Altered expression of proteins of the fibrinolytic and coagulation cascades in obesity may contribute to the cardiovascular risk associated with this condition. In spite of this, the zymogenic nature of some of the molecules and the presence of variable amounts of activators, inhibitors, and cofactors that alter their activity have made it difficult to accurately monitor changes in the activities of these proteins in tissues where they are synthesized. Thus, as a first approach to determine whether tissue factor (TF) expression is altered in obesity, this study examined changes in TF mRNA in various tissues from lean and obese (ob/ob and db/db) mice. TF gene expression was elevated in the brain, lung, kidney, heart, liver, and adipose tissues of both ob/ob and db/db mice compared with their lean counterparts. In situ hybridization analysis indicated that TF mRNA was elevated in bronchial epithelial cells in the lung, in myocytes in the heart, and in adventitial cells lining the arteries including the aortic wall. Obesity is associated with insulin resistance and hyperinsulinemia, and administration of insulin to lean mice induced TF mRNA in the kidney, brain, lung, and adipose tissue. These observations suggest that the hyperinsulinemia associated with insulin-resistant states, such as obesity and noninsulin-dependent diabetes mellitus, may induce local TF gene expression in multiple tissues. The elevated TF may contribute to the increased risk of atherothrombotic disease that accompanies these conditions.

Obesity and related noninsulin-dependent diabetes mellitus (NIDDM) are among the most common health problems in industrialized societies and are associated with an increased incidence of thrombosis and accelerated atherosclerosis.1,2Interestingly, a number of clinical studies have demonstrated dysregulation of both the coagulation and fibrinolytic systems in obesity/NIDDM,3-8 which suggests that these changes may contribute to the cardiovascular complications in these disorders. In this regard, several studies have shown an increase in tissue factor (TF)–mediated coagulation and/or in factor VII activity or antigen in obese patients and those with NIDDM.4,9-15 TF is the major cellular initiator of the coagulation cascade and also serves as a cell-surface receptor for the activation of factor VII.16-19 Activation of the coagulation cascade by aberrant expression of TF may promote thrombosis in patients with a variety of clinical disorders. These disorders include Gram-negative sepsis17,20 and atherosclerosis,21-23 as well as adult respiratory distress syndrome, systemic lupus erythematosus, Crohn disease, rheumatoid arthritis, and various forms of cancer.17 TF is expressed in human atherosclerotic plaques and may play a significant role in the thrombotic complications associated with plaque rupture.17,22,23 These observations suggest that the increase in TF in obesity and NIDDM could promote the development of a hypercoagulable state and thereby contribute to the cardiovascular complications associated with these conditions. Interestingly, a number of recent reports have demonstrated TF activity in plasma.24-27 The origin of this activity and its biologic significance remain to be established.

We previously demonstrated that levels of plasminogen activator inhibitor-1 (PAI-1)28 and TF29 gene expression were elevated in adipose tissues of genetically obese (ob/ob) mice. These mice cannot produce leptin,30 and, as a consequence, they experience early-onset obesity, insulin resistance, and hyperinsulinemia.30,31 In this report, we used ob/ob mice together with obese db/db mice (which lack the leptin receptor) to determine whether TF also was elevated in other tissues of the obese mice. Because of the strong correlation between obesity and hyperinsulinemia, we also asked whether these effects were mediated by insulin. Our results demonstrate that TF mRNA is significantly elevated in the brain, lung, kidney, liver, and heart of both ob/ob and db/db mice. Moreover, we show that insulin can contribute to the increase in TF gene expression in some of these tissues. The coordinated increase in TF and PAI-1 in obesity3 28 would thus be expected to increase coagulation and impair fibrinolysis, thereby promoting a state that favors thrombosis.

Animals and tissue preparation

Adult male obese mice (C57BL/6J ob/ob, weight 49 ± 2.3 g; C57BL/KsJ db/db, weight 46 ± 1.9 g) at 3 months of age and their lean littermates (C57BL/6J+/+ and C57BL/KsJ+/+, weight 18.1 ± 1.1 g) were obtained from Jackson Labs (Bar Harbor, ME). For insulin experiments, lean mice (C57BL/6J+/+) were injected intraperitoneally with 10 U regular human insulin (Himulin R; Eli Lilly, Indianapolis, IN), and the controls were injected with an equivalent volume of saline alone. At the conclusion of each experiment, mice were anesthetized by metofane (Pitman-Moore, Mundelein, IL), and various tissues were removed and processed either for in situ hybridization analysis or for the isolation of total RNA as described previously.32 

