Idiopathic hypereosinophilic syndrome (HES) and chronic eosinophilic leukemia (CEL) comprise a spectrum of indolent to aggressive diseases characterized by unexplained, persistent hypereosinophilia. These disorders have eluded a unique molecular explanation, and therapy has primarily been oriented toward palliation of symptoms related to organ involvement. Recent reports indicate that HES and CEL are imatinib-responsive malignancies, with rapid and complete hematologic remissions observed at lower doses than used in chronic myelogenous leukemia (CML). These BCR-ABL–negative cases lack activating mutations or abnormal fusions involving other known target genes of imatinib, implicating a novel tyrosine kinase in their pathogenesis. A bedside-to-benchtop translational research effort led to the identification of a constitutively activated fusion tyrosine kinase on chromosome 4q12, derived from an interstitial deletion, that fuses the platelet-derived growth factor receptor-α gene (PDGFRA) to an uncharacterized human gene FIP1-like-1 (FIP1L1). However, not all HES and CEL patients respond to imatinib, suggesting disease heterogeneity. Furthermore, approximately 40% of responding patients lack the FIP1L1-PDGFRA fusion, suggesting genetic heterogeneity. This review examines the current state of knowledge of HES and CEL and the implications of the FIP1L1-PDGFRA discovery on their diagnosis, classification, and management. (Blood. 2004;103:2879-2891)

Protean biologic and clinical presentations characterize idiopathic hypereosinophilia (HES). HES is similar to other diseases given the moniker “diagnosis of exclusion,” in that limited understanding of the pathogenesis of the disease has hampered therapeutic advances. The demonstration of increased myeloblasts or clonality or the development of either granulocytic sarcoma or acute myeloid leukemia helps clarify the origin of some cases of chronic eosinophilic leukemia.1  In a subset of patients, hypereosinophilia is related to excessive secretion of eosinophilopoietic cytokines from a clonal population of lymphocytes.2  The identification of FIP1-like-1–platelet-derived growth factor receptor-α (FIP1L1-PDGFRA) in cases of HES/CEL adds to a growing list of activated fusion tyrosine kinases linked to the pathogenesis of chronic myeloproliferative disorders.3  It is unique, however, because it is the first description of a gain-of-function fusion protein resulting from a cryptic interstitial deletion between genes rather than a reciprocal chromosomal translocation. The FIP1L1-PDGFRα fusion protein transforms hematopoietic cells, and its kinase activity is inhibited by imatinib at a cellular 50% inhibitory concentration (IC50) 100-fold lower than BCR-ABL.3  Acquisition of an imatinib resistance mutation in the adenosine triphosphate (ATP)–binding domain of PDGFRA in a relapsed patient previously responsive to imatinib supports a critical role for FIP1L1-PDGFRα in the pathogenesis of disease and demonstrates that FIP1L1-PDGFRα is the therapeutic target of imatinib.3  The identification of this novel molecular target in HES and CEL patients will help refine genotype-phenotype correlations in these diseases and should aid basic research of the biologic pathways involved in eosinophil proliferation, differentiation, and signaling.

HES is predominantly a disease of men (male-female ratio, 9:1) and is usually diagnosed between the ages of 20 years and 50 years.4  In one series of 50 patients, the mean age at onset was 33 years and the mean duration of disease was 4.8 years (range, 1-24 years) during the time period the patients were followed.4  Rare cases in infants and children have also been described.5-7 

In 1968 Hardy and Anderson coined the term “hypereosinophilic syndrome” to describe patients with prolonged eosinophilia of unknown cause.8  Chusid et al in 1975 used 3 diagnostic criteria for HES that are still utilized today: (1) persistent eosinophilia of 1.5 × 109/L (1500/mm3) for longer than 6 months; (2) lack of evidence for parasitic, allergic, or other known causes of eosinophilia; and (3) signs and symptoms of organ involvement.9  In the recent World Health Organization (WHO) classification, a diagnosis of HES or CEL requires exclusion of reactive causes of eosinophilia (Table 1), malignancies in which eosinophilia is reactive (Table 1) or part of the neoplastic clone, and T-cell disorders associated with abnormalities of immunophenotype and cytokine production, with or without evidence of lymphocyte clonality.10  CEL has traditionally been distinguished from HES by the presence of increased peripheral blood (more than 2%) or marrow (5%-19%) blasts or the demonstration of a clonal cytogenetic abnormality in the myeloid lineage.10  However, this categoric distinction is now called into question by the identification of FIP1L1-PDGFRA in both forms of the disease (see “Implications of FIP1L1-PDGFRA for the diagnosis, classification, and treatment of eosinophilic disorders”).

Table 1.

Reactive causes of eosinophilia


Allergic/hypersensitivity diseases 
Asthma, rhinitis, drug reactions, allergic bronchopulmonary aspergillosis, allergic gastroenteritis  
Infections 
Parasitic (strongyloidiasis, Toxocara canis, Trichinella spiralis, visceral larva migrans, filariasis, schistosomiasis, Ancylostoma duodenale, Fasciola hepatica, Echinococcus, Toxoplasma, other parasitic diseases)  
Bacterial/mycobacterial  
Fungal (coccidioidomycosis, cryptococcus)  
Viral (HIV, herpes simplex virus [HSV], human T-cell leukemia virus type 2 [HTLV-2])  
Rickettsial  
Connective tissue diseases 
Churg-Strauss syndrome, Wegener granulomatosis, rheumatoid arthritis, polyarteritis nodosa, systemic lupus erythematosus, scleroderma, eosinophilic fasciitis/myositis  
Pulmonary diseases 
Bronchiectasis, cystic fibrosis, Loeffler syndrome, eosinophilic granuloma of the lung  
Cardiac diseases 
Tropical endocardial fibrosis, eosinophilic endomyocardial fibrosis or myocarditis  
Skin diseases 
Atopic dermatitis, urticaria, eczema, bullous pemphigoid, dermatitis herpetiformis, episodic angioedema with eosinophilia (Gleich syndrome)  
Gastrointestinal diseases 
Eosinophilic gastroenteritis, celiac disease  
Malignancies 
Hodgkin and non-Hodgkin lymphoma, acute lymphoblastic leukemia, Langerhans cell histiocytosis, angiolymphoid hyperplasia with eosinophilia (Kimura disease), angioimmunoblastic lymphadenopathy, solid tumors (eg, renal, lung, breast, vascular neoplasms, female genital tract cancers)  
Immune system diseases/abnormalities 
Wiskott-Aldrich syndrome, hyper-IgE (Job) syndrome, hyper-IgM syndrome, IgA deficiency  
Metabolic abnormalities 
Adrenal insufficiency  
Other
 
IL-2 therapy, L-tryptophan ingestion, toxic oil syndrome, renal graft rejection  

Allergic/hypersensitivity diseases 
Asthma, rhinitis, drug reactions, allergic bronchopulmonary aspergillosis, allergic gastroenteritis  
Infections 
Parasitic (strongyloidiasis, Toxocara canis, Trichinella spiralis, visceral larva migrans, filariasis, schistosomiasis, Ancylostoma duodenale, Fasciola hepatica, Echinococcus, Toxoplasma, other parasitic diseases)  
Bacterial/mycobacterial  
Fungal (coccidioidomycosis, cryptococcus)  
Viral (HIV, herpes simplex virus [HSV], human T-cell leukemia virus type 2 [HTLV-2])  
Rickettsial  
Connective tissue diseases 
Churg-Strauss syndrome, Wegener granulomatosis, rheumatoid arthritis, polyarteritis nodosa, systemic lupus erythematosus, scleroderma, eosinophilic fasciitis/myositis  
Pulmonary diseases 
Bronchiectasis, cystic fibrosis, Loeffler syndrome, eosinophilic granuloma of the lung  
Cardiac diseases 
Tropical endocardial fibrosis, eosinophilic endomyocardial fibrosis or myocarditis  
Skin diseases 
Atopic dermatitis, urticaria, eczema, bullous pemphigoid, dermatitis herpetiformis, episodic angioedema with eosinophilia (Gleich syndrome)  
Gastrointestinal diseases 
Eosinophilic gastroenteritis, celiac disease  
Malignancies 
Hodgkin and non-Hodgkin lymphoma, acute lymphoblastic leukemia, Langerhans cell histiocytosis, angiolymphoid hyperplasia with eosinophilia (Kimura disease), angioimmunoblastic lymphadenopathy, solid tumors (eg, renal, lung, breast, vascular neoplasms, female genital tract cancers)  
Immune system diseases/abnormalities 
Wiskott-Aldrich syndrome, hyper-IgE (Job) syndrome, hyper-IgM syndrome, IgA deficiency  
Metabolic abnormalities 
Adrenal insufficiency  
Other
 
IL-2 therapy, L-tryptophan ingestion, toxic oil syndrome, renal graft rejection  

One method for establishing a diagnosis of CEL is demonstration of eosinophil clonality; however, this is frequently not assessed or is difficult to confirm. Methods for demonstrating clonality include fluorescence in situ hybridization11  or cytogenetic analysis of purified eosinophils12  and, also, X chromosome inactivation analysis in women.13,14  X inactivation–based assessment of clonality is of limited value in HES because most patients are male. To avoid the emphasis placed on demonstrating clonality of eosinophils, Brito-Babapulle has advocated that, in cases of clonal eosinophilia, it is sufficient to demonstrate only that eosinophils are part of a clonal bone marrow disorder and not necessarily part of the malignant clone, with treatment tailored to the underlying disease.15  In this scheme, blood eosinophilia is divided into 3 categories: reactive (nonclonal eosinophilia), clonal disorders of the bone marrow associated with eosinophilia, and HES, which remains a diagnosis of exclusion.15 

Prior reviews have discussed the difficulty in using abnormal eosinophil morphology (eg, cytoplasmic hypogranularity or vacuolization, abnormal lobation, ring nuclei) to reliably distinguish reactive from clonal eosinophilia because these cytologic changes may be present in both conditions.15-17  Roufosse et al have proposed that disease presentations with CML-like features be segregated into a “myeloproliferative variant” of HES.18  Clinical and laboratory features associated with this variant include hepatomegaly, splenomegaly, anemia, thrombocytopenia, bone marrow dysplasia or fibrosis, and elevated levels of cobalamin. This is in contrast to a “lymphocytic variant” or T-cell–mediated HES (discussed in “T-cell–mediated HES”), which typically follows a more benign course and is usually manifested primarily by skin disease.18  Some patients exhibit overlapping characteristics of both variants. Although such groupings may correspond to biologic subsets of HES, evaluation of a large cohort of patients is required to validate their prognostic relevance.

In one large series, eosinophilia was discovered incidentally in 12% of patients.4  The most common presenting signs and symptoms were weakness and fatigue (26%), cough (24%), dyspnea (16%), myalgias or angioedema (14%), rash or fever (12%), and rhinitis (10%).4 Table 2 shows the cumulative frequency of organ involvement in 105 patients previously compiled from 3 series.4,17,19-21 

Table 2.

Organ involvement in hypereosinophilic syndrome


Organ system

Cumulative frequency from 3 studies, %*

Examples of organ-specific manifestations
Hematologic   100   Leukocytosis with eosinophilia; neutrophilia, basophilia, myeloid immaturity, immature and/or dysplastic eosinophils; anemia, thrombocytopenia or thrombocytosis, increased marrow blasts, myelofibrosis19,21  
Cardiovascular   58   Cardiomyopathy,28,29  constrictive pericarditis,30,31  endomyocarditis,32,33  mural thrombi,27,34  valvular dysfunction,27,35,36  endomyocardial fibrosis,37,38  myocardial infarction39  
Dermatologic   56   Angioedema,40  urticaria,40  papules/nodules,40  plaques,41  aquagenic pruritis,42  erythroderma,43  mucosal ulcers,44  vesicobullous lesions,45  microthrombi,46,47  vasculitis,48  Wells syndrome49  
Neurologic   54   Thromboembolism,50  peripheral neuropathy,50,51  encephalopathy,50,52  dementia,53,54  epilepsy,55  cerebellar disease,56  eosinophilic meningitis57  
Pulmonary   49   Pulmonary infiltrates,9,58  effusions,9,59  fibrosis,4  emboli,60  nodules/focal ground glass attenuation,61  acute respiratory distress syndrome (ARDS)62  
Splenic   43   Hypersplenism, infarct63  
Liver/gallbladder   30   Hepatomegaly,64  focal or diffuse hepatic lesions on imaging,64  chronic active hepatitis,65  hepatic necrosis,66  Budd-Chiari syndrome,67  sclerosing cholangitis,68  cholecystitis,69  cholestasis70  
Ocular   23   Microthrombi,71-73  choroidal infarcts,72  retinal arteritis,73  episcleritis,74  keratoconjunctivitis sicca,74  Adie syndrome (pupillotonia)75  
Gastrointestinal   23   Ascites,76  diarrhea,77  gastritis,78  colitis,69,78  pancreatitis77  
Musculoskeletal   N/A   Arthritis,79,80  effusions,80  bursitis,81  synovitis,82  Raynaud phenomena,83  digital necrosis,84  polymyositis/myopathy85,86  
Renal
 
