Abstract
Patients with multiple myeloma (MM) have increased bone marrow (BM) angiogenesis; however, the proangiogenic properties of myeloma cells and the mechanisms of MM-induced angiogenesis are not completely clarified. The angiopoietin system has been identified as critical in the regulation of vessel formation. In this study we have demonstrated that myeloma cells express several proangiogenic factors, and, in particular, we found that angiopoietin-1 (Ang-1), but not its antagonist Ang-2, was expressed by several human myeloma cell lines (HMCLs) at the mRNA and the protein levels. In a transwell coculture system, we observed that myeloma cells up-regulated the Ang-1 receptor Tie2 in human BM endothelial cells. Moreover, in an experimental model of angiogenesis, the conditioned medium of HMCLs significantly stimulated vessel formation compared with control or vascular endothelial growth factor (VEGF) treatment. The presence of anti-Tie2 blocking antibody completely blunted the proangiogenic effect of XG-6. Finally, our in vitro results were supported by the in vivo finding of Ang-1, but not Ang-2, mRNA and protein expression in purified MM cells obtained from approximately 47% of patients and by high BM angiogenesis in patients with MM positive for Ang-1, suggesting that the angiopoietin system could be involved, at least in part, in MM-induced angiogenesis.
Introduction
Multiple myeloma (MM) is a plasma cell malignancy characterized by the accumulation of long-survival plasma cells in the bone marrow (BM).1 The interaction of MM cells with the microenvironment has been postulated to be critical in the pathogenesis of MM.2 In particular, recent evidence underscores the potential role of angiogenesis in the progression of MM. It has been demonstrated that patients with MM with active disease have increased BM angiogenesis compared with those in remission or with subjects with monoclonal gammopathy of undetermined significance (MGUS).3-5 Moreover it has been shown that BM angiogenesis is correlated with prognosis and survival in patients with MM.6
Angiogenesis is a multistep process characterized by the formation of new blood vessels from the preexisting vasculature. It is well established that solid tumors may induce an angiogenic switch and generate novel vascularization through the overexpression of proangiogenic factors.7,8 Vascular endothelial growth factor (VEGF) and basic fibroblast growth factor (bFGF) are essential for the initiation of vascular development. Maturation and stabilization of the vascular wall are critically regulated by angiopoietin-1 (Ang-1), which binds primarily to Tie2 receptor expressed by endothelium. On the contrary, Ang-2 antagonizes Ang-1 binding to Tie2 and induces vessel destabilization, which leads to the angiogenic sprouting. VEGF, bFGF, Ang-1, and hepatocyte growth factor (HGF) also stimulate endothelial proliferation, survival, and migration.7-9
Several data indicate that MM cells directly produce VEGF and induce VEGF secretion by BM stromal cells (BMSCs)10-12 ; however, the proangiogenic properties of myeloma cells and the biologic mechanisms of MM-induced angiogenesis are not completely known. In the present study, we investigated the expression of the angiopoietin system by human myeloma cell lines (HMCLs) and by patients with MM and evaluated its potential correlation with MM-induced angiogenesis.
Patients, materials, and methods
Reagents
Recombinant human interleukin-6 (rhIL-6), VEGF, and bFGF were obtained from Endogen (Woburn, MA). Culture media RPMI 1640, α-minimum essential medium (α-MEM), Dulbecco MEM (DMEM), and medium 199, as well as glutamine, penicillin, and streptomycin, were purchased from Invitrogen Life Technologies (Milan, Italy); fetal bovine serum (FBS) and fetal calf serum (FCS) were obtained from StemCell Technologies (Vancouver, BC, Canada).
Cells and culture conditions
Human cell lines and cell cultures. HMCLs XG-6 and XG-1 were established in Dr Bataille's laboratory (INSERM U463, Nantes, France) from the peripheral blood of patients with plasma cell leukemia13 and were cultured in RPMI 1640 medium supplemented with 10% heat-inactivated FBS, penicillin (50 U/mL), streptomycin (50 μg/mL), and glutamine (2 mM) in the presence of IL-6 (3 ng/mL). HMCL U266, osteosarcoma cell line MG-63, and leukemia cell line K562 were obtained from the American Type Culture Collection (Rockville, MD); HMCLs OPM-2 and RPMI 8226 and the EBV+ cell line ARH-77 were purchased from DSM (Braunschweig, Germany). For some experiments, HMCLs XG-6 and RPMI 8226 (5 × 106) were incubated in the presence or absence of IL-6 (20 ng/mL) or VEGF (10 ng/mL) for 48 hours.
The human BM endothelial cell line transfected with simian virus 40 (SV40) (HBMEC-1) was kindly provided by Dr Kenneth Pienta (Department of Internal Medicine, University of Michigan Comprehensive Cancer Center, Ann Arbor) and was cultured in DMEM (Invitrogen) supplemented with 10% FBS in collagen-coated wells, as previously described.14 The BM endothelial cell line BMEC-60 was a kind gift of Dr C. E. Van der Schoot (Department of Experimental Immuno-Haematology, University of Amsterdam, Amsterdam, the Netherlands). BMEC-60 was maintained on collagen-coated wells with medium TC 199 at 10% FCS supplemented with bFGF (10 ng/mL), as previously described.15
Cocultures. A series of cocultures was performed between endothelial cells and myeloma cells in RPMI 1640 medium at 10% FBS. Cocultures were established by seeding HMCLs (5 × 106) (XG-6 or U266) with adherent endothelial cells (2 × 106) (BMEC-60 or HBMEC-1) on 6-well collagen-coated plates or by plating HMCLs onto a transwell membrane insert (0.45-μM pore size; Falcon, Oxford, United Kingdom) placed above the endothelial cell layer for 24 or 48 hours. At the end of the culture period, mRNA and proteins were extracted from endothelial cells or from both cell types in the cell-contact culture condition.
