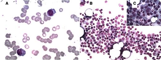
A 51-year-old man who was previously healthy was admitted to the local orthopedics department with lower back pain and weakness of the lower extremities. He presented with leukocytosis of 11 × 109/L and his hemoglobin level was 90 g/L. Complete blood count with automated differential reported >20% large unstained cells. The peripheral smear showed rouleau formation and 23% of circulating plasma cells with atypical features such as a higher nuclear-to-cytoplasmic ratio, dispersed nuclear chromatin, and prominent nucleoli (panel A). A bone marrow aspirate smear demonstrated 70% plasma cell infiltration with cells of either mature or plasmablastic morphology and vacuoles in the cytoplasm (panels B-C). Serum immunofixation revealed production of IgA with λ light-chain restriction. The diagnosis was primary plasma cell leukemia (PCL), which is a rare presentation (4/10 000 000 persons per year) of multiple myeloma (MM).
Primary PCL is characterized by leukocytosis with circulating plasma cells that typically exceed 2000/μL or 20% of the peripheral white blood cell count. The bone marrow infiltration is usually extensive and consists of plasma cells with atypical and immature morphology. Compared with MM, PCL has a poor prognosis, with a median survival of 8 to 12 months.
A 51-year-old man who was previously healthy was admitted to the local orthopedics department with lower back pain and weakness of the lower extremities. He presented with leukocytosis of 11 × 109/L and his hemoglobin level was 90 g/L. Complete blood count with automated differential reported >20% large unstained cells. The peripheral smear showed rouleau formation and 23% of circulating plasma cells with atypical features such as a higher nuclear-to-cytoplasmic ratio, dispersed nuclear chromatin, and prominent nucleoli (panel A). A bone marrow aspirate smear demonstrated 70% plasma cell infiltration with cells of either mature or plasmablastic morphology and vacuoles in the cytoplasm (panels B-C). Serum immunofixation revealed production of IgA with λ light-chain restriction. The diagnosis was primary plasma cell leukemia (PCL), which is a rare presentation (4/10 000 000 persons per year) of multiple myeloma (MM).
Primary PCL is characterized by leukocytosis with circulating plasma cells that typically exceed 2000/μL or 20% of the peripheral white blood cell count. The bone marrow infiltration is usually extensive and consists of plasma cells with atypical and immature morphology. Compared with MM, PCL has a poor prognosis, with a median survival of 8 to 12 months.
For additional images, visit the ASH IMAGE BANK, a reference and teaching tool that is continually updated with new atlas and case study images. For more information visit http://imagebank.hematology.org.

This feature is available to Subscribers Only
Sign In or Create an Account Close Modal