Key Points
- IGSF9 is induced by IFN-γ, and mediates extramedullary infiltration of AML cells. 
- Targeting IGSF9 with anti-IGSF9 or anti–IGSF9-DXd represents a promising therapeutic strategy for inhibiting AML progression. 
Visual Abstract
Previously, we reported that targeting immunoglobulin superfamily member 9 (IGSF9) could enhance antitumor T-cell activity and sensitivity to anti–PD-1 immunotherapy, although the detailed mechanism remains unclear. In this study, we find that, similar to the regulation of PD-L1 expression, interferon gamma (IFN-γ) also induces the expression of IGSF9 in acute myeloid leukemia (AML). The small interfering RNA specifically targeting JAK1 and a STAT1 inhibitor blocking IFN-γ signal pathway significantly inhibit the expression of IGSF9 and PD-L1. As a tumor-specific immune checkpoint molecule, IGSF9 plays a significant role in promoting tumor escape. The induction of both PD-L1 and IGSF9 by IFN-γ in the tumor microenvironment explains why IGSF9 is highly expressed in tumors and tumor-infiltrating immune cells. This induction also underpins the strong synergistic effects when combining anti-IGSF9 and anti–PD-1 therapies. Additionally, IGSF9 also mediates the extramedullary infiltration of AML cells, which can be inhibited by depletion of IGSF9 or anti-IGSF9. The binding epitopes of anti-IGSF9 are located within the immunoglobulin G2 and fibronectin type-III-2 domains of IGSF9. Based on these findings, we develop an antibody-drug conjugate (ADC) targeting IGSF9 (anti–IGSF9-linker-DXd). This ADC exhibits 99.7% purity, and primarily exists in monomeric form, demonstrating excellent homogeneity (drug-to-antibody ratio, 8-10) and specificity. Anti–IGSF9-linker-DXd effectively kills IGSF9-positive tumor cells and exhibits a potent bystander effect. In vivo, anti–IGSF9-linker-DXd almost completely eliminates early- and mid-stage tumors and significantly inhibits the progression of advanced tumors. In summary, our findings underscore the potential of IGSF9 as a novel therapeutic target for AML treatment, highlighting its role in disease progression and the efficacy of targeted therapies.
Introduction
Extramedullary infiltration is a common concomitant symptom in acute myeloid leukemia (AML), particularly in the acute myelomonocytic leukemia and acute monocytic leukemia subtypes. This clinical manifestation is observed in ∼10% to 30% of patients at the initial diagnosis of AML,1-3 and is often associated with a poor prognosis.4 DNMT3A mutation, C1Q+ macrophage-like leukemia population, CD56 expression, NPM1 mutation, t(8;21), inv(16), and 11q23 translocations, and LILRB4 have been associated with extramedullary infiltration.3,5-13
Gemtuzumab ozogamicin (Mylotarg), a humanized anti–CD33-linker-calicheamicin, was initially approved by the US Food and Drug Administration in 2000 for the treatment of AML. However, due to severe toxic side effects, it was withdrawn from the market in 2010. Research by the Acute Leukemia French Association group in 2012 demonstrated that repeated low-dose treatment could manage liver toxicity while effectively inhibiting disease progression. Consequently, in 2017, gemtuzumab ozogamicin was re-approved by the US Food and Drug Administration for treating relapsed or refractory CD33+ AML in both adults and children.14,15 Other immunotherapy approaches targeting AML, such as therapeutic antibodies and chimeric antigen receptor T cells, are currently under investigation in clinical trials.16,17 Among these, monoclonal antibody targeting CD47 shows particular promise;18,19 however, the latest study showed that this antibody did not lead to promising survival outcomes.20 Given the challenges associated with extramedullary infiltration in acute myelomonocytic leukemia and acute monocytic leukemia subtypes of AML, discovering additional targets, elucidating mechanisms more clearly, and developing therapeutic agents, including monoclonal antibodies and antibody-drug conjugates (ADCs), remain critical areas of focus for clinicians and researchers.
Immunoglobulin superfamily member 9 (IGSF9), as a neural cell adhesion molecule, plays a critical role in dendrite arborization, and the maturation of excitatory and inhibitory synapses.21-23 Beyond its neural functions, IGSF9 has been linked to liver steatosis and fibrosis,24 as well as the invasion and metastasis of invasive micropapillary carcinoma.25 Our previous research identified IGSF9 as an immune checkpoint molecule that is highly expressed in tumors and tumor-infiltrating immune cells. It inhibits the proliferation and activity of T cells, thereby mediating tumor immune escape. Additionally, IGSF9 recruits glycogen synthase kinase-3β, leading to the translocation of β-catenin, which promotes tumor invasion and metastasis.26,27 In this study, we report that IGSF9 is highly expressed in AML and leukemia stem cells. Interferon gamma (IFN-γ) emerges as the primary factor inducing IGSF9 expression. Knockout (KO) or blockade of IGSF9 significantly inhibited the extramedullary infiltration of AML models. To target IGSF9 therapeutically, we used anti-IGSF9 and MC-GGFG-DXd to generate ADCs against IGSF9 by site-specific conjugation. This ADC exhibits a uniform drug-to-antibody ratio (DAR), stable physicochemical properties, strong specificity, and potent cytotoxicity, including bystander effects. Notably, this ADC almost completely eradicates early- and mid-stage AML cells and significantly inhibits the progression of advanced tumor cells. In summary, our findings underscore the potential of IGSF9 as a novel therapeutic target for AML treatment, highlighting its role in disease progression and the efficacy of targeted therapies.
