Abstract
The mean distribution of lengths in the third complementarity-determining region of the heavy chain (HCDR3) serves as a measure of the development of the antibody repertoire during ontogeny. To determine the timing and pattern of HCDR3 length maturation during the third trimester of pregnancy, the mean distribution of HCDR3 lengths among variable-diversity-joining-constant–μ (VDJCμ) transcripts from the cord blood was analyzed from 138 infants of 23 to 40 weeks' gestation, including 3 sets of twins, 2 of which were of dizygotic origin. HCDR3 maturation begins at the start of the third trimester; follows a slow, continuous expansion over a 5-month period; and is unaffected by race or sex. The range and mean distribution of lengths may vary in dizygotic twins, indicating individual rates of development. The mean HCDR3 length distribution in 10 premature infants with documented bacterial sepsis was then followed for 2 to 12 weeks after their first positive blood culture. HCDR3 spectrotype analysis demonstrated oligoclonal B-cell activation and expansion after sepsis, but maturation of the repertoire was not accelerated even by the systemic exposure to external antigen represented by bacteremia. Antibody repertoire development appears to be endogenously controlled and adheres to an individualized developmental progression that probably contributes to the relative immaturity of the neonatal immune response.
Introduction
The slow, programmed acquisition of the ability to respond to particular antigens is a characteristic of the developing immune system in higher vertebrates.1 In humans, the ability to mount an effective humoral response to antigens, including pathogenic bacteria and vaccines, develops in a sequential fashion and is not fully mature until well after infancy.2 The delay in the ability to respond to specific antigens increases susceptibility to infection in young infants, particularly those that are born prematurely.
The capacity of lymphocytes to generate a heterogeneous repertoire of antigen-binding receptors lies at the heart of their ability to mount a specific humoral response to diverse antigens. Lymphocyte antigen receptors are encoded by families of variable (V), diversity (D), and joining (J) gene segments that undergo rearrangements exclusively in lymphocyte progenitors.3 The antigen-binding portion of the B-cell receptor, immunoglobulin, is formed by the pairing of a set of heavy (H) and light (L) chain V domains, each of which contains 4 β-sheets of conserved framework (FR) sequence and 3 β-loops of highly variable sequence (the complementarity-determining regions [CDRs]).4 5
The classic antigen-binding site is created by the juxtaposition of the 3 H-chain and the 3 L-chain CDRs. In the preimmune repertoire, HCDR1 and HCDR2, and LCDR1 and LCDR2 are entirely encoded by germline V-gene–segment sequence. Similarly, although the site of V-J joining may vary slightly and a limited amount of nontemplated, random nucleotide (N region) addition can be found, LCDR3 is composed primarily of germline sequences.6,7 These 5 germline CDRs form the outer edges of the classic antigen-binding site. The remaining CDR, the third hypervariable interval of the H-chain V domain or HCDR3, contains considerable nongermline sequence. It lies at the center of the antigen-binding site, where it typically plays a critical role in defining the antigen specificity of the antibody (reviewed in Kirkham and Schroeder8).
The central role of HCDR3 in establishing antigen specificity is the consequence of the vast potential for diversity in the way that its sequence and length (structure) are generated.5,9Diversity in HCDR3 derives from the inclusion of a DH gene segment, great flexibility in the site of gene segment rearrangement, and the random addition of nontemplated (N regions) and templated (P junctions) nucleotides at the rearrangement junctions.8 10 This diversity makes HCDR3 the focus of the initial somatic diversification of the antibody repertoire.
In the adult human, the range of lengths, and thus of structures, found in HCDR3 varies between 4 and 27 amino acids. In first- and second-trimester fetal tissues, however, the range of HCDR3 lengths is restricted,11,12 with few sequences containing HCDR3s of more than 20 amino acids. At term, the range of lengths is considerably enhanced (4 to 25 codons), although an adult distribution of lengths is not achieved until the infant reaches the age of 2 months.11 12
The constraints in HCDR3 length begin to be relaxed during the third trimester,13,14 although exactly when they begin to change, and whether the change is continuous or stair-stepped, have not been determined. It is also unclear what role, if any, exposure to exogenous antigen, either in utero or ex utero, may have in altering or promoting the acquisition of a mature repertoire.15
To better define the timing and the pattern of HCDR3 length maturation and to determine whether or not exposure to exogenous antigen can promote acquisition of a more mature range of lengths in premature infants, we have analyzed the distribution of HCDR3 lengths among VDJ-constant–μ (VDJCμ) transcripts from the cord blood of premature infants, including 3 sets of twins, 2 of which are clearly of dizygotic origin, as well as from the peripheral blood of 10 premature infants with nosocomial sepsis. Our studies indicate that the process of HCDR3 maturation of the expressed repertoire appears to begin at the start of the third trimester. It then follows a slow, continuous, individualized expansion that requires approximately 5 months to complete. This expansion is not accelerated by exposure to external antigen.