Quantitative reverse transcriptase–polymerase chain reaction

The concentration of TF mRNA in tissues was determined by quantitative reverse transcriptase–polymerase chain reaction (RT-PCR) using a competitor cRNA containing upstream and downstream primers for TF and β-actin (internal control), as described previously.33-35 After reverse transcription (using 105 molecules of cRNA for TF and 107 molecules for β-actin, as determined in preliminary experiments) and PCR using32P-end–labeled 5′ primers, 20 μL of the PCR products was subjected to electrophoresis on 2.5% agarose gels. The appropriate bands corresponding to the internal standard cRNA product and the target mRNA product were excised from the gel, and the incorporated radioactivity was quantified using a scintillation counter. A standard curve for the internal control cRNA was constructed and used to determine the specific activity of the target mRNA, as described previously.32 34 Variations in sample loading were assessed by comparison with β-actin mRNA.

Riboprobe preparation and in situ hybridization

A subclone containing 821 bp of the mouse TF cDNA (nucleotides 229-1049) cloned into the vector pGEM-3Z36 was used to prepare a riboprobe for in situ hybridization.37 This vector was linearized and used as a template for in vitro transcription of radiolabeled antisense or sense riboprobes with the use of SP6 or T7 RNA polymerase, respectively, in the presence of [35S]UTP (greater than 1200 Ci/mmol [37 TBq/mm]; Amersham, Arlington Heights, IL). Both sense and antisense probes were routinely labeled to specific activities between 0.5 and 2 × 108 cpm/mg RNA. In situ hybridization was performed as described previously.37 Slides were exposed in the dark at 4°C for 4 to 12 weeks and then developed and stained with hematoxylin and eosin.

Statistical analysis

Statistical comparison of results was performed using the unpaired Student t test.

TF mRNA levels in tissues from lean and obese mice

We previously demonstrated that TF gene expression was elevated in adipose tissues of obese (ob/ob) mice.29 To determine whether it was also elevated in other tissues, we compared the levels of TF mRNA in a variety of tissues from lean and ob/ob mice (Figure1). Tissues were removed from 3-month-old mice, and total RNA was prepared and analyzed for TF mRNA by quantitative RT-PCR. TF mRNA levels were elevated in all of the tissues examined from the ob/ob mice when compared with their lean counterparts (Figure 1A). For example, in the 3-month-old ob/ob mice, TF mRNA was increased by approximately 4-fold in the brain (P < .04, n = 6) and lung (P < .0001, n = 6), by 3-fold in the heart (P < .0001, n = 6), and by 2-fold in the kidney (P < .02, n = 6) and liver (P < .001, n = 6). We next determined whether TF mRNA was elevated in tissues of the db/db mouse, a different model of genetic obesity. Again, TF mRNA levels were elevated in all of the tissues examined (Figure 1B), including the brain (4.7-fold; P < .003, n = 6), the lung (5-fold; P < .002, n = 6), the heart (5-fold;P < .0007, n = 6), the kidney (6-fold;P < .001, n = 6), the adipose tissue (3.5-fold;P < .03, n = 6), and the liver (3.7-fold;P < .01, n = 6). These results indicate that elevated TF mRNA is not unique to the ob/ob mouse.

Fig. 1.

Expression of TF mRNA in tissues from lean and obese mice.

Total RNA was extracted from various tissues of male lean (■) and obese (▪) animals at 3 months of age. TF mRNA was determined using quantitative RT-PCR analysis, as described in “Materials and methods.” For each condition, n = 6, mean ± SD. (A) Lean versus ob/ob mice. (B) Lean versus db/db mice.

Fig. 1.

Expression of TF mRNA in tissues from lean and obese mice.

Total RNA was extracted from various tissues of male lean (■) and obese (▪) animals at 3 months of age. TF mRNA was determined using quantitative RT-PCR analysis, as described in “Materials and methods.” For each condition, n = 6, mean ± SD. (A) Lean versus ob/ob mice. (B) Lean versus db/db mice.