Methods
AML cell lines and primary patient samples
THP-1(research resource identifier [RRID]: CVCL_0006), U-937(RRID: CVCL_0007), MV4-11(RRID: CVCL_0064), THP-1-luc (RRID: CVCL_C8WH), MV4-11-luc, THP-1-IGSF9-wild type (WT) and -KO cells were preserved by our laboratory, and all cells were confirmed by short tandem repeat.12,13,26 Primary AML samples were collected from Yantaishan Hospital or The Second Hospital of Shandong University, People’s Republic of China. Information from all patients was listed in supplemental Table 1. The criteria for inclusion and exclusion of patients are as follows: newly diagnosed patients with AML without treatment, regardless of gender. Peripheral blood from healthy donors was provided by Yantai Central Blood Station, People’s Republic of China.
Mice
C57BL/6J (RRID: IMSR_JAX:000664) and NOD/SCID IL2Rγ-null (NSG; RRID: IMSR_JAX:005557) mice were purchased from Shanghai Model Organisms (People’s Republic of China) and were fed in specific pathogen free-level animal rooms. All mice were randomly grouped according to the experimental design.
Epitope mapping of anti-IGSF9
The sequence of the Ig1, Ig2, Ig3, Ig4, Ig5, FN3-I, and FN3-II domains in human IGSF9-ECD plasmid (pSLenti-EF1a-EGFP-CMV-IGSF9-1-20-HA-IGSF921-755) was replaced with their mouse IGSF9 counterparts, respectively. The modified plasmids were then transfected into 293T cells. After 24 hours, the binding ability of anti-IGSF9 to green fluorescent protein (GFP)+ 293T cells was assessed by flow cytometry. The cells were digested by Trypsin, washed with cold phosphate-buffered saline (PBS) buffer (pH 7.4) and incubated with 10 μg/mL anti-IGSF9 at 4°C for 20 minutes. After washing, cells were subsequently stained with allophycocyanin (APC) goat anti-mouse immunoglobulin G (IgG; BioLegend, catalog no. 405308, RRID: AB_315011). The proportion of APC+ cells served as an indicator of binding activity intensity. The hemagglutinin (HA) tag was utilized to verify the IGSF9-ECD expression by western blotting, using a rat anti-HA monoclonal antibody (Proteintech, catalog no. 7c9, RRID: AB_2923200).
Preparation of anti–IGSF9-DXd
Anti-IGSF9 was prepared as previously reported.26,27 Anti–IGSF9-DXd was synthesized by Leveno Biopharma. For the conjugation process, anti-IGSF9 was transferred to a coupling buffer containing 20 equivalents of tris(2-carboxyethyl)phosphine, and the mixture was stirred at room temperature for 2 hours. Following the removal of excess tris(2-carboxyethyl)phosphine, the reduced antibody was combined with 15 equivalents of deruxtecan (MC-GGFG-DXd), which consists of an exatecan derivative (DXd) linked via a maleimide-GGFG peptide linker. The mixture was then stirred at room temperature for ∼30 minutes and subsequently dialyzed into PBS buffer to obtain the final ADC product, anti–IGSF9-DXd.
Characterization of anti–IGSF9-DXd
The purity of anti–IGSF9-DXd was assessed using analytical size exclusion chromatography on TOSOH Corporation gel G3000SWXL column (5 μm, 7.8 mm × 300 mm) with a flow rate of 0.8 mL/min. Separation of different ADC/monoclonal antibody populations was achieved during a 20-minute isocratic gradient using a phosphate buffer at pH 7.0 (200 mM PBS, 10% v/v isopropyl alcohol) as the mobile phase. The quantification of monomers and high-molecular-weight species was performed by integrating the peak area at 280 nm. The DAR was determined using hydrophobic interaction chromatography on a Tosoh Corporation gel Buty-NPR column (2.5 μm, 4.6 mm × 35 mm) with a flow rate of 0.8 mL/min. A 20-minute gradient elution was used with the following buffer: A: 25 mM PBS, 1.5 M (NH4)2SO4, pH 7.0; B: 25 mM PBS, 25% v/v isopropyl alcohol, pH 7.0.
THP-1-IGSF9-WT and -KO cells were injected into NSG mice
A total of 1 × 106 THP-1-luciferase (THP-1-luc)-IGSF9-WT and -KO cells were injected into NSG mice (n = 12) via the tail vein. Bioluminescence imaging (IVIS Spectrum, PerkinElmer, RRID: SCR_012758) was used to monitor disease progression. Upon observing significant weakness in the mice, they were humanely euthanized under anesthesia. The liver, spleen, lungs, brain, and bone marrow were then stripped off to prepare a single-cell suspension, and the proportion of GFP-positive cells was subsequently analyzed by flow cytometry (BD LSRFortessa [BD Biosciences], RRID: SCR_018944).
Anti-IGSF9 and mouse IgG were used to treat NSG mice bearing THP-1-luc or MV4-11-luc cells
NSG mice (n = 19) were inoculated with 1 × 106 THP-1-luc or MV4-11-luc cells via the tail vein to establish xenograft models. Starting from the next day after cell injection, the mice were treated every 4 days with either mouse IgG (mIgG) as a control or anti-IGSF9. Disease progression was monitored using bioluminescence imaging. A survival curve was generated, and the percentages of GFP+ cells were quantified by flow cytometry.
Treatment of early, mid, and advanced AML mouse models with anti–IGSF9-DXd
A total of 1 × 106 MV4-11-luc cells was injected into NSG mice via the tail vein. Treatment with anti-IGSF9 as a control and anti–IGSF9-DXd was initiated the following day, and administered every 5 days thereafter. Disease progression was monitored by bioluminescence imaging. After 5 treatments, the mice were humanely euthanized under anesthesia, and GFP-positive cells were assessed in the bone marrow, spleen, and lungs.
