Abstract
The pathogenesis of primary and secondary central nervous system (CNS) lymphoma poses a unique set of diagnostic, prognostic, and therapeutic challenges. During the past 10 years, there has been significant progress in the elucidation of the molecular properties of CNS lymphomas and their microenvironment, as well as evolution in the development of novel treatment strategies. Although a CNS lymphoma diagnosis was once assumed to be uniformly associated with a dismal prognosis, it is now reasonable to anticipate long-term survival, and possibly a cure, for a significant fraction of CNS lymphoma patients. The pathogenesis of CNS lymphomas affects multiple compartments within the neuroaxis, and proper treatment of the CNS lymphoma patient requires a multidisciplinary team with expertise not only in hematology/oncology but also in neurology, neuroradiology, neurosurgery, clinical neuropsychology, ophthalmology, pathology, and radiation oncology. Given the evolving principles of management and the evidence for improvements in survival, our goal is to provide an overview of current knowledge regarding the pathogenesis of CNS lymphomas and to highlight promising strategies that we believe to be most effective in establishing diagnosis, staging, and therapeutic management.
Introduction
Central nervous system (CNS) involvement of non-Hodgkin lymphoma (NHL) occurs in 2 patterns: (1) primary CNS lymphoma (PCNSL), which is limited to the brain parenchyma, intraocular compartment, cranial nerves, leptomeninges, and, rarely, spinal cord1,2 ; and (2) secondary CNS lymphoma (SCNSL), in which there is concomitant systemic, and CNS localization of lymphoma, often within the leptomeningeal compartment.
PCNSL is a rare brain tumor with an annual incidence in the United States of approximately 1900 new cases each year. Although PCNSL constitutes approximately 3% of all newly diagnosed brain tumors, and 2% to 3% of all cases of NHL, the Surveillance, Epidemiology and End Results (SEER) database suggests that the incidence of this neoplasm may be increasing among patients age 65 and older, with patients older than 75 having the highest incidental risk.3
Because the CNS complications of NHL are relatively rare, there is limited prospective and/or randomized data to guide its therapy. Historically, CNS lymphomas have been associated with a very poor prognosis.4 On the other hand, an accumulation of recent prospective phase 1/2 results, as well as retrospective series, demonstrate reproducible improvements in outcomes for patients with PCNSL and SCNSL.5-9 Because published evidence for therapeutic advances may not be uniformly reflected in population-based data, there is a possibility that patients in the community may not routinely receive optimal therapy. Our goal in this review is to highlight areas of progress and to provide an overview of current knowledge regarding the pathogenesis of PCNSLs and SCNSLs. In addition, we will illuminate strategies we believe to be most effective in establishing diagnosis and staging, as well as in therapeutic management.
Etiology of CNS lymphomas
As for most other types of NHL, the etiology of CNS lymphomagenesis is largely undefined and the mechanistic basis for brain tropism is not understood. The most significant risk factors for CNS involvement of lymphoma are acquired or congenital immunodeficiency states. Patients with Wiskott-Aldrich syndrome, ataxia-telangiectasia, and severe-combined or common-variable immunodeficiency have a 4% lifetime risk for developing PCNSL. The lifetime risk for development of CNS posttransplant lymphoproliferative disorder (PTLD) is 1% to 2% for renal transplant patients and 2% to 7% for cardiac, lung, and liver transplant recipients, with a probable etiologic relationship between PCNSL and T cell–specific immunodeficiency caused by agents such as mycophenolate mofetil.10 PCNSL is also an AIDS-defining illness associated with a very low CD4 T-cell count (<50 cells/μL) and, as with PTLD, AIDS-related PCNSL shares a near 100% association with Epstein-Barr virus (EBV). Although only 20% of systemic AIDS-related lymphomas are associated with EBV, infection of the tumor clone by EBV appears to significantly increase the risk of CNS involvement.11 By contrast, EBV infection is rarely detected in CNS lymphomas that develop in immunocompetent patients, consistent with a distinct pathogenesis.
Histology and molecular pathogenesis
Among immunocompetent patients, PCNSL usually presents as a solitary supratentorial mass within periventricular white matter, often with subependymal spread and significant vasogenic edema and mass effect: the displacement of normal brain structures. The frequency of multiple lesions is increased twofold in immune-suppressed patients. It is well established that the radiographic and the gross appearance of the tumor underestimate the extent of disease because PCNSL can be highly infiltrative, particularly at relapse, prompting its designation as a “whole brain disease.”12 A unique histopathologic feature of most CNS lymphomas is that of angiotropism, in which lymphoma cells preferentially accumulate around small blood vessels, likely disrupting the integrity of the blood-brain barrier (Figure 1).
Pathologic features of PCNSL. (A) Diffuse, large B-cell lymphoma (DLBCL) involving the left parietal lobe and basal ganglia exhibits marked mass effect, subependymal spread, and invasion of the lateral ventricle at relapse, upon progression with HD-MTX and rituximab-based chemotherapy. (Courtesy Ray Sobel, MD, Stanford University School of Medicine). (B) DLBCL cells exhibiting an angiotropic growth pattern in a diagnostic specimen of PCNSL (hematoxylin and eosin [H&E] stain, original magnification ×100). (C) Invasive growth of DLBCL cells along the cerebral vasculature in PCNSL (H&E, original magnification ×200). (D) High expression of MYC by DLBCL cells in a diagnostic specimen of PCNSL, as demonstrated by immunohistochemistry (original magnification ×400). (Courtesy Eric Hsi, MD, Cleveland Clinic).
Pathologic features of PCNSL. (A) Diffuse, large B-cell lymphoma (DLBCL) involving the left parietal lobe and basal ganglia exhibits marked mass effect, subependymal spread, and invasion of the lateral ventricle at relapse, upon progression with HD-MTX and rituximab-based chemotherapy. (Courtesy Ray Sobel, MD, Stanford University School of Medicine). (B) DLBCL cells exhibiting an angiotropic growth pattern in a diagnostic specimen of PCNSL (hematoxylin and eosin [H&E] stain, original magnification ×100). (C) Invasive growth of DLBCL cells along the cerebral vasculature in PCNSL (H&E, original magnification ×200). (D) High expression of MYC by DLBCL cells in a diagnostic specimen of PCNSL, as demonstrated by immunohistochemistry (original magnification ×400). (Courtesy Eric Hsi, MD, Cleveland Clinic).
Approximately 95% of PCNSL tumors are CD20+, diffuse large B-cell lymphoma (DLBCL); less common histologies include T-cell PCNSL (2%),13 Burkitt, lymphoblastic, and intraparenchymal marginal zone lymphoma. Notably, dural-based marginal zone lymphomas, devoid of intraparenchymal extent, share overlapping radiographic features with meningioma and are not protected by the blood-brain barrier.
