A 32-year-old man with an Ig A-λ plasma cell myeloma was diagnosed in early 2011. He underwent chemotherapy with bortezomib, doxorubicin, and dexamethasone and achieved a complete response. In August 2011, the patient underwent an autologous stem cell transplant with high-dose melphalan. The patient recovered uneventfully.
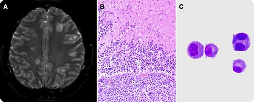
He presented in December 2011 with a severe headache requiring hospitalization. The patient had mild anemia (hemoglobin, 10.6 g/dL) but normal white blood cell and platelet counts. His calcium and creatinine levels were in the normal range. Bone marrow biopsy and serum protein electrophoresis/immunofixation were unremarkable. Computed tomography/magnetic resonance imaging scans of the brain showed multiple foci of hemorrhage with surrounding edema (panel A). A possible infectious etiology or embolic event was suspected clinically. An open excisional biopsy of the right frontal lesion of the brain was performed. The hematoxylin and eosin histologic sections showed brain parenchyma infiltrated by sheets of neoplastic cells with a plasmacytoid cellular morphology with round nuclei, prominent nucleoli, and abundant eosinophilic cytoplasm (panel B). Bi- or multinucleated tumor cells were frequent. The tumor cells were positive for CD138 and CD56 with λ light chain restriction, consistent with plasmacytoma. The cerebrospinal fluid (CSF) contained numerous neoplastic plasma cells (panel C). Isolated plasmacytoma of the brain with CSF involvement after a complete response from an autologous stem cell transplant is a rare event.
A 32-year-old man with an Ig A-λ plasma cell myeloma was diagnosed in early 2011. He underwent chemotherapy with bortezomib, doxorubicin, and dexamethasone and achieved a complete response. In August 2011, the patient underwent an autologous stem cell transplant with high-dose melphalan. The patient recovered uneventfully.
He presented in December 2011 with a severe headache requiring hospitalization. The patient had mild anemia (hemoglobin, 10.6 g/dL) but normal white blood cell and platelet counts. His calcium and creatinine levels were in the normal range. Bone marrow biopsy and serum protein electrophoresis/immunofixation were unremarkable. Computed tomography/magnetic resonance imaging scans of the brain showed multiple foci of hemorrhage with surrounding edema (panel A). A possible infectious etiology or embolic event was suspected clinically. An open excisional biopsy of the right frontal lesion of the brain was performed. The hematoxylin and eosin histologic sections showed brain parenchyma infiltrated by sheets of neoplastic cells with a plasmacytoid cellular morphology with round nuclei, prominent nucleoli, and abundant eosinophilic cytoplasm (panel B). Bi- or multinucleated tumor cells were frequent. The tumor cells were positive for CD138 and CD56 with λ light chain restriction, consistent with plasmacytoma. The cerebrospinal fluid (CSF) contained numerous neoplastic plasma cells (panel C). Isolated plasmacytoma of the brain with CSF involvement after a complete response from an autologous stem cell transplant is a rare event.
For additional images, visit the ASH IMAGE BANK, a reference and teaching tool that is continually updated with new atlas and case study images. For more information visit http://imagebank.hematology.org.

This feature is available to Subscribers Only
Sign In or Create an Account Close Modal