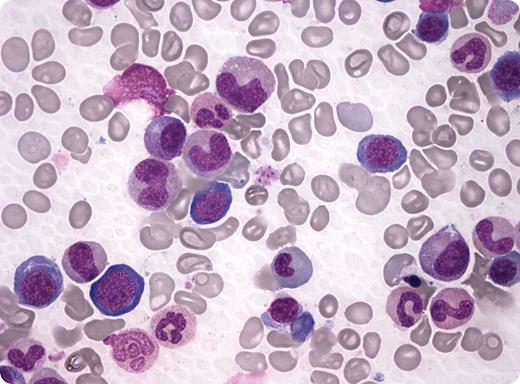
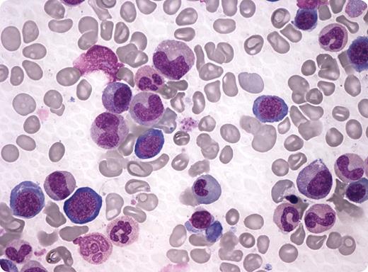
A 59-year-old woman with malaise was admitted to hospital with hemoglobin at 9.2 g/dL. Platelets were normal, leukocytes were 3.2 × 103/μL, reticulocytes were low, and mean corpuscular volume was 128 fL. The peripheral smear showed hypersegmentation and large polychromatophilic erythrocytes. A vitamin B12/folate deficiency was suspected. However, initial laboratory work showed vitamin B12 at 490 pg/mL (normal, 176-949 pg/mL) and folate at 10.3 ng/mL (normal, 2.6-16.0 ng/mL). Bone marrow showed megaloblastic erythroblasts, megaloblastic metamyelocytes with large bone-shaped nuclei, and mature neutrophils with hypersegmentation. Homocysteine and methylmalonic acid were elevated (65.7μM and 4846 nmol/L, respectively), indicative of a functional vitamin B12 deficiency. In addition, holotranscobalamin, the biologic available form of vitamin B12, was < 1 pmol/L. Antibodies against intrinsic factor were strongly positive.
A diagnosis of vitamin B12 deficiency was still suspected despite the initial vitamin B12 level. An assay from another manufacturer showed the vitamin B12 low at 79 pg/mL (196-863 pg/mL). As a result, a pharmacologic dose of vitamin B12 (1000 mg IM) was given and resulted in a complete clinical and hematologic response.
When a clinical picture, peripheral blood smear, and marrow suggest vitamin B12 or folate deficiency, an initial normal laboratory value may require repeat testing. An assay from another manufacturer affirmed the diagnosis in this case and pointed out an erroneous result by the original test kit.
A 59-year-old woman with malaise was admitted to hospital with hemoglobin at 9.2 g/dL. Platelets were normal, leukocytes were 3.2 × 103/μL, reticulocytes were low, and mean corpuscular volume was 128 fL. The peripheral smear showed hypersegmentation and large polychromatophilic erythrocytes. A vitamin B12/folate deficiency was suspected. However, initial laboratory work showed vitamin B12 at 490 pg/mL (normal, 176-949 pg/mL) and folate at 10.3 ng/mL (normal, 2.6-16.0 ng/mL). Bone marrow showed megaloblastic erythroblasts, megaloblastic metamyelocytes with large bone-shaped nuclei, and mature neutrophils with hypersegmentation. Homocysteine and methylmalonic acid were elevated (65.7μM and 4846 nmol/L, respectively), indicative of a functional vitamin B12 deficiency. In addition, holotranscobalamin, the biologic available form of vitamin B12, was < 1 pmol/L. Antibodies against intrinsic factor were strongly positive.
A diagnosis of vitamin B12 deficiency was still suspected despite the initial vitamin B12 level. An assay from another manufacturer showed the vitamin B12 low at 79 pg/mL (196-863 pg/mL). As a result, a pharmacologic dose of vitamin B12 (1000 mg IM) was given and resulted in a complete clinical and hematologic response.
When a clinical picture, peripheral blood smear, and marrow suggest vitamin B12 or folate deficiency, an initial normal laboratory value may require repeat testing. An assay from another manufacturer affirmed the diagnosis in this case and pointed out an erroneous result by the original test kit.
Many Blood Work images are provided by the ASH IMAGE BANK, a reference and teaching tool that is continually updated with new atlas images and images of case studies. For more information or to contribute to the Image Bank, visit http://imagebank.hematology.org.

This feature is available to Subscribers Only
Sign In or Create an Account Close Modal