Nearly 20% of PCNSL cases present with intraocular involvement, with cellular infiltrates in the vitreous and retina, and with lymphoid hyperplasia of the uveal tract. In some cases, thickened choroid invested with lymphoma may extend into the orbit. It is important to recognize that intraocular lymphoma progresses to clinically evident CNS lymphoma in at least 80% of cases and thus mandates staging procedures commensurate with this risk.14
Montesinos-Rongen and colleagues demonstrated that PCNSL exhibits somatic hypermutation of genes such as BCL6, MYC, PIM1, and PAX5, suggesting that the neoplastic cells of PCNSL DLBCL are derived from antigen-selected B cells exposed to the germinal center,15 and although only 10% to 20% are CD10+, between 50% and 80% of tumors express significant levels of BCL-6.16 Nevertheless, these tumors exhibit a near-uniform activated B cell–like immunophenotype because 95% stain positive for MUM-1, consistent with overlapping features of germinal center and activated B-cell phenotypes.17
Determination of the unique genetic features of PCNSL poses a greater challenge than it does for systemic DLBCL, because of both the rarity of this neoplasm and because of the paucity of material available for investigational studies after the diagnosis is established. Most specimens are obtained by stereotactic needle biopsy or via cytologic analysis of cerebrospinal fluid (CSF). Because PCNSL tumors require distinct therapeutic protocols and display unique transcriptional features by gene expression profiling,18-21 PCNSL is recognized as a distinct subtype of large B-cell lymphoma by the World Health Organization Working Group.22
Frequent genomic aberrations in PCNSL include focal losses on chromosome 6p21 containing the HLA locus, as well as deletions on chromosome 6q21-6q25.23-25 Silencing of CDKN2A, a cell cycle regulator, by deletion or by DNA methylation, occurs in approximately half of CNS lymphoma cases and may correlate with an adverse prognosis.26,27 Several candidate tumor suppressor genes are linked to deleted loci on chromosome 6q, including PRDM1, a regulator of B-cell differentiation and tumor suppressor28 ; PTPRK, a protein tyrosine phosphatase that regulates cell adhesion29 ; and A20 (TNFAIP3), a regulator of nuclear factor κB (NF-κB) signaling.30 Aberrant activation of the NF-κB pathway in PCNSL31 is supported by increased DNA copy number for MALT1,26 activating mutations of CARD1132 as well as of MyD88 (Toll-like receptor pathway). The activating exchange of leucine to proline at position 265 of MyD88, noted to occur in between 38% (11/29) and 50% (7/14) of patients, is the most frequent mutation identified thus far in PCNSL.27,33 In addition, the coding region of CD79B, a component of the B-cell receptor signaling pathway, appears to contain mutations in 20% of cases, suggesting that dysregulation of the B-cell receptor and NF-κB pathways contribute to the pathogenesis of PCNSL.34
Elucidation of mechanisms responsible for the selective tropism of lymphoma to the brain microenvironment is a subject central to the pathogenesis of PCNSL. Expression of the B-cell chemokines CXCL12 and CXCL-13 by intraocular and CNS lymphomas has been documented.35-37 Each of these peptides promote chemotaxis of cells isolated from CNS lymphoma lesions, consistent with neurotropic factors in CNS lymphoma. Moreover, elevated concentrations of CXCL13 in CSF correlates with adverse prognosis, supporting its role as a potential survival factor. Measurement of CSF concentration of CXCL13 as well as interleukin (IL)-10 may also be useful in facilitating the diagnosis of CNS lymphoma, both at diagnosis and at relapse.38
Transcriptional profile studies of PCNSL have identified a number of potential mediators of disease pathogenesis including upregulated expression of MYC.19 Evidence for increased MYC expression was also observed in an independent immunohistochemical analysis of diagnostic specimens of PCNSL patients enrolled in CALGB (Alliance) 50202.5 Selective upregulation of miRNAs associated with the MYC pathway (miR-17-5p, miR-20a, miR-9) was also demonstrated in an analysis comparing microRNAs (miRNAs) between PCNSL and nodal DLBCL.39
The JAK/STAT pathway may also contribute to survival signaling in PCNSL. Expression of IL-4, a B-cell growth factor that signals via the JAK/STAT pathway, is upregulated within the vascular microenvironment in CNS lymphoma.19 Increased levels of IL-10 protein in vitreous fluid and in CSF are associated with the pathogenesis of PCNSL and correlate with adverse prognosis.40,41 JAK1 transcripts are increased in PCNSL,19,42 with evidence for intratumoral JAK1 activation.40 Elevated expression of IL-10 and activation of JAK/STAT signaling in PCNSL are consistent with aberrant activation of the MyD88 pathway.43
Clinical presentation
In a recent retrospective series of patients with a history of rapidly progressive neurologic deterioration who underwent diagnostic brain biopsy, the most common etiology was PCNSL (20%). Among immunocompetent patients, the median age at diagnosis of PCNSL was 56 years, with a male-to-female ratio of 1.2-1.7:1. The clinical presentation of PCNSL usually reflects the neuroanatomic location of the lesion(s). More than than 60% of patients have cognitive, motor, or constitutional symptoms; 30% have visual symptoms at presentation and 20% have seizures.44 Concomitant leptomeningeal disease, which occurs in approximately 15% to 20% of patients at presentation, is typically asymptomatic.45 Isolated cranial nerve, spinal cord, and/or cauda equina involvement at presentation is rare. Intraocular lymphoma is associated with blurred vision, decreased acuity, photophobia, eye pain, and floaters, usually with involvement of both eyes.
Diagnostic and staging evaluation
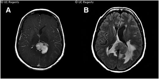
Because the presenting signs and symptoms of CNS and intraocular lymphoma are typically nonspecific, establishing a diagnosis may be difficult. A magnetic resonance–based examination of the brain, with gadolinium contrast, is the recommended first imaging test in diagnostic evaluation. In 95% of cases, there is homogenous enhancement localized to the tumor with rare necrosis, one of the radiographic features that help to distinguish CNS lymphomas from glioblastomas. Among immunocompetent patients with newly diagnosed PCNSL, lesions are solitary in 65% and multifocal in 35%. Cerebral hemisphere disease is most common (38%), followed by lesions within the thalamus/basal/ganglia (16%), corpus callosum (14%), ventricular region (12%), and cerebellum (9%) (Figure 2).46
Characteristic radiographic features of PCNSL on magnetic resonance imaging. (A) A T1 axial, postgadolinium image depicts a periventricular contrast-enhancing lesion with near-uniform contrast enhancement, vasogenic edema and mass effect, in displacement of the lateral ventricles. Lesional contrast enhancement using MRI is used for response assessment. (B) A flair signal abnormality demonstrates the extent of vasogenic edema. (Courtesy Soonmee Cha, MD, University of California–San Francisco).
Characteristic radiographic features of PCNSL on magnetic resonance imaging. (A) A T1 axial, postgadolinium image depicts a periventricular contrast-enhancing lesion with near-uniform contrast enhancement, vasogenic edema and mass effect, in displacement of the lateral ventricles. Lesional contrast enhancement using MRI is used for response assessment. (B) A flair signal abnormality demonstrates the extent of vasogenic edema. (Courtesy Soonmee Cha, MD, University of California–San Francisco).
Features of intraocular lymphoma. (A) Slit-lamp evaluation demonstrating advanced intraocular lymphoma with optic disc swelling, vasculitis, and subretinal and retinal infiltrates. (B) Optical coherence tomography demonstrating a nodular hyper-reflective lesion (arrow) at the retinal pigment epithelium and subretinal space. (Courtesty Paul Stewart, MD, University of California–San Francisco).
Features of intraocular lymphoma. (A) Slit-lamp evaluation demonstrating advanced intraocular lymphoma with optic disc swelling, vasculitis, and subretinal and retinal infiltrates. (B) Optical coherence tomography demonstrating a nodular hyper-reflective lesion (arrow) at the retinal pigment epithelium and subretinal space. (Courtesty Paul Stewart, MD, University of California–San Francisco).
Although initial treatment with glucocorticoids may produce rapid symptomatic improvement, with associated dramatic radiographic responses in approximately 40% of patients, steroid-induced responses may increase the risk of a nondiagnostic brain or vitreal biopsy.47 Steroid-induced diagnostic delays may extend from weeks to months, although we and others have noted rare cases in which steroid-induced regressions of sentinel lesions appear to delay a diagnosis of PCNSL for several years.48 Notably however, after an initial exposure, re-challenge of PCNSL tumors with glucocorticoids sometimes yields a weaker lymphocytotoxic response. In any case, it is recommended that, if possible, empiric administration of dexamethasone or other glucocorticoids be delayed or tapered until a diagnosis is established. If CNS lymphoma is confirmed, steroids should be tapered as quickly as possible, unless there is symptomatic tumor-associated mass effect that is reversed by glucocorticoids.