N/A
 
Acute renal failure with Charcot-Leyden crystalluria,87  nephrotic syndrome,88  immunotactoid glomerulopathy,89  crescentic glomerulonephritis90 
 

Organ system

Cumulative frequency from 3 studies, %*

Examples of organ-specific manifestations
Hematologic   100   Leukocytosis with eosinophilia; neutrophilia, basophilia, myeloid immaturity, immature and/or dysplastic eosinophils; anemia, thrombocytopenia or thrombocytosis, increased marrow blasts, myelofibrosis19,21  
Cardiovascular   58   Cardiomyopathy,28,29  constrictive pericarditis,30,31  endomyocarditis,32,33  mural thrombi,27,34  valvular dysfunction,27,35,36  endomyocardial fibrosis,37,38  myocardial infarction39  
Dermatologic   56   Angioedema,40  urticaria,40  papules/nodules,40  plaques,41  aquagenic pruritis,42  erythroderma,43  mucosal ulcers,44  vesicobullous lesions,45  microthrombi,46,47  vasculitis,48  Wells syndrome49  
Neurologic   54   Thromboembolism,50  peripheral neuropathy,50,51  encephalopathy,50,52  dementia,53,54  epilepsy,55  cerebellar disease,56  eosinophilic meningitis57  
Pulmonary   49   Pulmonary infiltrates,9,58  effusions,9,59  fibrosis,4  emboli,60  nodules/focal ground glass attenuation,61  acute respiratory distress syndrome (ARDS)62  
Splenic   43   Hypersplenism, infarct63  
Liver/gallbladder   30   Hepatomegaly,64  focal or diffuse hepatic lesions on imaging,64  chronic active hepatitis,65  hepatic necrosis,66  Budd-Chiari syndrome,67  sclerosing cholangitis,68  cholecystitis,69  cholestasis70  
Ocular   23   Microthrombi,71-73  choroidal infarcts,72  retinal arteritis,73  episcleritis,74  keratoconjunctivitis sicca,74  Adie syndrome (pupillotonia)75  
Gastrointestinal   23   Ascites,76  diarrhea,77  gastritis,78  colitis,69,78  pancreatitis77  
Musculoskeletal   N/A   Arthritis,79,80  effusions,80  bursitis,81  synovitis,82  Raynaud phenomena,83  digital necrosis,84  polymyositis/myopathy85,86  
Renal
 
N/A
 
Acute renal failure with Charcot-Leyden crystalluria,87  nephrotic syndrome,88  immunotactoid glomerulopathy,89  crescentic glomerulonephritis90 
 

Modified from Weller and Bubley21  and from Brito-Babapulle17  with permission from Elsevier.

N/A indicates not available.

*

Data are taken from Fauci et al,4  Spry et al,19  and Lefebure et al.20 

Hematologic findings

Although persistent eosinophilia without a clinically identifiable cause is the sine qua non of HES, the hematologic picture can vary. Relatively modest elevations in the leukocyte count (eg, 20-30 × 109/L [20 000-30 000/mm3]) with peripheral eosinophilia in the range of 30% to 70% are commonly observed,9  but significantly higher leukocyte counts have also been reported.19,20  Neutrophilia, basophilia, myeloid immaturity, and both mature and immature eosinophils with varying degrees of dysplasia may be found in the peripheral blood or bone marrow.19,22  In one series, anemia was present in 53% of patients, thrombocytopenia was more common than thrombocytosis (31% versus 16%), and bone marrow eosinophilia ranged from 7% to 57% (mean, 33%).22  Charcot-Leyden crystals were frequent marrow findings, whereas increased blasts and myelofibrosis were less often observed.22 

Cardiac disease

The multistep process of cardiac injury illustrates some of the pathophysiologic mechanisms contributing to organ damage in HES (previously reviewed by Fauci et al4  and Weller and Bubley21 ). In the initial necrotic stage, cardiac disease may be initiated by eosinophil damage to the endocardium, with local platelet thrombus subsequently leading to formation of mural thrombi that have the potential to embolize (thrombotic stage). The contents of eosinophil granules, including major basic protein and eosinophilic cationic protein, may promote endothelial damage and hypercoagulablity, enhancing the thromboembolic risk.23,24  In the later fibrotic stage, organization of thrombus can lead to fibrous thickening of the endocardial lining and, ultimately, restrictive cardiomyopathy.4,21  Valvular insufficiency in HES is commonly related to mural endocardial thrombosis and fibrosis involving leaflets of the mitral or tricuspid valves.25-27 Table 2 lists manifestations of HES that have been reported in hematologic, cardiac, and other organ systems.

A proportion of HES cases exhibit expansion of abnormal lymphocyte populations. Immunophenotypic features include double-negative, immature T cells (eg, CD3+CD4-CD8-) or absence of CD3 (eg, CD3-CD4+), a normal component of the T-cell receptor complex.91-93  In patients with T-cell–mediated hypereosinophilia with elevated immunoglobulin E (IgE) levels, lymphocyte production of interleukin-5 (IL-5)—and in some cases IL-4 and IL-13—suggests that these T cells have a helper type 2 (Th2) cytokine profile.18,91,93-95  In a study of 60 patients recruited primarily from dermatology clinics, 16 had a unique population of circulating T cells with an abnormal immunophenotype.2  Clonal rearrangement of T-cell receptor genes was demonstrated in half of these individuals (8 of 60 total patients). The abnormal T cells secreted high levels of interleukin-5 in vitro and displayed an activated immunophenotype (eg, CD25 and/or HLA-DR expression). One patient during study and 3 at follow-up were diagnosed with T-cell lymphoma or Sézary syndrome, indicating that T cells in some HES patients have neoplastic potential. The factors that contribute to malignant transformation in T-cell–associated HES require further characterization. In some cases, accumulation of cytogenetic changes in T cells and proliferation of lymphocytes with the CD3-CD4+ phenotype have been observed.95-97  It is currently unknown whether subsets of T-cell–associated HES cases also express the FIP1L1-PDGFRA fusion.

Several hematologic malignancies are associated with eosinophilia. Eosinophilia is thought to result from the production of cytokines (eg, IL-3, IL-5, and granulocyte-macrophage colony-stimulating factor [GM-CSF]) from malignant cells in T-cell lymphomas,98  Hodgkin disease,99  and acute lymphoblastic leukemias.100,101  In some cases, isolated eosinophilia may herald the initial diagnosis or relapse of these conditions.

Over the last 3 decades, the list of chromosomal abnormalities in cases reported as HES or CEL has grown (reviewed by Bain102 ). However, a unique clonal karyotype has not been associated with these diseases, and most patients exhibit a normal karyotype by conventional cytogenetics. Although trisomy 8 is frequently detected in these eosinophilic disorders,103-106  it is also observed in other hematologic malignancies. Three HES case reports have described balanced reciprocal translocations within or near the chromosome 4q12 locus of the PDGFRA and KIT tyrosine kinases: t(3;4)(p13;q12),107  t(4;7)(q11;q32),108  and t(4;7)(q11;p13).109  The genes involved in these translocations were not identified. In a recent report, a 6-year-old girl with hypereosinophilia presented with a t(5;9)(q11;q34) constitutional translocation, involving genes for the ABL tyrosine kinase and possibly granzyme A on chromosome 5.7  In this case, no mention was made of the use of imatinib.

Eosinophils have been found to be part of the malignant clone in systemic mastocytosis,110  CML and other chronic myeloproliferative disorders (MPDs), and in specific subtypes of acute myeloid leukemia (AML). The best-characterized examples in the French-American-British classification of AML are M4Eo inv(16)(p13q22) or t(16;16)(p13;q22),111  resulting in chimeric fusion of the CBFβ and MYH11 genes, and M2 t(8;21)(q22;q22),112  which links the AML-1 and ETO genes. Other abnormal karyotypes reported in AML with eosinophilia include monosomy 7,113  trisomy 1,114  t(10;11)(p14;q21),115  t(5;16)(q33;q22),116  and t(16;21)(p11;q22).117  The latter 2 may represent chromosome 16 variants with an underlying cryptic fusion gene. Eosinophil clonality has been demonstrated in cases of eosinophilic myelodysplastic syndrome (MDS) with t(1;7) or dic(1;7) karyotypes.11,118  Eosinophilia is also a feature of acute and chronic hematologic malignancies with rearrangements involving transcription factor ETV6 (ETS translocation variant 6, TEL) on chromosome 12p13. Examples include the ETV6-ABL fusion in t(9;12)(q34;p13) AML119  and, also, the small subset of chronic myelomonocytic leukemia patients with t(5;12)(q33;p13), which fuses platelet-derived growth factor receptor-beta (PDGFRβ) on chromosome 5q33 to ETV6.120  In this latter disease, imatinib produces clinical remissions by inhibiting the deregulated activity of the fusion tyrosine kinase.121  Proliferation of eosinophils in some AML, MPD, and MDS cases is associated with rearrangements involving the long arm of chromosome 5 (eg, 5q31-33) where several genes encoding eosinophilic cytokines reside.122-124  In a study of 9 patients with MPD or mixed MDS/MPD and a translocation involving 5q31-33, fluorescence in situ hybridization (FISH) unmasked disruption of the PDGFRB gene in 6 cases.125  The translocations included t(1;5)(q21;q33), t(1;5)(q22;q31), t(1;3;5)(p36;p21;q33), t(2;12;5)(q37;q22;q33), t(3;5)(p21;q31), and t(5;14)(q33;q24). Eosinophilia was noted in 3 of these patients and noted in an additional case at the time of transformation to AML.125  Recent cloning of the t(1;5)(q23;q33) breakpoint revealed that PDGFRB is fused to the novel partner protein myomegalin.126  In a subset of B-cell acute lymphoblastic leukemias, translocation of the IL-3 gene on chromosome 5q31 to the immunoglobulin heavy chain gene on chromosome 14q32 is typically associated with eosinophilia.127  In the “stem cell” myeloproliferative disorders, mutation in a pluripotent hematopoietic progenitor results in a spectrum of diseases including T- or B-cell lymphoblastic lymphoma, bone marrow myeloid hyperplasia, and eosinophilia. These poor-prognosis disorders are related to recurrent breakpoints on chromosome 8p11 that involve translocation of the fibroblast growth factor receptor 1 (FGFR1) gene to 5 currently identified partner loci: FOP at 6q27,128 CEP110 at 9q33,129 FIM/ZNF198 at 13q12,130 BCR at 22q11,131  and the human endogenous retrovirus gene (HERV-K) at 19q13.132  Before attributing eosinophilia to HES or CEL, these various hematologic malignancies should be given diagnostic consideration.

A prior review of 57 HES cases included reports published between 1919 and 1973.9  The median survival was 9 months, and the 3-year survival was only 12%.9  These patients generally had advanced disease, with congestive heart failure accounting for 65% of the identified causes of death at autopsy. In addition to the development of cardiac disease, peripheral blood blasts or a white blood cell (WBC) count more than 100 ×109/L (100 000/mm3) were associated with a poor prognosis.9  A later report of 40 HES patients observed a 5-year survival rate of 80%, decreasing to 42% at 15 years.20  In this cohort, poor prognostic factors included the presence of a concurrent myeloproliferative syndrome, lack of response of the hypereosinophilia to corticosteroids, existence of cardiac disease, male sex, and the height of eosinophilia.20  Modern diagnostic methods and better treatment for cardiovascular disease probably contribute to improved survival.

In patients with persistent eosinophilia and organ damage due to reactive causes or clonal bone marrow disease, therapy should be directed to the underlying disorder. Some treatment algorithms have incorporated serial monitoring of eosinophil counts, evaluation of clonality (eg, T-cell–receptor gene rearrangement, immunophenotyping), bone marrow aspiration and biopsy with cytogenetics, and directed organ assessment (eg, echocardiography) to identify occult organ disease and alternative causes of eosinophilia that may slowly emerge after an initial diagnosis of HES.15,21  In patients with HES, corticosteroids (1 mg/kg/d) are indicated for organ disease and are useful for eliciting rapid reductions in the eosinophil count.4,21,133  Lack of steroid responsiveness warrants consideration of cytotoxic therapy. Hydroxyurea is an effective first-line chemotherapeutic for HES4,21,133 ; some benefit has also been reported for second-line agents including vincristine,134-136  pulsed chlorambucil,21  cyclophosphamide,137  and etoposide.138,139  Interferon-α (IFN-α) can elicit long-term hematologic and cytogenetic responses in HES and CEL patients resistant to other therapies, including prednisone and hydroxyurea.109,140-145  Some have advocated its use as initial therapy for these diseases.144  Remissions have been associated with improvement in clinical symptoms and organ disease, including hepatosplenomegaly,140,144  cardiac and thromboembolic complications,109,141  mucosal ulcers,143  and skin involvement.145  IFN-α exerts pleiotropic effects including inhibition of eosinophil proliferation and differentiation.146  Inhibition of IL-5 synthesis from CD4+ helper T cells may be relevant to its mode of action in T-cell–mediated forms of HES.147  IFN-α may also act more directly via IFN-α receptors on eosinophils, suppressing release of mediators including cationic protein, neurotoxin, and interleukin-5.148  Responses to cyclosporin A149,150  and 2-chlorodeoxyadenosine have also been reported in HES.151 

Bone marrow/peripheral blood stem cell allogeneic transplantation has been attempted in patients with aggressive disease. Disease-free survival ranging from 8 months to 5 years has been reported152-156  with one patient relapsing at 40 months.157  Allogeneic transplantation using nonmyeloablative conditioning regimens has been reported in 3 patients, with remission duration of 3 to 12 months at the time of last reported follow-up.158,159  Despite success in selected cases, the role of transplantation in HES is not well established. Transplantation-related complications including acute and chronic graft versus host disease as well as serious infections have been frequently observed.160,161 

Advances in cardiac surgery have extended the life of patients with late-stage heart disease manifested by endomyocardial fibrosis, mural thrombosis, and valvular insufficiency.4,21  Mitral and/or tricuspid valve repair or replacement26,35-37,162  and endomyocardectomy for late-stage fibrotic heart disease37,163  can improve cardiac function. Bioprosthetic devices are preferred over their mechanical counterparts because of the reduced frequency of valve thrombosis.

