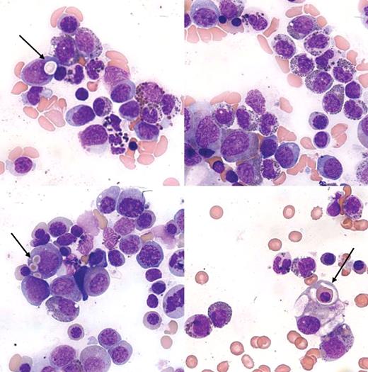
An 18-month-old girl with a diagnosis of Chediak-Higashi syndrome (CHS) presented with severe bacterial skin infection. Recurrent episodes of bacterial infections began at the age of 2 months. On physical examination, generalized lymphadenopathy, hepatosplenomegaly, skin hypopigmentation, and silvery hair were noted. Bone marrow aspirate revealed prominent granules (top left and right) within the lymphocytes and myeloid cells. Phagocytosis of red cells and red-cell precursors (arrows) is also seen. A diagnosis of “accelerated phase” of CHS was made. She underwent an unrelated allogeneic hematopoietic stem cell transplantation. Three years later she is well and attending school.
Chediak-Higashi syndrome is a rare childhood autosomal recessive disorder of defective phagolysosome dysfunction. The gene CHS/LYST1 on chromosome 1q42-43 codes for CHS/LYST1 protein that is associated with microtubules and regulates lysosome-related organelle size and movement. Most patients eventually enter the accelerated phase shortly after birth or within several years. Epstein-Barr virus infections may contribute to the lymphohistiocytic proliferation that is noted. Once the accelerated phase occurs, it is usually fatal within a few months. This child is one of the survivors.
An 18-month-old girl with a diagnosis of Chediak-Higashi syndrome (CHS) presented with severe bacterial skin infection. Recurrent episodes of bacterial infections began at the age of 2 months. On physical examination, generalized lymphadenopathy, hepatosplenomegaly, skin hypopigmentation, and silvery hair were noted. Bone marrow aspirate revealed prominent granules (top left and right) within the lymphocytes and myeloid cells. Phagocytosis of red cells and red-cell precursors (arrows) is also seen. A diagnosis of “accelerated phase” of CHS was made. She underwent an unrelated allogeneic hematopoietic stem cell transplantation. Three years later she is well and attending school.
Chediak-Higashi syndrome is a rare childhood autosomal recessive disorder of defective phagolysosome dysfunction. The gene CHS/LYST1 on chromosome 1q42-43 codes for CHS/LYST1 protein that is associated with microtubules and regulates lysosome-related organelle size and movement. Most patients eventually enter the accelerated phase shortly after birth or within several years. Epstein-Barr virus infections may contribute to the lymphohistiocytic proliferation that is noted. Once the accelerated phase occurs, it is usually fatal within a few months. This child is one of the survivors.
Many Blood Work images are provided by the ASH IMAGE BANK, a reference and teaching tool that is continually updated with new atlas images and images of case studies. For more information or to contribute to the Image Bank, visit http://imagebank.hematology.org.

This feature is available to Subscribers Only
Sign In or Create an Account Close Modal