The most commonly used diagnostic approach for PCNSL is stereotactic brain biopsy; in selected cases, however, partial or gross total resections may be appropriate. Cytologic and/or flow-cytometric analysis of meningeal lymphoma cells isolated from CSF or via pars plana vitrectomy may also yield diagnostic material. In the setting of significant tumor-associated mass effect, particularly in the posterior fossa, a neurosurgical consult may be indicated to evaluate the safety of a diagnostic or staging lumbar puncture. CSF should be efficiently processed for analyses, which includes cell count, protein and glucose concentration, cytology, and flow-cytometric studies designed to identify, in most cases, a κ- or λ-restricted B-cell neoplasm. Our experience has been that repeated CSF cytological or flow-cytometric studies infrequently improves diagnostic yield in PCNSL, supporting development and implementation of other types of molecular diagnostic methods using CSF.38,40,49
Additional standard pretreatment staging tests for PCNSL include complete ophthalmologic examination including slit lamp; contrast-enhanced computed tomography (CT) scan of the chest, abdomen, and pelvis; and bone marrow biopsy. Systemic staging examinations are indicated, given that between 4% and 12% of patients with presumptive PCNSL are ultimately found on evaluation to have extra-CNS disease.50 Whether positron emission tomography imaging significantly improves yield in staging all PCNSL patients has yet to be proven.51 On the other hand, clinical and/or ultrasonographic examination of the testes should be considered in older men in the work-up of presumptive PCNSL. Screening for HIV, hepatitis B and C serology, serum lactate dehydrogenase, electrolytes, renal, and hepatic function tests are requisite in newly-diagnosed PCNSL.52
Because approximately 80% of intraocular lymphoma patients progress to CNS lymphoma, a magnetic resonance imaging (MRI) study of the brain with gadolinium contrast should be performed in patients with idiopathic uveitis in which lymphoma is considered in the differential diagnosis. Additional diagnostic tests for ocular lymphoma include fluorescence angiography and optical coherent tomography.53 Flow-cytometric analysis of vitrectomy or biopsy material can be a highly accurate diagnostic modality; however, again, rapid transportation of the specimen to the laboratory should be performed to achieve the greatest diagnostic yield.14 Molecular analyses of immunoglobulin gene rearrangements and ocular cytokine levels demonstrating elevations in IL-10 with an IL-10/IL-6 ratio >1.0 may be useful to aid in diagnosis.54
Prognosis
Although PCNSL is classified as a stage IE form of NHL, clinical prognostication of this disease is based on systems distinct from the Ann Arbor index. The International Extranodal Lymphoma Study Group described 5 parameters associated with poor prognosis in PCNSL, three of which are shared with systemic NHL: age older than 60 years, Eastern Cooperative Group performance status >1, and elevated lactate dehydrogenase; CNS lymphoma–specific parameters include high CSF protein concentration and tumor location within the deep regions of the brain (periventricular, basal ganglia, brainstem, and/or cerebellum). Patients with 0 to 1, 2 to 3, or 4 to 5 of these adverse risk factors had 2-year overall survival rates of 80%, 48%, or 15%, respectively.55 Although age is the most reproducible clinical prognostic factor cited in the literature, there is disagreement in regards to the specific age cut-point at which prognosis declines most reliably; although most studies specify an age of 60 years, the Memorial Sloan-Kettering prognostic index identified age 50 as the cut point at which prognosis declines.56 Notably, in a recent prospective multicenter study using an intensive immunochemotherapy regimen with dose-intensive consolidation, without whole-brain irradiation, patients older than 60 did similarly well to younger patients,5 an observation that replicates the institutional experience with the same regimen and suggests that the optimal cut point for age as a prognostic variable may be dependent on treatment-specific factors.9
How I treat CNS lymphomas
Surgery
As stated before, the diagnosis of PCNSL is usually established by stereotactic brain biopsy, and previously, authorities have recommended against planned resections of CNS lymphoma based on the evidence that aggressive surgery may increase the risk of postoperative deficit and provides no survival benefit compared with biopsy alone.57,58 However, a recent retrospective analysis of the German PCNSL Study Group-1 (GPSG-1) Trial, a large, randomized phase 3 study has challenged this paradigm. According to their data, when controlled for the number of lesions, aggressive resection of CNS lymphoma correlated with improved progression-free survival with the regimen studied in this trial.59 We concur that in individualized cases, particularly in the setting of well-circumscribed lesions with significant mass effect and in which tumor debulking is deemed feasible with low risk of neurologic deficit, aggressive surgical cytoreductions may provide immediate relief of mass effect, facilitate the rapid tapering of glucocorticoids, and eliminate cell populations with drug resistance potential, thus providing significant clinical benefit. Another key factor that may explain the discrepancy between the conclusions of previous studies and those of the GPSG-1 study may relate to technical advances in neurosurgery that increase the safety of more aggressive resections. On the basis of this preliminary data, as well as our experience, we believe that in selected cases, aggressive resection of a CNS lymphoma may be indicated, particularly in the setting of well-circumscribed lesions with significant mass effect in non-deep brain structures. The conclusions of the retrospective analysis of GPSG-1 trial are also not surprising considering previous evidence that extent of resection of newly diagnosed and recurrent glioblastoma, another infiltrative brain tumor, positively correlates with improved survival.60
Whole-brain radiation
In general, whole-brain irradiation is highly effective in the generation of immediate responses in patients with CNS lymphoma, and therefore this modality historically has been valuable to patients who otherwise experienced a rapidly deteriorating course caused by an unusual type of brain tumor rarely encountered in community practice. The utility of whole-brain radiotherapy in the treatment of CNS lymphoma is limited, though, by at least 3 factors: (1) insufficient local control of lymphoma; (2) dissemination of lymphoma cells within the CSF circulation, outside of the radiation field; and (3) detrimental effects of radiation on brain function. In one study, the use of whole-brain radiation therapy as the sole treatment of PCNSL (36-40 Gy) yielded an overall response rate of 90% but a median overall survival of only 11.6 months, with >60% of patients experiencing progression of lymphoma within the irradiated field.61 There is also increasing recognition of the long-term neurotoxicity of whole-brain radiotherapy, which, as illustrated by Abrey and colleagues, is manifested by incontinence and gait and memory disturbances. In their series, patients older than 60 years were most vulnerable to this complication, and many required custodial care to manage this treatment-related toxicity.62 Although there is evidence that lower doses of whole-brain radiotherapy may cause less discernible neurotoxicity compared with standard doses, additional validation is necessary, and based on the evidence of deleterious neurocognitive effects of prophylactic cranial irradiation at 30 Gy,63 it is logical to postulate that radiation-induced neurotoxicity may be a continuous variable. Certainly, whole-brain radiotherapy can be a highly effective first-line salvage for methotrexate resistance; nevertheless, during the past 10 years, there has been increased interest in the development of strategies that defer or eliminate whole-brain radiotherapy as induction therapy or as consolidation in patients in first complete remission.