Methods
Sample collection
Buffy coat samples were obtained from aliquots of cord blood drawn from the placentas of 138 preterm and term infants ranging in age from 23 to 40 weeks' gestation. Gestational age was assigned by the best obstetrical estimate, which was established by either the mother's report of the first day of her last menstrual cycle or by ultrasound. Of the premature infants studied, 1 was a Hispanic male of 36 weeks' gestation; 26 were white males of 24 to 40 weeks' gestation; 27 were African American males of 27 to 40 weeks' gestation; 41 were African American females of 23 to 40 weeks' gestation; and 43 were white females of 24 to 40 weeks' gestation. The mean length distribution of the VDJCμ HCDR3 intervals expressed in 2 of these samples has been previously reported (sample [S] 113, 31 weeks' gestation; and S119, 33 weeks' gestation).13 Peripheral blood was also obtained at regular intervals from 10 infants who suffered at least one documented episode of bacterial sepsis and who were followed in the neonatal intensive care unit for periods of 2 to 12 weeks after their first positive blood culture. All tissue collections and distributions were performed in accordance with policies established by the Human Use Institutional Review Board of the University of Alabama at Birmingham.
RNA isolation and complementary DNA synthesis
Total RNA was isolated by means of Tri-Reagent (Molecular Research Center, Cincinnati, OH) according to the manufacturer's protocol.16 By means of standard protocols,17one third of each RNA sample was used to synthesize first-strand complementary DNA (cDNA) with AMV reverse transcriptase (Boehringer Mannheim, Indianapolis, IN). For each cDNA preparation, a control synthesis reaction was performed without reverse transcriptase (RT) in order to rule out DNA contamination of the RNA.
Polymerase chain reaction amplification for immunoglobulin H transcripts
Rearranged VDJCμ transcripts were amplified from 1 μL cDNA reaction product from each sample. Polymerase chain reaction (PCR) was performed by means of a Perkin-Elmer Cetus model 9600 thermal cycler (Perkin-Elmer, Norwalk, CT). Each PCR amplification was performed under the following reaction conditions: 31.7 μL dH2O, 5 μL 10 × PCR buffer with 15 mM MgCl2(Boehringer Mannheim), 1.5 μL 50 mM MgCl2, 8 μL 1.25 mM deoxynucleoside 5′-triphosphates, 2 μL 20 μM each primer, and 1.25 U Pwo DNA polymerase (Boehringer Mannheim). Each reaction underwent 1 initial cycle of denaturation at 95°C for 1 minute, followed by 30 cycles of amplification with denaturation at 95°C for 30 seconds, primer annealing at 56°C for 1 minute, and extension at 72°C for 1.5 minutes. A final extension was performed at 72°C for 5 minutes. Primer combinations used to amplify VDJCμ cDNA were as follows: 5′-AC AC(TGA) GC(CT) GTG TAT TAC TGT GC-3′ and 5′-CCC GGG TGC TGC TGA TGT CAG-3′.18 We analyzed β-actin messenger RNA (mRNA) as a control for the reliability of the cDNA synthesis, using the primers 5′-GTG GAC TTG GGA GAG GGA GAC TGG G-3′ and 5′-GCG GGA AAT CGT GCG TGA CAT T-3′.19
Assessment of HCDR3 length by spectrotype
A 1-μL aliquot of first-round VDJCμ product underwent a second round of PCR amplification with the use of the original FR3 consensus region V primer, 5′-AC AC(TGA) GC(CT) GTG TAT TAC TGT GC-3′, in association with an internal, nested Cμprimer, 5′-AAT TCT CAC AGG AGA CGA G-3′. The latter primer was32P-γ-adenosine 5′-triposphate–end-labeled with polynucleotide kinase (Boehringer Mannheim), as per the manufacturer's recommendations. The reaction conditions were the same as in the first round, with the exception that only 5 cycles of amplification were performed. A 10-μL aliquot of second-round PCR product was mixed with 2 μL loading dye,17 boiled for 2 minutes in a water bath, and quick-cooled, and a 6-μL aliquot of the mix was then loaded on 7.5% polyacrylamide sequencing gel. Each gel included a set of lanes with sequenced M13mp18 and one lane containing an amplified HCDR3 interval from a VDJCμ clone of known sequence as controls for length and amplification. After electrophoresis, the gel was exposed to x-ray film (Kodak, Rochester, NY) for an average of 4 hours, and to an Imaging Plate (Fuji Medical Systems, Stamford, CT) for an average of 30 minutes. The Image Plate was scanned with a Fujix Bas 1000 Phosphoimager (Fuji Medical Systems), and the generated images were analyzed by means of MacBass V2X software (Fuji Medical Systems). After subtraction for background, the intensity of each section of a given lane corresponding to a 3-nucleotide interval was quantified and divided by the total intensity of the lane that corresponds to lengths of 4 to 30 codons. This percentage contribution was multiplied by the corresponding HCDR3 length in codons. Finally, the contribution of each codon was added to determine the average length of the HCDR3 intervals in each lane.
