Abstract
In B lymphocytes, induction of apoptosis or programmed cell death (PCD) by Fas (CD95/APO-1) is suppressed by the triggering of CD40. This suppression controls various aspects of the humoral immune response, including antibody affinity maturation. The opposing effects of these receptors are also crucial to B-cell homeostasis, autoimmune disease, and cancer. Cytoprotection by CD40 involves activation of protective genes mediated by NF-κB transcription factors; however, its basis remains poorly understood. Here, we report that, in B cells, Gadd45β is induced by CD40 through a mechanism that requires NF-κB and that this induction suppresses Fas-mediated killing. Importantly, up-regulation of Gadd45β by CD40 precedes Fas-induced caspase activation, as well as up-regulation of other NF-κB–controlled inhibitors of apoptosis such as Bcl-xL and c-FLIPL. In the presence of Gadd45β, the Fas-induced apoptotic cascade is halted at mitochondria. However, in contrast to Bcl-xL, Gadd45β is unable to hamper the “intrinsic” pathway for apoptosis and in fact appears to block Fas cytotoxicity herein by suppressing a mitochondria-targeting mechanism activated by this receptor. These findings identify Gadd45β as a critical mediator of the prosurvival response to CD40 stimulation and provide important new insights into the apoptotic mechanism that is triggered by Fas in B cells.
Introduction
Tissue homeostasis depends on the precise, coordinated regulation of survival and death signals. In the immune system, a key homeostatic mechanism is the induction of apoptosis or programmed cell death (PCD) by Fas (CD95/APO-1), a member of the tumor necrosis factor-receptor (TNF-R) family.1,2 Indeed, lpr and gld mice, lacking functional Fas and FasL, respectively, exhibit lymphoproliferative disorders and an abundance of self-reactive antibodies.3
Fas is the prototypic “death receptor” (DR).3,4 Ligand engagement of this receptor leads to association of its cytoplasmic tail with Fas-associated death domain (FADD) protein, which in turn recruits procaspase-8 to the death-inducing signaling complex (DISC), thereby promoting activation of this proenzyme.3 Active caspase-8 then cleaves and activates procaspase-3, as well as Bid, a “BH3-only” member of the Bcl-2 group, which, upon cleavage, targets mitochondria to trigger membrane depolarization and cytosolic release of cytochrome c.1,3 In type II cells, where DISC formation cannot be detected, this latter mechanism linking Fas to mitochondria is required to induce death.5 Conversely, in type I cells, the DISC assembles readily, leading to direct activation of large amounts of caspase-8 sufficient to induce apoptosis without the need for mitochondria.5 Another pathway for caspase activation is the so-called “intrinsic” pathway, triggered by Bax-like factors of the Bcl-2 family in response to developmental or environmental cues.1,6 Upon activation, these factors insert into the inner mitochondrial membrane, causing a drop of the transmembrane potential (ΔΨm) and the release of cytochrome c into the cytoplasm followed by activation of procaspase-9 and downstream caspases.
In germinal center (GC) B cells, Fas-induced killing, as well as spontaneous apoptosis ex vivo, are counteracted by prosurvival signaling induced by CD40,7-10 another member of the TNF-R family.4 Indeed, interaction between this receptor and its ligand on activated T cells controls various aspects of the T-dependent humoral immune response, including antibody affinity maturation and isotype switching and memory B-cell development.7,11 The ability of CD40 to sustain B-cell survival is crucial to its functions in adaptive immunity.7,11 For instance, CD40 costimulation promotes maturation of the antibody response, at least in part, by participating in the selective rescue of B-cell clones with high affinity antigen receptors from Fas-mediated deletion.7,12 In addition to these roles in mature B lymphocytes, prosurvival signaling by CD40 antagonizes surface IgM-induced apoptosis in immature B cells13 and plays a critical role in the pathogenesis of certain malignancies, including Hodgkin lymphoma.14,15
Cytoprotection by CD40 involves activation of protective genes, and this activation depends on NF-κB/Rel transcription factors.16-18 Normally, NF-κB dimers are sequestered in the cytoplasm by binding to inhibitory IκB proteins and can be activated rapidly by signals, such as those initiated by CD40, that induce the sequential phosphorylation and proteolysis of IκBs.19,20 Activation of NF-κB antagonizes PCD by numerous triggers, including ligand engagement of DRs such as Fas and TNF-R1.19,20 The antiapoptotic activity of NF-κB also is crucial to B lymphopoiesis and B-cell costimulation, as well as to oncogenesis and cancer chemoresistance.19-25 With regard to CD40, the NF-κB protective function has been associated with induction of the Bcl-2 family member, Bcl-xL,23 and the catalytically inactive homologue of caspase-8, c-FLIPL.26,27 However, the mechanisms by which Fas induces apoptosis in B cells and the basis for the protective effects of CD40 remain poorly understood.
Using an unbiased screen for cDNAs capable of blocking apoptosis in relA–/– fibroblasts, we have previously identified Gadd45β/Myd118, a member of the Gadd45 family of inducible factors, as a pivotal mediator of the protective activity of NF-κB against TNFα.28 In B cells, gadd45β expression is highly induced by NF-κB–activating agents, and basal gadd45β mRNA levels correlate with NF-κB activity.29,30 Gadd45β also is found in GC B cells.31 Indeed, a recent study indicates that the gadd45β promoter is under direct control of NF-κB.30
This prompted us to examine whether Gadd45β mediated the protective effects of CD40 against Fas-induced apoptosis. To this end, we used BJAB Burkitt lymphoma cells, which exhibit the genetic profile of GC B cells31 and, like their nontransformed counterparts, express CD40 and are sensitive to killing by Fas.32,33 We found that, in these cells, Gadd45β is induced rapidly by CD40 through a mechanism that requires NF-κB and that this induction suppresses the apoptotic response to Fas ligation. We also found that the protective activity of Gadd45β involves inhibition of a Fas-induced mitochondria-targeting mechanism, distinct from the well-characterized FADD/caspase-8/tBid mechanism. These findings identify Gadd45β as a physiologic effector of CD40 prosurvival signaling and unravel a novel mechanism participating in Fas-induced PCD in B cells.
Materials and methods
Cell cultures and treatments
The SKW6.4 B lymphoblastoid line and the Burkitt lymphoma lines BJAB, Ca46, K50, and Raji, were cultured in RPMI 1640 medium supplemented with 10% fetal bovine serum (FBS), 2 mM glutamine, and antibiotics (complete medium). BJAB clones stably expressing full-length human Bcl-xL or murine Gadd45β fused to an HA tag, and control Neo clones were generated by electroporation of BJAB cells with pcDNA3.1(Neo)–HA-Gadd45β, pcDNA3.1(Neo)–Bcl-xL, or empty pcDNA3.1(Neo) plasmids, respectively (described below), followed by subcloning and selection with 1 mg/mL G418 (CellGro, Mediatech, Herndon, VA). The DN-FADD BJAB clone was described previously.34 Fibroblasts expressing human CD40 ligand (CD40L) or CD70 ligand (CD70L) were from G. Van Seventer and were cultured in complete RPMI 1640 medium with 0.5 mg/mL G418. Total splenocytes were harvested using standard procedures from C57Bl/6J mice and used immediately for CD40 stimulation. The agonistic anti–Fas antibody, anti–APO-15 (Alexis, San Diego, CA), was used at 0.5 μg/mL in the presence of 0.5 ng/mL protein A (Sigma-Aldrich, St Louis, MO), as described previously5 (Figures 5A-B, protein A was omitted; Figure 3E, anti–APO-1 concentration was 1 μg/mL). Recombinant soluble (s) CD40L was used at 1 μg/mL in the presence of enhancer (1 μg/mL; Alexis).