Close modal

Cellular localization of TF mRNA in tissues from obese and lean mice

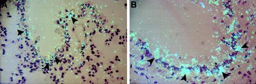
In situ hybridization experiments were performed to determine the cellular distribution of TF mRNA within various tissues from lean and ob/ob mice (Figures 2,3). TF mRNA was detected in bronchiolar epithelial cells in the lungs of lean mice (Figure 2A), and this signal was markedly elevated in the same cells in lungs from obese mice (Figure 2B). A weak but cell-specific signal for TF mRNA was observed in cardiomyocytes in the heart of lean mice (Figure 2C). In heart tissue from ob/ob mice, a larger proportion of the myocytes expressed TF mRNA, and the intensity of this signal was increased as well (Figure2D). TF expression was observed in adventitial cells lining the aorta (Figure 2E) and other arteries (Figure 3A) of lean mice, and this signal for TF was also elevated in vessels from obese mice (Figure 2F, Figure 3B). It is well established that TF is expressed in adventitial fibroblasts surrounding blood vessels under normal and pathologic conditions. For example, in 1989, Wilcox et al22 reported that TF mRNA was expressed in fibroblastlike cells in the adventitia surrounding normal vessels. Since then, several other investigators have confirmed the expression of TF mRNA and antigen in fibroblastic cells in vascular adventitia.18,19 38-43 The TF-positive adventitial cells observed in this study (Figure 2F, Figure 3B) are thus, in all likelihood, stromal fibroblasts of the vascular adventitia. The fact that these cells did not stain with the smooth muscle cell–specific marker α-actin (Dako, Carpinteria, CA; data not shown) and the macrophage marker F4/80 (Bachem, Philadelphia, PA; data not shown), 2 other cell types likely to be found in this location, supports this hypothesis. It should be noted that we did not observe TF expression in large-vessel endothelial cells in any of the tissues examined from either lean or obese mice (Figure 2E,F, arrows; Figure 3). In the liver, hepatocytes did not express TF in the lean or obese mice (Figure 2G,H, arrows). However, patches of inflammatory/Kupffer cells in the obese liver appeared to express TF mRNA (Figure 2H, arrowheads).

Fig. 2.

Cellular distribution of TF mRNA in tissues from lean and obese (ob/ob) mice.

In situ hybridization was performed on sections of paraffin-embedded tissues from lean mice (A,C,E,G) and obese mice (B,D,F,H) using35S-labeled TF riboprobes, as described in “Materials and methods.” Representative sections are shown. (A,B) Lung; (C,D) heart; (E,F) aorta; (G,H) liver. Arrowheads indicate examples of positive hybridization signals, and arrows indicate the absence of a hybridization signal. Slides were exposed for 4 weeks at 4°C and stained with hematoxylin and eosin. Original magnification is × 400 for all sections.

Fig. 2.

Cellular distribution of TF mRNA in tissues from lean and obese (ob/ob) mice.

In situ hybridization was performed on sections of paraffin-embedded tissues from lean mice (A,C,E,G) and obese mice (B,D,F,H) using35S-labeled TF riboprobes, as described in “Materials and methods.” Representative sections are shown. (A,B) Lung; (C,D) heart; (E,F) aorta; (G,H) liver. Arrowheads indicate examples of positive hybridization signals, and arrows indicate the absence of a hybridization signal. Slides were exposed for 4 weeks at 4°C and stained with hematoxylin and eosin. Original magnification is × 400 for all sections.

Close modal
Fig. 3.

Cellular distribution of TF mRNA in an artery in the perinephric fat from lean and obese (ob/ob) mice.

In situ hybridization was performed on paraffin-embedded perinephric fat from lean (A) and obese (B) mice using 35S-labeled TF riboprobes, as described in “Materials and methods.” Arrowheads indicate examples of positive hybridization signals, and arrows show the absence of hybridization signal in endothelial cells. Slides were exposed for 4 weeks at 4°C and stained with hematoxylin and eosin. Original magnification is × 400 for both sections.

Fig. 3.

Cellular distribution of TF mRNA in an artery in the perinephric fat from lean and obese (ob/ob) mice.

In situ hybridization was performed on paraffin-embedded perinephric fat from lean (A) and obese (B) mice using 35S-labeled TF riboprobes, as described in “Materials and methods.” Arrowheads indicate examples of positive hybridization signals, and arrows show the absence of hybridization signal in endothelial cells. Slides were exposed for 4 weeks at 4°C and stained with hematoxylin and eosin. Original magnification is × 400 for both sections.

