Key Points
Mer mediates quiescence and chemotherapy resistance in a CNS coculture model and causes CNS infiltration in immunodeficient mice.
Mer expression correlates with CNS positivity upon initial diagnosis in t(1;19)-positive pediatric ALL patients.
Abstract
Patients with t(1;19)-positive acute lymphoblastic leukemia (ALL) are prone to central nervous system (CNS) relapses, and expression of the TAM (Tyro3, Axl, and Mer) receptor Mer is upregulated in these leukemias. We examined the functional role of Mer in the CNS in preclinical models and performed correlative studies in 64 t(1;19)-positive and 93 control pediatric ALL patients. ALL cells were analyzed in coculture with human glioma cells and normal rat astrocytes: CNS coculture caused quiescence and protection from methotrexate toxicity in Merhigh ALL cell lines, which was antagonized by short hairpin RNA–mediated knockdown of Mer. Mer expression was upregulated, prosurvival Akt and mitogen-activated protein kinase signaling were activated, and secretion of the Mer ligand Galectin-3 was stimulated. Merhigh t(1;19) primary cells caused CNS involvement to a larger extent in murine xenografts than in their Merlow counterparts. Leukemic cells from Merhigh xenografts showed enhanced survival in coculture. Treatment of Merhigh patient cells with the Mer-specific inhibitor UNC-569 in vivo delayed leukemia onset, reduced CNS infiltration, and prolonged survival of mice. Finally, a correlation between high Mer expression and CNS positivity upon initial diagnosis was observed in t(1;19) patients. Our data provide evidence that Mer is associated with survival in the CNS in t(1;19)-positive ALL, suggesting a role as a diagnostic marker and therapeutic target.
Introduction
TAM (Tyro3, Axl, and Mer) receptors have been advocated as therapeutic targets in human cancers including leukemia.1-3 The TAM receptor family consists of Tyro3, Axl, and Mer4 which all have been found to have transforming properties.5-7 Mer expression has been shown on macrophages, natural killer (NK) cells, dendritic cells, megakaryocytes, and platelets,8 but it is not known to be present on normal T and B lymphocytes at any stage of differentiation. Aberrant Mer expression was detected in not only acute myeloid leukemia (AML),9 but also lymphocytic malignancies as T-cell acute lymphoblastic leukemia (T-ALL).10 Studies overexpressing Mer in fibroblasts found that it can induce extracellular signal-regulated kinase 1/2 (ERK1/2), c-Jun N-terminal kinase (JNK), p38, nuclear factor-κB (NF-κB) and enhance cell survival via phosphatidylinositol 3-kinase (PI3K)/AKT.2,11 Linger et al12 reported that Mer is overexpressed on pre-B-cell ALL (B-ALL) cells of pediatric patients with t(1;19)(q23;p13) translocation. Furthermore, inhibition of Mer by RNA interference (RNAi) reduced survival and chemoresistance of pre-B-ALL cell lines and prolonged survival of xenografts.12 Pediatric ALL with t(1;19)(q23;p13) translocation is found in about 3% to 5% of ALL patients and has an overall favorable prognosis.13 However, this translocation has been associated with late development of secondary malignancies such as mixed lineage leukemia (MLL)-rearranged AML and myelodysplastic syndrome.14 Worryingly, it has been reported that ALL patients with t(1;19)(q23;p13) have a significantly higher risk of suffering from central nervous system (CNS) relapses years after termination of therapy, suggesting the persistence of dormant residual disease in the CNS niche.15 The CNS is a sanctuary for ALL cells, as most of the chemotherapeutic drugs applied for treatment show poor penetration of the blood-brain barrier. Therefore, current pediatric treatment protocols combine high-dose systemic methotrexate (MTX) with intrathecal chemotherapy. Current CNS-targeted therapy is highly unspecific and can have side effects such as seizures, leukoencephalopathy, and late neurodevelopmental sequelae.16-18 These reasons make evident that diagnostic and prognostic markers predicting CNS disease are needed. Furthermore, targeted therapies in the CNS niche are important for further optimization of ALL therapy.
Here, we investigated the role of Mer expression in CNS disease in pediatric ALL with t(1;19) translocation and addressed its functional role using preclinical in vitro and in vivo models. We further included an analysis of a cohort of 64 t(1;19)-positive and 93 control pediatric ALL patients for correlations between Mer and clinical patient features. Targeting Mer resulted in a reduction of CNS disease in vivo. We conclude that Mer is associated with CNS involvement in t(1;19)-positive pediatric ALL patients and propose it as a diagnostic marker and target for the development of more specific CNS-targeted therapies in this subgroup.
Materials and methods
Ethics statement
Xenograft studies in mice were approved by the institutional ethics committee and the local government.
Cell lines, drugs, and inhibitors
REH, SUP-B15, RS4;11, and 697 (EU-3) cell lines were purchased from DSMZ. UoCB6 cells were kindly provided by Dr Marketa Kubricanova-Zaliova (CLIP, Prague, Czech Republic), MHH-CALL3 cells by Dr Martin Stanulla, U343-MG cells by Dr Rolf Mentlein (Institute of Anatomy, Kiel, Germany), and human immortalized mesenchymal stromal cells (MSCs)19 by Dr Dario Campana (St. Jude Children’s Hospital, Memphis, TN). Normal rat astrocytes (NRAs) were generated as previously published20 and provided by Dr Ralph Lucius (Institute of Anatomy, Kiel, Germany). Cell culture was performed according to standard conditions.21 Cell viability assays were performed using trypan blue exclusion. UNC-56922 was purchased from Axon Medchem.
Patient cells
Sixty-four patients in the test group were E2A-PBX1 positive and treated according to the ALL-Berlin-Frankfurt-Münster (BFM) 2000 protocol. Ninety-nine control patients were E2A-PBX1 negative, 6 of whom were excluded from final analysis as they succumbed to early treatment-related complications. The B-cell precursor ALL (BCP-ALL) control patients have been previously described.23 Information on the T-ALL cohort is given in supplemental Table 1 (see supplemental Data available on the Blood Web site). Informed consent was obtained according to institutional regulations, in accordance with the Declaration of Helsinki.
Xenografts
NSG (NOD.Cg-PrkdcscidIl2rgtm1Wjl/SzJ) mice were purchased from Charles River and bred at our institution. Eight- to 10-week-old female mice were injected intrafemorally with 1 × 106 ALL cells from patient bone marrow (>90% blasts) from initial diagnosis as previously published unless otherwise stated.24,25 For Figure 5C-H, secondary transplants from the spleen of Merhigh xenografts were established. Systemic disease was monitored clinically and by murine CD45/human CD45/human CD19 staining in blood samples. Animals were sacrificed upon detection of >75% leukemic blasts or clinical leukemia signs (weight loss, organomegaly, activity loss, hind-limb paralysis).
