Key Points
GC-sparing treatment alternatives are a critical need for patients with HESs.
The orally bioactive drug dexpramipexole demonstrated clinical efficacy with an excellent safety profile in a subset of patients with HESs.
Abstract
Hypereosinophilic syndromes (HESs) are a heterogeneous group of disorders characterized by peripheral eosinophilia and eosinophil-related end organ damage. Whereas most patients respond to glucocorticoid (GC) therapy, high doses are often necessary, and side effects are common. Dexpramipexole (KNS-760704), an orally bioavailable synthetic aminobenzothiazole, showed an excellent safety profile and was coincidentally noted to significantly decrease absolute eosinophil counts (AECs) in a phase 3 trial for amyotrophic lateral sclerosis. This proof-of-concept study was designed to evaluate dexpramipexole (150 mg orally twice daily) as a GC-sparing agent in HESs. Dual primary end points were (1) the proportion of subjects with ≥50% decrease in the minimum effective GC dose (MED) to maintain AEC <1000/μL and control clinical symptoms, and (2) the MED after 12 weeks of dexpramipexole (MEDD) as a percentage of the MED at week 0. Out of 10 subjects, 40% (95% confidence interval [CI], 12%, 74%) achieved a ≥50% reduction in MED, and the MEDD/MED ratio was significantly <100% (median, 66%; 95% CI, 6%, 98%; P = .03). All adverse events were self-limited, and none led to drug discontinuation. Affected tissue biopsy samples in 2 subjects showed normalization of pathology and depletion of eosinophils on dexpramipexole. Bone marrow biopsy samples after 12 weeks of dexpramipexole showed selective absence of mature eosinophils in responders. Dexpramipexole appears promising as a GC-sparing agent without apparent toxicity in a subset of subjects with GC-responsive HESs. Although the exact mechanism of action is unknown, preliminary data suggest that dexpramipexole may affect eosinophil maturation in the bone marrow. This study was registered at www.clinicaltrials.gov as #NCT02101138.
Introduction
Hypereosinophilic syndromes (HESs) are a rare group of heterogeneous disorders characterized by marked peripheral eosinophilia (absolute eosinophil count [AEC] >1500/µL) and evidence of eosinophil-associated tissue damage. Morbidity and mortality are significant with up to 20% of unselected patients with HES developing cardiac and/or neurologic complications.1 Treatment is directed at reducing peripheral blood and tissue eosinophilia. Glucocorticoids (GC) are first-line therapy for all of the varied forms of HESs, with the exception of PDGFR mutation–positive myeloid neoplasms. Although a large proportion of patients respond initially to GC therapy,2 high doses are often necessary, and many patients become relatively treatment refractory and/or develop serious side effects.1 Second-line agents, including hydroxyurea and interferon-α, are effective in only a subset of patients and are associated with considerable toxicity. Whereas the efficacy of mepolizumab (anti-interleukin-5 [anti-IL-5] antibody) in a placebo-controlled, double-blind trial in GC-responsive HESs is encouraging,3 15% of subjects failed the primary end point and the response rate in GC-refractory patients is likely lower. As concluded by the Taskforce for the Research Needs of Eosinophil Associated Disorders, the development of less toxic, more effective agents targeting eosinophils is a priority.4
Dexpramipexole (KNS-760704) is a synthetic aminobenzothiazole developed as a potential oral treatment of amyotrophic lateral sclerosis (ALS). Despite promising results in early clinical studies, a large phase 3 trial failed to meet its primary end point.5,6 During preclinical and clinical development for ALS, a substantial unanticipated reduction in AEC was observed in the absence of associated toxicity, suggesting that dexpramipexole might be effective treatment of eosinophil-associated disorders.7 The primary objective of this study was to evaluate dexpramipexole (150 mg orally twice daily) as a GC-sparing agent in HESs. The secondary objectives were (1) to evaluate the safety of dexpramipexole in patients with HESs and (2) to assess the effects of dexpramipexole on blood and bone marrow eosinophilia.
Methods
Study participants
An investigator-initiated, intention-to-treat, nonrandomized, proof-of-principle study was conducted to evaluate dexpramipexole as a GC-lowering agent in subjects with GC-responsive HESs. The study protocol (available in the supplemental Appendix, available on the Blood Web site) was approved by the National Institute of Allergy and Infectious Diseases institutional review board, and study progress was monitored by a safety monitoring committee (SMC). Written informed consent was obtained from all patients. Dexpramipexole was provided free of charge by Knopp Biosciences, which contributed to study design, data analysis and manuscript editing. Adult subjects with a history of documented HES and stable disease on their current GC dose (≥10 mg prednisone or equivalent daily) were selected for this study. A broad definition of HES (AEC ≥1500/µL with eosinophil-associated clinical manifestations and no evidence of secondary eosinophilia for which appropriate therapy is directed at the underlying etiology) was used to capture the full spectrum of hypereosinophilic conditions, including HES with single organ involvement.8 Subjects with imatinib-sensitive mutations, including FIP1L1-PDGFRA, were excluded, even if they were resistant to or intolerant of imatinib, since alternative agents targeting these mutations are available and would be the preferred treatment. Because reduction in AEC by dexpramipexole required several months in prior trials and dexpramipexole was of unknown benefit in patients with HESs, subjects with life-threatening or clinically worsening disease were excluded. Full inclusion and exclusion criteria are provided in the supplemental Appendix (supplemental Tables 1 and 2).