Gadd45β has no effect on the early events in Fas apoptotic signaling. (A) Gadd45β does not affect DISC formation. DISC analysis with lysates from Neo, HA-Gadd45β (Gadd45β), Bcl-xL, and DN-FADD BJAB clones treated with anti–APO-1 for the times indicated. Western blots were performed using anti–APO-1 immunoprecipitates (left panels) or total cell lysates (right panels) and antibodies against caspase-8, FADD, or Fas, as indicated. Fas served as loading control. Note that in the particular BJAB clone shown, DN-FADD inhibited Fas-induced recruitment of endogenous FADD. Specific and nonspecific (n.s.) bands are labeled. Shown is one representative of 3 independent experiments. (B) DISC-associated caspase-8 activity in untreated (–) and anti–APO-1–treated (30 minutes; +) BJAB clones. Clones, Fas stimulation, and DISC immunoprecipitations were as in panel A. Caspase-8–specific activity was measured by fluorimetric assays using zIETD-AFC as in Figure 4B. Values show absolute fluorescence units and represent the mean ± standard deviation of 3 independent experiments. (C) Gadd45β has no effect on the direct Fas-induced processing of Bid. Western blots (50 μg) showing Bid cleavage in Neo and HA-Gadd45β BJAB clones transduced with pBabe-Bid and treated with anti–APO-1 for the times indicated. pBabe-transduced cells were left untreated. Antibodies and Bid-specific bands are labeled.
Gadd45β has no effect on the early events in Fas apoptotic signaling. (A) Gadd45β does not affect DISC formation. DISC analysis with lysates from Neo, HA-Gadd45β (Gadd45β), Bcl-xL, and DN-FADD BJAB clones treated with anti–APO-1 for the times indicated. Western blots were performed using anti–APO-1 immunoprecipitates (left panels) or total cell lysates (right panels) and antibodies against caspase-8, FADD, or Fas, as indicated. Fas served as loading control. Note that in the particular BJAB clone shown, DN-FADD inhibited Fas-induced recruitment of endogenous FADD. Specific and nonspecific (n.s.) bands are labeled. Shown is one representative of 3 independent experiments. (B) DISC-associated caspase-8 activity in untreated (–) and anti–APO-1–treated (30 minutes; +) BJAB clones. Clones, Fas stimulation, and DISC immunoprecipitations were as in panel A. Caspase-8–specific activity was measured by fluorimetric assays using zIETD-AFC as in Figure 4B. Values show absolute fluorescence units and represent the mean ± standard deviation of 3 independent experiments. (C) Gadd45β has no effect on the direct Fas-induced processing of Bid. Western blots (50 μg) showing Bid cleavage in Neo and HA-Gadd45β BJAB clones transduced with pBabe-Bid and treated with anti–APO-1 for the times indicated. pBabe-transduced cells were left untreated. Antibodies and Bid-specific bands are labeled.
Gadd45β suppresses apoptosis by Fas and is induced rapidly by CD40. (A) PI staining of representative Neo, HA-Gadd45β, and Bcl-xL BJAB clones treated with anti–APO-1 for 12 hours (top panels). Bottom panels show Western blots with extracts (50 μg) of BJAB clones and antibodies against HA, Bcl-xL, or β-actin, as indicated. (B) PI staining of representative HA-Gadd45β, Bcl-xL, DN-FADD, and Neo BJAB clones treated with anti–APO-1 for the times shown. (C) Rapid induction of Gadd45β by CD40. Western blots showing Gadd45β levels in the Fas-resistant clone HA-Gadd45β-109 (G109, lane 2; Neo-(N)124, lane 1) and in parental BJAB cells cocultured with CD40L fibroblasts (1:1 ratio) for the times shown (lanes 3-5). Lysates from parallel cultures of BJAB and CD40L cells alone indicated that, in lysates from mixed cultures, BJAB-derived proteins were 20% of total proteins. Accordingly, gels were loaded as follows: BJAB clones alone (lanes 1-2), 20 μg; cocultures (lanes 3-5), 100 μg (ie, 20 μg + 80 μg); CD40L fibroblasts alone (lane 6), 80 μg. Antibodies were as shown: anti-Gadd45β (5D2.2), anti–β-actin (controlling for loading of fibroblast proteins), or HRP-labeled anti–human IgG (controlling for loading of BJAB proteins). HA-Gadd45β, endogenous Gadd45β, and nonspecific (n.s.) bands are indicated. (D) c-FLIPL and Bcl-xL are not induced or are induced only modestly or slowly by CD40 stimulation. Extracts of CD40L-stimulated BJAB cells were the same used in (C). Loading was as in (C) (lanes 1-3, 100 μg; lane 4, 80 μg), and antibodies were as shown. L and S indicate c-FLIPL and c-FLIPS forms, respectively. (E) PI staining of Burkitt lymphoma (Raji and Ca46) and non-Burkitt lymphoma B cells transduced with MIGR1 or MIGR1-Gadd45β and treated with anti–APO-1 for the times indicated. Cells were FCM-sorted as in Figure 1C. (A, B, E) Values were extrapolated as in Figure 1 and represent the mean ± standard deviation of 3 independent experiments.
Gadd45β suppresses apoptosis by Fas and is induced rapidly by CD40. (A) PI staining of representative Neo, HA-Gadd45β, and Bcl-xL BJAB clones treated with anti–APO-1 for 12 hours (top panels). Bottom panels show Western blots with extracts (50 μg) of BJAB clones and antibodies against HA, Bcl-xL, or β-actin, as indicated. (B) PI staining of representative HA-Gadd45β, Bcl-xL, DN-FADD, and Neo BJAB clones treated with anti–APO-1 for the times shown. (C) Rapid induction of Gadd45β by CD40. Western blots showing Gadd45β levels in the Fas-resistant clone HA-Gadd45β-109 (G109, lane 2; Neo-(N)124, lane 1) and in parental BJAB cells cocultured with CD40L fibroblasts (1:1 ratio) for the times shown (lanes 3-5). Lysates from parallel cultures of BJAB and CD40L cells alone indicated that, in lysates from mixed cultures, BJAB-derived proteins were 20% of total proteins. Accordingly, gels were loaded as follows: BJAB clones alone (lanes 1-2), 20 μg; cocultures (lanes 3-5), 100 μg (ie, 20 μg + 80 μg); CD40L fibroblasts alone (lane 6), 80 μg. Antibodies were as shown: anti-Gadd45β (5D2.2), anti–β-actin (controlling for loading of fibroblast proteins), or HRP-labeled anti–human IgG (controlling for loading of BJAB proteins). HA-Gadd45β, endogenous Gadd45β, and nonspecific (n.s.) bands are indicated. (D) c-FLIPL and Bcl-xL are not induced or are induced only modestly or slowly by CD40 stimulation. Extracts of CD40L-stimulated BJAB cells were the same used in (C). Loading was as in (C) (lanes 1-3, 100 μg; lane 4, 80 μg), and antibodies were as shown. L and S indicate c-FLIPL and c-FLIPS forms, respectively. (E) PI staining of Burkitt lymphoma (Raji and Ca46) and non-Burkitt lymphoma B cells transduced with MIGR1 or MIGR1-Gadd45β and treated with anti–APO-1 for the times indicated. Cells were FCM-sorted as in Figure 1C. (A, B, E) Values were extrapolated as in Figure 1 and represent the mean ± standard deviation of 3 independent experiments.
