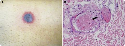
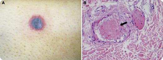
A 20-year-old white female was diagnosed with acute myelogenous leukemia. She underwent standard induction treatment: 7 days of cytarabine and 3 days of daunorubicin (7+3) chemotherapy. She developed neutropenic fever on the eighth day of induction and was started on broad-spectrum antibiotics. On day 10, when she was severely neutropenic, she developed a 0.5 × 0.5 cm nodule on the shin of her left leg, which rapidly developed into a large nodule with central darkening with pruritus (panel A). Over the next 24 hours, she developed a diffuse rash on her extremities, abdomen, and torso. She developed an altered mental status and was found to have left thalamus, cerebellar, and left posterior parietal lobe hyperintense lesions. The skin rash was biopsied, and the biopsy revealed angioinvasive fungus in the dermis with morphology most consistent with Fusarium (panel B, black arrow showing angioinvasive fungus). Her blood cultures later came back positive for Fusarium species. She was started on amphotericin but developed obstructive hydrocephalus and ultimately died as a result of cerebral hemorrhage on day 13 of induction therapy. No apparent source of disseminated Fusarium was identified. Her prolonged and persistent neutropenia from initial presentation to postinduction treatment put her at high risk for fungemia early in the course of treatment and increased her risk of death.
Disseminated fusariosis has a poor prognosis during induction chemotherapy for acute myeloid leukemia.
A 20-year-old white female was diagnosed with acute myelogenous leukemia. She underwent standard induction treatment: 7 days of cytarabine and 3 days of daunorubicin (7+3) chemotherapy. She developed neutropenic fever on the eighth day of induction and was started on broad-spectrum antibiotics. On day 10, when she was severely neutropenic, she developed a 0.5 × 0.5 cm nodule on the shin of her left leg, which rapidly developed into a large nodule with central darkening with pruritus (panel A). Over the next 24 hours, she developed a diffuse rash on her extremities, abdomen, and torso. She developed an altered mental status and was found to have left thalamus, cerebellar, and left posterior parietal lobe hyperintense lesions. The skin rash was biopsied, and the biopsy revealed angioinvasive fungus in the dermis with morphology most consistent with Fusarium (panel B, black arrow showing angioinvasive fungus). Her blood cultures later came back positive for Fusarium species. She was started on amphotericin but developed obstructive hydrocephalus and ultimately died as a result of cerebral hemorrhage on day 13 of induction therapy. No apparent source of disseminated Fusarium was identified. Her prolonged and persistent neutropenia from initial presentation to postinduction treatment put her at high risk for fungemia early in the course of treatment and increased her risk of death.
Disseminated fusariosis has a poor prognosis during induction chemotherapy for acute myeloid leukemia.
For additional images, visit the ASH IMAGE BANK, a reference and teaching tool that is continually updated with new atlas and case study images. For more information visit http://imagebank.hematology.org.

This feature is available to Subscribers Only
Sign In or Create an Account Close Modal