To the editor:
Spontaneous coronary artery dissection (SCAD) is a rare event.1 Known risk factors include female gender, peripartum status, hypertension, cocaine, smoking, heavy exercise, collagen vascular disease,2,3 and cardiac catheterization.4,5 Clinical presentation may be indistinguishable from ST segment elevation myocardial infarction.6 To our knowledge, SCAD has not been described as an adverse event in relation to stem cell infusion.
Here, we report on a 61-year-old white female without any known history of coronary artery disease, who underwent a nonmyeloablative (Fludarabine and TBI 400 cGy)-matched unrelated donor bone marrow transplant for a purine analog refractory chronic lymphocytic leukemia. Her pre-transplant echocardiogram was normal, demonstrating an ejection fraction (EF) of 68% without any regional wall motion abnormalities. Due to donor preference, a bone marrow harvest was obtained.
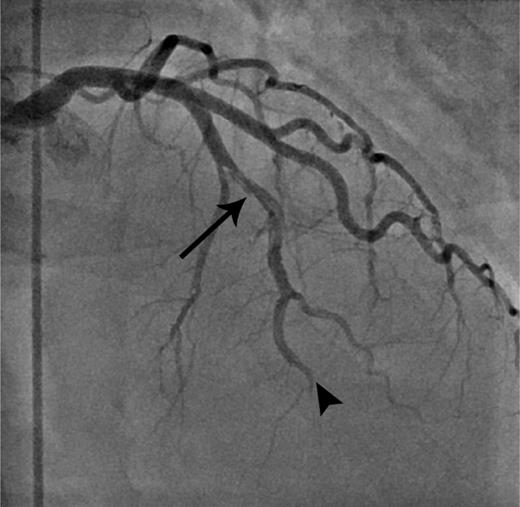
The patient started complaining of intermittent chest pain and shoulder pain during the bone marrow infusion. Peak systolic and diastolic blood pressures were 168 and 106 mm Hg, heart rate of 220 beats per minute. An electrocardiogram remained unchanged and nondiagnostic in the presence of a known left bundle branch block. Troponin T serum concentration was elevated at 1.8 ng/mL (normal <0.01). A stat echocardiogram demonstrated akinesis of the apex and midventricular wall, and an EF of 27% suggestive of an acute coronary syndrome. A coronary angiogram demonstrated a dissection of the mid left anterior descending artery with thrombus formation and thrombotic occlusion of the distal left anterior descending artery (Figure 1). No coronary intervention was pursued but an intra-aortic balloon was placed for coronary perfusion support. She eventually had an uneventful recovery and continues to do well 3 months after her transplant with improvement in her EF (50% with improvement in wall motion abnormalities).
Coronary angiogram. Right anterior oblique cranial projection outlining the typical angiographic appearance of coronary artery dissection of the mid segment of the left anterior descending artery (arrow). Furthermore, it reveals an abrupt cutoff of the distal left anterior descending artery consistent with thrombotic occlusion (arrowhead).
Coronary angiogram. Right anterior oblique cranial projection outlining the typical angiographic appearance of coronary artery dissection of the mid segment of the left anterior descending artery (arrow). Furthermore, it reveals an abrupt cutoff of the distal left anterior descending artery consistent with thrombotic occlusion (arrowhead).
Chest pain during stem cell infusion should be promptly evaluated in conjunction with cardiology, and spontaneous coronary dissection should be considered in the differential diagnosis, especially in female patients.
Authorship
Contribution: M.A.M., M.M.P., and J.H. helped collect data and write the manuscript.
Conflict-of-interest disclosure: The authors declare no competing financial interests.
Correspondence: Mrinal M Patnaik, Mayo Clinic, 200 First St SW, Rochester, MN 55901; e-mail: patnaik.mrinal@mayo.edu.