Leukapheresis can elicit transient reductions in high eosinophil counts but is not an effective maintenance therapy.164-166  Similar to other myeloproliferative disorders, splenectomy has been performed for hypersplenism-related abdominal pain and splenic infarction but is not considered a mainstay of treatment.19,167  Anticoagulants and antiplatelet agents have shown variable success in preventing recurrent thromboembolism.19,47,50,168 

Table 3 summarizes published case reports and series of patients with hematologic malignancies associated with eosinophilia who were treated with imatinib. The first case of imatinib treatment in HES was reported in 2001.169  The patient was resistant or intolerant to prior therapies including corticosteroids, hydroxyurea, and IFN-α. He was treated with imatinib based on the drug's efficacy in CML, with the hypothesis that the 2 diseases may share a common pathogenetic mechanism. The patient achieved a rapid and complete hematologic remission after taking 100 mg imatinib daily for 4 days. Complete disappearance of peripheral eosinophils occurred by day 35. Imatinib was decreased to 75 mg daily for headaches, which still effectively controlled eosinophil levels.

Table 3.

Published reports of imatinib in HES, CEL, and SM with eosinophilia


Author, year (reference no.)

No. of patients treated with imatinib

Disease

Responses*

Comments
Schaller and Burkland, 2001 (169)  1   HES   CR   Initial report; rapid hematologic remission on imatinib 100 mg/d  
Gleich et al, 2002 (170)  5   HES   4 CR   IL-5 levels normal in responders  
Ault et al, 2002 (167)  1   HES   CR   Resolution of 70% eosinophilia in 18 d on imatinib 100 mg/d  
Pardanani et al, 2003 (171)  7   HES, Eos-CMD   3 CR, 1 PR   IL-5 levels elevated in responders  
Cortes et al, 2003 (172)  9   HES   4 CR   3 responses at imatinib 100 mg mg/d; 1 response at 400 mg/d  
Cools et al, 2003 (3)   11   HES/CEL   9 CR  FIP1L1-PDGFRA fusion present in 5 of 9 responders  
Klion et al, 2003 (175)   7   HES-MPD   7 CR   Molecular remission in 5 of 6 patients tested for FIP1L1-PDGFRA after 1-12 mo of imatinib  
Pardanani et al, 2003 (176)
 
6
 
SM with eosinophilia
 
3 CR
 
Responders had FIP1L1-PDGFRA fusion and no D816V KIT mutation
 

Author, year (reference no.)

No. of patients treated with imatinib

Disease

Responses*

Comments
Schaller and Burkland, 2001 (169)  1   HES   CR   Initial report; rapid hematologic remission on imatinib 100 mg/d  
Gleich et al, 2002 (170)  5   HES   4 CR   IL-5 levels normal in responders  
Ault et al, 2002 (167)  1   HES   CR   Resolution of 70% eosinophilia in 18 d on imatinib 100 mg/d  
Pardanani et al, 2003 (171)  7   HES, Eos-CMD   3 CR, 1 PR   IL-5 levels elevated in responders  
Cortes et al, 2003 (172)  9   HES   4 CR   3 responses at imatinib 100 mg mg/d; 1 response at 400 mg/d  
Cools et al, 2003 (3)   11   HES/CEL   9 CR  FIP1L1-PDGFRA fusion present in 5 of 9 responders  
Klion et al, 2003 (175)   7   HES-MPD   7 CR   Molecular remission in 5 of 6 patients tested for FIP1L1-PDGFRA after 1-12 mo of imatinib  
Pardanani et al, 2003 (176)
 
6
 
SM with eosinophilia
 
3 CR
 
Responders had FIP1L1-PDGFRA fusion and no D816V KIT mutation
 

CR indicates complete hematologic remission; PR, partial hematologic remission; Eos-CMD, eosinophilia-associated chronic myeloproliferative disorder; HES-MPD, myeloproliferative variant of HES; and SM, systemic mastocytosis.

*

Refer to individual studies for response criteria.

FIP1L1-PDGFRA fusion not assessed.

A subsequent report included 5 HES patients treated with 100 mg imatinib daily.170  Four male patients with normal serum levels of interleukin-5 achieved complete hematologic remissions. One female patient with high levels of serum interleukin-5 did not respond to imatinib. All patients who responded were able to discontinue other treatments.

A third report described a 54-year-old man with HES and organ involvement including splenomegaly, skin, cardiac, and central nervous system disease.167  He was resistant to steroids and chemotherapy, including 2-chlorodeoxyadenosine and cytosine arabinoside. Before treatment, the WBC count was 9.7 × 109/L (9700/mm3) with 68% eosinophils. After 18 days of imatinib (100 mg daily), the patient achieved a complete hematologic remission with a WBC count of 3.9 × 109/L (3900/mm3) and 0% eosinophils. His hematologic response was accompanied by marked symptomatic improvement.

Another study reported the efficacy of 100 to 400 mg imatinib daily in 5 HES patients and 2 patients with a diagnosis reported as eosinophilia-associated chronic myeloproliferative disorder (eos-CMD).171  At a median follow-up of 17 weeks, 1 eos-CMD and 2 HES patients achieved complete clinical remissions, and an additional HES patient achieved a partial remission. Screening for known targets of imatinib, including BCR-ABL, or mutations in the coding exons of KIT and PDGFRB was negative. In contrast to the earlier report where complete remitters had normal serum interleukin-5 levels, the current group of responders had high serum levels. These disparate findings demonstrate that levels of this eosinophil-stimulating cytokine are not necessarily predictive of imatinib responsiveness in HES patients. Although imatinib was generally well tolerated, one responding HES patient experienced cardiogenic shock within the first week of treatment with a marked decrease in the left ventricular (LV) ejection fraction. Endomyocardial biopsy revealed eosinophilic myocarditis with evidence of eosinophil infiltration, degranulation, and myocyte damage. The patient was successfully treated with high-dose corticosteroids. LV function recovered, and the patient was restarted on imatinib and achieved a hematologic remission. More data are needed to evaluate the role of prophylactic steroids in HES patients with cardiac disease who receive imatinib treatment.

An additional cohort of 9 symptomatic HES patients (6 male; median age, 50) was treated with imatinib starting at 100 mg daily.172  They had received an average of 3 prior therapies. With median follow-up of 13 weeks, 4 male patients achieved a complete remission. Three exhibited response within the first 2 weeks of therapy, while the fourth required a dose increase to 400 mg daily at day 28 to attain a normal eosinophil count. Overall, treatment was well tolerated, with primarily grade 1 toxicities previously associated with imatinib reported.

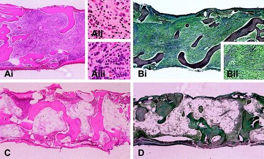
The largest study described 16 patients, including 11 treated with imatinib.3  At presentation, the median eosinophil count was 14.5 × 109/L (14500/mm3) (range, 4.96 × 109/L to 53 × 109/L [4960/mm3 to 53000/mm3]). Nine of the treated patients had normal karyotypes. One CEL patient had a clonal cytogenetic abnormality t(1;4)(q44;q12), and one patient with AML arising from CEL had a complex karyotype, including trisomies 8 and 19, add2q, and del6q. Hematologic responses were observed in 10 of 11 HES patients treated with imatinib at doses of 100 to 400 mg daily. The median time to response was 4 weeks (range, 1 to 12 weeks). Nine of the 10 patients demonstrated sustained hematologic responses (lasting at least 3 months), with a median duration of 7 months at the time of publication (range, 3 to 15 months). One patient had a transient response lasting several weeks and failed to derive benefit from an increase in the imatinib dose. Figure 1 shows a bone marrow biopsy from the CEL/AML patient with the complex karyotype before imatinib treatment and at the time of hematologic remission following 3 months of therapy.

Figure 1.

Bone marrow biopsy from a patient with AML and myelofibrosis arising from chronic eosinophilic leukemia. Bone marrow biopsies are shown before (A-B) and after (C-D) imatinib treatment. (A) Marrow biopsy section (Ai; hematoxylin and eosin; original magnification, × 4) is hypercellular with scattered eosinophils (Aii; original magnification, × 20) and columnar arrays of immature myeloid cells (Aiii; original magnification, × 20). (B) Reticulin stain highlights severe fibrosis (magnified view, Bii; original magnification, × 10). After 3 months of imatinib therapy, (C) marrow biopsy reveals marked hypocellularity without increased immature myeloid cells or eosinophils, and (D) reticulin stain shows markedly diminished fibrosis (original magnification, × 4 for panels C and D). After an additional 3 months, the patient relapsed with bone marrow findings similar to those in panels A and B. Screening of the FIP1L1-PDGFRA fusion at the time of relapse revealed the interval development of an imatinib resistance mutation (T674I) within the PDGFRA gene.

Figure 1.

Bone marrow biopsy from a patient with AML and myelofibrosis arising from chronic eosinophilic leukemia. Bone marrow biopsies are shown before (A-B) and after (C-D) imatinib treatment. (A) Marrow biopsy section (Ai; hematoxylin and eosin; original magnification, × 4) is hypercellular with scattered eosinophils (Aii; original magnification, × 20) and columnar arrays of immature myeloid cells (Aiii; original magnification, × 20). (B) Reticulin stain highlights severe fibrosis (magnified view, Bii; original magnification, × 10). After 3 months of imatinib therapy, (C) marrow biopsy reveals marked hypocellularity without increased immature myeloid cells or eosinophils, and (D) reticulin stain shows markedly diminished fibrosis (original magnification, × 4 for panels C and D). After an additional 3 months, the patient relapsed with bone marrow findings similar to those in panels A and B. Screening of the FIP1L1-PDGFRA fusion at the time of relapse revealed the interval development of an imatinib resistance mutation (T674I) within the PDGFRA gene.

Close modal

The molecular basis for response in most patients was inhibition of a novel fusion tyrosine kinase, FIP1L1-PDGFRα, in which a newly described human gene, FIP1-like-1 (FIP1L1), is fused to the gene encoding platelet-derived growth factor receptor-α (PDGFRA).3  The FIP1L1 gene encodes a protein that is homologous to a previously characterized Saccharomyces cerevisiae protein, Fip1, a synthetic lethal component of the mRNA polyadenylation apparatus.173  The fusion gene is generated by an interstitial deletion on chromosome 4q12 rather than a reciprocal translocation.3 FIP1L1-PDGFRA was present in 9 (56%) of 16 HES patients. In patients for whom FIP1L1-PDGFRA testing was performed, the fusion was detected with a similar frequency in treated (5 of 10) and untreated (4 of 6) patients.3  All 5 patients with the FIP1L1-PDGFRA fusion responded to imatinib.3  However, an additional 4 patients with durable responses to imatinib lacked FIP1L1-PDGFRA, indicating that an as yet unidentified target of imatinib is responsible for HES in these cases.3  To date, no primary treatment failures to imatinib have been reported in patients with the FIP1L1-PDGFRA fusion.

The FIP1L1-PDGFRA genotype may cosegregate with a clinical phenotype including myeloproliferative-like HES (HES-MPD), tissue fibrosis, and increased serum tryptase levels.174,175  The FIP1L1-PDGFRA fusion was identified in all 7 HES-MPD patients with elevated serum tryptase levels (all were treated with imatinib and responded)175 ; in an earlier companion study, the fusion was not detected in 4 HES patients with normal serum tryptase or 2 patients with familial eosinophilia. FIP1L1-PDGFRA may also be related to the pathogenesis of eosinophilic subsets of systemic mastocytosis (SM). Deletion of the CHIC2 locus, a surrogate for the FIP1L1-PDGFRA fusion, was detected in imatinib-responsive patients diagnosed with systemic mastocytosis (SM) and eosinophilia but not in 2 other patients with SM and the KIT Asp816Val (D816V) mutation who exhibited no response to imatinib.176 

Currently, limited data are available regarding imatinib's ability to reverse eosinophil-related organ damage. Among 3 HES-MPD patients with endomyocardial fibrosis and congestive heart failure, there was no improvement in cardiac disease despite complete hematologic responses to imatinib.175  However, significant improvement of respiratory symptoms associated with clearing of interstitial infiltrates on chest computed tomography (CT)171,175  and normalization of pulmonary function testing have been reported.175  We and others have demonstrated reversal of myelofibrosis (Figure 1).175 

The FIP1L1-PDGFRA fusion gene is created by the del(4)(q12q12), an 800-kb deletion on chromosome 4q12 (Figure 2).3  The deletion is not visible using standard cytogenetic banding techniques and explains why most HES patients with the fusion have an apparently normal karyotype. One imatinib-responsive HES patient with a t(1;4)(q44;q12) ultimately led to the identification of the fusion gene, but in retrospect the translocation was merely a “stalking horse” for the del(4)(q12q12) that gives rise to the fusion gene.3  The deletion disrupts the FIP1L1 and PDGFRA genes and fuses the 5′ part of FIP1L1 to the 3′ part of PDGFRA.3  In each patient the breakpoints in FIP1L1 and PDGFRA are different, but the FIP1L1-PDGFRA fusions are always in frame.3  The breakpoints in FIP1L1 are scattered over a region of 40 kb (introns 7-10), whereas the breakpoints in PDGFRA are restricted to a very small region that invariably involves PDGFRA exon 12.3  As the 5′ part of exon 12 of PDGFRA is deleted, splicing of FIP1L1 exons to the truncated exon 12 of PDGFRA occurs by use of cryptic splice sites within exon 12 of PDGFRA or in introns of FIP1L1 (Figure 3).3,175 

Figure 2.