Plasmids and retroviral vectors
To generate pcDNA3.1(Neo)–HA-Gadd45β, the ∼0.48-kilobase (kb) BglII-XbaI fragment of pEGFP-Gadd45β28 was inserted between the BamHI and ApaI sites of pcDNA3.1(Neo) (Invitrogen, Carlsbad, CA) along with the following linker, replacing the 3′-terminal portion of the gadd45β coding sequence (without the stop) and coding an in-frame HA tag: 5′-CTAGAGGAACGGTCCGGATACCCATACGACGTTCCTGATTACGCTTAAGGGCC-3′ (sense strand; partial XbaI and ApaI sites are underlined). This construct expressed murine Gadd45β fused to HA through a 2-amino acid spacer. pcDNA3.1(Neo)–Bcl-xL, was obtained by excising full-length human bcl-xL from pSFFV-Bcl-xL with EcoRI and ligating it into pcDNA3.1(Neo) opened with EcoRI.
The MSCV-based bicistronic retroviral vector, MIGR1, expressing enhanced green fluorescent protein (eGFP), was described previously.35 MIGR1-IκBαM was constructed by inserting the ∼1.1-kb EcoRI fragment of pcDNA3.1(Neo)-IκBαM28 into the EcoRI site of MIGR1. To generate MIGR1-FADD, full-length fadd cDNA was amplified by polymerase chain reaction (PCR) from pcDNA-FADD34 using the following primers: 5′-GGAAGATCTGCCACCATGCAGACATACCGCTACATC-3′ and 5′-GGAGAATTCTCAGGACGCTTCGGAGGTAGATGCGTC-3′ (BglII and EcoRI sites incorporated into sense and antisense primers, respectively, are underlined). The PCR product was digested with BglII and EcoRI and ligated into MIGR1 opened with the same enzymes. For construction of MIGR1-CD8:caspase-8, CD8:caspase-8 plasmids36 were cleaved with HindIII and XbaI, and the resulting CD8:caspase-8–coding DNA fragment was blunted by Klenow reaction and subcloned into the filled-in EcoRI site of MIGR1. MIGR1-Gadd45β contains the full-length mouse Gadd45β cDNA inserted into the MIGR1 XhoI site. The pBabe(eGFP), pBabe-Bak, and pBabe-Bid retroviral vectors were described previously.37 pBabe-tBid, expressing active truncated (t)Bid, was obtained by ligating the tBid-containing BamHI fragment of pCMV-tBid37 into pBabe opened with BamHI. With all constructs, DNA junctions, oligonucleotide linkers, and PCR-generated inserts were confirmed by sequencing and appropriate restriction digestions.
Retrovirus production and transduction of BJAB cells
High-titer retroviral preparations were produced using ΦNX-Ampho retroviral packaging cells as described previously.35 Packaging cells were transfected with MIGR1-or pBabe-based constructs (22.5 μg) and vesicular stomatitis virus (VSV) G glycoprotein–coding plasmids38 (7.5 μg), and supernatants were harvested at 36 hours and stored at 4°C for up to 1 week. For viral transductions, 4 mL cell-free retroviral supernatants were added to 1 mL complete medium, 150 000-250 000 B cells, and 10 μg/mL polybrene (Sigma-Aldrich) in 6-well plates. Plates were then centrifuged at 1300g for 1 hour at room temperature and incubated at 37°C for an additional 24 hours. The medium was finally changed, and transduction efficiency (ie, percent eGFP+ cells) was monitored by flow cytometry (FCM). In Figures 1C, 2C, and 3E, transduced B cells were sorted by using a 10 Detector Cytomation MoFlo High Speed Cell Sorter, yielding polyclonal cell populations that were greater than 95% eGFP+.
CD40-mediated protection of BJAB cells against Fas-induced killing requires NF-κB. PI nuclear staining of BJAB cells (A) stimulated with anti–APO-1 for the times indicated or (B) for 21 hours in the presence (+) or absence (–) of sCD40L treatment. (C) PI nuclear staining of BJAB cells transduced with MIGR1-IκBαM (▦) or empty MIGR1 (▪) as shown and treated for 21 hours with anti–APO-1, with (+) or without (–) sCD40L as in (B). Cells were sorted by FCM prior to stimulation and were > 95% GFP+. (A-C) Values express percent viability relative to untreated cultures and represent the mean ± standard deviation of 3 independent experiments.
CD40-mediated protection of BJAB cells against Fas-induced killing requires NF-κB. PI nuclear staining of BJAB cells (A) stimulated with anti–APO-1 for the times indicated or (B) for 21 hours in the presence (+) or absence (–) of sCD40L treatment. (C) PI nuclear staining of BJAB cells transduced with MIGR1-IκBαM (▦) or empty MIGR1 (▪) as shown and treated for 21 hours with anti–APO-1, with (+) or without (–) sCD40L as in (B). Cells were sorted by FCM prior to stimulation and were > 95% GFP+. (A-C) Values express percent viability relative to untreated cultures and represent the mean ± standard deviation of 3 independent experiments.
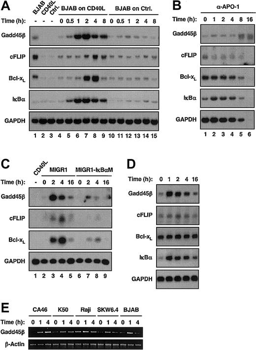
gadd45β is induced rapidly by CD40, and this induction depends on NF-κB. Northern blots showing gadd45β mRNA levels in BJAB cells (A) cocultured at a 1:1 ratio with fibroblasts expressing CD40L or CD70L (Ctrl.) or (B) treated with anti–APO-1. (C) Northern blots showing gadd45β expression in BJAB cells transduced with MIGR1-IκBαM or empty MIGRI and cocultured with CD40L fibroblasts as in (A). Cells were FCM-sorted as in Figure 1C. (D) Northern blots with mRNA extracted from primary mouse splenocytes cocultured at an 8:1 ratio with CD40L-expressing fibroblasts. (E) RT-PCR showing gadd45β induction by sCD40 in B-cell lines. Cells, times, and 32P-labeled probes are indicated.
gadd45β is induced rapidly by CD40, and this induction depends on NF-κB. Northern blots showing gadd45β mRNA levels in BJAB cells (A) cocultured at a 1:1 ratio with fibroblasts expressing CD40L or CD70L (Ctrl.) or (B) treated with anti–APO-1. (C) Northern blots showing gadd45β expression in BJAB cells transduced with MIGR1-IκBαM or empty MIGRI and cocultured with CD40L fibroblasts as in (A). Cells were FCM-sorted as in Figure 1C. (D) Northern blots with mRNA extracted from primary mouse splenocytes cocultured at an 8:1 ratio with CD40L-expressing fibroblasts. (E) RT-PCR showing gadd45β induction by sCD40 in B-cell lines. Cells, times, and 32P-labeled probes are indicated.