Close modal

Regulation of TF mRNA by insulin in vivo

Insulin is increased in the plasma of obese insulin-resistant ob/ob and db/db mice because of the compensatory hyperinsulinemia that usually accompanies insulin resistance in these models.44In previous studies, we demonstrated that intraperitoneal administration of insulin to lean or ob/ob mice increased PAI-1 expression in the plasma and adipose tissues.45 We therefore hypothesized that the elevated insulin might also induce TF gene expression in these mice. To begin to test this hypothesis, we determined the effect of exogenously administered insulin on TF gene expression in lean mice. A variety of tissues were removed 3, 6, and 24 hours after intraperitoneal administration of 10 U insulin, and total RNA was prepared and analyzed for TF mRNA by quantitative RT-PCR (Figure 4). Insulin induced TF mRNA in the kidney (2.5-fold; P < .004, n = 3), lung (3-fold;P < .02, n = 3), brain (2.5-fold;P < .05, n = 3), and adipose tissues (2-fold;P < .04, n = 3; data not shown). Insulin did not induce TF mRNA in the heart, and TF expression in the liver decreased 3-fold after insulin treatment (data not shown). In situ hybridization analysis failed to detect specific cellular signals for TF mRNA in the kidney, lung, or brain of insulin-treated lean mice (data not shown). In the lung, however, insulin increased TF mRNA in the bronchiolar epithelial cells (Figure 5B). This pattern of TF expression in the lungs from insulin-treated lean mice was similar to the pattern of expression observed in the lungs from obese mice (Figure 2B). Taken together, these results are consistent with the hypothesis that the hyperinsulinemia associated with obesity may, in part, be responsible for the local elevation of TF mRNA observed in some tissues of the obese mice.

Fig. 4.

Induction of TF mRNA expression in lean mice by insulin.

Male lean mice (C57BL/6J+/+) 6 to 8 weeks old were injected intraperitoneally with 10 U human insulin (Himulin) or saline, and various tissues were removed 3, 6, and 24 hours later. Total RNA was prepared and analyzed for TF gene expression by quantitative RT-PCR. n = 3, mean ± SD.

Fig. 4.

Induction of TF mRNA expression in lean mice by insulin.

Male lean mice (C57BL/6J+/+) 6 to 8 weeks old were injected intraperitoneally with 10 U human insulin (Himulin) or saline, and various tissues were removed 3, 6, and 24 hours later. Total RNA was prepared and analyzed for TF gene expression by quantitative RT-PCR. n = 3, mean ± SD.

Close modal
Fig. 5.

Effect of insulin on the cellular distribution of TF mRNA in the lungs of lean mice.

In situ hybridization was performed on paraffin sections from the lungs of untreated (A) and insulin-treated (Himulin, 10 U; 6 hours) (B) lean (C57BL/6J) mice. Slides were exposed for 4 weeks at 4°C and stained with hematoxylin and eosin. Arrowheads indicate positive cells. Original magnification is × 400 for both sections.

Fig. 5.

Effect of insulin on the cellular distribution of TF mRNA in the lungs of lean mice.

In situ hybridization was performed on paraffin sections from the lungs of untreated (A) and insulin-treated (Himulin, 10 U; 6 hours) (B) lean (C57BL/6J) mice. Slides were exposed for 4 weeks at 4°C and stained with hematoxylin and eosin. Arrowheads indicate positive cells. Original magnification is × 400 for both sections.

Close modal

Thrombotic episodes associated with various diseases, including atherosclerosis, septic shock, and cancer, are often correlated with increased expression of TF.17,21-23 Obese/NIDDM patients are at a higher risk for developing atherothrombotic disease,1,2 and several studies have documented abnormalities in the coagulation system in these patients, including increases in the plasma concentrations of factor VII.8Although factor VII increases in the plasma of obese individuals, little information is available about whether TF, the cellular receptor for factor VII and the primary initiator of the coagulation cascade,16-19 is also elevated. In previous studies, we demonstrated that the ob/ob mouse is a potentially useful model of human obesity because it provided novel insights into the elevation and abnormal regulation of PAI-1 gene expression in this condition.28 Moreover, when compared with lean mice, genetically obese mice have higher levels of TF gene expression in their adipose tissues.29 In the experiments described in the present study, we used the same model system (ie, ob/ob mice) as well as an additional model of murine obesity (db/db mice) to investigate whether TF gene expression in obese mice was altered in other tissues besides the fat. Because hyperinsulinemia is associated with obesity and appears to be an independent risk factor for cardiovascular disease,3 46-48 we also investigated the effects of insulin on TF activity in plasma and on TF gene expression in tissues.

