Abstract
We previously reported that lentiviral vectors derived from the simian immunodeficiency virus (SIV) were efficient at transducing rhesus hematopoietic repopulating cells. To evaluate the persistence of vector-containing and -expressing cells long term, and the safety implications of SIV lentiviral vector–mediated gene transfer, we followed 3 rhesus macaques for more than 4 years after transplantation with transduced CD34+ cells. All 3 animals demonstrated significant vector marking and expression of the GFP transgene in T cells, B cells, and granulocytes, with mean GFP+ levels of 6.7% (range, 3.3%-13.0%), 7.4% (4.2%-13.4%), and 5.6% (3.1%-10.5%), respectively. There was no vector silencing in hematopoietic cells over time. Vector insertion site analysis of granulocytes demonstrated sustained highly polyclonal reconstitution, with no evidence for progression to oligoclonality. A significant number of clones were found to contribute at both 1-year and 3- or 4-year time points. No vector integrations were detected in the MDS1/EVI1 region, in contrast to our previous findings with a γ-retroviral vector. These data show that lentiviral vectors can mediate stable and efficient long-term expression in the progeny of transduced hematopoietic stem cells, with an integration profile that may be safer than that of standard Moloney murine leukemia virus (MLV)–derived retroviral vectors.
Introduction
Hematopoietic stem cells (HSCs) are important targets for gene therapy because of their dual capacities for both self-renewal and differentiation, thereby having the potential for correction of gene defects in various blood cell lineages for the lifetime of an person. Successful gene therapy directed at HSCs depends on achieving sufficient levels of gene transfer to long-term engrafting cells with persistent expression of the transgene in vector-containing progeny cells of the desired lineage. Two decades of intense vector development, preclinical testing, and early clinical trials have made HSC gene therapy a reality, with evidence of clinical benefit in several congenital immunodeficiency disorders.1–4 To date, all published HSC gene therapy clinical trials have used integrating modified replication-defective murine γ-retroviral vectors that underwent an extensive process of optimization and testing using in vitro, rodent, and large-animal models.5
Successful genomic integration of γ-retroviral vectors requires cycling of target cells to allow the relatively unstable preintegration complex to enter the nucleus and access chromatin.6 This requirement for active cell division is likely a major obstacle to achieving consistent high-level gene transfer into quiescent HSCs with γ-retroviral vectors. This constraint is a significant hurdle for wider applications of HSC gene therapy, particularly to diseases such as hemoglobinopathies where, unlike the immunodeficiency disorders, corrected early progenitor cells do not have a marked survival or proliferative advantage and high levels of initial HSC gene transfer would be required for clinical benefit.7
In addition to the difficulties associated with achieving efficient transduction of HSCs, γ-retroviral vectors have now been found to present serious safety issues.8 A total of 5 patients enrolled in 2 clinical gene therapy trials using these vectors to transduce HSCs in patients with X-linked severe combined immunodeficiency (X-SCID) have developed clonal, vector-associated T-cell leukemias, 3 or more years after transplantation.9–12 In 4 of the cases, vector insertions near the proto-oncogene LMO2 resulted in aberrant activation and contributed to the leukemogenic process.10 γ-Retroviral vectors have also been linked to insertional activation of proto-oncogenes with resultant myeloid tumors in small- and large-animal models.13,14 There is accumulating evidence that several characteristics of γ-retroviral vectors may be associated with significant genotoxicity, including the presence of strong enhancer elements in the proviral long terminal repeats (LTRs) able to activate adjacent genes, and nonrandom integration preferences favoring integration in or near actively expressed genes (often proto-oncogenes in primitive cycling hematopoietic cells) and surrounding transcription start sites.15–20 These limitations of γ-retroviral vectors have prompted investigators to identify and evaluate alternative vector systems that might reduce the risks of insertional mutagenesis while potentially increasing the efficiency of gene transfer.
Compared with γ-retroviral vectors, lentiviral vectors derived from the human immunodeficiency virus (HIV) or simian immunodeficiency virus (SIV) may allow higher efficiency HSC gene transfer. Lentiviral vectors can transduce noncycling or slowly cycling target cells due to a more stable preintegration complex that is able to cross the nuclear membrane.21,22 In addition, they facilitate the use of complex expression cassettes that allow precisely regulated transgene expression.23 However, development of lentiviral vectors for clinical applications has lagged behind standard γ-retroviral vectors, and only one clinical trial, targeting lymphocytes, has been completed.24 Several trials targeting HSCs with lentiviral vectors in patients with adrenoleukodystrophy or β-thalassemia have recently been initiated.
We previously reported that SIV lentiviral vectors were efficient at transducing rhesus CD34+ cells, resulting in high-level in vivo marking with transduced progeny cells up to 6 months after transplantation.25 A comparison of vector integration sites in these animals at this early time point compared with animals that received a transplant of γ-retroviral transduced CD34+ cells revealed distinct patterns for each. SIV vector integrants were markedly concentrated within entire transcription units and particularly gene-dense regions of the genome, whereas γ-retroviral vector integrants were more often in proximity to transcriptional start sites (TSSs).16
It took more than 3 years after transplantation for patients and macaques that received a transplant of γ-retroviral vector–transduced HSCs to develop overt hematologic malignancies, and serial transplantation in mouse models to result in clonal dominance or leukemia.10–13,26,27 Therefore, long-term follow-up in relevant models is critical to fully assess the potential risks associated with vector insertion into HSCs. Nonhuman primates are a particularly relevant animal model for assessing long-term safety and efficacy.28 In the current study, we report detailed follow-up of 3 rhesus macaques that received a transplant of SIV vector–transduced autologous CD34+ cells more than 4 years ago. Our data demonstrate stable levels of vector-containing cells and transgene expression in all hematopoietic lineages, and a polyclonal pattern of vector insertion sites without the marked overrepresentation of recurrent integrations in or near worrisome proto-oncogenes such as LMO2 or MDS1/EVI1.
