Abstract
The anemia of chronic disease (ACD) is characterized by macrophage iron retention induced by cytokines and the master regulator hepcidin. Hepcidin controls cellular iron efflux on binding to the iron export protein ferroportin. Many patients, however, present with both ACD and iron deficiency anemia (ACD/IDA), the latter resulting from chronic blood loss. We used a rat model of ACD resulting from chronic arthritis and mimicked ACD/IDA by additional phlebotomy to define differing iron-regulatory pathways. Iron retention during inflammation occurs in macrophages and the spleen, but not in the liver. In rats and humans with ACD, serum hepcidin concentrations are elevated, which is paralleled by reduced duodenal and macrophage expression of ferroportin. Individuals with ACD/IDA have significantly lower hepcidin levels than ACD subjects, and ACD/IDA persons, in contrast to ACD subjects, were able to absorb dietary iron from the gut and to mobilize iron from macrophages. Circulating hepcidin levels affect iron traffic in ACD and ACD/IDA and are more responsive to the erythropoietic demands for iron than to inflammation. Hepcidin determination may aid to differentiate between ACD and ACD/IDA and in selecting appropriate therapy for these patients.
Introduction
The anemia of chronic disease (ACD), also termed the “anemia of inflammation,” is the most prevalent anemia in hospitalized patients.1,2 ACD develops in subjects with diseases involving acute or chronic immune activation, such as patients with infections, malignancies, or autoimmune disorders. At least 3 major immunity-driven mechanisms contribute to the anemia of ACD.
First, the retention of iron within the mononuclear phagocytic system leads to hypoferremia and subnormal saturation of transferrin, resulting in a limited availability of iron for erythroid progenitor cells or “functional iron deficiency.”1,3,4 Second, cytokines, such as tumor necrosis factor-α, interferon-γ, and interleukin-1 (IL-1), exert a negative impact on the proliferation and differentiation of erythroid progenitor cells and can induce apoptosis.5 Third, patients with ACD display an impaired response to erythropoietin (EPO).6
The functional iron deficiency present in patients with ACD can be complicated by true iron deficiency resulting from chronic blood loss.7 Differentiation between ACD and ACD/iron deficiency anemia (IDA) is clinically important because iron supplementation is beneficial for ACD/IDA patients but may be deleterious for ACD patients, especially if these subjects have underlying infections or malignancies.1 In clinical practice, however, differentiating between ACD and ACD/IDA is difficult, as both diseases present with decreased serum iron concentration and transferrin saturation. In addition, ferritin levels are difficult to interpret during inflammation because ferritin expression is induced by both iron overload and inflammatory cytokines.8 A ratio of soluble transferrin receptor (sTfR)/log ferritin may be useful in distinguishing ACD from ACD/IDA, but the ratio has not been widely used in clinical practice.9 New markers, which accurately indicate the need for iron for erythropoiesis without requiring bone marrow aspiration, are clearly needed.
The liver-derived acute phase protein hepcidin is the master regulator of iron homeostasis. Hepcidin expression is induced by both iron overload and inflammatory stimuli.10,11 Hepcidin binds to ferroportin, the only known iron export protein, resulting in the internalization and degradation of this transporter, which then blocks iron export from enterocytes and macrophages to the circulation.12-14 Cytokine-inducible synthesis of hepcidin plays a critical role in macrophage iron retention, which underlies ACD.15,16 However, information on circulating concentrations of hepcidin in patients with ACD and ACD/IDA is sparse, and a correlation between hepcidin and iron availability in the setting of inflammation has not yet been reported. This has been because of the lack of a widely available method for measuring hepcidin in plasma. Mass spectroscopy has been reported in small series, and the first enzyme-linked immunosorbent assay (ELISA) method for determining hepcidin was recently published.17
In addition, few suitable animal models of ACD have been available, although several mouse models have been used to study hypoferremia.10 Most of the murine models display a mild anemia and hypoferremia after injection of inflammatory stimuli, but the hypoferremia normalizes within 24 to 72 hours.18
Here, we report a rat model in which arthritis was induced on intraperitoneal administration of peptidoglycan-polysaccharide-fragments (PG-APS). Arthritic rats develop a long-lasting anemia19 with the features of ACD. We used this animal model to study differences in the regulation of iron homeostasis between ACD, IDA, and ACD/IDA, the utility of serum hepcidin levels to discriminate between these different entities, and to study therapeutic iron repletion strategies. Data obtained in the rodent model were compared with data from patients with ACD, IDA, or a combination of both.
Methods
Patients
Blood samples were obtained by venipuncture from 67 patients with ACD, IDA, or age-matched controls. The study was approved by the local ethics committee at the Medical University of Innsbruck (approval no. UN3256 and approval no. UN3468). In addition, some patients with ACD and/or IDA underwent gastroduodenoscopy for clinical purposes at the Department of Internal Medicine, Oberndorf Hospital (Salzburg, Austria). Written informed consent was obtained in accordance with the Declaration of Helsinki from these patients to permit duodenal biopsies during routine gastroduodenoscopy for scientific purposes.