Induction chemotherapeutic strategies
Studies by Canellos and colleagues in the late 1970s demonstrated unanticipated efficacy of systemic high-dose methotrexate (HD-MTX) plus leukovorin rescue as monotherapy in the treatment of selected patients with recurrent CNS lymphomas.64,65 For pharmacologic and/or biological reasons that are unclear, it is now appreciated that large-cell lymphoma within the brain microenvironment has an approximately twofold greater sensitivity to HD-MTX–based therapies compared with systemic lymphomas of the same histology.66 Blay and colleagues demonstrated that HD-MTX is the most significant treatment-related prognostic variable related to survival in PCNSL,67 and currently, HD-MTX constitutes the backbone of the vast majority of induction regimens in this disease.
To date, however, the optimal high-dose regimen for methotrexate has not been firmly defined. In our experience, doses ≥1 g/m2 achieve tumoricidal levels of methotrexate in brain parenchyma, in agreement with the experience of Skarin et al.65 Importantly, Glantz and colleagues demonstrated that intravenous administration of methotrexate (8 g/m2 over 4 hours) produces higher cytotoxic levels of methotrexate (>1 μM) in serum and CSF than intrathecal methotrexate (12-mg dose) at 48 and 72 hours. In addition, retrospective analysis of PCNSL outcomes at Memorial Sloan-Kettering Cancer Center demonstrated that the elimination of intrathecal methotrexate from induction therapy did not affect outcome in patients treated with HD-MTX at a target dose of 3.5 g/m2.68 Taken together, these observations suggest that HD-MTX is sufficient to treat brain and leptomeningeal disease. Our experience confirms these observations, in particular that combined intravenous plus intrathecal methotrexate is not necessary, even with established lymphomatous meningitis at diagnosis, assuming that HD-MTX at doses in excess of 3 g/m2 can be administered every 2 weeks for a minimum of 6 cycles.5,9
At present, there are no evidence-based guidelines that dictate the optimal number of HD-MTX cycles to be administered at diagnosis. There is, however, evidence to suggest that >4 cycles of methotrexate-based therapy may be necessary to obtain a significant remission before using non–cross-resistant agents in consolidative therapy.69 Based on our experience and the prospective studies of Hochberg and Batchelor,70,71 we administer 8 cycles of HD-MTX during induction in responding patients, assuming a complete remission has been attained by completion of cycle 6; in selected cases, additional cycles beyond 8 may be appropriate and feasible if the disease is responsive, but not in radiographic and cytologic complete remission by cycle 6. Remarkably, according to the data of Batchelor et al, approximately 20% of PCNSL patients may have long-term progression-free survival with methotrexate monotherapy using this approach.72
It is important to be aware of the acute toxicities of HD-MTX, which include renal dysfunction caused by methotrexate nephropathy and the precipitation of methotrexate and 7-OH-methotrexate within renal tubules, a potentially life-threatening complication that occurs in as much as 5% of patients. Safe administration of HD-MTX requires vigorous hydration, urine alkalinization, the avoidance of drug interactions such as with nonsteroidal antiinflammatory drugs, salicylic acid, fluoroquinolones, penicillin derivatives, and sulfonamides. It is also important to minimize the risk of superimposed iodine contrast nephropathy with that of methotrexate nephropathy by providing an interval of at least 2 days between CT-based axial imaging during pretreatment staging and induction of HD-MTX. Third-space effusions need to be identified and drained and serum methotrexate monitored closely with leukovorin rescue at 24 hours. Delayed methotrexate excretion with renal dysfunction requires prompt increases in leukovorin dosing, continued alkalinization, and hydration. Additional interventions for delayed methotrexate clearance as a result of impaired renal function include administration of carboxypeptidase-G2 (CPDG2, glucarpidase), a recombinant bacterial enzyme approved by the FDA in 2012 that hydrolyzes methotrexate, reducing toxic serum methotrexate concentrations within 15 minutes of administration.73
Combined-modality regimens
DeAngelis and colleagues pioneered a combination regimen consisting of high-dose systemic methotrexate plus CNS-penetrant agents, such as procarbazine, followed by whole-brain irradiation and high-dose cytarabine; implementation of this regimen in the multicenter setting, coordinated by the Radiation Therapy Oncology Group, yielded a median progression-free survival of 24 months.74 Because of this encouraging efficacy, combined-modality therapy became a widely adopted approach for PCNSL.75,76 In a large, randomized phase 2 study, Ferreri and colleagues evaluated a HD-MTX–based induction, plus or minus high-dose cytarabine (2 g/m2) followed by consolidative whole-brain radiotherapy: the median failure-free survival in patients who received HD-MTX in combination with HD-Ara-C induction was 8 months; by contrast, the median failure-free survival of patients who received HD-MTX without Ara-C was only 4 months (Table 1).77,78 However, in the SG-1 trial, a large, randomized phase 3 trial in which half of the patients received whole-brain radiotherapy as first-line consolidation, Thiel and colleagues provided evidence that omission of whole-brain radiotherapy from first-line chemotherapy does not compromise survival. Although whole-brain radiotherapy resulted in a modest improvement in progression-free survival after methotrexate-based induction, this did not translate into improved overall survival, possibly because of the severe neurotoxicity caused by whole-brain radiotherapy that was detected in nearly half of patients in the radiotherapy arm.79
Treatment regimens for PCNSL
| Study (number of patients) . | Regimen . | Response rate . | Median PFS . | Median OS . |
|---|---|---|---|---|
| WBRT | ||||
| Nelson et al, 199261 (N = 41) | WBRT 40 Gy + 20 Gy boost | 100% | MA | 12.2 |
| MTX monotherapy | ||||
| Batchelor et al, 200372 (N = 23) | MTX 8 g/m2 | 74% | 12.8 | >23 |
| Herrlinger et al, 200578 (N = 37) | MTX 8 g/m2 | 35% | 10 | 25 |
| Combined-modality therapy | ||||
| Ferreri et al, 200977 (N = 40) | MTX 3.5 g/m2 + WBRT (36-45 Gy) | 41% | 4 | 10 |
| Ferreri et al, 200977 (N = 39) | MTX 3.5 g/m2 + HD-AC + WBRT (36-45 Gy) | 69% | 8 | 32 |
| DeAngelis et al, 200274 (N = 102) | MPV + IT MTX + WBRT (45 Gy) + HD-AC | 94% | 24 | 37 |
| Shah et al, 2007110 (N = 30) | R-MPV + HD-AC + WBRT (23 Gy) | 93% | >37 | 40 |
| Intensive chemotherapy | ||||
| Illerhaus et al, 20086 (N = 13) | MTX 8 g/m2 + HD-AC/TT+ BCNU/TT (ASCT) | 85% | NR | NR |
| Rubenstein et al, 20135 (N = 44) | MT-R + EA | 77% | 52 | NR |
| Study (number of patients) . | Regimen . | Response rate . | Median PFS . | Median OS . |
|---|---|---|---|---|
| WBRT | ||||
| Nelson et al, 199261 (N = 41) | WBRT 40 Gy + 20 Gy boost | 100% | MA | 12.2 |
| MTX monotherapy | ||||
| Batchelor et al, 200372 (N = 23) | MTX 8 g/m2 | 74% | 12.8 | >23 |
| Herrlinger et al, 200578 (N = 37) | MTX 8 g/m2 | 35% | 10 | 25 |
| Combined-modality therapy | ||||
| Ferreri et al, 200977 (N = 40) | MTX 3.5 g/m2 + WBRT (36-45 Gy) | 41% | 4 | 10 |
| Ferreri et al, 200977 (N = 39) | MTX 3.5 g/m2 + HD-AC + WBRT (36-45 Gy) | 69% | 8 | 32 |
| DeAngelis et al, 200274 (N = 102) | MPV + IT MTX + WBRT (45 Gy) + HD-AC | 94% | 24 | 37 |
| Shah et al, 2007110 (N = 30) | R-MPV + HD-AC + WBRT (23 Gy) | 93% | >37 | 40 |
| Intensive chemotherapy | ||||
| Illerhaus et al, 20086 (N = 13) | MTX 8 g/m2 + HD-AC/TT+ BCNU/TT (ASCT) | 85% | NR | NR |
| Rubenstein et al, 20135 (N = 44) | MT-R + EA | 77% | 52 | NR |
Note that for Ferreri et al (2009), the median failure-free survival is represented in the table.