A total of 1 × 106 THP-1-luc cells was injected into NSG mice via the tail vein. Mice were treated with anti-IGSF9 and anti–IGSF9-DXd on days 7 and 14 post-injection. Disease progression was monitored using bioluminescence imaging, and a survival curve was generated based on the treatment outcomes.
A total of 1 × 106 THP-1-luc cells was injected into NSG mice via the tail vein. Fifteen days after injection administration, when the disease had spread extensively throughout the body, treatment was initiated using isotype control, anti-IGSF9, DXd, and anti–IGSF9-DXd, and administered every 4 days. After 7 treatments, a survival curve was generated, and the morphology of various tissues was assessed by hematoxylin and eosin (H&E) staining.
Statistical analysis
GraphPad Prism 10.0 software (RRID: SCR_002798) was applied for statistical analysis. One-way analysis of variance or paired t test was used to analyze the differences among the different groups. Flow cytometry data were analyzed in FlowJo v10 (BD, RRID: SCR_008520).
Flow cytometry, western blotting, bone-marrow-derived macrophages were induced, IGSF9 and PD-L1 were induced by IFN-γ, binding activity, in vivo serum half-life, cytotoxic assay, and internalization analysis, and lysosomal trafficking are described in the supplemental Materials.
All patients provided written informed consent. All animal experiments were approved by the medical ethics committee of Binzhou Medical University (no. 2021-271) and were performed under the national standards of Institutional Animal Care and Use Committee.
Results
IGSF9 is highly expressed in AML and leukemia stem cells
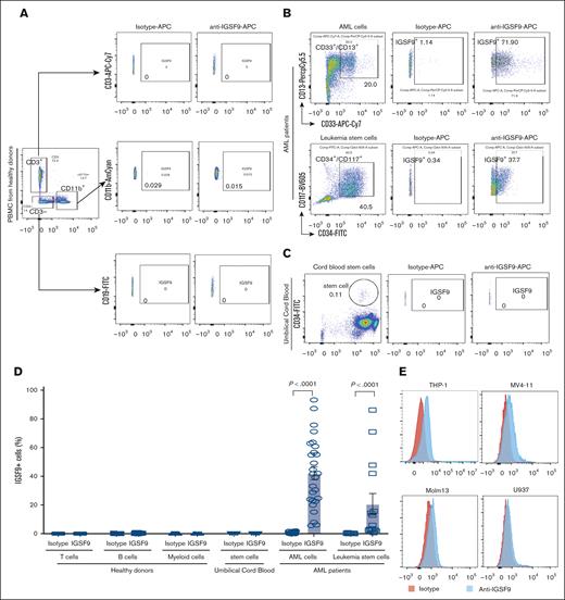
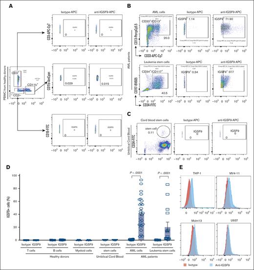
Finding and identifying tumor cell surface-specific antigens remain a significant challenge in the treatment of AML. Although chimeric antigen receptor T cells targeting CD33, CD37, CD123, Siglec-6, LILRB4, and ITGB2 have shown promise in inhibiting AML progression,28-34 these targets are also expressed on normal immune cells, hematopoietic stem or precursor cells, leading to potential “off-target” toxicity. Our previous research identified IGSF9 as a tumor-specific immune checkpoint molecule that promoted tumor immune escape.26 However, the expression of IGSF9 and its role in AML have not been thoroughly investigated until now. We collected peripheral blood mononuclear cells from 10 healthy individuals, 5 umbilical cord blood samples, 27 AML specimens, and detected the expression of IGSF9. Flow cytometry results showed that IGSF9 was not detected in CD45+/CD3+ T cells, CD45+/CD3–/CD19+ B cells, CD45+/CD11b+ myeloid cells, and CD45+/CD34+ cord blood stem cells, whereas IGSF9 had a higher level in CD45+/CD33+/CD13+ AML cells and CD34+/CD117+ leukemia stem cells (Figure 1A-D). Additionally, IGSF9 was detected in THP-1, MV-4-11, Molm13 cell lines, but not U937 cells (Figure 1E). Collectively, our findings demonstrate that IGSF9 is highly expressed in patients with AML and cell lines, particularly in leukemia stem cells. This expression pattern suggests that IGSF9 may serve as a promising target for developing therapies with reduced “off-target” effects.
IGSF9 level is detected by flow cytometry. (A-E) IGSF9 levels are detected by flow cytometry in T cells, B cells, and myeloid cells from healthy donors (n = 10), CD33+/CD13+ leukemia cells (n = 27), CD34+/CD117+ leukemia stem cells (n = 15), umbilical cord blood (n = 5), and AML cell lines including THP-1, MV4-11, Molm13, and U937 cells. APC, allophycocyanin; FITC, fluorescein isothiocyanate; PBMC, peripheral blood mononuclear cell.
IGSF9 level is detected by flow cytometry. (A-E) IGSF9 levels are detected by flow cytometry in T cells, B cells, and myeloid cells from healthy donors (n = 10), CD33+/CD13+ leukemia cells (n = 27), CD34+/CD117+ leukemia stem cells (n = 15), umbilical cord blood (n = 5), and AML cell lines including THP-1, MV4-11, Molm13, and U937 cells. APC, allophycocyanin; FITC, fluorescein isothiocyanate; PBMC, peripheral blood mononuclear cell.
