Abstract
The transcription factor CCAAT/enhancer binding protein β (C/EBPβ, or NF-IL6) is expressed in macrophages, where it participates in lipopolysaccharide (LPS)-mediated induction of proinflammatory cytokine genes such as interleukin-6 (IL-6) and IL-1β. We have identified activities in conditioned medium from a macrophage tumor cell line that regulates the expression, localization, and transcriptional activity of C/EBPβ. One factor was shown to be tumor necrosis factor- (TNF-), which increased C/EBPβ expression by a posttranscriptional mechanism. A second activity, designated autocrine macrophage factor (AMF), elicited a change in C/EBPβ localization from a punctate nuclear staining pattern to diffuse nuclear distribution. The punctate form of C/EBPβ correlated with increased susceptibility of this protein to cleavage by an endogenous protease during nuclear extract preparation. Conditioned medium stimulated the ability of C/EBPβ to transactivate a reporter gene and activated the expression of two cytokine genes that are putative targets of C/EBPβ. These observations suggest that diffuse distribution of C/EBPβ in the nucleus corresponds to an activated form of this protein. AMF activity could not be mimicked by an extensive set of recombinant cytokines and growth factors and therefore may represent a novel extracellular factor.
PROINFLAMMATORY CYTOKINES such as interleukin-1 (IL-1), IL-6, IL-8, and tumor necrosis factor-α (TNF-α) are produced by activated macrophages and are able to recruit other cells involved in the inflammatory and immune responses.1,2 One of the transcriptional regulators implicated in cytokine expression is NF-IL6,3 also named LAP, IL6-DBP, AGP/EBP, CRP2, and NF-M4 and now commonly referred to as CCAAT/enhancer binding protein β (C/EBPβ).5 C/EBPβ is a member of the C/EBP family of basic-leucine zipper (bZIP) proteins that is expressed in many tissues,4,6 including mature myelomonocytic cells.7 8
Several studies indicate that C/EBPβ regulates transcription of cytokine genes in monocyte/macrophages and other cells. The human C/EBPβ homolog, NF-IL6, was originally identified as a nuclear factor that bound to an IL-1 responsive element in the IL-6 promoter. C/EBPβ is capable of transactivating the IL-6 promoter and cooperates with NF-κB to mediate lipopolysaccharide (LPS)-induced transcription of the IL-6 gene.7,9,10 In addition, C/EBPβ and NF-κB synergistically activate the IL-8 promoter.9,11 C/EBP binding sites have also been identified, and in some cases were shown to function as regulatory elements, in the promoters of genes TNF-α,12 IL-1β,13,14 granulocyte colony-stimulating factor (G-CSF),3 monocyte chemoattractant protein-1 (MCP-1),15 macrophage inflammatory protein (MIP)1α,16 and chicken myelomonocytic growth factor (cMGF).17
Results of overexpressing or ablating C/EBPβ also support the notion that this transcription factor is an important regulator of inflammatory cytokine genes in activated macrophages. Ectopic expression of C/EBPβ in the lymphoblastic cell line, P388, is sufficient to confer the ability to activate transcription of IL-6 and MCP-1 in response to LPS, whereas the parental cell line lacks this capability. Conversely, inhibition of endogenous C/EBPβ expression by antisense RNA interference blocks LPS induction of IL-6 and IL-1β expression in P388D1(IL1) macrophages.18 In addition, primary macrophages from C/EBPβ-deficient mice are unable to induce G-CSF expression in response to LPS and display defective bactericidal and tumoricidal activities.19
Because of the potentially critical role of C/EBPβ in cytokine gene induction, the expression of constitutive macrophage-specific markers such as lysozyme and the avian mim-1gene20,21 and in controlling other macrophage functions,19 we have sought to understand the mechanisms that modulate the synthesis and function of C/EBPβ in these cells. Here we report the results of studies, which indicate that both the expression and activity of C/EBPβ in macrophages is regulated by autocrine signals.
MATERIALS AND METHODS
Cells and cell culture.
P388D1(IL1) [ATCC TIB 6322], IC-21 [ATCC TIB 18623], T4.324 and ANA-125 are murine macrophage cell lines. P388D1(IL1) displays certain characteristics of activated macrophages, including increased production of IL-1. Unless otherwise indicated, P388D1(IL1), IC-21, and T4.3 cells were grown in RPMI-1640 (BioWhittaker, Walkersville, MD) supplemented with 10% fetal clone I serum (FCS) (Hyclone, Logan, UT), glutamine, kanamycin, and pen/strep. ANA-1 cells were grown in Dulbecco’s modified Eagle’s medium (DMEM) (BioWhittaker) containing the same supplements. Escherichia coli LPS was obtained from Sigma (St Louis, MO; serotype 026:B6). Biologically active recombinant cytokines and growth factors and the anti–TNF-α monoclonal antibody were obtained from the NCI Preclinical Repository (Frederick, MD). Anti–IL-6 antibody was obtained from R & D Systems (Minneapolis, MN; #AB406-NA).
Preparation and fractionation of conditioned medium.
Conditioned medium (CM) was collected from confluent P388D1(IL1) cells grown for 3 to 5 days in RPMI-1640 with 5% FCS. CM was concentrated either in an Amicon stirred cell concentrator using 10,000 or 30,000 MW cutoff membranes and then filtered with a 0.45-μm syringe filter (Nalgene, Milwaukee, WI), or in Centriprep 30 or Centriprep 10 centrifugal concentrators (Grace, Beverly, MD). CM was concentrated 10-fold and added to fresh cells at a 2× dose (eg, 40 mL of conditioned medium was concentrated to 4 mL and added to a 15-cm plate of cells containing 20 mL fresh medium). As a control in each experiment, unconditioned medium was concentrated 10-fold and added to cells at a 2× dose.
Immunofluorescent staining.
C/EBPβ localization was determined in P388D1(IL1), IC-21, and T4.3 macrophages cultured on glass coverslips in the presence of the appropriate factors. Cells were fixed in methanol for 10 minutes, washed with phosphate-buffered saline (PBS), and incubated with rabbit anti-C/EBPβ peptide antiserum26 (diluted 1:100 in PBS) for 1 hour at room temperature. The cells were washed three times with PBS, incubated for 1 hour with goat antirabbit IgG conjugated with rhodamine (Boerhinger Mannheim Biochemicals, Indianapolis, IN; 1:100 dilution) at room temperature, washed three times with PBS, once with H2O, and mounted on glass slides using Gel Mount (Biomedia, Foster City, CA). In some cases, nuclei were stained with 4′,6-diamidino-phenylindole:2HCl (DAPI) for 10 minutes before mounting.
Nuclear extracts.
Nuclear extracts were prepared by either hypotonic lysis or detergent lysis procedures. Hypotonic lysis method27: cells were scraped, washed once with PBS, resuspended in hypotonic lysis buffer (buffer A: 20 mmol/L HEPES pH 7.9, 1 mmol/L EDTA, 10 mmol/L NaCl, 1 mmol/L dithiothreitol [DTT], 0.4 mmol/L phenylmethyl sulfonyl fluoride [PMSF], 0.1 μg/mL leupeptin, 5 μg/mL antipain), incubated on ice for 20 minutes and lysed by 8 to 10 passages through a 26-gauge syringe needle. Nuclei were pelleted by centrifugation at 14,000g for 20 seconds. Proteins were extracted from nuclei by incubation with buffer C (420 mmol/L NaCl, 1 mmol/L EDTA, 20 mmol/L HEPES pH 7.9, 25% glycerol, 1 mmol/L DTT, 0.4 mmol/L PMSF, 0.1 μg/mL leupeptin, 5 μg/mL antipain) at 4°C for 20 minutes with vigorous shaking. Nuclear debris was pelleted by centrifugation at 14,000g for 5 minutes and the supernatant was collected and stored at −80°C. Detergent lysis method: the procedure was identical to the hypotonic lysis protocol except that the lysis buffer contained 0.25% (vol/vol) Nonidet P-40 and the cells were incubated in this buffer for 10 minutes before passage through a syringe.
