• The association of both Langerhans cell histiocytosis and Erdheim-Chester disease is not exceptional.

  • This association is linked to BRAFV600E mutation.

Histiocytoses are a group of heterogeneous diseases that mostly comprise Langerhans cell histiocytosis (LCH) and non-LCH. The association of LCH with non-LCH is exceptional. We report 23 patients with biopsy-proven LCH associated with Erdheim-Chester disease (ECD) (mixed histiocytosis) and discuss the significance of this association. We compare the clinical phenotypes of these patients with those of 56 patients with isolated LCH and 53 patients with isolated ECD. The average age at diagnosis was 43 years. ECD followed (n = 12) or was diagnosed simultaneously with (n = 11) but never preceded LCH. Although heterogeneous, the phenotype of patients with mixed histiocytosis was closer to that of isolated ECD than to that of isolated LCH (principal component analysis). LCH and ECD improved in response to interferon alpha-2a treatment in only 50% of patients (8 of 16). We found the BRAFV600E mutation in 11 (69%) of 16 LCH lesions and in 9 (82%) of 11 ECD lesions. Eight patients had mutations in both ECD and LCH biopsies. Our findings indicate that the association of LCH and ECD is not fortuitous and suggest a link between these diseases involving the BRAFV600E mutation.

Histiocytoses are a group of heterogeneous and rare diseases of unknown cause.1-4  They can be classified as either Langerhans cell histiocytosis (LCH) or non-LCHs, depending on the type of cells infiltrating the tissues.3-7  The cells involved are either dendritic cells or macrophages, and they can be characterized by immunohistochemical methods with CD1a and PS100 antibodies.3,7  In LCH, tissues are infiltrated by CD1a+CD68low histiocytes. Non-LCHs form a distinct group of rare diseases, including Rosai-Dorfman disease6  and Erdheim-Chester disease (ECD).7  ECD mainly affects adults older than age 40 years. The distribution and the extent of the disease vary, although some specific characteristics have been identified, including skeletal,8  cardiac,9  retroperitoneal, and vascular involvement.10,11  Recently, a somatic mutation in the BRAF gene (BRAFV600E) was identified in LCH and ECD tissue infiltrates, suggesting a common origin of both histiocytoses.2,12 

The concomitant occurrence of two distinct histiocytoses in the same patient is exceptional. The association of LCH with ECD (hereafter referred to “mixed histiocytosis”) seems to be the most frequent, with 17 cases reported in the English language literature.13-27  We report a multicenter series of 23 patients affected by both LCH and ECD.

Patients

This retrospective study was conducted in 17 university hospitals between September 2009 and December 2013. Twenty-five patients, observed from January 1970 to December 2013, were included. Two patients were excluded because of a lack of histologic and morphologic information. The remaining 23 patients were included and were diagnosed with mixed histiocytosis. The reporting system ensured the anonymity of patients and, in accordance with the French law, patients and/or their families gave informed consent. This study was approved by the ethics committee Ile de France III (#2011-A00447-34) and conducted in accordance with the Declaration of Helsinki.

Data collection

The following data were collected: demographic information, comorbidities, clinical history of mixed histiocytosis (including symptoms at diagnosis and during the course of the disease), findings of imaging procedures (body scan, cerebral magnetic resonance imaging [MRI], echocardiography or cardiac MRI, abdominal MRI, technetium 99 bone scintigraphy, and/or 18F-fluorodeoxyglucose-positron emission tomography [[18F]FDG-PET] scan), biological and histologic data, and details of medical treatments.

This series of patients with mixed histiocytosis was compared with 56 consecutive isolated-LCH and 53 consecutive isolated-ECD patients, observed in two different centers (Nantes, France, and Pitié-Salpêtrière Hospital, Paris, France) during the same period.

Definitions of the diseases and their progression

LCH diagnosis was based on clinical and histologic findings.3,4  A biopsy was performed in all patients, and the diagnosis of LCH was made following the observation of granulomatous lesions containing histiocytes with indented nuclei and both eosinophilic and lymphocytic infiltration. In all patients, immunohistochemistry was performed and showed positive staining for CD1a and PS100. LCH skin lesions included skin rash, nodules, and ulcerative lesions; these lesions were biopsy-proven in each patient.

The diagnosis of ECD was based on data from Haroche et al,10  Arnaud et al,28  Arnaud et al,29  and Haroche et al:30  (1) typical histologic findings (n = 18) of infiltration with foamy histiocytes nested around polymorphic granuloma, fibrosis or xanthogranulomatosis, and immunochemical identification of CD68+ or CD1a cells; or (2) typical x-ray, technetium 99 bone scintigraphy, or [18F]FDG-PET scan showing bilateral and symmetrical skeletal lesions (n = 5) associated with involvement of at least one other organ, including skin, large vessels,10,11  lung,29,31  heart,9  or retroperitoneum. ECD differential diagnoses, including metabolic diseases, were excluded.

For the patients who underwent a biopsy of both types of lesion, at least two specimens were reviewed by two independent pathologists, both experienced in the field of histiocytoses (F.C. and J.-F.E.).

Improvement of the disease in response to specific treatment was evaluated both clinically and radiologically.32  Improvement was defined clinically as a decrease of pain and/or tissue infiltration (skin, adenomegaly, splenomegaly, and hepatomegaly). Similarly, radiologic improvement was defined as a decrease of tissue infiltration assessed by computed tomography scans, MRI, or an [18F]FDG-PET scan,28  according to the standardized criteria.32  When improvement was absent or judged insufficient by the clinician in charge of the patient, we considered the disease as stable or refractory. Relapsing disease was defined as a disease requiring a new treatment after a remission period of >3 months.

BRAFV600E mutation

Tumor DNA was extracted from formalin-fixed and paraffin-embedded tissues. Four serial sections were performed for each sample. The first section (4 µm thick) was stained with hematoxylin and eosin as a control and to select the areas with the highest density of histiocytic infiltration, and the other three (20 µm thick) were used for dissection at ×10 magnification. Each sample analyzed contained 10% to 80% tumor cells. Tumor DNA was extracted by proteinase K digestion (6 ng/µL at 55°C for 18 to 72 hours with continuous stirring) and a QIAamp DNA Mini Kit (QIAGEN, Les Ulis, France). DNA concentration was evaluated by spectrophotometry (Nanodrop; Thermo Scientific, Courtaboeuf, France) and adjusted to 10 to 30 ng/µL for further analysis. Detection of hot-spot mutations in exon 15 of BRAFV600E2,33  was performed by pyrosequencing on a PyroMark Q24 Instrument (QIAGEN), as described previously.12  Samples for which the highest density of histiocytic infiltration did not reach 30% were also analyzed with PNAClamp BRAF Mutation Detection Kit (Eurogentec, Seraing, Belgium), according to the manufacturer’s instructions.