IFN-γ induces IGSF9 expression in AML cells
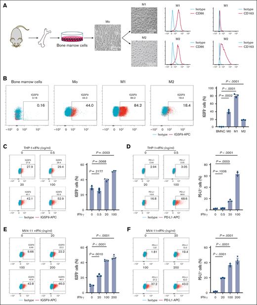
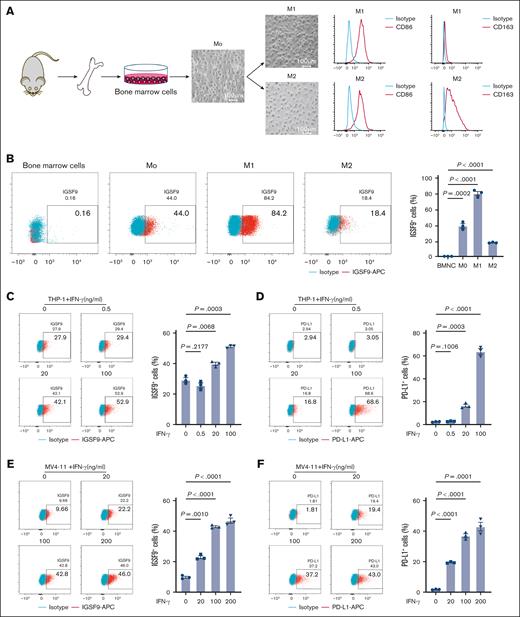
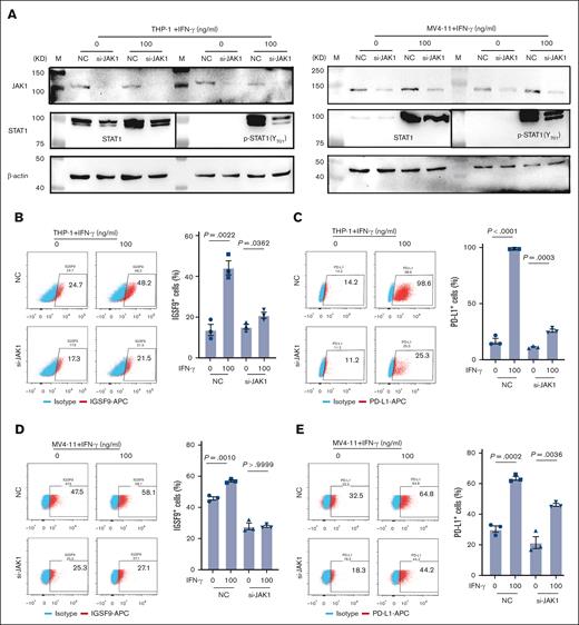
We previously reported that IGSF9 was highly expressed in most tumors and tumor-infiltrating immune cells.26 Notably, IGSF9 expression was detected only in AML cell lines such as THP-1 and MV4-11, but not in other solid tumor cell lines,26 suggesting the presence of specific inducing factors within the tumor microenvironment. Mouse IGSF9 expression is restricted to embryonic development.35 After inducing mouse bone marrow cells into bone-marrow-derived macrophages, we observed significant induction of IGSF9 in M0 and M1 macrophages (Figure 2A-B). Next, we stimulated AML cells with macrophage colony-stimulating factor, lipopolysaccharide and IFN-γ to determine their effects on IGSF9 expression. Our results showed that IFN-γ significantly induced the expression of both IGSF9 and PD-L1 in a dose-dependent manner (Figure 2C-F; supplemental Figure 1A-B). In contrast, neither macrophage colony-stimulating factor nor lipopolysaccharide induced IGSF9 expression (supplemental Figure 1C-H), suggesting that, similar to the PD-L1 expression model,36 IFN-γ has the potential to induce IGSF9 expression. Next, the IFN-γ signaling pathway was blocked by small interfering RNA targeting JAK1 or the STAT1 inhibitor fludarabine, respectively. IFN-γ significantly increased the levels of STAT1 and p-STAT1Y701, while silencing JAK1 significantly counteracted this increase (Figure 3A). Additionally, when JAK1 was silenced or in the presence of the STAT1 inhibitor fludarabine, IFN-γ no longer induced the expression of IGSF9 and PD-L1 (Figure 3B-E; supplemental Figure 2A-E). IFN-α, IFN-β, and IFN-γ could all induce PD-L1 expression,37 and our experimental results confirmed this phenotype (supplemental Figure 3A). However, only IFN-γ, but not IFN-α and IFN-β, induced the expression of IGSF9 (supplemental Figure 3B).
IGSF9 is induced by IFNγ. (A) Mouse bone marrow cells are differentiated into macrophages. (B) Mouse IGSF9 expression is assessed in bone marrow cells, M0, M1, and M2 macrophages. (C-F) IFN-γ induces the expression of IGSF9 and PD-L1 in THP-1 and MV4-11 cells. APC, allophycocyanin; BMNC, bone marrow mononuclear cells.
IGSF9 is induced by IFNγ. (A) Mouse bone marrow cells are differentiated into macrophages. (B) Mouse IGSF9 expression is assessed in bone marrow cells, M0, M1, and M2 macrophages. (C-F) IFN-γ induces the expression of IGSF9 and PD-L1 in THP-1 and MV4-11 cells. APC, allophycocyanin; BMNC, bone marrow mononuclear cells.
Silencing JAK1 inhibits the expressions of IGSF9 and PD-L1. (A) The siRNA targeting JAK1 blocks the IFN-γ signal pathway, (B-E) leading to reduced levels of IGSF9 and PD-L1 when JAK1 is silenced by siRNA. si, small interfering.