Expression assays, cell cycle analysis
Mer, Axl, and glyceraldehyde-3-phosphate dehydrogenase (GAPDH) antibodies were purchased from Cell Signaling. The allophycocyanin (APC)-labeled Mer and Tyro3 antibodies and Gas6/Galectin-3 enzyme-linked immunosorbent assays (ELISAs) were from R&D Biosystems. The anti-5-bromo-2′-deoxyuridine (BrdU)-APC antibody was from eBioscience, the p-Mer antibody from Abcam. Counterstaining was performed with 7-aminoactinomycin D (7-AAD). Western blotting was performed as described previously.26 Immunoprecipitation for Mer was performed using an anti-mouse Mer antibody from R&D Biosystems coupled to Sepharose G beads (Life Technologies). Magnetic-activated cell sorting (MACS) was performed using CD19 or CD45 beads from Miltenyi. Immunohistochemistry was performed in our Department of Children’s Pathology after mouse heads were decalcified, paraffin-embedded, and cut. CNS infiltration was scored by a pathologist blinded to the Mer status of the sample: negative (−), no detectable cells in the space between skull bone and brain tissue; intermediate (+), infiltration of the dura but no subdural infiltration; positive (++), infiltration of the dura and the subdural space. Quantitative polymerase chain reaction (qPCR) analyses were performed on the ABI7900HT PCR system using Quantitect primer assays from Qiagen. Gene expression data from the MILE study27 were analyzed using the R2 platform (http://r2.amc.nl).
Knockdown of Mer in 697 cells
A short hairpin RNA (shRNA) against Mer (TRCN0000000865) was cloned in the pSicoR-Ef1a-mCh construct (Addgene vector 31847). A pSicoR-Ef1a-mCh vector expressing an shRNA against green fluorescent protein (GFP) was used as a control (Addgene vector 31849). 697 cells were transduced with the respective viruses and sorted for mCherry-positive cells as described.28
Statistical analysis
Statistical analysis was performed using GraphPad Prism. Statistical significance in cell culture experiments was calculated using Student t tests unless otherwise stated. The χ2 test or Fisher exact test were used to compare baseline variables among the different Mer groups unless otherwise stated. An effect was considered statistically significant if the P value was ≤.05.
Results
Expression of Mer in ALL cell lines correlates with a quiescent phenotype in CNS cocultures and protects from MTX
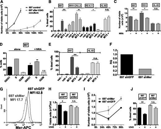
We started out screening ALL cell lines for Mer expression. High Mer expression was detected in MHH-CALL3 and 697 cells with the t(1;19) translocation and in REH and UoCB6 cells with the t(12;21) translocation. Low or absent Mer expression was found in SUP-B15 cells carrying the t(9;22) translocation, RS4;11 cells with t(4;11) and in the promyelocytic AML cell line HL-60 (Figure 1A). Hypothesizing a role for CNS glia in supporting survival of Mer-expressing ALL cells, we established a coculture model with U343 cells derived from a low-grade mixed astrocytoma/oligodendroglioma.29 We found that coculture of ALL cell lines with U343 for 48 hours resulted in a reduction of viable cells in all cell lines analyzed (Figure 1B). The observed effect was more pronounced in Merhigh cells and less appreciable in Merlow cells (Figure 1B). We performed flow cytometric cell cycle analyses after BrdU incorporation in coculture and, as a control, in coculture with human immortalized MSCs. Counterstaining with human CD19 or CD45 was performed for gating purposes (supplemental Figure 1). We found that U343 coculture induced a quiescent phenotype in ALL cells characterized by an arrest in G0/G1 and a drop in S-phase (Figure 1C-H). With the exception of a slight effect in RS4;11, this could not be observed when leukemic cells were cocultured with MSCs, which are considered supportive of leukemic survival.30-32 A 6- to 10-fold drop in S-phase and a large increase in G0/G1 were observed in the Merhigh t(1;19)-positive cells (Figure 1C-D). A 1.5- to twofold drop could be observed in UoCB6 and REH cells as well as the Merlow cell line SUP-B15 (Figure 1E-F and data not shown). Only marginal effects could be observed in the Merlow RS4;11 and HL-60 cells (Figure 1G-H). Quiescent 697 cells taken out of the coculture resumed growth after 1 week under standard culture conditions (Figure 2A). These data suggest that U343 coculture induces a dormant phenotype in leukemic cells, which correlates with their Mer expression level.
U343 coculture induces quiescence in Mer-expressing ALL cell lines. (A) Mer expression in ALL cell lines and in HL-60 cells by western blotting. (B) Culture of leukemic cells alone (−) and coculture of leukemic cells with U343 (+) for 48 hours reduces the number of viable leukemic cells as determined by trypan blue exclusion. (C-H) BrdU incorporation and subsequent 7-AAD staining in leukemic cells cultured alone or in 48-hour cocultures with U343 or MSC cells, as indicated. Cells were gated according to the gating strategy in supplemental Figure 1. Phases of the cell cycle are depicted as indicated. *P < .05; **P < .01; ***P < .001. ns, not significant.
U343 coculture induces quiescence in Mer-expressing ALL cell lines. (A) Mer expression in ALL cell lines and in HL-60 cells by western blotting. (B) Culture of leukemic cells alone (−) and coculture of leukemic cells with U343 (+) for 48 hours reduces the number of viable leukemic cells as determined by trypan blue exclusion. (C-H) BrdU incorporation and subsequent 7-AAD staining in leukemic cells cultured alone or in 48-hour cocultures with U343 or MSC cells, as indicated. Cells were gated according to the gating strategy in supplemental Figure 1. Phases of the cell cycle are depicted as indicated. *P < .05; **P < .01; ***P < .001. ns, not significant.