Statistical analysis
Student t test, least squares, and one-way analysis of variance (ANOVA) analyses were performed with the program JMP (Version 3.26, SAS Institute, Cary, NC). In general, the mean length of HCDR3 was used as the measure of repertoire maturation. For individuals, the data are presented as the mean length of HCDR3 ± the SD of the mean, in codons. For sets of individuals, the data are presented as the average of the means ± the SD of the means, again in codons.
Results
A slow, progressive increase in the distribution of HCDR3 lengths among VDJCμ transcripts in third-trimester cord blood
By spectrotype analysis, the mean HCDR3 length distribution was found to increase at a steady rate during the third trimester (11.4 + 0.11 codons × gestational age in weeks; least squares analysis) (Figure 1). The mean of the mean lengths increased from 14.5 ± 0.7 codons at 27 weeks' gestation (the mean ± SD of the means of 7 individual infant HCDR3 length averages) to 15.8 ± 1.0 codons at 40 weeks' gestation (from 8 individual HCDR3 length averages; P = .02, Student t test, 2 tailed). As a group, premature infants who were male and/or of African American descent exhibited a slightly narrower range of mean lengths (10.9 + 0.12 times gestational age and 11.0 + 0.12 times gestational age, respectively; least squares analysis) when compared with premature infants who were female and/or of white descent (11.5 + 0.11 × gestational age and 11.5 + 0.11 × gestational age, respectively; least squares analysis). However, the difference in the range of distributions was not statistically significant.
HCDR3 length distribution in the third trimester of human fetal gestation.
Shown are mean HCDR3 lengths in VDJCμ transcripts from 138 preterm and term infants ranging in age from 23 to 40 weeks' gestation. The race and sex of the donor are noted for each sample. The solid line represents the best linear fit, and the dashed lines denote 5% and 95% confidence limits for the means of the distribution of lengths over time.
HCDR3 length distribution in the third trimester of human fetal gestation.
Shown are mean HCDR3 lengths in VDJCμ transcripts from 138 preterm and term infants ranging in age from 23 to 40 weeks' gestation. The race and sex of the donor are noted for each sample. The solid line represents the best linear fit, and the dashed lines denote 5% and 95% confidence limits for the means of the distribution of lengths over time.
The HCDR3 length distribution can differ in dizygotic twins
Among the 138 premature infants were 3 sets of twins. A set of African American males was born at 29 weeks' gestation. One of the brothers had an O+ blood type and the other was B+. A set of male and female African American twins was born at 35 weeks' gestation. Finally, a set of white female twins was born at 33 weeks' gestation. Both were O+. Issues of informed consent did not allow us to re-examine the twins born at 33 weeks' gestation to determine whether they were monozygotic or dizygotic. We performed 10 separate amplifications for spectrotype analysis, which yielded highly reproducible patterns in spite of varying the number of cycles of amplification (data not shown).
Even though twins share gestational age and in utero antigen exposures, the range of lengths (Figure 2) and the mean lengths of the HCDR3 intervals varied. We performed 5 individual RT-PCR amplifications for each sample on the same day and run on the same gel. The white female twins of 33 weeks' gestation, who were of the same blood type, exhibited a similar range of HCDR3 lengths: between 4 and 23 codons. In spite of the similarity in the range, the mean lengths differed (15.3 ± 0.1 codons for one twin and 15.9 ± 0.1 codons for the other; P = .01, one-way ANOVA). The HCDR3s of the 29-week African American dizygotic male twins ranged between 4 and 24 codons with a mean of 14.2 ± 0.3 codons for one and 15.0 ± 0.3 codons for the other (P = .06, one-way ANOVA). The African American male twin of 35 weeks' gestation exhibited HCDR3 lengths that ranged between 5 and 25 codons, with a mean of 16.4 ± 0.1 codons. The female twin of this pair exhibited a more restricted range of HCDR3 lengths of between 5 and 22 codons that yielded a smaller mean of 15.0 ± 0.1 codons (P < .001, one-way ANOVA). Thus, both the range and distribution of HCDR3 lengths can differ in dizygotic twins.
