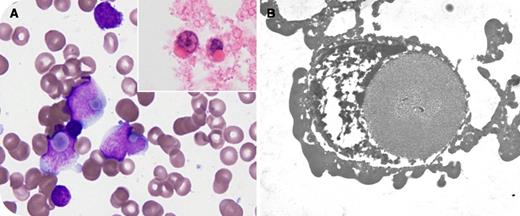
A 16-year-old girl presented with migratory bone pain. Her complete blood count revealed leukocytosis (24 190/μL) with circulating blasts. Bone marrow aspiration revealed 85% blasts, and immunophenotyping confirmed B-lymphoblastic leukemia (common acute lymphoblastic leukemia). Blast morphology was unusual, with a single large intracytoplasmic ground-glass inclusion displacing the nuclei (panel A). Immunohistochemical stains showed the inclusions were negative for IgM, κ, or λ light chains; serum immunoglobulins were normal. Cytogenetic analysis showed t(9;22)(q34;q11.2), and polymerase chain reaction testing confirmed the p190 BCR-ABL1 breakpoint. Electron microscopy showed nonspecific granular and somewhat fibrillar material in the inclusions, similar to Russell bodies (panel B). Despite the addition of dasatinib, her response to induction chemotherapy was poor, with 8% residual blasts. She did attain remission with subsequent chemotherapy plus a tyrosine kinase inhibitor, but had persistent minimal residual disease. She subsequently underwent allogeneic stem cell transplantation using 4/6 HLA-matched unrelated cord blood. She had multiple complications including severe graft-versus-host disease (GVHD) and ultimately died in remission 13 months after transplantation due to complications from chronic GVHD.
Russell bodies are well described in multiple myeloma and some lymphomas but rarely have been described in B-lymphoblastic leukemia. It is unclear whether this unusual blast morphology contributed to the patient's poor initial response and ultimate outcome.
A 16-year-old girl presented with migratory bone pain. Her complete blood count revealed leukocytosis (24 190/μL) with circulating blasts. Bone marrow aspiration revealed 85% blasts, and immunophenotyping confirmed B-lymphoblastic leukemia (common acute lymphoblastic leukemia). Blast morphology was unusual, with a single large intracytoplasmic ground-glass inclusion displacing the nuclei (panel A). Immunohistochemical stains showed the inclusions were negative for IgM, κ, or λ light chains; serum immunoglobulins were normal. Cytogenetic analysis showed t(9;22)(q34;q11.2), and polymerase chain reaction testing confirmed the p190 BCR-ABL1 breakpoint. Electron microscopy showed nonspecific granular and somewhat fibrillar material in the inclusions, similar to Russell bodies (panel B). Despite the addition of dasatinib, her response to induction chemotherapy was poor, with 8% residual blasts. She did attain remission with subsequent chemotherapy plus a tyrosine kinase inhibitor, but had persistent minimal residual disease. She subsequently underwent allogeneic stem cell transplantation using 4/6 HLA-matched unrelated cord blood. She had multiple complications including severe graft-versus-host disease (GVHD) and ultimately died in remission 13 months after transplantation due to complications from chronic GVHD.
Russell bodies are well described in multiple myeloma and some lymphomas but rarely have been described in B-lymphoblastic leukemia. It is unclear whether this unusual blast morphology contributed to the patient's poor initial response and ultimate outcome.
For additional images, visit the ASH IMAGE BANK, a reference and teaching tool that is continually updated with new atlas and case study images. For more information visit http://imagebank.hematology.org.
