Abstract
Spleen tyrosine kinase (Syk) activation is a key intermediate step in the activation of platelets by the physiologic agonist collagen. We have found that Syk is rapidly ubiquitinated upon activation of platelets by collagen, collagen-related peptide (CRP), and convulxin. The Src family kinase inhibitors prevented Syk phosphorylation and its ubiquitination, indicating that the process is downstream of Src kinases. The ubiquitination of Syk did not cause degradation of the protein as evidenced by the lack of effect of proteasomal and lysosomal inhibitors. We separated ubiquitinated Syk from its nonubiquitinated counterpart and used an in vitro kinase assay to compare their activities. We found that the ubiquitinated Syk appeared to be about 5-fold more active. Using a phosphospecific antibody to Syk (Tyr525/Tyr526) that measures activated Syk, we found that most (60%-75%) of the active Syk is in the ubiquitinated fraction. This result explains the apparent high specific activity of ubiquitinated Syk. In c-Cbl–deficient mice, Syk is not ubiquitinated, implicating c-Cbl as the E3 ligase involved in Syk ubiquitination. Furthermore, Syk is not dephosphorylated in these mice. We propose that c-Cbl plays a regulatory role in glycoprotein VI (GPVI)/Fc receptor γ (FcRγ)-chain–dependent platelet activation through its interaction with Syk.
Introduction
The activation of platelets by collagen is an essential event in prevention of bleeding.1 Collagen binds to at least 2 different receptors on the platelet membrane. One receptor is an integrin α2β1 that is primarily responsible for firm adhesion of platelets to collagen.2 The other is the glycoprotein VI (GPVI)/Fc receptor γ (FcRγ)–chain complex that is responsible for the majority of the intracellular signaling events.3,4 Platelet activation by collagen leads to an increase in intracellular Ca2+ and activation of protein kinase C.5 The responses are dependent on the activation of phospholipase Cγ2 (PLCγ2) downstream of GPVI/FcRγ-chain activation.6-8 While the details of signaling through this receptor are not complete, many aspects have been described and the pathways parallel activation by immune receptors in lymphocytes.9-11 Initially the immunoreceptor tyrosine-based activation motif (ITAM) of the FcRγ-chain becomes phosphorylated by an Src family kinase, Fyn and/or Lyn. The spleen tyrosine kinase (Syk) binds to the ITAM and becomes autophosphorylated.12 Activation of Syk leads to phosphorylation of several adapter proteins such as linker for T-cell activation (LAT) and Src homology 2–containing leukocyte protein 76 (SLP76), activation of phosphatidylinositol 3–kinase (PI-3 kinase), recruitment of Bruton tyrosine kinase (Btk), and ultimately activation of PLCγ2 by tyrosine phosphorylation.13,14 Activation of PLCγ2 in vitro has been shown to depend on phosphorylation on at least 2 tyrosines.8
c-Cbl is a multidomain adapter protein that is highly expressed in hematopoietic cells and has been shown to facilitate signal transduction in several signaling systems by juxtaposing specific proteins involved in signaling pathways.15,16 Thus c-Cbl binds to several proteins that are involved in platelet signaling, such as Src- and Syk-family protein tyrosine kinases and PI-3 kinase p85 subunit.17-20 Furthermore, c-Cbl is an important cofactor in ubiquitination, a covalent modification of proteins with one or several residues of ubiquitin.16,21 Ubiquitin is a small protein of about 8.5 kDa that is synthesized as a polymer but cleaved before use. Ubiquitination is a tightly regulated process involving 3 distinct types of enzymes designated E1, E2, and E3. Ubiquitin is attached to E1 via a thiolester bond. The interaction of E1 with E2 allows transfer of ubiquitin to a thiolester bond on E2. E3 assists in docking a target protein to E2 for ubiquitination on a lysine side chain. The complex of E2 and E3 can be thought of as a ligase that catalyzes the final reaction. c-Cbl has been shown to function as an E3 ligase primarily for activated protein tyrosine kinases including the kinases of the Src- and Syk-families.16,22-27 Targeting proteins for proteasomal degradation has been recognized as a major role of ubiquitination.16,28,29
The exact role of c-Cbl in platelet activation is not completely known. Oda et al30 showed that c-Cbl becomes phosphorylated when platelets are stimulated by recombinant thrombopoietin. Polgar et al31 showed that both convulxin and collagen induce phosphorylation of c-Cbl. Both c-Cbl phosphorylation and its association with PI-3 kinase were found to be dependent on fibrinogen receptor (αIIbβ3) occupation.32 c-Cbl also becomes tyrosine-phosphorylated after platelet activation induced by Fc receptor engagement.33 In c-Cbl knock-out mouse platelets, phosphorylation of several proteins, including Syk, downstream of GPVI activation is enhanced when compared with wild-type mice.34 Platelet aggregation to the GPVI agonist, collagen-related peptide (CRP), was also enhanced in knock-out mice. In this study, we have determined that Syk is ubiquitinated in human and mouse platelets when they are stimulated by agonists that interact with GPVI. This ubiquitination is dependent on both c-Cbl and Src family kinase, which is consistent with findings that c-Cbl ubiquitinates activated tyrosine kinases17,19,26,35 and that Src-family kinases are involved in the activation of Syk.21,36 Using an antibody specific for the activation loop of Syk, we conclude that the majority of activated Syk is ubiquitinated, suggesting that ubiquitination plays an important regulatory role within the platelet. Experiments in c-Cbl–deficient mice are consistent with the hypothesis that the interaction of c-Cbl with Syk regulates Syk's dephosphorylation.