Methods
Transduction of CD34+ mobilized PB cells and autologous transplantation of rhesus macaques
Rhesus macaques (Macacca mulatta) were housed and handled in accordance with guidelines set by the Committee on Care and Use of Laboratory Animals of the Institute of Laboratory Animal Resources, National Research Council, and the animal protocol was approved by the Animal Care and Use Committee of the National Heart, Lung, and Blood Institute (NHLBI). Details of mobilization, CD34 enrichment, transduction, and transplantation of the animals included in this study were previously reported in detail.25 The 3 macaques were 3 to 5 years of age (young adult) at the time of transplantation in 2003.
Flow cytometric quantitation of GFP expression in various hematopoietic cell subsets
Rhesus macaque peripheral blood (PB) and bone marrow (BM) cells were incubated for 30 minutes at 4°C with PE-conjugated monoclonal antihuman monoclonal antibodies, all cross-reactive to rhesus macaque antigens, including CD3 (clone SP34), CD4 (clone M-T477), CD8 (clone RPA-T8), CD11b (clone ICRF44), CD14 (clone M5E2), CD16 (clone 3G8), CD20 (clone 2H7), and CD34 (clone 563; all BD Biosciences PharMingen, San Jose, CA). A BD LSR II analyzer (Becton Dickinson, San Jose, CA) was used for analysis and 50 000 to 150 000 propidium-iodide excluding cells were acquired for each sample. The percentage of GFP+ cells in hematopoietic subsets as defined immunophenotypically by specific monoclonal antibodies was measured.
qPCR quantitation of vector copy number in the genome of various populations of hematopoietic cells
Genomic DNA from PB and BM nucleated cells, PB granulocytes, and mononuclear cells purified by density gradient centrifugation over lymphocyte separation medium, or from subsets of PB cells separated by multiparameter flow cytometric sorting, was extracted using Gentra Puregene Cell Kit (QIAGEN, Valencia, CA) and then subjected to quantitative polymerase chain reaction (qPCR) to estimate VCN. The sequences of the primer/probe set for detection of the integrated SIV vector were as follows: forward primer, 5′-TACGGCTGAGTGAAGGCAGTAAG-3′; reverse primer, 5′-CTCCTCACGCCGTCTGGTA-3′; and the probe, 5′-6-FAM-AGGAACCAACCACGACGGAGTGCTC-TAMRA-3′ (Applied Biosystems, Foster City, CA). TaqMan ribosomal RNA control reagents (Applied Biosystems) were used to normalize the amount of DNA analyzed. A standard curve was established by analyzing duplicate aliquots of K562 DNA containing a single copy of the SIV vector genome serially diluted with nontransduced K562 DNA. The qPCR was performed using the ABI PRISM 7700 Sequence Detector (Applied Biosystems). For standards, serial dilutions of DNA were prepared by mixing K562 DNA having a single copy of the vector genome with nontransduced K562 DNA to yield mixtures containing 1, 0.5, 0.25, 0.1, 0.01, and 0.001 vector copies. The final VCN of each sample was adjusted by dividing the copy number by 1.5. A coefficient of 1.5 was used because the K562 cell line used was approximately triploid on average.
Southern blot analysis
The status and quantity of the vector genome was also evaluated in PB and BM genomic DNA using Southern blot analysis. Serial control dilutions were prepared by mixing K562 DNA having a single copy of the vector genome with nontransduced K562 DNA in the proportions indicated. Genome equivalent amounts of the standards and test PB and BM genomic DNA were digested with BglII (New England Biolabs, Ipswich, MA), which cuts twice in the vector genome, or with EcoR1, which cuts once within the vector genome. The DNA fragments were transferred to a charged nylon membrane and hybridized with a radiolabeled GFP probe generated by digesting the SIV vector plasmid with EcoRI and NotI, producing a 772-bp fragment containing GFP sequences.
Identification and analysis of vector insertion sites
Linear amplification mediated (LAM)–PCR analysis was performed on DNA extracted from granulocytes, T cells (CD3+), and B cells (CD20+), as described.16 Sequencing was carried out via standard shotgun cloning as described, or via 454 direct micropicoliter sequencing.29 For linear amplification of the 5′-SIV-LTR–genomic junction sites, 100 ng DNA was amplified in 6 individual reactions or 600 ng DNA was used in a single reaction. For the second (nested) exponential PCR, when 6 individual PCR reactions were used in the linear amplification they were pooled and PCR was performed using LAM-PCR primers adapted for 454 sequencing by addition of a 19-bp sequence (sequencing primer) at the 5′-end of both forward and reverse nested primers. The reverse nested primer was additionally modified by addition of a 4-bp bar code to allow identification of products from each individual time point, cell source, and animal. The SIV-LTR–specific and linker cassette–specific primers for standard and 454 approaches are listed in Table S1, available on the Blood website; see the Supplemental Materials link at the top of the online article. Amplicons of junctions between genomic regions and 5′-LTRs were purified from agarose gels stained with crystal violet and directly sequenced using the 454 sequencing procedure (Genome Sequencer 20 System; University of Florida, Gainesville, FL).