Intervention
Eligible subjects with AEC <1000/µL on GC therapy were started on a standardized GC taper to determine the minimum effective GC dose (MED) that maintained the AEC below 1000/µL and suppressed HES symptoms. The GC dose was tapered by 5 mg weekly until 15 mg daily and then by 2.5 mg weekly. The decision to decrease to the next lower dose was based on the AEC and the presence or absence of HES symptoms. If the AEC rose to ≥1000/µL or HES symptoms developed during the taper, then prednisone (or equivalent) was increased to the previous dose. If the AEC continued to climb or symptoms persisted despite a dose increase, the GC dose was increased further or the subject was withdrawn from the study. Subjects with an MED ≥10 mg of prednisone (or equivalent) daily were started on dexpramipexole (150 mg orally twice daily) for 12 weeks. Subjects for whom the MED was determined within the past year or with AEC ≥1000/µL but stable symptoms at the time of enrollment were eligible to proceed directly to dexpramipexole treatment at the discretion of the principal investigator. During the first 12 weeks of dexpramipexole therapy, GC dose was held constant. After the 12-week period, a second GC taper was initiated to determine the MED on dexpramipexole (MEDD). The study design is shown in Figure 1A. Subjects who met the first primary end point (MEDD: MED ≤50%) or had clinical or laboratory evidence of a partial response were eligible to continue on dexpramipexole with monthly safety monitoring for 6 months and every 3 months thereafter. A safety assessment visit was also conducted 4 weeks after discontinuation of dexpramipexole. AEs were recorded and scored according to the Common Terminology Criteria for Adverse Events v 4.0 and assessed for causality by the principal investigator.
Trial design, subject enrollment, and disposition. (A) Study design. (B) Subject enrollment. Prednisone taper (GC1 and GC2). The dose of prednisone (or equivalent) was adjusted at weekly clinic visits according to the blood AEC and clinical signs and symptoms. GC dose was tapered by 5 mg weekly until 15 mg daily and then by 2.5 mg weekly. The decision to decrease to the next lower dose was based on the AEC and presence or absence of HES symptoms. If the AEC rose to ≥1000/µL or HES symptoms were present, then prednisone (or equivalent) was increased to the previous dose. If a subject’s AEC continued to climb or symptoms persisted despite a dose increase, then the GC dose was increased further or the subject was withdrawn from the study at the investigator’s discretion.
Trial design, subject enrollment, and disposition. (A) Study design. (B) Subject enrollment. Prednisone taper (GC1 and GC2). The dose of prednisone (or equivalent) was adjusted at weekly clinic visits according to the blood AEC and clinical signs and symptoms. GC dose was tapered by 5 mg weekly until 15 mg daily and then by 2.5 mg weekly. The decision to decrease to the next lower dose was based on the AEC and presence or absence of HES symptoms. If the AEC rose to ≥1000/µL or HES symptoms were present, then prednisone (or equivalent) was increased to the previous dose. If a subject’s AEC continued to climb or symptoms persisted despite a dose increase, then the GC dose was increased further or the subject was withdrawn from the study at the investigator’s discretion.
End points
The dual primary end points for a subject were (1) a binary response indicating whether or not the MEDD was <50% of the MED (responder analysis) and (2) the MEDD as a percentage of the MED. Secondary end points included (1) reduction in AEC after 12 weeks of dexpramipexole (prior to GC taper), (2) reduction in bone marrow eosinophils and their precursors after 12 weeks of dexpramipexole (prior to GC taper), (3) the number of subjects with MEDD <10 mg prednisone (or equivalent) daily, and (4) frequency and severity of adverse events (AEs). Exploratory end points assessed the effects of dexpramipexole on tissue eosinophilia in different biopsy specimens, on eosinophil activation and other potential biomarkers of disease activity, and on other hematopoietic cells, including basophils and mast cells. Detailed methods describing flow cytometric and other analyses are provided in the supplemental Appendix.