Silencing JAK1 inhibits the expressions of IGSF9 and PD-L1. (A) The siRNA targeting JAK1 blocks the IFN-γ signal pathway, (B-E) leading to reduced levels of IGSF9 and PD-L1 when JAK1 is silenced by siRNA. si, small interfering.
This finding unequivocally demonstrated that IFN-γ significantly induces the expression of both PD-L1 and IGSF9 in AML cells. This induction occurs in a dose-dependent manner and is mediated through the JAK1/STAT1 signaling pathway. Notably, other interferons such as IFN-α and IFN-β did not have a similar effect on IGSF9 expression.
IGSF9 deletion or anti-IGSF9 could inhibit the extramedullary infiltration of AML cells
IGSF9 has been demonstrated to interact with T cells, thereby inhibiting their activation and proliferation, and facilitating tumor escape.26 Moreover, as a neuronal cell adhesion molecule, IGSF9 could promote invasion and metastasis in lung cancer;27 however, whether IGSF9 mediates the extramedullary infiltration of AML cells remains unreported. The extramedullary infiltration of AML cells is a common concomitant symptom associated with poor prognosis and survival rates.3,38 In this study, IGSF9 was knocked out by CRISPR-Cas9 technology (supplemental Figure 4A). Subsequently, THP-1-IGSF9-WT and -KO cells were injected into NSG mice. Bioluminescence imaging was utilized to monitor disease progression, revealing significantly more aggressive disease in the IGSF9-WT group compared with the IGS9-KO group (supplemental Figure 4B). Two mice from the IGSF9-WT group succumbed on days 19 and 20 after injection administration, leading to euthanasia of all mice after 21 days under anesthesia (supplemental Figure 4B). The liver surface in mice in the IGSF9-WT group exhibited an uneven texture with macroscopic tumors, whereas those in the IGSF9-KO group remained smooth with fewer visible tumors (supplemental Figure 4C). Next, the percentage of GFP+ tumor cells was assessed in the lungs, liver, brain, peripheral blood, spleen, and bone marrow. Flow cytometry analysis indicated that GFP+ tumor cells were markedly higher in the IGSF9-WT group across different organs (supplemental Figure 4D-E), suggesting that IGSF9 facilitates the extramedullary infiltration of AML cells.
We previously reported that anti-IGSF9 could inhibit tumor growth, invasion, and metastasis;26,27 however, the specific epitope of anti-IGSF9 binding to antigen remains unidentified. Anti-IGSF9 (5C3-1A4) exhibits high specificity for human IGSF9, but not mouse IGSF9.26 We substituted each extracellular domain of human IGSF9 with the corresponding mouse domains. Consistent with our previous findings,26 anti-IGSF9 bonds only to human IGSF9 (supplemental Figure 5A-B). Upon substituting mouse IgG2 and fibronectin type-III-2 (FnIII-2) domains for human ones, anti-IGSF9 binding capacity decreased notably, particularly with the substitution of mouse FnIII-2 domain, which nearly abolished antibody binding (supplemental Figure 5C-I). To confirm that the reduced binding was not due to inefficient transfection or nonexpression of plasmids, we verified IGSF9 expression using anti-HA antibody, finding normal expression following substitutions (supplemental Figure 5J). These results indicate that anti-IGSF9 binds specifically to IgG2 and FnIII-2 epitopes.
Subsequently, THP-1-luc cells were intravenously injected into NSG mice, followed by treatment with anti-IGSF9. Each mouse received 200 μg anti-IGSF9 intravenously every 4 days for a total of 6 injections (supplemental Figure 4F). Anti-IGSF9 significantly inhibited disease progression and extended the survival time of treated mice (supplemental Figure 4F-G). Postmortem bioluminescence imaging showed that THP-1-luc cells had invaded the liver, lungs, brain, and bone marrow in the mIgG-treated group, whereas anti-IGSF9 almost completely suppressed this invasion and metastasis (supplemental Figure 4H). The liver exhibited extensive macroscopic tumors, with significantly higher numbers in the mIgG-treated group than those in the anti-IGSF9–treated group (supplemental Figure 4I). The same phenotype was also observed in NSG mice models bearing MV4-11-luc cells, where anti-IGSF9 significantly inhibited the extramedullary infiltration (supplemental Figure 6A-F).
Based on these findings, we conclude that the drugs targeting IGSF9 have potential as inhibitors of AML progression.
Construction and characterization of anti–IGSF9-DXd
We introduced MC-GGFG-DXd as the linker-payload component in our ADC preparation. The commercialized MC-GGFG-DXd was used to create an ADC via site-specific conjugation. In this construction, MC-GGFG serves as a lysosomal cleavable linker, whereas DXd functions as a topoisomerase I inhibitor. The interchain disulfide bonds of anti-IGSF9 (mouse IgG2b) were reduced, thereby exposing the sulfhydryl groups on cysteine residues. Subsequently, MC-GGFG-DXd was conjugated to these sulfhydryl groups, resulting in a homogeneous ADC (Figure 4A). The purity of anti–IGSF9-DXd was assessed using size exclusion chromatography, revealing that 99.7% of the conjugate existed in the monomer form, indicating high purity (Figure 4B). Hydrophobic interaction chromatography was used to determine the DAR, which was found to be 8-10 (Figure 4C). Next, we evaluated the binding affinity and in vivo half-life of the ADC. Although the conjugation process slightly impaired antigen binding, the effective concentration value for anti–IGSF9-DXd was measured at 54.1 ng/mL, compared with 23.2 ng/mL for unconjugated anti-IGSF9 (Figure 4D). The in vivo half-life of this ADC was ∼1.5 days (Figure 4E).