Fusion of FIP1L1 to PDGFRA. (A) Schematic representation of the FIP1L1, PDGFRα, and FIP1L1-PDGFRα fusion proteins. NLS indicates nuclear localization signal; TM, transmembrane region; and JM, juxtamembrane region. (B) Schematic representation of the 4q12 chromosomal region around the FIP1L1 and PDGFRA genes. The 800-kb deletion, resulting in the fusion of the 5′ part of FIP1L1 to the 3′ part of PDGFRA, and the location of 3 bacterial artificial chromosome (BAC) probes (RPCI11-120K16, RPCI11-3H20, and RPCI11-24O10) are indicated. cen indicates centromeric side; and tel, telomeric side. (C) Detection of the del(4)(q12q12) in an HES case by interphase FISH using the BAC probes shown in panel B. Absence of probe 3H20 and presence of the 2 flanking probes is indicative of the presence of this specific deletion on one of the chromosomes 4.

Figure 2.

Fusion of FIP1L1 to PDGFRA. (A) Schematic representation of the FIP1L1, PDGFRα, and FIP1L1-PDGFRα fusion proteins. NLS indicates nuclear localization signal; TM, transmembrane region; and JM, juxtamembrane region. (B) Schematic representation of the 4q12 chromosomal region around the FIP1L1 and PDGFRA genes. The 800-kb deletion, resulting in the fusion of the 5′ part of FIP1L1 to the 3′ part of PDGFRA, and the location of 3 bacterial artificial chromosome (BAC) probes (RPCI11-120K16, RPCI11-3H20, and RPCI11-24O10) are indicated. cen indicates centromeric side; and tel, telomeric side. (C) Detection of the del(4)(q12q12) in an HES case by interphase FISH using the BAC probes shown in panel B. Absence of probe 3H20 and presence of the 2 flanking probes is indicative of the presence of this specific deletion on one of the chromosomes 4.

Close modal
Figure 3.

Fusion of FIP1L1 to PDGFRA involves the use of cryptic splice sites. (A) Splicing of exon 11 to exon 12 as it occurs in wild-type PDGFRA. (B) Splicing of FIP1L1 exons to the truncated exon 12 of PDGFRA as observed in 2 different HES patients. As the normal splice site in front of exon 12 is deleted, cryptic splice sites in the introns of FIP1L1 (as in case a) or within exon 12 (as in case b) are used to generate in-frame FIP1L1-PDGFRA fusions. As a result, the fusion protein sometimes contains a few extra amino acids derived from an intronic sequence of FIP1L1 (as in case a). Sequences from FIP1L1 are shown in lowercase letters and in gray; PDGFRA sequences are shown in capital letters and in black. Introns are depicted as lines; exons are shown as blocks. Splice sites are underlined in the sequence. The spliced RNA sequence and corresponding protein sequence are shown under the DNA. Cryptic splice sites are indicated with an arrow. Arrowheads indicate where the breakpoints are located in exon 12 of PDGFRA in cases a and b.

Figure 3.

Fusion of FIP1L1 to PDGFRA involves the use of cryptic splice sites. (A) Splicing of exon 11 to exon 12 as it occurs in wild-type PDGFRA. (B) Splicing of FIP1L1 exons to the truncated exon 12 of PDGFRA as observed in 2 different HES patients. As the normal splice site in front of exon 12 is deleted, cryptic splice sites in the introns of FIP1L1 (as in case a) or within exon 12 (as in case b) are used to generate in-frame FIP1L1-PDGFRA fusions. As a result, the fusion protein sometimes contains a few extra amino acids derived from an intronic sequence of FIP1L1 (as in case a). Sequences from FIP1L1 are shown in lowercase letters and in gray; PDGFRA sequences are shown in capital letters and in black. Introns are depicted as lines; exons are shown as blocks. Splice sites are underlined in the sequence. The spliced RNA sequence and corresponding protein sequence are shown under the DNA. Cryptic splice sites are indicated with an arrow. Arrowheads indicate where the breakpoints are located in exon 12 of PDGFRA in cases a and b.

Close modal

FIP1L1-PDGFRα has also been discovered in the cell line EOL-1, derived from a patient with acute eosinophilic leukemia following hypereosinophilic syndrome. Imatinib and 2 other inhibitors of PDGFRα, vatalanib and THRX-165724, reduced the viability of EOL-1 cells and a prominent 110-kDa phosphoprotein, ultimately identified as FIP1L1-PDGFRα.177 

FIP1L1 is a 520–amino acid protein that contains a region of homology to Fip1, a yeast protein with synthetic lethal function that is involved in polyadenylation.174,178  Similar proteins are found in plants, worm, fly, rat, and mouse. All share the well-conserved 42–amino acid “Fip1” motif (pfam domain no. PF05182; http://pfam.wustl.edu/cgi-bin/getdesc?acc=PF05182), which is also present in the FIP1L1-PDGFRα fusion protein. The exact function of the human or mouse FIP1L1 protein is not known. Based on the abundance of FIP1L1 expressed sequence tags (ESTs) in the databases that are derived from different tissues and cell types, FIP1L1 is predicted to be under the control of a ubiquitous promoter.

Similar to other fusion tyrosine kinases, FIP1L1-PDGFRα is a constitutively active tyrosine kinase that transforms hematopoietic cells in vitro and in vivo.3,179  FIP1L1-PDGFRα phosphorylates itself and signal transducer and activator of transcription-5 (STAT5) but, in contrast with the native PDGFRα, does not activate the mitogen-activated protein kinase (MAPK) pathway.3,180,181  The difference in MAPK signaling might be explained by the difference in subcellular localization, because PDGFRα is a transmembrane protein with ready access to farnesylated RAS, whereas FIP1L1-PDGFRα is predicted to be cytosolic. In support of this hypothesis, membrane attachment of PDGFRβ is critical for its ability to activate the MAPK pathway.182 

The mechanism of constitutive activation of FIP1L1-PDGFRα tyrosine kinase activity is not well understood. It would be predicted, based on analysis of structure-function in all known fusion tyrosine kinases, including BCR-ABL,183  TEL-PDGFRβ,184  TEL-ABL,185  H4-PDGFRβ,186  HIP1-PDGFRβ,187  and TEL-JAK2,188  that FIP1L1 would contribute a homodimerization motif that serves to constitutively activate the PDGFRα kinase. However, we have not identified a dimerization motif within FIP1L1 that delineates it from all other known tyrosine kinase fusion partners in cancer.

The genetic analysis of multiple patients may provide a clue to the mechanism of activation. Most chromosomal translocations that result in fusion tyrosine kinases occur at highly variable locations within large introns. Although the genomic breakpoint is in essence unique for each patient, RNA splicing usually results in expression of identical fusion proteins. Consistent with this experience, the FIP1L1 genomic breakpoints are variable and may occur in several introns within the gene. However, the genomic breakpoints in PDGFRA are quite unusual, in that they all occur within exon 12.

How might conserved breakpoints within exon 12 contribute to constitutive activation of the PDGFRα kinase? Exon 12 of PDGFRA encodes a portion of the juxtamembrane domain that is known to serve an autoinhibitory function in the context of other receptor tyrosine kinases. Disruptions of this domain by missense mutations, in-frame insertions, or in-frame deletions result in constitutive activation of the respective tyrosine kinase. For example, juxtamembrane internal tandem duplications in FLT3 result in its constitutive activation in approximately 25% of cases of AML.189  Mutation of the juxtamembrane domain of KIT results in its constitutive activation in most cases of gastrointestinal stromal cell tumors.190  The juxtamembrane region of PDGFRβ contains a WW domain with an inhibitory function for kinase activity, and in-frame point mutations of the WW domain result in constitutive activation of the kinase.191  Furthermore, mutations in the WW domain of PDGFRα were identified in rare cases of gastrointestinal stromal cell tumors.192  To date, all cloned FIP1L1-PDGFRA fusion genes result in a truncation of PDGFRα within the WW domain, suggesting that interruption of the WW domain contributes to the activation of FIP1L1-PDGFRα. Thus, a plausible hypothesis is that disruption of PDGFRA exon 12 within the WW domain, in combination with unregulated expression from the FIP1L1 promoter, are the pivotal events required for transformation of cells.

There are several important implications from the hypothesis that the interstitial deletion serves primarily to disrupt the autoinhibitory domain and fuses the kinase to a constitutively activated and unregulated promoter. First, it indicates that potential kinase gene partners need not have dimerization motifs but only an active promoter to contribute to pathogenesis of disease. Thus, deletions of varying sizes that each disrupt exon 12 of PDGFRA could involve a spectrum of genomically diverse genes 5′ of the kinase. This mechanism could even be invoked for very large and highly variable deletions. In imatinib-responsive HES without a detectable FIP1L1-PDGFRA fusion, it will be important to analyze other potential partners for PDGFRα as well as similar mechanisms of activation of the other known imatinib-responsive tyrosine kinases.

Another important implication of these findings is that small interstitial chromosomal deletions that activate tyrosine kinases may also occur in other hematologic malignancies or solid tumors. Indeed, it is possible that the FIP1L1-PDGFRA fusion gene itself could be expressed in tumors from other tissue types. This hypothesis can be tested using modern techniques for high-density comparative genomic hybridization, among other strategies, to search for subcytogenetic deletions in the 5′ flanking region of all known receptor tyrosine kinases. It is also possible that small interstitial deletions can engender gain-of-function oncogenes involving other classes of genes. Efforts to identify such deletions in all tumor types is warranted, in part because there are convincing data that gain-of-function fusion proteins are candidates for molecularly targeted therapies such as imatinib.

One patient who initially responded to imatinib relapsed with an acquired T674I substitution in the PDGFRα kinase domain of the FIP1L1-PDGFRA fusion. The mutation confers resistance to imatinib in vitro and in vivo.3,179  Development of resistance due to point mutation is not unexpected given the experience with imatinib in therapy of CML and CML blast crisis. We hypothesized that selective small-molecule inhibitors of PDGFRα that have a different chemical structure than imatinib might be able to overcome resistance to imatinib in this context. We have demonstrated that an alternative PDGFRα inhibitor, PKC412, is an effective inhibitor of the imatinib-resistant FIP1L1-PDGFRα T674I mutant both in vitro and in vivo.179  These observations provide proof of principle that one strategy to preclude or overcome resistance mutations may be to use combinations of selective tyrosine kinase inhibitors that do not have overlapping toxicities.

The basis for the apparent lineage predilection of FIP1L1-PDGFRα for eosinophils is not well understood. No data have been reported regarding expression of FIP1L1 in eosinophils from healthy individuals. The FIP1L1-PDGFRA fusion has been detected in enriched eosinophils, neutrophils, and mononuclear cells by FISH and reverse transcriptase–polymerase chain reaction (RT-PCR) in a patient with a diagnosis of systemic mast cell disease and eosinophilia, consistent with acquisition of the rearrangement in an early hematopoietic progenitor.176  It is possible that it is present in all myeloid lineages but that eosinophils are particularly sensitive to the FIP1L1-PDGFRα proliferative signal. Data that would support this include neutrophilia observed in many HES patients and elevated tryptase indicative of mast cell involvement.175  It will also be important to evaluate lymphoid lineage involvement of FIP1L1-PDGFRA, especially in those patients with T-cell clonality associated with HES. Each of these questions can be addressed with the molecular tools now in hand.

The presence of the FIP1L1-PDGFRA fusion gene as a consequence of deletion can be used both to predict response to imatinib and to monitor response to therapy. We have developed sensitive RT-PCR–based assays for this purpose as well as FISH probes to reliably detect the deletion (Figure 2B-C). In a recent report, molecular remission was documented by PCR testing of the peripheral blood in 5 of 6 patients diagnosed with HES-MPD after 1 to 12 months of 400 mg imatinib daily.