ASCT, autologous stem cell transplant; EA, infusional etoposide plus high-dose cytarabine; HD-AC, high-dose cytarabine; IT, intrathecal; MPV, methotrexate plus procarbazine and vincristine; MT-R, methotrexate plus temozolomide and rituximab; MTX, methotrexate; TT, thiotepa; WBRT, whole-brain radiotherapy.
High-dose chemotherapy consolidation
During the past 15 years, there has been increasing interest in the role of dose-intensive chemotherapeutic consolidation, including autologous stem cell rescue in CNS lymphoma. Many of the most promising results have been obtained with regimens that include CNS-penetrant agents such as carmustine, thiotepa, cyclophosphamide, busulfan, high-dose cytarabine, and etoposide (Table 2).6,8,80,81 Notably, results obtained using the BEAM combination regimen followed by autologous stem cell rescue were not promising in a single-institution study.69
Chemotherapy agents and combinations used in high-dose chemotherapy consolidative and preparative regimens that are effective in CNS lymphomas
| Dose-intensive consolidation/preparative regimen . | Reference . |
|---|---|
| Cyclophosphamide, carmustine, etoposide | Alvarnas et al, 199981 |
| Thiotepa, busulfan, cyclophosphamide | Soussain et al, 2001,79 2008100 ; Cote et al, 2012102 |
| Carmustine, thiotepa | Illerhaus et al, 20086 |
| Carmustine, thiotepa, etoposide | Korfel et al, 20138 |
| Infusional etoposide, high-dose cytarabine | Wieduwilt et al, 20129 ; Rubenstein et al, 20135 |
| Dose-intensive consolidation/preparative regimen . | Reference . |
|---|---|
| Cyclophosphamide, carmustine, etoposide | Alvarnas et al, 199981 |
| Thiotepa, busulfan, cyclophosphamide | Soussain et al, 2001,79 2008100 ; Cote et al, 2012102 |
| Carmustine, thiotepa | Illerhaus et al, 20086 |
| Carmustine, thiotepa, etoposide | Korfel et al, 20138 |
| Infusional etoposide, high-dose cytarabine | Wieduwilt et al, 20129 ; Rubenstein et al, 20135 |
Soussain and colleagues described one of the earliest series to demonstrate the efficacy of high-dose chemotherapy and autologous stem cell transplant in salvage of recurrent CNS and intraocular lymphoma. One of the key findings of this study was the observation that the combination of etoposide plus high-dose cytarabine was highly active as first-line salvage therapy in recurrent/refractory CNS lymphomas, with 12 of 14 patients exhibiting responses, 8 of which were complete responses.80 After stem cell collection, responding patients in the trial were treated with a myeloablative regimen consisting of thiotepa, busulfan, and cyclophosphamide.
In early 2001, our group at the University of California–San Francisco began to pursue high-dose chemotherapy as first-line consolidation in patients with newly diagnosed PCNSL. We developed a 2-step regimen, designed to be tolerated by the majority of PCNSL patients, particularly during the month post diagnosis when performance status and neurologic function are most compromised. The regimen involves 4 months of induction therapy using intravenous HD-MTX given every 2 weeks with oral temozolomide and intravenous rituximab (MT-R) followed by high-dose consolidation, without WBRT. Methotrexate is administered at a target dose of 8 g/m2 over 4 hours, with appropriate dose reductions, particularly for renal insufficiency, and with leucovorin rescue starting day 2 every 6 hours. Intravenous rituximab (375 mg/m2) is administered on day 3 of this regimen, weekly for 6 doses during the first 2 months, a window in which the blood-brain barrier is compromised81 and we hypothesized would therefore facilitate delivery of rituximab to the tumor. Temozolomide is a brain-penetrant alkylator with established activity at relapse in CNS lymphoma, both as monotherapy and in combination with rituximab.83-85 Importantly, temozolomide has a superior toxicity and health-related quality of life profile in brain tumor patients compared with procarbazine.86,87 Temozolomide is administered monthly in a 5-day course at 150 mg/m2, starting on days 7 to 11. To attempt to improve progression-free survival after MT-R, responding PCNSL patients received intensive consolidation with non–cross-resistant agents: 96-hour infusional etoposide (40 mg/kg intravenously over 96 hours) plus 8 doses of high-dose cytarabine (EA) at 2 g/m2 over 2 hours every 12 hours.88-90 Notably, infusional etoposide is incorporated within the EPOCH regimen (infusional etoposide, vincristine, Adriamycin plus bolus cyclophosphamide, and oral prednisone), which is highly active against large B-cell lymphoma,91,92 the most common histologic subtype to cause CNS lymphomas. Several studies have demonstrated the activity of etoposide in brain tumors, including lymphoid leukemia involving the CNS.93 Etoposide is also associated with a reduced risk of SCNSL when given in combination with CHOP in patients with aggressive lymphoma.94 The contribution of high-dose cytarabine in PCNSL was demonstrated in a randomized phase 2 study by Ferreri and colleagues.77
The relative effectiveness of this 2-step program may be attributed to the fact that there is very little significant myelosuppression with combination MT-R, despite the addition of an alkylator, temozolomide84 or rituximab,95 resulting in few treatment delays during induction. Malignant CSF cytology at diagnosis did not affect outcome or pattern of recurrence. With long-term follow-up, our findings suggest that combination high-dose infusional etoposide plus cytarabine (EA) is highly effective as consolidation after MT-R in newly diagnosed patients with PCNSL.9 Notably, the dose intensity of EA used in this regimen is approximately twofold higher than the doses of etoposide-cytarabine used as first-line salvage in the Soussain series.80 With a median follow-up of >72 months, of the first 14 PCNSL patients who received MT-R followed by EA consolidation, 12 remain in remission to date. Similar promising results have been observed in newly diagnosed patients with stage IV large B-cell lymphoma, with synchronous brain parenchymal and systemic lymphoma treated with induction HD-MTX plus R-CHOP, followed by consolidation with EA.9
When the MT-R plus EA regimen was evaluated in the multicenter setting, nearly identical results were obtained. CALGB (Alliance) 50202 demonstrated for the first time the feasibility of high-dose chemotherapy in the multicenter setting in newly diagnosed PCNSL patients. The 2-year rate of progression-free survival in this multicenter study—0.57—exceeds those of other chemotherapy-alone studies and the median time to progression of all 50202 patients—4 years—is two times longer than that achieved with combined-modality therapy in multicenter trials using standard-dose whole-brain radiotherapy.74,79 In addition, for the first time in a multicenter trial in PCNSL conducted by a cooperative group, the progression-free survival curves showed evidence of a stable plateau, and with a median follow-up of >5 years, the median overall survival has not been reached. The overall survival for the cohort that completed dose-intensive consolidation with EA was particularly promising and confirmed institutional data (Figure 5).9 Moreover, the regimen was well tolerated, with only 10% of patients experiencing grade 4 neutropenia during induction. As expected, however, high-dose consolidation was associated with a >80% rate of grade 4 neutropenia and thrombocytopenia, and all patients received growth factor and antibiotic support during consolidation. The 1 treatment-related mortality in the study was a grade 5 septic event during a neutropenic nadir from intensive consolidation in a subject managed as an outpatient, underscoring our recommendation for detailed inpatient monitoring during the consolidation phase until count recovery. Importantly, there were no reported cases of severe neurotoxicity in the trial, despite the high-doses of cytarabine administered; however, detailed neurocognitive evaluations were not performed. A flow chart depicting our diagnostic and therapeutic approach is presented in Figure 4.