Bacterially expressed proteins.
Full-length C/EBPβ and a truncated protein containing only the DNA-binding domain (DBD) were expressed in Escherichia coli and purified as described.28 A liver inhibitory protein (LIP) expression vector was constructed by inserting an NcoI-HindIII fragment from pMEX-C/EBPβ28 into the bacterial vector pT5.26 LIP was expressed in E coliand extracted from cells as described29 and was used for Western blot analysis without further purification.
Electrophoretic mobility shift assays (EMSA).
DNA-binding reactions were incubated for 20 minutes at room temperature in a 25-μL reaction containing 100 mmol/L NaCl, 20 mmol/L HEPES, 1 mmol/L EDTA, 4% (vol/vol) glycerol, 5% (wt/vol) Ficoll, .06% bromophenol blue, 0.25 μg bovine serum albumin (BSA), 1 μg poly dI-dC, 32P-labeled C/EBP binding site oligonucleotide,18 and 6 to 10 μg nuclear extract. C/EBPβ:DNA complexes were separated from free probe by electrophoresis on 6% polyacrylamide gels in 0.5× TBE (45 mmol/L Tris Base, 45 mmol/L boric acid, 0.25 mmol/L EDTA) at 160 V for 2 hours.30,31 Gels were dried onto Whatman 3MM paper (Whatman, Maidstone, UK) and exposed to Kodak XAR film (Eastman Kodak, Rochester, NY). For antibody supershift assays, 1 μL of rabbit antiserum was incubated with the protein extract on ice for 30 minutes before addition to the binding reaction. The N-terminal C/EBPβ peptide antibody has been described.26 The C-terminal antiserum was raised against a peptide from the carboxy terminus of rat C/EBPβ (NH2-CKQLPEPLLASAGH-COOH).
Western blot analysis.
For the experiment of Fig 1B, extracts were mixed with an equal volume of 2× protein sample buffer,32 heated to 100°C, and loaded on precast 15% sodium dodecyl sulfate-polyacrylamide gel electrophoresis (SDS-PAGE) gels (Novex, San Diego, CA). For the experiment of Fig 6, nuclear extracts were prepared by the detergent lysis method described above except that 1× protein sample buffer32 was added to the nuclear pellets instead of extraction buffer. The samples were loaded on 15% SDS-PAGE gels. For the experiment of Fig 7B, cells were harvested, washed with PBS, and lysed in 1x protein sample buffer. The extracts were heated and an aliquot loaded on a 12% SDS-PAGE gel. Gels were transferred to Immobilon-P membranes (Millipore, Bedford, MA), blocked with 2% BSA and probed with the appropriate antibody. The Western blot of Fig 7B was blocked with 5% dry milk and probed with anti-FLAG M2 monoclonal antibody (Eastman Kodak Co). All blots were developed using the enhanced chemiluminescence (ECL) detection system (Amersham, Arlington Heights, IL).
RNA isolation and Northern blot analysis.
Total RNA was isolated from cells using the procedure of Chomczynski and Sacchi33 and 10 to 15 μg was analyzed on Northern blots. Hybridization probes were labeled using a random priming kit (United States Biochemical, Cleveland, OH). The C/EBPβ probe was a 400-bp Nco I fragment from the rat C/EBPβ expression vector pMEX-CRP2.28 The β-actin probe was a 2-kb HindIII fragment excised from the plasmid β2000.34 Probes for IL-6, IL-1β, and MCP-1 have been described.18 Hybridization signals were quantitated using an Ambis Radioanalytical Scanner (Ambis Corp, San Diego, CA).
Transfection assays.
Nonadherent ANA-1 cells were transfected using DEAE dextran sulfate as follows. Cells were transfected in batch (2 × 106cells/60-mm dish) using 2 μg reporter plasmid and 1 μg of either pMEX or the C/EBPβ expression vector pMEX-C/EBPβ [previously named pMEX-CRP228] per dish. The C/EBP reporter plasmid (DE1)4-alb-LUC has been described.28 The control luciferase reporter, “pGL2 promoter,” was obtained from Promega (Madison, WI). Plasmid DNAs were prepared by a polyethylene glycol (PEG) precipitation method or by using commercial kits (Qiagen, Chatsworth, CA). The cells and DNA were incubated with 0.5 mg/mL DEAE dextran in DMEM/50 mmol/L Tris (pH 8.0) for 75 minutes at 37°C on a rotator. Dimethyl sulfoxide (DMSO) was then added to a final concentration of 10% and incubated for 2 minutes. The cells were diluted 10-fold in serum-free DMEM, pelleted, washed twice in DMEM, and plated in DMEM with 10% FCS. After 48 hours, the cells were collected, lysed, and analyzed for luciferase activity using the Enhanced Luciferase Assay kit (Analytical Luminescent Laboratory, San Diego, CA). Where appropriate, CM or cytokines were added 16 hours before harvesting. The protein concentration of each lysate was also measured (BioRad) and used to normalize luciferase activity.
RESULTS
Cell culture conditions regulate the susceptibility of C/EBPβ to proteolysis.
P388D1(IL1) is a macrophage-like tumor cell that was selected for elevated production of IL-1. This cell line also expresses high levels of C/EBPβ.18 In the course of analyzing C/EBP-specific DNA-binding complexes in P388D1(IL1) nuclear extracts, we observed that the pattern of binding species could be altered dramatically by changing the cell growth medium (Fig 1). Extracts prepared from cells grown for 3 days in the same medium displayed two slow-migrating complexes in the EMSA using a consensus C/EBP site probe (Fig 1, 0 hour). However, 1 hour after washing the cells and refeeding, the slow-migrating species were no longer detected and a fast-migrating complex appeared. This pattern of C/EBP complexes persisted for 12 hours. By 24 hours, the slow-migrating forms were again apparent. The transition to the fast-migrating form was also seen in cells incubated in PBS for 1 hour (data not shown), demonstrating that exposure to serum factors is not required for this effect.
Altered C/EBPβ isoforms in macrophage extracts. (A) EMSA of C/EBPβ binding activities in P388D1(IL1) macrophage nuclear extracts. Cells were cultured for 3 days without medium change (0 hour), washed with PBS, and fed with fresh medium. Nuclear extracts were prepared at the indicated times (1 to 24 hours) and analyzed by EMSA using a consensus C/EBP binding site probe. (B) Western blot analysis of truncated C/EBPβ polypeptides. Analysis of C/EBPβ proteins in P388D1(IL1) nuclear extracts. A total of 15 μg of each nuclear extract from the time course shown in (A) were analyzed by Western blotting using an antiserum specific for the basic region (panCRP28). Bacterially expressed forms of C/EBPβ (full-length [p34], LIP [p20], and the DNA-binding domain [DBD]; lanes 8 through 10) were included as standards. Asterisks indicate weak bands that correspond to p34-C/EBPβ and p20-C/EBPβ.