CNS cocultures cause dormancy in Mer-expressing leukemic cell lines and protect from MTX toxicity and shRNA-mediated Mer knockdown in 697 cells reverses this phenotype. (A) 697 control cells and 697 cells taken out of a 48-hour U343 coculture were seeded at equal densities under standard culture conditions. Viable cells were counted at the time points indicated. (B) MTX treatment in coculture with U343 cells. 697, RS4;11, and HL-60 cells were treated with 100 nM MTX or DMSO (veh) for 48 hours alone (−) or in cocultures with U343 cells (+). MHH-CALL3 cells were treated for 96 hours. The percentage of dead leukemic cells was determined by trypan blue exclusion. (C) Viable cells in NRA cocultures. Leukemic cells were cultured alone (−) or in coculture with NRAs (+) for 48 hours. The number of viable leukemic cells was determined by trypan blue exclusion. (D) BrdU incorporation and 7-AAD staining in 697 cells cultured alone or in 48-hour cocultures with NRAs. Phases of the cell cycle are depicted as indicated. (E) MTX treatment in NRA coculture. 697, (Merhigh) and HL-60 (Merlow) cells were treated with 100 nM MTX or DMSO (veh) for 48 hours alone (−) or in cocultures with NRAs (+). The percentage of dead leukemic cells was determined by trypan blue exclusion. (F-G) Efficiency of the Mer knockdown by shRNA, as determined by qPCR (F) and FACS staining (G). (H) 697shGFP and 697shMer cells were cultured alone (−) or in coculture with U343 (+) for 72 hours in serum-free media. The number of viable leukemic cells was determined by trypan blue exclusion. (I) Growth curves after coculture. 697shGFP and 697shMer cells taken out of a 48-hour U343 coculture were seeded at equal densities in standard culture conditions. Viable cells were counted at the time points indicated. (J) MTX in U343 coculture. 697shGFP and 697shMer cells were treated with 100 nM MTX or DMSO (veh) for 48 hours alone (−) or in cocultures with U343 cells (+). The percentage of dead leukemic cells was determined by trypan blue exclusion. *P < .05; **P < .01; ***P < .001.
CNS cocultures cause dormancy in Mer-expressing leukemic cell lines and protect from MTX toxicity and shRNA-mediated Mer knockdown in 697 cells reverses this phenotype. (A) 697 control cells and 697 cells taken out of a 48-hour U343 coculture were seeded at equal densities under standard culture conditions. Viable cells were counted at the time points indicated. (B) MTX treatment in coculture with U343 cells. 697, RS4;11, and HL-60 cells were treated with 100 nM MTX or DMSO (veh) for 48 hours alone (−) or in cocultures with U343 cells (+). MHH-CALL3 cells were treated for 96 hours. The percentage of dead leukemic cells was determined by trypan blue exclusion. (C) Viable cells in NRA cocultures. Leukemic cells were cultured alone (−) or in coculture with NRAs (+) for 48 hours. The number of viable leukemic cells was determined by trypan blue exclusion. (D) BrdU incorporation and 7-AAD staining in 697 cells cultured alone or in 48-hour cocultures with NRAs. Phases of the cell cycle are depicted as indicated. (E) MTX treatment in NRA coculture. 697, (Merhigh) and HL-60 (Merlow) cells were treated with 100 nM MTX or DMSO (veh) for 48 hours alone (−) or in cocultures with NRAs (+). The percentage of dead leukemic cells was determined by trypan blue exclusion. (F-G) Efficiency of the Mer knockdown by shRNA, as determined by qPCR (F) and FACS staining (G). (H) 697shGFP and 697shMer cells were cultured alone (−) or in coculture with U343 (+) for 72 hours in serum-free media. The number of viable leukemic cells was determined by trypan blue exclusion. (I) Growth curves after coculture. 697shGFP and 697shMer cells taken out of a 48-hour U343 coculture were seeded at equal densities in standard culture conditions. Viable cells were counted at the time points indicated. (J) MTX in U343 coculture. 697shGFP and 697shMer cells were treated with 100 nM MTX or DMSO (veh) for 48 hours alone (−) or in cocultures with U343 cells (+). The percentage of dead leukemic cells was determined by trypan blue exclusion. *P < .05; **P < .01; ***P < .001.
We next analyzed whether CNS cocultures protect ALL cells from chemotherapeutic toxicity. Merhigh 697 and MHH-CALL3 cells and Merlow RS4;11 and HL-60 cells were treated with MTX in the presence and absence of U343. U343 coculture resulted in a decrease in the number of dead cells in Merhigh cells but did not affect cell death in HL-60 (Figure 2B). RS4;11 cells were resistant to MTX and U343 coculture slightly increased their sensitivity to the drug (Figure 2B). This result suggests that compared with 2 Merlow cell lines, the presence of U343 protects Merhigh 697 cells from MTX toxicity, which is the mainstay of CNS-targeted therapy in ALL.
To confirm our results using nonmalignant glia cells, we cocultured leukemic cell lines with freshly isolated NRAs.20 NRA coculture for 48 hours caused a reduction of viable cells in 697 and REH cells, but not in HL-60 (Figure 2C). Cell cycle changes in 697/NRA were less marked than in 697/U343 cocultures (Figure 2D), but protection from MTX toxicity was profound in 697 cells only and not in HL-60 (Figure 2E). Next, we knocked down Mer in 697 cells using lentiviral shRNA delivery (Figure 2F-G). Only the 697shGFP control cell line went into quiescence in U343 coculture (Figure 2H) and 697shMer cells resumed regrowth faster when taken out of a 48-hour coculture with U343 (Figure 2I). Furthermore, knockdown of Mer entirely abrogated U343-induced MTX resistance (Figure 2J). These data add that CNS-induced quiescence and chemoresistance are also observed in NRA cocultures and are Mer-dependent in 697 cells.
Mer expression and Galectin-3 secretion are upregulated in U343 cocultures and prosurvival signaling is activated
We next hypothesized that U343 coculture influences Mer signaling in ALL cells. Gas6, a major activator of Mer signaling, is usually secreted in the bone marrow and considered a pro-proliferative signal.1,12 In contrast to MSC cells, U343 cells did not secrete Gas6 (Figure 3A). No paracrine effects between ALL and U343 cells potentiating Gas6 secretion1 could be observed as supernatants of U343 cocultures contained low or no Gas6 (supplemental Figure 2A). We next measured known Mer ligands in U343 compared with MSCs. Expression of Gas6, Protein S, Tulp, and Tubby messenger RNA (mRNA) was low but U343 cells expressed 6-fold more Galectin-3 mRNA than MSCs (Figure 3B). This was confirmed, measuring Galectin-3 in culture supernatants by ELISA (Figure 3C). 697/U343 cocultures showed a 3-fold induction of Galectin-3, which was not detectable in cocultures with UoCB6 or HL-60 (Figure 3C). Gas6 and Protein S form complexes with phosphatidylserine residues on apoptotic cells thereby enhancing receptor activation.33 We therefore measured apoptotic cells in cocultures with leukemic cells and U343 or MSCs. For all cell lines, the number of apoptotic cells was higher in U343 than in MSC cocultures (supplemental Figure 2B). These data suggest that in U343 cocultures Galectin-3, potentially in conjunction with apoptotic cells, may be an important Mer activator.
