To the editor:
The Bruton tyrosine kinase (BTK) inhibitor ibrutinib blocks B-cell receptor signaling via covalent binding of the BTK C481 residue.1 Although ibrutinib induces durable remissions in relapsed/refractory chronic lymphocytic leukemia (CLL), a fraction of patients treated with this targeted therapy still develop progressive disease after an initial response.2 Genomic studies have disclosed mutations affecting the C481 codon of BTK in a sizeable fraction of ibrutinib-resistant CLL. These mutations interfere with the function of ibrutinib by blocking its covalent binding to BTK and have been observed in patients harboring prior poor-risk genetic lesions (ie, 17p deletion).3,4
In ibrutinib-treated CLL, resistant BTK mutations were not detectable at the baseline before drug exposure.3,4 However, the identification of small numbers of BTK mutant CLL cells in the presence of large numbers of nonmutant CLL cells might be limited by the sensitivity of the methods used for the analysis, namely, Sanger sequencing (sensitivity of 10–1) and low-depth next-generation sequencing (sensitivity of 10–2).3,4 Here we assessed the occurrence of small subclones harboring the C481S codon mutations (ie, c.T1441A; c.G1442C) of BTK in ibrutinib-naïve CLL patients using highly sensitive molecular methods.5 Mutation analysis was performed by allele-specific polymerase chain reaction (AS-PCR) tailored at a sensitivity of 10–3 (ie, detection of 1 mutant allele per 1000 wild-type alleles), which is ∼1 to 2 log10 higher than the sensitivity of previously used assays3,4 (further details are available in the supplemental Appendix; see the Blood Web site). The study cohort comprised 553 newly presented CLL (151 with TP53 abnormalities), 30 progressive and fludarabine refractory CLL (12 with TP53 abnormalities), and 30 Richter syndrome (15 with TP53 abnormalities) patients. In all cases, the fraction of tumor cells corresponded to 70% to 98% as assessed by flow cytometry or immunohistochemistry. All patients were ibrutinib naïve at the time of assessment. Patients provided informed consent in accordance with the Declaration of Helsinki. The study was approved by the Ethical Committee (Protocol Code 59/CE; Study Number CE 8/11).
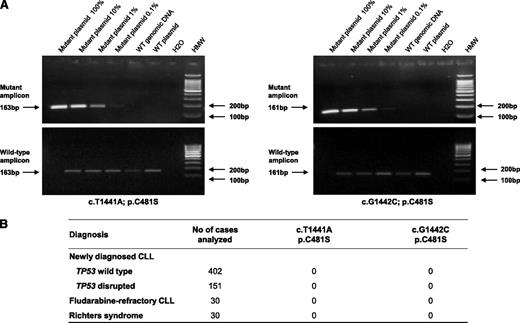
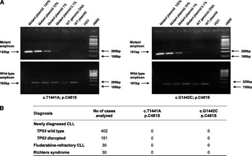
By AS-PCR, neither newly presented CLL nor progressive fludarabine refractory CLL or Richter syndrome harbored BTK C481S–mutated clones above the sensitivity threshold of the assay (ie, >1/1000 tumor cells) (Figure 1). In order to validate this observation with an independent platform, 24 ibrutinib-naïve CLL patients harboring TP53 disruption, who seem to be at higher risk of developing BTK variants,3 were also investigated by ultradeep next-generation sequencing of the BTK mutation hot spot using the 454 chemistry.5 The BTK region of interest was covered by sequence-specific primer pairs, each flanked by tagged sequences to bar code the samples. In each experiment, 12 amplicons were amplified from genomic DNA by using a high-fidelity Taq polymerase (FastStart High fidelity PCR System; Roche Diagnostics) and subjected to ultradeep next-generation sequencing on a Genome Sequencer Junior (454 Life Sciences). The target coverage was ∼10 000× per amplicon to obtain a sensitivity of 10−3 (ie, detection of 1 mutant allele per 1000 wild-type alleles; further details are available in the supplemental Appendix). This approach confirmed that none of the 24 TP53-disrupted CLLs harbored BTK C481S–mutated clones.