In vitro angiogenesis assay. In vitro angiogenesis was assessed by Angio-kit obtained from TCS Biologicals (Buckingham, United Kingdom) as the formation of capillary-like structures by human umbilical vein endothelial cells (HUVECs) cocultured with matrix-producing cells that had been previously UV irradiated.16 The experimental procedure followed the manufacturer's protocol provided with the kit. Briefly, cells were stimulated with VEGF (2 ng/mL) (positive control) or suramin (20 μM) (negative control) and with conditioned medium (CM) of HMCLs XG-6, U266, RPMI 8226, and XG-1 or K562/DMEM at 10% FBS (ratio, 1:2) in the presence or absence of anti-Tie2 blocking polyclonal antibody (5 μg/mL), anti-bFGF (1 μg/mL), anti-VEGF (2 μg/mL), anti–VEGFR-1 (5 μg/mL), anti–VEGFR-2 (0.5 μg/mL) (all from R&D Systems, Minneapolis, MN), or an irrelevant anti–immunoglobulin G (anti-IgG) antibody. The medium was replaced with a fresh one every 3 days. At day 13, cells were fixed and stained using an anti-CD31 antibody (TCS Biologicals) according to the instructions provided. To measure the formation of the capillary network, the number of connections between 3 or more capillary-like structures was considered, and plates were quantified by a computerized image analysis (TCS Biologicals).
Patients
We studied 23 patients (mean age, 62 years; range, 53-73 years) with newly diagnosed or relapsed MM (stages I-III). BM aspirates were obtained from the iliac crest of each patient after informed consent was given, according to the tenets of the Declaration of Helsinki. Approval was obtained from the Institutional Review Board of the Ospedale Maggione di Parma. Bone biopsies were performed on 15 of 23 patients with MM at diagnosis or at relapse in stage II-III disease. A group of 8 subjects with MGUS was used as control.
BM CD138+ plasma cells were purified from isolated mononuclear cells (MNCs) with an immunomagnetic method using anti-CD138 monoclonal antibody (mAb)–coated microbeads (MACS; Miltenyi Biotec, Bergisch-Gladbach, Germany). Only samples with purity levels greater than 90% were tested. BM stromal cells (BMSCs) were obtained from BM MNCs of patients with MM after 2 weeks of culture in α-MEM medium with 15% FCS and 2 mM glutamine; the medium was replaced carefully every 3 days. Fresh MM cells were analyzed either immediately after purification or after 24 hours of a cell-contact coculture with BMEC-60 and BMSC in RPMI medium at 10% of FCS.
RNA isolation and RT-PCR amplification
For reverse transcription–polymerase chain reaction (RT-PCR) analysis, total cellular RNA was extracted from cells using Trizol reagent (Invitrogen). RNA (1 μg) was reverse transcribed with 400 U Moloney murine leukemia virus RT (Invitrogen) according to the manufacturer's protocol. cDNAs were amplified by PCR with specific primers (Table 1). PCR reactions were performed in a thermal cycler (MiniCycler; MyResearch, Watertown, MA) for 30 cycles. Ten microliters each amplified reaction was electrophoresed through a 2% agarose gel, stained with ethidium bromide (1 μg/mL) in 1 × TBE buffer (0.1 M Tris, 90 mM boric acid, 1 mM EDTA [ethylenediaminetetraacetic acid], pH 8.4), and visualized under ultraviolet light. Product size was established by comigration with a 123–base pair (bp) ladder marker (Invitrogen). Annealing temperature and product size of each primer pair are reported in Table 1.
PCR amplification of β2-microglobulin and endothelin-1 (ET-1) was performed as internal control for myeloma cells and for endothelial cells, respectively. The following primer pairs were used: β2-microglobulin— sense, 5′-CTCGCGCTACTCTCTTCTCTTTCTGG-3′, antisense, 5′-GCTTACATGTCTCGATCCCACTTAA-3′; ET-1—sense, 5′-AGAGTGTGTCTACTTCTGCC-3′, antisense, 5′-TTGTGGGTCACATAACGCT-3′ (annealing temperatures, 63°C and 58 °C; product sizes, 334 bp and 441 bp, respectively).
Western blot analysis
Cells were resuspended in 100 μL lysis buffer (10 mM Tris-HCl, pH 7.6, 150 mM NaCl, 5 mM EDTA, 2 mM phenylmethylsulfonyl fluoride (PMSF), 2 mg/mL aprotinin [Sigma Aldrich, St Louis, MO] and 1% Triton X-100). Protein concentrations were determined using a standard procedure (Uptima, Interchim, France). After 40 minutes on ice, lysates were cleared by centrifugation at 12 000g for 30 minutes at 4°C. Proteins (70 μg) were separated by sodium dodecyl sulfate–polyacrylamide gel electrophoresis (SDS-PAGE) with 10% polyacrylamide gels and were transferred onto polyvinylidene difluoride membrane. After blocking, membranes were incubated overnight at 4°C with a polyclonal anti–Ang-1 or anti–Ang-2 (1:150; Santa Cruz Biotechnology, CA) or β-actin (1:500; Sigma Aldrich) or anti-Tie2 mAb (2 μg/mL) (R&D Systems). After washing, membranes were incubated with a horseradish peroxidase (HRP)–conjugated goat antimouse antibody (1:10 000; Becton Dickinson, San Jose, CA) at room temperature for 30 minutes. Blots were then developed using the ECLplus (Amersham). Immunoreactive bands were visualized by a 5- to 15-minute exposure (Kodak X-Omat; Eastman Kodak, Rochester, NY). To detect soluble Ang-1, immunoprecipitation of HMCL CM was performed using anti–Ang-1 polyclonal antibody (Santa Cruz Biotechnology). Briefly, 1 mL supernatant was incubated with 0.5 μg anti–Ang-1 antibody for 1 hour at 4°C. Then 20 μL Protein G Plus-Agarose (Santa Cruz Biotechnology) was added and incubated with mixing for 2 hours at 4°C. Pellets were collected by centrifugation and washed with RIPA buffer (100 mM Tris-HCl, 150 mM NaCl, 1 mM EDTA, 1% sodium deoxycholate, 0.1% SDS, 1% Triton X-100) 4 times. After the final wash, the immunoprecipitated material was recovered by boiling in a sample loading buffer and was separated by electrophoresis. Gel was stained with Silver stain plus kit (Bio-Rad Laboratories Srl, Milan, Italy) to detect the presence of soluble Ang-1.