Altered C/EBPβ isoforms in macrophage extracts. (A) EMSA of C/EBPβ binding activities in P388D1(IL1) macrophage nuclear extracts. Cells were cultured for 3 days without medium change (0 hour), washed with PBS, and fed with fresh medium. Nuclear extracts were prepared at the indicated times (1 to 24 hours) and analyzed by EMSA using a consensus C/EBP binding site probe. (B) Western blot analysis of truncated C/EBPβ polypeptides. Analysis of C/EBPβ proteins in P388D1(IL1) nuclear extracts. A total of 15 μg of each nuclear extract from the time course shown in (A) were analyzed by Western blotting using an antiserum specific for the basic region (panCRP28). Bacterially expressed forms of C/EBPβ (full-length [p34], LIP [p20], and the DNA-binding domain [DBD]; lanes 8 through 10) were included as standards. Asterisks indicate weak bands that correspond to p34-C/EBPβ and p20-C/EBPβ.
The C/EBPβ species in these extracts were characterized by Western blotting. Extracts from the time course experiment of Fig 1A were analyzed by immunoblotting using an antibody (panCRP) specific for the basic region. Samples in which the fast-migrating EMSA complex was observed contained only a 14-kD immunoreactive polypeptide (Fig 1B, lanes 2 through 6). Extracts exhibiting the slower EMSA species showed proteins of 34 kD and 20 kD, as well as a reduced amount of the 14-kD form (lanes 1 and 7). The 34-kD protein comigrated with bacterial C/EBPβ (lane 8) and the 14-kD form was similar in size to a recombinant protein containing only the C-terminal bZIP region (DBD, lane 10). Interestingly, the 20-kD product was indistinguishable in size from bacterially expressed LIP (lane 9), a truncated C/EBPβ isoform observed in other cells that was proposed to arise from translation initiation at an internal methionine codon.35The 20-kD protein in P388D1(IL1) extracts is a proteolytic cleavage product derived from p34-C/EBPβ and is not a translational isoform (see below and data not shown).
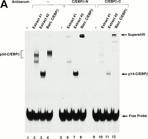
We also performed antibody supershift experiments using peptide antisera specific for the N or C termini of C/EBPβ (Fig 2A). The two slower-migrating species reacted with both antibodies, demonstrating that these complexes contain full-length C/EBPβ (p34-C/EBPβ). The upper and lower slow-migrating bands represent homo- and heterodimeric forms of C/EBPβ, respectively28 (M.B. and P.F.J., unpublished data). The fast-migrating complex was not affected by the N-terminal antibody, but its formation was inhibited by the C-terminal C/EBPβ antiserum. Therefore, the fast-migrating form of C/EBPβ represents a truncated protein, p14-C/EBPβ, which encompasses the C-terminal DNA-binding (bZIP) region.
(A) Antibody supershift analysis of the fast and slow-migrating C/EBPβ complexes. P388D1(IL1) nuclear extracts from cells grown without medium change (Extract #1) or from freshly fed cells (Extract #2) were incubated with normal rabbit serum or peptide antibodies directed against the C/EBPβ N terminus (C/EBPβ-N) or C terminus (C/EBPβ-C) before adding the binding site probe. Purified recombinant C/EBPβ was included as a control. The two slow-migrating complexes in extract #1 (p34-C/EBPβ) that are supershifted by the N-terminal antibody represent C/EBPβ homodimers (faint upper band) and a heterodimeric complex formed with an unidentified partner (lower band). (B) Truncated C/EBPβ species are dependent on the cell lysis procedure. Two hours before harvesting, P388D1(IL1) cells were washed with PBS and fed with fresh medium. The harvested cells were divided into two pools and nuclear extracts were prepared by either the hypotonic lysis or detergent lysis procedures (see Materials and Methods) and C/EBPβ species analyzed by EMSA.
(A) Antibody supershift analysis of the fast and slow-migrating C/EBPβ complexes. P388D1(IL1) nuclear extracts from cells grown without medium change (Extract #1) or from freshly fed cells (Extract #2) were incubated with normal rabbit serum or peptide antibodies directed against the C/EBPβ N terminus (C/EBPβ-N) or C terminus (C/EBPβ-C) before adding the binding site probe. Purified recombinant C/EBPβ was included as a control. The two slow-migrating complexes in extract #1 (p34-C/EBPβ) that are supershifted by the N-terminal antibody represent C/EBPβ homodimers (faint upper band) and a heterodimeric complex formed with an unidentified partner (lower band). (B) Truncated C/EBPβ species are dependent on the cell lysis procedure. Two hours before harvesting, P388D1(IL1) cells were washed with PBS and fed with fresh medium. The harvested cells were divided into two pools and nuclear extracts were prepared by either the hypotonic lysis or detergent lysis procedures (see Materials and Methods) and C/EBPβ species analyzed by EMSA.
Subsequent experiments showed that p14-C/EBPβ is generated by proteolysis of p34-C/EBPβ during nuclear extract preparation. A pool of cells harvested 2 hours after addition of fresh medium was divided into two aliquots, and nuclear extracts were prepared using either the standard hypotonic cell lysis procedure or a detergent (Nonidet P-40) lysis method. EMSA analysis of these extracts (Fig 2B) showed that the hypotonic nuclear extract contained p14-C/EBPβ, confirming the results of Fig 1. However, the extract prepared using detergent lysis produced only the two slow-migrating (p34-C/EBPβ) complexes. This experiment proves that C/EBPβ protein in these cells is intact and that the faster-migrating complexes are generated by proteolysis of p34-C/EBPβ during the hypotonic cell lysis procedure. We have found that a calpain-like protease is responsible for cleaving C/EBPβ to the 14- and 20-kD forms and that the activity of this protease does not appear to be affected by the growth medium (M.B., A.J. Lincoln, E. Sterneck, and P.F.J., unpublished results).
It should be emphasized that although truncated C/EBPβ species do not occur in the cell and are generated during hypotonic cell lysis, the susceptibility of C/EBPβ to proteolytic cleavage was consistently observed in extracts from cells exposed to fresh medium, but not from cells grown for several days without medium change. These findings suggest that C/EBPβ undergoes a regulated transition in the cell that, under the appropriate experimental conditions, is manifested as either sensitivity or resistance to an endogenous protease.
Proteolytic sensitivity of C/EBPβ is controlled by a secreted factor.
Because p14-C/EBPβ appeared in response to fresh growth medium, we postulated that the accumulation of a secreted factor might regulate the conversion of C/EBPβ to a proteolytically resistant state. To test this possibility, CM was harvested from 3-day old P388D1(IL1) cultures, fractionated by ultrafiltration, and added to freshly fed P388D1(IL1) cells. After culturing the cells for 8 hours, nuclear extracts were prepared using the hypotonic lysis method and analyzed by EMSA. As expected, nuclear extracts from untreated cells showed the proteolyzed form of C/EBPβ (Fig 3, lane 1). However, addition of the >30-kD MW fraction from P388D1(IL1) CM caused C/EBPβ to become more resistant to proteolysis (lane 5). The 0-to 10-kD and 10- to 30-kD MW fractions and unconditioned medium did not exhibit this activity (lanes 2 through 4). As expected for a protein factor, heating the >30-kD MW fraction for 10 minutes at 65°C abolished its activity (data not shown). We conclude that a secreted protein, which we provisionally term autocrine macrophage factor or AMF, is responsible for eliciting the protease-resistant state of C/EBPβ in P388D1(IL1) macrophages.
