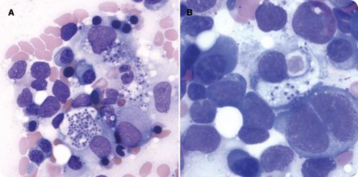
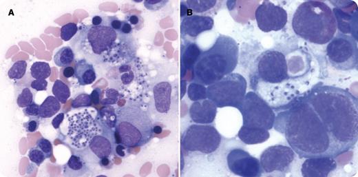
A 25-year-old Guatemalan man presented to the hospital with abdominal distension and fever. A computed tomography scan showed marked hepatosplenomegaly and bulky abdominal adenopathy. A complete blood count showed pancytopenia: white blood count, 7.7 × 109/L; hemoglobin, 7.0 g/dL; platelets, 48 × 109/L. White blood cell inclusions were present. Further work-up revealed AIDS with a CD4 count of 4 cells/μL. Evaluation of his anemia revealed a ferritin level of 85 000 ng/mL, which was a level that prompted consideration of hemophagocytic lymphohistiocytosis (HLH) as a unifying diagnosis. He fulfilled 5 of 8 diagnostic criteria: fever ≥38.5°C, splenomegaly, ≥2 cytopenias, ferritin level >500 ng/mL, and evidence of hemophagocytosis in the bone marrow. Prominent clusters of Histoplasma capsulatum were seen disseminated throughout the marrow aspirate (panel A). Serologic testing for Histoplasma antigen was positve. Hemophagocytosis was seen (panel B), in which a histiocyte is engulfing a red blood cell and several Histoplasma organisms.
HLH is a syndrome of pathologic immune activation characterized as primary or secondary in etiology. This patient had HLH secondary to disseminated histoplasmosis in the setting of severe immune deficiency. He received dexamethasone for treatment of HLH, as well as highly active antiretroviral therapy and antifungal treatment to treat the underlying infectious etiology. He recovered without incident and is doing well.
A 25-year-old Guatemalan man presented to the hospital with abdominal distension and fever. A computed tomography scan showed marked hepatosplenomegaly and bulky abdominal adenopathy. A complete blood count showed pancytopenia: white blood count, 7.7 × 109/L; hemoglobin, 7.0 g/dL; platelets, 48 × 109/L. White blood cell inclusions were present. Further work-up revealed AIDS with a CD4 count of 4 cells/μL. Evaluation of his anemia revealed a ferritin level of 85 000 ng/mL, which was a level that prompted consideration of hemophagocytic lymphohistiocytosis (HLH) as a unifying diagnosis. He fulfilled 5 of 8 diagnostic criteria: fever ≥38.5°C, splenomegaly, ≥2 cytopenias, ferritin level >500 ng/mL, and evidence of hemophagocytosis in the bone marrow. Prominent clusters of Histoplasma capsulatum were seen disseminated throughout the marrow aspirate (panel A). Serologic testing for Histoplasma antigen was positve. Hemophagocytosis was seen (panel B), in which a histiocyte is engulfing a red blood cell and several Histoplasma organisms.
HLH is a syndrome of pathologic immune activation characterized as primary or secondary in etiology. This patient had HLH secondary to disseminated histoplasmosis in the setting of severe immune deficiency. He received dexamethasone for treatment of HLH, as well as highly active antiretroviral therapy and antifungal treatment to treat the underlying infectious etiology. He recovered without incident and is doing well.
For additional images, visit the ASH IMAGE BANK, a reference and teaching tool that is continually updated with new atlas and case study images. For more information visit http://imagebank.hematology.org.

This feature is available to Subscribers Only
Sign In or Create an Account Close Modal