How I treat PCNSL. In the diagnostic work-up, an MRI of the spine (± gadolinium) may be useful if warranted by neurologic symptoms or if CSF analysis is contraindicated. Ultrasonography of the testes is indicated for older male patients with CNS involvement of lymphoma in which testes coinvolvement is suspected on clinical and/or radiographic grounds. The value of a positron emission tomography scan in this setting is not established. Although the schedule of Decadron taper should be individualized for each patient, we recommend a planned taper to be completed within 2 to 3 weeks of diagnosis, between the first and second courses of HD-MTX. Therapeutic options for indolent lymphomas that involve the CNS or dura include rituximab, fludarabine, involved-field irradiation, and HD-MTX for CNS involvement of chronic lymphocytic leukemia/small lymphocytic leukemia. For newly diagnosed patients who are not candidates for HD-MTX, in most cases we recommend a trial of temozolomide and rituximab and/or strategies that use high-dose chemotherapy, before consideration of using whole-brain irradiation. ASCT, autologous stem cell transplant; CR, complete response; EA, etoposide-cytarabine; HSV, herpes simplex virus; MT-R, combination HD-MTX, temozolomide, and rituximab (rituximab is omitted for T-cell lymphomas); PCP, Pneumocytis jiroveci pneumonia; PD, progressive disease; PR, partial response; SD, stable disease; WBRT, whole-brain radiotherapy.
How I treat PCNSL. In the diagnostic work-up, an MRI of the spine (± gadolinium) may be useful if warranted by neurologic symptoms or if CSF analysis is contraindicated. Ultrasonography of the testes is indicated for older male patients with CNS involvement of lymphoma in which testes coinvolvement is suspected on clinical and/or radiographic grounds. The value of a positron emission tomography scan in this setting is not established. Although the schedule of Decadron taper should be individualized for each patient, we recommend a planned taper to be completed within 2 to 3 weeks of diagnosis, between the first and second courses of HD-MTX. Therapeutic options for indolent lymphomas that involve the CNS or dura include rituximab, fludarabine, involved-field irradiation, and HD-MTX for CNS involvement of chronic lymphocytic leukemia/small lymphocytic leukemia. For newly diagnosed patients who are not candidates for HD-MTX, in most cases we recommend a trial of temozolomide and rituximab and/or strategies that use high-dose chemotherapy, before consideration of using whole-brain irradiation. ASCT, autologous stem cell transplant; CR, complete response; EA, etoposide-cytarabine; HSV, herpes simplex virus; MT-R, combination HD-MTX, temozolomide, and rituximab (rituximab is omitted for T-cell lymphomas); PCP, Pneumocytis jiroveci pneumonia; PD, progressive disease; PR, partial response; SD, stable disease; WBRT, whole-brain radiotherapy.
Progress in the treatment of PCNSL. Comparison of outcomes for newly diagnosed PCNSL in 2 multicenter cooperative group clinical trials. (A) Combined modality therapy with whole-brain radiotherapy in RTOG-9310 resulted in median progression-free survival of 2 years, with a significant rate of disease progression beyond 2 years. (B) Immunochemotherapy with rituximab plus intensive consolidation—CALGB (Alliance) 50202—resulted in a median progression-free survival of 4 years with evidence for a stable plateau in the survival curve. (C) Progression-free survival was particularly encouraging for the 65% of patients who received both induction plus consolidation treatment modules of CALGB (Alliance) 50202.
Progress in the treatment of PCNSL. Comparison of outcomes for newly diagnosed PCNSL in 2 multicenter cooperative group clinical trials. (A) Combined modality therapy with whole-brain radiotherapy in RTOG-9310 resulted in median progression-free survival of 2 years, with a significant rate of disease progression beyond 2 years. (B) Immunochemotherapy with rituximab plus intensive consolidation—CALGB (Alliance) 50202—resulted in a median progression-free survival of 4 years with evidence for a stable plateau in the survival curve. (C) Progression-free survival was particularly encouraging for the 65% of patients who received both induction plus consolidation treatment modules of CALGB (Alliance) 50202.
The most significant clinical prognostic variable identified in 50202 was the timing of the initiation of remission induction therapy: delayed initiation of HD-MTX beyond 30 days after diagnosis correlated with significantly shorter event-free survival.5 This observation is in agreement with prior evidence that significant delays in the diagnosis of intraocular lymphoma correlates with adverse outcome,96,97 and it underscores our recommendation that PCNSL patients be efficiently staged and that methotrexate-based therapy be started promptly after diagnosis of this aggressive brain tumor.
Based on the promising results of this regimen, a successor randomized phase 2 trial, CALGB 51101, has been initiated. After remission induction therapy with MT-R, patients receive either nonmyeloablative consolidation with EA or myeloablative therapy and stem cell transplant with carmustine plus thiotepa, a regimen that has been studied by the Freiburg group.6 This study, which has been endorsed by Alliance, Southwest Oncology Group, and Eastern Cooperative Oncology Group, represents the first randomized trial for PCNSL in which neither arm involves whole-brain radiotherapy.
Treatment of synchronous brain and systemic lymphoma at diagnosis
Our approach to the treatment of patients with synchronous brain parenchymal and/or leptomeningeal plus systemic lymphoma (usually large cell or, more rarely, intravascular lymphoma) at diagnosis is, after staging of the body and neuroaxis, to proceed with HD-MTX (between 3-8 g/m2) with leucovorin rescue every 2 weeks for a total of 8 cycles plus standard dose R-CHOP (rituximab, cyclophosphamide, vincristine, Adriamycin, and prednisone) every 3 weeks for a total of 6 cycles. When R-CHOP and HD-MTX are given on the same week, we administer HD-MTX on day 1 and R-CHOP on day 3. We recommend that patients who achieve complete responses with this M–R-CHOP induction, in both CNS and systemic compartments, and those who have adequate organ function, receive EA consolidation. Our experience with this approach, although somewhat limited given its rarity, suggests that long-term survival can be achieved without whole-brain radiotherapy consolidation for patients with this complex presentation.9
Secondary CNS lymphoma
Brain and leptomeningeal dissemination is one of the most morbid complications of recurrent aggressive systemic NHL. The natural history of SCNSL was recently illustrated in a retrospective analysis of SWOG 8516, which illustrated the fact that CNS relapses tend to occur earlier than systemic relapses (P < .003) (median onset of CNS relapse occurred within 5.4 months of initial therapy) and that the median survival after diagnosis of SCNSL was only 2.2 months compared with 9 months for non-CNS relapse. Risk factors for CNS dissemination of systemic aggressive lymphomas include high International Prognostic Index score and extranodal involvement at diagnosis, with the testes being a site of notoriously high risk. In addition, in this study, the efficacy of intrathecal chemotherapy intended to protect against SCNSL could not be demonstrated.98
Given the efficacy of HD-MTX–based chemotherapy in the treatment of established PCNSL, as well as the data demonstrating higher sustained cytotoxic methotrexate levels in CSF after high-dose intravenous dosing compared with CSF levels after intrathecal administration,99 we selectively administered HD-MTX (3-8 g/m2), usually for between 2 and 4 courses, in a sequence individualized for the patient, as prophylaxis for patients with systemic NHL with the aforementioned high-risk features of CNS relapse. A recent retrospective study performed by Abramson and colleagues provides the first evidence for the efficacy of this approach in preventing CNS relapse in patients with high-risk systemic disease.100
Treatment of recurrent CNS lymphomas
In the setting of established relapsed primary and/or secondary CNS and intraocular lymphoma, there is increasing data suggesting that high-dose chemotherapy with autologous stem cell transplant is feasible and effective.7,80,101 Recently, Korfel and colleagues described their phase 2 experience with systemic HD-MTX–based therapy in combination with other CNS-penetrant agents—thiotepa, ifosfamide, and cytarabine plus intrathecal DepoCyt—as first-line salvage. Responding patients went on to receive myeloablative therapy with carmustine, thiotepa, and etoposide. The approach yielded an encouraging progression-free survival rate of 0.49 at 2 years.8 Our approach to the treatment of relapsed CNS lymphomas depends on whether the recurrent CNS lymphoma is methotrexate-resistant. In the setting of relapsed CNS lymphoma that is sensitive to HD-MTX, we recommend repeat HD-MTX administration in a manner analogous to the treatment of newly diagnosed PCNSL, with the aim of achieving maximal cytoreduction, (6-8 cycles), followed by dose-intensive consolidation with non–cross-resistant agents and stem cell transplant using one of several thiotepa-based regimens that are active in CNS lymphomas (Figure 4).8,102,103 High-dose carmustine-based therapy without thiotepa is also a consideration (Table 2).81
Notably, however, patients with disease that has relapsed within 6 months of EA or other dose-intensive regimens used to consolidate a first remission of PCNSL may not be good candidates for second-line high-dose chemotherapeutic salvage approaches. We offer investigational therapeutic trials or reserve whole-brain radiotherapy primarily for such patients, as well as for those with demonstrated methotrexate resistance.