Our results demonstrate that TF mRNA is elevated in several tissues of obese mice compared with their lean counterparts, including the brain, lung, kidney, heart, adipose tissue, and liver (Figure 1A,B). In situ hybridization demonstrated elevated TF expression in extravascular cells in most of these tissues (Figure 2). For example, elevated TF mRNA was observed in the bronchiolar epithelial cells of the lung, in myocytes of the heart, in adventitial cells (probably stromal fibroblasts) of blood vessels, in tubular epithelial cells of the kidney (data not shown), and in astrocytes of the brain (data not shown). The increased expression of TF mRNA in tissues from obese mice appears to result from increased synthesis by the same cells that constitutively produce it in lean mice.18,19,36,39,41,42Many studies have demonstrated the extravascular activation of the TF-dependent coagulation pathway.49-54 Thus, the increase in TF expression by extravascular cells in many tissues of the obese mice could conceivably promote a local hypercoagulable state in these tissues and thereby promote local fibrin deposition. Recent studies have demonstrated the presence of circulating and potentially active TF in the blood of healthy subjects, and this plasma TF may be involved in thrombus propagation at the site of vascular injury.24Whether elevated TF mRNA observed in tissues of obese mice in this study actually leads to elevated TF activity in the blood remains to be determined. An increase in plasma TF antigen and activity has been observed in a number of disease states, such as myocardial infarction,25 unstable angina,26 and sickle cell disease.27 Plasma TF activity also was observed in patients with diabetes mellitus, with the concentrations being significantly higher in patients with retinopathy or nephropathy than in patients with no complications.55 Finally, hypercoagulable states as a result of shedding of TF-rich microvesicles from cell surfaces have been demonstrated in cancer56 and disseminated intravascular coagulation,57,58 as well as in collagen disease, diabetic microangiopathy, and chronic renal failure.59 

Experiments were performed to identify mechanisms that may contribute to the elevated levels of TF mRNA in tissues of the obese mice. The ob/ob and db/db mice are insulin resistant and hyperinsulinemic,44 and both of these features appear to represent important risk factors for cardiovascular disease.3,46-48 This hyperinsulinemia may promote atherosclerosis by a number of mechanisms. For example, high insulin levels may stimulate mitogenic signaling pathways leading to the proliferation of vascular endothelial and smooth muscle cells.60-62 Moreover, insulin regulates lipoprotein metabolism60,63 and stimulates the synthesis of endothelin and PAI-1,28,60,64 both of which are atherogenic molecules. In this study, we therefore asked whether insulin could also induce TF expression in various tissues from lean mice. Intraperitoneal injection of 10 U regular insulin into lean mice increased plasma insulin to levels observed in obese mice.28 TF mRNA expression was increased in several tissues, including kidney, lung, brain, and adipose tissue (Figure 4). However, except in the lung, we were unable to detect insulin-mediated increases in TF mRNA in these tissues by using in situ hybridization. A possible explanation for this failure may be that in these tissues, TF mRNA is widely distributed and thus diluted below the detection threshold of the in situ technique. According to this idea, TF mRNA would still be detectable by the more sensitive PCR assay. In the lung, we observed an increase in TF in patches of bronchiolar epithelial cells (Figure 5). Induction of TF by insulin in tissues such as the kidney may create a prothrombotic milieu, thus contributing to the diabetic nephropathy and glomerulosclerosis often associated with obesity and NIDDM. In this regard, recent human studies have demonstrated that hyperinsulinemic patients have a reduced capacity to release tissue factor pathway inhibitor (TFPI), the inhibitor of factor VIIa/tissue factor complex,65 from endothelial cells in response to heparin. Thus, hyperinsulinemia appears to promote a prothrombotic state not only by increasing TF expression, but also by inhibiting the release of TFPI.

The observed changes in TF may be an epistatic effect caused by the absence of leptin (ob/ob) or leptin signaling (db/db) rather than obesity per se. However, we have observed that the amount of TF mRNA in adipose tissues of ob/ob mice,29 and in other tissues such as the brain, lung, kidney, heart, and liver (data not shown), increases as the animals become more obese with age. These observations support the hypothesis that it is obesity per se that leads to elevated TF expression in this model. Analyzing TF gene expression in other models of obesity (eg, fat/fat, tub/tub, or diet induced), in which obesity does not depend on functional leptin, will be the ultimate proof that increased TF expression is a general feature of the obese phenotype. In summary, the mechanisms that promote hemostatic imbalance in obese and diabetic conditions are obviously complex and may involve the dysregulation of several genes of the coagulation and fibrinolytic cascades. Our data clearly demonstrate that TF mRNA expression is elevated in several tissues of obese mice when compared with those from lean mice and that this expression may be regulated by insulin in some tissues. These changes in TF expression together with elevated PAI-1 levels in obesity28 may simultaneously compromise normal fibrin clearance mechanisms and lead to a procoagulant state. These observations thus raise the possibility that increased coagulation and impaired fibrinolysis may contribute to the increased cardiovascular risk associated with conditions such as obesity and NIDDM.