Immunohistochemistry
Immunohistochemical staining for Ang-1 and Ang-2 was performed on cytospin slides fixed in 4°C cold acetone for 10 minutes. Endogenous peroxidase was inhibited with 3% H2O2 in distilled water for 8 minutes and then for 5 minutes with a blocking protein (DAKO Biotin Blocking System, Carpinteria, CA) to suppress nonspecific binding. Slides were incubated with the primary anti–Ang-1 or anti–Ang-2 goat polyclonal antibody (working dilution, 1:100; Santa Cruz Biotechnology) for 60 minutes; this was followed by 30-minute incubation with a biotinylated rabbit antigoat antibody (1:300; DAKO) at room temperature. Detection of bound antibody was assessed with the immunoperoxidase method, applying HRP-conjugated streptavidin (streptavidin-HRP; DAKO LSAB 2 System) for 15 minutes, and then using a solution of 3-3′-diaminobenzidine tetrahydrochloride (DAB 0.25% in phosphate-buffered saline [PBS] plus 3% H2O2) as substrate for 2 minutes. Detection of biotinylated secondary antibody was also performed with alkaline phosphatase methodology (DAKO ChemMate Detection Kit) according to the manufacturer's protocol.
At the site of the target antigen, the chromogen produced brown (peroxidase method) or red (phosphatase method) reaction product, respectively. Nuclei were counterstained with hematoxylin. As negative control, primary antibodies were omitted or replaced with an isotype control-matched antibody with irrelevant specificity.
BM angiogenesis evaluation
Blood vessels were detected in 3-μm sections of 4% formalin and B5 solution-fixed paraffin-embedded biopsies. Angiogenesis was measured as density of microvessels (capillaries and small venules) by staining endothelial cells using anti-CD34 monoclonal antibody (working dilution, 1:50; clone QBEnd/10; NeoMarkers, Fremont, CA) after antigen retrieval treatment performed by 3 microwave cycles (5 minutes each) in citrate buffer, pH 6.0, at 650 W. Thereafter, the peroxidase method was used.
In the whole section of biopsy, all the transversal sections of vessels were counted at 400 × magnification. Those that did not exceed 7 μm were recorded as capillaries, whereas those that did not exceed 10 μm were recorded as small venules. Computerized image analysis (FOTOVIX TAMRON, using Image Pro Plus Window 4.5) was applied to measure the diameter of the microvessel transversal section and the total cellular area in square millimeters (biopsy total area minus dense connective tissue, fat, bone lamellae, necrosis hemorrhagic areas). The mean of vascular density and the mean number of microvessels in each biopsy specimen were expressed on the basis of total number of microvessel transversal section (capillaries or venules) per the total cellular area (in square millimeters) and per the total number of fields (400 × magnification), respectively.
Results
Expression of proangiogenic factors by MM cells
First we evaluated the potential expression of several proangiogenic factor mRNAs by HMCLs and purified MM cells obtained from patients at diagnosis (Figure 1). We found that all tested HMCLs and fresh MM cells expressed mRNA for VEGF, TGF-β, and HGF that was negative in U266. IL-8 was expressed in purified MM cells and in RPMI 8226, OPM-2, and U266, but not in XG-1 or XG-6. bFGF mRNA was expressed by U266 and XG-1 and in 6 of 23 patients tested, and a low amount of bFGF was detected only in the CM of U266 (data not shown). PDGF mRNA was only present in RPMI 8226. On the other hand, we found that BMSCs obtained from patients with MM were positive for mRNA expression of all these angiogenic molecules (Figure 1).
mRNA expression of proangiogenic factors by myeloma cells. RT-PCR was performed to test angiogenic factor mRNA expression by HMCLs (RPMI 8226, OPM-2, U266, XG-1, and XG-6), purified MM cells, and BMSCs obtained from patients. β2-Microglobulin was amplified as internal control. MG-63 was used as positive control (CON+) for bFGF, TGF-β, and HGF, whereas BMEC-60 was used for VEGF, PDGF and IL-8. MNCs from healthy subjects were used as negative control (CON-).
mRNA expression of proangiogenic factors by myeloma cells. RT-PCR was performed to test angiogenic factor mRNA expression by HMCLs (RPMI 8226, OPM-2, U266, XG-1, and XG-6), purified MM cells, and BMSCs obtained from patients. β2-Microglobulin was amplified as internal control. MG-63 was used as positive control (CON+) for bFGF, TGF-β, and HGF, whereas BMEC-60 was used for VEGF, PDGF and IL-8. MNCs from healthy subjects were used as negative control (CON-).
