A 63-year-old woman had stage IIIb IgG κ multiple myeloma that contained a 13q deletion by fluorescence in situ hybridization. She was treated with vincristine, adriamycin, and dexamethasone, which achieved a partial response. Three months later, there was clinical and biological progression. Despite treatment with bortezomib and dexamethasone, a plasmacytoma developed in the right scapula. Further treatment included local radiotherapy followed by autologous peripheral blood stem cell transplantation (PBSCT).
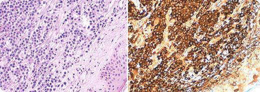
Three months after transplantation, rose-colored nontender nodules appeared on the skin of the right arm. A skin biopsy showed a diffuse infiltrate of plasma cells in the dermis (shown, left) that were strongly immunoreactive for κ chain (shown, right). The patient died a few weeks later.
Although extramedullary relapses of myeloma are occasionally seen after PBSCT, skin involvement is a rare event.
A 63-year-old woman had stage IIIb IgG κ multiple myeloma that contained a 13q deletion by fluorescence in situ hybridization. She was treated with vincristine, adriamycin, and dexamethasone, which achieved a partial response. Three months later, there was clinical and biological progression. Despite treatment with bortezomib and dexamethasone, a plasmacytoma developed in the right scapula. Further treatment included local radiotherapy followed by autologous peripheral blood stem cell transplantation (PBSCT).
Three months after transplantation, rose-colored nontender nodules appeared on the skin of the right arm. A skin biopsy showed a diffuse infiltrate of plasma cells in the dermis (shown, left) that were strongly immunoreactive for κ chain (shown, right). The patient died a few weeks later.
Although extramedullary relapses of myeloma are occasionally seen after PBSCT, skin involvement is a rare event.
Many Blood Work images are provided by the ASH IMAGE BANK, a reference and teaching tool that is continually updated with new atlas images and images of case studies. For more information or to contribute to the Image Bank, visit www.ashimagebank.org.

This feature is available to Subscribers Only
Sign In or Create an Account Close Modal