Patients were considered to have ACD when (1) they had a chronic infection or autoimmune disease, (2) they were anemic with a hemoglobin concentrations of less than 13 g/dL for men and less than 12 g/dL for women, and (3) they had low transferrin saturation (TfS < 16%), but normal or increased serum ferritin concentrations (> 100 ng/mL) or low serum ferritin concentrations (30-100 ng/mL) and a sTfR/log ferritin ratio less than 1.1,9
In contrast, patients were considered to have ACD with true iron deficiency (ACD/IDA) when (1) they had a chronic infection, autoimmune disease, or malignancy; (2) they were anemic with a hemoglobin of less than 13 g/dL for men and less than 12 g/dL for women; and (3) they had a TfS less than 16%, a serum ferritin concentrations less than 100 ng/mL, and a sTfR/log ferritin ratio more than 2.9
Among the 15 patients with ACD, 7 had bacterial pneumonia with 2 of them developing empyema, 3 suffered from recurrent urinary tract infection, 1 from rheumatoid arthritis, 2 from infectious colitis, 1 from systemic lupus erythematosus, and 1 from osteomyelitis. Among the 14 patients with ACD and true iron deficiency, 4 had bacterial pneumonia, 3 suffered from rheumatoid arthritis, 2 from systemic lupus erythematosus, 1 from systemic sclerosis, 1 from chronic pancreatitis, 1 from chronic cholecystitis, and 2 from recurrent urinary tract infections. Although some patients received antibiotics at enrollment, none of the patients with newly diagnosed autoimmune disorders had been treated with immunosuppressive drugs before study enrollment.
We also studied a group of age-matched controls (n = 26) with no signs of anemia, normal serum iron status, and no signs of inflammation (normal serum concentrations of C-reactive protein; < 1 mg/dL) and 12 patients with IDA with low hemoglobin (men < 13 g/dL and women 12 < g/dL), TfS (< 16%), and ferritin concentrations (< 30 ng/mL) but no signs of inflammation.
None of our patients received treatment with iron, blood transfusions, or recombinant human erythropoietin before study entry. Blood samples were drawn on a routine basis, and laboratory parameters, for example, hemoglobin, red blood cell count, and serum iron parameters were determined by routine automated laboratory tests.
Serum specimens were drawn during this routine examination and stored at −80°C until cytokine assays were performed. Determination of serum IL-6 concentrations was carried out using a commercially available ELISA kit obtained from R&D Systems (Quantikine HS ELISA Kit; Minneapolis, MN). Serum erythropoietin levels were determined with a commercially available ELISA kit (DRG Instruments, Marburg, Germany).
Animals
Female Lewis rats (Charles River Laboratories, Sulzfeld, Germany) were kept on a standard rodent diet (180 mg Fe/kg, C1000 from Altromin, Lage, Germany) until they reached an age of 8 to 10 weeks. The animals had free access to food and water and were kept according to institutional and governmental guidelines in the animal quarters of the Medical University of Innsbruck with a 12-hour light-dark cycle and an average temperature of 20°C plus or minus 1°C. Design of the animal experiments was approved by the Austrian Federal Ministry of Science and Research (BMWF-66.011/0146-11/10b/2008 and BMWF-66.011/0074-11/10b/2008).
Rats were inoculated on day 0 with an intraperitoneal injection of PG-APS (Lee Laboratories, Grayson, GA) suspended in 0.85% saline with a total dose of 15 μg rhamnose/g body weight. Carrier-immunized control rats received intraperitoneal injections of sterile 0.85% saline.
One group of rats was phlebotomized, starting 1 week before death; 1.8 mL blood was taken daily for 5 consecutive days. Sera were stored at −80°C for further analysis.
Three weeks after PG-APS administration, all rats were killed and tissue was harvested for RNA and protein extraction, immunohistology, and in vitro stimulation assays. Blood was collected by puncture of the tail veins, and complete blood counts were performed on a Beckman Coulter instrument (Fullerton, CA). Rat serum EPO levels were determined using an ELISA kit (R&D Systems) with a minimum detection limit of 22.5 pg/mL.
RNA preparation from tissue, reverse transcription, and TaqMan real-time PCR
Total RNA preparation from nitrogen-frozen human and rat tissue, reverse transcription of 4 μg RNA, and TaqMan real-time polymerase chain reaction (PCR) were performed as previously described.20
The following primers and TaqMan probes were used: (1) human: ferroportin: 5′-TGACCAGGGCGGGAGA-3′ (600 nM), 5′-GAGGTCAGGTAGTCGGCCAA-3′ (600 nM), FAM-CACAACCGCCAGAGAGGATGCTGTG-BHQ1 (200 nM); DMT-1ire: 5′-GTGGTCAGCGTGGCTTATCTG-3′ (600 nM), 5′-GGCCTTTAGAGATGCTTACCGTAT-3′ (600 nM), FAM-TGTTCTACTTGGGTTGGCAATGTTTGATTGC-BHQ1 (200 nM); (2) rat: ferroportin: 5′-TTGGTGACTGGGTGGATAAGAA-3′ (600 nM), 5′-CCGCAGAGAATGACTGATACATTC-3′ (600 nM), FAM-CAGACTTAAAGTGGCCCAGACGTCCCTG-BHQ1 (200 nM); DMT-1ire: 5′-GCCTGTCGTTCCTGGACTGT-3′ (600 nM), 5′-AGTATTGCCACCGCTGGTATCT-3′ (600 nM), FAM-CGGTAAGCATCTCTAAAGT-BHQ1 (200 nM); TfR-1: 5′-ATGAGGAACCAGACCGCTACA-3′ (600 nM), 5′-CCACACTGGACTTCGCAACA-3′ (900 nM), FAM-CCAAGCGTCTCTCTGGGCTCCTACTACA-BHQ1 (300 nM); hepcidin: 5′-TGAGCAGCGGTGCCTATCT-3′ (200 nM), 5′-CCATGCCAAGGCTGCAG-3′ (600 nM), FAM-CGGCAACAGACGAGACAGACTACGGC-BHQ1 (500 nM)); bGus: 5′-ATTACTCGAACAATCGGTTGCA-3′ (200 nM), 5′-GACCGGCATGTCCAAGGTT-3′ (600 nM), FAM-CGTAGCGGCTGCCGGTACCACT-BHQ1 (500 nM).
