione, dell'Università e della Ricerca (CNR-MURST) Legge 95/95 (L.S.), and by P. F. Biotecnologie CNR and MURST ex-60% (F.A.).
The publication costs of this article were defrayed in part by page charge payment. Therefore, and solely to indicate this fact, this article is hereby marked “advertisement” in accordance with 18 U.S.C. section 1734.
References
Author notes
Emanuela Tolosano, Department of Genetics, Biology and Biochemistry, University of Turin, Via Santena 5bis, 10126, Turin, Italy; e-mail: emanuela.tolosano@unito.it.







This feature is available to Subscribers Only
Sign In or Create an Account Close Modal