Statistical analysis
There were 2 predetermined primary end points. Both end points used the ratio R = MEDD/MED. The first primary end point used a binary success, where a subject was a success if R ≤ 0.50. The sample proportion of successes was reported with exact central 95% confidence intervals (CIs) on the true proportion. The second primary end point was the log (R), which is symmetric about 0 when there is no difference between the distributions of MED and MEDD. Because some subjects had complete responses (ie, R = 0), the distribution of log(R) is highly skewed and irregular, so we use a conservative (preplanned) exact Wilcoxon signed-rank test to test the null that there is no systematic change from baseline. Complete responses are analyzed as 1% responses, and the exact confidence intervals on the median were calculated by inverting the Wilcoxon signed-rank test. Details are given in the supplemental Methods. Calculations were done in R (version 3.4.2) using the wsrTest function in the asht R package (version 0.9.3).
Results
Study enrollment and participant characteristics
Of the 16 subjects with PDGFRA-negative HES screened, 14 were eligible for study participation (Figure 1B). Eight subjects with AEC <1000/µL underwent a GC taper to determine their MED, of which 4 were withdrawn from the study prior to receiving dexpramipexole due to GC requirement <10 mg prednisone (n = 2), loss of disease control (n = 1), or inability to taper GC unrelated to HES (n = 1). The remaining 4 subjects who successfully tapered and 6 subjects with stable disease and AEC ≥1000/µL on ≥ 10 mg prednisone (or equivalent) daily were enrolled on the dexpramipexole treatment portion of the study (Figure 1B).
The baseline characteristics of study participants, including age, sex, HES variant, AEC, and MED, are provided in Table 1. Additional data, including AEC at disease diagnosis, peak AEC, previous HES therapies, median GC dose, range and duration of GC therapy prior to study enrollment, and serum immunoglobulin E, B12, and tryptase levels are detailed in supplemental Table 3.
Demographics, characteristics, and responses of enrolled subjects
| Subject ID . | Age/sex . | HES variant . | Organ involvement . | Enrollment* . | Baseline AEC on MED, cells/µL† . | MED‡ . | Final AEC at assessment of response visit,§ cells/µL† . | MEDD‡ . | Response . |
|---|---|---|---|---|---|---|---|---|---|
| 2 | 46/F | IHES | Skin, soft tissue | GC1 | 700 | 25 | 990 | 40 | NR |
| 4 | 54/M | EGPA overlap‖ | Lung, sinus | GC1 | 660 | 12.5 | 1000 | 12.5 | NR |
| 5 | 35/F | EGPA overlap | Lung, sinus, GI (esophagus, stomach, duodenum, skin) | Direct | 550 | 13.5 | 0 | 0 | R |
| 7 | 71/M | IHES | Cardiac | Direct | 280 | 20 | 0 | 0 | R |
| 8 | 51/M | EGPA Overlap | Lung | GC1 | 850 | 25 | 1790 | 15 | NR |
| 9 | 50/F | LHES | GI (colon), skin | Direct | 2540 | 15 | 1950 | 15 | NR |
| 10 | 72/F | EGPA Overlap | Lung, sinus, cardiac, skin | Direct | 390 | 17.5 | 270 | 12.5¶ | DR |
| 12 | 22/M | IHES | Lung | Direct | 930 | 20 | 1140 | 15¶ | DR |
| 14 | 38/M | EGID overlap# | GI (stomach, duodenum, and colon) | Direct | 670 | 15 | 940 | 6 | R |
| 15 | 64/M | LHES | Skin, GI, (esophagus, stomach, duodenum, and colon), bladder | GC1 | 630 | 20 | 0 | 0 | R |
| Subject ID . | Age/sex . | HES variant . | Organ involvement . | Enrollment* . | Baseline AEC on MED, cells/µL† . | MED‡ . | Final AEC at assessment of response visit,§ cells/µL† . | MEDD‡ . | Response . |
|---|---|---|---|---|---|---|---|---|---|
| 2 | 46/F | IHES | Skin, soft tissue | GC1 | 700 | 25 | 990 | 40 | NR |
| 4 | 54/M | EGPA overlap‖ | Lung, sinus | GC1 | 660 | 12.5 | 1000 | 12.5 | NR |
| 5 | 35/F | EGPA overlap | Lung, sinus, GI (esophagus, stomach, duodenum, skin) | Direct | 550 | 13.5 | 0 | 0 | R |
| 7 | 71/M | IHES | Cardiac | Direct | 280 | 20 | 0 | 0 | R |
| 8 | 51/M | EGPA Overlap | Lung | GC1 | 850 | 25 | 1790 | 15 | NR |
| 9 | 50/F | LHES | GI (colon), skin | Direct | 2540 | 15 | 1950 | 15 | NR |
| 10 | 72/F | EGPA Overlap | Lung, sinus, cardiac, skin | Direct | 390 | 17.5 | 270 | 12.5¶ | DR |
| 12 | 22/M | IHES | Lung | Direct | 930 | 20 | 1140 | 15¶ | DR |
| 14 | 38/M | EGID overlap# | GI (stomach, duodenum, and colon) | Direct | 670 | 15 | 940 | 6 | R |
| 15 | 64/M | LHES | Skin, GI, (esophagus, stomach, duodenum, and colon), bladder | GC1 | 630 | 20 | 0 | 0 | R |
DR, delayed responder; EGID, eosinophilic gastrointestinal disorder; EGPA, eosinophilic granulomatosis with polyangiitis; F, female; GI, gastrointestinal; IHES, idiopathic HES; LHES, lymphocytic variant HES; M, male; NR, nonresponder; R, responder.