Multiplex picodroplet digital polymerase chain reaction testing was performed by using previously described protocols34  with the RainDrop Instrument (RainDance Technologies, Billerica, MA). Shortly thereafter, in a pre–polymerase chain reaction environment, 12.5 µL TaqMan Universal Master Mix (Life Technologies) was mixed with the assay solution. The assay solution contained 0.75 µL of 40 mM deoxynucleotide triphosphates Mix (New England BioLabs), 0.5 µL of 25 mM MgCl2, 2.5 µL of 10× Droplet Stabilizer (RainDance Technologies), 1.25 µL of 20× TaqMan Assay Mix containing 8 µM of forward and reverse primers, 200 nM of 6-carboxy-fluorescein and 200 nM of 4,7,2′-trichloro-7′-phenyl-6-carboxyfluorescein TaqMan-labeled probes, and target DNA template to a final reaction volume of 25 µL. Forty-five to 550 ng of DNA were used in each assay. Five million highly monodisperse droplets were generated using the RainDrop Source Instrument following the manufacturer’s instructions. The emulsion was submitted to thermocycling (PCT200, Biorad), starting with 2 minutes at 50°C, 10 minutes at 95°C, followed by 45 cycles at 95°C for 15 seconds, and 60°C for 1 minute (using a 0.6°C/min ramp rate). After completion, the end point fluorescence signals from each droplet were measure by using the RainDrop Sense Instrument. Analyses of the data were performed by using the RainDrop Analyst software. The reference sequence was BRAF complementary DNA sequence (GenBank NM_00433.4).

Literature review

We performed a MEDLINE search for original articles published in English between January 1984 and March 2013. Search criteria combined free text search and explored MeSH/EMTREE terms and all synonyms of LCH and ECD. We also searched for additional articles from the reference list of relevant papers obtained from the search. We identified 17 cases of LCH associated with ECD. One of these case reports was excluded from this literature review because the patient was referred to our center and was included in this series (patient 435 ).

Statistical methods

Quantitative data were expressed as median (minimum-maximum) values and qualitative data as numbers and percentages. The nonparametric T test was used to compare continuous variables, and Fisher’s exact test was used to compare categorical variables. A P value < .05 was considered as significant. We built multivariate logistic regression models to identify clinical variables independently associated with a diagnosis of mixed histiocytosis when confronted with signs of LCH or ECD. In these models, the type of histiocytosis was used as the dependent variable, and all clinical variables with P values < .20 in univariate analyses were included as explanatory variables. Principal component analysis was used to graphically describe the relationships among patients with LCH, ECD, and mixed histiocytosis. Briefly, each patient was represented by a point in a two-dimensional graph based on the clinical variables studied (presence or absence of digestive, cutaneous, skeletal, pulmonary, central nervous system (CNS), pituitary, ocular, retroperitoneal, vascular, and cardiac involvement). The distance between any two points is proportional to the similarity among these patients.

Epidemiological data

We identified 23 patients with mixed histiocytosis (11 males and 12 females; Table 1). The median age at symptom onset was 43 years (range, 2 to 75 years). Both diseases (LCH and ECD) were diagnosed simultaneously in 11 patients (48%). Diagnosis of LCH preceded ECD in all the remaining patients (n = 12; 52%; Table 2) with a median time between the two diagnoses of 13.5 years (range, 2 to 22 years). No patient was diagnosed with ECD prior to LCH.

Table 1

Characteristics of patients with MH and comparison with isolated-LCH and isolated-ECD patients

CharacteristicUnivariate PMultivariate P
LCHMHECDMH vs LCHMH vs ECDMH vs LCHMH vs ECD
No.%No.%No.%
Total No. of patients 56 100 23 100 53 100     
Epidemiological data           
 No. of males (% of total) 30 54 11 48 39 74 .81 .038 —  
 Age at diagnosis, y       .002 .02 .028 NS 
  Median 30 43 57     
  Range 2-79 2-75 16-80     
 Follow-up from diagnosis, mo           
  Median 55 60 38     
  Range 2-429 2-408 1-189     
Clinical presentation           
 LCH           
  Lytic bone lesions 37 66 16 70 —  1.00 — NS  
  Cutaneous and mucosal involvement 13 23 14 61 —  .0034 — .024  
  Pulmonary involvement 26 46 13 —  .0052 — NS  
  Digestive organ involvement 17 —  .21 — —  
  Secondary lymphoid organ involvement nd  22 —  — — —  
 Unspecific lesions           
  CNS involvement 10 18 11 48 27 51 .011 1.00 NS — 
  Hypophyseal involvement 16 29 13 57 12 23 .024 .0034 NS NS 
  Orbital involvement 35 13 25 .004 .41 NS — 
 ECD           
  Condensing bone lesions —  21 91 51 96 — .58 — — 
  Cardiac involvement —  35 34 64 — .024 — NS 
  Large vessel involvement —  15 65 35 66 — 1.00 — — 
  Cutaneous and mucosal involvement —  35 15 28 — .60 — — 
  Pulmonary involvement —  26 23 43 — .20 — NS 
  Retroperitoneal infiltration —  13 56 36 68 — .44 — — 
  Other (epiploon) —  nd nd — — — — 
CharacteristicUnivariate PMultivariate P
LCHMHECDMH vs LCHMH vs ECDMH vs LCHMH vs ECD
No.%No.%No.%
Total No. of patients 56 100 23 100 53 100     
Epidemiological data           
 No. of males (% of total) 30 54 11 48 39 74 .81 .038 —  
 Age at diagnosis, y       .002 .02 .028 NS 
  Median 30 43 57     
  Range 2-79 2-75 16-80     
 Follow-up from diagnosis, mo           
  Median 55 60 38     
  Range 2-429 2-408 1-189     
Clinical presentation           
 LCH           
  Lytic bone lesions 37 66 16 70 —  1.00 — NS  
  Cutaneous and mucosal involvement 13 23 14 61 —  .0034 — .024  
  Pulmonary involvement 26 46 13 —  .0052 — NS  
  Digestive organ involvement 17 —  .21 — —  
  Secondary lymphoid organ involvement nd  22 —  — — —  
 Unspecific lesions           
  CNS involvement 10 18 11 48 27 51 .011 1.00 NS — 
  Hypophyseal involvement 16 29 13 57 12 23 .024 .0034 NS NS 
  Orbital involvement 35 13 25 .004 .41 NS — 
 ECD           
  Condensing bone lesions —  21 91 51 96 — .58 — — 
  Cardiac involvement —  35 34 64 — .024 — NS 
  Large vessel involvement —  15 65 35 66 — 1.00 — — 
  Cutaneous and mucosal involvement —  35 15 28 — .60 — — 
  Pulmonary involvement —  26 23 43 — .20 — NS 
  Retroperitoneal infiltration —  13 56 36 68 — .44 — — 
  Other (epiploon) —  nd nd — — — — 

Personal data from two centers: Pitié-Salpêtrière Hospital, Paris, France, and Hôtel Dieu, Nantes, France. Bold values are statistically significant.

