Abstract
Leukemic transformation (LT) after an antecedent myeloproliferative neoplasm (MPN) carries a dismal prognosis. As such, there is a pressing need for new mechanistic insights into LT as well as novel therapeutic approaches. Mutational inactivation of TP53 is the most common somatic mutation in LT. However, the impact of TP53 allelic state on the ability to potentiate LT, as well as the pathways involved in this process, have largely remained unresolved.
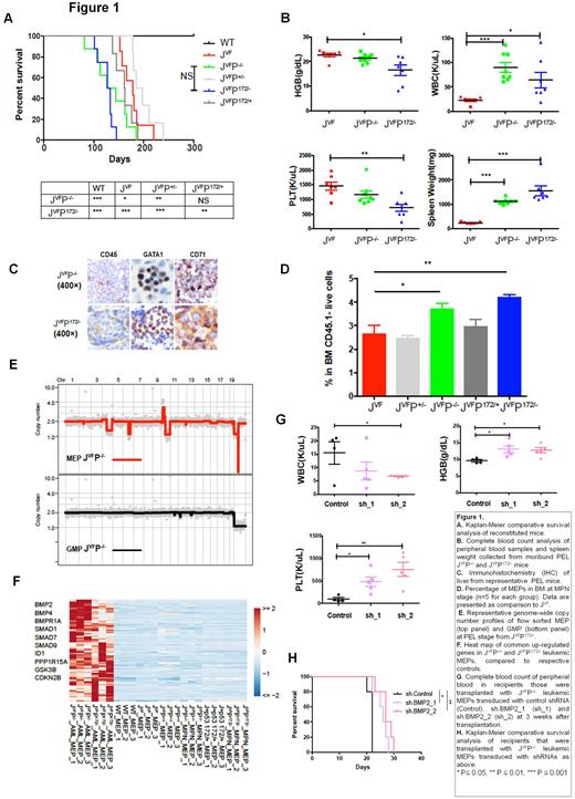
To investigate the role of Tp53 alterations in LT, we generated an allelic series of mouse models with Jak2V617F/+ combined with conditional Tp53 knockout and point mutant alleles (all crossed to Rosa-CreERT2); Jak2V617F/+(J VF) , Jak2V617F/+-Tp53fl/+(J VFP +/-), Jak2V617F/+-Tp53fl/fl (J VFP -/-), Jak2V617F/+-Tp53R172H/+(J VFP R172H/+), Jak2V617F/+-Tp53R172H/fl (J VFP R172H/-). After tamoxifen-induced recombination, mice transplanted with J VF, J VFP +/- and J VFP R172H/+ cells developed an MPN phenotype, whereas all the recipients of J VFP -/- and J VFP R172H/- bone marrow initially developed an MPN phenotype followed by transformation to acute leukemia with significantly impaired survival, and changes in blood counts and organ weights, compared to other genotypes (Fig 1A/B). Histopathology of J VFP -/- and J VFP R172H/- mice was consistent with pure erythroleukemia (PEL; Fig 1C).
Analysis of stem and progenitor compartments demonstrated that the MEP (Megakaryocyte Erythroid Progenitors) compartment was significantly expanded in the bone marrow and spleen of both J VFP -/- and J VFP R172H/- mice, compared to other genotypes, at both the MPN and PEL stages of disease, consistent with erythroid-biased hematopoiesis (Fig 1D).
Given we observed sequential MPN->AML progression, we hypothesized that additional genetic/biological events were required to promote LT. Sparse whole genome sequencing analysis revealed that transformation to PEL was associated with the development of recurrent copy number alterations (CNA) . Importantly, CNAs were restricted to the MEP compartment and not identified in the GMP compartment (Fig 1E), suggesting that MEPs might represent the leukemia initiating population with capability of acquiring additional genomic instability. Consistent with this hypothesis, mice transplanted with MEPs, but not GMPs from J VFP -/- and J VFP R172H/- mice at the MPN stage developed PEL. Further, single-cell RNA sequencing of J VF and J VFP -/- (at both MPN and PEL stage) demonstrated that the gene-expression signature of the leukemic population was most similar to that of erythroid progenitors and erythroblasts, and that by copy number inference analysis, CNAs were restricted to the leukemic population.