An autocrine factor in CM regulates C/EBPβ resistance to proteolysis. CM from 3-day-old cultures of P388D1(IL1) cells was fractionated by sequential ultrafiltration, with the flow-through fraction from the 30-kD cutoff membrane applied to the 10-kD cutoff filter. Fractions were applied to freshly fed cells, the cells were cultured for 8 hours, and nuclear extracts were prepared by the hypotonic lysis procedure. C/EBPβ binding activities were analyzed by EMSA.
An autocrine factor in CM regulates C/EBPβ resistance to proteolysis. CM from 3-day-old cultures of P388D1(IL1) cells was fractionated by sequential ultrafiltration, with the flow-through fraction from the 30-kD cutoff membrane applied to the 10-kD cutoff filter. Fractions were applied to freshly fed cells, the cells were cultured for 8 hours, and nuclear extracts were prepared by the hypotonic lysis procedure. C/EBPβ binding activities were analyzed by EMSA.
CM elicits changes in C/EBPβ subnuclear localization and expression.
We next examined whether the resistance of C/EBPβ to proteolysis induced by CM was associated with altered cellular localization. Indirect immunofluorescence analysis of P388D1(IL1), cells grown in the presence or absence of CM (hereafter, CM refers to the >30-kD MW fraction of P388D1(IL1) conditioned medium) showed striking differences in C/EBPβ localization within the nucleus. Freshly fed cells exhibited punctate areas of C/EBPβ staining in the nucleus (Fig 4A, K, and M) that were coincident with sites of strong DAPI staining (Fig 4B, L, and N). In contrast, CM-treated cells showed a diffuse or speckled staining pattern throughout most of the nucleus (Fig 4C, O, and Q). High magnification images of single cells showed that the diffuse staining was distinct from areas of intense DAPI staining; indeed, C/EBPβ appeared to be excluded from these regions in CM-treated cells (compare panels O and P, Q and R). These results demonstrate that a factor in CM promotes redistribution of C/EBPβ within the nucleus. The transition to diffuse localization appears to be responsible for the resistance of C/EBPβ to proteolytic digestion, either because its altered location in the nucleus renders it physically inaccessible to proteases or because changes in C/EBPβ phosphorylation or protein-protein interactions inhibit proteolytic digestion.
Effects of CM on subnuclear distribution and expression of C/EBPβ in macrophage cell lines. C/EBPβ expression and localization was assessed by indirect immunofluorescence in the macrophage cell lines P388D1(IL1) (A through D, K through R), IC-21 (E, F, I, and J), or T4.3 (G and H). Cells were grown in fresh medium for 16 hours in the absence (A, B, E, G, and K through N) or presence (C, D, F, H, I, J, and O through R) of CM. C/EBPβ was visualized using a peptide antibody specific for the N terminus of C/EBPβ. (B, D, L, N, P, and R) Show DAPI staining patterns for the corresponding immunofluorescent fields in the left-hand panels. Note that the punctate DAPI pattern is unchanged by treatment with CM. (I and J) Show CM-treated IC-21 cells stained with the C/EBPβ antibody in the absence (I) or presence (J) of the synthetic peptide used to generate the antiserum, and (K through R) are high magnification confocal images of individual cells. Fluorescent images were recorded using a Nikon Microphot-FXA microscope (Nikon, Tokyo, Japan) (A through D) or a Zeiss LSM 310 confocal microscope (Zeiss, Thornwood, NY) (E through R).
Effects of CM on subnuclear distribution and expression of C/EBPβ in macrophage cell lines. C/EBPβ expression and localization was assessed by indirect immunofluorescence in the macrophage cell lines P388D1(IL1) (A through D, K through R), IC-21 (E, F, I, and J), or T4.3 (G and H). Cells were grown in fresh medium for 16 hours in the absence (A, B, E, G, and K through N) or presence (C, D, F, H, I, J, and O through R) of CM. C/EBPβ was visualized using a peptide antibody specific for the N terminus of C/EBPβ. (B, D, L, N, P, and R) Show DAPI staining patterns for the corresponding immunofluorescent fields in the left-hand panels. Note that the punctate DAPI pattern is unchanged by treatment with CM. (I and J) Show CM-treated IC-21 cells stained with the C/EBPβ antibody in the absence (I) or presence (J) of the synthetic peptide used to generate the antiserum, and (K through R) are high magnification confocal images of individual cells. Fluorescent images were recorded using a Nikon Microphot-FXA microscope (Nikon, Tokyo, Japan) (A through D) or a Zeiss LSM 310 confocal microscope (Zeiss, Thornwood, NY) (E through R).
C/EBPβ immunofluorescence studies were also performed on two other murine macrophage cell lines, IC-21 and T4.3. In contrast to P388D1(IL1) cells, only weak C/EBPβ staining was detected in the nuclei of these cells before exposure to CM (Fig 4E and G). However, after treatment with CM for 16 hours, strong C/EBPβ immunofluorescence was observed in the nuclei of both cell lines (4F and H). The pattern was predominantly diffuse, similar to that seen in CM-treated P388D1(IL1) cells. The faint cytoplasmic fluorescence detected in IC-21 and T4.3 cells was nonspecific, as the peptide used to generate the C/EBPβ antiserum blocked nuclear, but not cytoplasmic staining (Fig 4I and J). Additionally, Western blot assays showed little or no C/EBPβ in the cytoplasmic fraction of either CM-treated or control cells (data not shown) and confirmed the increased nuclear expression of C/EBPβ (see Table 1 and Fig6). Thus, a factor secreted by P388D1(IL1) cells stimulates C/EBPβ expression in IC-21 and T4.3 macrophages.
Effects of Recombinant Cytokines and Growth Factors on C/EBPβ Expression, Protease Sensitivity and Subnuclear Localization in Two Macrophage Cell Lines
| Factor (concentration) . | P388D1(IL1) Cells . | IC-21 Cells . | ||
|---|---|---|---|---|
| Resistance to Proteolysis* . | IIF Staining† . | C/EBPβ Induction‡ . | IIF Staining† . | |
| Conditioned medium | + | D | + | D |
| IL-1α (10 ng/mL) | − | P | + | P |
| IL-1β (10 ng/mL) | − | P | + | P |
| IL-6 (20 ng/mL) | − | P | + | P |
| TNF-α (10 ng/mL) | ND | ND | + | P |
| IL-1ra (20 ng/mL) | − | P | − | − |
| IL-2 (10 ng/mL) | − | P | − | − |
| IL-3 (10 ng/mL) | − | P | − | − |
| IL-4 (10 ng/mL) | − | P | − | − |
| IL-7 (10 ng/mL) | − | P | − | − |
| IL-8 (25 ng/mL) | − | P | − | − |
| IL-10 (20 ng/mL) | − | P | − | − |
| IL-12 (50 U/mL) | − | P | − | − |
| Oncostatin M (20 ng/mL) | − | P | − | − |
| LIF (10 ng/mL) | − | P | − | − |
| IFN-α (500 U/mL) | − | P | − | − |
| IFN-γ (500 U/mL) | − | P | − | − |
| M-CSF (10 ng/mL) | − | P | − | − |
| G-CSF (10 ng/mL) | − | P | − | − |
| GM-CSF (5 ng/mL) | − | P | − | − |
| HGF (5 U/mL) | − | P | − | − |
| bFGF (10 ng/mL) | − | P | − | − |
| TGF-β (10 ng/mL) | − | P | − | − |
| LPS (20 μg/mL) | − | P | + | ND |
| Factor (concentration) . | P388D1(IL1) Cells . | IC-21 Cells . | ||
|---|---|---|---|---|
| Resistance to Proteolysis* . | IIF Staining† . | C/EBPβ Induction‡ . | IIF Staining† . | |
| Conditioned medium | + | D | + | D |
| IL-1α (10 ng/mL) | − | P | + | P |
| IL-1β (10 ng/mL) | − | P | + | P |
| IL-6 (20 ng/mL) | − | P | + | P |
| TNF-α (10 ng/mL) | ND | ND | + | P |
| IL-1ra (20 ng/mL) | − | P | − | − |
| IL-2 (10 ng/mL) | − | P | − | − |
| IL-3 (10 ng/mL) | − | P | − | − |
| IL-4 (10 ng/mL) | − | P | − | − |
| IL-7 (10 ng/mL) | − | P | − | − |
| IL-8 (25 ng/mL) | − | P | − | − |
| IL-10 (20 ng/mL) | − | P | − | − |
| IL-12 (50 U/mL) | − | P | − | − |
| Oncostatin M (20 ng/mL) | − | P | − | − |
| LIF (10 ng/mL) | − | P | − | − |
| IFN-α (500 U/mL) | − | P | − | − |
| IFN-γ (500 U/mL) | − | P | − | − |
| M-CSF (10 ng/mL) | − | P | − | − |
| G-CSF (10 ng/mL) | − | P | − | − |
| GM-CSF (5 ng/mL) | − | P | − | − |
| HGF (5 U/mL) | − | P | − | − |
| bFGF (10 ng/mL) | − | P | − | − |
| TGF-β (10 ng/mL) | − | P | − | − |
| LPS (20 μg/mL) | − | P | + | ND |
Cells were grown for 16 to 20 hours in fresh medium containing the indicated dose of each factor and then subjected to C/EBPβ analysis.