MH, mixed histiocytosis; ND, not determined; NS, not significant.

Table 2

Histological findings

PatientTime between LCH and ECD diagnosis (y)LCH histologyBRAFV600E mutationECD histologyBRAFV600E mutation
<1 Skin Negative Retroperitoneal fibrosis Negative 
<1 Skin, bone Negative None — 
<1 Lymph node Positive Skin, bone (2), hypodermis Positive 
<1 Skin (2) Negative Retroperitoneal fibrosis ND 
<1 Bone Negative* None — 
<1 Bone, skin Negative Skin ND 
<1 Skin Positive Skin, mesentery Positive (mesentery) 
<1 Bone Positive Bone Positive 
<1 Skin Positive Retroperitoneal fibrosis Positive 
10 ND CNS Positive CNS, bone Positive 
11 ND Skin (2) Positive None — 
12 14 Skin (3Positive Pleura, skin (3), heart Positive (pleura) 
13 22 Bone ND Retroperitoneal fibrosis ND 
14 11 Bone ND Retroperitoneal fibrosis ND 
15 Skin (2), bone (2), liver (2), lymph node Positive (lymph node) Bone ND 
16 18 Bone (2 + 1), skin (2Positive (bone) Skin (1 + 1), bone (3), retroperotineal fibrosis Positive (skin) 
17 20 Lung, mesentery ND Retroperotineal fibrosis Negative 
18 CNS ND Heart, lung Positive 
19 20 Skin (3), liver, bone ND None — 
20 22 Bone (3), skin (4) Positive (skin) None — 
21 13 Bone ND Bone (1 + 1) ND 
22 Skin (3) ND Retroperitoneal fibrosis ND 
23 Skin (4) Positive Bone Positive 
PatientTime between LCH and ECD diagnosis (y)LCH histologyBRAFV600E mutationECD histologyBRAFV600E mutation
<1 Skin Negative Retroperitoneal fibrosis Negative 
<1 Skin, bone Negative None — 
<1 Lymph node Positive Skin, bone (2), hypodermis Positive 
<1 Skin (2) Negative Retroperitoneal fibrosis ND 
<1 Bone Negative* None — 
<1 Bone, skin Negative Skin ND 
<1 Skin Positive Skin, mesentery Positive (mesentery) 
<1 Bone Positive Bone Positive 
<1 Skin Positive Retroperitoneal fibrosis Positive 
10 ND CNS Positive CNS, bone Positive 
11 ND Skin (2) Positive None — 
12 14 Skin (3Positive Pleura, skin (3), heart Positive (pleura) 
13 22 Bone ND Retroperitoneal fibrosis ND 
14 11 Bone ND Retroperitoneal fibrosis ND 
15 Skin (2), bone (2), liver (2), lymph node Positive (lymph node) Bone ND 
16 18 Bone (2 + 1), skin (2Positive (bone) Skin (1 + 1), bone (3), retroperotineal fibrosis Positive (skin) 
17 20 Lung, mesentery ND Retroperotineal fibrosis Negative 
18 CNS ND Heart, lung Positive 
19 20 Skin (3), liver, bone ND None — 
20 22 Bone (3), skin (4) Positive (skin) None — 
21 13 Bone ND Bone (1 + 1) ND 
22 Skin (3) ND Retroperitoneal fibrosis ND 
23 Skin (4) Positive Bone Positive 

Numbers in parentheses are number of biopsy samples.

*

The sample contained 20% histiocytes, and DNA obtained was analyzed only with pyrosequencing because it could not be amplified for other methods.

Presence of both LCH and ECD lesions in the same biopsy.

Determined by a high sensitivity test (PNAClamp BRAF Mutation Detection Kit, Eurogentec, Seraing, Belgium) or by multiplex picodroplet digital polymerase chain reaction.34 

Clinical data

LCH involved at least two organ sites in all but one patient who presented with only skin nodules (Table 1). Lytic bone lesions and mucocutaneous involvement (both of which are specific to LCH) were found in 16 and 14 patients, respectively. Cerebral involvement, pituitary gland involvement, and exophthalmos occurred in 11, 13, and 8 patients, respectively. These were features of nonspecific LCH involvement because they can also be attributed to another type of histiocytosis.

Specific ECD lesions in patients with mixed histiocytosis most frequently involved the bone (n = 21) and large vessels (n = 15). Other tissue involvements are also reported in Table 1.

Pathological study

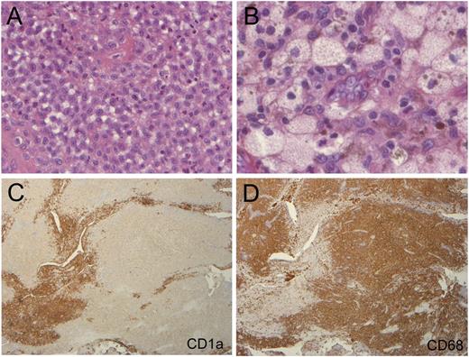
Histologic data are given in Table 2. Bone and skin biopsies, which were easily performed, were the most informative samples; bone biopsies were obtained from 11 LCH and 7 ECD patients, with skin biopsies from 14 LCH and 5 ECD patients. For patients 7, 8, 10, 12, 15, 16, and 21, LCH and ECD lesions were present and distinguished within the same biopsy sample (Figure 1).

Figure 1

Histology of a patient with mixed histiocytosis. LCH and ECD lesions were present but distinguishable in the same biopsy from a patient with mixed histiocytosis. This sample (patient 8) contained (A) typical LCH as well as (B) ECD infiltration (HandE stain, original magnification ×200). On serial sections, immunohistochemistry showed (C) strong CD1a staining contrasting with (D) strong CD68 staining in distinct areas (original magnification ×40).

Figure 1

Histology of a patient with mixed histiocytosis. LCH and ECD lesions were present but distinguishable in the same biopsy from a patient with mixed histiocytosis. This sample (patient 8) contained (A) typical LCH as well as (B) ECD infiltration (HandE stain, original magnification ×200). On serial sections, immunohistochemistry showed (C) strong CD1a staining contrasting with (D) strong CD68 staining in distinct areas (original magnification ×40).

Close modal

One patient (patient 1) had mixed histiocytosis concomitant with Rosai-Dorfman disease (diagnosed by pleural biopsy showing sinus histiocytosis with emperipolesis, and by immunochemistry showing strong staining for CD68 and PS1006 ).

B-RAFV600E mutation

We searched for the BRAFV600E mutation in 27 samples: 16 LCH and 11 ECD biopsies (Table 2). BRAF was mutated in 11 (69%) of 16 of the LCH tissue infiltrates and in 9 (82%) of 11 of the ECD tissue infiltrates. Overall, we tested 18 patients for the BRAFV600E mutation; 12 (67%) had at least 1 mutated sample.