The distribution of HCDR3 lengths in VDJCμtranscripts derived from the cord blood of 3 sets of twins of 33, 29, and 35 weeks' gestation.
Shown is an autoradiograph of 32P-labeled RT-PCR products that have been separated on the basis of length by denaturing polyacrylamide gel electrophoresis. M13mp18 sequence is used as a standard to determine the length of each fragment. Each set of twins is identified by age, sex, and blood type.
The distribution of HCDR3 lengths in VDJCμtranscripts derived from the cord blood of 3 sets of twins of 33, 29, and 35 weeks' gestation.
Shown is an autoradiograph of 32P-labeled RT-PCR products that have been separated on the basis of length by denaturing polyacrylamide gel electrophoresis. M13mp18 sequence is used as a standard to determine the length of each fragment. Each set of twins is identified by age, sex, and blood type.
The composition of the HCDR3 repertoire may vary in premature infants who have suffered sepsis, but the normal-for-age range of HCDR3 length distributions is maintained
The mean HCDR3 length distribution was measured for RNA derived from the peripheral blood of 10 infants with documented bacteremia (Table 1). Spectrotype analysis was performed in quintuplicate. The patients' gestational age at birth ranged between 23 and 38 weeks. The onset of documented sepsis ranged between 3 and 12 weeks after birth. Two of the infants (B-09 and B-11) were twins whose zygosity was not determined. Attempts were made to collect blood drawn 3 days, 2 weeks, 4 weeks, 8 weeks, and 12 weeks after the first positive blood culture, although the number of collections per infant varied owing to sample availability. All of the infants survived sepsis and were ultimately discharged home from the neonatal intensive care unit.
Mean length distribution of third complementarity-determining region of the heavy chain in septic premature infants
| Infant . | Race* . | Sex . | Organism cultured from the blood . | Time period† . | Effective gestational age‡ . | Mean HCDR3 length ± SD . |
|---|---|---|---|---|---|---|
| B-08 | A-A | M | Staphylococcus | Birth | 23 | |
| (coagulase negative) | 3 days | 35 | 15.7 ± 0.3 | |||
| 2 weeks | 37 | 15.3 ± 0.5 | ||||
| 4 weeks | 39 | 14.6 ± 0.5 | ||||
| B-01 | A-A | M | Enterococcus | Birth | 24 | |
| 3 days | 36 | 15.0 ± 0.6 | ||||
| 2 weeks | 38 | 15.3 ± 0.4 | ||||
| 4 weeks | 40 | 15.5 ± 0.4 | ||||
| B-02 | A-A | F | Staphylococcus | Birth | 25 | |
| (coagulase negative) | 3 days | 29 | 14.6 ± 0.8 | |||
| 2 weeks | 31 | 15.9 ± 0.8 | ||||
| 4 weeks | 33 | 16.2 ± 0.7 | ||||
| 12 weeks | 41 | 16.5 ± 0.6 | ||||
| B-05 | W | M | Staphylococcus | Birth | 26 | |
| (coagulase negative) | 2 weeks | 37 | 15.3 ± 0.9 | |||
| 4 weeks | 39 | 15.1 ± 0.8 | ||||
| 8 weeks | 43 | 16.3 ± 0.7 | ||||
| B-06 | A-A | F | Staphylococcus | Birth | 26 | |
| (coagulase negative) | 4 weeks | 32 | 13.1 ± 0.7 | |||
| B-10 | W | M | Staphylococcus | Birth | 26 | |
| (coagulase negative) | 2 weeks | 30 | 14.9 ± 0.8 | |||
| + yeast | 4 weeks | 32 | 14.8 ± 0.7 | |||
| B-09 | W | F | Staphylococcus | Birth | 28 | |
| (coagulase negative) | 2 weeks | 31 | 15.5 ± 0.4 | |||
| B-11 | W | F | Staphylococcus | Birth | 28 | |
| (coagulase negative) | 2 weeks | 31 | 16.0 ± 0.5 | |||
| 4 weeks | 35 | 16.2 ± 0.6 | ||||
| 8 weeks | 39 | 15.4 ± 0.4 | ||||
| B-12 | W | M | Streptococcus | Birth | 38 | |
| (α hemolytic) | 2 weeks | 41 | 16.5 ± 0.4 | |||
| B-13 | W | F | Staphylococcus | Birth | 23 | |
| (coagulase negative) | 2 weeks | 25 | 13.2 ± 0.3 | |||
| 8 weeks | 31 | 13.8 ± 0.4 | ||||
| 12 weeks | 35 | 14.8 ± 0.4 |