A sequence was considered a valid integration site if it was flanked by both the expected SIV-LTR and the linker cassette sequences. We first aligned each sequence to a locally maintained copy of the Rhesus Macaque Genome Database (assembly MMUL 1.0, February 2006)30,31 using BLASTN.32 We filtered BLASTN results using 2 cutoff levels: (1) at 95% identity over 95% of the length, and (2) at 90% identity over 90% of the length. Sequences mapping uniquely using both cutoffs were kept as integrations. Sequences with ambiguous hits were mapped manually using BLAT via the UCSC gateway (http://genome.ucsc.edu)33 or megaBLAST.34 For gene annotation, Ensembl genebuild August 2007 (http://www.ensembl.org) database version 45.10e comprising 38 185 predicted gene transcripts was used.35
To generate control valid “random” datasets for comparisons, for each experimentally determined integration site we generated in silico LTR genomic integration coordinates using the following procedures: (1) using a random number generator, select an AATT site at random from the rhesus macaque genome; (2) select at random whether to use sequence upstream or downstream of this site (each with probability 0.5); (3) extract a segment of genomic sequence that has the same length as the sequence between the experimental LTR and AATT cloned sequence; (4) compare this segment to the macaque genome by BLASTN; (5a) if the sequence has a unique hit, keep the coordinate of the in silico LTR, or (5b) if the segment does not have a unique BLAST hit, discard that genomic sequence and begin again at step 1. Each control dataset contains one in silico LTR coordinate for each experimentally identified valid integration. For each group of integrations, we generated 10 000 control datasets. These control datasets were subjected to the same analyses as the experimental datasets, and the results were used to generate empiric P values. We generated a total of 5 groups of control genomic coordinates, 1 for the 6- to 12-month integration dataset, 1 for the 35- to 47-month dataset, 1 for the combined dataset including all indentified SIV insertions, and 1 each for our Moloney murine leukemia virus (MLV) and avian sarcoma leukosis virus (ASLV) datasets (these have been previously described36 ).
Following the methods first proposed by Schwarzwaelder et al19 and Suzuki et al,37 and modified more recently for analysis of genomic insertions in polyclonal populations of cells, we defined a second-order CIS as 2 or more integration sites within a window of 30 kb, a third-order CIS as 3 or more integrations within 50 kb, and a fourth-order CIS as 4 or more integrations within 100 kb. To find second-order CISs, we placed the left edge of a 30-kb window on the first integration site of a chromosome. If at least one additional integration site fell within this window, we considered this window to contain one second-order CIS. We then moved the left edge of the window to the second integration site on a chromosome, and looked for a total of 2 or more integration sites falling within this window. By this algorithm, if 3 integration sites A, B, and C fall within a 20-kb window, we would count 2 second-order CISs, one containing sites A, B, and C, and the second containing sites B and C. We used a similar method to find the third- and fourth-order CISs, although we changed the window size to 50 or 100 kb, and required at least 3 or at least 4 integration sites to fall within that window. We applied this method of counting CISs both to the experimental data and to the randomly selected in silico integration sites.
Statistical significance was determined by χ2 test, empiric t test, and Fisher exact test as appropriate. P values less than .01 were considered statistically significant. Bootstrapping methodology was also used to analyze CIS and detailed in Table S2.
Results
Long-term, stable vector marking and transgene expression in the hematopoietic progeny of transplanted, SIV vector–transduced rhesus HSCs
The percentages of GFP-expressing cells of multiple hematopoietic lineages in PB and BM were followed over time using multiparameter flow cytometric analysis. Figure 1 shows serial quantitation of the frequency of GFP+ granulocytes and lymphocytes in all 3 animals, out to more than 4 years after transplantation. One monkey (CJ5B) showed stable GFP+ levels of greater than 10% and the other 2 animals (RQ2617 and RQ3556) had levels of 3% to 4%. Levels of GFP+ cells were similar in both myeloid and lymphoid cells in each animal. Following an initial decrease in level of GFP+ cells from peak values primarily 1 to 6 months after transplantation, there was no further consistent decrement in the frequency of transgene-expressing cells over time.
Stable, long-term SIV lentiviral vector expression in myeloid and lymphoid cells of animals that received a transplant. The percentage of GFP+ granulocytes (A) and lymphocytes (B) at various time points after transplantation in the 3 rhesus macaques CJ5B, RQ2617, and RQ3556.
Stable, long-term SIV lentiviral vector expression in myeloid and lymphoid cells of animals that received a transplant. The percentage of GFP+ granulocytes (A) and lymphocytes (B) at various time points after transplantation in the 3 rhesus macaques CJ5B, RQ2617, and RQ3556.
More detailed analysis of GFP expression in PB and BM T cells and T-cell subsets, B cells, myeloid lineages, platelets, and red cells was performed on samples at 44 to 47 months for all 3 animals (Figure 2). Frequencies of GFP+ cells in the various lymphoid and myeloid cell fractions were similar to overall levels, whereas the frequencies of GFP+ red cells and platelets were lower, presumably due to the short half-life of the GFP protein in these enucleate cells.38 However, levels of GFP+ red cells and platelets were very stable over the 4-year time frame (data not shown).
Long-term vector expression in numerous hematopoietic cell subsets in the PB and BM of animals that received a transplant. The percentage of various GFP-expressing hematopoietic cell types as defined by immunophenotyping of peripheral blood and BM in animal CJ5B 4 years after transplantation.
Long-term vector expression in numerous hematopoietic cell subsets in the PB and BM of animals that received a transplant. The percentage of various GFP-expressing hematopoietic cell types as defined by immunophenotyping of peripheral blood and BM in animal CJ5B 4 years after transplantation.
