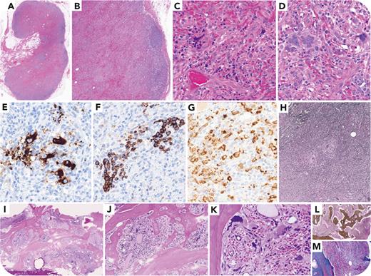
A 56-year-old woman with primary myelofibrosis (PMF) with TET2 (variant allele frequency [VAF] 61%), MPL (VAF 37%), and SRSF2 (VAF 38%) mutations in bone marrow (BM) underwent axillary lymph node (LN) excision for lymphadenopathy to exclude metastasis. The LNs showed distorted architecture with the medulla and paracortical areas replaced by atypical trilineage hematopoietic cells in a fibrovascular background, compressing the lymph node cortex (panel A, 1× lens objective; panel B, 5× lens objective; hematoxylin and eosin [H&E] stain for both panels). The scattered and clustered atypical megakaryocytes with hyperchromatic and bizarre nuclei (panel C, 20× lens objective; panel D, 40× lens objective; H&E stain for both panels) were highlighted by CD61 (panel E, 40× lens objective), in the background of fibrosis shown by reticulin (panel H, 10× lens objective), resembling the findings in BM (panel I, 2× lens objective; panel J, 10× lens objective; panel K, 40× lens objective; panel L, reticulin, 10× lens objective; panel M, trichrome, 10× lens objective; H&E stain for panels I-K). LNs also showed clusters of CD71+ erythroid precursors (panel F, 40× lens objective) and scattered myeloperoxidase-positive myeloid cells (panel G, 40× lens objective). There were no increased CD34+ blasts. CD31 highlighted increased vascularity. Next-generation sequencing on the LN revealed a similar mutational profile as in BM including TET2 (VAF 21%), MPL (VAF 18%), and SRSF2 (VAF 16%).
This case is an example demonstrating that the so-called extramedullary hematopoiesis in PMF represents the same neoplastic process as in the BM that extends to involve extramedullary organs and tissue, most likely via metastasis and implant of the clonal neoplastic hematopoietic stem or progenitor cells.
For additional images, visit the ASH Image Bank, a reference and teaching tool that is continually updated with new atlas and case study images. For more information, visit https://imagebank.hematology.org.

This feature is available to Subscribers Only
Sign In or Create an Account Close Modal