Abstract
Arsenic trioxide (ATO) has been successfully used as a treatment for acute promyelocytic leukemia (APL) for more than a decade. Here we report a patient with APL who developed a mitochondrial myopathy after treatment with ATO. Three months after ATO therapy withdrawal, the patient was unable to walk without assistance and skeletal muscle studies showed a myopathy with abundant cytoplasmic lipid droplets, decreased activities of the mitochondrial respiratory chain complexes, multiple mitochondrial DNA (mtDNA) deletions, and increased muscle arsenic content. Six months after ATO treatment was interrupted, the patient recovered normal strength, lipid droplets had decreased in size and number, respiratory chain complex activities were partially restored, but multiple mtDNA deletions and increased muscle arsenic content persisted. ATO therapy may provoke a delayed, severe, and partially reversible mitochondrial myopathy, and a long-term careful surveillance for muscle disease should be instituted when ATO is used in patients with APL.
Introduction
Arsenic trioxide (ATO) has a proven therapeutic efficacy in acute promyelocytic leukemia (APL).1-4 In addition, the use of ATO is an appealing option in patients with APL because of its mild long-term toxicity profile compared with chemotherapy, especially with respect to myelosuppression and late complications associated with the use of anthracyclines.3 However, arsenic is also an environmental carcinogen, with chronic exposure inducing liver injury, peripheral neuropathy, and increased incidence of cancer of the lung, skin, bladder, and liver.5,6 In mammal cells, arsenic genotoxicity is mainly mediated by mitochondrial damage, including mitochondrial oxidative dysfunction.7,8 Here we report a patient with APL who developed a delayed, severe, and partially reversible mitochondrial myopathy after being treated with ATO.
Case report
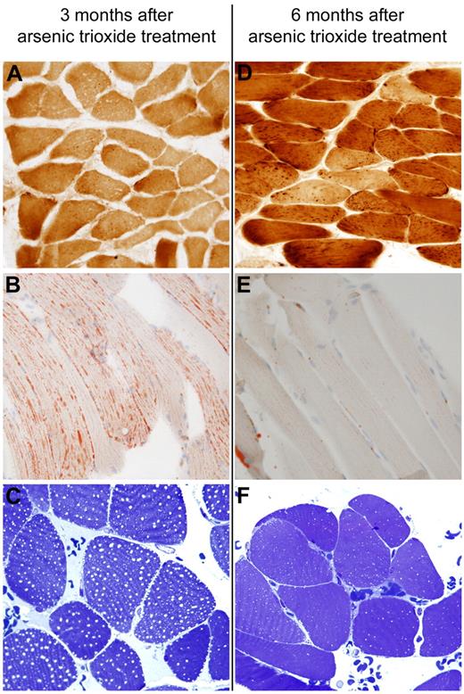
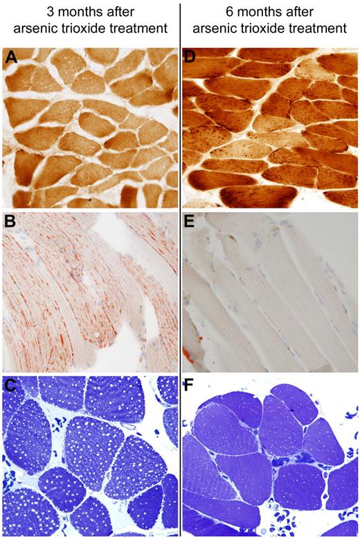
A 65-year-old female patient developed fatigue, shortness of breath, and thrombocytopenia. Morphologic examination of bone marrow biopsy demonstrated an abnormal accumulation of promyelocytes, and PCR of bone marrow and peripheral blood cells demonstrated the t(15;17)(q22;q12) translocation and the promyelocytic leukemia/retinoic acid receptor-α (PML/RARα) fusion gene on chromosome 15. She was diagnosed with APL and treated with all-trans retinoic acid (ATRA), 90 mg/day, for a month. Monitoring for APL relapse using a quantitative PCR test for the PML/RARα t(15;17) transcript was positive, and she was then treated for 4 weeks with ATO, 65 mg weekly, with a total dose of 260 mg. She progressively developed diffuse muscle pain and weakness of all limbs, and ATO treatment was interrupted. In the following 3 months, muscle pain and weakness progressively worsened, and she was admitted with severe weakness of all limbs. Motor examination revealed weakness of proximal upper limbs (grade 4/5 on the Medical Research Council scale) and proximal lower limbs (MRC 2/5), and the patient was unable to walk without assistance. EMG examination showed myopathic changes, and serum creatine kinase levels were mildly increased (220 U/L, N < 200). Absolute neutrophil count, liver enzyme serum levels, and liver, renal, and thyroid functions were normal, as well as electrocardiography and echocardiogram. Monitoring for APL relapse using PET scan and a quantitative PCR test for the PML/RARα t(15;17) transcript was negative. MRI of the thighs demonstrated bilateral atrophy of hamstring and quadriceps femoris muscles (supplemental Figure 1, available on the Blood Web site; see the Supplemental Materials link at the top of the online article). Muscle signal intensity on T1- and T2-weighted MRI was normal, with no enhancement with conventional contrast medium. Muscle biopsy performed 3 months after ATO therapy withdrawal demonstrated abundant cytoplasmic lipid droplets mainly in type I fibers, and cytochrome c oxidase (COX) reaction was markedly decreased in all fibers (Figure 