Abbreviations: LIF, leukemia inhibitory factor; IFN, interferon; M-CSF, macrophage-colony stimulating factor; GM-CSF, granulocyte/macrophage-colony stimulating factor; HGF, hepatocyte growth factor; bFGF, basic fibroblast growth factor; TGF-β, transforming growth factor-β; ND, no data.
C/EBPβ resistance to proteolysis in P388D1(IL1) cells was assayed by EMSA as described in Fig 1 (−, p14-C/EBPβ EMSA complex; +, p34-C/EBPβ complexes).
IIF (indirect immunofluorescence) staining of C/EBPβ was performed as described in Fig 3 (D, diffuse staining; P, punctate staining; −, weak or undetectable staining).
C/EBPβ induction refers to increased levels of C/EBPβ protein in IC-21 nuclear extracts as determined by Western blotting (+, elevated levels of C/EBPβ; −, basal levels of C/EBPβ).
In addition to its effects on C/EBPβ expression and localization, CM altered the morphology of P388D1(IL1) cells. Control cells treated with unconditioned medium displayed an elongated morphology and few vacuoles (Fig 5A). In contrast, CM-treated cells became rounded and less adherent and exhibited numerous vacuoles (Fig5B). These changes in morphology may be indicative of activated macrophages and were not observed in cells treated with individual cytokines (see below). In heterogeneous populations of cells, the vacuolized phenotype was only observed in cells that displayed diffuse C/EBPβ staining (data not shown), suggesting that these two events are coupled. Thus, an autocrine factor, possibly AMF itself, promotes morphological changes in P388D1(IL1) macrophages.
CM alters the morphology of P388D1(IL1) macrophages. Cells were treated with UCM (A, C, and E) or CM (B, D, and F) for 16 hours and their morphology assessed. Fixed cells were visualized with Nemarsky optics (A and B) on a Zeiss LSM 310 confocal microscope. C/EBPβ localization (C and D) and DAPI staining (E and F) were analyzed as described in the legend to Fig 4.
CM alters the morphology of P388D1(IL1) macrophages. Cells were treated with UCM (A, C, and E) or CM (B, D, and F) for 16 hours and their morphology assessed. Fixed cells were visualized with Nemarsky optics (A and B) on a Zeiss LSM 310 confocal microscope. C/EBPβ localization (C and D) and DAPI staining (E and F) were analyzed as described in the legend to Fig 4.
AMF activity cannot be reconstituted by a panel of recombinant cytokines and growth factors.
We next sought to determine if the activities in CM that elicit changes in C/EBPβ expression and subnuclear localization could be attributed to known cytokines or growth factors. Enzyme-linked immunosorbent assay (ELISA) measurements of several cytokines in concentrated CM showed detectable levels of TNF-α, IL-6, and transforming growth factor-β (TGF-β) (3.4, 6.1, and 4.4 ng/mL, respectively), but not IL-1α, IL-1β, IL-4, or IL-10 (data not shown). Because these cytokines are known to be involved in inflammatory responses, we tested these and several other recombinant factors for their effects on C/EBPβ expression and localization in P388D1(IL1) and IC-21 macrophages (Table1). Freshly fed P388D1(IL1) cells were exposed to each factor for 16 hours, after which nuclear extracts were prepared by hypotonic cell lysis and assayed for C/EBPβ binding activity by EMSA. None of the agents tested imparted resistance to proteolysis (Table 1). In addition, immunofluorescence staining showed that these factors did not alter the punctate nuclear C/EBPβ staining pattern seen in control cells, whereas CM-treated cells showed diffuse distribution.
We also tested the same panel of cytokines and growth factors on IC-21 cells. C/EBPβ protein levels in cytokine-stimulated cells were assayed by Western blotting and compared with control and CM-treated IC-21 cell extracts. While most of the factors had no effect, IL-1α, IL-1β, IL-6, and TNF-α stimulated C/EBPβ protein expression several-fold (Table 1). Immunofluorescence analysis confirmed that C/EBPβ is expressed in IC-21 cell nuclei after treatment with IL-1α, IL-1β, IL-6, and TNF-α. However, C/EBPβ expressed in these cells exhibited the punctate staining pattern. Thus, while each of the four factors induces C/EBPβ expression, none generated the diffuse C/EBPβ staining observed in CM-treated P388D1(IL1), IC-21 and T4.3 macrophages. Collectively, the data of Table 1 indicate that CM contains a potentially novel activity that is distinct from all of the cytokines tested to date.
Induction of C/EBPβ expression by CM is mediated by TNF-α.
To examine further the induction of C/EBPβ expression by CM, we determined the levels of C/EBPβ mRNA and protein in CM-stimulated IC-21 cells over a 24-h time course (Fig6). Western blot analysis showed a low basal level of C/EBPβ expression in this cell line, which increased as early as 4 hours after addition of CM. Maximal C/EBPβ expression (≈fivefold induction) was attained by 24 hours. Untreated cells displayed only a weak induction at the 24-hour time point. This modest but reproducible increase in C/EBPβ levels in control cells suggests that IC-21 cells also secrete an autocrine factor that stimulates C/EBPβ expression. Northern analysis showed that C/EBPβ mRNA levels remained substantially unchanged after CM stimulation, increasing less than twofold during the time course. Thus, the CM-induced increase in C/EBPβ protein expression is regulated, at least in part, at the posttranscriptional level.
TNF- in CM induces C/EBPβ expression. Kinetics of C/EBPβ protein and mRNA expression were assessed in control and CM-treated IC-21 macrophages. Cells were washed with PBS and given fresh medium 2 hours before the start of the experiment. At time 0, the cells were washed again and given fresh medium containing either concentrated P388D1(IL1) CM or concentrated unconditioned medium (control). In lanes 10 through 13, CM was preincubated with anti–TNF- neutralizing antibody for 1 hour before addition to the cells. Cells were harvested at the indicated times and divided into two aliquots for protein and RNA analysis. Nuclear extracts were prepared by detergent cell lysis and C/EBPβ protein was analyzed by immunoblotting using an anti-C/EBPβ antibody. C/EBPβ mRNA was analyzed by Northern blotting and levels were quantitated and normalized to actin. The fold increase in C/EBPβ mRNA was determined by comparison to the 0 hour time point.