Direct enrollees had evidence of persistent HES despite prednisone ≥10 mg daily (AEC >1500 cells/µL) (subject 9) or had undergone a GC taper within the 6 months prior to enrollment demonstrating inability to taper below prednisone 10 mg daily (subjects 5, 7, 10, 12, and 14).
Normal range, 40 to 540 cells/µL.
Milligrams of prednisone equivalent.
If dexpramipexole was discontinued before the predetermined end-of-study visit, then date of drug discontinuation was used.
Defined as anti-neutrophil cytoplasmic antibody–negative HES with clinical features of eosinophilic granulomatosis with polyangiitis and no histologic evidence of vasculitis.
Even though the 2 delayed responders’ (subjects 10 and 12) MEDD was not <50% of MED at the end-of-study visit, their lowest steroid dose was 29% and 37.5% of MED at months 10 and 8.5, respectively.
Defined as single organ HES with biopsy-proven eosinophilic involvement of the gastrointestinal tract and history of AEC>1500 cells/µL.
Efficacy
The study met both primary end points. Four out of 10 subjects (40%; 95% CI, 12%, 75%) demonstrated a successful clinical response with MEDD <50% of MED, and the median ratio of MEDD/MED was significantly <100% (median, 66%; 95% CI, 6%, 98%; P = .03).
Figure 2 provides the individual subject data for AEC change, GC taper, and drug administration over 12 months. Three of the 4 responders showed a decline in AEC to ≤10/µL within 8 weeks of dexpramipexole initiation (Figure 2A). These 3 subjects were able to discontinue GC by the “primary end point” visit without recurrence of signs or symptoms of HES. After a median of 29 months on dexpramipexole (range, 15 to 33), all 3 subjects remain asymptomatic with AEC 0/µL on dexpramipexole monotherapy. The fourth responder (subject 14) was able to taper his GC dose on dexpramipexole to 40% of MED with an AEC of 940/µL, meeting the primary response criteria. At 12 months, his GC requirement increased to 50% of MED with an AEC of 1300/µL, despite stable symptoms.
Individual subject responses to dexpramipexole. (A-C) AEC (left axis, black line) and percentage baseline GC dose (right axis, gray shading) are shown for individual subjects over the first 12 months of the study grouped by responders (A), nonresponders (B), and delayed responders (C). The dotted vertical line indicates the primary study end point. Dexpramipexole administration is indicated by the horizontal line/arrow above the graph.
Individual subject responses to dexpramipexole. (A-C) AEC (left axis, black line) and percentage baseline GC dose (right axis, gray shading) are shown for individual subjects over the first 12 months of the study grouped by responders (A), nonresponders (B), and delayed responders (C). The dotted vertical line indicates the primary study end point. Dexpramipexole administration is indicated by the horizontal line/arrow above the graph.
The remaining 6 subjects (60%) failed to achieve MEDD <50% of MED. Four had symptom recurrences during the GC taper and/or increasing AEC while on dexpramipexole (Figure 2B). These subjects were unable to decrease their GC dose (subjects 4, 2, and 9) and/or required additional therapy for AEC and symptom control (subjects 4 and 8) and were classified as nonresponders. The remaining 2 subjects (subjects 10 and 12) were eligible to continue dexpramipexole due to subjective improvement in clinical symptoms and MEDD <100% of MED at baseline (Figure 2C). Both subjects subsequently achieved MEDD <50% of MED (at 3 and 2.2 months after the primary end point assessment, respectively) and are classified as delayed responders. Subject 10 was able to decrease her GC dose to 29% of MED with AEC 0/µL by month 10. She continues to experience clinical improvement, with AEC ranging from 0/µL to 670/µL on dexpramipexole and a decreased GC dose for 23 months. Although subject 12 also experienced clinical improvement and intermittent reduction of his AEC to ≤100/µL (despite GC taper at month 9), he was intermittently noncompliant as evidenced by pill count and serum drug levels (supplemental Figure 4) and was taken off the study after 13 months. Individual case summaries are provided for selected subjects in the supplemental Appendix.