Northern blots, Western blots, RT-PCR, and antibodies
RNA extraction and Northern blots were performed as previously detailed,30 using 12 μg (Figures 2A,C,D) or 6 μg (Figure 2B) total RNA. 32P-labeled probes were generated using human or mouse gadd45β, bcl-xL, c-flipL, ikbα, or gapdh (glyceraldehyde-3-phosphate dehydrogenase) cDNAs as appropriate. Semiquantitative reverse transcriptase–polymerase chain reaction (RT-PCR) was performed as described previously,39 using the following primer pairs: gadd45β 5′-ATGACGCTGGAAGAGCTCGTGGCGTGCG-3′ and 5′-TCAGCGTTCCTGAAGAGAGATGTAGGGGAC-3′); β-actin 5′-CATCCTGCGTCTGGACCTGGCTGGCCGGGA-3′ and 5′-CTAGAAGCATTTGCGGTGGACGATGGAGGGGC-3′). Western blots were performed by standard procedures using enhanced chemiluminescence (ECL; Amersham Biosciences, Piscataway, NJ).5,28 For whole cell extracts, cells were lysated in Triton X-100 buffer supplemented with protease inhibitors (Roche, Indianapolis, IN) followed by ultracentrifugation.5,34 In Figure 3C-D, extracts were prepared as above but in modified lysis buffer.40
The Gadd45β-specific monoclonal antibody (clone 5D2.2; Figure 3C) was generated by using as immunogen recombinant His6-Gadd45β, comprising an N-terminal hexa-histidine tag fused to human Gadd45β. This antibody recognizes human and mouse Gadd45β with comparable affinities and shows no cross-reactivity with either Gadd45α or Gadd45γ (S.P. and G.F., unpublished observations, July 2002). Other primary antibodies were as follows: anti–caspase-8 (C15) and anti–c-FLIP (NF6) monoclonal antibodies were described previously;32,41 rabbit polyclonal antibodies against caspase-3, caspase-9, or caspase-7 (Cell Signaling Technology, Beverly, MA); anti-Bid polyclonal antibody (R&D Systems, Minneapolis, MN); anti–Bcl-xL polyclonal and anti-FADD monoclonal antibodies (Transduction Laboratories, Mississauga, ON, Canada); anti-Fas/CD95 (C20), anti–β-actin (C11), and anti–HA-probe (Y-11) monoclonal antibodies (Santa Cruz Biotechnology, Santa Cruz, CA). Horseradish peroxidase (HRP)–conjugated antibodies were from the following vendors: goat anti–mouse IgG and donkey anti–goat IgG (Santa Cruz Biotechnology); donkey anti–rabbit IgG (Amersham Biosciences); goat anti–human IgG (used in Figure 3C; Southern Biotechnology, Birmingham, AL).
Propidium iodide (PI) staining, mitochondrial ΔΨM, caspase activity, and DISC analyses
DNA fragmentation was assessed by PI nuclear staining followed by FCM.28 Cells were scored as apoptotic when their DNA content was less than 2N (sub-G1 population). Assays for mitochondrial depolarization and caspase activities are detailed elsewhere.5,28 Briefly, mitochondrial ΔΨM was measured by incubating BJAB cells with 10 μg/mL JC-1 (Molecular Probes, Eugene, OR) for 20 minutes at 37°C and performing FCM analysis. To determine specific caspase activities, Triton X-100 lysates were incubated in cleavage buffer containing the following amino trifluoromethyl coumarin (AFC)–labeled caspase-specific substrates (Bachem): zIETD (caspase-8), Ac-LEHD (caspase-9), or zDEVD (caspase-3/7). Reactions were quantified using a microplate fluorescence reader.
For DISC analysis, 2 × 107 BJAB cells were left untreated or treated with anti–APO-1, and the DISC was immunoprecipitated from Triton X-100 lysates using protein A–Sepharose (Sigma-Aldrich), as previously described.5 Immunoprecipitates were then subjected either to in vitro caspase-8 assays (Figure 5B), as described above, or to Western blotting with anti-Fas (C20), anti–caspase-8 (C15), or anti-FADD antibodies (Figure 5A).
Results
CD40-mediated cytoprotection of BJAB cells against Fas-induced killing requires NF-κB
To test whether Gadd45β induction by NF-κB mediates the antiapoptotic function of CD40, we used the BJAB cell line. As shown previously,32 BJAB cells were highly sensitive to cytotoxic treatment with the agonistic anti–Fas antibody, anti–APO-1, with nearly all cells exhibiting signs of nuclear fragmentation by 24 hours (Figure 1A). In these cells, apoptosis by Fas was virtually abrogated by concomitant treatment with sCD40L (Figure 1B), and the protective effect of this ligand was most dramatic at early times (data not shown). Similar findings were obtained when CD40 was stimulated by coculturing BJAB cells with fibroblasts expressing CD40L, whereas CD70L-expressing control fibroblasts afforded no protection against anti–APO-1 cytotoxicity (Ctrl; data not shown). As previously reported for other B-cell systems,16 in BJAB cells the antiapoptotic activity of CD40 depended on NF-κB (Figure 1C). Whereas control cultures transduced with empty MIGR1 retroviruses could be effectively rescued from Fas-induced PCD by CD40 costimulation, BJAB cells expressing IκBαM, a variant of the IκBα inhibitor that blocks NF-κB activation,28 could not. It is worth noting that, due to NF-κB activation by the retroviral vectors (data not shown), MIGR1-transduced cells were somewhat more resistant to anti–APO-1 cytotoxicity than parental cells, exhibiting only a ∼60% killing rate at 21 hours (Figure 1C). As expected, the protective effect of virally-induced NF-κB complexes was lost in MIGR1-IκBαM-transduced cultures, and in fact these cultures appeared to be more susceptible to Fas ligation even in the absence of CD40L stimulation (compare survival rates of transduced cultures treated with anti–APO-1 alone). We concluded that, in BJAB cells, CD40-mediated protection against apoptosis by Fas involves activation of NF-κB target genes.