The characterization of anti–IGSF9-DXd. (A) The basic structure of anti–IGSF9-DXd. (B) The purity of anti–IGSF9-DXd is assessed by size exclusion chromatography, and (C) the DAR values are determined by hydrophobic interaction chromatography. (D,E) The binding activities and serum half-life of anti-IGSF9 and anti–IGSF9-DXd are determined.
The characterization of anti–IGSF9-DXd. (A) The basic structure of anti–IGSF9-DXd. (B) The purity of anti–IGSF9-DXd is assessed by size exclusion chromatography, and (C) the DAR values are determined by hydrophobic interaction chromatography. (D,E) The binding activities and serum half-life of anti-IGSF9 and anti–IGSF9-DXd are determined.
Anti–IGSF9-DXd had very obvious cytotoxicity in vitro
ADC binds to the antigen on the surface of tumor cells, after which the complex undergoes endocytosis in the form of vesicles to traffic to the lysosome, where the cleavable linker is hydrolyzed, releasing DXd,39 a topoisomerase inhibitor, which subsequently inhibits the proliferation of tumor cells.14 Next, we evaluated the internalization kinetics of anti–IGSF9-DXd in THP-1 cells, and observed that the internalization rates were 50%, 80%, and 90% at 2 hours, 4 hours, and 6 hours after incubation, respectively (supplemental Figure 7). Initially, IGSF9 (green fluorescence) was predominantly localized on the cellular membrane, and did not overlap with lysosomes (red fluorescence) at 0 minutes (Figure 5A). Starting from 15 minutes, an increasing amount of the complex was endocytosed into lysosomes, peaking at 120 minutes. By 360 minutes, green fluorescence on the surface had almost disappeared, and it became difficult to observe endocytic complexes within lysosomes (Figure 5A).
Internalization and cytotoxic assay. (A) The antigen-antibody complexes are endocytosed, and anti–IGSF9-DXd is fluorescently labeled with green, and anti–LAMP-1 is fluorescently labeled with red. (B-E) The different concentrations of anti–IGSF9-DXd are used to treat THP-1-IGSF9-WT, -KO, MV4-11, and U937 cells. (F-H) The cleaved PARP, pCHK1, and pH2A are detected by western blotting in THP-1 and MV4-11 cells. Ab, antibody; Con, concentration.
Internalization and cytotoxic assay. (A) The antigen-antibody complexes are endocytosed, and anti–IGSF9-DXd is fluorescently labeled with green, and anti–LAMP-1 is fluorescently labeled with red. (B-E) The different concentrations of anti–IGSF9-DXd are used to treat THP-1-IGSF9-WT, -KO, MV4-11, and U937 cells. (F-H) The cleaved PARP, pCHK1, and pH2A are detected by western blotting in THP-1 and MV4-11 cells. Ab, antibody; Con, concentration.
Subsequently, the cytotoxic effect of anti–IGSF9-DXd was tested in THP-1-IGSF9-WT, -KO, MV4-11, and U937 cells. IGSF9 expression level varied among these cell lines, being the highest in THP-1-IGSF9-WT cells, followed by MV4-11 cells, while THP-1-IGSF9-KO and U937 cells lacked detectable IGSF9 expression. Unconjugated anti-IGSF9 showed no cytotoxic activity across all cell lines (Figure 5B-E). Due to differences in IGSF9 expression level and sensitivity to DXd, we found that 1 μg/mL anti-IGSF9-DXd significantly reduced viability in THP-1-IGSF9-WT cells (Figure 5B). For MV4-11 cells, a higher concentration of 10 μg/mL was required for significant cytotoxicity, while THP-1-IGSF9-KO and U937 cells were unaffected (Figure 5C-E), suggesting that anti–IGSF9-DXd exhibits high specificity and targets efficacy without off-target effects. DXd, as a topoisomerase inhibitor, induces DNA damage, which was confirmed by detecting elevated levels of cleaved PARP, pCHK1, and pH2A in THP-1 cells treated with DXd or anti–IGSF9-DXd for 1 day (Figure 5F). Similar observations were made in MV4-11 cells following 1 day of DXd treatment or 3 days of anti–IGSF9-DXd treatment (Figure 5G-H).
Given the heterogeneity of tumor cells, the bystander-killing effect is crucial for ADCs to target cells with lower antigen expression.40 Although THP-1-IGSF9-WT cells were highly sensitive to anti–IGSF9-DXd, this ADC showed minimal effect on U937 cells (Figure 5B,E; supplemental Figure 8A). When THP-1-IGSF9-WT and U937 cells were cocultured at a 1:1 ratio, anti–IGSF9-DXd significantly induced apoptosis in U937 cells (supplemental Figure 8A-B), indicating a potent bystander-killing effect.
Collectively, the above results demonstrate that anti–IGSF9-DXd possesses significant cytotoxicity against target cells and exhibits a robust bystander-killing effect on neighboring cells with lower IGSF9 expression.