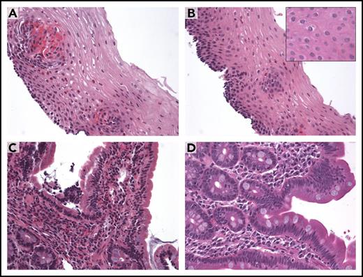
Three responders underwent biopsies of affected tissues before and/or on dexpramipexole treatment. Tissue eosinophilia in pretreatment esophageal and duodenal biopsy specimens (subject 5) was notably absent at week 24 on dexpramipexole alone (Figure 3) concomitant with subjective improvement in gastrointestinal symptoms. Similarly, tissue eosinophilia present in the stomach (>20/hpf), duodenum (>50/hpf), and colon (>50/hpf) at the time of dexpramipexole initiation had resolved in these tissues in subject #14 at week 14 (on dexpramipexole with no change baseline GC dose). A post-treatment skin biopsy obtained from subject 15 for evaluation of a pruritic rash (one of his presenting HES symptoms), demonstrated a total absence of eosinophils and eosinophil granule protein deposition (data not shown) despite inflammatory changes in the epidermis (supplemental Figure 1).
Histologic evidence of resolved eosinophilic esophagitis and duodenitis after dexpramipexole treatment. (A-D) Representative photomicrographs of the proximal esophagus (A-B) and duodenum (C-D), before treatment and at week 20 on dexpramipexole. (A) Squamous mucosa with active esophagitis and increased eosinophils (up to 20 per high-power field). (C) Duodenal mucosa with focally increased numbers of eosinophils (up to 100 per high-power field) and mild duodenitis. (B,D) At week 20 (on dexpramipexole), the squamous esophageal mucosa and the duodenal specimen demonstrate absence of eosinophilic infiltrates and normalization of tissue architecture. Esophageal mucosa at original magnification ×40 (B, inset) also shows lack of eosinophilic infiltrates. Images were acquired with a Nikon Eclipse 50i microscope equipped with an Olympus DP71 camera and software. Final image preparation was performed with Adobe Photoshop CS3 extended Version 10.0.1. Original magnifications: panel A, ×20/0.2 numerical aperture (NA); panel B, ×20/0.95 NA (inset, ×40); panel C, ×40/0.45 NA; panel D, ×40/1.40 NA. All panels, hematoxylin and eosin stain.
Histologic evidence of resolved eosinophilic esophagitis and duodenitis after dexpramipexole treatment. (A-D) Representative photomicrographs of the proximal esophagus (A-B) and duodenum (C-D), before treatment and at week 20 on dexpramipexole. (A) Squamous mucosa with active esophagitis and increased eosinophils (up to 20 per high-power field). (C) Duodenal mucosa with focally increased numbers of eosinophils (up to 100 per high-power field) and mild duodenitis. (B,D) At week 20 (on dexpramipexole), the squamous esophageal mucosa and the duodenal specimen demonstrate absence of eosinophilic infiltrates and normalization of tissue architecture. Esophageal mucosa at original magnification ×40 (B, inset) also shows lack of eosinophilic infiltrates. Images were acquired with a Nikon Eclipse 50i microscope equipped with an Olympus DP71 camera and software. Final image preparation was performed with Adobe Photoshop CS3 extended Version 10.0.1. Original magnifications: panel A, ×20/0.2 numerical aperture (NA); panel B, ×20/0.95 NA (inset, ×40); panel C, ×40/0.45 NA; panel D, ×40/1.40 NA. All panels, hematoxylin and eosin stain.
Safety
Dexpramipexole was well tolerated, with only 1 serious AE determined to be possibly related to dexpramipexole (a grade 1 squamous cell cancer of the skin in subject 7, which was excised) and no AEs leading to drug interruption or discontinuation. AEs that were possibly, probably, or definitely related to study drug are listed in Table 2. Other AEs unrelated to study drug, possibly related to primary disease, or due to chronic steroid use are listed in supplemental Table 4. No deaths occurred on study.