We compared the frequency of transgene-expressing cells as detected by flow cytometry to the average vector copy number (VCN) as assessed molecularly, both via real-time quantitative PCR (qPCR) and Southern blot analysis. The DNA VCN ranged from 1.3- to 3.7-fold higher than predicted from the GFP expression analysis (Figures 3,4). These results suggested the possibility of some degree of vector silencing. To address this issue, we evaluated the average VCN by qPCR in sorted GFP+ and GFP− granulocytes and lymphocytes in animals CJ5B and RQ3556. The VCN in the sorted GFP− cells was extremely low (0.01-0.07 copies), consistent with minimal transgene silencing and suggesting that cells susceptible to transduction often integrated more than a single vector copy (Figure 5). This interpretation was confirmed by the average VCN we observed in the sorted, GFP+ populations. We found that the average VCN ranged from around 1 to as high as 3 in the various sorted, GFP+ granulocyte and lymphocyte populations. The average VCN data from the GFP+ sorted cell populations was consistent with the quantitative differences we observed between GFP expression and the overall VCN of PB leukocytes (Figure 3). We also confirmed the lack of silencing by analyzing clonogenic BM progenitors from animal CJ5B 47 months after transplantation. We found that 2 of 20 colony-forming units (CFUs) were GFP+ by microscopy (consistent with the ∼ 10% PB myeloid marking), and, furthermore, none of the GFP− colonies were positive for vector sequences by DNA PCR analysis.
Vector copy number compared with percentage of GFP+ cells in PB and BM of animals that received a transplant. Comparison of the percentage of GFP+ PB and BM cells as assessed by flow cytometry ([
]) and VCN as determined by qPCR of genomic DNA. For vector copy number, mean of triplicate samples shown with error bars.
Vector copy number compared with percentage of GFP+ cells in PB and BM of animals that received a transplant. Comparison of the percentage of GFP+ PB and BM cells as assessed by flow cytometry ([
]) and VCN as determined by qPCR of genomic DNA. For vector copy number, mean of triplicate samples shown with error bars.
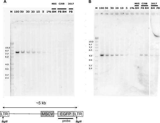
Southern blot analysis corroborates polyclonality and VCN as determined by qPCR. (A) DNA was cut with EcoR1, which cuts once within the vector as shown. Mixtures of DNA from a K562 cell line containing a single copy of the SIV vector with DNA from untransduced K562 cells in the proportions shown provide an estimate of the sensitivity of the blot to detect clonal bands. (B) Estimation of vector copy number in PB and BM cells of animals CJ5B and RQ2617 by Southern blot analysis. DNA was cut with BglII, which cuts twice in the vector genome as indicated, liberating a near full-length proviral genome that was detected by the indicated probe. Mixtures of DNA from a K562 cell line containing a single copy of the SIV vector with DNA from untransduced K562 cells in the proportions shown provide an estimate of the VCN in the rhesus samples shown.
Southern blot analysis corroborates polyclonality and VCN as determined by qPCR. (A) DNA was cut with EcoR1, which cuts once within the vector as shown. Mixtures of DNA from a K562 cell line containing a single copy of the SIV vector with DNA from untransduced K562 cells in the proportions shown provide an estimate of the sensitivity of the blot to detect clonal bands. (B) Estimation of vector copy number in PB and BM cells of animals CJ5B and RQ2617 by Southern blot analysis. DNA was cut with BglII, which cuts twice in the vector genome as indicated, liberating a near full-length proviral genome that was detected by the indicated probe. Mixtures of DNA from a K562 cell line containing a single copy of the SIV vector with DNA from untransduced K562 cells in the proportions shown provide an estimate of the VCN in the rhesus samples shown.
qPCR for VCN in GFP+ and GFP− cell populations demonstrates the lack of vector silencing. Vector copy number in the GFP+ (
) and GFP− (■) sorted granulocytes and lymphocytes of animals CJ5B and RQ3556. For vector copy number, mean of triplicate samples shown with error bars.
qPCR for VCN in GFP+ and GFP− cell populations demonstrates the lack of vector silencing. Vector copy number in the GFP+ (
) and GFP− (■) sorted granulocytes and lymphocytes of animals CJ5B and RQ3556. For vector copy number, mean of triplicate samples shown with error bars.
Polyclonal hematopoiesis as reflected by vector integration site analysis
Vector insertion sites were identified and analyzed from granulocytes, because they reflect ongoing hematopoiesis, at 35 to 47 months after transplantation. The products of LAM-PCR were separated on Spreadex gels, with numerous bands resolved, suggesting sustained polyclonality (data not shown). Southern blot analysis of PB and BM DNA using an enzyme that cuts once in the vector showed no discernible hybridizing bands, indicative of the lack of a significant dominant clonal population within the PB or BM (Figure 4A). In contrast, when an enzyme was used that cut at each end of the integrated provirus, a hybridizing band of the correct predicted size was present in each sample at an intensity corresponding to the qPCR VCN (Figure 4B).
All putative insertion sites were then identified using standard shotgun cloning and sequencing or high-throughput direct sequencing via the 454 sequencing technology.29 Resultant valid sequences were mapped using the rhesus macaque genome assembly (MMUL 1.0, February 2006).30,31 In comparison with mapping the same sequences using the human genome assembly, more insertions could be unequivocally identified. Our original database of SIV insertions, mapped against the human genome, from samples collected during the first year after transplantation in the same animals was reanalyzed and mapped using the rhesus genome.36 A total of 519 independent valid SIV insertions with locations that could be unequivocally mapped to the rhesus genome were identified (Table S3). Valid insertions located within repetitive elements constituted an additional 30%, but could not be further analyzed. Two-hundred eighty-nine sites were identified in granulocytes at 6 to 12 months after transplantation, and 267 in granulocytes 35 to 47 months after transplantation. Thirty-seven insertions were present in both the 6- to 12-month and the 35- to 47-month datasets, indicating that individual SIV vector–transduced progenitor or stem cells present in the first year after transplantation were able to contribute to hematopoiesis for prolonged time periods. There were no differences between the patterns of SIV vector integration patterns in clones contributing to hematopoiesis at 6 to 12 months versus 35 to 47 months after transplantation. Table 1 shows the characteristics of the pooled set of 519 SIV insertions compared with in silico random integrations. As expected, there was a very significant preference for integration within genes, and in highly gene-dense regions. CpG islands were not targeted. As we observed during the first year after transplantation, vector integrations were slightly increased, relative to the random integration set, near TSS (Figure S1). However, this observation is likely due to integrations concentrated overall in and near gene coding sequences.
