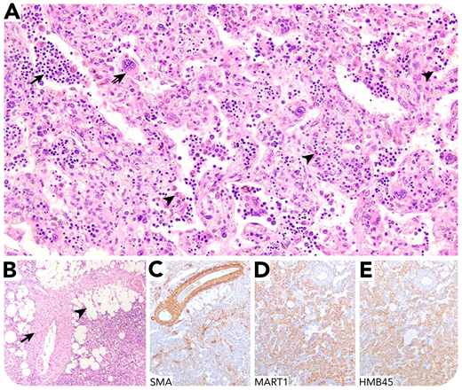
A 57-year-old man with a history of immune thrombocytopenia presented for resection of a 4.2-cm liver mass. Hematologic parameters were within normal limits. Initial pathology evaluation at another institution (panel A; hematoxylin and eosin stain; 20× objective; original magnification ×200) identified markedly numerous myeloid (arrowheads), erythroid (arrow), and megakaryocytic elements (notched arrow), prompting referral for hematopathology consultation, with a preliminary diagnosis of myeloid sarcoma. Histologic examination revealed extensive extramedullary hematopoiesis, fat globules (panel B; arrowhead; hematoxylin and eosin stain; 10× objective; original magnification ×100), and thick-walled, hyalinized blood vessels (arrow). In addition, a proliferation of epithelioid and spindled mesenchymal cells radiated from the vasculature, with coexpression of smooth muscle actin (panel C; 10× objective; original magnification ×100) and the melanocytic markers MART1 (panel D; 10× objective; original magnification ×100) and HMB45 (panel E; 10× objective; original magnification ×100). The patient was diagnosed with a hepatic angiomyolipoma (AML), and further treatment was deferred.
Hepatic AML is a rare, benign mesenchymal tumor composed of myoid cells, adipose tissue, and thickened, dysmorphic vasculature. It is often associated with florid extramedullary hematopoiesis, which may obscure the underlying tumor and may be mistaken for a myeloid neoplasm. Advancing radiologic techniques have made this diagnostic challenge increasingly common for hematologic oncologists and pathologists alike. As resection of AML is generally curative, distinguishing AML-associated, reactive hematopoiesis from hematopoietic malignancy is essential for avoiding unnecessary treatment.
A 57-year-old man with a history of immune thrombocytopenia presented for resection of a 4.2-cm liver mass. Hematologic parameters were within normal limits. Initial pathology evaluation at another institution (panel A; hematoxylin and eosin stain; 20× objective; original magnification ×200) identified markedly numerous myeloid (arrowheads), erythroid (arrow), and megakaryocytic elements (notched arrow), prompting referral for hematopathology consultation, with a preliminary diagnosis of myeloid sarcoma. Histologic examination revealed extensive extramedullary hematopoiesis, fat globules (panel B; arrowhead; hematoxylin and eosin stain; 10× objective; original magnification ×100), and thick-walled, hyalinized blood vessels (arrow). In addition, a proliferation of epithelioid and spindled mesenchymal cells radiated from the vasculature, with coexpression of smooth muscle actin (panel C; 10× objective; original magnification ×100) and the melanocytic markers MART1 (panel D; 10× objective; original magnification ×100) and HMB45 (panel E; 10× objective; original magnification ×100). The patient was diagnosed with a hepatic angiomyolipoma (AML), and further treatment was deferred.
Hepatic AML is a rare, benign mesenchymal tumor composed of myoid cells, adipose tissue, and thickened, dysmorphic vasculature. It is often associated with florid extramedullary hematopoiesis, which may obscure the underlying tumor and may be mistaken for a myeloid neoplasm. Advancing radiologic techniques have made this diagnostic challenge increasingly common for hematologic oncologists and pathologists alike. As resection of AML is generally curative, distinguishing AML-associated, reactive hematopoiesis from hematopoietic malignancy is essential for avoiding unnecessary treatment.
For additional images, visit the ASH Image Bank, a reference and teaching tool that is continually updated with new atlas and case study images. For more information, visit http://imagebank.hematology.org.

This feature is available to Subscribers Only
Sign In or Create an Account Close Modal