AS-PCR assay for the detection of ibrutinib-resistant BTK mutations. (A) Conventional agarose-gel electrophoresis of the AS-PCR products documenting the sensitivity (10−3) and specificity of the AS-PCR assay. After AS-PCR for the mutant allele, a mutation-specific band is amplified from the mutated plasmid DNA (positive control) and its serial dilutions into wild-type plasmid DNA down to 0.1%. No bands are amplified from the wild-type plasmid DNA and the wild-type genomic DNA from a healthy donor (negative controls), thus confirming the specificity of the assay. (B) Results of the AS-PCR screening of the BTK c.T1441A; p.C481S and c.G1442C; p.C481S mutations in ibrutinib-naïve CLL patients representative of different phases of the disease.
AS-PCR assay for the detection of ibrutinib-resistant BTK mutations. (A) Conventional agarose-gel electrophoresis of the AS-PCR products documenting the sensitivity (10−3) and specificity of the AS-PCR assay. After AS-PCR for the mutant allele, a mutation-specific band is amplified from the mutated plasmid DNA (positive control) and its serial dilutions into wild-type plasmid DNA down to 0.1%. No bands are amplified from the wild-type plasmid DNA and the wild-type genomic DNA from a healthy donor (negative controls), thus confirming the specificity of the assay. (B) Results of the AS-PCR screening of the BTK c.T1441A; p.C481S and c.G1442C; p.C481S mutations in ibrutinib-naïve CLL patients representative of different phases of the disease.
Overall, these data indicate that, among CLLs that have not been exposed to ibrutinib, the BTK C481S variant conferring resistance to this drug is absent or limited to a subtle fraction of the clone that cannot be resolved with the current approaches. In this respect, CLL differs from chronic myeloid leukemia (CML) and Ph+ acute lymphoblastic leukemia (ALL), which represent other models of mutation-driven resistance to tyrosine kinase inhibitors (TKIs). In CML and Ph+ ALL, resistant mutations of ABL can be identified even in the early phase of the disease in a small fraction of the tumor clone before exposure to the selective pressure of TKI.6-8 TKI-resistant mutations of ABL target different amino acids involved in TKI binding or in regulatory regions of the ABL kinase domain, resulting in decreased sensitivity to TKI while retaining aberrant kinase activity.9 At variance with ABL mutations of CML and Ph+ ALL, ibrutinib-resistant BTK mutations in CLL (1) are selected to affect 1 single codon to which ibrutinib covalently binds and (2) do not occur in the absence of selective pressures imposed by ibrutinib.
From a diagnostic standpoint, our AS-PCR may serve as a new tool for the monitoring and the early identification of treatment-emergent CLL clones harboring the ibrutinib-resistant BTK mutation, which is one of the genetic causes of ibrutinib resistance in CLL.
The online version of this article contains a data supplement.
Authorship
Acknowledgments: This work was supported by Special Program Molecular Clinical Oncology 5 x 1000 no. 10007, My First AIRC grant no. 13470, Associazione Italiana per la Ricerca sul Cancro Foundation Milan, Italy; Fondazione Cariplo, grant no. 2012-0689; Progetto Giovani Ricercatori, grant nos. GR-2010-2317594, GR-2011-02347441, GR-2009-1475467, and GR-2008-1138053, Ministero della Salute, Rome, Italy; Compagnia di San Paolo, grant no. PMN_call_2012_0071, Turin, Italy; and Futuro in Ricerca 2012 grant no. RBFR12D1CB, Ministero dell'Istruzione, dell'Università e della Ricerca, Rome, Italy.
Contribution: D.R., V.G., and G.G. designed the study, interpreted data, and wrote the manuscript; and R.F., R.B., S.R., M.D.B., C.C., S.M., T.D., F.R., and A.Z. performed and interpreted molecular studies.
Conflict-of-interest disclosure: The authors declare no competing financial interests.
Correspondence: Davide Rossi, Division of Hematology, Department of Translational Medicine, Amedeo Avogadro University of Eastern Piedmont, Via Solaroli 17, 28100 Novara, Italy; e-mail rossidav@med.unipmn.it.