1). Enzymatic activities of the respiratory chain complexes IV and II + III were partially decreased (52% and 41% of the control means, respectively), and long-range PCR analysis of muscle DNA revealed multiple mitochondrial DNA (mtDNA) deletions (Table 1; supplemental Figure 2). The amount of deleted mtDNA was 5% of total mtDNA, and no mtDNA depletion was observed. Muscle arsenic concentration was increased, at 37 ng/g of muscle (N < 20). No pathogenic variations were observed in genes that most frequently cause adult-onset mitochondrial diseases with multiple mtDNA deletions (ie, POLG, PEO, and ANT1; supplemental Methods). Analysis of the genes involved in arsenic methylation demonstrated the normal 677CC/1298AC variant for methylenetetrahydrofolate reductase gene (MTHFR) and active genotypes for glutathione S-transferases μ1 and θ1 (GSTM1 and GSTT1; supplemental Methods). Gradual improvement in muscle weakness progressively ensued; and 6 months after ATO therapy was interrupted, the recovery was complete and the patient was able to walk without assistance. Control muscle biopsy performed 6 months after ATO treatment withdrawal demonstrated a dramatic decrease in size and number of lipid droplets, normal COX levels in all fibers, and improved activities of all the respiratory chain complexes, reaching 70% and 57% of the mean control values for complexes IV and II + III, respectively (Figure 1; Table 1). mtDNA depletion was not observed, but mtDNA deletions persisted, as well as increased muscle arsenic content, at 41 ng/g of muscle (supplemental Figure 2). The diagnostic procedures were conducted according to the Strasbourg University Hospital Ethical Committee, and informed consent was obtained from the patient in accordance with the Declaration of Helsinki.
Muscle pathology. The first biopsy was performed 3 months after ATO treatment withdrawal and demonstrated decreased COX levels (A) and numerous lipid droplets in muscle fibers (B-C). The second biopsy was performed 6 months after ATO treatment was interrupted and demonstrated a dramatic improvement in COX levels (D) and a marked decrease in size and number of lipid droplets in muscle fibers (E-F). Frozen sections stained with COX (panels A,D, original magnification ×40); oil red O (panels B,E, original magnification ×40); and semithin sections stained with toluidine blue (panels C,F, original magnification ×100). For image acquisition information please see supplemental Methods.
Muscle pathology. The first biopsy was performed 3 months after ATO treatment withdrawal and demonstrated decreased COX levels (A) and numerous lipid droplets in muscle fibers (B-C). The second biopsy was performed 6 months after ATO treatment was interrupted and demonstrated a dramatic improvement in COX levels (D) and a marked decrease in size and number of lipid droplets in muscle fibers (E-F). Frozen sections stained with COX (panels A,D, original magnification ×40); oil red O (panels B,E, original magnification ×40); and semithin sections stained with toluidine blue (panels C,F, original magnification ×100). For image acquisition information please see supplemental Methods.
Discussion
We describe a patient with APL treated with ATRA and ATO who developed a severe mitochondrial myopathy. Could the myopathy have been provoked by ATRA? This is unlikely, as ATRA treatment had been interrupted 4 weeks before the onset of muscle symptoms. Moreover, although ATRA has been reported as causing myositis, it has not been reported as causing mitochondrial myopathy.3,9,10 Could the myopathy have been provoked by APL? This is also unlikely, as the myopathy developed at a time when there was no sign of APL relapse, and APL has not been reported as a cause of mitochondrial myopathy.3,10 Could the mitochondrial myopathy have been of genetic origin? Again, this is unlikely. The patient had no family history of myopathy, no pathogenic variation in POLG, PEO, and ANT1 genes, and myopathy spontaneously improved in a few months, which is not consistent with a mitochondrial disease of genetic origin.