| Infant . | Race* . | Sex . | Organism cultured from the blood . | Time period† . | Effective gestational age‡ . | Mean HCDR3 length ± SD . |
|---|---|---|---|---|---|---|
| B-08 | A-A | M | Staphylococcus | Birth | 23 | |
| (coagulase negative) | 3 days | 35 | 15.7 ± 0.3 | |||
| 2 weeks | 37 | 15.3 ± 0.5 | ||||
| 4 weeks | 39 | 14.6 ± 0.5 | ||||
| B-01 | A-A | M | Enterococcus | Birth | 24 | |
| 3 days | 36 | 15.0 ± 0.6 | ||||
| 2 weeks | 38 | 15.3 ± 0.4 | ||||
| 4 weeks | 40 | 15.5 ± 0.4 | ||||
| B-02 | A-A | F | Staphylococcus | Birth | 25 | |
| (coagulase negative) | 3 days | 29 | 14.6 ± 0.8 | |||
| 2 weeks | 31 | 15.9 ± 0.8 | ||||
| 4 weeks | 33 | 16.2 ± 0.7 | ||||
| 12 weeks | 41 | 16.5 ± 0.6 | ||||
| B-05 | W | M | Staphylococcus | Birth | 26 | |
| (coagulase negative) | 2 weeks | 37 | 15.3 ± 0.9 | |||
| 4 weeks | 39 | 15.1 ± 0.8 | ||||
| 8 weeks | 43 | 16.3 ± 0.7 | ||||
| B-06 | A-A | F | Staphylococcus | Birth | 26 | |
| (coagulase negative) | 4 weeks | 32 | 13.1 ± 0.7 | |||
| B-10 | W | M | Staphylococcus | Birth | 26 | |
| (coagulase negative) | 2 weeks | 30 | 14.9 ± 0.8 | |||
| + yeast | 4 weeks | 32 | 14.8 ± 0.7 | |||
| B-09 | W | F | Staphylococcus | Birth | 28 | |
| (coagulase negative) | 2 weeks | 31 | 15.5 ± 0.4 | |||
| B-11 | W | F | Staphylococcus | Birth | 28 | |
| (coagulase negative) | 2 weeks | 31 | 16.0 ± 0.5 | |||
| 4 weeks | 35 | 16.2 ± 0.6 | ||||
| 8 weeks | 39 | 15.4 ± 0.4 | ||||
| B-12 | W | M | Streptococcus | Birth | 38 | |
| (α hemolytic) | 2 weeks | 41 | 16.5 ± 0.4 | |||
| B-13 | W | F | Staphylococcus | Birth | 23 | |
| (coagulase negative) | 2 weeks | 25 | 13.2 ± 0.3 | |||
| 8 weeks | 31 | 13.8 ± 0.4 | ||||
| 12 weeks | 35 | 14.8 ± 0.4 |
HCDR3 indicates the third complementarity-determining region of the heavy chain.
Race is designated A-A for African American or W for white.
Designated as birth or the number of days or weeks since the first positive blood culture for Group B Streptococci.
Age of the infant as assigned by the best obstetrical estimate.
The mean HCDR3 length of the VDJCμ transcripts from these septic infants remained within the normal range (Figure 1) throughout their development. Samples were obtained from the 2 twins 2 weeks after their first positive blood culture. Small differences in the range of lengths (data not shown) and the mean of the lengths (Table 1) did not reach statistical significance. Sequential samples were obtained from 6 of the 9 infants. In 5 of these infants, the mean HCDR3 length rose over time, and in 2, the mean fell (Table 1, Figure3). In one child, B-06, the mean HCDR3 length was at the lower limits of normal for an infant of 32 weeks' gestation, even though the sample had been obtained 6 weeks after birth and 4 weeks after her first positive blood culture. The mean HCDR3 length did not rise above the normal range for age in any of the infants. There was no evidence of an accelerated maturation of the repertoire in spite of the massive ex utero exposure to antigen represented by sepsis and a prolonged hospital stay.
Changes in the mean of HCDR3 lengths in VDJCμ transcripts derived from the peripheral blood of premature and near-term infants who exhibited positive blood cultures for various bacteria.
The mean of HCDR3 lengths for 10 such individuals is plotted as a function of gestational age. The lines connect sequential samples drawn from the same individual (Table 1). The dashed lines denote 5% and 95% confidence limits for the distribution of lengths over time (from Figure 1 above).
Changes in the mean of HCDR3 lengths in VDJCμ transcripts derived from the peripheral blood of premature and near-term infants who exhibited positive blood cultures for various bacteria.