Biopsies of both ECD and LCH were available for molecular analysis in 9 patients. BRAF status was concordant in both biopsies for all patients, 8 of whom were BRAFV600E positive and 1 of whom did not have a mutation.

Treatments

Five patients did not receive treatment for LCH, and the other 18 patients received different treatments including steroids, vinblastine, cladribine, tretinoin, etoposide, and methotrexate. Eleven (61%) of these 18 patients required 2 to 4 lines of treatment because of refractory or relapsing disease (Table 3). These treatments were at least partially effective against LCH lesions in 8 (47%) of 17 patients and against ECD lesions in 1 (20%) of 5 patients.

Table 3

Treatment outcome

PatientTreatment of LCH lesionsTreatment of ECD lesions
No. of linesFollow-up during treatment (mo)Efficacy: LCH/ECDType of IFN-αDose of IFN-αFollow-up during treatment (mo)Efficacy: LCH/ECD
— −/– PEG 135 µg/w <1 –/– 
13 Partial/partial Standard 27 MIU/w 12 Partial/partial 
— –/– PEG 135 µg/w 24 Yes/partial 
15 No/no Standard 13.5 MIU/w 13 Yes/partial 
— –/– PEG 135 µg/w 18 Partial/partial 
No/no — — — –/– 
–/– PEG 135 µg/w 16 No/no 
— –/– PEG 180 µg/w –/No 
— –/– — — — –/– 
10 No/no Standard 18 MIU/w 34 No/no 
11 43 Partial/– Standard 9 MIU/w 19 No/no 
12 153 Partial/no Standard 27 MIU/w 39 –/Partial 
13 ND 144 Yes/– — — — –/– 
14 54 No/– Standard 27 MIU/w 18 –/No 
15 138 Partial/– — — — –/– 
16 270 Yes/– Standard 27 MIU/w 51 –/Partial 
17 370 Yes/– PEG 180 µg/w 30 –/No 
18 18 No/– Standard 18 MIU/w 10 No/no 
19 300 No/– Standard 13.5 MIU/w <1 –/– 
20 72 Yes/– Standard 13.5 MIU/w –/Yes 
21 177 No/– PEG 135 µg/w 29 –/Yes 
22 40 No/– PEG 135 µg/w <1 –/– 
23 36 No/– PEG 135 µg/w 28 No/no 
PatientTreatment of LCH lesionsTreatment of ECD lesions
No. of linesFollow-up during treatment (mo)Efficacy: LCH/ECDType of IFN-αDose of IFN-αFollow-up during treatment (mo)Efficacy: LCH/ECD
— −/– PEG 135 µg/w <1 –/– 
13 Partial/partial Standard 27 MIU/w 12 Partial/partial 
— –/– PEG 135 µg/w 24 Yes/partial 
15 No/no Standard 13.5 MIU/w 13 Yes/partial 
— –/– PEG 135 µg/w 18 Partial/partial 
No/no — — — –/– 
–/– PEG 135 µg/w 16 No/no 
— –/– PEG 180 µg/w –/No 
— –/– — — — –/– 
10 No/no Standard 18 MIU/w 34 No/no 
11 43 Partial/– Standard 9 MIU/w 19 No/no 
12 153 Partial/no Standard 27 MIU/w 39 –/Partial 
13 ND 144 Yes/– — — — –/– 
14 54 No/– Standard 27 MIU/w 18 –/No 
15 138 Partial/– — — — –/– 
16 270 Yes/– Standard 27 MIU/w 51 –/Partial 
17 370 Yes/– PEG 180 µg/w 30 –/No 
18 18 No/– Standard 18 MIU/w 10 No/no 
19 300 No/– Standard 13.5 MIU/w <1 –/– 
20 72 Yes/– Standard 13.5 MIU/w –/Yes 
21 177 No/– PEG 135 µg/w 29 –/Yes 
22 40 No/– PEG 135 µg/w <1 –/– 
23 36 No/– PEG 135 µg/w 28 No/no 

(–), not assessable; PEG, pegylated interferon-α2a.

After the diagnosis of ECD, treatment with interferon alpha 2a (IFN-α2a) was started in 19 patients. Different types and regimens of IFN-α were given (Table 3). Follow-up of IFN-α treatment was insufficient to assess its efficacy in 3 patients. For the remaining 16 patients (median follow-up, 18.5 months; range, 6 to 51 months), IFN-α improved the clinical manifestations of ECD in 8 (50%) of 16 patients and those of LCH in 4 (44%) of 9 patients. In 3 of these patients, IFN-α was finally withdrawn because of major side effects.

Outcome

The overall mortality was 8 (35%) of 23 patients, occurring after a median follow-up of 27 months (range, 14 to 408 months) from diagnosis. Six died during or soon after IFN-α therapy. Progression of mixed histiocytosis was the direct cause of death in 4 patients (50%); two had CNS and two had lung involvement. Other causes of death were septic shock (n = 1), cardiac arrest of unknown origin (n = 1), and intracranial hemorrhage (n = 2), including 1 with IFN-–induced thrombocytopenia.

Overall, the 5-year survival was 65%, which was not different from that in the ECD cohort (data not shown). Importantly, the survival of patients with mixed histiocytosis for whom both LCH and ECD were diagnosed simultaneously was lower than that of patients diagnosed first with LCH and then diagnosed with ECD (P = .034; Figure 2).

Figure 2

Kaplan-Meyer survival curves of patient with mixed histiocytosis. Kaplan-Meyer curves showing that patients diagnosed simultaneously with LCH and ECD have a lower survival rate than patients diagnosed first with LCH and subsequently with ECD.

Figure 2

Kaplan-Meyer survival curves of patient with mixed histiocytosis. Kaplan-Meyer curves showing that patients diagnosed simultaneously with LCH and ECD have a lower survival rate than patients diagnosed first with LCH and subsequently with ECD.