TNF- in CM induces C/EBPβ expression. Kinetics of C/EBPβ protein and mRNA expression were assessed in control and CM-treated IC-21 macrophages. Cells were washed with PBS and given fresh medium 2 hours before the start of the experiment. At time 0, the cells were washed again and given fresh medium containing either concentrated P388D1(IL1) CM or concentrated unconditioned medium (control). In lanes 10 through 13, CM was preincubated with anti–TNF- neutralizing antibody for 1 hour before addition to the cells. Cells were harvested at the indicated times and divided into two aliquots for protein and RNA analysis. Nuclear extracts were prepared by detergent cell lysis and C/EBPβ protein was analyzed by immunoblotting using an anti-C/EBPβ antibody. C/EBPβ mRNA was analyzed by Northern blotting and levels were quantitated and normalized to actin. The fold increase in C/EBPβ mRNA was determined by comparison to the 0 hour time point.
The relatively high levels of TNF-α in CM together with the ability of recombinant TNF-α to induce C/EBPβ expression in IC-21 cells suggested that this cytokine might be responsible for the increased C/EBPβ levels in CM-treated cells. Therefore, we examined the effect of a neutralizing anti–TNF-α antibody on CM-induced expression of C/EBPβ in IC-21 cells. As shown in Fig 6, lanes 10 through 13, preincubating CM with an anti–TNF-α antibody inhibited the induction of C/EBPβ. This result indicates that TNF-α is the major component of CM responsible for upregulating C/EBPβ expression.
Because P388D1(IL1) macrophages secrete TNF-α constitutively, we wished to determine if the high level of C/EBPβ in these cells might result from autocrine stimulation by TNF-α. Removing the growth medium from 2- or 3-day-old cultures and adding fresh medium did not diminish C/EBPβ expression in P388D1(IL1) cells (Fig 1 and data not shown). However, because this procedure may not have completely removed TNF-α from cell surface receptors, we used a more stringent washing protocol. When cells from 2-day-old cultures were washed extensively with PBS at 37°C and then placed in fresh medium, they displayed reduced levels of C/EBPβ. Subsequent exposure of these cells to TNF-α for 4 hours caused a significant increase in C/EBPβ protein expression (data not shown). Thus, autocrine signaling by TNF-α may be responsible for the high constitutive levels of C/EBPβ in P388D1(IL1) cells.
CM stimulates C/EBPβ activity.
The relocalization of C/EBPβ in response to CM suggested that this protein might undergo an associated change in its transcriptional activity. To test this possibility, we cotransfected a C/EBP-dependent promoter-reporter construct and a C/EBPβ expression vector into macrophages and compared reporter expression in the presence and absence of CM. The macrophage cell line ANA-1 was used because these cells are more efficiently transfected than P388D1(IL1) or IC-21. The reporter construct used [(DEI)4-alb-LUC] contains four copies of a C/EBP binding site from the albumin gene inserted upstream of the albumin minimal promoter and is strongly activated by C/EBPβ.28 The (DEI)4-alb artificial promoter contains no other known transcription factor binding sites.
ANA-1 cells were cotransfected with (DEI)4-alb-LUC and a C/EBPβ expression vector, pMEX-C/EBPβ.28 Cotransfection of the C/EBPβ vector increased luciferase expression 20-fold to 200-fold over that of the reporter alone (data not shown). Treatment of the transfected cells with unconditioned medium (UCM) did not affect luciferase activity (Fig 7A). However, CM stimulated reporter gene expression 3.8-fold, indicating that a factor in CM enhances the transcriptional activity of C/EBPβ. CM therefore activates C/EBPβ in addition to altering its nuclear distribution and resistance to proteolysis. Expression of a reporter gene under the control of the SV-40 early promoter (“pGL2 promoter”) was not stimulated by CM, demonstrating that the effect of CM is specific.
CM stimulates the transcriptional potential of C/EBPβ. (A) Effect of CM or cytokines on C/EBPβ transcriptional activity in ANA-1 macrophages. Cells were transiently transfected with (DEI)4-alb-LUC and pMEX-C/EBPβ (upper panel) or pGL2-promoter (lower panel), a control promoter-luciferase construct. The cells were treated with the indicated agents 16 hours before harvesting. UCM and CM were preincubated for 1 hour at room temperature with 10 μg/mL -IL-6 or 10 μg/mL TNF- neutralizing antibodies. Recombinant human IL-6, murine TNF-, and LPS were used at concentrations of 10 ng/mL, 20 ng/mL, and 10 μg/mL, respectively. Luciferase activities were measured and normalized to protein concentration in each lysate. The data represent the average of at least three independent experiments. (B) C/EBPβ expression in transfected ANA-1 cells. The cells were transfected with pMEX-C/EBPβ-F, a derivative of the pMEX-C/EBPβ vector in which the C/EBPβ leucine zipper was replaced by the FLAG epitope.48Whole cell extracts were prepared and analyzed by Western blotting using the anti-FLAG M2 monoclonal antibody. CRM, cross-reacting material.
CM stimulates the transcriptional potential of C/EBPβ. (A) Effect of CM or cytokines on C/EBPβ transcriptional activity in ANA-1 macrophages. Cells were transiently transfected with (DEI)4-alb-LUC and pMEX-C/EBPβ (upper panel) or pGL2-promoter (lower panel), a control promoter-luciferase construct. The cells were treated with the indicated agents 16 hours before harvesting. UCM and CM were preincubated for 1 hour at room temperature with 10 μg/mL -IL-6 or 10 μg/mL TNF- neutralizing antibodies. Recombinant human IL-6, murine TNF-, and LPS were used at concentrations of 10 ng/mL, 20 ng/mL, and 10 μg/mL, respectively. Luciferase activities were measured and normalized to protein concentration in each lysate. The data represent the average of at least three independent experiments. (B) C/EBPβ expression in transfected ANA-1 cells. The cells were transfected with pMEX-C/EBPβ-F, a derivative of the pMEX-C/EBPβ vector in which the C/EBPβ leucine zipper was replaced by the FLAG epitope.48Whole cell extracts were prepared and analyzed by Western blotting using the anti-FLAG M2 monoclonal antibody. CRM, cross-reacting material.
To determine whether the activation of C/EBPβ was attributable to TNF-α or IL-6 present in CM, we pretreated CM with neutralizing antibodies against these cytokines. Although anti–TNF-α had no significant effect, anti–IL-6 inhibited much of the stimulatory activity of CM. Recombinant TNF-α did not activate C/EBPβ and IL-6 had only a modest stimulatory effect. Indeed, in most individual experiments recombinant IL-6 failed to enhance C/EBPβ transactivation (note that the data of Fig 7A represent the average of several experiments). TNF-α and IL-6 in combination also did not activate C/EBPβ. These results suggest that IL-6 is required, but not sufficient for efficient activation of C/EBPβ. The stimulatory activity of CM apparently requires both IL-6 and another component of CM, most likely AMF.