Ang-1, Ang-2, and Tie2 expression by HMCLs
We focused our attention on the potential expression of angiopoietins and Tie2 receptor by myeloma cells. We found that HMCLs RPMI 8226, U266, OPM-2, XG-1, and XG-6, but not the EBV+ cell line ARH-77, and purified CD19+ B cells from healthy subjects expressed Ang-1 mRNA (Figure 2A). Conversely, all the HMCLs tested were negative for Ang-2 mRNA, whereas Tie2 mRNA was expressed by XG-1 and at low intensity by XG-6 (Figure 2A).
Angiopoietin system expression by HMCLs. Ang-1, Ang-2, Tie2, and β2-microglobulin mRNA expression by RPMI 8226, OPM-2, U266, XG-1, XG-6, and the EBV+ cell line ARH-77 were evaluated by RT-PCR. (A) Leukemia cell line K562 was used as positive control (CON+), and CD19+ from healthy subjects was used as negative control for all factors. (B-C) Ang-1 protein expression and secretion by HMCLs were checked by Western blot analysis and immunoprecipitation, respectively. Conditioned medium of XG-6 was incubated with 0.5 μg anti–Ang-1 antibody for 1 hour at 4°C. Then 20 μL Protein G PLUS-Agarose was added and incubated, with mixing for 2 hours at 4°C. After washing, immunoprecipitated material was recovered by boiling in sample loading buffer and was separated by electrophoresis. Silver staining was performed to detect the presence of soluble Ang-1 (B). XG-6 and RPMI 8226 (5 × 106) were incubated in the presence or absence of IL-6 (20 ng/mL) or VEGF (10 ng/mL) for 48 hours, and cell lysates were evaluated for Ang-1 expression by Western blot analysis, as described in “Patients, materials, and methods” (C). (D) Ang-1 and Ang-2 immunostaining in K562 (positive control) and in HMCLs. Ang-1 immunostaining was performed in U266 and K562 using the indirect immunoperoxidase method/DAB or in XG-6 and RPMI 8226 using the alkaline phosphatase method/new fuscin, as described in “Patients, materials, and methods.” Ang-2 immunostaining was performed in RPMI 8226 and K562 using the indirect immunoperoxidase method/DAB. Original magnification, × 100.
Angiopoietin system expression by HMCLs. Ang-1, Ang-2, Tie2, and β2-microglobulin mRNA expression by RPMI 8226, OPM-2, U266, XG-1, XG-6, and the EBV+ cell line ARH-77 were evaluated by RT-PCR. (A) Leukemia cell line K562 was used as positive control (CON+), and CD19+ from healthy subjects was used as negative control for all factors. (B-C) Ang-1 protein expression and secretion by HMCLs were checked by Western blot analysis and immunoprecipitation, respectively. Conditioned medium of XG-6 was incubated with 0.5 μg anti–Ang-1 antibody for 1 hour at 4°C. Then 20 μL Protein G PLUS-Agarose was added and incubated, with mixing for 2 hours at 4°C. After washing, immunoprecipitated material was recovered by boiling in sample loading buffer and was separated by electrophoresis. Silver staining was performed to detect the presence of soluble Ang-1 (B). XG-6 and RPMI 8226 (5 × 106) were incubated in the presence or absence of IL-6 (20 ng/mL) or VEGF (10 ng/mL) for 48 hours, and cell lysates were evaluated for Ang-1 expression by Western blot analysis, as described in “Patients, materials, and methods” (C). (D) Ang-1 and Ang-2 immunostaining in K562 (positive control) and in HMCLs. Ang-1 immunostaining was performed in U266 and K562 using the indirect immunoperoxidase method/DAB or in XG-6 and RPMI 8226 using the alkaline phosphatase method/new fuscin, as described in “Patients, materials, and methods.” Ang-2 immunostaining was performed in RPMI 8226 and K562 using the indirect immunoperoxidase method/DAB. Original magnification, × 100.
Immunoprecipitation demonstrated that HMCLs secrete Ang-1 (molecular weight, approximately 75 kDa), as shown for XG-6 in Figure 2B. By Western blot analysis, we confirmed that HMCLs (RPMI 8226, U266, OPM-2, and XG-6) expressed Ang-1 protein (Figure 2C), identified as a band of approximately 150 kDa. A band of 84 kDa was also observed. IL-6 (20 ng/mL) and VEGF (5 ng/mL) stimulation had no effect on Ang-1 production by XG-6 and RPMI 8226 (Figure 2C).
On the contrary, we observed that Ang-2 protein was negative in all the HMCLs, whereas Tie2 protein was only expressed in XG-1 but not in the other HMCLs (data not shown). Immunohistochemistry studies confirmed that U266, RPMI 8226, and XG-6 expressed Ang-1 but not Ang-2 protein. The K562 cell line expressed both angiopoietins, and it was used as a positive control (Figure 2D).
Tie2 up-regulation in BM endothelial cells by myeloma cells
To evaluate the potential effect of myeloma cells on the angiopoietin system in BM endothelial cells, we performed a series of coculture experiments. Two different endothelial cell lines, BMEC-60 and HBMEC-1, were used in the coculture experiments. Using RT-PCR, we documented that both cell lines were negative for Tie2 mRNA expression. BMEC-60 was positive for Ang-1, Ang-2, bFGF, and VEGF, whereas HBMEC-1 expressed Ang-1, VEGF, and bFGF, but not Ang-2 mRNA (data not shown).
In the coculture system, either in the presence or absence of a transwell insert, we found that XG-6 induced Tie2 mRNA expression in the BMEC-60 cell line after 24 hours of coculture (Figure 3A). Consistently, Tie2 protein expression was detected after 48 hours (Figure 3B). Tie2 induction was more pronounced in the presence of the transwell insert than in the cell-contact condition.
