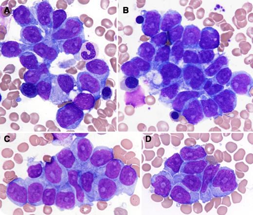
A 22-year-old man with no remarkable medical history presented with sweating and fatigue. His examination revealed hepatosplenomegaly with mild isolated thrombocytopenia (107 × 109/L). His leukocyte count was 8.5 × 109/L, without abnormal circulating cells, and his hemoglobin level was 13.1 g/dL. The remaining biological analyses were normal except for an elevated lactate dehydrogenase level (835 IU/L, normal <250 IU/L). The bone marrow aspirate showed infiltration of monomorphic, medium- to large-sized cells that were most often gathered in clusters rather than seldom isolated. The cells displayed regular and irregular nucleus outline; intermediate chromatin, sometimes blastic with prominent nucleoli; and a slight to moderately abundant amount of basophilic cytoplasm (panels A-D).
This cytomorphologic appearance looked consistent with metastatic cells. However, the immunophenotypic analysis revealed that these cells belong to T lineage showing expression of γ-δ T-cell receptors with CD3, CD2, CD56, CD16, CD11b, and weak CD7 expression, but no CD5, CD4, or CD8 expression. The examination of the bone marrow biopsy showed only intrasinusoidal involvement of these lymphoma cells, which were positive for T-cell intracellular antigen-1 but negative for granzyme B and perforin. The karyotype was normal. The molecular exploration detected a γ-δ T clone. We report here an unusual presentation of hepatosplenic T-cell lymphoma mimicking bone marrow metastasis. The presence of a blastic component does not rule out this diagnosis.
A 22-year-old man with no remarkable medical history presented with sweating and fatigue. His examination revealed hepatosplenomegaly with mild isolated thrombocytopenia (107 × 109/L). His leukocyte count was 8.5 × 109/L, without abnormal circulating cells, and his hemoglobin level was 13.1 g/dL. The remaining biological analyses were normal except for an elevated lactate dehydrogenase level (835 IU/L, normal <250 IU/L). The bone marrow aspirate showed infiltration of monomorphic, medium- to large-sized cells that were most often gathered in clusters rather than seldom isolated. The cells displayed regular and irregular nucleus outline; intermediate chromatin, sometimes blastic with prominent nucleoli; and a slight to moderately abundant amount of basophilic cytoplasm (panels A-D).
This cytomorphologic appearance looked consistent with metastatic cells. However, the immunophenotypic analysis revealed that these cells belong to T lineage showing expression of γ-δ T-cell receptors with CD3, CD2, CD56, CD16, CD11b, and weak CD7 expression, but no CD5, CD4, or CD8 expression. The examination of the bone marrow biopsy showed only intrasinusoidal involvement of these lymphoma cells, which were positive for T-cell intracellular antigen-1 but negative for granzyme B and perforin. The karyotype was normal. The molecular exploration detected a γ-δ T clone. We report here an unusual presentation of hepatosplenic T-cell lymphoma mimicking bone marrow metastasis. The presence of a blastic component does not rule out this diagnosis.
For additional images, visit the ASH IMAGE BANK, a reference and teaching tool that is continually updated with new atlas and case study images. For more information visit http://imagebank.hematology.org.

This feature is available to Subscribers Only
Sign In or Create an Account Close Modal