U343 cocultures induce Mer expression, Galectin-3 secretion, and survival signaling. (A) MSCs and U343 cells were cultured for the indicated time points in full serum conditions, and Gas6 was measured in culture supernatants by ELISA. (B) Mer ligand mRNA as indicated was measured in U343 as compared with MSC cells by qRT-PCR. (C) Galectin-3 protein levels were measured in cell culture supernatants of the indicated monocultures and cocultures after 72 hours. (D) Leukemic cell lines were cultured alone (−) or with U343 for 48 hours (+), then MACS sorted, and Mer expression was measured by western blotting in TCLs and IPs enriched for Mer. GAPDH was used as a loading control. (E) Leukemic cell lines were cultured alone (−) or with MSCs (+) for 48 hours. Surface staining of Mer was performed and measured via FACS (gated on leukemic cells). (F) Leukemic cell lines were cultured alone (−) or with U343 for 48 hours (+), then MACS sorted by positive selection for CD19 or CD45 and lysed. The indicated (phosphorylated) proteins were measured by western blotting. GAPDH was used as a loading control. *P < .05; **P < .01; ***P < .001. IP, immunoprecipitate; qRT-PCR, quantitative reverse transcription PCR; TCL, total cell lysate.
U343 cocultures induce Mer expression, Galectin-3 secretion, and survival signaling. (A) MSCs and U343 cells were cultured for the indicated time points in full serum conditions, and Gas6 was measured in culture supernatants by ELISA. (B) Mer ligand mRNA as indicated was measured in U343 as compared with MSC cells by qRT-PCR. (C) Galectin-3 protein levels were measured in cell culture supernatants of the indicated monocultures and cocultures after 72 hours. (D) Leukemic cell lines were cultured alone (−) or with U343 for 48 hours (+), then MACS sorted, and Mer expression was measured by western blotting in TCLs and IPs enriched for Mer. GAPDH was used as a loading control. (E) Leukemic cell lines were cultured alone (−) or with MSCs (+) for 48 hours. Surface staining of Mer was performed and measured via FACS (gated on leukemic cells). (F) Leukemic cell lines were cultured alone (−) or with U343 for 48 hours (+), then MACS sorted by positive selection for CD19 or CD45 and lysed. The indicated (phosphorylated) proteins were measured by western blotting. GAPDH was used as a loading control. *P < .05; **P < .01; ***P < .001. IP, immunoprecipitate; qRT-PCR, quantitative reverse transcription PCR; TCL, total cell lysate.
We next performed coculture experiments for 48 hours and separated leukemic cells with MACS beads. Western blotting of total cell lysates and of immunoprecipitates of Mer revealed that in UoCB6 and REH, Mer is markedly upregulated in coculture (Figure 3D). In 697, Mer stayed upregulated and Merlow HL-60 cells showed very little induction of Mer (Figure 3D). This was confirmed by flow cytometry (supplemental Figure 2C). There was no upregulation of Mer in 697 and REH subjected to MSC coculture making it unlikely that relative nutrient starvation upregulates Mer (Figure 3E). These data suggest that U343-responsive cells upregulate Mer or keep up Mer expression. In contrast, Merlow cells, in which U343 exerts low antiproliferative effects, show no or little upregulation of Mer. U343 coculture induced changes in PI3K/Akt and mitogen-activated protein kinase (MAPK) signaling. Prosurvival Akt signaling was induced in all Mer-expressing cell lines tested whereas phosphorylation of Akt was not induced in HL-60 cells (Figure 3F). Furthermore, JNK signaling, which can mediate proapoptotic and prosurvival signals,34 was activated in Mer-expressing cells but not in HL-60 (Figure 3F). REH cells did not show JNK activation but the pathway seems to be inactivated in this cell line (unpublished observation in western blot lysates from these cells, S.K., S.S., A.A., and D.M.S.). All Mer-expressing ALL cell lines but not HL-60 activated ERK signaling (Figure 3F). P38 signaling for which variable roles have been described in ALL35-37 was not consistently induced or repressed. Taken together, our data show that coculture leads to an upregulation of Mer or maintenance of Mer expression in U343-responsive cell lines and to an activation of Akt, JNK, and ERK signaling.
Mer expression is associated with CNS infiltration in xenografts of t(1;19)-positive patients
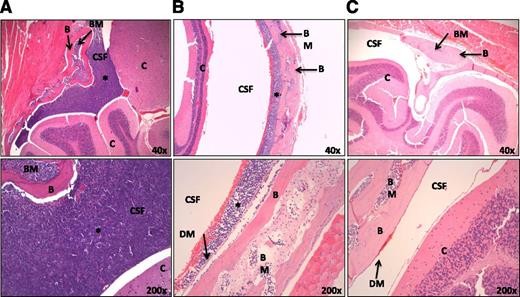
We next hypothesized that Mer enhances the capacity of primary patient samples to survive in the CNS of NSG mice. We established a semiquantitative score to measure leptomeningeal infiltration in NSG mice (Figure 4, supplemental Figure 3A). Mer levels in initial bone marrow samples of 10 patients with the t(1;19) translocation were determined by fluorescence-activated cell sorting (FACS) (Table 1). Samples were injected intrafemorally into duplicate NSG mice. The skulls of leukemic mice were prepared and analyzed by histopathology. Duplicate mice consistently showed equal scorings. Four of 6 patients in the Merhigh group were CNS++ in xenografts and the remaining 2 patients CNS+. In the Merlow group, 2 of 4 patients were CNS+ and 2 of 4 CNS− (Figure 4, Table 1). CNS infiltration by hematoxylin/eosin staining (Figure 4) was confirmed by CD19 immunohistochemistry (supplemental Figure 3A). To test whether Merhigh patients had a survival advantage in coculture with U343 cells, cells from 3 Merhigh and from 3 Merlow patients recovered from xenografts were analyzed. Coculture resulted in an increased survival in 2 of 3 Merhigh and 0 of 3 Merlow patient samples (supplemental Figure 3B). Our data suggest that primary bone marrow samples from Merhigh patients have a high potential to cause leptomeningeal infiltration in xenografts and show enhanced ex vivo survival in coculture. Furthermore, our data show that CNS infiltration can be assessed semiquantitatively in NSG mice.
Semiquantitative scoring of CNS infiltration in NSG xenografts. CNS infiltration was determined as described in “Materials and methods.” Hematoxylin/eosin stainings are depicted as examples for the scoring method: (A) ++ scoring (patient Merhigh 3), 1 positive sample; (B) + scoring (patient Merlow 9), 1 intermediate sample; and (C) − scoring (patient Merlow 8), 1 negative sample. Magnification: top panels, ×40; bottom panels, ×200. B, bone; BM, bone marrow; C, cerebrum/cerebellum; DM, dura mater; *, leukemic infiltration.
