A 36-year-old man from Jamaica developed progressive superficial desquamating, circular, hypopigmented lesions over a 4-month period, accompanied by weight loss. He had no previous rashes and no history of infections or malignancies. Tuberculosis and HIV tests, performed for immigration purposes, were negative.
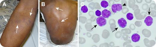
On examination, skin lesions were disseminated over his arms (panel A), legs, neck, chest, and back (panel B). Several lesions measured up to 20 cm in diameter. Multiple small lymph nodes that became progressive were noted in the axillary and inguinal regions. A computed tomographic scan demonstrated diffuse lymphadenopathy, including involvement of the paratracheal and mesenteric regions and hepatosplenomegaly.
The white blood cell count was 293 × 109/L (89% lymphocytes, 11% neutrophils) and flow cytometry on the peripheral blood demonstrated a population of lymphocytes positive for CD3, CD4, CD25, and CD52, that was monoclonal for the αβ chains of the T-cell receptor by gene rearrangement studies. A peripheral blood film showed classic “flower cells” (panel C, arrows) and abnormal-appearing lymphocytes with deep nuclear clefts (panel C arrowhead). Skin, node, and bone marrow biopsies confirmed T-cell lymphoma/leukemia. HTLV-1 was positive by polymerase chain reaction.
He received chemotherapy with CHOP and hyper-CVAD regimens, achieving a response in his lymphocyte counts, but his skin lesions progressed until interferon and zidovudine were started. He returned to Jamaica for completion of his treatment with a complete hematologic response and near complete resolution of his skin rash.
A 36-year-old man from Jamaica developed progressive superficial desquamating, circular, hypopigmented lesions over a 4-month period, accompanied by weight loss. He had no previous rashes and no history of infections or malignancies. Tuberculosis and HIV tests, performed for immigration purposes, were negative.
On examination, skin lesions were disseminated over his arms (panel A), legs, neck, chest, and back (panel B). Several lesions measured up to 20 cm in diameter. Multiple small lymph nodes that became progressive were noted in the axillary and inguinal regions. A computed tomographic scan demonstrated diffuse lymphadenopathy, including involvement of the paratracheal and mesenteric regions and hepatosplenomegaly.
The white blood cell count was 293 × 109/L (89% lymphocytes, 11% neutrophils) and flow cytometry on the peripheral blood demonstrated a population of lymphocytes positive for CD3, CD4, CD25, and CD52, that was monoclonal for the αβ chains of the T-cell receptor by gene rearrangement studies. A peripheral blood film showed classic “flower cells” (panel C, arrows) and abnormal-appearing lymphocytes with deep nuclear clefts (panel C arrowhead). Skin, node, and bone marrow biopsies confirmed T-cell lymphoma/leukemia. HTLV-1 was positive by polymerase chain reaction.
He received chemotherapy with CHOP and hyper-CVAD regimens, achieving a response in his lymphocyte counts, but his skin lesions progressed until interferon and zidovudine were started. He returned to Jamaica for completion of his treatment with a complete hematologic response and near complete resolution of his skin rash.
Many Blood Work images are provided by the ASH IMAGE BANK, a reference and teaching tool that is continually updated with new atlas images and images of case studies. For more information or to contribute to the Image Bank, visit www.ashimagebank.org.

This feature is available to Subscribers Only
Sign In or Create an Account Close Modal