Evaluation of anti–IGSF9-DXd efficacy in early, middle, and advanced AML models
To assess the early-stage therapeutic efficacy of anti–IGSF9-DXd, MV4-11-luc cells (1 × 106) were injected into NSG mice, and the treatment with either anti-IGSF9 or anti–IGSF9-DXd commenced the following day (Figure 6A). Compared with the anti-IGSF9–treated group, anti–IGSF9-DXd nearly eradicated MV4-11 cells, with no detectable tumor signal by bioluminescence imaging on day 21 (Figure 6A). The percentage of GFP+ tumor cells in the bone marrow, spleen and lungs was significantly higher in the anti-IGSF9–treated group compared with the anti–IGSF9-DXd–treated group (Figure 6B). Similarly, bioluminescence imaging revealed obvious tumor signals in the lungs, bone marrow and spleen in the anti-IGSF9–treated group, but not the anti–IGSF9-DXd–treated group (Figure 6C).
Anti–IGSF9-DXd treats the early and mid-stage AML models. About 1 × 106 MV4-11-luc cells are injected into NSG mice (n = 10). Treatment with anti-IGSF9 as a control and anti–IGSF9-DXd is initiated the following day and administered every 5 days thereafter. (A) Disease progression is monitored by bioluminescence imaging. (B) The GFP+ cell percentages in bone marrow, spleen and lungs are detected by flow cytometry, and (C) the tumors in all organs are shown by bioluminescence imaging. About 1 × 106 THP-1-luc cells are injected into NSG mice (n = 10), (D) and anti-IGSF9 or anti–IGSF9-DXd are administered on days 7 and 14, and (E) the survival curves are drawn.
Anti–IGSF9-DXd treats the early and mid-stage AML models. About 1 × 106 MV4-11-luc cells are injected into NSG mice (n = 10). Treatment with anti-IGSF9 as a control and anti–IGSF9-DXd is initiated the following day and administered every 5 days thereafter. (A) Disease progression is monitored by bioluminescence imaging. (B) The GFP+ cell percentages in bone marrow, spleen and lungs are detected by flow cytometry, and (C) the tumors in all organs are shown by bioluminescence imaging. About 1 × 106 THP-1-luc cells are injected into NSG mice (n = 10), (D) and anti-IGSF9 or anti–IGSF9-DXd are administered on days 7 and 14, and (E) the survival curves are drawn.
Next, we evaluated the middle-stage efficacy using THP-1-luc cells injected into NSG mice. Treatment with either anti-IGSF9 or anti–IGSF9-DXd began 7 days postinjection. Bioluminescence imaging showed that anti–IGSF9-DXd significantly inhibited tumor progression and prolonged the survival time compared with the anti-IGSF9 group (Figure 6D-E).
For advanced-stage models, THP-1-luc cells were injected into NSG mice, and tumor infiltration into the lungs or bone marrow was observed after 14 days. Treatment commenced on day 15 with isotype, anti-IGSF9, DXd, or anti–IGSF9-DXd, respectively (Figure 7A). Bioluminescence imaging and survival analysis demonstrated that, compared with isotype control (mIgG), anti-IGSF9 could inhibit tumor progression and prolong survival time (Figure 7B-C). DXd exhibited stronger tumor suppression than both the isotype control and anti-IGSF9 groups (Figure 7B-C). We speculated that DXd could directly kill tumor cells in immunodeficient mice, whereas anti-IGSF9 only blocked the IGSF9 signal pathway and did not kill the tumors; thereby, DXd demonstrated better tumor suppression effects. Notably, anti–IGSF9-DXd showed the most potent antitumor effects, significantly inhibiting late-stage tumor progression and extending survival time compared with all other treatments (Figure 7B-C). H&E staining showed macroscopic tumors were observed in lungs and liver of isotype-, anti-IGSF9-, and Dxd-treated groups, while there were no macroscopic tumors in the anti–IGSF9-DXd group (Figure 7D). In addition, the tissue structure and cellular morphology in kidney, heart and brain were normal, suggesting that anti-IGSF9 and anti–IGSF9-DXd showed no “off-target” side effects (Figure 7D).
Anti–IGSF9-DXd–treated the advanced AML models. A total of 1 × 106 THP-1-luc cells are injected into NSG mice via the tail vein. (A) At 15 days after injection administration, treatment is initiated using isotype control, anti-IGSF9, DXd, and anti–IGSF9-DXd, and administered every 4 days. (B,C) The bioluminescence imaging is used to detect disease progression, and the survival curve is drawn. (D) H&E staining is used to observe the tumors in lungs and liver, and tissue structure and cell morphology of kidney, heart, and brain.
Anti–IGSF9-DXd–treated the advanced AML models. A total of 1 × 106 THP-1-luc cells are injected into NSG mice via the tail vein. (A) At 15 days after injection administration, treatment is initiated using isotype control, anti-IGSF9, DXd, and anti–IGSF9-DXd, and administered every 4 days. (B,C) The bioluminescence imaging is used to detect disease progression, and the survival curve is drawn. (D) H&E staining is used to observe the tumors in lungs and liver, and tissue structure and cell morphology of kidney, heart, and brain.
In summary, our data support that IGSF9 induced by IFN-γ promotes extramedullary infiltration of AML cells, and targeting IGSF9 can significantly inhibit the progression of AML cells.
Discussion
AML is a highly heterogeneous disease marked by the accumulation and expansion of immature myeloid cells in the bone marrow and peripheral blood, which results in normal hematopoietic failure.41,42 Despite chemotherapy followed by stem cell transplantation, there has been no significant improvement in the 5-year survival rate, which remains at 29%.43 This is particularly true for patients with relapsed/refractory AML, who urgently require new therapeutic targets and treatments.