Semiquantitative scoring of CNS infiltration in NSG xenografts. CNS infiltration was determined as described in “Materials and methods.” Hematoxylin/eosin stainings are depicted as examples for the scoring method: (A) ++ scoring (patient Merhigh 3), 1 positive sample; (B) + scoring (patient Merlow 9), 1 intermediate sample; and (C) − scoring (patient Merlow 8), 1 negative sample. Magnification: top panels, ×40; bottom panels, ×200. B, bone; BM, bone marrow; C, cerebrum/cerebellum; DM, dura mater; *, leukemic infiltration.
Basic patient characteristics of the 10 t(1;19)-positive samples injected into NSG mice
| Patient . | Mer group . | Age, y . | Sex, M/F . | Patient CNS status . | Mer/697 FACS . | Xenograft CNS . |
|---|---|---|---|---|---|---|
| 1 | High | 4.0 | M | 2b | 0.97 | + |
| 2 | High | 17.6 | M | 3c | 0.70 | ++ |
| 3 | High | 8.3 | F | 2b | 1.32 | ++ |
| 4 | High | 10.3 | M | 2c | 0.79 | ++ |
| 5 | High | 3.7 | M | 3b | 0.97 | ++ |
| 6 | High | 11.3 | M | 3c | 0.70 | + |
| 7 | Low | 11.1 | M | 1 | 0 | − |
| 8 | Low | 12.4 | F | 3c | 0 | − |
| 9 | Low | 14.5 | F | 1 | 0.25 | + |
| 10 | Low | 12.8 | F | 1 | 0.18 | + |
| Patient . | Mer group . | Age, y . | Sex, M/F . | Patient CNS status . | Mer/697 FACS . | Xenograft CNS . |
|---|---|---|---|---|---|---|
| 1 | High | 4.0 | M | 2b | 0.97 | + |
| 2 | High | 17.6 | M | 3c | 0.70 | ++ |
| 3 | High | 8.3 | F | 2b | 1.32 | ++ |
| 4 | High | 10.3 | M | 2c | 0.79 | ++ |
| 5 | High | 3.7 | M | 3b | 0.97 | ++ |
| 6 | High | 11.3 | M | 3c | 0.70 | + |
| 7 | Low | 11.1 | M | 1 | 0 | − |
| 8 | Low | 12.4 | F | 3c | 0 | − |
| 9 | Low | 14.5 | F | 1 | 0.25 | + |
| 10 | Low | 12.8 | F | 1 | 0.18 | + |
Mer expression levels are expressed in reference to the 697 cell line. The CNS status of the patient and the xenografted animals according to the semiquantitative scoring are provided. Definitions of patient CNS status are provided in Table 2.
Inhibition of Mer reduces CNS infiltration in vivo
To test whether targeting Mer influences CNS infiltration in vivo, we used UNC-569, which is a specific Mer inhibitor.22 697 cells were treated with 800 nM UNC-569, subjected to pervanadate stimulation as published previously,38 and Mer protein was immunoprecipitated from whole-cell lysates. Western blotting confirmed a reduction in p-Mer (Figure 5A). We established secondary xenografts with Merhigh patient samples (patients 1 and 3 in Table 1, as indicated). Mice were treated daily with either 10 mg/kg UNC-569 by intraperitoneal injection or dimethylsulfoxide (DMSO) 0.1% as vehicle control starting on the day of transplantation up to the experimental endpoint (day 42 in Figure 5C-E, clinical leukemia signs in Figure 5F-H). UNC-569 potentially targets Axl or Tyro3, however, compared with Mer, low levels of Axl and no expression of Tyro3 were detected in the samples (Figure 5B). Treatment delayed the onset of leukemia as evidenced by a 5-fold reduction in human blasts in the peripheral blood on day 26 and a 2.3-fold reduction on day 40 (Figure 5C). All animals were sacrificed on day 42 and CNS infiltration was measured. Total leukemic burden in mice was equal in both groups as estimated by measurements of splenic volume (Figure 5D). Splenic volume is a surrogate for leukemic burden as it correlates with the number of viable human leukemic blasts recovered from NSG mice (supplemental Figure 3C). Eight of 10 animals in the DMSO and 3 of 10 animals in the UNC-569 group were CNS++. Two of 10 DMSO-treated and 4 of 10 mice treated with UNC-569 were CNS+. CNS− mice (3 of 10) were exclusively found in the UNC-569 group (Figure 5E). More animals injected with another Merhigh patient sample were treated with UNC-569. Mice were sacrificed only when leukemic symptoms were present. Survival in the treatment group was significantly longer than in the control group (Figure 5F) and spleen volumes in both groups were equal (Figure 5G). As in primary xenografts from this patient, no mice showed a CNS++ phenotype. Six of 10 animals in the DMSO and 2 of 10 in the UNC-569 group were CNS+. Four of 10 DMSO-treated mice and 8 of 10 in the UNC-569 group were CNS− (Figure 5H). Finally, we injected 697shGFP and 697shMer cells into mice that were sacrificed after 20 days. Spleen volumes were equal in both groups (data not shown) and no mice were CNS++. Seven of 9 shGFP, and 1 of 10 shMer, animals were CNS+ whereas 2 of 9 and 9 of 10 of the mice were CNS−, respectively (Figure 5I). Taken together, these data suggest that both targeting Mer with UNC-569 in Merhigh primary t(1;19) ALL xenografts and knocking down Mer by shRNA in 697 cells are efficient in reducing CNS infiltration in vivo.
Targeting Mer in vivo delays leukemia onset and decreases CNS infiltration. (A) 697 cells were subjected to treatment with 800 nM UNC-569 for 48 hours. Cells were then treated with 70 µM pervanadate for 3 minutes to stabilize the phosphorylated Mer (PV) or left untreated (no PV) and then lysed. IPs and supernatants were analyzed for p-Mer and total Mer expression by western blotting as indicated. Control lanes: empty (lysis buffer only), AbC (antibody control: buffer, antibody for IP, contains no beads and lysate), BC (bead control: contains lysate, beads, contains no IP antibody). (B) Primary xenograft cells from 2 t(1;19) Merhigh patients (#1 and 3 in Table 1) used for secondary xenograft transplantation were analyzed for Mer, Axl, and Tyro3 expression by western blotting. The OCI-AML-5 cell line was used as a control for detection of positive bands. β-Actin was used as a loading control. (C-E) Patient Merhigh #3. (C) Twenty NSG mice were xenografted with primary cells of patient #3 (secondary transplantation of primary xenograft spleen cells). Mice were treated with DMSO or 10 mg/kg UNC-569 intraperitoneally once per day starting on the day of transplantation until day 42. The percentage of blasts in the peripheral blood was determined by FACS analysis at the indicated time points (Mann-Whitney U test). (D) Splenic volume in patient #3 mice as approximated by the formula longest length × highest height × broadest width in cm3 (Mann-Whitney U test). (E) Semiquantitative scoring of CNS status upon sacrification of the patient #3 mice (χ2 test). (F-H) Patient Merhigh #1. (F) Twenty NSG mice were xenografted with primary cells of patient #1 (secondary transplantation of primary xenograft spleen cells). Mice were treated with DMSO or 10 mg/kg UNC-569 intraperitoneally once per day starting on the day of transplantation until they showed leukemic symptoms. The graph shows survival curves (Kaplan-Meier log-rank test). (G) Approximated splenic volume in patient #1 mice (Mann-Whitney U test). (H) Semiquantitative scoring of CNS status upon sacrification of the patient #1 mice (1-sided Fisher exact test). (I) Twenty mice were xenografted with 697shGFP and 697shMer cells. One mouse in the 697shGFP group died due to procedural complications. Mice were sacrificed on day 20. The table shows the semiquantitative scoring of CNS status upon sacrification of the mice (1-sided Fisher exact test). PV, pervanadate.