The mean of HCDR3 lengths for 10 such individuals is plotted as a function of gestational age. The lines connect sequential samples drawn from the same individual (Table 1). The dashed lines denote 5% and 95% confidence limits for the distribution of lengths over time (from Figure 1 above).
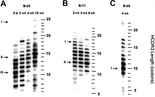
The composition of the HCDR3 repertoire, and hence the antibody repertoire, varied over time. Shown in Figure4 are representative examples of infants who demonstrated an increase (B-02) or a decrease in mean HCDR3 length (B-11), as well as the infant with a very constrained mean of lengths (B-06). B-02 (Figure 4A) represents the more typical pattern, with a slow increase in the range of lengths and the appearance of longer HCDR3 intervals (arrow i). Inspection reveals not only changes in the range of lengths, but also variation in the representation of transcripts of a given length. In some cases, transcripts of a given length increased in representation (arrow ii), and in others a decrease was noted (arrow iii). We interpret these changes as reflective of monoclonal or oligoclonal activation and expansion of B-cell clones, presumably in response to antigen exposure. Similar changes in representation were noted in infants who experienced a decrease in mean HCDR3 length (Figure 4B, arrows i and ii). It can be seen that one factor limiting the mean length of HCDR3 intervals from patient B-06 is an expansion of B-cell clones with short HCDR3 intervals (Figure 4C, arrow i). Thus, exposure to antigen ex utero led to distortions in the representation of HCDR3 intervals in the expressed repertoire, but evidently failed to induce or enrich for the appearance of lengths of HCDR3 intervals more commonly seen in the adult. In each case, clonal expansions appear to derive from the limited range of antigen-binding structures produced by the immature bone marrow.
Changes in the distribution of HCDR3 lengths in VDJCμ transcripts derived from the peripheral blood of 3 infants with positive blood cultures for bacteria.
Shown is an autoradiograph of 32P-labeled RT-PCR products that have been separated on the basis of length by denaturing polyacrylamide gel electrophoresis. The length of each HCDR3 fragment is identified on the right. (A) A premature infant who exhibited an increase in the range and mean of HCDR3 lengths over a 12-week period (see also Table 1, Figure 3). The arrows identify populations of VDJCμ transcripts of a specific length whose representation changed over time. (B) A premature infant who exhibited a decrease in the range and mean of HCDR3 lengths over an 8-week period. The arrows identify populations of VDJCμtranscripts of a specific length whose representation changed over time. (C) An infected premature infant whose mean HCDR3 length was near the lower limits of normal for age. The arrow identifies a population of VDJCμ transcripts of a relatively short length whose representation has contributed to the decreased mean in HCDR3 length distribution, when compared with other healthy premature infants of the same age.
Changes in the distribution of HCDR3 lengths in VDJCμ transcripts derived from the peripheral blood of 3 infants with positive blood cultures for bacteria.
Shown is an autoradiograph of 32P-labeled RT-PCR products that have been separated on the basis of length by denaturing polyacrylamide gel electrophoresis. The length of each HCDR3 fragment is identified on the right. (A) A premature infant who exhibited an increase in the range and mean of HCDR3 lengths over a 12-week period (see also Table 1, Figure 3). The arrows identify populations of VDJCμ transcripts of a specific length whose representation changed over time. (B) A premature infant who exhibited a decrease in the range and mean of HCDR3 lengths over an 8-week period. The arrows identify populations of VDJCμtranscripts of a specific length whose representation changed over time. (C) An infected premature infant whose mean HCDR3 length was near the lower limits of normal for age. The arrow identifies a population of VDJCμ transcripts of a relatively short length whose representation has contributed to the decreased mean in HCDR3 length distribution, when compared with other healthy premature infants of the same age.
The human fetal antibody repertoire requires 5 months to mature
In higher vertebrates, the ability to respond to antigen develops in a slow, controlled, stepwise fashion as a function of ontogeny. The process takes months in humans and lambs, and days to weeks in the mouse.1 The mechanisms that underlie this developmental process remain poorly understood. A number of studies have documented an expansion in the diversity of both the T-cell and the B-cell antigen receptor repertoires between fetus and adult (reviewed in English et al20). Taking this in the context of our previous studies,11 we can now document that the change from a fetal to an adult distribution of HCDR3 lengths, as assessed by a cross-sectional analysis of fetuses, premature infants, and young infants, begins at the start of the third trimester of gestation, proceeds slowly during the third trimester and the neonatal period, and ends 2 months after birth (Figure 5). Thus, the diversity of the antibody repertoire in our population also appears to develop in a slow, controlled fashion that takes months to complete in humans and is unaffected by sex, race, or bacterial sepsis.