Induction of gadd45β by CD40 requires NF-κB
Therefore, we tested whether in BJAB cells, CD40 triggering activated transcription of gadd45β, a protective gene controlled by NF-κB.28 As shown in Figure 2A, gadd45β transcripts were detected in unstimulated BJAB cells (lanes 1 and 4), which like primary B lymphocytes, exhibit constitutively nuclear NF-κB20,21,24 (data not shown). Conversely, gadd45β mRNA levels were below detection in CD40L and control fibroblasts (lanes 2 and 3, respectively), which contain instead inducible NF-κB complexes.19 Importantly, coculture of BJAB cells with CD40L fibroblasts, but not with CD70L control cells, prompted dramatic up-regulation of gadd45β (Figure 2A). Induction of gadd45β by CD40 was rapid, reaching near-maximal levels by 1 hour. This pattern of expression mirrored that of iκbα, another target of NF-κB.19 Conversely, bcl-xL and c-flip, 2 genes that are under partial control of NF-κB and can inhibit Fas-induced apoptosis,8,23,26,27,32,42,43 were activated much later during CD40 stimulation. Furthermore, relatively to basal levels (lanes 1 and 4), induction of c-flip was modest as compared to that of gadd45β or bcl-xL. With regard to gadd45β, qualitatively similar findings were obtained using sCD40L (data not shown), primary mouse splenocytes (Figure 2D), and other B-cell lines, including several Burkitt lymphomas (Figure 2E). Of note, in splenocytes, bcl-xL and c-flip were not activated significantly at the times that were examined. Rapid up-regulation of Gadd45β by CD40 was confirmed by Western blot analysis (Figure 3C). This analysis also showed a delayed and modest induction of Bcl-xL and a lack of accumulation of c-FLIPL polypeptides by 4 hours (Figure 3D).
Consistent with its dependence on NF-κB,28,30 gadd45β induction by CD40 was abolished by IκBαM (Figure 2C). As expected, the superrepressor also impaired activation of c-flip and bcl-xL. Of interest, none of these genes nor iκbα were up-regulated significantly by anti–APO-1 (Figure 2B), indicating that as in other systems,44 in BJAB cells Fas is a poor activator of NF-κB, a conclusion also supported by mobility shift assays (data not shown). Hence, in B cells, gadd45β is induced in response to CD40 ligation, and this induction requires NF-κB. Interestingly, NF-κB–regulated antiapoptotic genes exhibit different activation kinetics, and this may dictate in part their contribution to the CD40 protective function (see “Discussion”).
Gadd45β blocks Fas-induced apoptosis in BJAB cells
To determine whether Gadd45β induction by CD40 serves a protective function, we generated BJAB clones stably expressing HA-tagged Gadd45β (HA-Gadd45β) or harboring empty vectors (Neo). Whereas each of 11 Neo clones that were tested remained highly susceptible to cytotoxic treatment with anti–APO-1, 18 independent HA-Gadd45β clones were resistant to Fas-induced killing, with rates of survival correlating with HA-Gadd45β protein levels (Figure 3A, top left, and Figure 3B, PI staining of representative clones expressing high and intermediate levels of HA-Gadd45β and Neo controls; Figure 3A, bottom left; data not shown). At early times, protection by HA-Gadd45β was nearly complete (Figures 3A-B, 12 hours). As previously reported, Fas-induced apoptosis was also blocked by dominant negative (DN)-FADD.34 Remarkably, in clones expressing the highest levels of HA-Gadd45β, viability was only ∼15% lower than in resistant DN-FADD cells, even at 24 hours (Figure 3B, clone HA-Gadd45β-104; data not shown), suggesting that Gadd45β is sufficient on its own to temporarily suppress Fas-induced killing. Importantly, in these cells, the levels of Gadd45β that were able to afford near-complete protection against PCD by Fas were comparable to those achieved during physiologic CD40 stimulation (Figure 3C; compare Gadd45β protein levels in clone HA-Gadd45β-109, exhibiting ∼80% survival after anti–APO-1 treatment [Figure 3A] and in CD40L-activated BJAB cells). Of interest, the Gadd45β protective activity against Fas-induced killing extended to other Burkitt lymphomas, such as Raji and Ca46 cells, but not to the B lymphoblastoid line, SKW6.4 (Figure 3E; see “Discussion”). Hence, Gadd45β is a novel mediator of the CD40 protective function and a physiologic blocker of the apoptotic response to Fas ligation.
In BJAB cells, Fas-induced killing was also blocked by Bcl-xL (Figure 3A, top right; shown are 2 representative clones of 15 that were tested; Figure 3B), indicating that these cells require mitochondrial mechanisms to undergo this killing and therefore are type II–like cells5 (see “Discussion”). However, unlike what was seen with Gadd45β, in BJAB cells, the Bcl-xL levels achieved following CD40L stimulation were considerably lower than those present in Bcl-xL–overexpressing clones (compare the relative Bcl-xL levels in Bcl-xL vs Neo clones [Figure 3A, bottom right] and in CD40L-treated vs untreated BJAB cells [Figure 3D]). Furthermore, even at the highest transgene expression, Bcl-xL clones were only partly protected against PCD by Fas (Figure 3B, see ∼60% survival at 24 hours). Together, these data suggest that Gadd45β is both more efficient in blocking Fas-induced killing (Figure 3B, compare survival rates of clones HA-Gadd45β-104 and Bcl-xL-147 at 24 hours; data not shown) and more relevant to the CD40 protective function than Bcl-xL.
Gadd45β blocks caspase activation by Fas
To begin to understand the basis for the protective activity of Gadd45β, we examined Fas-induced caspase activation in HA-Gadd45β and control clones. In Neo cells, low but significant caspase-8 processing could be detected as early as 15 minutes after anti–APO-1 treatment (Figure 4A, Neo; see the appearance of p41 and p43 intermediates and active p18; caspase-8, middle and bottom panels, respectively). However, it was not until 4 hours that procaspase-8 started to be processed in large quantities, with progressive accumulation of p18 (top and bottom panels). This coincided with robust proteolysis of the caspase-8 substrate Bid as well as of downstream procaspase-9, -3, and -7, and the appearance of cleavage intermediates and active products of the expected sizes in each case (Neo). As expected, Fas-induced processing led to marked increase of caspase-8, -9, and -3/-7 activity, as assessed by fluorimetric assays using caspase-specific substrates (Figure 4B).
Gadd45β blocks caspase activation by Fas. (A) Western blots showing caspase processing in Neo, HA-Gadd45β, and DN-FADD BJAB clones treated with anti–APO-1 for the time shown. Antibodies, molecular weights of specific proteins and cleavage products, and nonspecific (n.s.) bands are indicated. High molecular weight products detected with the caspase-3–specific antibody (*) likely represent previously described ubiquitinated polypeptides. (B) In vitro fluorimetric assays monitoring caspase-8, -9, and -3/7 activity in select samples of the same extracts used in (A). Values express fluorescence units after subtraction of the background values obtained with unstimulated cells and represent the mean ± standard deviation of 3 independent experiments.