Mylotarg, a humanized anti-CD33 conjugate with calicheamicin, heralded the era of tumor immunotherapy for patients with AML.44 Pivekimab sunirine (IMGN632), an ADC targeting CD123 with a novel indolinobenzodiazepine pseudodimer payload, has shown promise in a phase 1 clinical trial for patients with relapsed/refractory AML.45,46 However, due to the lower mutational burden,47 high expression levels of PD-L1 and Gal-9,48 secretion of indoleamine 2,3-dioxygenase to recruit myeloid-derived suppressor cells,49 and production of reactive oxygen species to inhibit T-cell and natural killer cell activity,50 the checkpoint inhibitors targeting PD-1, PD-L1, CTLA-4, and Tim-3 have demonstrated limited efficacy in patients with AML.51
In this study, we identified IGSF9 as a new antigen highly expressed in leukemia and leukemia stem cells, but not in normal immune cells. Interestingly, similar to PD-L1, IGSF9 expression was induced by IFN-γ, suggesting it could serve as an ideal target for “normalization immunotherapy,”52,53 potentially with fewer side effects. We previously reported that IGSF9, acting as an immune checkpoint molecule, mediated tumor immune evasion, invasion, and metastasis.26,27 Herein, we confirmed that IGSF9 mediated the extramedullary infiltration in AML, and genetic knockout or blocking with an anti-IGSF9 antibody significantly inhibited this process. Notably, the therapeutic effect of anti-IGSF9 in supplemental Figure 4F is significantly better than that in Figure 7B. The main reason is that in supplemental Figure 4F, anti-IGSF9 treatment was started from the second day after tumor inoculation, whereas in Figure 7B, treatment began on day 15, which results in the therapeutic difference for anti-IGSF9.
To leverage the direct cytotoxic effect on tumor cells, we developed an ADC drug targeting IGSF9. Using site-specific conjugation, we created an ADC with uniform DAR values. Upon endocytosis into lysosomes, the linker was broken down, releasing the cytotoxic agent DXd, which inhibited topoisomerase activity and induced apoptosis. The killing efficiency of this ADC was closely related to the IGSF9 level on the surface of target cells. Given the heterogeneity of tumor cells, we observed a notable bystander effect of this ADC.
In vivo studies showed that this ADC exhibits potent antitumor-activity, nearly eliminating early and mid-stage tumor cells, and significantly impeding the progression of advanced tumors. Moreover, histological examination via H&E staining indicated no off-target toxicity in lungs, liver, heart, kidney, or brain tissues. Because anti-IGSF9 does not bind to mouse IGSF9, we are currently unable to fully assess the toxicity of this ADC for future clinical applications in humans. In our previous study, IGSF9 expression was detected only mildly in the testes and lungs, with no detectable expression in other normal tissues.26 Before applying for clinical trials, we will conduct toxicology studies in cynomolgus monkeys to evaluate the safety of this ADC.
In summary, our findings have pinpointed a promising new target for AML treatment, and develop both its blocking antibody and ADC drugs, which substantially inhibit AML progression.
Acknowledgments
This study was funded by National Natural Science Foundation of China grants 82150101, 81872332, and 82070225 (Z.L.), Shandong Natural Science Foundation grants ZR2024LZL010 (Z.L.) and ZR2023QC190 (X.M.), and University-Enterprise Integration Plan of Yantai grant 2021XDRHXMQT17 (Z.L.). This work was supported by the Special Funding for the “Case-by-Case Introduction of Top Talent (Teams)” Program in Yantai.
Authorship
Contribution: Z.L., Y.W., L.H., and Y.J. designed the study, and wrote and revised the manuscript; J.X., Z.Z., Juan Zhang, and H.L. performed in vitro and in vivo experiments, including cell culture, molecular clone, flow cytometry, bystander effect, immunohistochemistry, and various mice models; Jiashen Zhang, Y.S., and X.M. detected the expression of IGSF9 and induction of macrophages; J.X., Y.J., C.Z., and Y.W. provided sufficient fresh samples, healthy human peripheral blood mononuclear cells, and performed immunohistochemistry; and H.W., C.L., Fangmin Li, S.J., S.W., Fang Li, and H.Y. performed some animal experiments.
Conflict-of-interest disclosure: Anti-IGSF9 and anti–IGSF9-linker-DXd have been patented (no. ZL202211000509.7 and 202311326074.X), which covers anti-IGSF9, anti–IGSF9-linker-DXd, and their application for treating tumors; and Z.L., Juan Zhang, Z.Z., S.J., and H.W. are listed as inventors. The remaining authors declare no competing financial interests.
Correspondence: Yang Jiang, Department of Hematology, The Second Hospital of Shandong University, 247 Beiyuan St, Jinan 250033, Shandong, People's Republic of China; email: yangjiang@email.sdu.edu.cn; Yaopeng Wang, Department of Thoracic Surgery, Qingdao Hospital, University of Health and Rehabilitation Sciences (Qingdao Municipal Hospital), 1 Jiaozhou Rd, Qingdao, Shandong 266011, People's Republic of China; email: qdwyaopeng@qdslyy.freeqiye.com; and Zunling Li, Shandong Key Lab of Complex Medical Intelligence and Aging, Shandong Medicine and Health Key Lab of Respiratory Infection and Tumor Immunity, Department of Biochemistry and Molecular Biology, Shandong Tumour Immunotherapy Research Innovation Team, Binzhou Medical University, 346 Guanhai Rd, Yantai, Shandong 264003, People's Republic of China; email: lizunling@bzmc.edu.cn.
References
Author notes
L.H., J.X., and Z.Z. contributed equally to this work.
Data are available on request from the corresponding author, Zunling Li (lizunling@bzmc.edu.cn).
The full-text version of this article contains a data supplement.
 https://orcid.org/0000-0003-0502-563X
  https://orcid.org/0000-0003-0502-563X
        