A 5-month transition in the distribution of HCDR3 lengths.
Shown are mean HCDR3 lengths in VDJCμ transcripts from 34 individual fetal liver samples ranging in age from 8 to 28 weeks' gestation, open circles11; 138 individual samples of cord blood from premature and term individuals, closed circles (this study); and 32 individual samples of peripheral blood from infants ranging in age from 2 weeks to 6 months of age, open squares.11 For this cross-sectional study, the solid line represents the best linear fit and the dotted lines denote 5% and 95% confidence limits for the distribution of lengths over time (from Shiokawa et al11and Figure 1 above).
A 5-month transition in the distribution of HCDR3 lengths.
Shown are mean HCDR3 lengths in VDJCμ transcripts from 34 individual fetal liver samples ranging in age from 8 to 28 weeks' gestation, open circles11; 138 individual samples of cord blood from premature and term individuals, closed circles (this study); and 32 individual samples of peripheral blood from infants ranging in age from 2 weeks to 6 months of age, open squares.11 For this cross-sectional study, the solid line represents the best linear fit and the dotted lines denote 5% and 95% confidence limits for the distribution of lengths over time (from Shiokawa et al11and Figure 1 above).
Discussion
We examined the distribution of HCDR3 lengths expressed in VDJCμ transcripts from cord and peripheral blood of premature infants at varying ages. The amplification reagents include a PCR primer that is derived from a conserved sequence at the 3′ terminus of all human VH gene segments. Use of this primer in association with a Cμ primer allows a global evaluation of HCDR3 length diversity in the total population of μ immunoglobulin transcripts. There are a variety of methods that can be used to analyze the development of the antibody repertoire, each of which is associated with its own set of biases. Representation in the amplified products of mRNA transcripts is heavily influenced by relative message abundance, which thus biases our analysis toward the functional repertoire, since nonfunctional rearrangements exhibit much lower message levels.21 However, when compared with immature B cells, message abundance can increase 10- to 100-fold in activated B cells and up to 1000-fold in plasma cells, introducing the potential for antigen stimulation to bias the analysis.
The cord blood B-lymphocyte population is composed primarily of immature B cells.22 Virtually all of the samples from cord blood yielded a generally normal distribution of HCDR3 lengths (eg, Figure 2), suggesting that we had amplified the products of a polyclonal population of cells. Moreover, 10 transcripts from 2 of the samples have been previously sequenced.13 Of these, none contained somatic mutations and one contained a nonfunctional rearrangement. The normal distribution of lengths coupled with the sequence analysis of a random sampling of clones indicates that the analysis that we have performed is focused primarily on the distribution of lengths in the functional, preimmune, immature B-cell repertoire and is thus a fair representation of the development of that repertoire.
The functional significance of altering the length distribution of HCDR3 remains a matter for speculation. Lengthening HCDR3 allows creation of antibody-binding sites with the potential to bind a different range of epitopes than those bound by antibodies with short HCDR3s, eg, gaining the potential to insert a portion of the antigen-binding site into a cavity within an antigen.11Given that the composition, as well as the length, of HCDR3 intervals diversifies with age, the change in antibody specificities cannot be attributed solely to the advent of long HCDR3 intervals. However, the emergence of these antibodies appears to be a measure of the maturation of the repertoire. Our studies thus emphasize that, on average, the antibody repertoire of a premature infant of 27 weeks' gestational age differs from that of an infant born at 33 weeks, which in turn differs from that of an infant at term. These observations support the hypothesis that maturation of the antibody repertoire contributes to the slow acquisition of the ability to respond to antigens that characterizes the young.
The mechanisms that control the length of HCDR3 are incompletely understood. Some mechanisms act at the time of gene segment rearrangement. Differential patterns of DH and JH gene segment utilization, control of terminal nucleotide loss, and DH gene segment–specific regulation of N nucleotide addition all act to bias the early HCDR3 repertoire toward shorter lengths.11,12,14 18 However, the slow progression in the range of lengths suggests that whatever the identity of the developmental switch that controls length, it is not a mere off/on phenomenon that might simply be explained by the presence or absence of N nucleotides or the activation of a different set of DH or JH gene segments.
