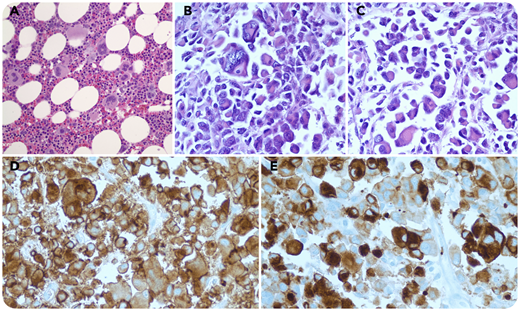
A 72-year-old man with a history of long-standing essential thrombocythemia presented with progressive and generalized weakness (panel A, hematoxylin and eosin stain at ×40 magnification of prior bone marrow biopsy in 2010, showing a hypercellular marrow with increased numbers of hyperlobated megakaryocytes without fibrosis; cytogenetic and molecular results unavailable). His laboratory results showed a neutrophilic leukocytosis (26 300/μL), anemia (10.1 g/dL), and marked thrombocytosis (1 190 000/μL). The patient’s symptoms were worked up, and he was found to have had a stroke secondary to increased platelets and a hypercoagulable state. In addition, the patient had mediastinal and supraclavicular lymphadenopathy, and a supraclavicular lymph node core biopsy was performed. The biopsy showed an infiltrate of large, pleomorphic, and poorly cohesive cells with abundant eosinophilic cytoplasm and occasional multinucleation (panels B and C, hematoxylin and eosin stain of lymph node at ×50 magnification). Immunohistochemistry showed the large atypical cells to be positive for CD45, CD34, CD61, and factor VIII (panel D, CD34 stain; panel E, CD61 stain, both at ×50 magnification).
The findings were consistent with a myeloid sarcoma with megakaryoblastic differentiation, likely arising out of the patient’s long-standing essential thrombocythemia. This entity is exceedingly rare in the literature, and our case exhibits morphologic clues toward megakaryoblastic differentiation. The patient elected to pursue supportive care and died shortly after diagnosis.
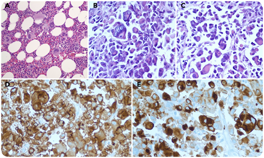
A 72-year-old man with a history of long-standing essential thrombocythemia presented with progressive and generalized weakness (panel A, hematoxylin and eosin stain at ×40 magnification of prior bone marrow biopsy in 2010, showing a hypercellular marrow with increased numbers of hyperlobated megakaryocytes without fibrosis; cytogenetic and molecular results unavailable). His laboratory results showed a neutrophilic leukocytosis (26 300/μL), anemia (10.1 g/dL), and marked thrombocytosis (1 190 000/μL). The patient’s symptoms were worked up, and he was found to have had a stroke secondary to increased platelets and a hypercoagulable state. In addition, the patient had mediastinal and supraclavicular lymphadenopathy, and a supraclavicular lymph node core biopsy was performed. The biopsy showed an infiltrate of large, pleomorphic, and poorly cohesive cells with abundant eosinophilic cytoplasm and occasional multinucleation (panels B and C, hematoxylin and eosin stain of lymph node at ×50 magnification). Immunohistochemistry showed the large atypical cells to be positive for CD45, CD34, CD61, and factor VIII (panel D, CD34 stain; panel E, CD61 stain, both at ×50 magnification).
The findings were consistent with a myeloid sarcoma with megakaryoblastic differentiation, likely arising out of the patient’s long-standing essential thrombocythemia. This entity is exceedingly rare in the literature, and our case exhibits morphologic clues toward megakaryoblastic differentiation. The patient elected to pursue supportive care and died shortly after diagnosis.
For additional images, visit the ASH Image Bank, a reference and teaching tool that is continually updated with new atlas and case study images. For more information, visit http://imagebank.hematology.org.