Gadd45β blocks caspase activation by Fas. (A) Western blots showing caspase processing in Neo, HA-Gadd45β, and DN-FADD BJAB clones treated with anti–APO-1 for the time shown. Antibodies, molecular weights of specific proteins and cleavage products, and nonspecific (n.s.) bands are indicated. High molecular weight products detected with the caspase-3–specific antibody (*) likely represent previously described ubiquitinated polypeptides. (B) In vitro fluorimetric assays monitoring caspase-8, -9, and -3/7 activity in select samples of the same extracts used in (A). Values express fluorescence units after subtraction of the background values obtained with unstimulated cells and represent the mean ± standard deviation of 3 independent experiments.
As previously reported,34 this cascade of events was almost completely abrogated by DN-FADD (Figure 4A). Importantly, Fas-induced activation of both initiator and executioner caspases was also dramatically suppressed in HA-Gadd45β cells (Figure 4A-B). In these cells, procaspases and Bid remained for the most part intact throughout stimulation with anti–APO-1, and accumulation of p18 and other caspase-derived products was greatly reduced and delayed as compared to what was seen in Neo clones (Figure 4A). In Gadd45β-expressing cells, caspase activation was blocked despite the presence of normal levels of Bid and procaspases, and proteolysis was specific since other proteins (eg, β-actin) were not degraded in the cell extracts (Figure 4A and data not shown, respectively). Thus, Gadd45β abrogates caspase activation by Fas.
Interestingly, while inhibiting the late, gradual processing of caspase-8, Gadd45β did not affect initial cleavage of this caspase, since at early times, p41/p43 and p18 were detected in comparable amounts in Neo and HA-Gadd45β clones (Figure 4A, caspase-8, middle and bottom, respectively; see 0.25 and 0.5 hours). Similar findings were obtained with Bcl-xL–expressing clones (data not shown), indicating that as in prototypic type II cells,3,5 in BJAB cells caspase-8 activation by Fas occurs in 2 distinct phases: an early phase, not inhibitable by Bcl-xL, during which caspase-8 is activated by direct autocatalytic processing at the DISC; and a late phase, which depends on mitochondrial mechanisms and can be blocked by Bcl-xL. Hence, Gadd45β seems to block the mitochondria-dependent but not the mitochondria-independent phase of caspase-8 activation by Fas.
Gadd45β does not affect DISC-associated events
The above findings suggest that Gadd45β blocks apoptosis signaling by Fas downstream of the DISC. Therefore, we tested whether Gadd45β affected DISC assembly and/or caspase-8 activation at the DISC, 2 early events in Fas signaling to PCD.3,5 BJAB cells were left untreated or treated with anti–APO-1 for the times indicated, and Fas was immunoprecipitated as previously described.5,32 In Neo and HA-Gadd45β clones, FADD and procaspase-8 were recruited to the receptor with similar kinetics and in comparable amounts following Fas stimulation (Figure 5A, top and middle, respectively), indicating that Gadd45β expression does not hamper formation of the DISC (right panels, total lysates). Moreover, consistent with the analysis shown in Figure 4A, once at the DISC, caspase-8 underwent autocatalytic processing regardless of the presence of Gadd45β, as judged by the normal amounts of p41/p43 that were bound to Fas in anti-APO-1–treated HA-Gadd45β clones (Figure 5A, top left). As expected, DISC formation and caspase-8 processing occurred normally also in Bcl-xL clones, whereas DN-FADD abolished these processes. Importantly, neither Bcl-xL nor Gadd45β had any effect on the early induction of caspase-8 activity at the DISC, shown by monitoring the ability of anti–APO-1 immunoprecipitates to proteolyze the caspase-8–specific substrate, zIETD-AFC (Figure 5B).
Another early event in Fas apoptotic signaling is the activation of Bid.3 However, due to the low amounts produced through direct cleavage by DISC-bound caspase-8, at early times after anti–APO-1 treatment tBid is usually undetectable (Figure 4A). Thus, our analysis could not establish whether the effects of Gadd45β on tBid accumulation (Figure 4A, late times) were due to direct inhibition of Bid processing. To clarify this issue, we monitored this processing in pBabe-Bid–transduced BJAB clones, expressing high levels of Bid (Figure 5C, 0 hours; compare Bid levels in pBabe- and pBabe-Bid–transduced cells). As shown in Figure 5C, Gadd45β had no impact on direct Bid cleavage by caspase-8, as at early times, transduced HA-Gadd45β and Neo clones exhibited equivalent amounts of tBid (see 0.5 and 1 hours). Hence, Gadd45β had no effect on the early events of Fas signaling to apoptosis, including DISC assembly, caspase-8 activation at the DISC, and Bid processing. Of interest, similar observations were made with Bcl-xL (Figure 5A-B, and data not shown), suggesting that Gadd45β inhibits the Fas-induced apoptotic cascade below the DISC, most likely at mitochondria.
Gadd45β blocks Fas-induced mitochondrial depolarization
Therefore, we examined whether Gadd45β suppressed mitochondrial depolarization by Fas. In Neo clones, the mitochondrial ΔΨm began to drop 4 hours after treatment with anti–APO-1, as determined by the use of the fluorescent dye JC-1 (Figure 6), with percentages of JC-1+ cells gradually increasing to almost 70% by 16 hours. As expected, this drop in ΔΨm was inhibited both by DN-FADD and Bcl-xL. Fas-induced depolarization was also suppressed in HA-Gadd45β clones, and in fact Gadd45β appeared to be at least as effective as Bcl-xL in blocking this depolarization. Remarkably, inhibition by Gadd45β was nearly complete even at late times, when there were clear signs of caspase-8 activation such as high levels of p41/p43, p18, and tBid (Figure 4A, HA-Gadd45β; Figures 4B, 5A-C). Thus, Gadd45β seemingly blocks Fas apoptotic signaling at the level of mitochondria. Indeed, so far Gadd45β and Bcl-xL had similar effects on DISC-associated events, caspase activation, and mitochondrial depolarization induced by Fas (Figures 4, 5, 6, and data not shown).
Gadd45β abrogates Fas-induced mitochondrial depolarization. Shown are percentages of JC-1+ cells in Neo, HA-Gadd45β, Bcl-xL, and DN-FADD clones left untreated or treated with anti–APO-1 for the times indicated. Positivity was scored based on the combined increase in FL-1 fluorescence and decrease in FL-2 fluorescence. Values represent the mean ± standard deviation of 3 independent experiments.
Gadd45β abrogates Fas-induced mitochondrial depolarization. Shown are percentages of JC-1+ cells in Neo, HA-Gadd45β, Bcl-xL, and DN-FADD clones left untreated or treated with anti–APO-1 for the times indicated. Positivity was scored based on the combined increase in FL-1 fluorescence and decrease in FL-2 fluorescence. Values represent the mean ± standard deviation of 3 independent experiments.