Summary of SIV insertion site characteristics versus random in silico–generated integration datasets
| . | All SIV, n = 519, no. (%) . | Matching randoms, % . | P vs randoms . |
|---|---|---|---|
| Sites within a gene | 392 (75.5) | 32.9 | < .001 |
| Sites within a CpG island or within a 1-kb window of CpG island | 1 (0.2) | 1.0 | .040 |
| Distribution of sites relative to gene density within 1-Mb window | |||
| 0-10 genes | 33.3 | 79.4 | < .001 |
| 11-20 genes | 29.5 | 15.5 | < .001 |
| More than 21 genes | 37.2 | 5.1 | < .001 |
| . | All SIV, n = 519, no. (%) . | Matching randoms, % . | P vs randoms . |
|---|---|---|---|
| Sites within a gene | 392 (75.5) | 32.9 | < .001 |
| Sites within a CpG island or within a 1-kb window of CpG island | 1 (0.2) | 1.0 | .040 |
| Distribution of sites relative to gene density within 1-Mb window | |||
| 0-10 genes | 33.3 | 79.4 | < .001 |
| 11-20 genes | 29.5 | 15.5 | < .001 |
| More than 21 genes | 37.2 | 5.1 | < .001 |
We analyzed whether there was any significant clustering of insertions at nonrandom sites in the genome, using the definitions of common integration sites (CISs) proposed by Suzuki et al37 Figure 6 compares the number of CISs in the random datasets to those in our actual dataset of 519 sites. The numbers of second-order (2 sites within 30 kb), third-order (3 sites within 50 kb), and fourth- or greater order (4 or more sites within 100 kb) CISs were significantly more frequent in our SIV dataset than in our random datasets (P < .001 for each order CIS). We also used a bootstrapping methodology for comparing the experimental SIV dataset to the 10 000 random computer-generated datasets, and as shown in Table S2, these differences for each order CIS were also highly significant.
Comparison of the number of CISs found in the SIV rhesus insertion dataset long term compared with 10 000 random datasets. CISs of second, third, and fourth order were identified in the SIV dataset and in the 10 000 random datasets as defined and described in “Identification and analysis of vector insertion sites.” The x-axis gives the number of CISs and the y-axis, the number of datasets containing that number of CISs. The arrows show the number of each order CIS found in the experimental SIV datasets. P values were all less than .001 comparing second-, third-, and fourth-order CISs in the SIV experimental dataset to the 10 000 random datasets.
Comparison of the number of CISs found in the SIV rhesus insertion dataset long term compared with 10 000 random datasets. CISs of second, third, and fourth order were identified in the SIV dataset and in the 10 000 random datasets as defined and described in “Identification and analysis of vector insertion sites.” The x-axis gives the number of CISs and the y-axis, the number of datasets containing that number of CISs. The arrows show the number of each order CIS found in the experimental SIV datasets. P values were all less than .001 comparing second-, third-, and fourth-order CISs in the SIV experimental dataset to the 10 000 random datasets.
We previously reported very marked clustering of MLV insertions in or near the MDS1/EVI1 proto-oncogene locus (14 of a total of 702 insertions) in the same rhesus model.39 We did not find any insertions of SIV within or near (< 500 kb) from the MDS1/EVI1 locus, either early or late after transplantation, or in or near the closely homologous PRDM16 locus (0/519; P = .001, Fisher exact test). There was significant clustering in and around several genes, although none have known proto-oncogenic properties (Table S3). There were 5 independent insertions in the PACS1 (phosphofurin acidic cluster sorting protein 1) gene locus. Three insertions were identified at 6 to 12 months, one persisted at 35 to 47 months, and an additional 2 were identified at the later time points. There were 4 insertions in the EYA3 locus, a member of the family of eyeless proteins linked to a Drosphilia phenotype and having phosphatase activity, but no known oncogenic or growth control function. There were 4 independent insertions located within 4 kb of each other on chromosome 14. This cluster was not within a gene, but is 2.2-kb downstream from the alignment of a full-length human EST, AK057104. The predicted gene product has no homology to known proteins. There were also clusters of 4 insertions within 100 kb in 2 other regions of chromosome 14 and one region of chromosome 16. Proximity of all insertions to genes is given in Table S3.
We also analyzed the SIV integrants (Table 2) compared with in silico–generated insertions regarding proximity to the entire class of known oncogenes, as defined by the Sanger Cancer Gene Census (http://www.sanger.ac.uk/genetics/CGP/Census).40 Despite normalization for proximity to genes, there was a small but significant increase in SIV vector integrations within or near oncogenes (5.3%) compared with the random control set of integrations (2.8%). This relative increase for the SIV vector was similar to that observed for MLV vectors, and in contrast to an ASLV vector (Table 2). This may reflect the propensity for SIV and MLV to integrate in or near genes that are highly expressed,18,41 which include many proto-oncogenes in HSCs.