Close modal

Comparative study with mixed histiocytosis patients from the literature

The patients from literature (Table 4) and the patients from this series were similar in terms of the male:female sex ratio (0.5 and 0.9, respectively; P = .53) and the median age at diagnosis (median, 39 years [range, 20 to 66 years] vs 43 years [range, 2 to 75 years], respectively, P = .53). The timeline of LCH and ECD occurrence was documented in 15 cases among the patients from the literature: LCH and ECD were simultaneously diagnosed in 8 patients (53%) and LCH preceded ECD in 6 patients (40%) (median, 7 years; range, 1 to 26 years). Only 1 case (7%) of ECD occurring prior to LCH was recorded.17 

Table 4

Clinical and histological findings of mixed histiocytosis patients from the literature

ReferenceSexAge at onset (y)Time between LCH and ECD diagnosis (y)LCH organ involvementUnspecific lesionsECD organ involvementLCH histologyECD histology
19 63 ND Bone, skin Hypophysis Bone Bone* Bone* 
14 (case 2) 20 ND Skin RPF, lung, bone, skin Skin Skin 
20 65 CNS  RPF, lung, heart CNS Heart 
26 45 Bone, skin Hypophysis Bone, skin Skin Skin 
21 58 Bone Hypophysis Lung, bone, peritoneum Bone Lung, peritoneum 
15 40 Bone, skin Bone, skin Bone Breast 
13 (Case 9) 41 Bone  Bone, RPF Bone* Bone* 
23 31 Bone Hypophysis Bone Bone* Bone* 
24 (case 2) 32 Bone Hypophysis Bone Sellar mass 
10 18 66 Bone  Bone, skin Bone* Bone* 
11 22 39 Bone Hypophysis Bone, skin Bone Bone, * skin 
12 16 27 Bone, lymph node Hypophysis Bone, joint Lymph node Joint 
13 25 34 26 Skin Hypophysis RPF, bone, skin Skin* Skin* 
14 17 (case 1) 44 10 Bone Hypophysis, E CNS, bone ND CNS 
15 24 (case 1) 26 Bone, skin Hypophysis, E Heart, skin Skin Orbit, skin 
16 27 27 Bone Hypophysis, E Lung, bone, skin Skin Orbit 
17 17 (case 2) 35 −3 Skin Hypophysis Lung, bone Skin Bone 
ReferenceSexAge at onset (y)Time between LCH and ECD diagnosis (y)LCH organ involvementUnspecific lesionsECD organ involvementLCH histologyECD histology
19 63 ND Bone, skin Hypophysis Bone Bone* Bone* 
14 (case 2) 20 ND Skin RPF, lung, bone, skin Skin Skin 
20 65 CNS  RPF, lung, heart CNS Heart 
26 45 Bone, skin Hypophysis Bone, skin Skin Skin 
21 58 Bone Hypophysis Lung, bone, peritoneum Bone Lung, peritoneum 
15 40 Bone, skin Bone, skin Bone Breast 
13 (Case 9) 41 Bone  Bone, RPF Bone* Bone* 
23 31 Bone Hypophysis Bone Bone* Bone* 
24 (case 2) 32 Bone Hypophysis Bone Sellar mass 
10 18 66 Bone  Bone, skin Bone* Bone* 
11 22 39 Bone Hypophysis Bone, skin Bone Bone, * skin 
12 16 27 Bone, lymph node Hypophysis Bone, joint Lymph node Joint 
13 25 34 26 Skin Hypophysis RPF, bone, skin Skin* Skin* 
14 17 (case 1) 44 10 Bone Hypophysis, E CNS, bone ND CNS 
15 24 (case 1) 26 Bone, skin Hypophysis, E Heart, skin Skin Orbit, skin 
16 27 27 Bone Hypophysis, E Lung, bone, skin Skin Orbit 
17 17 (case 2) 35 −3 Skin Hypophysis Lung, bone Skin Bone 

E, exophtalmos; F, female; M, male; RPF, retroperitoneal fibrosis.

*

Presence of both LCH and ECD lesion in the same biopsy.

Among these 17 cases from the literature, bone and skin lesions were predominant (Table 4). Pituitary gland involvement was also common (n = 12; 71%). As a result, patients from the literature cases and from this series were very similar, with the possible exception of ECD large-vessel involvement, which was never mentioned in the literature cases.

To the best of our knowledge, there is no record of the patients from the literature being tested for the BRAFV600E mutation.

Comparative study with isolated-LCH and isolated-ECD patients

We compared the 23 patients with mixed histiocytoses to 56 isolated-LCH and 53 isolated-ECD patients (Table 1). In univariate analysis, most of the differences between the cohorts involved features of LCH. The proportion of patients with isolated LCH showing cutaneous involvement was significantly lower than patients with mixed histiocytosis (23% vs 61%, respectively; P = .0034). In contrast, patients with isolated LCH presented more frequently with pulmonary involvement than patients with mixed histiocytosis (46% vs 13%; P = .0052). This univariate analysis also suggested that there were few clinical differences between patients with ECD and those with mixed histiocytosis (Table 1), with the exception of heart involvement, which was significantly more common in patients with isolated ECD (64% vs 35%; P = .024). In the absence of histologic confirmation in most cases of CNS, hypophyseal, and/or orbital involvements, differences in the prevalence of these involvements among the patient groups were difficult to interpret.

In the multivariate model, patients with mixed histiocytosis were older than isolated-LCH patients. There was no specific ECD tissue involvement that could distinguish patients with mixed histiocytosis from isolated-ECD patients. Skin lesions were more common in patients with isolated LCH (P = .024). Principal component analysis confirmed the wide spectrum and multiorgan characteristics of mixed histiocytosis (Figure 3). Patients with mixed histiocytosis seemed to resemble ECD patients more closely than they resembled LCH patients.

Figure 3

Relationship among patients with LCH, ECD, and mixed histiocytosis. Principal component analysis was used to graphically describe the relationships between patients with LCH, ECD, and mixed histiocytosis. Each patient is represented by a point in a two-dimensional graph such that the distance between any two points is proportional to the strength of the association between the variables recorded in these patients (presence or absence of digestive, cutaneous, skeletal, pulmonary, CNS, pituitary, ocular, retroperitoneal, vascular, and cardiac involvements). The axes are selected as best explaining the variability of the observed data, and their scale is arbitrary. This analysis shows that LCH, ECD, and mixed histiocytosis share heterogeneous clinical patterns (because patients are widely spread within each disease) and that patients with mixed histiocytosis appear closer to patients with ECD than to patients with LCH.

Figure 3

Relationship among patients with LCH, ECD, and mixed histiocytosis. Principal component analysis was used to graphically describe the relationships between patients with LCH, ECD, and mixed histiocytosis. Each patient is represented by a point in a two-dimensional graph such that the distance between any two points is proportional to the strength of the association between the variables recorded in these patients (presence or absence of digestive, cutaneous, skeletal, pulmonary, CNS, pituitary, ocular, retroperitoneal, vascular, and cardiac involvements). The axes are selected as best explaining the variability of the observed data, and their scale is arbitrary. This analysis shows that LCH, ECD, and mixed histiocytosis share heterogeneous clinical patterns (because patients are widely spread within each disease) and that patients with mixed histiocytosis appear closer to patients with ECD than to patients with LCH.

Close modal

We report the co-occurrence of LCH and ECD in the largest series of patients to date. This series, as well as the 17 case reports in the English language literature, suggest that the occurrence of both diseases in the same patient is not rare. Indeed, patients with mixed histiocytosis regularly observed at our national referral center make up 19% of our ECD cohort. Physicians should be aware of this association and search for ECD when diagnosing LCH and vice versa, because therapeutic regimens are different for these two diseases.