AEs and severe AEs
| Events . | n . | Grade . | Subject(s) . |
|---|---|---|---|
| AEs* | |||
| Dizziness | 3 | 1 | 2, 8, 14 |
| Dry mouth | 1 | 1 | 2 |
| Edema, localized | 1 | 2 | 2 |
| Headache | 1 | 2 | 5 |
| Insomnia | 4 | 2 | 5, 9, 14, 15 |
| Mood swings | 2 | 2, 1 | 5, 9 |
| Myalgia | 1 | 1 | 5 |
| Nausea | 1 | 2 | 2 |
| Palpitations | 2 | 1 | 5, 14 |
| Proteinuria | 1 | 1 | 8 |
| Rash | 2 | 1, 2 | 2, 15 |
| Severe AEs | |||
| Squamous cell carcinoma of the skin | 1 | 1 | 7 |
| Events . | n . | Grade . | Subject(s) . |
|---|---|---|---|
| AEs* | |||
| Dizziness | 3 | 1 | 2, 8, 14 |
| Dry mouth | 1 | 1 | 2 |
| Edema, localized | 1 | 2 | 2 |
| Headache | 1 | 2 | 5 |
| Insomnia | 4 | 2 | 5, 9, 14, 15 |
| Mood swings | 2 | 2, 1 | 5, 9 |
| Myalgia | 1 | 1 | 5 |
| Nausea | 1 | 2 | 2 |
| Palpitations | 2 | 1 | 5, 14 |
| Proteinuria | 1 | 1 | 8 |
| Rash | 2 | 1, 2 | 2, 15 |
| Severe AEs | |||
| Squamous cell carcinoma of the skin | 1 | 1 | 7 |
All AEs assessed as possibly, probably, or definitely related to study drug are recorded here. These AEs were self-limited, and none led to drug discontinuation. Other AEs are listed in supplemental Table 2.
All responders (4 out of 4) and 50% of the nonresponders (3 out of 6) reported at least 1 AE. Central and/or peripheral nervous system–related symptoms were reported, insomnia (40%) and dizziness (30%) being the most common. Mood swings, palpitations, and skin rash were noted in 20% of participants. Neutropenia, a protocol-specified event due to the occurrence of transient neutropenia in 6% of subjects in the phase 3 trial in ALS, was not observed. In fact, peripheral blood counts other than the AEC (and absolute basophil count) were unchanged during 12 weeks of dexpramipexole treatment, were similar between responders and nonresponders (supplemental Figure 2), and have remained in the normal range in all subjects for the duration of the trial (data not shown).
Mechanism of action
Dexpramipexole treatment resulted in decreased eosinophils in the bone marrow aspirate and biopsy smears of all 4 responders compared with 2 out of 6 nonresponders (Figure 4A-E; P = .07). The residual eosinophilic elements in responders were markedly left-shifted by morphological evaluation, consisting mostly of early eosinophilic precursors (eosinophilic promyelocytes), suggesting maturational arrest in bone marrow eosinophilopoiesis. Surface expression of the late eosinophilic markers Siglec-89 and EMR-110 also decreased substantially on bone marrow eosinophils from 3 out of 4 responders as compared with 1 out of 6 and 2 out of 6 nonresponders, respectively, after 12 weeks on study drug (Figure 5). The surface expression of IL-5Rα,11,12 a marker expressed on all maturing eosinophils, showed no consistent pattern in either group. With the exception of basophils, which were also decreased in number in responders at week 12, other cell lineages in the bone marrow, including mast cells and CD34+ progenitor cells, were unaffected by dexpramipexole (Figure 4A,F-I; supplemental Figure 2).
Bone marrow cellular composition at baseline and 12 weeks after treatment with dexpramipexole. (A) Eosinophils, mast cells, CD34+ cells, and eosinophil precursors in the 4 responders and 6 delayed or nonresponders at baseline (predrug) and again at week 12 (on dexpramipexole). (B-I) Bone marrow aspirate and biopsy specimens in a responder (subject 15) at baseline and again at 12 weeks on dexpramipexole. Pretreatment bone marrow aspirate (B; Wright-Giemsa staining) and biopsy (D; hematoxylin and eosin staining) show increased eosinophils. Week 12 (on dexpramipexole) counterparts (C,E) demonstrate absence of eosinophils. Rare eosinophilic promyelocytes were noted after treatment (E, inset). The number of tryptase-positive mast cells (F-G) and CD34+ precursors (H-I) in the biopsy specimens did not to change with treatment. Original magnification ×500 for panels B-E; magnification ×200 for panels F-I. Cell enumeration and flow cytometric assay details are included in supplemental Methods. BM, bone marrow; W, week.
Bone marrow cellular composition at baseline and 12 weeks after treatment with dexpramipexole. (A) Eosinophils, mast cells, CD34+ cells, and eosinophil precursors in the 4 responders and 6 delayed or nonresponders at baseline (predrug) and again at week 12 (on dexpramipexole). (B-I) Bone marrow aspirate and biopsy specimens in a responder (subject 15) at baseline and again at 12 weeks on dexpramipexole. Pretreatment bone marrow aspirate (B; Wright-Giemsa staining) and biopsy (D; hematoxylin and eosin staining) show increased eosinophils. Week 12 (on dexpramipexole) counterparts (C,E) demonstrate absence of eosinophils. Rare eosinophilic promyelocytes were noted after treatment (E, inset). The number of tryptase-positive mast cells (F-G) and CD34+ precursors (H-I) in the biopsy specimens did not to change with treatment. Original magnification ×500 for panels B-E; magnification ×200 for panels F-I. Cell enumeration and flow cytometric assay details are included in supplemental Methods. BM, bone marrow; W, week.