Several lines of evidence strongly suggest that the mitochondrial myopathy described here was induced by ATO. First, the myopathy developed immediately after the patient was treated with therapeutic doses of ATO. Second, acute ingestion of ATO is known to be myotoxic, and several cases of arsenic-induced fatal rhabdomyolysis have been described, including a patient presenting with muscle mitochondrial abnormalities on morphologic analysis.11-13 Last, the myopathy observed here closely resembles the mitochondrial myopathy provoked by germanium, an arsenic-like metalloid.14
The patient developed myopathy with a relatively low total dose of ATO, suggesting that she was predisposed to arsenic toxicity. The MTHFR TT/AA and GSTM1 null genotypes, which could increase arsenic toxicity susceptibility, were not found in the patient.15 In addition, no evidence indicating preexistent reduced mtDNA maintenance was observed, including pathogenic variations in POLG, PEO, and ANT1 and mtDNA depletion. However, other less well-known genes may account for the patient predisposition to ATO toxicity or preexistent altered mtDNA maintenance.6,15
The mechanisms underlying ATO-induced mitochondrial toxicity are complex. ATO is thiol-reactive and thereby inhibits enzymes or alters proteins by reacting with proteinaceous thiol groups.6 ATO also provokes mitochondria-dependent apoptosis, and the formation of highly reactive superoxide anions, which trigger the mitochondrial production of peroxynitrites, a strong oxidant and nitration species.7,8,16-19 In skeletal muscle, ATO inhibits myogenic differentiation and muscle regeneration in myoblasts.20
The myopathy had a delayed course, with progressive aggravation in the 3 months after ATO treatment, dramatic improvement in the next 3 months, and with muscle arsenic content remaining increased during the whole process. This could be related to arsenic metabolism in vivo, as human cells are capable of biotransforming inorganic arsenic compounds, such as ATO, into highly toxic species, such as monomethylarsonic acid and dimethylarsinic acid.6,21 We may hypothesize that ATO was progressively biotransformed in our patient, with the toxic monomethylarsonic acid and dimethylarsinic acid species accumulating and provoking myopathy.6,21 Later, monomethylarsonic acid and dimethylarsinic acid may have been progressively biotransformed into less toxic arsenic species, with ensuing muscle improvement.6,21 Other mechanisms may have contributed (eg, apoptotic muscle fibers being eliminated and replaced with regenerating fibers derived from satellite cells).22,23 The persistence of muscle multiple mtDNA deletions 6 months after ATO treatment may be explained by the fact that short mutant mtDNA have a replicative advantage over wild-type mtDNA in postmitotic cells, resulting in long-term accumulation of mutant mtDNA in muscle.24
Clinicians should be aware of the existence of ATO-induced delayed mitochondrial myopathy, a potentially reversible entity with important implications for management and treatment of patients with APL. Muscle pain, muscle weakness, and increased serum creatine kinase levels should alert the clinician to the possibility of mitochondrial myopathy and should be monitored when ATO is used in patients with APL.
The online version of this article contains a data supplement.
The publication costs of this article were defrayed in part by page charge payment. Therefore, and solely to indicate this fact, this article is hereby marked “advertisement” in accordance with 18 USC section 1734.
Acknowledgments
The authors thank Maïté Chassagne, Sylvie Padet, Anne-Claire Voegeli, and Marie-Pierre Gaub for their excellent technical support; and Jean-Jacques Legrand for helpful discussion.
Authorship
Contribution: A.E.-L., A.B., S.V., L.-M.F., and B.M.d.C. designed and performed research and collected and analyzed the data; A.E.-L. and B.M.d.C. wrote the manuscript; B.L. contributed pathologic studies; and J.-P.G. and F.B. contributed toxicologic and pharmacogenetic studies.
Conflict-of-interest disclosure: The authors declare no competing financial interests.
Correspondence: Andoni Echaniz-Laguna, Département de Neurologie, Hôpitaux Universitaires de Strasbourg, Hôpital de Hautepierre, 1 Avenue Molière, 67098 Strasbourg Cedex, France; e-mail: andoni.echaniz-laguna@chru-strasbourg.fr.