Targeting Mer in vivo delays leukemia onset and decreases CNS infiltration. (A) 697 cells were subjected to treatment with 800 nM UNC-569 for 48 hours. Cells were then treated with 70 µM pervanadate for 3 minutes to stabilize the phosphorylated Mer (PV) or left untreated (no PV) and then lysed. IPs and supernatants were analyzed for p-Mer and total Mer expression by western blotting as indicated. Control lanes: empty (lysis buffer only), AbC (antibody control: buffer, antibody for IP, contains no beads and lysate), BC (bead control: contains lysate, beads, contains no IP antibody). (B) Primary xenograft cells from 2 t(1;19) Merhigh patients (#1 and 3 in Table 1) used for secondary xenograft transplantation were analyzed for Mer, Axl, and Tyro3 expression by western blotting. The OCI-AML-5 cell line was used as a control for detection of positive bands. β-Actin was used as a loading control. (C-E) Patient Merhigh #3. (C) Twenty NSG mice were xenografted with primary cells of patient #3 (secondary transplantation of primary xenograft spleen cells). Mice were treated with DMSO or 10 mg/kg UNC-569 intraperitoneally once per day starting on the day of transplantation until day 42. The percentage of blasts in the peripheral blood was determined by FACS analysis at the indicated time points (Mann-Whitney U test). (D) Splenic volume in patient #3 mice as approximated by the formula longest length × highest height × broadest width in cm3 (Mann-Whitney U test). (E) Semiquantitative scoring of CNS status upon sacrification of the patient #3 mice (χ2 test). (F-H) Patient Merhigh #1. (F) Twenty NSG mice were xenografted with primary cells of patient #1 (secondary transplantation of primary xenograft spleen cells). Mice were treated with DMSO or 10 mg/kg UNC-569 intraperitoneally once per day starting on the day of transplantation until they showed leukemic symptoms. The graph shows survival curves (Kaplan-Meier log-rank test). (G) Approximated splenic volume in patient #1 mice (Mann-Whitney U test). (H) Semiquantitative scoring of CNS status upon sacrification of the patient #1 mice (1-sided Fisher exact test). (I) Twenty mice were xenografted with 697shGFP and 697shMer cells. One mouse in the 697shGFP group died due to procedural complications. Mice were sacrificed on day 20. The table shows the semiquantitative scoring of CNS status upon sacrification of the mice (1-sided Fisher exact test). PV, pervanadate.
Mer expression is associated with CNS positivity in t(1;19) ALL patients
Finally, we hypothesized that Mer expression in t(1;19)-positive patients is clinically relevant as a diagnostic marker of CNS disease. We screened 64 pediatric patients with t(1;19) translocation and 93 control patients with diverging CNS status for Mer mRNA expression by qPCR. Mer mRNA correlated with Mer protein expression on the cell surface as determined by FACS analysis in 45 of 64 t(1;19) patients for which cells were available (Figure 6A). Mer mRNA expression levels were significantly elevated in the t(1;19)-positive group as compared with all other groups (Figure 6B), recapitulating data in smaller cohorts12,27 (supplemental Figure 4). Interestingly, none of the t(1;19)-negative patient groups showed Mer mRNA levels similar to the t(1;19) patients, no matter if they were BCP- or T-lineage ALLs and regardless of signs of CNS infiltration at initial diagnosis or if patients suffered from CNS relapse (Figure 6B). To confirm this finding, we conducted FACS analyses for 39 of 93 control patients for which primary cells were available (Figure 6C). One patient showed similar Mer expression as the Merhigh t(1;19) patients. This confirms that the highest Mer levels are found in the t(1;19) subgroup and that Mer can also be expressed in other ALL entities.
Mer expression in t(1;19)-positive pediatric BCP-ALL patients was compared with t(1;19)-negative control ALL patients subdivided according to their CNS status at initial diagnosis and if they suffered from CNS relapse. CNS−/CNS+ BCP-ALL: BCP-ALL initially CNS negative or CNS positive, respectively. CNS−/CNS+ T-ALL: T-ALL, initially CNS negative or CNS positive, respectively. CNS− BCP-ALL/T-ALL, CNS relapse: BCP-ALL or T-ALL, respectively, initially CNS negative, but CNS relapse later on. Remission BM: Mononuclear cells from t(1;19) BCP-ALL patients at remission (MRD negative). (A) Correlation analysis of Mer mRNA expression as determined by qRT-PCR and Mer protein expression as determined by FACS analysis in 45 t(1;19)-positive samples. (B) Mer expression (qPCR). Mer mRNA expression in the patient cohort measured by qRT-PCR. (C) Mer expression (FACS). Mer protein expression in the patient cohort measured by FACS. The 697 and MHH-CALL3 cell lines were included as controls.
Mer expression in t(1;19)-positive pediatric BCP-ALL patients was compared with t(1;19)-negative control ALL patients subdivided according to their CNS status at initial diagnosis and if they suffered from CNS relapse. CNS−/CNS+ BCP-ALL: BCP-ALL initially CNS negative or CNS positive, respectively. CNS−/CNS+ T-ALL: T-ALL, initially CNS negative or CNS positive, respectively. CNS− BCP-ALL/T-ALL, CNS relapse: BCP-ALL or T-ALL, respectively, initially CNS negative, but CNS relapse later on. Remission BM: Mononuclear cells from t(1;19) BCP-ALL patients at remission (MRD negative). (A) Correlation analysis of Mer mRNA expression as determined by qRT-PCR and Mer protein expression as determined by FACS analysis in 45 t(1;19)-positive samples. (B) Mer expression (qPCR). Mer mRNA expression in the patient cohort measured by qRT-PCR. (C) Mer expression (FACS). Mer protein expression in the patient cohort measured by FACS. The 697 and MHH-CALL3 cell lines were included as controls.
