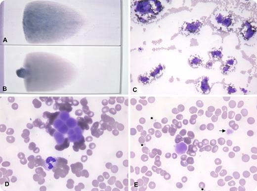
A 61-year-old male presented with 2 months of bone pain. Complete blood count showed Hb 10 g/dL, white blood cell count 4.5 × 109/L, and platelets 130 × 109/L. The peripheral smear contained visible agglutinates and a blue background color (panel A). Aggregates of amorphous particles mimicking lysed cells were observed microscopically (panels C-E) with smaller and less stained deposits (panel E arrow), some resembling platelets (panel E stars). These findings suggested cryoglobulins. After warming the blood (37°C × 4 hours), the smear regained its usual staining characteristics (panel B) and was free of microscopic deposits. A serum prepared at 37°C demonstrated protein precipitation when cooled to room temperature. This was determined to be an IgG, κ monoclonal protein (29.3 g/L). Afterward, the patient was noted to have sternal and vertebral lytic lesions. Bone marrow examination revealed 34% plasma cells, and a diagnosis of mutliple myeloma was made.
Cryoglobulins may occur in multiple myeloma and non-Hodgkin lymphoma, and, in lesser quantities, in viral illnesses, connective tissue diseases, and some renal diseases. Cryoglobulins are rarely observed macroscopically on a peripheral smear. In this case they were seen as precipitates of pale amorphous particles between red cells with smaller particles that appeared as platelets.
A 61-year-old male presented with 2 months of bone pain. Complete blood count showed Hb 10 g/dL, white blood cell count 4.5 × 109/L, and platelets 130 × 109/L. The peripheral smear contained visible agglutinates and a blue background color (panel A). Aggregates of amorphous particles mimicking lysed cells were observed microscopically (panels C-E) with smaller and less stained deposits (panel E arrow), some resembling platelets (panel E stars). These findings suggested cryoglobulins. After warming the blood (37°C × 4 hours), the smear regained its usual staining characteristics (panel B) and was free of microscopic deposits. A serum prepared at 37°C demonstrated protein precipitation when cooled to room temperature. This was determined to be an IgG, κ monoclonal protein (29.3 g/L). Afterward, the patient was noted to have sternal and vertebral lytic lesions. Bone marrow examination revealed 34% plasma cells, and a diagnosis of mutliple myeloma was made.
Cryoglobulins may occur in multiple myeloma and non-Hodgkin lymphoma, and, in lesser quantities, in viral illnesses, connective tissue diseases, and some renal diseases. Cryoglobulins are rarely observed macroscopically on a peripheral smear. In this case they were seen as precipitates of pale amorphous particles between red cells with smaller particles that appeared as platelets.
For additional images, visit the ASH IMAGE BANK, a reference and teaching tool that is continually updated with new atlas and case study images. For more information visit http://imagebank.hematology.org.

This feature is available to Subscribers Only
Sign In or Create an Account Close Modal