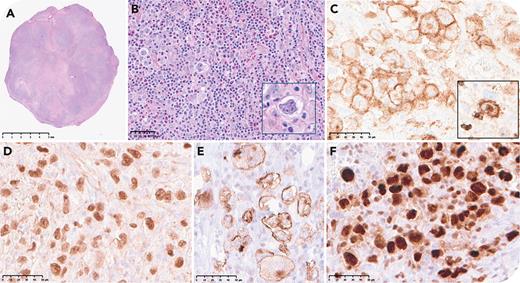
A 53-year-old woman presented with a cerebellar tumor, 2 cm in diameter. Excisional biopsy showed a fibrotic lesion (panel A, hematoxylin and eosin staining, original magnification ×12.5) containing a nodular cellular infiltrate (panel B, hematoxylin and eosin staining, original magnification ×200) composed of small lymphocytes, eosinophils, neutrophils, and histiocytes with admixed Hodgkin-Reed-Sternberg (HRS) cells exhibiting prominent nucleoli and abundant cytoplasm (inset in panel B, original magnification ×400). The adjacent cerebellar tissue was unremarkable. Immunohistochemistry showed that HRS cells were positive for CD30 (panel C, original magnification ×400) and CD15 (inset in panel C, original magnification ×400). PAX5 was weakly expressed (panel D, original magnification ×400) whereas CD20 and leukocyte common antigen were both negative. CD79a was weakly and focally expressed (not shown). The HRS cells were Epstein-Barr virus (EBV)-positive, expressing both LMP1 (panel E, original magnification ×400) and EBV-encoded small RNAs by in situ hybridization (not shown). However, EBV nuclear antigen 2 was negative, indicative of latency II, as is characteristic of classic Hodgkin lymphoma. Neoplastic cells were positive for MUM1/IRF4 (panel F, original magnification ×400). Polymerase chain reaction studies were positive for clonal rearrangement of immunoglobulin genes.
Involvement of the central nervous system by classic Hodgkin lymphoma is rare but has been reported. The histological findings resembled a nodular sclerosis subtype, but evidence of disease outside the central nervous system was not identified. The association with EBV may represent a risk of involvement in this immune-privileged site, but immune suppression or evidence of underlying immunodeficiency was not reported clinically.
For additional images, visit the ASH Image Bank, a reference and teaching tool that is continually updated with new atlas and case study images. For more information, visit https://imagebank.hematology.org.

This feature is available to Subscribers Only
Sign In or Create an Account Close Modal