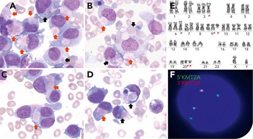
A 76-year-old man presented with fatigue and thrombocytopenia. Blood tests revealed pancytopenia. Bone marrow aspiration showed an excess of large-sized blasts, 82% of which had atypical cytoplasmic inclusions (panels A-D: red arrows, Wright-Giemsa stain, original magnification ×1000), and 22% exhibited erythrophagocytosis (panels A-D: black arrows). Immunophenotyping revealed expression of CD33, HLA-DR, CD64, CD13, CD11b, CD15, CD56, cCD79a, CD36, CD117, CD34, and CD4, while lacking CD16, CD7, CD14, CD19, myeloperoxidase, and cCD3. Cytochemistry showed the blasts were strongly positive for nonspecific esterase, considering the monocytic subtype based on morphological classification. Cytogenetic assessment demonstrated a complex karyotype: 50,XY,+3,+6,der(9)ins(9;11)(p22;q23q23),+der(9)ins(9;11)del(9)(q13q34),del(20)(q11.2q13.3),+del(20)(q11.2q13.3)[10]/46,XY[10] (panel E). Molecular studies identified a KMT2A::MLLT3 fusion, along with U2AF1 and ETV6 mutations. Fluorescence in situ hybridization also demonstrated a KMT2A rearrangement (panel F: original magnification ×1000). The patient was diagnosed with acute myeloid leukemia (AML) with a KMT2A::MLLT3 rearrangement. Induction therapy with azacitidine, venetoclax, and chidamide achieved partial remission after 1 cycle.
AML with KMT2A::MLLT3 rearrangement is inherently high risk in adults, and the concomitant U2AF1 mutation is rare and may further worsen the poor prognosis. Erythrophagocytosis by blasts is rare in AML and typically linked to specific cytogenetic abnormalities like t(8;16) or inv(8). To our knowledge, this is the first report describing blasts with atypical cytoplasmic inclusions and erythrophagocytosis in AML with ins(9;11).
For additional images, visit the ASH Image Bank, a reference and teaching tool that is continually updated with new atlas and case study images. For more information, visit https://imagebank.hematology.org.

Comments
ELN Risk Classification