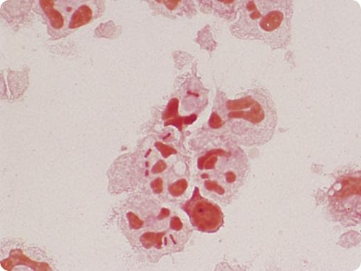
A 36-year-old woman was diagnosed with a sellar-suprasellar craniopharyngioma and underwent transsphenoidal resection of the tumor. A lumbar drain was placed to minimize intracranial pressure and was removed on postoperative day 6. On postoperative day 9, the patient began to leak cerebrospinal fluid (CSF) from her right nostril. A second lumbar drain was placed. One day later, the patient developed a fever and headache with nuchal rigidity. CSF was withdrawn from the lumbar drain and sent to the microbiology laboratory for Gram stain and culture and to chemistry for cell counts. Cell counts were as follows: nucleated cells, 60 000 (normal 0-5); cells counted, 100; neutrophils, 95% (normal 0% to 6%); lymphocytes, 2% (normal 40% to 80%); macrophages, 3% (normal 15% to 45%). Glucose was reduced (3 mg/dL), and protein was elevated (>300 mg/dL). Gram stain of cytospin-concentrated CSF showed many neutrophils and intracellular gram-negative rods with bipolar staining. The organism was identified as Enterobacter aerogenes.
Bipolar staining is typically described as characteristic of Yersinia pestis; however, it is important to note that most Enterobacteriaceae can have a bipolar staining appearance when found in clinical specimens. The patient improved clinically on empiric therapy with vancomycin and ceftazidime, and she was switched to meropenem.
A 36-year-old woman was diagnosed with a sellar-suprasellar craniopharyngioma and underwent transsphenoidal resection of the tumor. A lumbar drain was placed to minimize intracranial pressure and was removed on postoperative day 6. On postoperative day 9, the patient began to leak cerebrospinal fluid (CSF) from her right nostril. A second lumbar drain was placed. One day later, the patient developed a fever and headache with nuchal rigidity. CSF was withdrawn from the lumbar drain and sent to the microbiology laboratory for Gram stain and culture and to chemistry for cell counts. Cell counts were as follows: nucleated cells, 60 000 (normal 0-5); cells counted, 100; neutrophils, 95% (normal 0% to 6%); lymphocytes, 2% (normal 40% to 80%); macrophages, 3% (normal 15% to 45%). Glucose was reduced (3 mg/dL), and protein was elevated (>300 mg/dL). Gram stain of cytospin-concentrated CSF showed many neutrophils and intracellular gram-negative rods with bipolar staining. The organism was identified as Enterobacter aerogenes.
Bipolar staining is typically described as characteristic of Yersinia pestis; however, it is important to note that most Enterobacteriaceae can have a bipolar staining appearance when found in clinical specimens. The patient improved clinically on empiric therapy with vancomycin and ceftazidime, and she was switched to meropenem.
For additional images, visit the ASH IMAGE BANK, a reference and teaching tool that is continually updated with new atlas and case study images. For more information visit http://imagebank.hematology.org.

This feature is available to Subscribers Only
Sign In or Create an Account Close Modal