HMCLs up-regulate Tie2 expression by endothelial cells. Human BM endothelial cell line BMEC-60 (2 × 106) was cocultured in the presence or absence of a transwell system with HMCL (5 × 106) XG-6 in 6-well collagen-coated plates. After 24 hours, mRNA was extracted from BMEC-60 alone, in the control and transwell condition, or from pooled BMEC-60 and XG-6 in cell-contact condition. (A) Ang-1, Ang-2, and Tie2 expression were evaluated by RT-PCR, and ET-1 expression was used to document that an equal amount of endothelial cells was analyzed. (B) Ang-1, Ang-2, and Tie2 proteins were assessed by Western blot analysis after 48 hours. Figures are representative of 3 independent experiments (C indicates BMEC-60 control; transW, transwell; C+XG-6, contact coculture).
HMCLs up-regulate Tie2 expression by endothelial cells. Human BM endothelial cell line BMEC-60 (2 × 106) was cocultured in the presence or absence of a transwell system with HMCL (5 × 106) XG-6 in 6-well collagen-coated plates. After 24 hours, mRNA was extracted from BMEC-60 alone, in the control and transwell condition, or from pooled BMEC-60 and XG-6 in cell-contact condition. (A) Ang-1, Ang-2, and Tie2 expression were evaluated by RT-PCR, and ET-1 expression was used to document that an equal amount of endothelial cells was analyzed. (B) Ang-1, Ang-2, and Tie2 proteins were assessed by Western blot analysis after 48 hours. Figures are representative of 3 independent experiments (C indicates BMEC-60 control; transW, transwell; C+XG-6, contact coculture).
No effect was observed on Ang-1 mRNA and protein expression in either cell culture condition (Figure 3A-B). A slight increase of Ang-2 was observed in BMEC-60 after transwell coculture (Figure 3B), whereas Ang-2 mRNA and protein were not induced in pooled XG-6 and BMEC-60 after contact coculture (Figure 3A-B).
The presence of an equivalent ET-1 signal in all the conditions suggested that the same quantity of BMEC-60 mRNA had been used (Figure 3A) because HMCLs do not express ET-1 (data not shown). No effect was found on VEGF and bFGF mRNA expression by either endothelial cell line (BMEC-60 and HBMEC-1) in the cocultures with HMCLs (data not shown).
Effect of Tie2 blocking in MM-induced in vitro angiogenesis
The potential role of the angiopoietin system in the MM-induced angiogenesis was investigated in an experimental model of angiogenesis. As expected, VEGF (2 ng/mL) stimulated vessel formation in comparison with control, whereas suramin (20 μM) inhibited tubule formation. In this system, the CM of XG-6 significantly increased vessel formation in comparison with control (capillary junctions, 32.25 ± 2.7 vs 6 ± 1.02, + 438%, P < .01; tubules, 109.5 ± 5.7 vs 40 ± 3.94, +174%, P < .01; tubule length, 2882.3 ± 120 vs 1036 ± 156, +178%, P < .01) or VEGF treatment (capillary junctions: 32.25 ± 2.7vs16 ± 0.8, +95%, P < .05; tubules, 109.5 ± 5.7 vs 63.75 ± 1.17, +72%, P < .05; tubule length, 2882.3 ± 120 vs 2026 ± 78, +42%, P < .05) (Figure 4). Similarly, vessel formation was stimulated by the CM of U266 (capillary junctions, 26.75 ± 1.9; tubules, 95.25 ± 3.1; tubule length, 2517.3 ± 107, P < .01 vs control and P < .05 vs VEGF, respectively) (Figure 4), RPMI 8226 (capillary junctions, 21.5 ± 1.9; tubules, 80.5 ± 4.6; tubule length, 2142 ± 122, P < .05 vs control and vs VEGF) and XG-1 (capillary junctions, 30.5 ± 2.9; tubules, 92.5 ± 3.6; tubule length, 3122 ± 142, P < .01 vs control and P < .05 vs VEGF, respectively). In contrast, the CM of K562 did not stimulate vessel formation compared with control (capillary junctions, 3.5 ± 0.43; tubules, 31.5 ± 2.5; tubule length, 913.89 ± 115.74).
Proangiogenic property of HMCLs: effect of Tie2 blocking. The proangiogenic effect of HMCLs was tested with an angiogenic in vitro assay (Angio-kit). Endothelial-like cells were stimulated with CM (1:2) of XG-6 or U266 in the presence or absence of anti-Tie2 blocking polyclonal antibody (5 μg/mL) or irrelevant anti-IgG antibody. Every 3 days, the medium was replaced with a fresh one. At day 13, cells were fixed and stained using an anti-CD31 antibody. To measure the formation of the capillary network, the number of connections between 3 or more capillary-like structures was counted and quantified. (A) Mean percentage variation ± SD of capillary connections, tubules, and tubule length compared with control of 3 replicate wells of 2 independent experiments (*P < .05; **P < .01). Immunostaining with anti-CD31 antibody to evaluate vessel formation at original magnifications × 4 (B) and × 10 (C) in the following conditions: control (i), VEGF (2 ng/mL) (ii), CM of XG-6 (iii), CM of U266 (iv), CM of XG-6 plus anti-Tie2 blocking antibody (v), and CM U266 plus anti-Tie2 blocking antibody (vi).