We thank T. Thinnes for her excellent technical assistance and Alicia Palestini for her expert secretarial skills. This is the Scripps Research Institute manuscript number 13140-VB.

Supported by grants from the National Institutes of Health (HL 47819) and Novartis Pharmaceuticals.

The publication costs of this article were defrayed in part by page charge payment. Therefore, and solely to indicate this fact, this article is hereby marked “advertisement” in accordance with 18 U.S.C. section 1734.

1
Larson
B
Obesity, fat distribution and cardiovascular disease.
Int J Obes.
15
1991
53
57
2
Björntorp
P
Abdominal fat distribution and disease: an overview of epidemiological data.
Ann Med.
24
1992
15
18
3
Juhan-Vague
I
Alessi
MC
PAI-1, obesity, insulin resistance and risk of cardiovascular events.
Thromb Haemost.
78
1997
656
660
4
Juhan-Vague
I
Alessi
MC
Vague
P
Thrombogenic and fibrinolytic factors and cardiovascular risk in non-insulin-dependent diabetes mellitus.
Ann Med.
28
1996
371
380
5
Ceriello
A
Coagulation activation in diabetes mellitus: the role of hyperglycaemia and therapeutic prospects.
Diabetologia.
36
1993
1119
1125
6
Juhan-Vague
I
Vague
P
Interrelations between carbohydrates, lipids, and the hemostatic system in relation to the risk of thrombotic and cardiovascular disease.
Am J Obstet Gynecol.
163
1990
313
315
7
Schror
K
Blood vessel wall interactions in diabetes.
Diabetes.
46
1997
115S
118S
8
Yudkin
JS
Abnormalities of coagulation and fibrinolysis in insulin resistance.
Diabetes Care.
22
1999
C25
C30
9
Meade
TW
Ruddock
V
Stirling
Y
Chakrabarti
T
Miller
GJ
Fibrinolytic activity, clotting factors and long-term incidence of ischaemic heart disease in the Northwick Park Heart Study.
Lancet.
342
1993
1076
1079
10
Chan
P
Lin
TH
Pan
WH
Lee
YH
Thrombophilia associated with obesity in ethnic Chinese.
Int J Obes Relat Metab Disord.
19
1995
756
759
11
Licata
G
Scaglione
R
Avellone
G
et al
Hemostatic function in young subjects with central obesity: relationship with left ventricular function.
Metabolism.
44
1995
1417
1421
12
Avellone
G
Di Garbo
V
Cordova
R
et al
Blood coagulation and fibrinolysis in obese NIDDM patients.
Diabetes Res.
25
1994
85
92
13
Matsuda
T
Morishita
E
Jokaji
H
et al
Mechanism on disorders of coagulation and fibrinolysis in diabetes.
Diabetes.
45
1996
S109
S110
14
Mansfield
MW
Heywood
DM
Grant
PJ
Sex differences in coagulation and fibrinolysis in white subjects with non-insulin-dependent diabetes mellitus.
Arterioscler Thromb Vasc Biol.
16
1996
160
164
15
Kario
K
Matsuo
T
Kobayashi
H
Matsuo
M
Sakata
T
Miyata
T
Activation of tissue factor-induced coagulation and endothelial cell dysfunction in non-insulin-dependent diabetic patients with microalbuminuria.
Arterioscler Thromb Vasc Biol.
15
1995
1114
1120
16
Mann
KG
van't Veer
C
Cawthern
K
Butenas
S
The role of the tissue factor pathway in initiation of coagulation.
Blood Coagul Fibrinolysis.
9
1998
S3
S7
17
Semeraro
N
Colucci
M
Tissue factor in health and disease.
Thromb Haemost.
78
1997
759
764
18
Camerer
E
Kolsto
AB
Prydz
H
Cell biology of tissue factor: the principal initiator of blood coagulation.
Thromb Res.
81
1996
1
41
19
Carmeliet
P
Collen
D
Molecules in focus—tissue factor.
Int J Biochem Cell Biol.
30
1998
661
667
20
Osterud
B
Flaegstad
T
Increased tissue thromboplastin activity in monocytes of patients with meningococcal infection related to an unfavorable prognosis.
Thromb Haemost.
49
1983
5
7
21
Tremoli
E
Camera
M
Toschi
V
Colli
S
Tissue factor in atherosclerosis.
Atherosclerosis.
144
1999
273
283
22
Wilcox
JN
Smith
KM
Schwartz
SM
Gordon
D
Localization of tissue factor in the normal vessel wall and in the atherosclerotic plaque.
