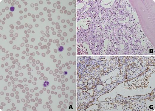
A 50-year-old man presented with marked thrombocytopenia (platelet count 14 × 109/L) in the setting of Child-Pugh B chronic liver disease secondary to hepatitis C infection and chronic alcohol consumption. The blood film demonstrated a microangiopathic hemolytic anemia (MAHA) with leukoerythroblastic and hyposplenic changes. Prominent red cell fragments, marked thrombocytopenia, nucleated red blood cells, acanthocytes, Howell-Jolly bodies, and target cells were seen (panel A). Radiological investigation with computed tomography and ultrasound scans demonstrated cirrhosis with evidence of portal hypertension and moderate splenomegaly with lesions consistent with hemangiomas. Bone marrow examination demonstrated effacement of normal marrow architecture with a vasoformative nonhematopoietic tumor comprising open vascular channels lined by a single layer of CD34+ endothelial cells (panels B and C). Extensive reticulin and collagen fibrosis was also observed.
The patient’s disease rapidly progressed and he died 2 weeks after the diagnosis of multiorgan failure. At autopsy, extensive splenic involvement with angiosarcoma was found and this is believed to be the site of origin. MAHA as a result of bone marrow involvement with metastatic splenic angiosarcoma is rarely described. Although chronic liver disease is a common cause of thrombocytopenia, marrow infiltrative disorders should be considered when leukoerythroblastosis and microangiopathy are present on the blood film.
A 50-year-old man presented with marked thrombocytopenia (platelet count 14 × 109/L) in the setting of Child-Pugh B chronic liver disease secondary to hepatitis C infection and chronic alcohol consumption. The blood film demonstrated a microangiopathic hemolytic anemia (MAHA) with leukoerythroblastic and hyposplenic changes. Prominent red cell fragments, marked thrombocytopenia, nucleated red blood cells, acanthocytes, Howell-Jolly bodies, and target cells were seen (panel A). Radiological investigation with computed tomography and ultrasound scans demonstrated cirrhosis with evidence of portal hypertension and moderate splenomegaly with lesions consistent with hemangiomas. Bone marrow examination demonstrated effacement of normal marrow architecture with a vasoformative nonhematopoietic tumor comprising open vascular channels lined by a single layer of CD34+ endothelial cells (panels B and C). Extensive reticulin and collagen fibrosis was also observed.
The patient’s disease rapidly progressed and he died 2 weeks after the diagnosis of multiorgan failure. At autopsy, extensive splenic involvement with angiosarcoma was found and this is believed to be the site of origin. MAHA as a result of bone marrow involvement with metastatic splenic angiosarcoma is rarely described. Although chronic liver disease is a common cause of thrombocytopenia, marrow infiltrative disorders should be considered when leukoerythroblastosis and microangiopathy are present on the blood film.
For additional images, visit the ASH IMAGE BANK, a reference and teaching tool that is continually updated with new atlas and case study images. For more information visit http://imagebank.hematology.org.

This feature is available to Subscribers Only
Sign In or Create an Account Close Modal