Proangiogenic property of HMCLs: effect of Tie2 blocking. The proangiogenic effect of HMCLs was tested with an angiogenic in vitro assay (Angio-kit). Endothelial-like cells were stimulated with CM (1:2) of XG-6 or U266 in the presence or absence of anti-Tie2 blocking polyclonal antibody (5 μg/mL) or irrelevant anti-IgG antibody. Every 3 days, the medium was replaced with a fresh one. At day 13, cells were fixed and stained using an anti-CD31 antibody. To measure the formation of the capillary network, the number of connections between 3 or more capillary-like structures was counted and quantified. (A) Mean percentage variation ± SD of capillary connections, tubules, and tubule length compared with control of 3 replicate wells of 2 independent experiments (*P < .05; **P < .01). Immunostaining with anti-CD31 antibody to evaluate vessel formation at original magnifications × 4 (B) and × 10 (C) in the following conditions: control (i), VEGF (2 ng/mL) (ii), CM of XG-6 (iii), CM of U266 (iv), CM of XG-6 plus anti-Tie2 blocking antibody (v), and CM U266 plus anti-Tie2 blocking antibody (vi).
The presence of anti–Tie2 blocking antibody completely blunted tubule formation induced by CM of XG-6 (capillary junctions, 5 ± 0.96 vs 32.25 ± 2.7; tubules, 17.75 ± 1.23 vs 109.5 ± 5.7; tubule length, 616.6 ± 57.78 vs 2882.3 ± 120, P < .01) and U266 (capillary junctions, 3.5 ± 0.52 vs 26.75 ± 1.9; tubules, 18.75 ± 1.78 vs 95.25 ± 3.1; tubule length, 486.18 ± 26.98 vs 2517.3 ± 107, P < .001), whereas an irrelevant antibody anti-IgG had no effect (Figure 4).
The presence of anti-VEGF blocking antibody (capillary junctions, 3 ± 0.5; tubules, 18 ± 1.8; tubule length, 480 ± 27) or anti–VEGFR-1 (capillary junctions, 3.5 ± 0.4; tubules, 17 ± 1.2; tubule length, 617 ± 57) or VEGFR-2 (capillary junctions, 5 ± 1; tubules, 17.80 ± 1.3; tubule length, 914 ± 116) significantly inhibit vessel formation induced by CM of XG-6 (P < .01). On the contrary, anti-bFGF did not have any significant effect (capillary junctions, 21.5 ± 1.93; tubules, 80.5 ± 4.6; tubule length, 2142 ± 122, P = NS). Similar results were obtained with the other HMCLs tested (data not shown).
Ang-1, Ang-2, and Tie2 expression in patients with MM: relationship to BM angiogenesis
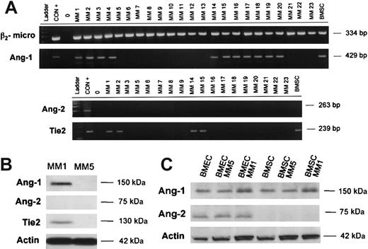
To address our in vitro results into a clinical perspective, first we tested Ang-1 mRNA expression by highly purified MM cells obtained from patients with MM. Eleven of 23 patients with MM tested were found to be positive for Ang-1 mRNA (Figure 5A). Eighteen of the 23 patients were also tested for Ang-2 and Tie2 mRNA expression. Ang-2 mRNA findings were negative in all the patients, whereas 4 patients, positive for Ang-1, also expressed Tie2 receptor mRNA (Figure 5A). Moreover, we found that BMSCs obtained from patients with MM expressed Ang-1 and Tie2 (Figure 5A). The different expression of Ang-1, Ang-2, and Tie2 by highly purified MM cells, tested immediately after isolation, was confirmed at the protein level by Western blot analysis, as shown for 2 representative patients (Figure 5B). MM cells were also found negative for Ang-2 expression after cell-contact coculture with BMEC-60 or BMSC cells. Moreover, the coculture condition did not change the Ang-1 expression (Figure 5C). In addition, immunohistochemistry studies performed on unpurified BM smears of patients confirmed the different patterns of Ang-1, Ang-2, and Tie2 expression observed on purified MM cells (data not shown).
Angiopoietin system expression in patients with MM. Ang-1 mRNA expression was evaluated by RT-PCR in highly purified (more than 90%) MM cells obtained from 23 patients at diagnosis or relapse. (A) In 18 patients, Ang-2 and Tie2 mRNA expression were also tested. (B) Ang-1, Ang-2, and Tie2 protein production, evaluated by Western blot analysis immediately after immunomagnetic purification, are shown for 2 representative patients with MM (MM1, Ang-1–positive; MM5, Ang-1–negative). (C) Ang-1 and Ang-2 protein expression in a cell-contact coculture system with fresh MM cells and either BM endothelial cell line BMEC-60 (BMEC) or BM stromal cells (BMSCs).
Angiopoietin system expression in patients with MM. Ang-1 mRNA expression was evaluated by RT-PCR in highly purified (more than 90%) MM cells obtained from 23 patients at diagnosis or relapse. (A) In 18 patients, Ang-2 and Tie2 mRNA expression were also tested. (B) Ang-1, Ang-2, and Tie2 protein production, evaluated by Western blot analysis immediately after immunomagnetic purification, are shown for 2 representative patients with MM (MM1, Ang-1–positive; MM5, Ang-1–negative). (C) Ang-1 and Ang-2 protein expression in a cell-contact coculture system with fresh MM cells and either BM endothelial cell line BMEC-60 (BMEC) or BM stromal cells (BMSCs).
Further, BM angiogenesis was evaluated in bone biopsy samples obtained from 15 of 23 patients. As expected, we found that microvascular density (MVD) was significantly higher in patients with MM than in the control group (29.35 ± 1.5 vs 10 ± 0.1; P < .001) and that 12 of 15 (80%) patients with MM tested had increased MVD levels.