Finally, Mer expression levels were correlated with clinical parameters in the t(1;19) group. Patients with Mer mRNA measurements equal or above the median were considered Merhigh (n = 33), all others Merlow (n = 31). The clinical parameters and the statistics are depicted in Table 2. So far, 2 patients suffered from relapses and succumbed to the disease. These data reflect that pediatric ALL with t(1;19) translocation has excellent outcomes. Nevertheless, it is noteworthy that both relapses with subsequent death occurred in the Merhigh group. Mer expression did not correlate with surrogate markers for outcome such as prednisone response or minimal residual disease (MRD). High Mer expression correlated with older patient age, usually reflecting a less favorable outcome in the pediatric population.39 Most importantly, high Mer expression correlated with parameters indicating CNS involvement at initial diagnosis such as the leukocyte count in the initial cerebrospinal fluid (CSF) sample and the presence of blasts in CSF cytospins40 (Table 2). CNS positivity, according to the 2009 criteria of the Italian Association of Pediatric Hematology and Oncology/Berlin-Frankfurt-Münster, includes patients with blasts in the CSF and patients with clinical symptoms of neurological affection, retinal infiltrations, and CNS infiltration in magnetic resonance imaging (MRI) scans. Taken together, our data suggest a role for Mer in extramedullary survival of t(1;19)-positive ALL cells.
Patient characteristics of the 64 t(1;19)-positive patients with high or low Mer expression levels for which correlation analyses with clinical parameters were performed
| . | Merlow, n = 31 . | Merhigh, n = 33 . | P . |
|---|---|---|---|
| Sex* | .3275 | ||
| Male | 12 | 17 | |
| Female | 19 | 16 | |
| Median age (95% CI) at diagnosis, y** | 6.5 (6.1-9.1) | 10.4 (8.2-11.7) | .0390 |
| WBC count*† | .0829 | ||
| <50 000/μL | 25 | 15 | |
| ≥50 000/μL | 6 | 11 | |
| Prednisone response*‡ | 1.0000 | ||
| Good | 26 | 28 | |
| Poor | 5 | 5 | |
| Risk group***§ | .9678 | ||
| MRD-SR | 13 | 13 | |
| MRD-IR | 13 | 14 | |
| MRD-HR | 5 | 6 | |
| Mean cell count (range) in diagnostic LP**** | 1.3 (0-14) | 11.2 (0-142) | .0485 |
| Blasts in LP cytospin*|| | .0393 | ||
| No | 24 | 17 | |
| Yes | 7 | 16 | |
| CNS status***|| | .0448 | ||
| CNS1 | 24 | 16 | |
| CNS2 | 6 | 12 | |
| CNS3 (CNS3c)¶ | 1 (1) | 5 (3) | |
| Relapse and death*# | .4926 | ||
| No | 31 | 31 | |
| Yes | 0 | 2 |
| . | Merlow, n = 31 . | Merhigh, n = 33 . | P . |
|---|---|---|---|
| Sex* | .3275 | ||
| Male | 12 | 17 | |
| Female | 19 | 16 | |
| Median age (95% CI) at diagnosis, y** | 6.5 (6.1-9.1) | 10.4 (8.2-11.7) | .0390 |
| WBC count*† | .0829 | ||
| <50 000/μL | 25 | 15 | |
| ≥50 000/μL | 6 | 11 | |
| Prednisone response*‡ | 1.0000 | ||
| Good | 26 | 28 | |
| Poor | 5 | 5 | |
| Risk group***§ | .9678 | ||
| MRD-SR | 13 | 13 | |
| MRD-IR | 13 | 14 | |
| MRD-HR | 5 | 6 | |
| Mean cell count (range) in diagnostic LP**** | 1.3 (0-14) | 11.2 (0-142) | .0485 |
| Blasts in LP cytospin*|| | .0393 | ||
| No | 24 | 17 | |
| Yes | 7 | 16 | |
| CNS status***|| | .0448 | ||
| CNS1 | 24 | 16 | |
| CNS2 | 6 | 12 | |
| CNS3 (CNS3c)¶ | 1 (1) | 5 (3) | |
| Relapse and death*# | .4926 | ||
| No | 31 | 31 | |
| Yes | 0 | 2 |
CI, confidence interval; HR, high risk; IR, intermediate risk; LP, lumbar puncture; RBC, red blood cell; SR, standard risk; TP, time point; WBC, white blood cell.
Fisher exact test, 2-sided P value; **unpaired t test with Welsh correction; ***χ2 test; ****Mann-Whitney test, 1-sided P value.
Seven patients in the Merhigh group had no available data on initial leukocyte count.
Good: <1000 leukemic blood blasts per microliter on treatment day 8, poor: >1000 per microliter.
Risk stratification according to MRD risk groups: MRD-SR = TP1+2 negative; MRD-IR = TP1 and/or TP2 <10−3; MRD-HR = TP2 ≥10−3. Prednisone-poor responders were stratified into the HR treatment group.
CNS status is defined as follows:
CNS1 = no clinical nor radiological signs of CNS involvement AND no blasts in the CSF cytospin.
CNS2 = no clinical nor radiological signs of CNS involvement AND CNS2a: <10 per microliter RBC and no macroscopic blood; ≤5 per microliter WBC; positive blasts in cytospin.
CNS2b = macroscopic blood and/or ≥10 per microliter RBC; ≤5 per microliter WBC; positive blasts in cytospin.
CNS2c = macroscopic blood and/or ≥10 per microliter RBC; >5 per microliter WBC; positive blasts in cytospin; negative according to algorithm (WBCL/RBCL)/(WBCB/RBCB) >2.
CNS3-CNS3a = <10 per microliter RBC and no macroscopic blood; >5 per microliter WBC; positive blasts in cytospin.
CNS3b = macroscopic blood and/or ≥10 per microliter RBC; >5 per microliter WBC; positive according to algorithm (WBCL/RBCL)/(WBCB/RBCB) >2.
CNS3c = clinical sings of CNS involvement, radiologically detectable cerebral lesion, retinal infiltrations.
In the CNS3c group, 3 of 4 patients had cerebral lesion and 1 of 4 patients in the Merhigh group had retinal infiltration. One of 4 CNS3c patients had no blasts in the CSF cytospin but cerebral lesion.
Both relapses were isolated bone marrow relapses.
Discussion
We hypothesized that Mer mediates the survival of ALL cells with the t(1;19) translocation in the CNS. We observed that ALL cell lines with high Mer expression entered G0/G1 arrest and became resistant to chemotherapy in CNS cocultures. These hallmarks of dormant residual disease were most notable in t(1;19) cell lines and could be reversed using a Mer shRNA. Furthermore, Merhigh patient samples showed increased CNS infiltration in xenografts, which was targetable by UNC-569. Most importantly, high Mer correlated with CNS positivity at initial diagnosis in t(1;19)-positive pediatric ALL patients.