Gadd45β inhibits a mitochondria-targeting mechanism triggered by Fas
We reasoned that if it were to act at mitochondria directly, Gadd45β should be able to block killing by overexpression of molecules known to mediate activation of these organelles by Fas.1,3 To mimic DISC-associated events, HA-Gadd45β and Neo clones were transduced with MIGR1-FADD or MIGR1-CD8: caspase-8, generating active caspase-8;3,36 whereas to simulate distinct mitochondrial events, we used tBid- and Bak-encoding pBabe retroviruses.1,3 Viability of transduced clones was monitored over time by using morphologic criteria and FCM analysis. Remarkably, while capable of blocking Fas-induced apoptosis efficiently, Gadd45β offered no protection against the aforementioned molecules (Figure 7). FADD and CD8:caspase-8 were especially potent inducers of PCD, killing ∼80% or more cells by 48 hours. Whereas the effectiveness of this killing and the inability of Gadd45β to prevent it may be explained by the ability of these latter molecules to trigger mitochondria-independent apoptotic mechanisms36 (see “Discussion”), the observation that Gadd45β was unable to blunt PCD by Bak or tBid was surprising. In fact, HA-Gadd45β clones were even slightly more susceptible to these Bcl-2–like factors than control clones. The basis for this phenomenon is presently unclear; nevertheless, these findings are in line with the notion that, during Fas stimulation, the effects of Gadd45β on mitochondria are indirect.
Gadd45β does not inhibit killing induced by overexpression of known effectors of Fas apoptotic signaling. HA-Gadd45β and Neo clones were transduced with MIGR1-FADD, MIGR1-CD8:caspase-8, pBabe-tBid, or pBabe-Bak retroviruses or MIGR1 and pBabe controls, and after the times indicated, counted and analyzed for viability by light microscopy and for GFP positivity by FCM. With tBid and Bak, survival rates were extrapolated after gating on cell populations expressing high levels of eGFP. Zero represents the time when retroviral preparations and BJAB cells first came into contact. Values express percentages of viable GFP+ cells in cultures expressing proapoptotic molecules relatively to cultures transduced with the corresponding insert-less retrovirus and represent the mean ± standard deviation of 3 independent experiments. Qualitatively similar results were obtained when cell death was scored by FCM using side scatter versus forward scatter plots.
Gadd45β does not inhibit killing induced by overexpression of known effectors of Fas apoptotic signaling. HA-Gadd45β and Neo clones were transduced with MIGR1-FADD, MIGR1-CD8:caspase-8, pBabe-tBid, or pBabe-Bak retroviruses or MIGR1 and pBabe controls, and after the times indicated, counted and analyzed for viability by light microscopy and for GFP positivity by FCM. With tBid and Bak, survival rates were extrapolated after gating on cell populations expressing high levels of eGFP. Zero represents the time when retroviral preparations and BJAB cells first came into contact. Values express percentages of viable GFP+ cells in cultures expressing proapoptotic molecules relatively to cultures transduced with the corresponding insert-less retrovirus and represent the mean ± standard deviation of 3 independent experiments. Qualitatively similar results were obtained when cell death was scored by FCM using side scatter versus forward scatter plots.
To test this hypothesis, we examined the ability of Gadd45β to suppress the “intrinsic” pathway for caspase activation.1,3 Consistent with the analysis shown in Figure 7, in BJAB cells, Gadd45β expression had no effect on cytotoxicity induced by staurosporine (Figure 8), a potent and selective trigger of this pathway.6,34,45-47 Conversely, as expected, killing by this agent was effectively suppressed by Bcl-xL.45-47 Thus, in contrast to Bcl-xL, Gadd45β impedes a DR-specific apoptotic event. In fact, its inability to hamper the “intrinsic” pathway for apoptosis suggests that Gadd45β inhibits Fas-induced signaling at the level of mitochondria, indirectly, by suppressing a mitochondria-targeting mechanism. Together, the data are consistent with a model whereby in addition to the well-characterized FADD/caspase-8/tBid pathway,3 Fas activates another mitochondria-signaling mechanism needed for killing of type II cells, and the Gadd45β-mediated inhibition of DR-induced apoptosis involves the suppression of this other mechanism (Figure 9).
Gadd45β does not block the “intrinsic” pathway for apoptosis. PI nuclear staining of HA-Gadd45β, Bcl-xL, and Neo BJAB clones treated with staurosporine (1 μM; Calbiochem) for the times shown. Values express percentages of viable cells calculated as in Figure 1 and represent the mean ± standard deviation of 3 independent experiments.
Gadd45β does not block the “intrinsic” pathway for apoptosis. PI nuclear staining of HA-Gadd45β, Bcl-xL, and Neo BJAB clones treated with staurosporine (1 μM; Calbiochem) for the times shown. Values express percentages of viable cells calculated as in Figure 1 and represent the mean ± standard deviation of 3 independent experiments.
Gadd45β appears to halt apoptosis by blocking a novel Fas-induced, mitochondria-targeting pathway. Diagram showing the CD40/NF-κB/Gadd45β prosurvival pathway and the Bid-mediated and noncanonical, mitochondria-targeting pathways induced by Fas.
Gadd45β appears to halt apoptosis by blocking a novel Fas-induced, mitochondria-targeting pathway. Diagram showing the CD40/NF-κB/Gadd45β prosurvival pathway and the Bid-mediated and noncanonical, mitochondria-targeting pathways induced by Fas.
Discussion
Here we show that Gadd45β is a novel mediator of the CD40 protective function against Fas-induced killing. The CD40 suppression of apoptosis has been previously linked to the NF-κB–mediated induction of Bcl-xL and c-FLIPL.23,26,27 In various B-cell systems, however, Fas can induce apoptosis efficiently despite that these factors are present at relatively high basal levels8,23,32,43,48 and that their expression is not induced by protective CD40 stimulation or is induced by this stimulation only late, after the onset of apoptosis.8,13,23,48-50 Furthermore, c-FLIPL can inhibit DR-mediated apoptosis only when expressed at high levels32,51 and in fact in small amounts may activate, rather than inhibit, caspase-8.51 With regard to this, quantitative Western blot analysis has shown that in various systems, including BJAB cells, levels of c-FLIPL are ∼100 times lower than those of caspase-8.32 Thus, even after CD40 stimulation, the amounts of c-FLIPL being expressed in these cells appear to be insufficient for inhibiting apoptosis (Figure 3D). Moreover, when overexpressed, c-FLIPL and Bcl-xL, as well as other inducible prosurvival factors such as FAIM, can only partly inhibit Fas-induced PCD in B cells.23,43,50,52
We found that in BJAB cells, Bcl-xL or c-FLIPL expression did not correlate with cytoresistance to anti–APO-1. First, despite constitutive expression of both factors (Figure 3D), these cells were highly sensitive to Fas triggering. Furthermore, c-FLIPL was not up-regulated, and Bcl-xL was up-regulated only modestly by CD40L, with detectable polypeptide accumulation only observed at 4 hours, when caspase activation by Fas had already occurred (Figure 3D, Bcl-xL and c-FLIPL immunoblots; Figure 4A, Neo; see robust caspase activation at 4 hours). Importantly, in CD40-stimulated BJAB cells, Bcl-xL levels were much lower than in Bcl-xL–overexpressing clones, and yet despite this overexpression, these clones were only partly protected against Fas-induced killing (Figure 3A, bottom right; Figure 3D, Western blots; Figure 3B, survival of clone Bcl-xL-147, expressing the highest levels of Bcl-xL). Thus, in BJAB cells, Bcl-xL and c-FLIPL cannot be the sole effectors of the CD40 protective function.