Superimposed upon the mechanisms that control gene segment rearrangement is a process of antigen-receptor–influenced selection that also appears to play a major role in regulating length.11,23 In second-trimester fetal bone marrow, this mechanism serves to prevent the expression of fetal antibodies with long HCDR3s in mature B cells.11 A similar process of selection appears to function in the adult, although the acceptable range of lengths is significantly greater.23 24
Selection for length in the bone marrow appears most marked during the progression from a cytoplasmic μ-positive pre-B cell to a CD19+/surface immunoglobulin (sIg)–Mlocell.11 The CD19+/sIgMlopopulation is composed largely of cells expressing μ–H chain in association with surrogate light chain and VpreB.25,26 In the mouse it has been shown that the ability of an H chain to form a pre–B-cell receptor has a direct effect on the survival of the cell.27 Successful assembly of the pre-B receptor appears to inhibit B-cell differentiation in the fetus, but enhances survival and differentiation in the adult.28 It remains unclear whether the pre-B receptor binds to a ligand, and if so, whether this ligand is endogenous or exogenous. Given the evidence that antigen-receptor–based selection appears to play a role in regulating length, it has been suggested that exposure to exogenous antigen either in utero by means of passive or active transport across the placental barrier or ex utero by direct exposure to the environment might contribute to length diversification.11
By definition, twins are of the same gestational age and they experience similar exposures to maternally transmitted antigens in utero. The divergence in the distribution of HCDR3 lengths in the 3 sets of twins (Figure 2) suggests that exposure to maternally transmitted antigen does not play a major role in promoting length diversification.
The 90% confidence limit for the mean of HCDR3 lengths in individual samples of a given gestational age exhibited a 4-codon range (Figure1). These differences could be due to technical artifact, to imprecision in the assignment of gestational age given that the date of conception is being calculated from the best obstetrical estimate, or to the presence of expanded B-cell clones. All 6 of the samples obtained from the cord blood of twins exhibited reproducible, normal distributions of HCDR3 lengths, yet each set of twins exhibited differences in either the range or the distribution of HCDR3 lengths. These differences within sets of twins suggest that individual variation in the rate of maturation of the expressed repertoire may contribute to the range of mean lengths exhibited in the population that was studied.
Unlike the samples of cord blood, the distribution of HCDR3 lengths in VDJCμ transcripts derived from the peripheral blood of septic or convalescent infants commonly demonstrated a nonrandom distribution of lengths, suggesting oligoclonal activation and/or expansion of B-cell clones that waxed and waned over time. We interpret the perturbations in the composition of the functional repertoire and the alterations of the distribution of HCDR3 lengths as the product of the immune response to external antigen, and thus the presence of mature, activated B cells in the blood, which are producing mRNA at high levels.
However, even a massive exposure to external antigen, as represented by systemic bacterial infection, does not appear to have accelerated the process of expansion of the HCDR3 length distribution. In each of the 10 cases examined, the mean distribution of HCDR3 lengths remained within the normal range for gestational age (Figure 3). None of the infants who suffered bacterial sepsis demonstrated an accelerated appearance of the longer HCDR3 lengths seen in older infants and adults (eg, Figure 4). In each case where there was increased representation of VDJCμ transcripts with a specific HCDR3 length, the length of that set of transcripts was found to be within the range of normal lengths for the infant's gestational age (Figure 1).
The reasons for constraining the antibody repertoire in the first and second trimester, and for the slow progression of the development of that repertoire during the third trimester and early infancy, remain a mystery. Lymphoid organs also develop in a controlled, stepwise fashion during ontogeny.29 The organization of the primary structures is not complete until the end of the second trimester. Expression of an expanded repertoire could be deleterious to an infant with a disorganized lymphoid system; expression of the conserved fetal repertoire could play an important protective role, or expression of a “mature” repertoire could be deleterious to the developing infant or to the fetal-maternal balance. Clearly, however, processes critical to the establishment of a mature repertoire are active and changing during the third trimester of gestation. The appearance of secondary structures that represent a reaction to antigen in the primary lymphoid nodules, eg, follicles, are first observed at 30 weeks' gestation.29 However, germinal centers do not appear until 1 month after birth.30 Further analysis of the development of the immune response in premature infants, especially those who develop life-threatening infections versus those who pass relatively healthy through this critical period of development, is clearly warranted.
We thank Helen Elcott, RN, and Claire Roane, RN, MSN, for helping obtain the cord and infant blood samples and Dr Robert Schelonka and Jason Link for their critical reading of the manuscript.
Supported by National Institutes of Health grant HD36292.
The publication costs of this article were defrayed in part by page charge payment. Therefore, and solely to indicate this fact, this article is hereby marked “advertisement” in accordance with 18 U.S.C. section 1734.
References
Author notes
Harry W. Schroeder Jr, Division of Developmental and Clinical Immunology, Wallace Tumor Institute 378, 1530 3rd Ave S, University of Alabama at Birmingham, Birmingham, AL 35294; e-mail:harry.schroeder@ccc.uab.edu.





This feature is available to Subscribers Only
Sign In or Create an Account Close Modal