Western blotting
Protein extracts were prepared from nitrogen frozen tissue, and Western blotting was performed as previously described.21 Anti-TfR1 antibody (0.5 μg/mL; Zymed Laboratories, South San Francisco, CA), antiferritin antibody (2 μg/mL; Dako North America, Carpinteria, CA), anti–rat ferroportin antibody,21 anti–rat DMT-1 antibody,21 or antiactin (2 μg/mL; Sigma Chemie, Deisenhofen, Germany) was used as described.20
Immunohistochemistry
Formalin-fixed, paraffin-embedded tissue specimens were used. Immunohistochemistry was performed exactly as described previously.22
Quantitative measurement of duodenal iron uptake in vivo
For radioactive iron uptake assays, control rats, rats with ACD, and rats with ACD with true iron deficiency were gavaged with 20 nmol 59ferric citrate (specific activity > 3 mCi/mg 59Fe; PerkinElmer Life and Analytical Sciences, Waltham, MA) in 100 μL N-2-hydroxyethylpiperazine-N′-2-ethanesulfonic acid buffer using a gastric tube. All rats were fasted 24 hours before initiation of the oral iron uptake assay. At 30, 60, and 90 minutes after oral iron administration, blood was collected by tail vein puncture. After the last blood sampling, animals were killed. Radioactive iron content in serum was measured using a γ-counter. Although this method allows the performance of a time course experiment in a single animal, a limitation of this method may arise from the fact that the amount of iron being absorbed can be underestimated because the metal is readily shifted to the liver.
Quantification of macrophage iron transport
For macrophage iron uptake and release studies, resident peritoneal macrophages were harvested from control and anemic rats. A total of 0.5 × 106 peritoneal macrophages were seeded in 12-well dishes in 750 μL RPMI containing 5% fetal calf serum (endotoxin free), 2 mM l-glutamine, 100 U/mL penicillin, 0.1 mg/mL streptomycin, and 10 mM N-2-hydroxyethylpiperazine-N′-2-ethanesulfonic acid (Sigma Chemie). Macrophages were allowed to adhere for 20 minutes and then washed extensively to remove nonadherent cells. After a resting period of 2 to 4 hours, cells were washed 3 times with serum-free RPMI containing 25 mM N-2-hydroxyethylpiperazine-N′-2-ethanesulfonic acid and then incubated therein. Acquisition of transferrin bound iron (TBI) and nontransferrin bound iron (NTBI) as well as cellular iron efflux by isolated rat macrophages were determined exactly as described.23 After 4 hours of iron uptake, iron uptake was quantified. For release, at first, cells were loaded with iron for 4 hours. Iron release was quantified after additional 4 hours.
Serum hepcidin determination
Determination of hepcidin in human and rat serum was performed as previously detailed24 with slight modifications. In brief, serum samples were precipitated by mixing 50 μL acetonitrile with 25 μL serum. The samples were then centrifuged at 4000g for 10 minutes at 5°C. Thereafter, a 200-μL aliquot of internal standard solution was added to the supernatant. Alternatively, serum samples were processed by acid dissociation by mixing 50 μL serum with 200 μL 0.2% formic acid containing internal standard. The supernatant from the acetonitrile precipitation or the formic acid dissociation solutions were then extracted, reconstituted, and analyzed as previously described.24 A Finnigan TSQ Quantum Ultra (Thermo Electron, Waltham, MA) electrospray mass spectrometer was used for the detection of rat hepcidin and the internal standard. The most abundant charge state of each analyte was subjected to collisional induced dissociation using compressed zero-grade Argon (99.998%; Linde Gas, Wilmington, DE). The most abundant fragment ion from each protonated precursor ion was then selected for selected reaction monitoring.
Data analysis
Statistical analysis was carried out using Statistics Package for the Social Science software package, version 15.1 (SAS Institute, Chicago, IL). Calculations for statistical differences between the various groups were carried out by analysis of variance technique and Bonferroni correction for multiple tests.
Results
We first investigated the effects of a chronic inflammation, which was induced on PG-APS administration on hematologic parameters in rats. Injection of 15 μg/g PG-APS into rats resulted in the development of anemia within 2 weeks, and the anemia persisted for at least 3 months (not shown). This anemia displayed the classic features of ACD in humans, namely, mild to moderate normochromic and normocytic anemia with hypoferremia and inflammation. Some control rats underwent phlebotomy to induce IDA. Phlebotomy was also performed in some inflammatory rats to induce true iron deficiency, which then served as a model for ACD in association with chronic bleeding episodes (ACD/IDA). No significant difference in white blood cell count was found between ACD and ACD/IDA rats, although white blood cell counts were elevated compared with control rats (P < .001). Serum iron levels were significantly reduced in phlebotomized (P < .005), ACD (P < .001), and ACD/IDA (P < .001) rats compared with control rats. There was a trend toward lower serum iron levels in ACD/IDA rats compared with ACD rats (Table 1).
