In this issue of Blood, Aichberger and colleagues identify the antiapoptotic protein Mcl-1 as a novel therapeutic target in mastocytosis and show that inhibition of Mcl-1 potentiates the effects of KIT tyrosine inhibitors on survival of leukemic mast cell lines.
Most patients with systemic mastocytosis have an indolent variant of the disease that does not affect life expectancy, whereas patients in advanced disease categories such as aggressive systemic mastocytosis (ASM) and mast cell leukemia have poor prognosis and are candidates for mast cell cytoreductive therapies. Current options for mast cell cytoreductive therapy including IFN-α2b and cladribine, however, rarely result in complete or durable remissions.1
Systemic mastocytosis is associated with gain-of-function mutations of the tyrosine kinase domain of KIT, with one particular mutation, D816V, being detectable in more than 90% of cases.2 Discovery of small-molecular-weight tyrosine kinase inhibitors capable of inhibiting KIT has consequently generated much interest in exploring their therapeutic potential in mastocytosis. Imatinib, the prototypical drug in this category, inhibits wild-type KIT but cannot bind to KIT bearing the D816V mutation, and is therefore not a good therapeutic option for the great majority of patients with mastocytosis.
Several “second-generation” tyrosine kinase inhibitors with the ability to overcome imatinib resistance conferred by D816V KIT have recently been described.3 While these drugs effectively kill neoplastic mast cells in the test tube, emerging data from initial clinical trials have thus far shown low rates of complete remission, probably due to the inability of the drugs to reach or sustain sufficiently high tissue levels to result in complete inhibition of the mutated KIT without significant toxicity. Taken together with the possibility that neoplastic mast cells may have additional pathogenic survival mechanisms independent of KIT, these observations highlight the importance of continuing efforts to identify novel approaches to inhibit mast cell growth and survival.
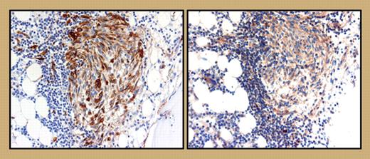
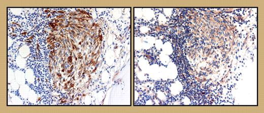
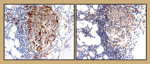
Pathways involved in mast cell apoptosis constitute attractive targets for drug development as neoplastic mast cells are relatively resistant to apoptosis induced by SCF (KIT ligand) withdrawal compared with their normal counterparts.4 Mcl-1, an antiapoptotic protein induced by SCF, belongs to Bcl-2 family and critically regulates hematopoietic cell survival.5 The study by Aichberger and colleagues shows that Mcl-1 is expressed in mast cells and multiple other myeloid lineages in patients with mastocytosis (see figure), myelodysplastic syndromes (MDSs), and chronic myeloproliferative disorders as well as in normal bone marrow cells. Inhibition of Mcl-1 RNA expression in mast cell leukemia cell lines with or without D816V mutation resulted in induction of apoptosis. Moreover, Mcl-1 antisense oligonucleotides showed synergistic effects on neoplastic mast cell cytotoxicity when combined with PKC412, a tyrosine kinase inhibitor with activity against D816V KIT.
Expression of Mcl-1 in neoplastic human mast cells. See the complete figure in the article beginning on page 3031.
Expression of Mcl-1 in neoplastic human mast cells. See the complete figure in the article beginning on page 3031.
These results have potential clinical implications as pharmacologic inhibitors of Mcl-1/Bcl-2 are currently evaluated in early-phase clinical trials for hematologic neoplasias. However, it should be noted that complete deficiency of Mcl-1 expression in bone marrow results in abrogation of normal hematopoiesis in mice,5 and in vivo safety and efficacy of regimens combining inhibitors of KIT and Mcl-1 remain to be determined. As the euphoria over the discovery of KIT tyrosine kinase inhibitors settles, our next challenge in the current state of clinical research is to find the optimal combination of drugs to inhibit mast cell survival in order to get another step closer to a cure for mastocytosis.
The author declares no competing financial interests. ▪

This feature is available to Subscribers Only
Sign In or Create an Account Close Modal