We identified 617 genes up-regulated in both J VFP -/- and J VFP R172H/- leukemic MEPs when compared to J VF MEPs using RNA-seq. Pathway analysis demonstrated increased expression of Bone morphogenetic protein (BMP) pathway genes in both J VFP -/- and J VFP R172H/- leukemic mice (Fig 1F). Importantly, similar observations were made in human PEL samples as well. To investigate the function of this pathway, leukemic MEPs from J VFP -/- and J VFP R172H/- mice were transduced with an shRNA-targeting Bmp2 or a control and injected into lethally irradiated recipient mice. Mice injected with Bmp2-shRNA MEPs demonstrated leukemic regression and restoration of normal hematopoiesis as evidenced by significant reductions in leukocytosis (p<0.05) and increased HGB (p<0.05) and an increase in PLT count (p<0.05/p<0.01) (Fig 1G). Finally, as compared to mice injected with leukemic MEPs with control shRNA, mice injected with Bmp2-shRNA had significantly longer survival (p<0.05) (Fig 1H). Thus, downregulation of Bmp2 results in attenuation of the leukemic phenotype.
Using novel models, we have identified that bi-allelic, but not mono-allelic Tp53 alteration is required for LT of MPN. The leukemia initiating population arises within the MEP compartment and is characterized by recurrent CNAs acquired in a specific hematopoietic compartment. Moreover, the BMP/SMAD pathway is upregulated in leukemic MEPs and plays a functional role in LT. Collectively, our data yields novel biological insights into the process of leukemic transformation mediated by Tp53 alterations. Data on selective therapeutic targeting of p53-mutant PEL will be presented at the meeting.
Xiao: Stemline Therapeutics: Research Funding. Lowe: Oric Pharmaceuticals: Membership on an entity's Board of Directors or advisory committees, Other: Founder; Blueprint Medicines: Membership on an entity's Board of Directors or advisory committees, Other: Founder; Mirimus, Inc: Membership on an entity's Board of Directors or advisory committees, Other: Founder; Faeth Therapeutics: Membership on an entity's Board of Directors or advisory committees, Other: Founder; PMV Pharmaceuticals: Membership on an entity's Board of Directors or advisory committees. Levine: Isoplexis: Membership on an entity's Board of Directors or advisory committees; Zentalis: Membership on an entity's Board of Directors or advisory committees; Ajax: Membership on an entity's Board of Directors or advisory committees; Auron: Membership on an entity's Board of Directors or advisory committees; Imago: Membership on an entity's Board of Directors or advisory committees; C4 Therapeutics: Membership on an entity's Board of Directors or advisory committees; Mission Bio: Membership on an entity's Board of Directors or advisory committees; Prelude: Membership on an entity's Board of Directors or advisory committees; QIAGEN: Membership on an entity's Board of Directors or advisory committees; Celgene: Research Funding; Gilead: Honoraria; Amgen: Honoraria; Lilly: Honoraria; Morphosys: Consultancy; Roche: Honoraria, Research Funding; Incyte: Consultancy; Janssen: Consultancy; Astellas: Consultancy. Rampal: Pharmaessentia: Consultancy; Abbvie: Consultancy; Kartos: Consultancy; Constellation: Research Funding; Jazz Pharmaceuticals: Consultancy; Incyte: Consultancy, Research Funding; Disc Medicine: Consultancy; BMS/Celgene: Consultancy; Novartis: Consultancy; CTI: Consultancy; Sierra Oncology: Consultancy; Stemline: Consultancy, Research Funding; Blueprint: Consultancy; Memorial Sloan Kettering: Current Employment.

This feature is available to Subscribers Only
Sign In or Create an Account Close Modal