To verify that the increase in C/EBPβ-dependent transcription was not due to enhanced expression from the pMEX-C/EBPβ vector, we measured C/EBPβ expression in the absence and presence of CM. We used an FLAG-tagged C/EBPβ gene (pMEX-C/EBPβ-F; A.J. Lincoln, Y. Monczak, S.C.W. and P.F.J., unpublished results) for this experiment to monitor C/EBPβ expression from the vector. ANA-1 cells were transfected with pMEX-C/EBPβ-F, exposed to UCM, CM, IL-6,or TNF-α for 16 hours and then analyzed for C/EBPβ-F expression by Western blotting (Fig 7B). None of the treatments significantly increased C/EBPβ-F expression. These data support the notion that CM stimulates C/EBPβ-mediated transcription by posttranslational activation of the protein.
Cytokine gene expression is selectively activated by CM.
Because CM stimulated the ability of C/EBPβ to transactivate a C/EBP-dependent promoter-reporter construct, we asked whether CM treatment affected the expression of endogenous cytokine genes that are believed to be targets of C/EBPβ. Previous studies showed that C/EBPβ can stimulate transcription of IL-1β, MCP-1, and IL-6.7,9,10,13,14 18 To test whether CM induces expression of these genes, P388D1(IL1) cells were treated for 16 hours with CM or UCM and RNA was prepared. Northern blot analysis showed that CM elicited the expression of mRNAs for IL-1β and MCP-1, but not IL-6 or TNF-α (Fig 8). In contrast, all of these genes were strongly induced by LPS (data not shown). Thus, activation of C/EBPβ by an autocrine factor is associated with increased expression of two cytokine genes that are putative targets of this transcriptional regulator.
CM induces expression of endogenous cytokine genes. P388D1(IL1) cells were grown in serum-free medium in the presence or absence of CM for 16 hours. RNA was harvested and analyzed by Northern blotting using probes for IL-6, MCP-1, IL-1β, TNF-, and β-actin. The blot was hybridized sequentially with the five probes.
CM induces expression of endogenous cytokine genes. P388D1(IL1) cells were grown in serum-free medium in the presence or absence of CM for 16 hours. RNA was harvested and analyzed by Northern blotting using probes for IL-6, MCP-1, IL-1β, TNF-, and β-actin. The blot was hybridized sequentially with the five probes.
DISCUSSION
Macrophages secrete C/EBPβ-regulatory factors.
We report two activities secreted by P388D1(IL1) macrophages that influence the synthesis, subnuclear localization, and transcriptional activity of C/EBPβ. One of these factors, identified as TNF-α, stimulates C/EBPβ expression. TNF-α was previously found to increase C/EBPβ levels in fibroblasts,36 although induction of C/EBPβ by TNF-α in macrophages has not been reported. TNF-α was also shown to stimulate cytoplasmic-nuclear transport of C/EBPβ in hepatoma cells.37 Thus, TNF-α may either elicit increased expression of C/EBPβ or promote its translocation to the nucleus, depending on the cell type.
A second activity, which we refer to as AMF, has not been attributed to any known cytokines or growth factors. AMF promotes redistribution of C/EBPβ within the nucleus and stimulates the transcriptional activity of C/EBPβ in transfected macrophages. These responses were not elicited by TNF-α or IL-6, both of which are present in P388D1(IL1) CM, and an anti–TNF-α antibody did not block the redistribution of C/EBPβ by CM (data not shown). These findings demonstrate that TNF-α and AMF are independent activities. Our observations suggest that C/EBPβ is regulated in macrophages by two kinds of autocrine signals: one type (eg, TNF-α and IL-6) activates C/EBPβ expression and generates the punctate nuclear distribution pattern, while another (AMF) alters C/EBPβ localization in the nucleus and stimulates its transcriptional activity. In addition to increasing C/EBPβ expression, IL-6 may also cooperate with AMF to enhance C/EBPβ activity, as a neutralizing antibody against IL-6 inhibited much of the stimulatory effect of CM.
C/EBPβ localization within the nucleus is altered by CM.
Treatment of P388D1(IL1) cells with CM elicited a striking change in C/EBPβ localization, causing a transition from punctate nuclear distribution to diffuse nuclear staining (Fig 4). This is the first report of a regulated change in C/EBPβ subnuclear distribution. The punctate pattern was also observed in IC-21 cells stimulated with IL-1, IL-6, or TNF-α, whereas CM treatment led to diffuse C/EBPβ staining in these cells (Table 1). The areas of intense C/EBPβ staining in “punctate” cells colocalized with regions of strong DAPI fluorescence. The pattern of DAPI staining did not change following CM treatment, indicating that there were no gross alterations in nuclear structure. However, C/EBPβ was no longer localized in punctate units and, indeed, appeared to be excluded from the DAPI-staining bodies.
Other studies support the idea that the dispersed distribution of C/EBPβ reflects its association with active genes. For example, Carter et al38 reported that areas of nuclear poly(A) RNA concentration, called transcript domains, corresponded to regions of low DNA density (ie, weakly staining with DAPI) and hypothesized that these regions may be sites of active transcription. Transcript domains are distinct from the regions strongly labeled by DAPI, suggesting that the latter represent transcriptionally silent domains of the genome. In addition, Zeng et al39 found that RNA polymerase II is distributed in a punctate nuclear pattern in poorly transcribing cells, but displays dispersed localization in actively transcribing cells. Although the relationship between the punctate structures identified by RNA pol II staining and those described for C/EBPβ is presently unclear, our data are consistent with the notion that a transition to diffuse C/EBPβ localization in cells treated with CM reflects its association with actively transcribed genes.
A factor in CM activates C/EBPβ.
The change in C/EBPβ localization elicited by CM is associated with an increase in the transcriptional potential of this factor (Fig 7). Recombinant TNF-α did not activate C/EBPβ and IL-6 conferred only a weak effect, whereas both cytokines stimulated C/EBPβ expression. We favor the interpretation that changes in C/EBPβ subnuclear localization and activity are related events elicited by AMF. In support of this idea, the punctate pattern correlated with the inactivity of two putative C/EBPβ target genes, IL-1β and MCP-1, both of which can be transactivated by C/EBPβ and contain C/EBP binding sites in their promoter regions.13,14 18 In contrast, diffuse C/EBPβ distribution in CM-treated cells coincided with increased IL-1β and MCP-1 mRNA levels (Fig 8). Although we observe a correlation between diffuse nuclear localization and increased transcriptional activity of C/EBPβ, a relationship between these events can only be inferred at this point. A definitive test of whether a single factor is responsible for both the recompartmentalization and functional activation of C/EBPβ must await the purification of these activities from CM.
C/EBPβ is known to exist in a latent state due to the presence of two autoregulatory domains that inhibit its DNA-binding and transactivation functions, respectively.28,40 The repressed protein can be activated by deletion of the regulatory domains,28,40expression in certain cell types,26,28 or the action of specific protein kinases.40-43 It is possible that functional activation of C/EBPβ by CM involves reversal of the repression conferred by one or both inhibitory domains. The mechanism by which CM stimulates C/EBPβ activity (ie, whether DNA-binding or transcriptional potential is increased) is presently under investigation.
Cleavage of C/EBPβ by a cellular protease.