Diagnosis and classification

In the WHO classification, eosinophil clonality or the presence of another clonal marker distinguishes CEL from HES.10  However, the report by Cools et al3  indicates that FIP1L1-PDGFRA gene fusions can be identified in both HES and CEL patients, in contradistinction to their WHO classification as separate disorders.10  In light of these findings, a reappraisal of the WHO scheme for these eosinophilic diseases may ultimately be warranted. Given the early state of knowledge about FIP1L1-PDGFRA, any attempt at classification at this time would be considered preliminary, because additional data on prevalence, clinicopathologic correlates, and genetics will be important. However, based on available information, a tentative schema can be considered to help with clinical decision making and to provide a platform for addressing critical questions regarding classification.

It may be useful to consider the implications of the FIP1L1-PDGFRA fusion within a recently proposed framework that classifies blood eosinophilia as reactive, clonal, and HES.15  One possible approach for evaluating hypereosinophilia in the context of the FIP1L1-PDGFRA discovery is presented in Figure 4. In patients whose workup is negative for secondary causes of eosinophilia, screening for the FIP1L1-PDGFRA gene fusion could subsequently be undertaken using either RT-PCR or interphase/metaphase FISH. Patients positive for the fusion (and with fewer than 20% marrow blasts) could be classified into one clonal category of blood eosinophilia, “FIP1L1-PDGFRA–positive chronic eosinophilic leukemia” (F-P+ CEL, Figure 4A). Similar to cases of BCR-ABL–positive CML, F-P+ CEL patients would be predicted to have a high hematologic response rate to imatinib. Based on the limited number of patients evaluated, this group currently accounts for 50% to 60% of all HES/CEL cases. However, a more accurate estimate of the proportion of F-P+ CEL patients will require screening larger numbers of individuals with idiopathic hypereosinophilia. The recent description of the FIP1L1-PDGFRA fusion in 3 patients with a diagnosis of SM and eosinophilia indicates that the fusion may occur in a spectrum of clonal bone marrow disorders associated with eosinophilia and may not strictly define a subset of chronic eosinophilic leukemias per se. New classifications will need to reconcile such genotype-phenotype variations among patients positive for the FIP1L1-PDGFRA fusion.

Figure 4.

Possible diagnostic and treatment algorithm for hypereosinophilia. (A) Patients whose workup is negative for secondary causes of eosinophilia subsequently undergo testing for the FIP1L1-PDGFRA gene fusion. Patients positive for the fusion are classified as having one category of FIP1L1-PDGFRA–positive (F-P+) clonal eosinophilia (eg, F-P+ chronic eosinophilic leukemia [CEL] or F-P+ systemic mastocytosis [SM] with eosinophilia). A negative test for the fusion would classify patients into 1 of 3 diagnostic groups based on additional laboratory criteria: CEL, unclassified; hypereosinophilic syndrome (HES); or T-cell–associated HES. (B) A trial of imatinib is recommended for FIP1L1-PDGFRA–positive CEL or SM patients. Conventional therapy or a trial of imatinib could be attempted for symptomatic FIP1L1-PDGFRA–negative patients. FIP1L1-PDGFRA–negative patients who demonstrate hematologic remissions with imatinib could be placed in a provisional category of imatinib-responsive (IR), warranting investigation of potential alternative targets of imatinib in these cases.

Figure 4.

Possible diagnostic and treatment algorithm for hypereosinophilia. (A) Patients whose workup is negative for secondary causes of eosinophilia subsequently undergo testing for the FIP1L1-PDGFRA gene fusion. Patients positive for the fusion are classified as having one category of FIP1L1-PDGFRA–positive (F-P+) clonal eosinophilia (eg, F-P+ chronic eosinophilic leukemia [CEL] or F-P+ systemic mastocytosis [SM] with eosinophilia). A negative test for the fusion would classify patients into 1 of 3 diagnostic groups based on additional laboratory criteria: CEL, unclassified; hypereosinophilic syndrome (HES); or T-cell–associated HES. (B) A trial of imatinib is recommended for FIP1L1-PDGFRA–positive CEL or SM patients. Conventional therapy or a trial of imatinib could be attempted for symptomatic FIP1L1-PDGFRA–negative patients. FIP1L1-PDGFRA–negative patients who demonstrate hematologic remissions with imatinib could be placed in a provisional category of imatinib-responsive (IR), warranting investigation of potential alternative targets of imatinib in these cases.

Close modal

Patients without reactive eosinophilia and a negative screen for the FIP1L1-PDGFRA gene fusion could be potentially categorized into 1 of at least 3 diagnostic groups (Figure 4A). FIP1L1-PDGFRA–negative patients with a clonal cytogenetic abnormality, clonal eosinophils, or increased marrow blasts (5%-19%) could be categorized as “CEL, unclassified.” FIP1L1-PDGFRA–negative patients without any of these clonal features or without increased marrow blasts could be assigned to the diagnostic group “HES.” A third group, designated “T-cell–associated HES,” would consist of HES patients in whom an abnormal T-cell population is demonstrated. Such diagnostic groups may not be mutually exclusive in all cases. Instances may arise in which CEL patients with the FIP1L1-PDGFRA fusion have another clonal marker and/or an abnormal population of T cells. For example, 2 patients in the study by Cools et al exhibited both the FIP1L1-PDGFRA fusion and clonal cytogenetic abnormalities.3  It is also possible that some patients with T-cell–mediated HES could have a FIP1L1-PDGFRA fusion involving both the myeloid and lymphoid lineage. It will be of particular interest to analyze those patients with T-cell–mediated HES that progress to T-cell lymphoma or Sézary syndrome.

Treatment

The in vitro and in vivo data reported by Cools et al support the use of imatinib in FIP1L1-PDGFRA–positive patients.3  Four of 9 patients exhibiting complete hematologic responses to imatinib had no detectable FIP1L1-PDGFRA gene fusion.3  Therefore, in addition to conventional therapy, a trial of imatinib could have therapeutic value in some of these symptomatic FIP1L1-PDGFRA–negative patients (eg, CEL, unclassified; or HES). The efficacy of imatinib in a cytokine-driven disease such as T-cell–associated HES has not yet been reported and requires investigation.

From a broader research perspective, it could also be useful to provisionally categorize FIP1L1-PDGFRA–negative patients with hematologic responses to imatinib as “imatinib-responsive” (IR) (Figure 4B). Imatinib responsiveness in these patients may be indicative of clonal molecular abnormalities besides FIP1L1-PDGFRA. In such cases, an effort should be made to identify alternate targets of imatinib that contribute to the pathogenesis of these diseases.

Imatinib's efficacy in patients with HES and CEL has led to the identification of FIP1L1-PDGFRα as a pathogenetically relevant tyrosine kinase. These findings serve as a platform for new avenues of research that may translate into improved biologic and clinical characterization of these eosinophilic diseases. Future investigations should attempt to address the molecular basis for the response to imatinib in FIP1L1-PDGFRA–negative patients and how the constitutively activated FIP1L1-PDGFRα kinase contributes to the phenotype of hypereosinophilia, similar to oncogenic fusions involving PDGFRβ in a subset of chronic MPDs. It will also be of interest to evaluate how the expression and function of the fusion differ between eosinophils and other cell lineages. One means of addressing this latter question is to study imatinib's effects on the proliferation, differentiation, survival, and intracellular signaling of eosinophils or other enriched myeloid or lymphocyte populations derived from patients with the FIP1L1-PDGFRA fusion.

Studies are ongoing to further characterize hematologic and clinical responses among FIP1L1-PDGFRA–positive patients and the extent to which imatinib can elicit molecular remissions and cytogenetic responses in individuals with abnormal karyotypes. Similar to CML, it will be important to evaluate the maximally effective doses of imatinib needed to achieve these end points because suboptimal dosing may adversely impact response rates and the patterns of resistance that emerge.

In their 1994 Blood review, Weller and Bubley indicated that the goal of therapy for HES patients, particularly those with apparent chronic nonmalignant disease, should be control of organ damage rather than simple suppression of asymptomatic eosinophilia.21  This prevailing paradigm will require reappraisal in the subset of HES patients with FIP1L1-PDGFRA. It will be of great interest to ascertain whether early treatment of fusion-positive patients with asymptomatic hypereosinophilia can forestall the development of organ disease and increase disease-free and overall survival. Screening of archival specimens for the FIP1L1-PDGFRA fusion will allow comparison of the natural history of HES in conventionally treated patients with those enrolled in future studies evaluating the efficacy of imatinib. These new biologic and clinical data will provide a useful framework that clinicians, pathologists, and molecular biologists can use to develop improved classification guidelines and algorithms for the diagnosis and treatment of these eosinophilic disorders.

Prepublished online as Blood First Edition Paper, November 20, 2003; DOI 10.1182/blood-2003-06-1824.

Supported in part by the National Institutes of Health (K23HL04409 [J.G] and CA66996 [D.G.G.]) and by the Leukemia and Lymphoma Society (D.G.G.). J.C. is a “postdoctoraal onderzoeker” of the “F.W.O.-Vlaanderen.”

We thank Dr Iwona Wlodarska, Center for Human Genetics, Leuven, Belgium, for kindly providing the FISH image in Figure 2. We also gratefully acknowledge collaborating physicians and investigators for their participation in the clinical and biologic characterization of patients, Kathleen Dugan and Lenn Fechter for their assistance in patient care, Rhoda Falkow for tissue banking of clinical specimens, and patients for their participation in studies of imatinib in HES. J.G. also recognizes Dr Peter Greenberg for his valuable mentorship on the NIH K23HL04409 grant.

