Abstract
ONC201 is a novel agent with profound anti-tumor effects, reported to induce p53-independent apoptosis in diverse types of cancers while sparing normal cells (Allen JE et al., Sci Transl Med, 2013). We further investigated its activity and mechanism(s) of action (MOA) in hematological malignancies. We studied mantle cell lymphoma (MCL) cell lines Z-138 and JVM-2 with wild-type (WT) p53, MINO and Jeko-1 with mutant (mut) p53, and Z-138 and JVM-2 cells with knockdown of p53 by lentiviral shRNA, as well as acute myeloid leukemia (AML) cell lines OCI-AML and MOLM-13 with WT p53, and HL-60 with null p53. We also studied primary cells of MCL (n = 8, 2 with mut p53) and AML (n = 11, 2 with mut p53). In vitro treatment with ONC201, ranging from 2.5 to 10 μM, confirmed that ONC201 induces apoptosis independent of p53 status, and has consistent efficacy against primary AML stem/progenitor cells (CD45 dim+/ CD34+/ CD38-) (Figure 1A). In addition to cytotoxic effects, cell cycle analysis using PI/EdU demonstrated induction of p53-independent cell cycle arrest with S phase delay (diminished incorporation of EdU into S phase cells). The IC50 in most samples was < 5 μM, well within the therapeutic window of ONC201 according to previous pharmacokinetic studies with mice, rats and dogs. Consistent with this, ONC201 showed little toxicity in vitro in normal bone marrow and stem/progenitor cells, suggesting a very favorable therapeutic window (Figure 1B).
In contrast to previous reports of its MOA, ONC201 did not induce TRAIL in AML and MCL cell lines, although DR5 mRNA was induced 2-fold. As further evidence of a TRAIL-independent MOA of ONC201, its toxicity was not diminished by FOXO3a knockdown in OCI-AML3 and Z-138 cells, or by mutation of caspase 8 (i.e., the Jurkat clone I9.2 was as sensitive as Jurkat cells with WT caspase 8). Gene Set Enrichment Analysis (GSEA) of gene expression profiling (GEP) data of Jeko-1 and Z-138 cells treated with ONC201 implicated upregulated Endoplasmic Reticulum (ER) stress-related genes, such as targets of the ER stress-induced transcription factor CHOP (DDIT3; FDR q = 0.016), and ER component proteins (FDR q = 0.039). Direct investigation of ER stress-induced changes found that XBP-1 splicing begins 6 hr after ONC201 exposure (Figure 2A), followed by transcriptional induction of DDIT3 and its targets (GADD34, TRIB3 and DR5) at 12-24 hr (Figure 2B). In addition, GEP of Jeko-1 cells treated with the ER stress inducer tunicamycin showed high overlap with the changes (both up and down) caused by ONC201.
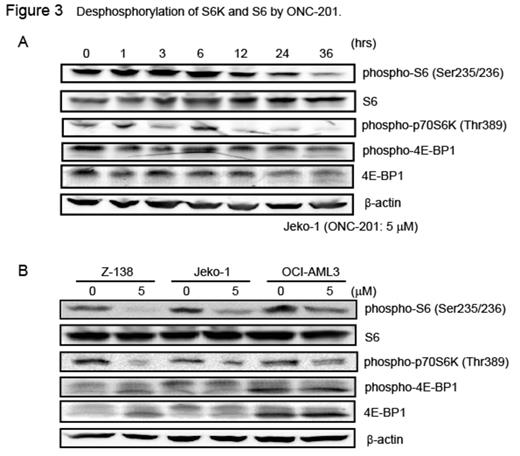
GSEA also implicated mTOR inhibition, such as modulation of the Molecular Signatures Database gene set "mTOR UP.N4.V1 UP" (FDR q = 0.000), and we found dephosphorylation of p70S6K and S6 12 hr after ONC201 exposure (Figure 3 ). Therefore, we hypothesized that post-translational inhibition of p70S6K/S6 could be another activity of ONC201. In support of this, the combination of tunicamycin and mTORC1 inhibitor rapamycin revealed synergistic effects in Jeko-1 cells. Although the correlation between ER stress and mTOR pathway inhibition has been reported previously, the mechanisms underlying this correlation are not known. However, we found that the oxidative stress gene DDIT4, known as a negative regulator of the TSC1/2 complex (thus inhibiting the mTORC1 pathway) and HIF-1-alpha, is upregulated much more in Jeko-1 cells by ONC201 than by tunicamycin, possibly explaining mTOR pathway inhibition by ONC201.
In conclusion, we confirmed that ONC201 induces p53-independent cell death, with little toxicity to normal cells. We identified a novel MOA in leukemias and lymphomas for ONC201 that involves induction of ER stress and inhibition of mTOR pathway signaling. ONC201 is the first clinical candidate known to both induce ER stress and inhibit mTOR signaling, and will soon enter Phase I trials in hematological malignancies. This finding could provide important biomarkers to predict and monitor the efficacy of ONC201.
Allen:Oncoceutics, Inc.: Employment. Andreeff:Oncoceutics, Inc.: Membership on an entity's Board of Directors or advisory committees.
Author notes
Asterisk with author names denotes non-ASH members.