Patients with mixed histiocytosis, either from our series or from previously published series,11,36-38  displayed characteristics very similar to those of patients with isolated LCH (who were mostly adults in this series) and patients with isolated ECD. The exception was age at diagnosis. Indeed, median age at diagnosis of mixed histiocytosis was 43 years in our adult series, which is similar to that in the literature cases (39 years; P = .53), but this is significantly younger than patients with isolated ECD (57 years; P = .02) and older than patients with isolated LCH (30 years; P = .002). Among the 40 cases of mixed histiocytosis reported in the literature (including the 23 cases reported here), ECD preceded LCH in only one case22  (ie, 2.5%) (Table 2). In our series, patients with mixed histiocytosis were always diagnosed with LCH prior to (52%) or simultaneously with (48%) ECD. There was no clinical difference between patients who developed ECD and LCH simultaneously or successively (data not shown), except for survival, which was significantly lower in patients with concomitant LCH and ECD.

In our series of mixed histiocytosis, we searched for the presence of the BRAFV600E mutation. In patient-matched LCH and ECD lesions, BRAFV600E-positive LCH lesions always occurred concomitant with BRAFV600E-positive ECD lesions. The same BRAFV600E mutation has been reported in 57% of patients with isolated LCH2  and in 54% of patients with isolated ECD.12  This finding suggests a role for this mutation in the emergence of LCH and ECD. It is not known whether this mutation occurs in different cell types or in a progenitor cell in patients with mixed histiocytosis. In favor of a progenitor cell origin, a progenitor was identified recently in the bone marrow39-41  that gives rise to dendritic cells and monocytes and/or macrophages, which are the cell types involved in LCH and ECD, respectively. Furthermore, a rare single genetic event (occurring in a progenitor cell) has a much higher probability of occurring than two successive rare events emerging separately (in two different cell types).

The treatment of mixed histiocytosis is still a challenge. In our series, there were more clinical signs of ECD than of LCH and, in most cases, the clinical signs of ECD occurred in patients who had already been treated for LCH by various approaches. IFN-α was consequently the most frequently used therapy because it has also been proposed to treat LCH.42-45  However, the efficacy of IFN-α was lower than what has been reported previously for isolated-ECD patients.46-48  These differences cannot be explained by the clinical spectrum of mixed histiocytosis, the dose of IFN-α, or the duration of the follow-up, which were equivalent in our series and in the previous series of patients with isolated ECD.46-48  Thus, for patients who tested positive for the BRAFV600E mutation in ECD and LCH lesions, BRAF inhibitors such as vemurafenib may be a valuable therapeutic option.49,50 

In conclusion, we report for the first time a large series of patients with both ECD and LCH. Our findings should encourage clinicians to carefully search for both LCH and ECD at the time of diagnosis and later during the follow-up of each patient. Our data suggest that the association of LCH with ECD is not fortuitous. However, this hypothesis requires further investigation in molecular studies involving human progenitor cells and animal models.

The publication costs of this article were defrayed in part by page charge payment. Therefore, and solely to indicate this fact, this article is hereby marked “advertisement” in accordance with 18 USC section 1734.

There is an Inside Blood Commentary on this article in this issue.

Contribution: B.H., J.H., and Z.A. proposed and designed the study; B.H., J.H., J.D., A.N., F.L., C.V., B.G., O.H., A.R., C.R., E.H., T.C., S.B., M.B., M.C., L.M., E.K., J.-M.M., K.C., and Z.A. observed the patients and managed the treatments; B.H., J.H., and Z.A. planned the evaluations; B.H., J.H., and L.A. were involved in collecting data; B.H. and J.H. evaluated patient outcome and analyzed the results; B.H. and L.A. performed the statistical analysis; V.M. and V.T. studied biopsy specimens; F.C. and J.-F.E. reviewed all the biopsy specimens; J.-F.E. and V.T. performed the B-RAFV600E analysis; B.H., J.H., L.A., F.C., J.-F.E., and Z.A. wrote the manuscript; and all authors approved the final manuscript.

A list of members of the French Histiocytoses Study Group appears in “Appendix.” Contribution of the French Histiocytoses Study Group members: S. Bulifon, A. Tazi, X. Girerd, C. de Gennes, J. P. Ory, O. Lambotte, F. Cohen-Aubart, D. Vital-Durand, M. A. Hamidou, P. Rieu, B. De Wazière, and P. Meekel observed the patients and managed the treatments; N. Brousse, M. C. Rousselet-Chapeau, E. Martin de Lassale & F. Leclair studied biopsy specimens; Z. Hélias-Rodzewicz performed B-RAFV600E analysis.

Conflict-of-interest disclosure: J.H. received honoraria from GlaxoSmithKline for advising patients with histiocytosis about treatments with targeted therapies. V.T. received honoraria from RainDance Technologies. J.-F.E. received honoraria from Roche and GlaxoSmithKline for advising patients with melanomas about BRAF mutations and/or treatment with BRAF inhibitors. Z.A. received honoraria for consulting (GlaxoSmithKline, Amgen) and scientific research (GlaxoSmithKline, Roche, Actelion, Amgen, Lilly, Union Chimique Belge, and AstraZeneca). The remaining authors declare no competing financial interests.

Correspondence: Julien Haroche, Department of Internal Medicine, Assistance Publique-Hôpitaux de Paris, French Reference Center for Autoimmune Diseases, Hôpital Pitié-Salpêtrière, 47-83 Boulevard de l’Hôpital, 75013 Paris, France; e-mail: julien.haroche@psl.aphp.fr.

Appendix

Members of the French Histiocytoses Study Group include S. Bulifon, N. Brousse, A. Tazi, X. Girerd, C. de Gennes, E. Martin de Lassale, F. Leclair, P. Rieu, B. De Wazière, J.P. Ory, O. Lambotte, P. Meekel, F. Cohen-Aubart, Z. Hélias-Rodzewicz, M.C. Rousselet-Chapeau, D. Vital-Durand, and M.A. Hamidou.