Proximity of SIV, MLV, and ASLV insertions to oncogenes
| . | SIV . | MLV . | ASLV . | ||||||||||||
|---|---|---|---|---|---|---|---|---|---|---|---|---|---|---|---|
| 6-12 months SIV . | Matching randoms . | P vs randoms . | 35-47 months SIV . | Matching randoms . | P vs randoms . | All SIV . | Matching randoms . | P vs randoms . | All MLV . | Matching randoms . | P vs randoms . | All ASLV . | Matching randoms . | P vs randoms . | |
| Total mapped integrations | 289 | 267 | 519 | 396 | 198 | ||||||||||
| No. of integrations within 30 kb of 1 or more oncogenes* | 13 | 4.29 | < .001 | 15 | 3.96 | < .001 | 26 | 7.69 | < .001 | 16 | 5.66 | < .001 | 2 | 3.14 | .392 |
| No. of integrations within 30 kb of 1 or more genes† | 272 | 152 | < .001 | 252 | 140 | < .001 | 490 | 273 | < .001 | 304 | 202 | < .001 | 137 | 107 | < .001 |
| % of sites (within 30 kb of gene) that are within 30 kb of oncogene | 4.8% | 2.8% | .084 | 5.9% | 2.8% | .022 | 5.3% | 2.8% | .014 | 5.3% | 2.8% | .028 | 1.5% | 2.9% | .178 |
| . | SIV . | MLV . | ASLV . | ||||||||||||
|---|---|---|---|---|---|---|---|---|---|---|---|---|---|---|---|
| 6-12 months SIV . | Matching randoms . | P vs randoms . | 35-47 months SIV . | Matching randoms . | P vs randoms . | All SIV . | Matching randoms . | P vs randoms . | All MLV . | Matching randoms . | P vs randoms . | All ASLV . | Matching randoms . | P vs randoms . | |
| Total mapped integrations | 289 | 267 | 519 | 396 | 198 | ||||||||||
| No. of integrations within 30 kb of 1 or more oncogenes* | 13 | 4.29 | < .001 | 15 | 3.96 | < .001 | 26 | 7.69 | < .001 | 16 | 5.66 | < .001 | 2 | 3.14 | .392 |
| No. of integrations within 30 kb of 1 or more genes† | 272 | 152 | < .001 | 252 | 140 | < .001 | 490 | 273 | < .001 | 304 | 202 | < .001 | 137 | 107 | < .001 |
| % of sites (within 30 kb of gene) that are within 30 kb of oncogene | 4.8% | 2.8% | .084 | 5.9% | 2.8% | .022 | 5.3% | 2.8% | .014 | 5.3% | 2.8% | .028 | 1.5% | 2.9% | .178 |
Development of solid tumors in CJ5B and RQ3356
At 51 months after transplantation, CJ5B developed a large, unresectable left tibial mass, necessitating euthanasia. Pathologic evaluation showed osteosarcoma. The tumor cells did not express GFP as judged by flow cytometry, and tumor DNA had an average VCN of less than 0.006, likely due to low-level leukocyte infiltration into the sample and not due to vector integration in tumor cells. At 53 months after transplantation, animal RQ3356 was found to have a large posterior tongue squamous cell carcinoma requiring euthanasia. These tumor cells were also GFP negative by flow cytometry and DNA extracted from the tumor had a mean copy number of less than 0.001, consistent with the tumor lacking integrated vector. At autopsy, the cellularity and morphology of the bone marrow were normal in both animals and they had normal peripheral blood counts throughout the 4-year follow-up period.
Discussion
The impetus for the development of lentiviral vectors more than a decade ago was the inefficiency of transduction of quiescent cells using standard γ-retroviral vectors based on Moloney murine leukemia virus (MLV). HIV-based lentiviral vectors were demonstrated to transduce nondividing cells such as neurons, due to stability of the preintegration complex and ability to cross an intact nuclear membrane and integrate into the host cell genome.22,42 HIV vectors were also shown to transduce primitive human hematopoietic cells more efficiently than γ-retroviral vectors, with minimal in vitro culture and cytokine stimulation.43 However, the development and use of lentiviral vectors for clinical applications was slowed, in part, by inefficient vector production systems. Furthermore, the apparent resounding success of γ-retroviral vectors in clinical trials for immunodeficiency disorders may have hampered translational development of lentiviral vectors.1,44
Initial results using HIV-based lentiviral vectors to transduce HSCs in relevant large-animal models were disappointing. Levels of stable, long-term gene transfer were lower than that of MLV vectors, generally less than 1% long-term in baboons and rhesus macaques.45–48 These poor results, in contrast to those achieved with primitive human hematopoietic cells in xenograft models, were later explained by the specific resistance of Old World Monkey cells (including rhesus) to HIV infection or HIV vector transduction.49 This led us to develop a replication-defective, optimized SIV vector, specifically for transduction of nonhuman primate HSCs. This vector has a self-inactivating, third-generation design, with an internal MSCV LTR enhancer/promoter driving expression of the GFP transgene. SIV vectors also transduce human cells efficiently, and some of the safety and regulatory issues associated with HIV vectors, such as seroconversion of patients, might be avoided with SIV vectors.50
Before advancing into clinical trials targeting HSCs with SIV or HIV vectors, prolonged follow-up data regarding persistence of vector-containing cells, stability of expression, and safety are crucial. The genotoxic events in trials using MLV vectors did not become apparent until 3 years after transplantation. The current study is the first to address these issues for lentiviral vectors in a large-animal model. Previous nonhuman primate studies using lentiviral vectors have reported results for only 6 to 12 months after transplantation, and murine xenograft human progenitor studies generally last only 3 to 4 months.25,45 Silencing of transgenes carried by vectors can occur completely and abruptly shortly after target cell infection, as shown most strikingly in embryonic carcinoma and embryonic stem cells. Diminished expression in the form of position effect variegation, due to asymmetric expression in daughter cells, can also occur. In addition, loss of expression can occur gradually over time despite initial high-level expression from a provirus in a process termed extinction.51
