A 63-year-old woman had stage IIIb IgG κ multiple myeloma that contained a 13q deletion by fluorescence in situ hybridization. She was treated with vincristine, adriamycin, and dexamethasone, which achieved a partial response. Three months later, there was clinical and biological progression. Despite treatment with bortezomib and dexamethasone, a plasmacytoma developed in the right scapula. Further treatment included local radiotherapy followed by autologous peripheral blood stem cell transplantation (PBSCT).
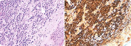
Three months after transplantation, rose-colored nontender nodules appeared on the skin of the right arm. A skin biopsy showed a diffuse infiltrate of plasma cells in the dermis (shown, left) that were strongly immunoreactive for κ chain (shown, right). The patient died a few weeks later.
Although extramedullary relapses of myeloma are occasionally seen after PBSCT, skin involvement is a rare event.
A 63-year-old woman had stage IIIb IgG κ multiple myeloma that contained a 13q deletion by fluorescence in situ hybridization. She was treated with vincristine, adriamycin, and dexamethasone, which achieved a partial response. Three months later, there was clinical and biological progression. Despite treatment with bortezomib and dexamethasone, a plasmacytoma developed in the right scapula. Further treatment included local radiotherapy followed by autologous peripheral blood stem cell transplantation (PBSCT).
Three months after transplantation, rose-colored nontender nodules appeared on the skin of the right arm. A skin biopsy showed a diffuse infiltrate of plasma cells in the dermis (shown, left) that were strongly immunoreactive for κ chain (shown, right). The patient died a few weeks later.
Although extramedullary relapses of myeloma are occasionally seen after PBSCT, skin involvement is a rare event.
Many Blood Work images are provided by the ASH IMAGE BANK, a reference and teaching tool that is continually updated with new atlas images and images of case studies. For more information or to contribute to the Image Bank, visit www.ashimagebank.org.