1
Arnaud
L
,
Gorochov
G
,
Charlotte
F
, et al.
,
Systemic perturbation of cytokine and chemokine networks in Erdheim-Chester disease: a single-center series of 37 patients.
,
Blood
,
2011
, vol.
117
10
(pg.
2783
-
2790
)
2
Badalian-Very
G
,
Vergilio
JA
,
Degar
BA
, et al.
,
Recurrent BRAF mutations in Langerhans cell histiocytosis.
,
Blood
,
2010
, vol.
116
11
(pg.
1919
-
1923
)
3
Badalian-Very
G
,
Vergilio
JA
,
Fleming
M
,
Rollins
BJ
.
,
Pathogenesis of Langerhans cell histiocytosis.
,
Annu Rev Pathol
,
2013
, vol.
8
(pg.
1
-
20
)
4
Berres
ML
,
Allen
CE
,
Merad
M
.
,
Pathological consequence of misguided dendritic cell differentiation in histiocytic diseases.
,
Adv Immunol
,
2013
, vol.
120
(pg.
127
-
161
)
5
Arnaud
L
,
Hervier
B
,
Néel
A
, et al.
,
CNS involvement and treatment with interferon-α are independent prognostic factors in Erdheim-Chester disease: a multicenter survival analysis of 53 patients.
,
Blood
,
2011
, vol.
117
10
(pg.
2778
-
2782
)
6
Foucar
E
,
Rosai
J
,
Dorfman
R
.
,
Sinus histiocytosis with massive lymphadenopathy (Rosai-Dorfman disease): review of the entity.
,
Semin Diagn Pathol
,
1990
, vol.
7
1
(pg.
19
-
73
)
7
Haroche
J
,
Arnaud
L
,
Cohen-Aubart
F
, et al.
,
Erdheim-Chester disease.
,
Rheum Dis Clin North Am
,
2013
, vol.
39
2
(pg.
299
-
311
)
8
Dion
E
,
Graef
C
,
Miquel
A
, et al.
,
Bone involvement in Erdheim-Chester disease: imaging findings including periostitis and partial epiphyseal involvement.
,
Radiology
,
2006
, vol.
238
2
(pg.
632
-
639
)
9
Haroche
J
,
Cluzel
P
,
Toledano
D
, et al.
,
Images in cardiovascular medicine. Cardiac involvement in Erdheim-Chester disease: magnetic resonance and computed tomographic scan imaging in a monocentric series of 37 patients.
,
Circulation
,
2009
, vol.
119
25
(pg.
e597
-
e598
)
10
Haroche
J
,
Amoura
Z
,
Dion
E
, et al.
,
Cardiovascular involvement, an overlooked feature of Erdheim-Chester disease: report of 6 new cases and a literature review.
,
Medicine (Baltimore)
,
2004
, vol.
83
6
(pg.
371
-
392
)
11
Serratrice
J
,
Granel
B
,
De Roux
C
, et al.
,
“Coated aorta”: a new sign of Erdheim-Chester disease.
,
J Rheumatol
,
2000
, vol.
27
6
(pg.
1550
-
1553
)
12
Haroche
J
,
Charlotte
F
,
Arnaud
L
, et al.
,
High prevalence of BRAF V600E mutations in Erdheim-Chester disease but not in other non-Langerhans cell histiocytoses.
,
Blood
,
2012
, vol.
120
13
(pg.
2700
-
2703
)
13
,
Case records of the Massachusetts General Hospital. Weekly clinicopathological exercises. Case 9-2000. A 41-year-old man with multiple bony lesions and adjacent soft-tissue masses.
,
N Engl J Med
,
2000
, vol.
342
12
(pg.
875
-
883
)
14
Adle-Biassette
H
,
Chetritt
J
,
Bergemer-Fouquet
AM
,
Wechsler
J
,
Mussini
JM
,
Gray
F
.
,
Pathology of the central nervous system in Chester-Erdheim disease: report of three cases.
,
J Neuropathol Exp Neurol
,
1997
, vol.
56
11
(pg.
1207
-
1216
)
15
Andrade
VP
,
Nemer
CC
,
Prezotti
AN
,
Goulart
WS
.
,
Erdheim-Chester disease of the breast associated with Langerhans-cell histiocytosis of the hard palate.
,
Virchows Arch
,
2004
, vol.
445
4
(pg.
405
-
409
)
16
Aouba
A
,
Larousserie
F
,
Le Guern
V
,
Martin
A
,
Guillevin
L
.
,
Spumous histiocytic oligoarthritis coexisting with systemic Langerhans’ cell histiocytosis: case report and literature review.
,
Joint Bone Spine
,
2009
, vol.
76
6
(pg.
701
-
704
)
17
Bisceglia
M
,
Cammisa
M
,
Suster
S
,
Colby
TV
.
,
Erdheim-Chester disease: clinical and pathologic spectrum of four cases from the Arkadi M. Rywlin slide seminars.
,
Adv Anat Pathol
,
2003
, vol.
10
3
(pg.
160
-
171
)
18
Brower
AC
,
Worsham
GF
,
Dudley
AH
.
,
Erdheim-Chester disease: a distinct lipoidosis or part of the spectrum of histiocytosis?
,
Radiology
,
1984
, vol.
151
1
(pg.
35
-
38
)
19
Furmanczyk
PS
,
Bruckner
JD
,
Gillespy
T
,
Rubin
BP
.
,
An unusual case of Erdheim-Chester disease with features of Langerhans cell histiocytosis.
,
Skeletal Radiol
,
2007
, vol.
36
9
(pg.
885
-
889
)
20
Granier
M
,
Micheau
A
,
Serre
I
.
,
A rare cause of cardiac tumour: an Erdheim-Chester disease with cardiac involvement co-existing with an intracerebral Langerhans cell histiocytosis.
,
Eur Heart J
,
2008
, vol.
29
16
pg.
1929
21
Kambouchner
M
,
Colby
TV
,
Domenge
C
,
Battesti
JP
,
Soler
P
,
Tazi
A
.
,
Erdheim-Chester disease with prominent pulmonary involvement associated with eosinophilic granuloma of mandibular bone.
,
Histopathology
,
1997
, vol.
30
4
(pg.
353
-
358
)
22
Kerzl
R
,
Eyerich
K
,
Eberlein
B
, et al.
,
Parallel occurrence of Erdheim-Chester disease and eosinophilic granuloma in the same patient.
,
J Eur Acad Dermatol Venereol
,
2009
, vol.
23
2
(pg.
224
-
226
)
23
Naruse
H
,
Shoda
H
,
Okamoto
A
,
Oka
T
,
Yamamoto
K
.
,
A case of osteoarthropathy due to Erdheim-Chester disease with overlapping Langerhans’ cell infiltration.
,
Intern Med
,
2010
, vol.
49
12
(pg.
1225
-
1228
)
24
Pineles
SL
,
Liu
GT
,
Acebes
X
, et al.
,
Presence of Erdheim-Chester disease and Langerhans cell histiocytosis in the same patient: a report of 2 cases.
,
J Neuroophthalmol
,
2011
, vol.
31
3
(pg.
217
-
223
)
25
Tsai
JW
,
Tsou
JH
,
Hung
LY
,
Wu
HB
,
Chang
KC
.
,
Combined Erdheim-Chester disease and Langerhans cell histiocytosis of skin are both monoclonal: a rare case with human androgen-receptor gene analysis.
