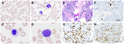
A 65-year-old woman undergoing evaluation for a fall had a 2-week history of confusion and weakness. She was found to have fever; subdural hematoma; hemoglobin, 2.8 g/dL; platelet count, 29 × 103/μL; international normalized ratio, 1.2; lactate dehydrogenase, 1600 U/L; creatinine, 1.9 mg/dL; hyperbilirubinemia; elevated fibrinogen; undetectable haptoglobin; and a negative Coombs test. Blood smear showed schistocytes with anisocytosis (panel A; original magnification ×1000; Romanowsky stain), rare dysplastic macropolycytes with abnormal chromatin clumping (panel B; original magnification ×1000; Romanowsky stain), occasional pseudo–Pelger-Huët cells (panel C; original magnification ×4000; Romanowsky stain), and 8% blasts (panel D; original magnification ×4000; Romanowsky stain). The pentad of microangiopathic hemolytic anemia (MAHA), thrombocytopenia, renal insufficiency, encephalopathy, and fever prompted initiation of plasma exchange and corticosteroids for presumptive thrombotic thrombocytopenic purpura (TTP). ADAMTS13 activity was normal. Bone marrow biopsy was hypercellular with left-shifted hematopoiesis and dysplastic erythropoiesis (panel E; original magnification ×200; hematoxylin and eosin stain), dysplastic micromegakaryocytes by CD61 staining (panel F; original magnification ×200), and increased myeloid blasts by CD34 staining (panel G; original magnification ×400) and CD117 staining (panel H; original magnification ×400). Bone marrow and peripheral blood findings were consistent with myelodysplastic syndrome (MDS) with excess blasts 2. Cytogenetics demonstrated a complex karyotype (deletions of 5q, 6q, 12p, and 17p and trisomy 8).
Thrombotic microangiopathies (TMAs), such as TTP and atypical hemolytic uremic syndrome, are conditions characterized by MAHA and thrombocytopenia. TMAs also occur in systemic disease, such as malignancies, when ADAMTS13 activity is typically normal or borderline low. MDS presenting as TMA, mimicking classical TTP, was a clinical challenge.
A 65-year-old woman undergoing evaluation for a fall had a 2-week history of confusion and weakness. She was found to have fever; subdural hematoma; hemoglobin, 2.8 g/dL; platelet count, 29 × 103/μL; international normalized ratio, 1.2; lactate dehydrogenase, 1600 U/L; creatinine, 1.9 mg/dL; hyperbilirubinemia; elevated fibrinogen; undetectable haptoglobin; and a negative Coombs test. Blood smear showed schistocytes with anisocytosis (panel A; original magnification ×1000; Romanowsky stain), rare dysplastic macropolycytes with abnormal chromatin clumping (panel B; original magnification ×1000; Romanowsky stain), occasional pseudo–Pelger-Huët cells (panel C; original magnification ×4000; Romanowsky stain), and 8% blasts (panel D; original magnification ×4000; Romanowsky stain). The pentad of microangiopathic hemolytic anemia (MAHA), thrombocytopenia, renal insufficiency, encephalopathy, and fever prompted initiation of plasma exchange and corticosteroids for presumptive thrombotic thrombocytopenic purpura (TTP). ADAMTS13 activity was normal. Bone marrow biopsy was hypercellular with left-shifted hematopoiesis and dysplastic erythropoiesis (panel E; original magnification ×200; hematoxylin and eosin stain), dysplastic micromegakaryocytes by CD61 staining (panel F; original magnification ×200), and increased myeloid blasts by CD34 staining (panel G; original magnification ×400) and CD117 staining (panel H; original magnification ×400). Bone marrow and peripheral blood findings were consistent with myelodysplastic syndrome (MDS) with excess blasts 2. Cytogenetics demonstrated a complex karyotype (deletions of 5q, 6q, 12p, and 17p and trisomy 8).
Thrombotic microangiopathies (TMAs), such as TTP and atypical hemolytic uremic syndrome, are conditions characterized by MAHA and thrombocytopenia. TMAs also occur in systemic disease, such as malignancies, when ADAMTS13 activity is typically normal or borderline low. MDS presenting as TMA, mimicking classical TTP, was a clinical challenge.
For additional images, visit the ASH Image Bank, a reference and teaching tool that is continually updated with new atlas and case study images. For more information, visit http://imagebank.hematology.org.

This feature is available to Subscribers Only
Sign In or Create an Account Close Modal