The role of rituximab in CNS lymphomas
Although rituximab consistently improves outcomes in systemic B-cell NHL, a number of reports suggest that the addition of rituximab to CHOP (cyclophosphamide, doxorubicin, vincristine, prednisone) chemotherapy may not significantly decrease the rate of CNS relapse of systemic, diffuse large B-cell lymphoma compared with CHOP alone.104-106 These observations concur with data that <1% of systemic rituximab penetrates the leptomeningeal compartment.107 Nevertheless, several studies demonstrate that intravenous rituximab may induce responses of contrast-enhancing lesions of CNS lymphoma, suggesting selective activity in the setting of a disrupted blood-brain barrier95 and supporting the rationale for incorporation of rituximab within induction regimens for PCNSL.
In 2 multicenter phase 1 trials, our group evaluated the safety and activity of intraventricular rituximab, both as monotherapy and in combination with intraventricular methotrexate. Our data suggest that, when diluted in preservative-free normal saline and administered via Ommaya reservoir, 10- and 25-mg doses of rituximab are well tolerated and can elicit responses in CSF, intraocular compartments, and small lesions within the brain, in a steroid-independent manner. The activity of intraventricular rituximab was additive or synergistic with methotrexate; this combination appeared to be useful in the setting of a high burden of leptomeningeal disease, eg, lymphoma cell counts >20 000 cells/mL in CSF. Finally, we demonstrated that intraventricular rituximab may overcome resistance mediated by the blood-brain barrier because several responses were noted in the CSF in patients with baseline serum rituximab concentrations >15 μg/mL. Notably, 2 patients achieved a first complete response of CNS lymphoma with intraventricular rituximab/MTX, including one with CNS lymphoma refractory to high-dose systemic and intrathecal MTX plus 20 previous infusions of intravenous rituximab.108,109
In summary, given the data from a number of prospective trials as well as clinical series that document activity of rituximab in the setting of CNS lymphomas, as monotherapy and in combination with methotrexate-based induction regimens,110 as well as the overwhelming evidence that rituximab improves survival in systemic CD20+ NHL, we recommend the incorporation of intravenous rituximab in CD20+ CNS lymphoma–directed therapies. Notably, however, randomized data evaluating the impact of rituximab as part of induction therapy have not yet been presented. Although an accumulation of evidence suggests activity in recurrent disease, intraventricular rituximab remains investigational, and the combination of intraventricular plus intravenous rituximab for recurrent CNS lymphoma is currently under evaluation in the phase 1 setting (NCT01542918).
Treatment of intraocular lymphoma
Most cases of intraocular lymphomas are of the diffuse, large B-cell type, either primary vitreoretinal lymphoma or uveal lymphoma, which themselves can be subdivided into primary neoplasms of the choroid, iris, and ciliary body, or secondary choroidal lymphomas in patients with disseminated NHL. These types of B-cell neoplasms are to be distinguished from marginal zone lymphomas that tend to present in the ocular adnexa, eg, the conjunctiva, and that do not pose a high risk of CNS dissemination. Notably, intraocular lymphoma affects between 15% and 25% of patients with PCNSL, and CNS lymphoma ultimately develops in 65% to 90% of patients with primary vitreoretinal lymphoma, usually within 30 months.
Therapy for primary vitreoretinal lymphoma can be divided into systemic chemotherapy vs local approaches such as ocular radiation and intravitreal therapy; again, the optimal approach has not been defined (Table 3).111 External beam radiotherapy involving 35 to 40 Gy using opposed lateral beams results is well tolerated, with low rates of local recurrence, and is favored in the setting of bilateral disease.112 Intravitreal methotrexate and rituximab are also highly effective and may be preferred in the setting of unilateral disease or in patients previously treated with ocular radiation.113,114 Treatment-related complications of intravitreal methotrexate may be dose related but can be significant, including vitreous hemorrhage, endophthalmitis, retinal detachment, and hypotony.53 Systemic treatments for intraocular lymphoma include high-dose systemic methotrexate, yielding cytotoxic levels in the aqueous and vitreous humor,115 as well as high-dose cytarabine and ifosfamide or trofasfamide.116 Notably, in primary vitreoretinal lymphoma, the up-front use of HD-MTX plus binocular irradiation provides both local control and addresses the high probability of microscopic disease throughout the neuroaxis.117 At our institution, we have observed favorable outcomes in patients who present with primary intraocular lymphoma and/or concomitant PCNSL with intraocular lymphoma with the 2-stage program involving HD-MTX–based induction followed by dose-intensive consolidation as used in CALGB 50202. Using this approach, the persistence and/or recurrence of isolated intraocular lymphoma after completion of dose-intensive consolidation is an indication for binocular, but not whole-brain, irradiation.
Therapeutic approaches for intraocular lymphoma
| Therapy . | Efficacy . | Toxicity . | Reference . |
|---|---|---|---|
| Ocular XRT (30-40Gy) Wash U Protocol = 35 Gy | Rare local recurrence 60-95% RR; no impact on OS | Cataracts, dry eyes, retinopathy (mild) | Berenbom et al, 2007112 |
| HD-MTX | ∼50% sustained response, poor vitreous penetration | Mild | Batchelor et al, 2003115 |
| HD-MTX + Binocular XRT (± overlap) | 100% CR | Cataracts, dry eyes, retinopathy | Stefanovic et al, 2010117 |
| Intensive chemo (EA) + ASCT (TBC) | >50% patients respond to EA; 6/10 CR | Neurologic toxicity, hemorrhage, VOD | Soussain et al, 200179 |
| Intravitreal rituximab (1 mg) or MTX (200 mcg) in 0.1 mL | Requires >6 injections to achieve CR; investigational | Conjunctival keratopathy, cataracts, optic atrophy, endophthalmitis | Itty and Pulido, 2009114 ; Kim et al, 2006111 |
| Therapy . | Efficacy . | Toxicity . | Reference . |
|---|---|---|---|
| Ocular XRT (30-40Gy) Wash U Protocol = 35 Gy | Rare local recurrence 60-95% RR; no impact on OS | Cataracts, dry eyes, retinopathy (mild) | Berenbom et al, 2007112 |
| HD-MTX | ∼50% sustained response, poor vitreous penetration | Mild | Batchelor et al, 2003115 |
| HD-MTX + Binocular XRT (± overlap) | 100% CR | Cataracts, dry eyes, retinopathy | Stefanovic et al, 2010117 |
| Intensive chemo (EA) + ASCT (TBC) | >50% patients respond to EA; 6/10 CR | Neurologic toxicity, hemorrhage, VOD | Soussain et al, 200179 |
| Intravitreal rituximab (1 mg) or MTX (200 mcg) in 0.1 mL | Requires >6 injections to achieve CR; investigational | Conjunctival keratopathy, cataracts, optic atrophy, endophthalmitis | Itty and Pulido, 2009114 ; Kim et al, 2006111 |
TBC, thiotepa, busulfan, cyclophosphamide; VOD, venoocclusive disease.