1
Bain BJ. Hypereosinophilia.
Curr Opin Hematol.
2000
;
7
:
21
-25.
2
Simon HU, Plotz SG, Dummer R, Blaser K. Abnormal clones of T cells producing interleukin-5 in idiopathic hypereosinophilia.
N Engl J Med.
1999
;
341
:
1112
-1120.
3
Cools J, DeAngelo DJ, Gotlib J, et al. A tyrosine kinase created by fusion of the PDGFRA and FIP1L1 genes as a therapeutic target of imatinib in idiopathic hypereosinophilic syndrome.
N Engl J Med.
2003
;
348
:
1201
-1214.
4
Fauci AS, Harley JB, Roberts WC, Ferrans VJ, Gralnick HR, Bjornson BH. NIH conference. The idiopathic hypereosinophilic syndrome. Clinical, pathophysiologic, and therapeutic considerations.
Ann Intern Med.
1982
;
97
:
78
-92.
5
Alfaham MA, Ferguson SD, Sihra B, Davies J. The idiopathic hypereosinophilic syndrome.
Arch Dis Child.
1987
;
62
:
601
-613.
6
Wynn SR, Sachs MI, Keating MU, et al. Idiopathic hypereosinophilic syndrome in a 5 1/2-month-old infant.
J Pediatr.
1987
;
111
:
94
-97.
7
Bakhshi S, Hamre M, Mohamed AM, Feldman G, Ravindranath Y. t(5;9)(q11;q34): a novel familial translocation involving Abelson oncogene and association with hypereosinophilia.
J Pediatr Hematol Oncol.
2003
;
25
:
82
-84.
8
Hardy WR, Anderson RE. The hypereosinophilic syndromes.
Ann Intern Med.
1968
;
68
:
1220
-1229.
9
Chusid MJ, Dale DC, West BC, Wolff SM. The hypereosinophilic syndrome. Analysis of fourteen cases with review of the literature.
Medicine.
1975
;
54
:
1
-27.
10
Bain B, Pierre R, Imbert M, Vardiman JW, Brunning RD, Flandrin G. Chronic eosinophilic leukaemia and the hypereosinophilic syndrome. In: Jaffe ES, Harris NL, Stein H, Vardiman JW, eds.
World Health Organization of Tumours: Tumours of Haematopoietic and Lymphoid Tissues
. Lyon, France: IARC Press;
2001
:
29
-31.
11
Forrest DL, Horsman DE, Jensen CL, et al. Myelodysplastic syndrome with hypereosinophilia and a nonrandom chromosomal abnormality dic(1;7): confirmation of eosinophil clonal involvement by fluorescence in situ hybridization.
Cancer Genet Cytogenet.
1998
;
107
:
65
-68.
12
Goldman JM, Najfeld V, Th'ng, KH. Agar culture and chromosome analysis of eosinophilic leukaemia.
J Clin Pathol.
1975
;
28
:
956
-961.
13
Chang HW, Leong KH, Koh DR, Lee SH. Clonality of isolated eosinophils in the hypereosinophilic syndrome.
Blood.
1999
;
93
:
1651
-1657.
14
Luppi M, Marasca R, Morselli M, Barozzi P, Torelli G. Clonal nature of hypereosinophilic syndrome.
Blood.
1994
;
84
:
349
-350.
15
Brito-Babapulle F. The eosinophilias, including the idiopathic hypereosinophilic syndrome.
Br J Haematol.
2003
;
121
:
203
-223.
16
Bain BJ. Eosinophilic leukaemias and the idiopathic hypereosinophilic syndrome.
Br J Haematol.
1996
;
95
:
2
-9.
17
Brito-Babapulle F. Clonal eosinophilic disorders and the hypereosinophilic syndrome.
Blood Rev.
1997
;
11
:
129
-145.
18
Roufosse F, Cogan R, Goldman M. The hypereosinophilic syndrome revisited.
Annu Rev Med.
2003
;
54
:
169
-184.
19
Spry CJ, Davies J, Tai PC, Olsen EG, Oakley CM, Goodwin JF. Clinical features of fifteen patients with the hypereosinophilic syndrome.
Q J Med.
1983
;
52
:
1
-22.
20
Lefebvre C, Bletry O, Degoulet P, et al. Prognostic factors of hypereosinophilic syndrome. Study of 40 cases.
Ann Med Interne (Paris).
1989
;
140
:
253
-257.
21
Weller PF, Bubley GJ. The idiopathic hypereosinophilic syndrome.
Blood.
1994
;
83
:
2759
-2779.
22
Flaum MA, Schooley RT, Fauci AS, Gralnick HR. A clinicopathologic correlation of the idiopathic hypereosinophilic syndrome.
Blood.
1981
;
58
:
1012
-1020.
23
Tai PC, Ackerman SJ, Spry CJ, Dunnette S, Olsen EG, Gleich GJ. Deposits of eosinophil granule proteins in cardiac tissues of patients with eosinophilic endomyocardial disease.
Lancet.
1987
;
1
:
643
-647.
24
Venge P, Dahl R, Hallgren R, Olsson I. Cationic proteins of human eosinophils and their role in the inflammatory reaction. In: Mahmoud AAF, Austen KF, eds.
The Eosinophil in Health and Disease
. New York, NY: Grune and Stratton;
1980
:
131
-144.
25
Tanino M, Kitamura K, Ohta G, Yamamoto Y, Sugioka G. Hypereosinophilic syndrome with extensive myocardial involvement and mitral valve thrombus instead of mural thrombi.
Acta Pathol Jpn.
1983
;
33
:
1233
-1242.
26
Radford DJ, Garlick RB, Pohlner PG. Multiple valvar replacement for hypereosinophilic syndrome.
Cardiol Young.
2002
;
12
:
67
-70.
27
Ommen SR, Seward JB, Tajik AJ. Clinical and echocardiographic features of hypereosinophilic syndromes.
Am J Cardiol.
2000
;
86
:
110
-113.
28
DePace NL, Nestico PF, Morganroth J, et al. Dilated cardiomyopathy in the idiopathic hypereosinophilic syndrome.
Am J Cardiol.
1983
;
52
:
1359
-1360.
29
Baratta L, Afeltra A, Delfino M, De Castro S, Giorgino F, Rossi-Fanelli F. Favorable response to high-dose interferon-alpha in idiopathic hypereosinophilic syndrome with restrictive cardiomyopathy—case report and review of the literature.
Angiology.
2002
;
53
:
465
-470.
30
Virmani R, Chun PK, Dunn BE, Hartmen D, McAllister HA. Eosinophilic constrictive pericarditis.
Am Heart J.
1984
;
107
:
803
-807.
31
Lui CY, Makoui C. Severe constrictive pericarditis as an unsuspected cause of death in a patient with idiopathic hypereosinophilic syndrome and restrictive cardiomyopathy.
Clin Cardiol.
1988
;
11
:
502
-504.
32
Corssmit EP, Trip MD, Durrer JD. Loffler's endomyocarditis in the idiopathic hypereosinophilic syndrome.
Cardiology.
1999
;
91
:
272
-276.
33
Hayashi S, Isobe M, Okubo Y, Suzuki J, Yazaki Y, Sekiguchi M. Improvement of eosinophilic heart disease after steroid therapy: successful demonstration by endomyocardial biopsied specimens.
Heart Vessels.
1999
;
14
:
104
-108.
34
Ejima J, Ohmura I, Kaji Y, Tsuda Y, Kanaya S, Fujino T. Diffuse endocardial thrombus in left ventricle associated with a case of hypereosinophilic syndrome.
Jpn Heart J.
1991
;
32
:
267
-272.
35
Harley JB, McIntosh XL, Kirklin JJ, et al. Atrioventricular valve replacement in the idiopathic hypereosinophilic syndrome.
Am J Med.
1982
;
73
:
77
-81.
36
Hendren WG, Jones EL, Smith MD. Aortic and mitral valve replacement in idiopathic hypereosinophilic syndrome.
Ann Thorac Surg.
1988
;
46
:
570
-571.
37
Cameron J, Radford DJ, Howell J, O'Brien MF. Hypereosinophilic heart disease.
Med J Aust.
1985
;
143
:
408
-410.
38
Puvaneswary M, Joshua F, Ratnarajah S. Idiopathic hypereosinophilic syndrome: magnetic resonance imaging findings in endomyocardial fibrosis.
Australas Radiol.
2001
;
45
:
524
-527.
39
Rauch AE, Amyot KM, Dunn HG, Ng B, Wilner G. Hypereosinophilic syndrome and myocardial infarction in a 15-year-old.
Pediatr Pathol Lab Med.
1997
;
17
:
469
-486.
40
Kazmierowski JA, Chusid MJ, Parrillo JE, Fauci AS, Wolff SM. Dermatologic manifestations of the hypereosinophilic syndrome.
Arch Dermatol.
1978
;
114
:
531
-535.
41
DeYampert NM, Beck LA. Eosinophilia and multiple erythematous indurated plaques. Idiopathic hypereosinophilic syndrome (IHS).
Arch Dermatol.
1997
;
133
:
1581
-1584.
42
Newton JA, Singh AK, Greaves MW, Spry CJ. Aquagenic pruritis associated with the idiopathic hypereosinophilic syndrome.
Br J Dermatol.
1990
;
122
:
103
-106.
43
Lee ML, Fischer G, Gow E. Hypereosinophilic syndrome presenting with erythroderma.
Australas J Dermatol.
1988
;
29
:
95
-101.
44
Leiferman KM, O'Duffy JD, Perry HO, Greipp PR, Giuliani ER, Gleich GJ. Recurrent incapacitating mucosal ulcerations. A prodrome of the hypereosinophilic syndrome.
JAMA.
1982
;
247
:
1018
-1020.
45
Parker CJ. Hypereosinophilic syndrome with cutaneous blisters and bowel necrosis.
Australas J Dermatol.
1988
;
29
:
103
-106.
46
Fitzpatrick JE, Johnson C, Simon P, Owenby J. Cutaneous microthrombi: a histologic clue to the diagnosis of hypereosinophilic syndrome.
Am J Dermatopathol.
1987
;
9
:
419
-422.
47
Narayan S, Ezughah F, Standen GR, Pawade J, Kennedy CTC. Idiopathic hypereosinophilic syndrome associated with cutaneous infarction and deep venous thrombosis.
Br J Dermatol.
1993
;
148
:
817
-820.
48
Sanchez JL, Padilla MA. Hypereosinophilic syndrome.
Cutis.
1982
;
29
:
490
-495.
49
Bogenrieder T, Griese DP, Schiffner R, et al. Well's syndrome associated with idiopathic hypereosinophilic syndrome.
Br J Dermatol.
1997
;
137
:
978
-982.
50
Moore PM, Harley JB, Fauci AS. Neurologic dysfunction in the idiopathic hypereosinophilic syndrome.
Ann Intern Med.
1985
;
102
:
109
-114.
51
Wichman A, Buchthal F, Pezeshkpour GH, Fauci AS. Peripheral neuropathy in hypereosinophilic syndrome.
Neurology.
1985
;
35
:
1140
-1145.
52
Kwon SU, Kim JC, Kim JS. Sequential magnetic resonance imaging findings in hypereosinophilia-induced encephalopathy.
J Neurol.
2001
;
248
:
279
-284.
53
Kaplan PW, Waterbury L, Kawas C, Bolla-Wilson K, Durack D. Reversible dementia with idiopathic hypereosinophilic syndrome.
Neurology.
1989
;
39
:
1388
-1391.
54
Prick JJ, Gabreels-Festen AA, Korten JJ, van der Wiel TW. Neurological manifestations of the hypereosinophilic syndrome (HES).
Clin Neurol Neurosurg.
1988
;
90
:
269
-273.
55
Weaver DF, Hefferman LP, Purdy RA, Ing VW. Eosinophil-induced neurotoxicity: axonal neuropathy, cerebral infarction and dementia.
Neurology.
1988
;
38
:
144
-146.
56
Diaz F, Collazos J. Reversible cerebellar involvement in the idiopathic hypereosinophilic syndrome.
Postgrad Med J.
1999
;
75
:
477
-479.
57
Weingarten JS, O'Sheal SF, Margolis WS. Eosinophilic meningitis and the hypereosinophilic syndrome. Case report and review of the literature.
Am J Med.
1985
;
78
:
674
-676.
58
Slabbynck H, Impens N, Naegels S, Dewaele M, Schandevyl W. Idiopathic hypereosinophilic syndrome-related pulmonary involvement diagnosed by bronchoalveolar lavage.
Chest.
1992
;
101
:
1178
-1180.
59
Cordier JF, Faure M, Hermier C, Brune J. Pleural effusions in an overlap syndrome of idiopathic hypereosinophilic syndrome and erythema elevatum diutinum.
Eur Respir J.
1990
;
3
:
115
-118.
60
Epstein DM, Taortaina V, Gefter WB, Miller WT. The hypereosinophilic syndrome.
Radiology.
1981
;
140
:
59
-62.
61
Kang EY, Shim JJ, Kim JS, Kim KI. Pulmonary involvement of idiopathic hypereosinophilic syndrome: CT findings in five patients.
J Comput Assist Tomogr.
1997
;
21
:
612
-615.
62
Winn RE, Kollef MH, Meyer JI. Pulmonary involvement in the hypereosinophilic syndrome.
Chest.
1994
;
105
:
656
-660.
63
Schooley RT, Flaum MA, Gralnick HR, Fauci AS. A clinicopathologic correlation of the idiopathic hypereosinophilic syndrome. II. Clinical manifestations.
Blood.
1981
;
58
:
1021
-1026.
64
Nam KJ, Jung WJ, Choi JC, et al. Hepatic involvement in hypereosinophilia: sonographic findings.
J Ultrasound Med.
1999
;
18
:
475
-479.
65
Foong A, Scholes JV, Gleich GJ, Kephart GM, Holt PR. Eosinophil-induced chronic active hepatitis in the idiopathic hypereosinophilic syndrome.
Hepatology.
1991
;
13
:
1090
-1094.
66
Ung KA, Remotti H, Olsson R. Eosinophilic hepatic necrosis in hypereosinophilic syndrome.
J Clin Gastroenterol.
2000
;
31
:
323
-327.
67
Elouaer-Blanc L, Zafrani ES, Farcet JP, Saint-Marc Girardin MF, Mathieu D, Dhumeaux D. Hepatic vein obstruction in idiopathic hypereosinophilic syndrome.
Arch Intern Med.
1985
;
145
:
751
-753.
68
Grauer L, Padilla VM III, Bouza L, Barkin JS. Eosinophilic sclerosing cholangitis associated with hypereosinophilic syndrome.
Am J Gastroenterol.
1993
;
88
:
1764
-1769.
69
Tajima K, Katagiri T. Deposits of eosinophil granule proteins in eosinophilic cholecystitis and eosinophilic colitis associated with hypereosinophilic syndrome.
Dig Dis Sci.
1996
;
41
:
282
-288.
70
