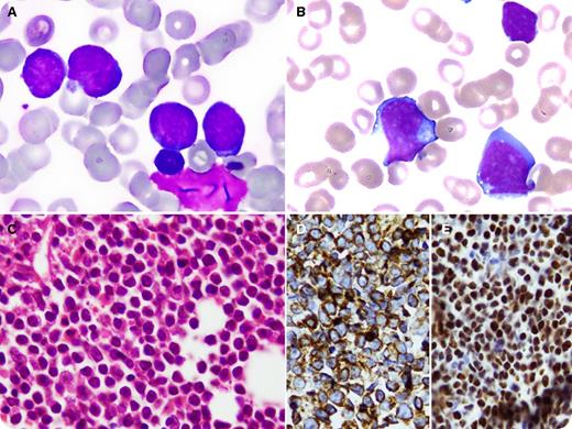
A 51-year-old man presented with fever, weakness, generalized body rash, and splenomegaly. Complete blood counts showed hemoglobin 12.1 g/dL, hematocrit 35.5%, mean corpuscular volume 81.8 fL, mean corpuscular hemoglobin 27.9 pg, white blood cells 76.9 × 109/L, absolute neutrophil count 5.5 × 109/L, and platelets 21 × 109/L. Peripheral blood film displayed 70% atypical lymphoid cells with basophilic cytoplasm having vacuolations and blast cells (panels A-B). Bone marrow aspirate had heterogeneous population of small to medium sized blast cells. Bone biopsy was effaced with predominant blast cells (panel C) expressing CD20 and CD10, with MYC/B-cell lymphoma 2 (BCL2) protein coexpression (panels D-E), and 100% Ki-67 index and negative for terminal deoxynucleotidyl transferase (Tdt) and Bcl6. Immunophenotyping showed reactivity to HLA-DR, CD45, CD19, CD20, CD22, and cCD79a and κ light chain restriction but was negative for Tdt. T8:14 was not detected by fluorescence in situ hybridization. A diagnosis of BCL unclassifiable (BCLU) with features intermediate between Burkitt lymphoma (BL) and diffuse large BCL (DLBCL) was made. The patient was started on chemotherapy but his disease was unresponsive and progressive.
In 2008, the World Health Organization defined BCLU as a distinct entity with overlapping histologic and molecular features of BL and DLBCL. Coexpression of MYC/BCL2 or “double expression” is associated with inferior survival.
A 51-year-old man presented with fever, weakness, generalized body rash, and splenomegaly. Complete blood counts showed hemoglobin 12.1 g/dL, hematocrit 35.5%, mean corpuscular volume 81.8 fL, mean corpuscular hemoglobin 27.9 pg, white blood cells 76.9 × 109/L, absolute neutrophil count 5.5 × 109/L, and platelets 21 × 109/L. Peripheral blood film displayed 70% atypical lymphoid cells with basophilic cytoplasm having vacuolations and blast cells (panels A-B). Bone marrow aspirate had heterogeneous population of small to medium sized blast cells. Bone biopsy was effaced with predominant blast cells (panel C) expressing CD20 and CD10, with MYC/B-cell lymphoma 2 (BCL2) protein coexpression (panels D-E), and 100% Ki-67 index and negative for terminal deoxynucleotidyl transferase (Tdt) and Bcl6. Immunophenotyping showed reactivity to HLA-DR, CD45, CD19, CD20, CD22, and cCD79a and κ light chain restriction but was negative for Tdt. T8:14 was not detected by fluorescence in situ hybridization. A diagnosis of BCL unclassifiable (BCLU) with features intermediate between Burkitt lymphoma (BL) and diffuse large BCL (DLBCL) was made. The patient was started on chemotherapy but his disease was unresponsive and progressive.
In 2008, the World Health Organization defined BCLU as a distinct entity with overlapping histologic and molecular features of BL and DLBCL. Coexpression of MYC/BCL2 or “double expression” is associated with inferior survival.
For additional images, visit the ASH IMAGE BANK, a reference and teaching tool that is continually updated with new atlas and case study images. For more information visit http://imagebank.hematology.org.

This feature is available to Subscribers Only
Sign In or Create an Account Close Modal