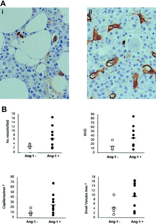
Among the 15 tested patients, 9 were positive for Ang-1 mRNA and protein expression. Increased MVD levels were observed in patients positive for Ang-1 than in those negative for Ang-1, as shown for 2 representative patients (Figure 6A). The number of microvessels per field (400 ×) was higher in Ang-1–positive patients than in Ang-1–negative patients (6.23 ± 0.2 vs 2.94 ± 0.1; median, 6.21 vs 2.79; P = .001), and MVD was significantly increased (32.98 ± 1.7 vs 14.55 ± 1.3, median, 34.69 vs 13.04, P < .01; capillaries, 26.73 ± 1.3 vs 10.42 ± 0.8, median, 24.06 vs 9.04, P < .01; small venules, 9.56 ± 0.5 vs 4.14 ± 0.5, median, 10.60 vs 3.65, P < .01) (Figure 6B). Furthermore, a significant positive correlation between Ang-1 expression and MVD was found in our cohort of patients (Pearson χ2, P = .036; Cochran linear trend, P = .01) (Table 2). On the other hand, the correlation between Tie2 expression and MVD did not reach statistical significance (Pearson χ2, P = .2; Cochran linear trend, P = .11) (Table 2).
BM angiogenesis in patients with MM. Blood vessels were detected in 3-μm sections of 4% formalin and B5 solution-fixed, paraffin-embedded specimens obtained from patients with MM. Angiogenesis was measured as number of vessels per 400 × field and density of microvessels (capillaries and small venules) by staining endothelial cells using anti-CD34 monoclonal antibody, as described in “Materials and methods.” (A) BM angiogenesis in 2 representative patients: Ang-1–negative patient (i) and Ang-1–positive patient (ii) with MM. Original magnification, × 400. (B) Plots represent individual values, and bars represent mean levels.
BM angiogenesis in patients with MM. Blood vessels were detected in 3-μm sections of 4% formalin and B5 solution-fixed, paraffin-embedded specimens obtained from patients with MM. Angiogenesis was measured as number of vessels per 400 × field and density of microvessels (capillaries and small venules) by staining endothelial cells using anti-CD34 monoclonal antibody, as described in “Materials and methods.” (A) BM angiogenesis in 2 representative patients: Ang-1–negative patient (i) and Ang-1–positive patient (ii) with MM. Original magnification, × 400. (B) Plots represent individual values, and bars represent mean levels.
Discussion
It is known that patients with MM have increased BM angiogenesis because of the capacity of myeloma cells to stimulate vessel formation.3-6 Several molecules have been identified as proangiogenic factors in tumor cells.7 MM cells are known to produce VEGF10 ; however, the entire spectrum of angiogenic properties is unknown, and the mechanisms of MM-induced angiogenesis are yet to be completely elucidated. In our study, we first found that HMCLs, freshly purified MM cells, and BMSCs expressed several angiogenic factors besides VEGF. Among the angiogenic cytokines, we found that TGF-β, HGF, and IL-8 are widely expressed by HMCLs and in patients with MM, whereas bFGF is rarely expressed, as others have reported.12,17-19 We focused our attention on the angiopoietin system. Our study demonstrated for the first time that myeloma cells produce Ang-1 but not its antagonist, Ang-2, and that they up-regulate Tie2 expression by endothelial cells. The angiopoietin system is known to be critically involved in the regulation of the physiological angiogenic process.8,20 Angiopoietins are secreted proteins mainly produced by endothelial cells that bind Tie family receptor and act in a complementary, coordinated fashion with VEGF.8,9,20 Ang-1, the most extensively characterized member of this family, interacts with the endothelial receptor Tie2, inducing its phosphorylation.8,20 It was demonstrated that Ang-1 does not induce endothelial cell proliferation but that it acts as a survival factor for endothelial cells, stimulates sprout formation, and plays a key role in mediating interactions between endothelial and matrix cells.8,20 Tie2- and Ang-1–deficient mice exhibit reduced numbers of endothelial cells in blood vessels, abnormal vascular network formation, and defects in heart and vascular development.20 The overexpression of Ang-1 in transgenic mice leads to hypervascularization by promoting vascular remodeling, and it induces vessel stabilization and maturation.20,21 Ang-2 is the natural antagonist of Ang-1, which blocks Ang-1–mediated Tie2 activation on endothelial cells, inducing vessel destabilization. This process may lead to vessel regression or angiogenesis promotion.20,22
The expression of angiopoietins has been investigated in human solid tumors,9,20 including cancer of the breast,23,24 liver,25 lung,26 thyroid,27 colon, and stomach.28,29 These studies indicate a complex pattern of expression of angiopoietins and Tie2 and show an important role of Ang-2 in cooperation with VEGF in the initiation of tumoral angiogenesis. Conversely, the role of Ang-1 was not completely clear. In breast cancer, it is reported that Ang-1 is rarely detected, and its overexpression leads to xenograft tumor regression in contrast to its physiological role.23,24 On the other hand, enhanced Tie2 and Ang-1 expression were reported in human thyroid tumors and non–small-cell lung carcinomas.26,27 In hematologic malignancies, it is reported that acute and chronic myeloid leukemia cells express angiopoietin-1.30-32 In line with these observations, we demonstrated that HMCLs express and secrete Ang-1 but not its antagonist, Ang-2. Ang-1 production in HMCLs seems to be independent of IL-6 and VEGF because no stimulatory effect on Ang-1 production was found using these cytokines. On the contrary, in physiologic conditions, it is reported that VEGF stimulates Ang-1 production in retinal pigment epithelial cells.33
The lack of Ang-2 expression by HMCLs was confirmed in freshly isolated MM cells; moreover, HMCLs and primary MM cells remained negative for Ang-2 after cell contact with BMEC-60 or BMSC in a coculture system. On the other hand, a stimulatory effect of HMCLs was observed on Ang-2 expression by endothelial cells only in a transwell condition, suggesting a potential inhibitory effect of the cell contact on the expression of this molecule.