Our current results indicate extended, stable levels of SIV vector–transduced cells ranging from 3% to 13% in myeloid and lymphoid lineages, after an initial decrease in marking levels primarily between 3 and 6 months after transplantation, with no further consistent diminution of marking levels or transgene expression for up to 4 years after transplantation. The early decrease was seen in our prior MLV studies as well, and likely reflects more efficient transduction of short-term HSCs (ST-HSCs) compared with true long-term (LT)–HSCs. LT-HSCs begin to contribute 4 to 6 months after transplantation, as shown in our prior studies where clones that stably contributed for years first appeared 6 months after transplantation.52 A detailed analysis showed no evidence for significant levels of vector silencing, with vector copy numbers in sorted GFP− granulocytes and lymphocytes less than 0.1. Instead of vector silencing, the disparity between molecular vector copy number and flow cytometric quantitation of GFP-expressing cells was accounted for by an average VCN of greater than 1 integrant per GFP+ cell. Within a heterogeneous population of CD34+ target cells, those cells that are susceptible to transduction may take up and integrate more than a single vector copy, compared with other cells that may be resistant. Even in cell lines, a 30% initial transduction efficiency at the end of transduction, similar to that achieved in this study, has been shown to result in a significant number of clones with greater than one insert per cell.53
There are significant differences in integration patterns between MLV and HIV or SIV vectors: MLV vectors have a moderate propensity to integrate within gene coding regions, but a more striking preference for areas surrounding transcription start sites, compared with HIV/SIV vectors, with a higher preference for gene coding regions but no marked preference for inserting near transcription start sites.15,16,54 Both classes of vectors are more likely to integrate in or near actively transcribed genes. Not surprisingly, long-term follow-up of the animals studied in detail in our current study documents a similar integration pattern for the SIV lentiviral vector into long-term repopulating cells, compared with the pattern we observed in these animals based on shorter follow-up.
Long-term follow-up of our nonhuman primates revealed important differences between MLV and SIV. In SIV animals, we found no overrepresentation or, indeed, any examples of repopulating clones harboring SIV vector insertions into or near the MDS1/EVI1, LMO2, or BCL2A1 loci. This is in marked contrast to our results in the same rhesus model using MLV γ-retroviral vectors, where we found 2% of all insertions located at MDS1/EVI1.39 An even more striking frequency of insertions in this locus was observed in the human CGD trial using MLV vectors, with eventual clonal dominance of single abnormal clones, loss of transgene expression, and disordered hematopoiesis.4,39 The lack of MDS1/EVI1 as an overrepresented integration sites does not guarantee lack of genotoxic risk, because other factors not yet understood may impact on the integration pattern and other proto-oncogenic loci may instead be an issue with lentiviral vectors, however these findings are encouraging.
SIV integration sites were significantly more clustered compared with our random datasets, with greater numbers of CISs of second-, third-, and higher orders. We also detected small, but higher than expected frequencies of integrants for both MLV- and SIV-based vectors into or near proto-oncogenes, most likely based on the high-level expression of many of these growth-promoting genes in primitive hematopoietic cells.18 These and other sites of clustering may be due to specific physical characteristics of chromatin at these sites that favor integration of lentiviruses, due to high gene density, histone configuration, or other factors. Despite the increased rate of integration of both vectors into or near proto-oncogenes, no SIV vector–containing clone has clearly expanded or become dominant in vivo and no individual proto-oncogene was overrepresented as a common integration site, which is reassuring for advancing clinical development of SIV and HIV vectors. In a tumor-prone murine bone marrow transplantation model, a much higher incidence of insertional leukemias was found with MLV compared with HIV vectors.55
Five independent insertions in the PACS1 locus were identified. The PACS1 gene product has no known impact on cell survival or proliferation and is not included on any cancer-related gene inventories. It is a protein involved in controlling the localization of proteins in subcellular organelles.56 Of note, it has been found to participate in the trafficking of viral envelope glycoproteins during production viral infection and release, interacting with acidic residues on the RD114 env protein to sequester it away from SIV gag, decreasing release of RD114-pseudotyped SIV particles.57 Because PACS1 is highly expressed in primitive human hematopoietic stem and progenitor cells, we speculate that the open pattern of chromatin and particular chromatin-binding patterns present at this locus in stem cells might be responsible for attracting integration complexes.58 The other loci with significant overrepresentation, including EYA3 and regions on chromosomes 4, 14, and 16, have no known impact on cellular properties likely to impact on oncogenesis or genotoxicity, but further investigation will be important if these loci are also represented in independent SIV or HIV insertion datasets.