It has been previously shown that downregulation of Mer in cell lines interferes with proliferation and survival.12 Our data provide evidence that Mer leads to the survival of t(1;19) ALL cells in cocultures mimicking the CNS. The upregulation of total Mer in coculture may be due to feedback mechanisms inducing Mer as a compensation for low or absent Gas6, or, by Mer activation through Galectin-3, potentially in conjunction with apoptotic cells. Mer-dependent intrinsic chemoresistance12 may be fundamentally different from coculture-driven Mer upregulation as the formation of complexes between TAM receptor ligands with apoptotic cells can cause an enhancement of Mer signaling.33 Moreover, it has been shown that Mer is important for the ingestion of apoptotic cells by macrophages, partly by release of Gas6 and perpetuation of Mer activity.41,42 This “niche”-dependent modulation of Mer may explain why Mer knockdown can result in MTX sensitization,12 whereas in CNS cocultures, Mer inhibition reverses chemoresistance. Cell lines with t(1;19) translocation showed the greatest drop in S phase but Merhigh cells with other translocations (REH, UoCB6) were also coculture responsive. This is likely due to the marked upregulation of Mer in these cell lines, explaining why basal Mer expression and response to U343 coculture did not correlate in a linear manner. Quiescence was accompanied by an activation of prosurvival ERK/JNK and Akt signaling. Phosphorylated Akt leads to the activation of the mammalian target of rapamycin (mTOR) pathway, causing chemoresistance in preclinical in vivo ALL models.43,44 Similarly, activation of ERK has been associated with an inferior prognosis in ALL.45,46 P-ERK can inhibit apoptosis by repressing Bim expression,47 inhibiting caspase-9,48 phosphorylating proapoptotic BimEL in order to target it for proteasomal degradation49,50 or by phosphorylating Bcl-2.51 Both ERK and Akt can also be prodifferentiation pathways52-54 and cell cycle exit can be a prerequisite for differentiation.55 Furthermore, maintenance of high ERK in conjunction with other MAPK pathways is required for the quiescence of T-ALL cells.56 JNK is also associated with survival signaling in acute leukemias, for example, by upregulating antiapoptotic genes in AML stem cells.57 Furthermore, the JNK-JunD pathway cooperates with NF-κB causing cell survival.34 Altogether, the pathways activated in Mer-expressing ALL cells in CNS coculture are known for inhibition of apoptosis but the detailed survival mechanism remains to be elucidated.
Our data link a higher incidence of initial CNS manifestations in the t(1;19) subgroup with Mer expression. A patient’s risk for CNS relapse is determined by microscopic examination of the CSF upon initial diagnosis.58 Conventional cytomorphology in the CSF reveals a maximum of 5% of ALL patients to be CNS positive,59 but the true number of positive patients identified by autopsy studies ranges around 50%.60 Intrathecal chemotherapy is administered at time points and doses dependent on the patient’s initial CNS staging. CNS involvement can be difficult to determine due to methodological limitations such as traumatic lumbar puncture (TLP) resulting in blood contamination, which makes an accurate assessment difficult or impossible. For that reason, TLP patients with a positive cytospin receive 1 or more additional intrathecal administrations of MTX, which may be dispensable if diagnostic markers for true CNS involvement existed. Mer is a marker that can be easily measured on the surface of ALL cells. Also, targeting Mer by new compounds61-63 may be used for the targeted treatment of CNS involvement. In the human system, it may further be important that Mer is able to counteract immunological responses, as Mer inhibition in tumor cells enhances antitumor activities of T64 and NK cells.63 Under normal conditions, only few NK cells are found in the CSF,65 however, CNS leukemia can cause an increased permeability of the blood-brain barrier.66 It may thus be beneficial to enhance their antitumor activity by Mer inhibition because it has been shown that NK cells efficiently lyse ALL cells.67
Mer mRNA expression in the t(1;19) samples was 1 to 2 logs higher than in other ALL subgroups. This is supported by data generated among different leukemia entities including the myeloid lineage (supplemental Figure 4). Our analysis of Mer protein expression in ALL patients revealed that Mer levels were low in CNS-positive BCP- and T-ALL and in patients with CNS relapses. However, there was 1 patient in the CNS-negative BCP-ALL group with very high Mer expression comparable to Merhigh t(1;19) patients. This is in accordance with published data showing that Mer can also be overexpressed in other B-ALL subgroups12 and in T-ALL.68 Furthermore, aberrant Mer expression at low levels may be important, for example, for invasive properties of tumor cells.69,70 However, Mer and CNS positivity correlated only in t(1;19) patients.
All in all, our results highlight Mer as a diagnostic marker in the t(1;19)-positive ALL subgroup and advocate a role of Mer signaling for leukemic survival in the CNS. Therapies targeting Mer in the CNS niche may reduce the incidence of CNS relapses in that entity, which may warrant testing in clinical trials.
The online version of this article contains a data supplement.
The publication costs of this article were defrayed in part by page charge payment. Therefore, and solely to indicate this fact, this article is hereby marked “advertisement” in accordance with 18 USC section 1734.
Acknowledgments
The authors thank Katrin Timm-Richert, Katrin Neumann, Annika Brauer, Christian Bretscher, and Birthe Fedders for excellent technical assistance.
D.M.S. and S.L. are supported by the Max-Eder Group Leader Program of the Deutsche Krebshilfe e.V. D.M.S. is supported by the Translational Research Training in Hematology Program 2014 of the European Hematology Association and the American Society of Hematology. S.L. is further supported by the Deutsche Forschungsgemeinschaft, the Roggenbruck Stiftung, the Hamburger Krebsgesellschaft, the Medical Faculty of the University of Hamburg FFM Program, and the Hamburger Exzellenzinitiative LEXI Program.
Authorship
Contribution: D.M.S. initiated, designed, and supervised research, analyzed data, and wrote the manuscript; S.K., C.P., S.S., A.A., J.W., and I.B.-B. designed and performed experiments and analyzed data; H.F. and A.M. analyzed data; C.V. performed experiments and analyzed data; S.L., G.C., M. Stanulla, and M. Schrappe commented and discussed the research direction and edited the manuscript; and all authors discussed the manuscript.
Conflict-of-interest disclosure: The authors declare no competing financial interests.
Correspondence: Denis M. Schewe, Department of General Pediatrics, ALL-BFM Study Group, University Hospital Schleswig-Holstein, Kiel, Germany; e-mail: denis.schewe@uksh.de.