Selected baseline parameters of control, IDA, ACD and ACD/IDA rats
| . | Control . | IDA . | ACD . | ACD/IDA . |
|---|---|---|---|---|
| N | 6 | 7 | 7 | 6 |
| Hb, g/dL | 15.1 ± 0.23 | 12,7 ± 0.8* | 10.4 ± 2.2†‡ | 8.7 ± 1.6†‡ |
| WBC, ×103/μL | 6.0 ± 0.6 | 6.8 ± 0.7 | 30.0 ± 15.0* | 35.0 ± 16.0† |
| Fe, μmol/L | 266.9 ± 57.1 | 145.7 ± 70.5* | 68.4 ± 46.8† | 38.2 ± 24.4†‡ |
| EPO, pg/mL | 0.0 ± 0.0 | 81.7 ± 104.3† | 0.0 ± 0.0 | 321.6 ± 285.1*‡§ |
| . | Control . | IDA . | ACD . | ACD/IDA . |
|---|---|---|---|---|
| N | 6 | 7 | 7 | 6 |
| Hb, g/dL | 15.1 ± 0.23 | 12,7 ± 0.8* | 10.4 ± 2.2†‡ | 8.7 ± 1.6†‡ |
| WBC, ×103/μL | 6.0 ± 0.6 | 6.8 ± 0.7 | 30.0 ± 15.0* | 35.0 ± 16.0† |
| Fe, μmol/L | 266.9 ± 57.1 | 145.7 ± 70.5* | 68.4 ± 46.8† | 38.2 ± 24.4†‡ |
| EPO, pg/mL | 0.0 ± 0.0 | 81.7 ± 104.3† | 0.0 ± 0.0 | 321.6 ± 285.1*‡§ |
Calculations for statistical differences between the various groups were carried out by Anova analysis and Bonferroni correction for multiple tests. Data are shown as means ± SD in each group.
Hb indicates hemoglobin; WBC, white blood cell count; Fe, serum iron; and EPO, serum erythropoietin.
P < .05 when comparing control animals with IDA, ACD or ACD/IDA, respectively.
P < .001 when comparing control animals with IDA, ACD or ACD/IDA, respectively.
P < .05 when comparing IDA with ACD or ACD/IDA, respectively.
P < .05 when comparing ACD with ACD/IDA.
Because anemia results in increased formation of EPO, we studied differences in EPO expression between the different groups. Rats with IDA alone had significantly higher EPO levels than controls (P < .001) but significantly lower EPO levels than rats with ACD/IDA (P < .05; Table 1). EPO levels were almost undetectable in control and ACD rats, which may be the result of the limited sensitivity of the EPO rat ELISA already reported in the manufacturer's instructions.
Because no suitable animal model for prolonged chronic inflammatory anemia was available so far, we next studied alterations in body iron homeostasis occurring in ACD with/without true iron deficiency. Therefore, we analyzed the expression of critical iron metabolism genes in the duodenum, spleen, and liver because these are the central organs for iron regulation (liver), iron retention (spleen), and iron absorption (duodenum). In the liver, we found a significant increase of DMT-1 mRNA levels and protein expression in ACD and ACD/IDA rats compared with control and IDA animals (P = .001; Figures 1Aiii, 2A). Although hepatic TfR-1 mRNA expression was not different (Figure 1Ai) between the 4 groups, TfR-1 protein levels were increased in ACD and/or IDA animals compared with controls (Figure 2A). Ferroportin mRNA and protein levels showed no significant changes in the liver between the 4 groups (Figures 1Aii, 2A). Notably, we observed a reduced hepatic ferritin protein expression in ACD rats (Figure 2A).
Changes of iron metabolism gene expression in liver, spleen, and duodenum between the different anemia groups. Rats were inoculated on day 0 with an intraperitoneal injection of PG-APS to induce anemia of chronic disease (ACD) or left untreated (control). One group of PG-APS-treated and control rats was phlebotomized, starting 1 week before death, to create a combination of ACD and iron deficiency anemia (ACD/IDA) or IDA alone, respectively. Nitrogen snap-frozen tissue was subjected to RNA preparation, followed by reverse transcription and quantitative TaqMan PCR. In the liver (A), spleen (B), and duodenum (C), the TfR-1 (i), ferroportin (ii), and DMT-1 (iii) mRNA expression was determined by quantitative RT-PCR and normalized to the mRNA expression level of the housekeeping gene β-gluconidase (Gusb). Data are depicted as lower quartile, median, and upper quartile (boxes) and minimum/maximum ranges (whiskers). Calculations for statistical differences between the various groups were carried out by analysis of variance technique and Bonferroni correction for multiple tests.
Changes of iron metabolism gene expression in liver, spleen, and duodenum between the different anemia groups. Rats were inoculated on day 0 with an intraperitoneal injection of PG-APS to induce anemia of chronic disease (ACD) or left untreated (control). One group of PG-APS-treated and control rats was phlebotomized, starting 1 week before death, to create a combination of ACD and iron deficiency anemia (ACD/IDA) or IDA alone, respectively. Nitrogen snap-frozen tissue was subjected to RNA preparation, followed by reverse transcription and quantitative TaqMan PCR. In the liver (A), spleen (B), and duodenum (C), the TfR-1 (i), ferroportin (ii), and DMT-1 (iii) mRNA expression was determined by quantitative RT-PCR and normalized to the mRNA expression level of the housekeeping gene β-gluconidase (Gusb). Data are depicted as lower quartile, median, and upper quartile (boxes) and minimum/maximum ranges (whiskers). Calculations for statistical differences between the various groups were carried out by analysis of variance technique and Bonferroni correction for multiple tests.