All third-generation lentiviral vectors, including all those used in the insertion site analyses in this study, have a “self-inactivating” (SIN) design. Enhancer regions have been deleted from the 3′ LTR, and the integration process results in removal of the enhancer from the integrated 5′ LTR as well. Therefore, the increased genotoxicity of MLV vectors, compared with HIV/SIV, resulting from activation of adjacent oncogenes is likely due to potent enhancer elements that reside in the LTRs, as suggested by others.26 The results of our current study argue that other factors, such as vector system–specific integration site selection, may also play an important role, because our vector contained an internal MLV LTR promoter-enhancer, optimized for very high expression in primitive hematopoietic cells, driving the GFP transgene.60 Despite the presence of one copy of this strong LTR enhancer in our SIV vector, there was no evidence for clonal dominance via activation of MDS1/EVI1 or LMO2, or progression toward abnormal hematopoiesis or leukemia. This result suggests that a strong internal enhancer/promoter in an integrated lentiviral vector may have less potent effects on neighboring genes than 2 intact LTRs on either end of an integrated γ-retroviral vector. Modlich et al recently reported that SIN MLV vectors with an internal LTR promoter had less potent but still active transforming activity than intact MLV vectors.60
The occurrence of malignant tumors in 2 of the 3 animals is concerning, however, we could find no evidence of vector sequences or transgene expression in either tumor. There is limited long-term follow-up data regarding the incidence of tumors in cohorts of aging rhesus macaques, and no relevant information on macaques exposed to irradiation, in particular high-dose total body irradiation. The 2 animals were 7 and 8 years of age when they developed the tumors. A study from 1973 reported on the incidence of spontaneous neoplasia in 1065 adult monkeys from 32 species and found tumors in only 2.8%, however these were animals entered in multiple different studies and most were older animals.61 In a much smaller aging study, 164 necropsies were performed on macaques 15 years of age or older that died spontaneously or were euthanized for medical problems.62 None had been irradiated. In 30%, tumors were discovered, including one oral squamous carcinoma and one osteosarcoma. In other large-animal models and in humans, both osteosarcomas and squamous cell carcinomas have been linked to prior radiation exposure.63–65 One canine study reported osteosarcomas developing in almost 10% of dogs followed for 1.2 to 6.4 years after high-dose radiation therapy.66 So although we remain concerned regarding the occurrence of these tumors, the evidence so far strongly suggests they are linked to the irradiation, not the SIV gene transfer vector. The development of effective nonmyeloablative, nonmutagenic, and less toxic conditioning regimens, particularly for nonmalignant target diseases, is crucial for any wide application of gene therapy targeting HSCs.
Continued follow-up of the surviving and additional animals that received a transplant of SIV lentiviral vector–transduced cells will be important. However, the results thus far, combined with evidence from tumor-prone murine models, are encouraging regarding decreased genotoxicity of SIN lentiviral vectors compared with MLV vectors for transduction of primitive hematopoietic cells. We have achieved stable long-term and high-level transgene expression, and further optimization of transduction conditions, vector design, and conditioning regimens may result in higher levels of circulating genetically modified cells. It should be noted that it took almost 20 years to achieve therapeutic levels of gene transfer to primitive hematopoietic cells after the initial development of replication-incompetent γ-retroviral vectors. The levels of genetic modification and stable expression we observed in this study could be therapeutic for several clinical applications, such as chronic granulomatous disease (CGD) and the hemoglobin disorders.67,68 Clinical trials are already ongoing using HIV-based lentiviral vectors to transduce target HSCs in patients with thalassemia and adrenoleukodystrophy.
The online version of this article contains a data supplement.
The publication costs of this article were defrayed in part by page charge payment. Therefore, and solely to indicate this fact, this article is hereby marked “advertisement” in accordance with 18 USC section 1734.
Acknowledgments
We thank Stephanie Sellers for skilled laboratory assistance, Colin Wu for statistical advice, Lauren Brinster, DVM, and the pathology staff of the Division of Veterinary Resources for histopathology processing and interpretation, and Allen Krouse and Mark Metzger and the rest of the 5 Research Court staff for providing excellent animal care.
This research was supported in part by the Intramural Research Programs of the National Heart, Lung, and Blood Institute and the National Human Genome Research Institute, National Institutes of Health.
National Institutes of Health
Authorship
Contribution: Y.-J.K., Y.-S.K., R.A., R.E.D., B.-K.H., and J.M.R. performed research; A.L. and P.H. performed and designed research and analyzed data; G.R. and T.G.W. performed bioinformatics research and analysis; J.R. performed statistical analysis; K.A. performed bioinformatics analysis; A.W.N. designed research and analyzed data; and C.E.D. and D.A.P. designed research, analyzed data, and wrote paper.
Conflict-of-interest disclosure: The authors declare no competing financial interests.
Correspondence: Cynthia E. Dunbar, CRC-Bldg 10, Rm 4E-5132, NIH, 10 Center Dr, Bethesda, MD 20852; e-mail: dunbarc@nhlbi.nih.gov.
References
Author notes
*Y.-J.K. and Y.-S.K. contributed equally to this work.
†C.E.D. and D.A.P. contributed equally to this work.


![Figure 3. Vector copy number compared with percentage of GFP+ cells in PB and BM of animals that received a transplant. Comparison of the percentage of GFP+ PB and BM cells as assessed by flow cytometry ([]) and VCN as determined by qPCR of genomic DNA. For vector copy number, mean of triplicate samples shown with error bars.](https://ash.silverchair-cdn.com/ash/content_public/journal/blood/113/22/10.1182_blood-2008-10-185199/5/m_zh89990936700003.jpeg?Expires=1765978729&Signature=oil98UTcSz~MzgWl5R-RqV74sLPEFh-2XOla67Iy-M7YuTOezFqUut-7JknuZDz~xcb1XeZ-tL~U4j-SM4tZs1ddvPFSQtu~paHmZcjc3ohBbvDkGIQ7gUW3unoMj56XcJ4pK6BrT1N8s67FOYh3NKirV0VYjkTRQZkH43LHGJ2tG9KOr7MUvmIDGd7ncCGjR5SBiowE4WVgirApnMDNdjk0cvEcRPAY1jxz~FwAwd29KSHbLJbaH1hMARu4iq~Oidm2aPIq76YSPrTUhR1~58Asz1Hno~exjbSFdnKlQu03WLS55RBT74Fe7yvijg13yEWRCnJtrHaJzOksbUpryw__&Key-Pair-Id=APKAIE5G5CRDK6RD3PGA)