Dillon JF, Finlayson ND. Idiopathic hypereosinophilic syndrome presenting as intrahepatic cholestatic jaundice.
Am J Gastroenterol.
1994
;
89
:
1254
-1255.
71
Binaghi M, Perrenoud F, Dhermy P, Coscas G. Hypereosinophilic syndrome with ocular involvement.
J Fr Ophtalmol.
1985
;
8
:
309
-314.
72
Chaine G, Davies J, Kohner EM, Hawarth S, Spry CJ. Ophthalmologic abnormalities in the hypereosinophilic syndrome.
Ophthalmology.
1982
;
89
:
1348
-1356.
73
Farcet, JP, Binaghi M, Kuentz M, et al. A hypereosinophilic syndrome with retinal arteritis and tuberculosis.
Arch Intern Med.
1982
;
142
:
625
-627.
74
Bozkir N, Stern GA. Ocular manifestations of the idiopathic hypereosinophilic syndrome.
Am J Ophthalmol.
1992
;
113
:
456
-458.
75
Catalano L, Scala A, Rotoli B. Adie's syndrome (benign pupillotonia) and hypereosinophilic syndrome.
Haematologica.
1988
;
73
:
549
.
76
Vandewiele IA, Maeyaert BM, Van Cutsem EJ, Geboes KR, Knockaert DC. Massive eosinophilic ascites: differential diagnosis between idiopathic hypereosinophilic syndrome and eosinophilic gastroenteritis.
Acta Clin Belg.
1991
;
46
:
37
-41.
77
Bellaiche G, Fontaine H, Choudat L, Lusina D, Ley G. Slama JL. Pancreatic involvement, ascites and diarrhea in idiopathic hypereosinophilic syndrome.
Gastroenterol Clin Biol.
1997
;
21
:
519
-522.
78
Shah AM, Joglekar M. Eosinophilic colitis as a complication of the hypereosinophilic syndrome.
Postgrad Med J.
1987
;
63
:
485
-487.
79
Prattichizzo FA, Bernini L. An idiopathic hypereosinophilic syndrome mimicking seronegative rheumatoid arthritis: 20 year follow-up with clinical and laboratory findings.
Clin Exp Rheumatol.
1992
;
10
:
79
-81.
80
Brogadir SP, Goldwein MI, Schumacher HR. A hypereosinophilic syndrome mimicking rheumatoid arthritis.
Am J Med.
1980
;
69
:
799
-802.
81
Anders HJ, Schattenkirchner M. Destructive joint lesions and bursitis in idiopathic hypereosinophilic syndrome.
Rheumatology (Oxford).
1999
;
38
:
185
-186.
82
Atanes A, Fernandez V, Nunez R, et al. Idiopathic eosinophilic synovitis. Case report and review of the literature.
Scand J Rheumatol.
1996
;
25
:
183
-185.
83
Layzer RB, Shearn MA, Satya-Murti S. Eosinophilic polymyositis.
Ann Neurol.
1977
;
1
:
65
-71.
84
Takekawa M, Imai K, Adachi M, et al. Hypereosinophilic syndrome accompanied with necrosis of finger tips.
Intern Med.
1992
;
31
:
1262
-1266.
85
Peison B, Benisch B, Lim M, Chin JC. Idiopathic hypereosinophilic syndrome with polymyositis.
South Med J.
1988
;
81
:
403
-406.
86
Pickering MC, Walport MJ. Eosinophilic myopathic syndromes.
Curr Opin Rheumatol.
1998
;
10
:
504
-510.
87
Hirszel P, Cashell AW, Whelan TV, Dolan R, Yoshihashi A. Urinary Charcot-Leyden crystals in the hypereosinophilic syndrome with acute renal failure.
Am J Kidney Dis.
1988
;
12
:
319
-322.
88
Nakahara C, Kamoda T, Kinusaga H, et al. Simultaneous onset of nephrotic syndrome and insulin-dependent diabetes mellitus in a case with hypereosinophilia syndrome.
Clin Nephrol.
2000
;
53
:
312
-314.
89
Choi YJ, Lee JD, Yang KH, et al. Immunotactoid glomerulopathy associated with hypereosinophilic syndrome.
Am J Nephrol.
1998
;
18
:
337
-343.
90
Richardson P, Dickinson G, Nash S, Hoffman L, Steingart R, Germain M. Crescentic glomerulonephritis and eosinophilic interstitial infiltrates in a patient with hypereosinophilic syndrome.
Postgrad Med J.
1995
;
71
:
175
-178.
91
Cogan E, Schandene L, Crusiaux A, Cochaux P, Velu T, Goldman M. Brief report: clonal proliferation of type 2 helper T cells in a man with the hypereosinophilic syndrome.
N Engl J Med.
1994
;
330
:
535
-538.
92
Simon HU, Yousefi S, Dommann-Scherrer CC, et al. Expansion of cytokine-producing CD4-CD8- T cells associated with abnormal Fas expression and hypereosinophilia.
J Exp Med.
1996
;
183
:
1071
-1082.
93
Brugnoni D, Airo P, Rossi G, et al. CD4+ T-cell population able to secrete large amounts of interleukin-5.
Blood.
1996
;
87
:
1416
-1422.
94
Roufosse F, Schandene L, Sibille C, et al. T-cell receptor-independent activation of clonal Th2 cells associated with chronic hypereosinophilia.
Blood.
1999
;
94
:
994
-1002.
95
Bank I, Amariglio N, Reshef A, et al. The hypereosinophilic syndrome associated with CD4+CD3- helper type 2 (Th2) lymphocytes.
Leuk Lymphoma.
2001
;
42
:
123
-133.
96
Brugnoni D, Airo P, Tosoni C, et al. CD3-CD4+ cells with a Th2-like pattern of cytokine production in the peripheral blood of a patient with cutaneous T cell lymphoma.
Leukemia.
1997
;
11
:
1983
-1985.
97
Roufosse F, Schandene L, Sibille C, et al. Clonal Th2 lymphocytes in patients with the idiopathic hypereosinophilic syndrome.
Br J Haematol.
2000
;
109
:
540
-548.
98
Kawasaki A, Mizushima Y, Matsui S, Hoshino K, Yano S, Kitagawa M. A case of T-cell lymphoma accompanying marked eosinophilia, chronic eosinophilic pneumonia and eosinophilic pleural effusion. A case report.
Tumori.
1991
;
77
:
527
-530.
99
Endo M, Usuki K, Kitazume K, Iwabe K, Okuyama Y, Urabe A. Hypereosinophilic syndrome in Hodgkin's disease with increased granulocyte-macrophage colony-stimulating factor.
Ann Hematol.
1995
;
71
:
313
-314.
100
Catovksy D, Bernasconi C, Verdonck PJ, et al. The association of eosinophilia with lymphoblastic leukaemia or lymphoma: a study of seven patients.
Br J Haematol.
1980
;
45
:
523
-534.
101
Takai K, Sanada M. Hypereosinophilic syndrome evolving to acute lymphoblastic leukemia.
Int J Hematol.
1991
;
54
:
231
-239.
102
Bain BJ. Cytogenetic and molecular genetic aspects of eosinophilic leukaemias.
Br J Haematol.
2003
;
122
:
173
-179.
103
Weinfeld A, Westin J, Swolin B. Ph1-negative eosinophilic leukemia with trisomy 8.
Scand J Haematol.
1977
;
18
:
413
-420.
104
Guitard AM, Horschowski N, Mozziconacci MJ, et al. Hypereosinophilic syndrome in childhood: trisomy 8 and transformation to mixed acute leukaemia.
Nouv Rev Fr Hematol.
1994
;
35
:
555
-559.
105
Quiquandon I, Claisse JF, Capiod JC, Delobel J, Prin L. Alpha-interferon and hypereosinophilic syndrome with trisomy 8: karyotypic remission.
Blood.
1995
;
85
:
2284
-2285.
106
Ma SK, Kwong YL, Shek TW, et al. The role of trisomy 8 in the pathogenesis of chronic eosinophilic leukemia.
Hum Pathol.
1999
;
30
:
864
-868.
107
Myint H, Chacko J, Mould S, Ross F, Oscier DG. Karyotypic evolution in a granulocytic sarcoma developing in a myeloproliferative disorder with a novel (3;4) translocation.
Br J Haematol.
1995
;
90
:
462
-464.
108
Duell T, Mittermuller J, Schmetzer HM, Kolb HJ, Wilmanns W. Chronic myeloid leukemia associated hypereosinophilic syndrome with a clonal t(4;7)(q11;q32).
Cancer Genet Cytogenet.
1997
;
94
:
91
-94.
109
Schoffski P, Ganser A, Pascheberg U, Busche G, Gaede B, Hertenstein B. Complete haematological and cytogenetic response to interferon alpha-2a of a myeloproliferative disorder with eosinophilia associated with a unique t(4;7) aberration.
Ann Hematol.
2000
;
79
:
95
-98.
110
Pardanani A, Reeder T, Li CY, Tefferi A. Eosinophils are derived from the neoplastic clone in patients with systemic mastocytosis and eosinophilia.
Leuk Res.
2003
;
27
:
883
-885.
111
Le Beau MM, Larson RA, Bitter MA, Vardiman JW, Golomb HM, Rowley JD. Association of inversion 16 with abnormal marrow eosinophils in acute myelomonocytic leukemia.
N Engl J Med.
1983
;
309
:
630
-636.
112
Swirsky DM, Li YS, Matthews JG, Flemans RJ, Rees JKH, Hayhoe FGJ. 8;21 translocation in acute granulocytic leukemia: cytological, cytochemical, and clinical features.
Br J Haematol.
1984
;
56
:
199
-213.
113
Song HS, Park SK. A case of monosomy-7 eosinophilic leukemia and neurofibromatosis, terminated with disseminated cryptococcosis.
Korean J Intern Med.
1987
;
2
:
131
-134.
114
Harrington DS, Peterson C, Ness M, Sanger W, Smith DM, Vaughan W. Acute myelogenous leukemia with eosinophilic differentiation and trisomy-1.
Am J Clin Pathol.
1988
;
90
:
464
-469.
115
Broustet A, Bernard P, Dachary D, et al. Acute eosinophilic leukemia with a translocation (10p+;11q-).
Cancer Genet Cytogenet.
1986
;
1
:
327
-333.
116
Bhambhani K, Inoue S, Tyrkus M, Gohle N. Acute myelomonocytic leukemia type M4 with bone marrow eosinophilia and t(5;16)(q33;q22).
Cancer Genet Cytogenet.
1986
;
20
:
187
-188.
117
Mecucci C, Bosly A, Michaux JL, Broeckaert-Van Orshoven A, Van den Berghe H. Acute nonlymphoblastic leukemia with bone marrow eosinophilia and structural anomaly of chromosome 16.
Cancer Genet Cytogenet.
1985
;
17
:
359
-363.
118
Matsushima T, Murakami H, Kim K, et al. Steroid-responsive pulmonary disorders associated with myelodysplastic syndromes with der(1q;7p) chromosomal abnormality.
Am J Hematol.
1995
;
50
:
110
-115.
119
La Starza R, Trubia M, Testoni N, et al. Clonal eosinophils are a morphologic hallmark of ETV6/ABL1 positive acute myeloid leukemia.
Haematologica.
2002
;
87
:
789
-794.
120
Golub TR, Barker GF, Lovett M, Gilliland DG. Fusion of PDGF receptor beta to a novel ets-like gene, tel, in chronic myelomonocytic leukemia with t(5;12) chromosomal translocation.
Cell.
1994
;
77
:
307
-316.
121
Apperley JF, Gardembas M, Melo JV, et al. Response to imatinib mesylate in patients with chronic myeloproliferative diseases with rearrangements of the platelet-derived growth factor receptor beta.
N Engl J Med.
2002
;
347
:
481
-487.
122
Sato H, Danbara M, Tamura M, Morita M. Eosinophilic leukemia with a t(2;5)(p23;q35) translocation.
Br J Haematol.
1994
;
87
:
404
-406.
123
Darbyshire PJ, Shortland D, Swansbury GJ, Sadler J, Lawler SD, Chessells JM. A myeloproliferative disease in two infants associated with eosinophilia and chromosome t(1;5) translocation.
Br J Haematol.
1987
;
66
:
483
-486.
124
Jani K, Kempski HM, Reeves BR. A case of myelodysplasia with eosinophilia having a translocation t(5;12)(q31;q13) restricted to myeloid cells but not involving eosinophils.
Br J Haematol.
1994
;
87
:
57
-60.
125
Baxter EJ, Kulkarni S, Vizmanos JL, et al. Novel translocations that disrupt the platelet-derived growth factor receptor beta (PDGFRB) gene in BCR-ABL-negative chronic myeloproliferative disorders.
Br J Haematol.
2003
;
120
:
251
-256.
126
Wilkinson K, Velloso ER, Lopes LF, et al. Cloning of the t(1;5)(q23;q33) in a myeloproliferative disorder associated with eosinophilia: involvement of PDGFRB and response to imatinib.
Blood.
2003
;
102
:
4187
-4190.
127
Meeker TC, Hardy D, Willman C, Hogan T, Abrams J. Activation of the interleukin-3 gene by chromosome translocation in acute lymphoblastic leukemia with eosinophilia.
Blood.
1990
;
76
:
285
-289.
128
Popovici C, Zhang B, Gregoire MJ, et al. The t(6;8)(q27;p11) translocation in a stem cell myeloproliferative disorder fuses a novel gene, FOP, to fibroblast growth factor receptor 1.
Blood.
1999
;
93
:
1381
-1389.
129
Guasch G, Mack GJ, Popovici C, et al. FGFR1 is fused to the centrosome-associated protein CEP110 in the 8p12 stem cell myeloproliferative disorder with t(8;9)(p12;q33).
Blood.
2000
;
95
:
1788
-1796.
130
Popovici C, Adelaide J, Ollendorff V, et al. Fibroblast growth factor receptor 1 is fused to FIM in stem-cell myeloproliferative disorder with t(8;13).
Proc Natl Acad Sci U S A.
1998
;
95
:
5712
-5717.
131
Demiroglu A, Steer EJ, Heath C, et al. The t(8;22) in chronic myeloid leukemia fuses BCR to FGFR1: transforming activity and specific inhibition of FGFR1 fusion proteins.
Blood.
2001
;
98
:
3778
-3783.
132
Guasch G, Popovici C, Mugneret F, et al. Endogenous retroviral sequence is fused to FGFR1 kinase in the 8p12 stem-cell myeloproliferative disorder with t(8;19)(p12;q13.3).
Blood.