Eosinophilic surface marker expression in the bone marrow. Panels show expression (by flow cytometric analysis) of Siglec-8, IL-5Rα, and/or EMR1 on bone marrow eosinophils before and after drug treatment. Siglec-8 and EMR1 expression was lower in 3 out of 4 responders at week 12 (on dexpramipexole), whereas IL-5Rα expression showed no consistent pattern. In nonresponders, none of the 3 parameters showed a consistent pattern at week 12 on dexpramipexole. EOS, eosinophils; MFI, mean fluorescence intensity; W, week.
Eosinophilic surface marker expression in the bone marrow. Panels show expression (by flow cytometric analysis) of Siglec-8, IL-5Rα, and/or EMR1 on bone marrow eosinophils before and after drug treatment. Siglec-8 and EMR1 expression was lower in 3 out of 4 responders at week 12 (on dexpramipexole), whereas IL-5Rα expression showed no consistent pattern. In nonresponders, none of the 3 parameters showed a consistent pattern at week 12 on dexpramipexole. EOS, eosinophils; MFI, mean fluorescence intensity; W, week.
Serum drug concentration did not predict response (supplemental Figure 3). Serum drug levels measured at weeks 0, 4, 8, and 12 on dexpramipexole were similar in responders and nonresponders, with the exception of subject 12, who had low drug levels for the first 8 weeks of dexpramipexole treatment due to noncompliance.
Cytokine levels were measured by multiplex immunoassay on serum samples obtained monthly during the first 12 weeks of therapy. Although none of the serum cytokine levels measured appeared to be affected by dexpramipexole treatment (data not shown), baseline levels of some cytokines, including interferon γ, tumor necrosis factor α, and IL-17, were slightly higher in nonresponders than in responders (P < .05; supplemental Figure 4). Serum IgE, B12, and tryptase levels did not change significantly with treatment in either responders or nonresponders.
Discussion
The economics and logistics of new drug development present significant challenges to therapeutic advancement, particularly for rare diseases. Pharmaceutical development costs in the United States range between 2 and 3 billion dollars with up to 90% failures at various phases prior to market approval. For approved agents, time frames from development to routine clinical use range from 13 to 15 years.13 In 2016, the Therapeutics for Rare and Neglected Diseases program under the National Center for Advancing Translational Sciences identified <250 treatments available for more than 6,500 rare and neglected diseases (https://ncats.nih.gov/trnd). With the efficiency of research and development of new drugs in the United States halving approximately every 9 years (Eroom’s law), the unmet medical gap for management of these rare disorders continues to widen.14
Drug repositioning represents an economically viable path to develop new pharmaceuticals for rare diseases, including HESs. Expert opinion at the National Center for Advancing Translational Sciences suggests that >75% of the 3000 or so drugs abandoned in development or stalled in later phase clinical trials can undergo repositioning.15 In this proof-of-concept study, dexpramipexole demonstrated efficacy as a repositioned, orally active GC-sparing drug with a highly favorable safety profile in a subset of PDGFRA-negative HES patients requiring moderate- to high-dose GC for disease control. In fact, 3 of the 4 responders who met the primary end point remain asymptomatic with an AEC of 0/μL on dexpramipexole monotherapy for 13 to 32 months. Bone marrow biopsies performed at week 12 (on dexpramipexole) showed decreased eosinophilia in all responders. Although other tissue biopsies were only performed in 3 responders, these showed depletion of tissue eosinophils on dexpramipexole and, in the case of the gastrointestinal tract, reversal of other pathologic changes.
Equally important, dexpramipexole was well tolerated. AEs were mild and did not lead to drug discontinuation in any of the subjects. Dexpramipexole was also well tolerated in the phase 3 trial in ALS, although laboratory-defined neutropenia developed in 29 (6%) participants (compared with 2% of the placebo group).7 Seventy-nine percent of subjects who developed neutropenia were also receiving riluzole, which has a label warning for severe neutropenia.6 Neutropenia was not observed in the current trial, although the small number of subjects preclude definitive conclusions. Although several patients experienced insomnia, palpitations, dizziness and/or mood changes, these were transient and resolved spontaneously despite continuation of dexpramipexole treatment. Insomnia and dizziness were also reported in the ALS trial but were equally common in subjects receiving drug and placebo.