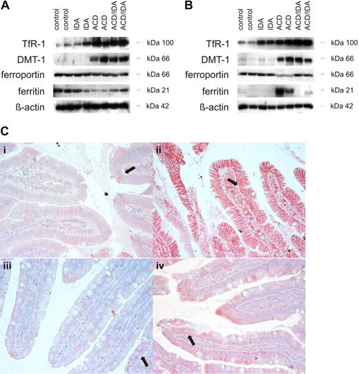
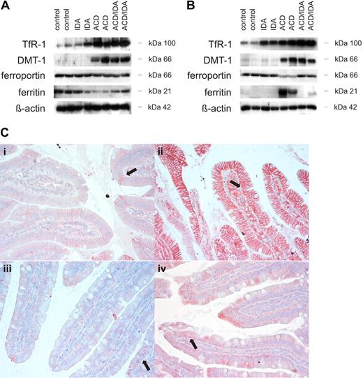
Protein expression of iron metabolism genes in liver, spleen, and duodenum of anemic rats. Rats were injected with PG-APS injection and/or phlebotomized as detailed in “Animals.” Protein extracts from liver (A) and spleen (B) were prepared from nitrogen snap-frozen tissue obtained from control, bleeded (IDA), ACD, and ACD/IDA rats and run on a 10% to 15% sodium dodecyl sulfate–polyacrylamide gel as detailed in “Western blotting.” One of 4 representative experiments is shown. Bright-field photographs of rat duodenum immunohistochemistry (C) were taken from control (i), phlebotomized (IDA; ii), ACD (iii), and ACD/IDA (iv) rats using affinity-purified antiferroportin antibody. ↑ indicates the basolateral ferroportin expression. The images were captured by a Olympus microscope BX51 (Olympus Plan FL20 × /0.75; Olympus, Hamburg, Germany) using a ProgResC12 plus camera (Jenoptik, Jena, Germany) and ProgResCapturePro2.5 software. One of 4 representative slides is shown.
Protein expression of iron metabolism genes in liver, spleen, and duodenum of anemic rats. Rats were injected with PG-APS injection and/or phlebotomized as detailed in “Animals.” Protein extracts from liver (A) and spleen (B) were prepared from nitrogen snap-frozen tissue obtained from control, bleeded (IDA), ACD, and ACD/IDA rats and run on a 10% to 15% sodium dodecyl sulfate–polyacrylamide gel as detailed in “Western blotting.” One of 4 representative experiments is shown. Bright-field photographs of rat duodenum immunohistochemistry (C) were taken from control (i), phlebotomized (IDA; ii), ACD (iii), and ACD/IDA (iv) rats using affinity-purified antiferroportin antibody. ↑ indicates the basolateral ferroportin expression. The images were captured by a Olympus microscope BX51 (Olympus Plan FL20 × /0.75; Olympus, Hamburg, Germany) using a ProgResC12 plus camera (Jenoptik, Jena, Germany) and ProgResCapturePro2.5 software. One of 4 representative slides is shown.
Spleen TfR mRNA expression was significantly elevated in the ACD/IDA group compared with the control and IDA group, respectively (P < .05). TfR-1 protein expression in the spleen paralleled the changes observed in the liver (Figures 1Bi, 2B). In contrast, ferroportin mRNA and protein expression was reduced in association with ACD compared with controls (P < .001; Figure 1Bii). Although ferroportin mRNA levels were not significantly different, ACD/IDA rats had higher ferroportin protein expression than rats with ACD alone (Figure 2B). Accordingly, we found increased ferritin protein levels in the spleen of ACD rats, whereas they were low in ACD/IDA rats (Figure 2B).
In the duodenum, we observed increased TfR-1 mRNA levels in phlebotomized animals (Figure 1Ci). We also found higher DMT-1 mRNA levels in IDA and ACD/IDA rats compared with control rats (P < .05; Figure 1Ciii). Accordingly, ferroportin mRNA expression was significantly higher in IDA (P < .005) and ACD/IDA (P < .05) animals than in controls or ACD rats (Figure 1Cii). These alterations were paralleled by corresponding changes in ferroportin protein expression as determined by immunohistochemistry (Figure 2C).
Because we observed striking differences in the duodenal and splenal expression of ferroportin between ACD and ACD/IDA animals and because ferroportin is regulated posttranslationally by the master regulator of iron homeostasis, hepcidin, we next studied hepatic hepcidin mRNA expression and serum hepcidin levels in the 4 different groups of animals (Figure 3). We found liver hepcidin mRNA expression (P < .001) and serum hepcidin levels (P < .001) to be significantly higher in ACD rats than in control animals, whereas IDA rats without inflammation presented with decreased hepatic hepcidin mRNA expression (P < .001) and serum concentrations (P < .05) compared with controls. Although liver hepcidin mRNA and serum hepcidin levels were not statistical different between ACD/IDA and IDA rats, they were significantly lower than those observed in ACD rats (P < .001; Figure 3).