2003
;
101
:
286
-288.
133
Parrillo JE, Fauci AS, Wolff SM. Therapy of the hypereosinophilic syndrome.
Ann Intern Med.
1978
;
89
:
167
-172.
134
Chusid MJ, Dale DC. Eosinophilic leukemia. Remission with vincristine and hydroxyurea.
Am J Med.
1975
;
59
:
297
-300.
135
Cofrancesco E, Cortellaro M, Pogliani E, Boschetti C, Salavatore M, Polli EE. Response to vincristine treatment in a case of idiopathic hypereosinophilic syndrome with multiple clinical manifestations.
Acta Haematol.
1984
;
72
:
21
-25.
136
Sakamoto K, Erdreich-Epstein A, deClerck Y, Coates T. Prolonged clinical response to vincristine treatment in two patients with hypereosinophilic syndrome.
Am J Pediatr Hematol Oncol.
1992
;
14
:
348
-351.
137
Lee JH, Lee JW, Jang CS, et al. Successful cyclophosphamide therapy in recurrent eosinophilic colitis associated with hypereosinophilic syndrome.
Yonsei Med J.
2002
;
43
:
267
-270.
138
Smit AJ, van Essen LH, de Vries EG. Successful long-term control of idiopathic hypereosinophilic syndrome with etoposide.
Cancer.
1991
;
67
:
2826
-2827.
139
Bourrat E, Lebbe C, Calvo F. Etoposide for treating the hypereosinophilic syndrome.
Ann Intern Med.
1994
;
121
:
899
-900.
140
Luciano L, Catalano L, Sarrantonio C, Guerriero A, Califano C, Rotoli B. AlphaIFN-induced hematologic and cytogenetic remission in chronic eosinophilic leukemia with t(1;5).
Haematologica.
1999
;
84
:
651
-653.
141
Yamada O, Kitahara K, Imamura K, Ozasa H, Okada M, Mizoguchi H. Clinical and cytogenetic remission induced by interferon-α in a patient with chronic eosinophilic leukemia associated with a unique t(3;9;5) translocation.
Am J Hematol.
1998
;
58
:
137
-141.
142
Malbrain ML, Van den Bergh H, Zachee P. Further evidence for the clonal nature of the idiopathic hypereosinophilic syndrome: complete haematological and cytogenetic remission induced by interferon-alpha in a case with a unique chromosomal abnormality.
Br J Haematol.
1996
;
92
:
176
-183.
143
Butterfield JH, Gleich GJ. Response of six patients with idiopathic hypereosinophilic syndrome to interferon alpha.
J Allergy Clin Immunol.
1994
;
94
:
1318
-1326.
144
Ceretelli S, Capochiani E, Petrini M. Interferon-alpha in the idiopathic hypereosinophilic syndrome: consideration of five cases.
Ann Hematol.
1998
;
77
:
161
-164.
145
Yoon TY, Ahn GB, Chang SH. Complete remission of hypereosinophilic syndrome after interferon-alpha therapy: report of a case and literature review.
J Dermatol.
2000
;
27
:
110
-115.
146
Broxmeyer HE, Lu L, Platzer E, Feit C, Juliano L, Rubin BY. Comparative analysis of the influences of human gamma, alpha and beta interferons on human multipotential (CFU-GEMM), erythroid (BFU-E), and granulocyte-macrophage (CFU-GM) progenitor cells.
J Immunol.
1983
;
131
:
1300
-1305.
147
Schandene L, Del Prete GF, Cogan E, et al. Recombinant interferon-alpha selectively inhibits the production of interleukin-5 by human CD4+ T cells.
J Clin Invest.
1996
;
97
:
309
-315.
148
Aldebert D, Lamkhioued B, Desaint C, et al. Eosinophils express a functional receptor for interferon alpha: inhibitory role of interferon alpha on the release of mediators.
Blood.
1996
;
87
:
2354
-2360.
149
Zabel P, Schlaak M. Cyclosporin for hypereosinophilic syndrome.
Ann Hematol.
1991
;
62
:
230
-231.
150
Nadarajah S, Krafchik B, Roifman C, Horgan-Bell C. Treatment of hypereosinophilic syndrome in a child using cyclosporine: implication for a primary T-cell abnormality.
Pediatrics.
1997
;
99
:
630
-633.
151
Ueno NT, Zhao S, Robertson LE, Consoli U, Andreeff M. 2-chlorodeoxyadenosine therapy for idiopathic hypereosinophilic syndrome.
Leukemia.
1997
;
11
:
1386
-1390.
152
Vazquez L, Caballero D, Canizo CD, et al. Allogeneic peripheral blood cell transplantation for hypereosinophilic syndrome with myelofibrosis.
Bone Marrow Transplant.
2000
;
25
:
217
-218.
153
Chockalingam A, Jalil A, Shadduck RK, Lister J. Allogeneic peripheral blood stem cell transplantation for hypereosinophilic syndrome with severe cardiac dysfunction.
Bone Marrow Transplant.
1999
;
23
:
1093
-1094.
154
Basara N, Markova J, Schmetzer B, et al. Chronic eosinophilic leukemia: successful treatment with an unrelated bone marrow transplantation.
Leuk Lymphoma.
1998
;
32
:
189
-193.
155
Sigmund DA, Flessa HC. Hypereosinophilic syndrome: successful allogeneic bone marrow transplantation.
Bone Marrow Transplant.
1995
;
15
:
647
-648.
156
Esteva-Lorenzo FJ, Meehan KR, Spitzer TR, Mazumder A. Allogeneic bone marrow transplantation in a patient with hypereosinophilic syndrome.
Am J Hematol.
1996
;
51
:
164
-165.
157
Sadoun A, Lacotte L, Delwail V, et al. Allogeneic bone marrow transplantation for hypereosinophilic syndrome with advanced myelofibrosis.
Bone Marrow Transplant.
1997
;
19
:
741
-743.
158
Juvonen E, Volin L, Kopenen A, Ruutu T. Allogeneic blood stem cell transplantation following non-myeloablative conditioning for hypereosinophilic syndrome.
Bone Marrow Transplant.
2002
;
29
:
457
-458.
159
Ueno NT, Anagnostopoulos A, Rondon G, et al. Successful non-myeloablative allogeneic transplantation for treatment of idiopathic hypereosinophilic syndrome.
Br J Haematol.
2002
;
119
:
131
-134.
160
Archimbaud E, Guyotat D, Guillaume C, Godard J, Fiere D. Hypereosinophilic syndrome with multiple organ dysfunction treated by allogeneic bone marrow transplantation.
Am J Hematol.
1988
;
27
:
302
-303.
161
Fukushima T, Kuriyama K, Ito H, et al. Successful bone marrow transplantation for idiopathic hypereosinophilic syndrome.
Br J Haematol.
1995
;
90
:
213
-215.
162
Weyman AE, Rankin R, King H. Loeffler's endocarditis presenting as mitral and trucuspid stenosis.
Am J Cardiol.
1977
;
40
:
438
-444.
163
Chandra M, Pettigrew RI, Eley JW, Oshinski JN, Guyton RA. Cine-MRI-aided endomyocardectomy in idiopathic hypereosinophilic syndrome.
Ann Thorac Surg.
1996
;
62
:
1856
-1858.
164
Blacklock HA, Cleland, JF, Tan P, Pillai VM. The hypereosinophilic syndrome and leukapheresis.
Ann Intern Med.
1979
;
91
:
650
-651.
165
Davies J, Spry C. Plasma exchange or leukapheresis in the hypereosinophilic syndrome.
Ann Intern Med.
1982
;
96
:
791
.
166
Chambers LA, Leonard SS, Whatmough AE, Weller PF, Bubley GJ, Kruskall MS. Management of hypereosinophilic syndrome with chronic plasma- and leukapheresis.
Prog Clin Biol Res.
1990
;
337
:
83
-85.
167
Ault P, Cortes J, Koller C, Kaled ES, Kantarjian H. Response of idiopathic hypereosinophilic syndrome to treatment with imatinib mesylate.
Leuk Res.
2002
;
26
:
881
-884.
168
Johnston AM, Woodcock BE. Acute aortic thrombosis despite anticoagulant therapy in idiopathic hypereosinophilic syndrome.
J R Soc Med.
1998
;
91
:
492
-493.
169
Schaller JL, Burkland GA. Case report: rapid and complete control of idiopathic hypereosinophilia with imatinib mesylate.
MedGenMed.
2001
;
3
:
9
.
170
Gleich GJ, Leiferman KM, Pardanani A, Tefferi A, Butterfield JH. Treatment of hypereosinophilic syndrome with imatinib mesilate.
Lancet.
2002
;
359
:
1577
-1578.
171
Pardanani A, Reeder T, Porrata L, et al. Imatinib therapy for hypereosinophilic syndrome and other eosinophilic disorders.
Blood.
2003
;
101
:
3391
-3397.
172
Cortes J, Ault P, Koller C, et al. Efficacy of imatinib mesylate in the treatment of idiopathic hypereosinophilic syndrome.
Blood.
2003
;
101
:
4714
-4716.
173
Preker PJ, Lingner J, Minvielle-Sebastia L, Keller W. The FIP1 gene encodes a component of a yeast pre-mRNA polyadenylation factor that directly interacts with poly(A) polymerase.
Cell.
1995
;
81
:
379
-389.
174
Klion AD, Noel P, Akin C, et al. Elevated serum tryptase levels identify a subset of patients with a myeloproliferative variant of idiopathic hypereosinophilic syndrome associated with tissue fibrosis, poor prognosis, and imatinib responsiveness.
Blood.
2003
;
101
:
4660
-4666.
175
Klion AD, Robyn J, Akin C, et al. Molecular remission and reversal of myelofibrosis in response to imatinib mesylate treatment in patients with the myeloproliferative variant of hypereosinophilic syndrome.
Blood.
2004
;
103
:
473
-478.
176
Pardanani A, Ketterling RP, Brockman SR, et al. CHIC2 deletion, a surrogate for FIP1L1-PDGFRA fusion, occurs in systemic mastocytosis associated with eosinophilia and predicts response to imatinib therapy.
Blood.
2003
;
102
:
3093
-3096.
177
Griffin JH, Leung J, Bruner RJ, Caligiuri MA, Briesewitz R. Discovery of a fusion kinase in EOL-1 cells and idiopathic hypereosinophilic syndrome.
Proc Natl Acad Sci U S A.
2003
;
100
:
7830
-7835.
178
Helmling S, Zhelkovsky A, Moore CL. Fip1 regulates the activity of Poly(A) polymerase through multiple interactions.
Mol Cell Biol.
2001
;
21
:
2026
-2037.
179
Cools J, Stover EH, Boulton CL, et al. PKC412 overcomes resistance to imatinib in a murine model of FIP1L1-PDGFRA-induced myeloproliferative disease.
Cancer Cell.
2003
;
3
:
459
-469.
180
Valgeirsdottir S, Paukku K, Silvennoinen O, Heldin CH, Claesson-Welsh L. Activation of Stat5 by platelet-derived growth factor (PDGF) is dependent on phosphorylation sites in PDGF beta-receptor juxtamembrane and kinase insert domains.
Oncogene.
1998
;
16
:
505
-515.
181
Yu J, Deuel TF, Kim HR. Platelet-derived growth factor (PDGF) receptor-alpha activates c-Jun NH2-terminal kinase-1 and antagonizes PDGF receptor-beta -induced phenotypic transformation.
J Biol Chem.
2000
;
275
:
19076
-19082.
182
Yang J, Symes K, Mercola M, Schreiber SL. Small-molecule control of insulin and PDGF receptor signaling and the role of membrane attachment.
Curr Biol.
1998
;
8
:
11
-18.
183
McWhirter JR, Galasso DL, Wang JY. A coiled-coil oligomerization domain of Bcr is essential for the transforming function of Bcr-Abl oncoproteins.
Mol Cell Biol.
1993
;
13
:
7587
-7595.
184
Carroll M, Tomasson MH, Barker GF, Golub TR, Gilliland DG. The TEL/platelet-derived growth factor beta receptor (PDGF beta R) fusion in chronic myelomonocytic leukemia is a transforming protein that self-associates and activates PDGF beta R kinase-dependent signaling pathways.
Proc Natl Acad Sci U S A.
1996
;
93
:
14845
-14850.
185
Golub TR, Goga A, Barker GF, et al. Oligomerization of the ABL tyrosine kinase by the Ets protein TEL in human leukemia.
Mol Cell Biol.
1996
;
16
:
4107
-4116.
186
Schwaller J, Anastasiadou E, Cain D, et al. H4(D10S170), a gene frequently rearranged in papillary thyroid carcinoma, is fused to the platelet-derived growth factor receptor beta gene in atypical chronic myeloid leukemia with t(5;10)(q33;q22).
Blood.
2001
;
97
:
3910
-3918.
187
Ross TS, Gilliland DG. Transforming properties of the Huntingtin interacting protein 1/platelet-derived growth factor beta receptor fusion protein.
J Biol Chem.
1999
;
274
:
22328
-22336.
188
Lacronique V, Boureaux A, Valle VD, et al. A TEL-JAK2 fusion protein with constitutive kinase activity in human leukemia.
Science.
1997
;
278
:
1309
-1312.
189
Gilliland DG, Griffin JD. The roles of FLT3 in hematopoiesis and leukemia.
Blood.
2002
;
100
:
1532
-1542.
190
Hirota S, Isozaki K, Moriyama Y, et al. Gain-of-function mutations in c-kit in human gastrointestinal tumors.
Science.
1998
;
279
:
577
-580.
191
Irusta PM, Luo Y, Bakht O, Lai CC, Smith SO, DiMaio D. Definition of an inhibitory juxtamembrane WW-like domain in the platelet-derived growth factor beta receptor.
J Biol Chem.
2002
;
277
:
38627
-38634.
192
Heinrich MC, Corless CL, Duensing A, et al. PDGFRA activating mutations in gastrointestinal stromal tumors.
Science.
2003
;
299
:
708
-710.
Sign in via your Institution