Proc Natl Acad Sci U S A.
86
1989
2839
2843
23
Taubman
MB
Fallon
JT
Schecter
AD
et al
Tissue factor in the pathogenesis of atherosclerosis.
Thromb Haemost.
78
1997
200
204
24
Giesen
PLA
Rauch
U
Bohrmann
B
et al
Blood-borne tissue factor: another view of thrombosis.
Proc Natl Acad Sci U S A.
96
1999
2311
2315
25
Suefuji
H
Ogawa
H
Yasue
H
et al
Increased plasma tissue factor levels in acute myocardial infarction.
Am Heart J.
134
1997
253
259
26
Soejima
H
Ogawa
H
Yasue
H
et al
Heightened tissue factor associated with tissue factor pathway inhibitor and prognosis in patients with unstable angina.
Circulation.
99
1999
2908
2913
27
Key
NS
Slungaard
A
Dandelet
L
et al
Whole blood tissue factor procoagulant activity is elevated in patients with sickle cell disease.
Blood.
91
1998
4216
4223
28
Samad
F
Loskutoff
DJ
Tissue distribution and regulation of plasminogen activator inhibitor-1 in obese mice.
Mol Med.
2
1996
568
582
29
Samad
F
Pandey
M
Loskutoff
DJ
Tissue factor gene expression in the adipose tissues of obese mice.
Proc Natl Acad Sci U S A.
95
1998
7591
7596
30
Spiegelman
BM
Flier
JS
Adipogenesis and obesity: rounding out the big picture.
Cell.
87
1996
377
389
31
Zhang
Y
Proenca
R
Maffei
M
Barone
M
Leopold
L
Friedman
JM
Positional cloning of the mouse obese gene and its human homologue.
Nature.
372
1994
425
432
32
Samad
F
Yamamoto
K
Loskutoff
DJ
Distribution and regulation of plasminogen activator inhibitor-1 in murine adipose tissue in vivo: induction by tumor necrosis factor-α and lipopolysaccharide.
J Clin Invest.
97
1996
37
46
33
Wang
AM
Doyle
MV
Mark
DF
Quantitation of mRNA by the polymerase chain reaction.
Proc Natl Acad Sci U S A.
86
1989
9717
9721
34
Yamamoto
K
Loskutoff
DJ
Fibrin deposition in tissues from endotoxin-treated mice correlates with decreases in the expression of urokinase-type but not tissue-type plasminogen activator.
J Clin Invest.
97
1996
2440
2451
35
Vanden Heuvel
JP
Tyson
FL
Bell
DA
Construction of recombinant RNA templates for use as internal standards in quantitative RT-PCR.
Biotechniques.
14
1993
395
398
36
Mackman
N
Sawdey
MS
Keeton
MR
Loskutoff
DJ
Murine tissue factor gene expression in vivo: tissue and cell specificity and regulation by lipopolysaccharide.
Am J Pathol.
143
1993
76
84
37
Keeton
M
Eguchi
Y
Sawdey
M
Ahn
C
Loskutoff
DJ
Cellular localization of type 1 plasminogen activator inhibitor messenger RNA and protein in murine renal tissue.
Am J Pathol.
142
1993
59
70
38
Drake
TA
Morrissey
JH
Edgington
TS
Selective cellular expression of tissue factor in human tissues.
Am J Pathol.
134
1989
1087
1097
39
Edgington
TS
Mackman
N
Brand
K
Ruf
W
The structural biology of expression and function of tissue factor.
Thromb Haemost.
66
1991
67
79
40
Fleck
RA
Rao
LVM
Rapaport
SI
Varki
N
Localization of human tissue factor antigen by immunostaining with monospecific, polyclonal anti-human tissue factor antibody.
Thromb Res.
57
1990
765
781
41
Mackman
N
Regulation of the tissue factor gene.
FASEB J.
9
1995
883
889
42
Osterud
B
Bajaj
MS
Bajaj
SP
Sites of tissue factor pathway inhibitor (TFPI) and tissue factor expression under physiological and pathological conditions.
Thromb Haemost.
73
1995
873
875
43
Taubman
MB
Tissue factor regulation in vascular smooth muscle: a summary of studies performed using in vivo and in vitro models.
Am J Cardiol.
72
1993
55C
60C
44
Shafrir
E
Development and consequences of insulin resistance: lessons from animals with hyperinsulinaemia.
Diabetes Metab.
22
1996
122
131
45
Samad
F
Pandey
M
Bell
PA
Loskutoff
DJ
Insulin continues to induce plasminogen activator inhibitor 1 gene expression in insulin-resistant mice and adipocytes.