Recent data suggest that clinical subtype is an important predictor of response to varied therapies, including GC2 and imatinib.16 Although the GC-sparing effect of mepolizumab was comparable in GC-responsive subjects with LHES and those without evidence of aberrant T cells, significantly fewer LHES subjects maintained an AEC <600/μL, suggesting that the high levels of IL-5 produced by T cells in these patients were incompletely neutralized.17 The efficacy of mepolizumab in GC-resistant subjects is unknown. While our study was not powered to detect differential responses across the various HES subtypes, it is important to note that complete and sustained eosinophil reduction in responders was not confined to a particular disease subtype. Similarly, neither MED nor peak AEC appeared predictive of response. Of note, both subjects who had previously failed >2 agents were also nonresponders to dexpramipexole. Whether dose escalation would increase efficacy rates remains to be explored.
As previously reported in ALS,6 the eosinophil-lowering effect of dexpramipexole was time dependent, with decreases in AEC to ≤100/μL observed after 1 to 6 months in complete and partial responders. This observation, together with the absence of effects on other lineages, demonstration of increases in eosinophil precursors (but not other myeloid precursors), and decreases in surface expression of maturation markers on eosinophils10-12 in the bone marrow of dexpramipexole responders suggest that the primary mechanism of eosinophil lowering by dexpramipexole is induction of maturational arrest specifically in the eosinophil lineage and support the concept of divergence of the committed eosinophilic precursor from the common myeloid progenitor early in hematopoietic differentiation.18 The mechanism by which dexpramipexole induces maturational arrest is unknown.
Based on the slow onset of eosinophil lowering, dexpramipexole does not appear to be directly toxic to eosinophils. Moreover, serum levels of IL-512 and IL-33,19 cytokines known to play an important role in regulating eosinophil commitment and homeostasis, were not altered by dexpramipexole or significantly different between responders and nonresponders in our study. These findings suggest that dexpramipexole lowers eosinophils indirectly, possibly through effects on other cells in the bone marrow niche, such as mesenchymal stromal cells or fibroblasts, which originate from the neural crest,20,21 or cells of the sympathetic nervous system, which promote stem cell mobilization and differentiation via osteoid progenitors. In this regard, it is interesting to note that dexpramipexole has demonstrated neuroprotective properties in preclinical studies.22
In conclusion, our proof-of-principle study represents confirmation of a serendipitous discovery and demonstrates the potential for successful repurposing of dexpramipexole for treatment of a rare disease (HESs) with unmet pharmaceutical needs. Dexpramipexole effectively eliminated peripheral blood and tissue eosinophils and improved symptoms in a subset of subjects with PDGFRA-negative HESs. Well tolerated and with a dosing schedule convenient for routine outpatient treatment, dexpramipexole shows great promise as a novel oral therapy for HESs. A planned multicenter, randomized, placebo-controlled phase 3 trial of dexpramipexole in HESs will provide additional data to further assess long-term safety and efficacy in HESs and potential mechanism/s of eosinophil lowering.
The online version of this article contains a data supplement.
The publication costs of this article were defrayed in part by page charge payment. Therefore, and solely to indicate this fact, this article is hereby marked “advertisement” in accordance with 18 USC section 1734.
Acknowledgments
The authors thank Tamika Magee for her invaluable assistance in the early stages of this trial; the staff of the Clinical Center, without whom this study would not have been possible; and Stefania Pittaluga and Chyi-chia Lee for providing the pictures of the gastrointestinal biopsies and skin biopsy, respectively.
This study was funded in part by the Division of Intramural Research, National Institute of Allergy and Infectious Diseases, National Institutes of Health; National Heart, Lung, and Blood Institute, National Institutes of Health; and Knopp Bioscience through Cooperative Research and Development Agreement 2013-0695.
Authorship
Contribution: S.R.P., M.E.B., C.P., M.S., G.T.H., C.E.D., S.I.D., I.M., and A.D.K. designed and implemented the study; S.R.P., C.P., I.M., and A.D.K. wrote the manuscript; T.B., L.W., J.W., and P.K. coordinated and participated in patient care; M.M. and X.S. performed laboratory experiments on patient samples; and D.G.A. and M.P.F. designed and performed statistical analysis.
Conflict-of-interest disclosure: D.G.A., M.E.B., C.P., M.S., G.T.H., and S.I.D. are Knopp Bioscience employees and have an equity interest in Knopp. M.E.B. and S.I.D. are inventors named on patents involving dexpramipexole. The remaining authors declare no competing financial interests.
Correspondence: Amy D. Klion, Building 4, Room B1-28, National Institutes of Health, 4 Memorial Dr, Bethesda, MD 20892; e-mail: aklion@niaid.nih.gov.






This feature is available to Subscribers Only
Sign In or Create an Account Close Modal