,
J Am Acad Dermatol
,
2010
, vol.
63
2
(pg.
284
-
291
)
26
Vital
C
,
Bioulac-Sage
P
,
Tison
F
, et al.
,
Brain stem infiltration by mixed Langerhans cell histiocytosis and Chester-Erdheim disease: more than just an isolated case?
,
Clin Exp Pathol
,
1999
, vol.
47
2
(pg.
71
-
76
)
27
Yin
J
,
Zhang
F
,
Zhang
H
, et al.
,
Hand-Schüller-Christian disease and Erdheim-Chester disease: coexistence and discrepancy.
,
Oncologist
,
2013
, vol.
18
1
(pg.
19
-
24
)
28
Arnaud
L
,
Malek
Z
,
Archambaud
F
, et al.
,
18F-fluorodeoxyglucose-positron emission tomography scanning is more useful in followup than in the initial assessment of patients with Erdheim-Chester disease.
,
Arthritis Rheum
,
2009
, vol.
60
10
(pg.
3128
-
3138
)
29
Arnaud
L
,
Pierre
I
,
Beigelman-Aubry
C
, et al.
,
Pulmonary involvement in Erdheim-Chester disease: a single-center study of thirty-four patients and a review of the literature.
,
Arthritis Rheum
,
2010
, vol.
62
11
(pg.
3504
-
3512
)
30
Haroche
J
,
Amoura
Z
,
Touraine
P
, et al.
,
Bilateral adrenal infiltration in Erdheim-Chester disease. Report of seven cases and literature review.
,
J Clin Endocrinol Metab
,
2007
, vol.
92
6
(pg.
2007
-
2012
)
31
Brun
AL
,
Touitou-Gottenberg
D
,
Haroche
J
, et al.
,
Erdheim-Chester disease: CT findings of thoracic involvement.
,
Eur Radiol
,
2010
, vol.
20
11
(pg.
2579
-
2587
)
32
Tirkes
T
,
Hollar
MA
,
Tann
M
,
Kohli
MD
,
Akisik
F
,
Sandrasegaran
K
.
,
Response criteria in oncologic imaging: review of traditional and new criteria.
,
Radiographics
,
2013
, vol.
33
5
(pg.
1323
-
1341
)
33
Tiacci
E
,
Trifonov
V
,
Schiavoni
G
, et al.
,
BRAF mutations in hairy-cell leukemia.
,
N Engl J Med
,
2011
, vol.
364
24
(pg.
2305
-
2315
)
34
Taly
V
,
Pekin
D
,
Benhaim
L
, et al.
,
Multiplex picodroplet digital PCR to detect KRAS mutations in circulating DNA from the plasma of colorectal cancer patients.
,
Clin Chem
,
2013
, vol.
59
12
(pg.
1722
-
1731
)
35
Conrad
M
,
Haroche
J
,
Charlotte
F
, et al.
,
A 75-year-old woman admitted to the ICU with respiratory failure.
,
Chest
,
2012
, vol.
142
4
(pg.
1063
-
1067
)
36
Lachenal
F
,
Cotton
F
,
Desmurs-Clavel
H
, et al.
,
Neurological manifestations and neuroradiological presentation of Erdheim-Chester disease: report of 6 cases and systematic review of the literature.
,
J Neurol
,
2006
, vol.
253
10
(pg.
1267
-
1277
)
37
,
A multicentre retrospective survey of Langerhans’ cell histiocytosis: 348 cases observed between 1983 and 1993. The French Langerhans’ Cell Histiocytosis Study Group.
,
Arch Dis Child
,
1996
, vol.
75
1
(pg.
17
-
24
)
38
Aricò
M
,
Girschikofsky
M
,
Généreau
T
, et al.
Report from the International Registry of the Histiocyte Society
,
Langerhans cell histiocytosis in adults.
,
Eur J Cancer
,
2003
, vol.
39
16
(pg.
2341
-
2348
)
39
Allen
TC
.
,
Pulmonary Langerhans cell histiocytosis and other pulmonary histiocytic diseases: a review.
,
Arch Pathol Lab Med
,
2008
, vol.
132
7
(pg.
1171
-
1181
)
40
Auffray
C
,
Sieweke
MH
,
Geissmann
F
.
,
Blood monocytes: development, heterogeneity, and relationship with dendritic cells.
,
Annu Rev Immunol
,
2009
, vol.
27
(pg.
669
-
692
)
41
Geissmann
F
,
Manz
MG
,
Jung
S
,
Sieweke
MH
,
Merad
M
,
Ley
K
.
,
Development of monocytes, macrophages, and dendritic cells.
,
Science
,
2010
, vol.
327
5966
(pg.
656
-
661
)
42
Hirose
M
.
,
Improvement of Langerhans’ cell histiocytosis and pancreatitis by alpha-interferon.
,
Med Pediatr Oncol
,
1997
, vol.
28
6
(pg.
462
-
463
)
43
Culić
S
,
Jakobson
A
,
Culić
V
,
Kuzmić
I
,
Sćukanec-Spoljar
M
,
Primorac
D
.
,
Etoposide as the basic and interferon-alpha as the maintenance therapy for Langerhans cell histiocytosis: a RTC.
,
Pediatr Hematol Oncol
,
2001
, vol.
18
4
(pg.
291
-
294
)
44
Chang
SE
,
Koh
GJ
,
Choi
JH
, et al.
,
Widespread skin-limited adult Langerhans cell histiocytosis: long-term follow-up with good response to interferon alpha.
,
Clin Exp Dermatol
,
2002
, vol.
27
2
(pg.
135
-
137
)
45
Kwong
YL
,
Chan
AC
,
Chan
TK
.
,
Widespread skin-limited Langerhans cell histiocytosis: complete remission with interferon alfa.
,
J Am Acad Dermatol
,
1997
, vol.
36
4
(pg.
628
-
629
)
46
Braiteh
F
,
Boxrud
C
,
Esmaeli
B
,
Kurzrock
R
.
,
Successful treatment of Erdheim-Chester disease, a non-Langerhans-cell histiocytosis, with interferon-alpha.
,
Blood
,
2005
, vol.
106
9
(pg.
2992
-
2994
)
47
Haroche
J
,
Amoura
Z
,
Trad
SG
, et al.
,
Variability in the efficacy of interferon-alpha in Erdheim-Chester disease by patient and site of involvement: results in eight patients.
,
Arthritis Rheum
,
2006
, vol.
54
10
(pg.
3330
-
3336
)
48
Hervier
B
,
Arnaud
L
,
Charlotte
F
, et al.
,
Treatment of Erdheim-Chester disease with long-term high-dose interferon-α.
,
Semin Arthritis Rheum
,
2012
, vol.
41
6
(pg.
907
-
913
)
49
Haroche
J
,
Cohen-Aubart
F
,
Emile
JF
, et al.
,
Dramatic efficacy of vemurafenib in both multisystemic and refractory Erdheim-Chester disease and Langerhans cell histiocytosis harboring the BRAF V600E mutation.
,
Blood
,
2013
, vol.
121
9
(pg.
1495
-
1500
)
50
Heaney
ML
.
,
Saving orphans: BRAF targeting of histiocytosis.
,
Blood
,
2013
, vol.
121
9
(pg.
1487
-
1488
)

Author notes

J.H. and L.A. contributed equally to this study.

Sign in via your Institution