C/EBPβ isolated from cells cultured in the absence of CM was quantitatively cleaved by an endogenous protease when the cells were lysed in hypotonic buffer. Proteolysis occurred rapidly, before the nuclear isolation step. At present, it is unclear whether the protease resistant state is due to relocalization of C/EBPβ within the nucleus or whether protein:protein interactions or phosphorylation events induced by CM (and resultant structural changes in the protein) mask proteolytic cleavage sites in C/EBPβ. The efficient proteolysis of C/EBPβ during nuclear extract preparation may be relevant to reports of a 20-kD C/EBPβ species, LIP, which was proposed to arise from translational initiation at an internal methionine codon.35LIP has been detected in extracts from several cell types.35,44 45 As shown in Fig 1B, one of the partially cleaved C/EBPβ polypeptides from P388D1(IL1) extracts is indistinguishable from LIP, as judged by Western blot analysis. The extreme sensitivity of C/EBPβ to site-specific proteolysis, even in the presence of protease inhibitors, raises the possibility that truncated forms of C/EBPβ arise from proteolytic cleavage and not from alternative translational initiation. Regardless of whether in other cells LIP is a translational or proteolytic product, as a practical consideration, one should avoid hypotonic cell lysis procedures when preparing nuclear extracts for analysis of DNA-binding proteins, especially C/EBPβ, to minimize proteolysis.
Proposed biological role of AMF.
By analyzing the culture medium of LPS-stimulated IC-21 macrophages, we have detected an activity whose effects on cytokine production that are similar to those of AMF.46 These and other findings raise the possibility that AMF is normally secreted by activated macrophages and serves as an autocrine signal that stimulates transcription of specific cytokines through posttranslational activation of C/EBPβ. TNF-α could also function as a positive autocrine signal in LPS-stimulated macrophages by increasing C/EBPβ expression, in addition to its ability to activate NF-κB.47 Thus, TNF-α and AMF may act in concert to enhance C/EBPβ expression and activity, respectively, in activated macrophages. Although AMF production may normally be limited to activated macrophages, its accumulation in the medium of nonstimulated P388D1(IL1) cells could reflect deregulated expression of this factor in macrophage tumor cells.
It is unknown whether the production of AMF or responsiveness to this factor are exclusive properties of monocyte/macrophage cells. However, we were unable to detect AMF-like activities in either HepG2 (hepatocarcinoma) or L (fibroblast) cell supernatants, using proteolytic resistance of C/EBPβ in P388D1(IL1) cells as an assay (M.B. and P.F.J., unpublished results). It is now of considerable interest to determine whether other cell types secrete or respond to AMF and to purify and further characterize the biological functions of this factor.
ACKNOWLEDGMENT
We are indebted to H. Young for cDNAs and advice, C. Reynolds for recombinant cytokines, J. Turpin for advice and critical comments, J. Resau for confocal microscopy, T. Copeland for peptide antisera, P. Donovan for assistance with indirect immunofluorescence, and J. Turpin, H. Young, and E. Sterneck for critical reading of the manuscript. We also thank C. Weinstock and H. Marusiodis for expert secretarial assistance.
Supported in part by the National Cancer Institute, Department of Health and Human Services, under contract with Advanced BioScience Laboratories. R.C.S. is supported by American Cancer Society (ACS) Research Grant No. DB-110.
The contents of this publication do not necessarily reflect the views or policies of the Department of Health and Human Services, nor does mention of trade names, commercial products, or organizations imply endorsement by the US Government.
The publication costs of this article were defrayed in part by page charge payment. This article must therefore be hereby marked “advertisement” in accordance with 18 U.S.C. section 1734 solely to indicate this fact.
REFERENCES
Author notes
Address reprint requests to Peter F. Johnson, PhD, ABL-Basic Research Program, National Cancer Institute-Frederick Cancer Research and Development Center, PO Box B, Frederick, MD 21702-1201; e-mail: johnsopf@mail.ncifcrf.gov.
![Fig. 1. Altered C/EBPβ isoforms in macrophage extracts. (A) EMSA of C/EBPβ binding activities in P388D1(IL1) macrophage nuclear extracts. Cells were cultured for 3 days without medium change (0 hour), washed with PBS, and fed with fresh medium. Nuclear extracts were prepared at the indicated times (1 to 24 hours) and analyzed by EMSA using a consensus C/EBP binding site probe. (B) Western blot analysis of truncated C/EBPβ polypeptides. Analysis of C/EBPβ proteins in P388D1(IL1) nuclear extracts. A total of 15 μg of each nuclear extract from the time course shown in (A) were analyzed by Western blotting using an antiserum specific for the basic region (panCRP28). Bacterially expressed forms of C/EBPβ (full-length [p34], LIP [p20], and the DNA-binding domain [DBD]; lanes 8 through 10) were included as standards. Asterisks indicate weak bands that correspond to p34-C/EBPβ and p20-C/EBPβ.](https://ash.silverchair-cdn.com/ash/content_public/journal/blood/92/11/10.1182_blood.v92.11.4353/5/m_blod42321001aw.jpeg?Expires=1765888208&Signature=4gzjDgzvyihWo5Zm9BA3J04A7hK7lvVsGyxphiyvHQiuSzacqgjGFyIPxNXp2qCEFw3THbnjX0tVcUNJFR0sHgi09ELc9d8hKgW4tZ5r0C1U0cjpgQOye6fWyXJO4fKaQwwQTHhLuO1qefZ7TOebxGmO2O~RzfhTt6wT1R6AtOQ~aNtFdqmRvN6rEJ8HJeozRO7y9H5ivi0UcNteyBouk8u5btXfNvFnNfY78mJ9A5K-9Yqp4e604sRbFF9nLen8WOBeqxR2zGqLROi-yF7pJ-sBoG0qR9s1aW4pYyDZn2SaTpXQjqh5wRe9Vssg68jmDkQZ9XHZJ8YhXgwN81NpFA__&Key-Pair-Id=APKAIE5G5CRDK6RD3PGA)
![Fig. 1. Altered C/EBPβ isoforms in macrophage extracts. (A) EMSA of C/EBPβ binding activities in P388D1(IL1) macrophage nuclear extracts. Cells were cultured for 3 days without medium change (0 hour), washed with PBS, and fed with fresh medium. Nuclear extracts were prepared at the indicated times (1 to 24 hours) and analyzed by EMSA using a consensus C/EBP binding site probe. (B) Western blot analysis of truncated C/EBPβ polypeptides. Analysis of C/EBPβ proteins in P388D1(IL1) nuclear extracts. A total of 15 μg of each nuclear extract from the time course shown in (A) were analyzed by Western blotting using an antiserum specific for the basic region (panCRP28). Bacterially expressed forms of C/EBPβ (full-length [p34], LIP [p20], and the DNA-binding domain [DBD]; lanes 8 through 10) were included as standards. Asterisks indicate weak bands that correspond to p34-C/EBPβ and p20-C/EBPβ.](https://ash.silverchair-cdn.com/ash/content_public/journal/blood/92/11/10.1182_blood.v92.11.4353/5/m_blod42321001bw.jpeg?Expires=1765888208&Signature=hgGyguFBxVvqSkicQAADNUGXUtH4i-lzSISseCe42~4uO6sauSCzJ6vbfOKBUspdEHCj8kCz1ihjrU2iucspVmuthie69sPEWQb5OHWohaweqW31jdYq3zXpAMDfV33FQ2A1bH3kT2kYoTKMZ5-hZ5ezYFrVOvO~KA4HE1iSN6BEBu~ZUgmzsphxvRmJQFFqok~cG9yObrjYqFYcfoSOUhbCr~nwcAQIphCk2a2PDn2OcDjLkLwaa8te9ttBl1q0H7AckXTS-IwtQlOnZc3aCDYGNs2vZ-fIxnSCS8MFyAw5GUmicg~8anREjsOnmdgExuVp585tNT0XcnyZfDsAjg__&Key-Pair-Id=APKAIE5G5CRDK6RD3PGA)









This feature is available to Subscribers Only
Sign In or Create an Account Close Modal