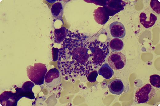
A 49-year-old man from rural Switzerland was diagnosed with chronic myeloid leukemia (CML) in 2007. He eventually underwent 9/10-HLA-matched unrelated stem cell transplantation (HSCT) because of intolerance to first- and second-line tyrosine kinase inhibitors. The early posttransplant period showed complete remission and was uneventful except for mild oral chronic graft-versus-host disease. Ten months after transplantation, when the patient was still under immunosuppressive therapy, we observed progressive pancytopenia. Further investigations included a bone marrow examination, which showed complete remission of CML; however, surprisingly, numerous leishmania amastigotes, both extra- and intracellular, were found within the macrophages. The diagnosis of visceral leishmaniasis by Leishmania infantum was confirmed by polymerase chain reaction, and prompt therapy with liposomal amphotericin B was initiated. The patient’s travel history was retrospectively unremarkable.
Visceral leishmaniasis is a well-known opportunistic infection in severe immunodeficiency, particularly in patients living in areas where leishmaniasis is endemic. It has rarely been seen after HSCT. The 3 potential sources of leishmania transmission in this case could have been the graft itself, transfusions of leishmania-infected blood, or reactivation of a preexisting leishmania infection induced by immunosuppression. Our case illustrates that leishmaniasis can be a cause of severe post-HSCT pancytopenia even in patients living outside areas of endemicity and without a specific travel history.
A 49-year-old man from rural Switzerland was diagnosed with chronic myeloid leukemia (CML) in 2007. He eventually underwent 9/10-HLA-matched unrelated stem cell transplantation (HSCT) because of intolerance to first- and second-line tyrosine kinase inhibitors. The early posttransplant period showed complete remission and was uneventful except for mild oral chronic graft-versus-host disease. Ten months after transplantation, when the patient was still under immunosuppressive therapy, we observed progressive pancytopenia. Further investigations included a bone marrow examination, which showed complete remission of CML; however, surprisingly, numerous leishmania amastigotes, both extra- and intracellular, were found within the macrophages. The diagnosis of visceral leishmaniasis by Leishmania infantum was confirmed by polymerase chain reaction, and prompt therapy with liposomal amphotericin B was initiated. The patient’s travel history was retrospectively unremarkable.
Visceral leishmaniasis is a well-known opportunistic infection in severe immunodeficiency, particularly in patients living in areas where leishmaniasis is endemic. It has rarely been seen after HSCT. The 3 potential sources of leishmania transmission in this case could have been the graft itself, transfusions of leishmania-infected blood, or reactivation of a preexisting leishmania infection induced by immunosuppression. Our case illustrates that leishmaniasis can be a cause of severe post-HSCT pancytopenia even in patients living outside areas of endemicity and without a specific travel history.
For additional images, visit the ASH IMAGE BANK, a reference and teaching tool that is continually updated with new atlas and case study images. For more information visit http://imagebank.hematology.org.

This feature is available to Subscribers Only
Sign In or Create an Account Close Modal