Effect of PG-APS administration and phlebotomy on serum hepcidin levels and liver hepcidin mRNA expression. Serum hepcidin (A) was determined in control, IDA, ACD, and ACD/IDA rats by liquid chromatographic separation and tandem mass spectrometry detection. For determination of liver hepcidin mRNA (B), nitrogen snap-frozen tissue was subjected to RNA preparation, followed by reverse transcription and quantitative TaqMan PCR and normalized to the mRNA expression levels of the housekeeping gene β-glucuronidase (Gusb). Figure 1 contains details on graphs and statistics.
Effect of PG-APS administration and phlebotomy on serum hepcidin levels and liver hepcidin mRNA expression. Serum hepcidin (A) was determined in control, IDA, ACD, and ACD/IDA rats by liquid chromatographic separation and tandem mass spectrometry detection. For determination of liver hepcidin mRNA (B), nitrogen snap-frozen tissue was subjected to RNA preparation, followed by reverse transcription and quantitative TaqMan PCR and normalized to the mRNA expression levels of the housekeeping gene β-glucuronidase (Gusb). Figure 1 contains details on graphs and statistics.
Based on these results, we then determined whether the different expression of hepcidin and iron transporters between the 4 animal groups would impact on intestinal iron absorption and/or iron recirculation form macrophages. When studying iron transport in primary peritoneal macrophages from ACD rats, we observed an increased uptake of TBI (P = .001; Figure 4A) and NTBI (P < .001; Figure 4B) compared with controls. Cellular iron incorporation was further enhanced in macrophages from ACD/IDA rats (P < .001; Figure 4A,B), whereas no difference was observed between control and IDA animals (Figure 4A,B). In contrast, iron release from macrophages of ACD rats was significantly decreased compared with controls (P = .001), whereas macrophage iron release from ACD/IDA macrophages was significantly higher than in ACD macrophages (P < .001; Figure 4C).
Changes of macrophage iron uptake and release in different anemia groups. Peritoneal macrophages were harvested from control, phlebotomized (IDA), ACD, and ACD/IDA rats, respectively. TBI (A), NTBI (B), and macrophage iron release (C) were then studied as detailed in “Quantification of macrophage iron transport.” Values were normalized to total protein content. Figure 1 contains details on graphs and statistics.
Changes of macrophage iron uptake and release in different anemia groups. Peritoneal macrophages were harvested from control, phlebotomized (IDA), ACD, and ACD/IDA rats, respectively. TBI (A), NTBI (B), and macrophage iron release (C) were then studied as detailed in “Quantification of macrophage iron transport.” Values were normalized to total protein content. Figure 1 contains details on graphs and statistics.
When investigating duodenal absorption of radioactive iron, we found that ACD rats took up significantly less orally administrated iron than controls at 30, 60, and 90 minutes after exposure (P < .05; Figure 5A). In contrast, rats with ACD/IDA absorbed duodenal iron significantly better than ACD rats (P < .05; Figure 5B). These combined observations perfectly fit to the described alterations of ferroportin expression in the spleen and duodenum (Figure 2B,C).
Alterations of duodenal iron uptake between ACD and ACD/IDA rats in vivo. For radioactive iron uptake assays, control rats (open boxes), rats with ACD (light gray boxes), and rats with ACD with true iron deficiency (ACD/IDA; dark gray boxes) were orally fed with 59ferric citrate using a gastric tube. At 30, 60, and 90 minutes after oral iron administration, blood was collected by tail vein puncture. Radioactive iron content in serum was measured using a γ-counter. Figure 1 contains details on graphs and statistics.
Alterations of duodenal iron uptake between ACD and ACD/IDA rats in vivo. For radioactive iron uptake assays, control rats (open boxes), rats with ACD (light gray boxes), and rats with ACD with true iron deficiency (ACD/IDA; dark gray boxes) were orally fed with 59ferric citrate using a gastric tube. At 30, 60, and 90 minutes after oral iron administration, blood was collected by tail vein puncture. Radioactive iron content in serum was measured using a γ-counter. Figure 1 contains details on graphs and statistics.
To determine whether the results obtained in rats also apply to humans, we studied serum samples and duodenal biopsies from subjects with IDA, ACD, or ACD/IDA. As shown in Figure 6A, all anemic patients had lower hemoglobin levels than control subjects. In addition, ACD/IDA patients had lower mean corpuscular hemoglobin (P < .001; Figure 6B) and lower mean corpuscular volume (P < .05; Table S1, available on the Blood website; see the Supplemental Materials link at the top of the online article) than the ACD group. As the log ferritin/sTfR ratio was used to categorize patients as having either ACD or ACD/IDA, this ratio is not shown. As expected, serum ferritin levels were significantly elevated in ACD patients compared with controls (Figure 6C; P < .001) and significantly lower in ACD/IDA patients than in ACD patients (P < .001). Serum EPO levels were significantly elevated in IDA (P < .001) and ACD/IDA (P < .001) patients but not in ACD patients compared with controls (Figure 6D). As expected, IL-6 and C-reactive protein levels were significantly higher in ACD (P < .001) and ACD/IDA (P = .001) patients than in controls, whereas no difference was found between ACD and ACD/IDA patients (Figure 6E; Table S1).