Conversely, in these cells, basal Gadd45β expression was undetectable by Western blotting, and this expression was dramatically upregulated by CD40 ligation (Figure 3C). Furthermore, in both BJAB cells and primary splenocytes, induction of Gadd45β was much more rapid than that of Bcl-xL or c-FLIPL (Figure 3C-D, Western blots; Figure 2A,D, Northern blots). In addition, CD40-induced polypeptide levels were comparable to those seen in Fas-resistant HA-Gadd45β clones (Figure 3A,C), suggesting that Gadd45β induction by NF-κB is sufficient, temporarily, to mediate the suppression of Fas cytotoxicity by CD40. Thus, Gadd45β is a physiologic effector of the CD40 antiapoptotic function and in BJAB cells seems to be more relevant to this function than previously described factors.
With regard to apoptosis signaling by Fas, BJAB cells seem to elude classification into type I or type II. Like type I cells, they can readily assemble the DISC (Figure 5A), but their susceptibility to the protective effects of Bcl-xL is a feature of type II cells3,5 (Figure 3A-B). Of note, this same atypical combination of type I and type II phenotypes has been described for primary GC B cells,8,53,54 suggesting that in this cell type, Fas-induced apoptosis is controlled by similar, distinct mechanisms, regardless of transformation status. Indeed, Gadd45β was able to block Fas-induced PCD in various Burkitt lymphoma lines such as BJAB, Raji, and Ca46, but not in the B lymphoblastoid line, SKW6.4 (Figure 3A-B,E), suggesting that its protective activity may be specific for GC-like B cells.
Our findings track the protective activity of Gadd45β to mitochondria. Gadd45β suppressed Fas-induced mitochondrial depolarization, and this suppression was virtually complete despite activation of caspase-8 (Figures 4 and 6). Consistent with these findings, Gadd45β had no effect on the early events in Fas apoptotic signaling, including DISC assembly, caspase-8 activation at the DISC, and Bid processing by caspase-8 (Figure 5). Furthermore, Gadd45β did not impair the ability of tBid to translocate to mitochondria, shown by the sensitivity of HA-Gadd45β clones to pBabe-tBid (Figure 7). While having no effect on direct processing of caspase-8 at the DISC, Gadd45β abrogated the mitochondria-dependent phase of caspase-8 activation (Figure 4). Indeed, its effects on the Fas-induced apoptotic cascade were seemingly identical to those of Bcl-xL (Figures 5 and 6, and data not shown).
However, in contrast to Bcl-xL, Gadd45β was unable to block PCD triggered by staurosporine6,45-47 (Figure 8). These data suggest that Gadd45β and Bcl-xL impede distinct events in apoptosis, with the event inhibited by Gadd45β lying upstream in the Fas-induced cascade to the one inhibited by Bcl-xL. Indeed, Gadd45β does not appear to localize to mitochondria (F.Z. and G.F., unpublished observations, December 2002), and thus may halt apoptosis signaling herein indirectly by inhibiting a Fas-activated mechanism that targets mitochondria (Figure 9). Interestingly, however, Gadd45β could not antagonize killing by overexpression of tBid or of its upstream activators, FADD and CD8:caspase-83 (Figure 7). On the one hand, the inability of Gadd45β to block PCD by the latter molecules is consistent with the notion that its control of apoptosis involves inhibition of mitochondrial mechanisms,3,5 as the strong caspase-8 activity generated by FADD or CD8:caspase-8 expression can activate large amounts of caspase-3 and -7 independently of such mechanisms.36 On the other hand, the finding that Gadd45β blunts apoptosis at the level of mitochondria and yet is unable to prevent killing by tBid suggests that Fas signaling to PCD involves at least another mitochondria-targeting mechanism, distinct from the one mediated by this Bcl-2–like factor (Figure 9). Indeed, it seems to be this other mechanism that is suppressed by Gadd45β.
The notion that Fas triggers additional mitochondria-signaling mechanisms is also supported by the finding that, in BJAB cells, Fas-induced PCD cannot be recapitulated by sole expression of tBid. In fact, despite the strong expression achieved with pBabe-tBid (data not shown; Figure 5C, pBabe-Bid) and the obligatory role of mitochondria in killing by this DR (Figures 3A-B, see cytoprotection by Bcl-xL) in these cells tBid is a relatively poor inducer of apoptosis (Figure 7, Neo). It is presently unclear whether the putative Gadd45β-inhibitable mechanism signals to mitochondria separately from the FADD/caspase-8/tBid pathway or whether instead it serves to reinforce this pathway. Regardless of this, our findings uncover a new mechanism for the CD40 protective function and suggest a role for a novel pathway in Fas-induced apoptosis of GC-derived B cells.
The nature of the apoptotic mechanism that is blunted by Gadd45β is under investigation. With TNFα, the protective activity of Gadd45β involves the suppression of the c-Jun N-Terminal kinase (JNK) cascade.28,55 However, JNK signaling does not appear to be involved in the apoptotic response to Fas stimulation,55,56 suggesting that Gadd45β may hamper Fas-induced apoptosis through a mechanism distinct from the inhibition of this signaling. Nevertheless, it is possible that in some systems JNK activation plays an active role in killing by Fas. The definition of the potential role of the JNK cascade in Fas apoptotic signaling in B cells and that of its suppression by Gadd45β in CD40-induced cytoprotection will require further studies.
In agreement with reports from other laboratories, to prevent Fas-induced PCD effectively, Gadd45β may have to act in concert with other CD40-inducible inhibitors of apoptosis such as c-FLIPL and Bcl-xL.8,23,26,27,43,48 Indeed, these 3 NF-κB–regulated factors seem to block Fas-induced signaling at different steps,1,3,6 suggesting that they may have synergistic protective effects. These factors also exhibit distinct induction kinetics. Thus, it is conceivable that rapid activation of Gadd45β is needed for acute protection against Fas-mediated killing, whereas delayed induction of Bcl-xL and c-FLIPL serves to secure long-term survival of positively selected B-cell clones. An important future challenge will be to assess the precise contribution of each factor to the control of Fas-induced apoptosis by NF-κB during normal and self-driven immune responses.
Prepublished online as Blood First Edition Paper, July 17, 2003; DOI 10.1182/blood-2003-03-0689.
Supported in part by the Damon Runyon Scholar Award (G.F.) and National Institutes of Health grants RO1-CA84040 (G.F.) and R01-CA95319 (M.E.P.).
The publication costs of this article were defrayed in part by page charge payment. Therefore, and solely to indicate this fact, this article is hereby marked “advertisement” in accordance with 18 U.S.C. section 1734.
We thank M. Lenardo for the CD8:caspase-8 plasmid, T. Gajewski and H. Harlin for the CD40L and CD70L fibroblasts, H. Singh for MIGR1, and C. B. Thompson for pSFFV-Bcl-xL. We also thank L. D'Adamio for critical comments on the manuscript and G. Taroli for help with manuscript preparation.