Mol Med.
6
2000
680
692
46
Shinozaki
K
Suzuki
M
Ikebuchi
M
et al
Insulin resistance associated with compensatory hyperinsulinemia as an independent risk factor for vasospastic angina.
Circulation.
92
1995
1749
1757
47
Solymoss
BC
Marcil
M
Chaour
M
Gilfix
BM
Poitras
A-M
Campeau
L
Fasting hyperinsulinism, insulin resistance syndrome, and coronary artery disease in men and women.
Am J Cardiol.
76
1995
1152
1156
48
Stout
RW
Insulin resistance, hyperinsulinemia, dyslipidemia and atherosclerosis.
Insulin Resistance.
Moller
DE
1993
355
384
Wiley
New York, NY
49
Le
DT
Borgs
P
Toneff
TW
Witte
MH
Rapaport
SI
Hemostatic factors in rabbit limb lymph: relationship to mechanisms regulating extravascular coagulation.
Am J Physiol.
274
1998
H769
H776
50
Idell
S
Extravascular coagulation and fibrin deposition in acute lung injury.
New Horiz.
2
1994
566
574
51
Okada
Y
Copeland
BR
Fitridge
R
Koziol
JA
del Zoppo
GJ
Fibrin contributes to microvascular obstructions and parenchymal changes during early focal cerebral ischemia and reperfusion.
Stroke.
25
1994
1847
1853
52
Rapaport
SI
Rao
VM
The tissue factor pathway: how it has become a “prima ballerina.”
Thromb Haemost.
74
1995
7
17
53
Weinberg
JB
Pippen
AM
Greenberg
CS
Extravascular fibrin formation and dissolution in synovial tissue of patients with osteoarthritis and rheumatoid arthritis.
Arthritis Rheum.
34
1991
996
1005
54
Almus
FE
Rao
LVM
Rapaport
SI
Regulation of factor VIIa/tissue factor functional activity in an umbilical vein model.
Arterioscler Thromb.
13
1993
105
111
55
Saito
M
Morishita
E
Asakura
H
et al
Analysis of behaviors of plasma tissue factor and tissue factor pathway inhibitor in patients with various diseases [in Japanese].
Rinsho Ketsueki.
37
1996
794
798
56
Kakkar
AK
De Ruvo
N
Chinswangwatanakul
V
Tebbutt
S
Williamson
RCN
Elevated tissue factor and factor VIIa levels indicate selective activation of the extrinsic pathway in human malignancy.
Suppl, XIVth International Congress on Thrombosis and Haemostasis (abstract 1484). Thromb Haemost.
1995
57
Lijima
K
Fukuda
C
Nakamura
K
Measurements of tissue factor-like activity in plasma of patients with DIC.
Thromb Res.
61
1991
29
38
58
Takahashi
H
Satoh
N
Wada
K
Takakuwa
E
Seki
Y
Shibata
A
Tissue factor in plasma of patients with disseminated intravascular coagulation.
Am J Hematol.
46
1994
333
337
59
Koyama
T
Nishida
K
Ohdama
S
et al
Determination of plasma tissue factor antigen and its clinical significance.
Br J Haematol.
87
1994
343
347
60
Sowers
JR
Lester
MA
Diabetes and cardiovascular disease.
Diabetes Care.
22
1999
C14
C20
61
Stout
RW
Bierman
EL
Ross
R
Effect of insulin on the proliferation of cultured primate arterial smooth muscle cells.
Circ Res.
36
1975
319
327
62
Pfeifle
B
Ditschuneit
H
Effect of insulin on growth of cultured human arterial smooth cells.
Diabetologia.
20
1981
155
158
63
Oppenhaimer
MJ
Sundquist
K
Bierman
EL
Downregulation of high density lipoprotein receptor in human fibroblasts by insulin and IGF-1.
Diabetes.
38
1989
117
122
64
Sowers
JR
Sowers
PS
Peuler
JD
Role of insulin resistance and hyperinsulinemia in development of hypertension and atherosclerosis.
J Lab Clin Med.
123
1994
647
652
65
Cella
G
Vettor
R
Sbarai
A
et al
Endothelial cell-associated tissue factor pathway inhibitor (TFPI) antigen in severe nondiabetic obese patients: effects of hyperinsulinemia.
Semin Thromb Hemost.
23
1997
129
134

Author notes

David J. Loskutoff, Department of Vascular Biology, The Scripps Research Institute, 10550 North Torrey Pines Rd, VB-3, La Jolla, CA 92037; e-mail: loskutof@scripps.edu.

Sign in via your Institution