Selected baseline parameters of control, IDA, ACD, and ACD/IDA patients. Laboratory parameters, including hemoglobin, mean corpuscular hemoglobin, serum ferritin, serum erythropoietin, serum IL-6, and serum hepcidin, are shown. Figure 1 contains details on graphs and statistics.
Selected baseline parameters of control, IDA, ACD, and ACD/IDA patients. Laboratory parameters, including hemoglobin, mean corpuscular hemoglobin, serum ferritin, serum erythropoietin, serum IL-6, and serum hepcidin, are shown. Figure 1 contains details on graphs and statistics.
We found low hepcidin levels in IDA patients (P < .005) but increased hepcidin concentrations in ACD subjects (P < .001) compared with controls. Importantly, ACD subjects had significantly higher serum hepcidin levels than ACD/IDA patients (P < .001), and the latter group was not different from IDA patients (Figure 6F).
When investigating duodenal biopsies from patients, we observed significantly higher ferroportin mRNA expression in IDA (P < .005) and ACD/IDA (P < .05) patients than in control and ACD patients, respectively (Figure 7A). This was paralleled by corresponding changes in ferroportin protein expression (Figure 7C). Duodenal ferroportin expression was inversely related to serum hepcidin and ferritin levels, but not to IL-6 serum concentrations (Figures 6E,F, 7C). Thus, the human data very closely resembled the observations made in rats.
Expression profiles of iron transporter in human duodenal biopsies from control, IDA, ACD, and ACD/IDA patients. Duodenal biopsies were snap-frozen in liquid nitrogen and RNA was prepared, followed by reverse transcription and quantitative TaqMan PCR for ferroportin (A) and DMT-1 (B) mRNA expression. Values were normalized to the mRNA expression levels of the housekeeping gene β-actin. (C) Duodenal biopsies of control (i), IDA (ii), ACD (iii), and ACD/IDA (iv) patients were subjected to immunohistochemistry using an affinity-purified antiferroportin antibody. A representative slide for each parameter measured is shown. ↑ indicates the basolateral ferroportin expression. The images were captured by an Olympus BX51 microscope (Plan FL40× /0.75; Olympus) using a ProgResC12 plus camera (Jenoptik) and ProgResCapturePro2.5 software. In addition, the corresponding hemoglobin, serum IL-6, serum ferritin concentrations, and serum hepcidin levels are shown. n.d. indicates not detectable. Figure 1 contains details on graphs and statistics.
Expression profiles of iron transporter in human duodenal biopsies from control, IDA, ACD, and ACD/IDA patients. Duodenal biopsies were snap-frozen in liquid nitrogen and RNA was prepared, followed by reverse transcription and quantitative TaqMan PCR for ferroportin (A) and DMT-1 (B) mRNA expression. Values were normalized to the mRNA expression levels of the housekeeping gene β-actin. (C) Duodenal biopsies of control (i), IDA (ii), ACD (iii), and ACD/IDA (iv) patients were subjected to immunohistochemistry using an affinity-purified antiferroportin antibody. A representative slide for each parameter measured is shown. ↑ indicates the basolateral ferroportin expression. The images were captured by an Olympus BX51 microscope (Plan FL40× /0.75; Olympus) using a ProgResC12 plus camera (Jenoptik) and ProgResCapturePro2.5 software. In addition, the corresponding hemoglobin, serum IL-6, serum ferritin concentrations, and serum hepcidin levels are shown. n.d. indicates not detectable. Figure 1 contains details on graphs and statistics.
Discussion
ACD is frequently found in patients with diseases with associated chronic immune activation.1,2 ACD is associated with reduced erythrocyte life span, impaired erythroid progenitor proliferation, and impaired biologic activity of erythropoietin.3,5,6,25 In addition, cytokine and hepcidin-driven iron retention by macrophages leads to functional iron deficiency, which contributes to anemia.3,26 A significant proportion of patients with ACD have concurrent blood loss, leading to true iron deficiency (ACD/IDA). Until now, little has been known concerning potential differences in the control of iron homeostasis between persons with ACD versus those with ACD/IDA. It is important to distinguish between ACD and ACD/IDA to appropriately guide therapeutic regimens, especially in respect to iron repletion strategies.7,27
We used a rat model of inflammation-associated chronic anemia to investigate the regulation of body iron homeostasis in ACD. We observed increased expression of the iron storage protein ferritin in the spleen but not in the liver, a finding in accordance with previous data demonstrating divergent ferroportin regulation by hepcidin in duodenum and liver.28 Tissue-specific differences in ferritin levels were paralleled by decreased expression of ferroportin in the spleen but not in the liver, a finding most likely being resulting from cytokine-mediated29 and hepcidin-driven12 down-regulation of ferroportin expression. Uptake of TBI and NTBI by macrophages is significantly increased in inflammation, probably resulting from enhanced expression of DMT-1 by the proinflammatory cytokine interferon-γ29,30 and induction of TfR-mediated iron uptake by anti-inflammatory cytokines (eg, IL-4, IL-10, and IL-13). As a result, splenic and tissue macrophages, but not the liver, are the major sites for iron storage in chronic inflammation.31,32 Moreover, the impaired release of iron from macrophages of ACD rats may be referred to cytokine-induced inhibition of ferroportin mRNA expression29,33 and the interaction of hepcidin with ferroportin on macrophages.12,16,25,34