The expression of Ang-2 by endothelial cells has been also observed in isolated CD105+ BM endothelial cells from patients with MM (S.C. et al, unpublished data, February 2003), suggesting that in MM Ang-2 could be produced by endothelial cells and not directly by myeloma cells. Similarly, in glioblastoma angiogenesis, it has been demonstrated that tumor cells express Ang-1 but not Ang-2, which is produced by endothelial cells.34
Our data on Ang-1 and Ang-2 expression by human myeloma cells are in contrast with those recently reported by others.35 These authors, however, did not purify MM samples with CD138 antibody. They used a primer pair that does not span any intron region but is localized to the same exon region, entailing a high probability of false-positive results because of DNA contamination in RNA samples.
The effect of myeloma cells on Tie2 expression by endothelial cells was also investigated using a coculture system with human BM endothelial cell lines. We have shown that HMCLs induce Tie2 receptor in BM human endothelial cells at the mRNA and protein levels. This effect was observed in a transwell system, suggesting that soluble factors produced by myeloma cells could be responsible for Tie2 up-regulation. It was demonstrated that either Ang-136 or the proinflammatory cytokines tumor necrosis factor α (TNF-α) and IL-1β37 stimulate Tie2 receptor in human endothelial cells. Thus we can hypothesize that myeloma cells could induce Tie2 overexpression through the secretion of Ang-1. Alternatively TNF-α, produced by myeloma cells,38 could be also involved in this mechanism.
The production of Ang-1 by HMCLs, together with the induction of Tie2 in BM endothelial cells, may contribute to the proangiogenic properties of myeloma cells, in accordance with the physiological role of Ang-1/Tie2 as a promoter of angiogenesis.8,9,20,21 This hypothesis was supported in an experimental model of angiogenesis by which we found that Tie2 receptor blocking completely blunted the stimulatory effect of myeloma cell CM on vessel formation. Consistent with this evidence, other authors39 showed the inhibition of tumoral angiogenesis using a Tie2 blocking soluble receptor. An antiangiogenic in vitro effect was also observed using anti-VEGF, anti–Flt-1, and anti-KDR blocking antibody, suggesting that the angiopoietin and VEGF systems are involved in the proangiogenic in vitro effect of myeloma cells. In contrast, anti-bFGF antibody did not inhibit the proangiogenic effect of HMCLs, in agreement with evidence that XG-6 and RPMI 8266 were negative for bFGF expression, as well as most fresh MM cells tested, and that U266 only produces a low amount of bFGF.
HMCLs XG-6, U266, RPMI 8226, and XG-1 have shown a proangiogenic effect. Conversely, the leukemic cell line K562 failed to induce vessel formation. The lack of proangiogenic effect of K562 could be attributed to the production of Ang-2 and soluble Flt-1 (N.G. et al, unpublished data, February 2003) by this leukemic cell line, whereas HMCLs are negative for both inhibitors.
Our in vitro results were extended to patients with MM. We found that Ang-1 is expressed in the purified MM cells of approximately 47% of patients, whereas Ang-2 is not present in any patients tested. Moreover, in Ang-1–positive patients, we found that BM angiogenesis is significantly increased compared with its occurrence in Ang-1–negative patients. This evidence suggests that Ang-1 expression by MM cells could be correlated with higher BM angiogenesis, supporting the proangiogenic role of Ang-1 in vivo in patients with MM. However, this observation must be confirmed in a larger clinical study. Our findings also indicate that BMSCs may contribute to Ang-1 production in patients with MM because we found that they expressed Ang-1.
Besides its role in angiogenesis, the Ang-1/Tie2 system is involved in hemopoietic cell proliferation. In fact, it was demonstrated that Ang-1, but not Ang-2, promotes Tie2-positive BM cell adhesion to fibronectin and induces hemopoietic cell proliferation in the presence of stem cell factor (SCF).40 In addition, the enhanced growth of hemopoietic cells in the presence of Ang-1 and VEGF has also been described.41 On the basis of this evidence, we can hypothesize that Ang-1 might enhance the effect of other factors on Tie2-positive cells in promoting their proliferation. Nevertheless, a potential autocrine role of Ang-1 in myeloma cells seems rare. We showed that only XG-1 and XG-6, at low intensity, and 4 of 18 patients expressed Tie2 receptor. However, we cannot exclude that the angiopoietin system may contribute to myeloma cell proliferation and adhesion to the BM environment in Tie2-positive patients.
In conclusion, our study demonstrates that myeloma cells produce the proangiogenic factor Ang-1, and it underscores the potential role of the Ang-1/Tie2 system in MM-induced angiogenesis. This system may contribute to the proangiogenic effect of myeloma cells and could be a potential target for antiangiogenic therapy.
Prepublished online as Blood First Edition Paper, March 20, 2003; DOI 10.1182/blood-2002-10-3257.
Supported by research funding from Associazione Italiana Contro le Leucemie (AIL) Parma.
N.G. and S.C. contributed equally to this work.
The publication costs of this article were defrayed in part by page charge payment. Therefore, and solely to indicate this fact, this article is hereby marked “advertisement” in accordance with 18 U.S.C. section 1734.
We thank Dr Silvia La Monica for contributing cell cultures, Dr Gabriella Becchi for assisting with the immunohistochemical procedure, Dr Mario Pedrazzoni for statistical assistance, Dr Hugh B. Matheson for Angio-kit analysis, and Giorgio Laucci for technical assistance with the manuscript.