Treatment of CNS lymphoma in the immunocompromised host
Although the incidence of HIV-associated PCNSL has declined markedly with the advent of highly-active antiretroviral therapy, PCNSL continues to be a significant AIDS-defining illness that is difficult to treat. Jacomet and colleagues described the feasibility and efficacy of HD-MTX monotherapy in HIV-associated PCNSL.118 Our experience has been that reconstitution of immune function with highly-active antiretroviral therapy in combination with HD-MTX can result in complete remission and long-term survival in this EBV-related neoplasm, without whole-brain radiotherapy.119
Similarly, in the setting of CNS PTLD, reconstitution of immune function by downward titration and/or cessation of immunosuppressive agents such as prednisone, mycophenolate, and tacrolimus is a requisite first principle in management. In this set of diseases, HD-MTX may also be highly effective, but its implementation and dosing needs to be balanced with the risk of allograft toxicity and failure.120 Intravenous rituximab is also highly effective in CNS complications of PTLD and is frequently indicated given that these are nearly uniformly CD20+ neoplasms. Intrathecal rituximab has also been shown to have activity in this setting.119
Conclusions and future directions
The past 20 years has witnessed remarkable changes in the incidence, epidemiology, natural history, and prognosis for patients with PCNSL, an adult brain tumor previously considered to be incurable and closely linked to the HIV epidemic. It now appears that the incidence of PCNSL is increasing in a population older than 60 years, without clinically overt immunosuppression. Moreover, there is reproducible evidence that by judicious application of established agents and their empiric refinement within combination regimens, long-term survival and cure can be anticipated in approximately 50% of patients. In particular, an accumulation of studies show encouraging survival in newly diagnosed patients treated without whole-brain radiotherapy as consolidation. There is also evidence for progress in the treatment of SCNSLs, a complication long associated with a dismal prognosis. The central questions in therapeutic management for CNS lymphoma patients have evolved significantly: instead of asking whether omission of whole-brain radiotherapy as standard of care in consolidation will compromise survival, a relevant question now is whether there exists a subpopulation that may benefit from whole-brain radiotherapy at first remission. Instead of whole-brain radiotherapy, might radiosurgical approaches such as γ knife or cyberknife be systematically applied in combination with chemotherapy or targeted small molecule therapies? What dose-intensive consolidation and/or preparative regimen is most effective and has the most acceptable toxicity profile in terms of myelosuppression, as well as gastrointestinal and neurotoxicity? (See Table 2.)
Nevertheless, it is highly likely that therapeutic outcomes have now achieved a plateau with existing genotoxic strategies and that further innovations are urgently needed to facilitate diagnosis, prevention, and/or treatment of primary and SCNSLs, especially given their predilection for an aging population, among whom a significant proportion cannot tolerate high-dose chemotherapy and/or whole-brain radiotherapy. Because patients with CNS lymphoma are living longer, there is also a greater need to begin to address quality-of-life issues, including cognitive dysfunction that can occur as a result of disease and treatments.
There is also a significant need to identify novel biomarkers that identify high-risk patient subpopulations, particularly the 20% to 25% of patients who exhibit primary refractory disease during the first 6 months, and the additional 20% of patients who achieve complete response but later have relapse. Candidates include biomarkers such as bcl-6 and XBP-1, which are detected by immunohistochemistry,5,122,123 CSF peptides such as CXCL-13 and IL-10, quantified by enzyme-linked immunosorbent assay, and imaging-based biomarkers such as the apparent diffusion coefficient.124 Given the evidence that, like that of its systemic counterpart, the most common form of PCNSL among immunocompetent patients represents a biologically heterogenous set of diseases, we suggest that the implementation of risk-adapted strategies that apply novel therapies for high-risk patients is now warranted in the next iteration of clinical trial design in PCNSL.
Acknowledgments
Supported by the National Institutes of Health, University of California San Francisco-Gladstone Institute of Virology & Immunology Center for AIDS Research (P30 AI027763), NIH R01CA139-83-01A1, and the Leukemia & Lymphoma Society (J.L.R.).
Authorship
Contribution: J.L.R. conceived, performed research, and wrote the article; N.G., G.M., and A.L. performed research; and P.T. performed research and pathologic consultation.
Conflict-of-interest disclosure: J.L.R. received research funding from Celgene and Genentech for a phase 1 clinical trial. The remaining authors declare no competing financial interests.
Correspondence: James L. Rubenstein, University of California–San Francisco, Division of Hematology/Oncology, M1282 Box 1270, San Francisco, CA 94143; e-mail: jamesr@medicine.ucsf.edu.
![Figure 1. Pathologic features of PCNSL. (A) Diffuse, large B-cell lymphoma (DLBCL) involving the left parietal lobe and basal ganglia exhibits marked mass effect, subependymal spread, and invasion of the lateral ventricle at relapse, upon progression with HD-MTX and rituximab-based chemotherapy. (Courtesy Ray Sobel, MD, Stanford University School of Medicine). (B) DLBCL cells exhibiting an angiotropic growth pattern in a diagnostic specimen of PCNSL (hematoxylin and eosin [H&E] stain, original magnification ×100). (C) Invasive growth of DLBCL cells along the cerebral vasculature in PCNSL (H&E, original magnification ×200). (D) High expression of MYC by DLBCL cells in a diagnostic specimen of PCNSL, as demonstrated by immunohistochemistry (original magnification ×400). (Courtesy Eric Hsi, MD, Cleveland Clinic).](https://ash.silverchair-cdn.com/ash/content_public/journal/blood/122/14/10.1182_blood-2013-06-453084/4/m_2318f1.jpeg?Expires=1767755417&Signature=JQsYRwjDOeTnbU215SZfbp95g0-Sj4VeqYDEFZs-naGg1BT5GOU8UFAqjXyL8Ljvx070Tatd04p58pJ3Lv6L6ysts6nexAg5RjE5BEjrjA6Xlg6MUDDR6AyxXQgYPl359fzx3Imin2soNg9ACjhz8rorf5~5PYPXecDjs2~jNMfvuPJL1wOrt2HaiKXWSXq~cp1gAg3PKlOYAQUU93gqYL8WYl6TMIKLmrjwcNrEXycXrllD7k-s5jsDouLCXvNZbNqzz84In0BkJYVdXWQm0GnVJ6JU14BfcLHNCofKuhctCKRJ1nizhEggFUitgbqfpCiYGpoooNnjisMLj7NyZQ__&Key-Pair-Id=APKAIE5G5CRDK6RD3PGA)