Studies on the regulation of iron absorption in ACD and ACD/IDA produced inconsistent and contrasting results so far. Reduced duodenal iron uptake was observed in rheumatoid arthritis patients with ACD,35 which was paralleled by iron accumulation in the bone marrow. However, these findings were not confirmed by a similar study.36 Contrasting observations may relate to differences in the definition of “true” vs “functional” iron deficiency and various iron preparation and dosing regimen used in iron uptake studies. Chaston et al37 reported that synthetic hepcidin did not reduce ferroportin expression in mouse duodenum or in CaCo2 cells, at least acutely, but hepcidin strongly reduced ferroportin expression in macrophages. Moreover, a recent study suggested that hepcidin may affect only apical but not basolateral transport in intestinal cells.38 However, hepcidin formation has been shown to inversely correlate with the expression of duodenal ferroportin and to affect iron absorption,39,40 which is in accordance with the data provided herein, both in humans and in rats. Our results further agree with recently published data indicating changes of liver hepcidin mRNA expression by phlebotomy in a mouse model of critical illness associated anemia.41
This leads to the question on the signals controlling hepcidin expression and body iron homeostasis in ACD versus ACD/IDA. While this paper was under revision, a study on anemia in pediatric refugees was published that found an association of decreased urinary hepcidin levels with hemoglobin, ferritin, and serum iron but not to IL-6 concentrations.42
This is in accordance with our observed lack of differences in circulating IL-6 levels between ACD (high serum hepcidin) and ACD/IDA subjects (low serum hepcidin), suggesting that the erythroid demand for iron is a more powerful regulator of hepcidin expression than inflammation-induced hepcidin formation. However, as a limitation of this study, we were not able to distinguish between the effects of a putative erythropoietic stimulation and the effects of iron deficiency on hepcidin expression when analyzing the combined effects of bleeding and inflammation, although EPO levels were significantly higher in ACD/IDA compared with ACD subjects. EPO levels were also elevated in mice with IDA,43 whereas EPO concentrations did not correlate with hemoglobin concentrations during inflammation.25 In this latter setting, serum EPO levels may be thus a combined reflection of inflammation, iron deficiency, and erythropoiesis-driven regulatory effects. The rat model described here would be a valuable tool to characterize the regulatory effects of EPO and recently identified erythropoeisis driven regulators of iron homeostasis, such as GAS6, GDF-15, or TMPRSS6, in ACD and ACD/IDA.44-47 TMPRSS6 (matriptase 2) is an iron-sensitive antagonist of hepcidin, which directly blocks hepcidin activation by cleaving membrane-bound hemojuvelin.47
Because circulating hepcidin levels were clearly different between ACD and ACD/IDA subjects, one might suggest that the determination of hepcidin in serum might be a valuable diagnostic tool to distinguish between ACD and ACD/IDA. As ferritin in the setting of inflammation does not accurately reflect iron stores, this has led others to use the ratio of sTfR/log ferritin, but this measurement has not gained acceptance and has several limitations.7,9 Bone marrow aspiration stained with Prussian blue is considered the most reliable method of determining bone marrow iron stores, but this represents an invasive method. In contrast, serum hepcidin levels are an easy to obtain parameter and reflect the needs of iron for erythropoiesis in the setting of inflammation. Differentiating between ACD and ACD/IDA is clinically important because iron supplementation to patients with ACD on the basis of infections and malignancies may have detrimental effects resulting from the growth-promoting effect of iron on tumor cells and microorganisms and the negative effect of iron on innate immune functions.1,31,48,49
In contrast, patients with ACD/IDA require iron for basic metabolic function and erythropoiesis. However, the longstanding effects of iron supplementation on the course of diseases underlying ACD have not been established in prospective clinical trials. Our results suggest that patients with ACD/IDA would respond to treatment with oral iron supplementation, as hepcidin levels are low and duodenal ferroportin expression and duodenal iron absorption are increased. Moreover, hepcidin determination may be useful to monitor the therapeutic success of iron supplementation therapies, even before an increase of hemoglobin levels can be observed. Hepcidin levels could thus aid in estimating the needs of iron for erythropoiesis in subjects with other forms of anemia, for example, in dialysis patients.50
The online version of this article contains a data supplement.
The publication costs of this article were defrayed in part by page charge payment. Therefore, and solely to indicate this fact, this article is hereby marked “advertisement” in accordance with 18 USC section 1734.
Acknowledgments
This study was supported by the Austrian Fonds zur Förderung der Wissenschaftlichen Forschung (grant P-19964; G.W.), the European Union project Euroiron-1 (G.W.), the Austrian National Bank Research Fund (P-125558; I.T.), the Medical University of Innsbruck Young Investigator Fund (2007-416; I.T.), and the Medizinischer Forschungsfonds Tirol (no. 188; I.T., M.T.).
Authorship
Contribution: I.T. and G.W. designed the research, controlled and analyzed the data, and wrote the paper; I.T., E.A., M.T., M.N., M.S., A.S., T.S., L.E., D.R.W., A.T.M., V.J.W., E.W., C.D., and G.W. performed the research and examined the patients; and all authors checked the final version.
Conflict-of-interest disclosure: The authors declare no competing financial interests.
Correspondence: Guenter Weiss, Medical University, Department of Internal Medicine I, Clinical Immunology and Infectious Diseases, Anichstr 35, A-6020 Innsbruck, Austria; e-mail: guenter.weiss@i-med.ac.at.







This feature is available to Subscribers Only
Sign In or Create an Account Close Modal