Materials and methods
Materials
All reagents were from Sigma (St Louis, MO) unless stated. Antiphosphotyrosine (4G10) was from Upstate USA (Charlottesville, VA). Anti-Syk (4D10 and N19), antiubiquitin (P4D1), anti–c-Cbl (C-15), Protein A/G PLUS-agarose, and horseradish peroxidase (HRP)–conjugated goat anti–mouse or anti–rabbit immunoglobulin G (IgG) were from Santa Cruz (Santa Cruz, CA). Antiserum to the N-terminal Src homology 2 (SH2) domain of Syk was raised in rabbits using the corresponding glutathione-S–transferase (GST) fusion protein. Antiphosphospecific Syk (Tyr525/Tyr 526) was from Cell Signaling Technology (Beverly, MA). Epoxomicin, MG-132, MG-262, piceatannol, PP2, carbacylin, Suc-Leu-Leu-Val-Tyr-AMC, and mouse monoclonal antibody to ubiquitinated proteins (clone FK2) were from Biomol (Plymouth Meeting, PA). Tubulin, more than 99% pure from bovine brain, was purchased from Cytoskeleton (Denver, CO). An expression vector for the cytoplasmic domain of erythrocyte band 3 (cdb3) was a generous gift from Dr Phillip Low (Purdue University, West Lafayette, IN). Cdb3 was expressed in Escherichia coli and purified on a His-select HC-nickel column (Sigma).37 SuperSignal West Pico chemiluminescent substrate was from Pierce (Rockford, IL). Convulxin was purified according to the method of Polgar et al.31 Collagen (type I, equine tendon) was from Chronolog (Havertown, PA). Collagen-related peptide (CRP) was a gift from Dr Todd Quinton. SC57101 was a gift from Searle Research and Development (Skokie, IL). Adenosine 5′-triphosphate (ATP) [γ-32P], 3000 Ci (111 TBq)/mmol, was purchased from Perkin Elmer Life Sciences (Boston, MA).
Isolation of human platelets
Blood was collected from informed healthy volunteers into one-sixth volume of acid/citrate/dextrose (85 mM sodium citrate, 111 mM glucose, 71.4 mM citric acid). Platelet-rich plasma was obtained by centrifugation at 180g for 15 minutes at ambient temperature and incubated with 1 mM aspirin for 30 minutes at 37°C. Platelets were isolated from plasma by centrifugation at 800g for 10 minutes at ambient temperature and resuspended in Tyrode buffer (137 mM NaCl, 2.7 mM KCl, 2 mM MgCl2, 0.42 mM NaH2PO4, 5 mM glucose, 10 mM HEPES [N-2-hydroxyethylpiperazine-N′-2-ethanesulfonic acid, pH 7.4], 0.2% bovine serum albumin, and 100 milli-units/mL apyrase). The platelet count was adjusted to 2 × 108/mL. Approval was obtained from the institutional review board of Temple University for these studies. Informed consent was provided prior to blood donation.
Platelet activation and lysate preparation
Aliquots (500 μL) of platelets were equilibrated at 37°C in the presence of 1 μM SC57101 to prevent aggregation. Platelets were stimulated with 200 ng/mL convulxin, 10 μg/mL CRP, or 100 μg/mL collagen. When platelets were activated with collagen, 20 mM phosphocreatine and 25 units/mL creatine phosphokinase were added prior to stimulation to prevent positive feedback by adenosine diphosphate. Reactions were stopped by addition of an equal volume of cold lysis buffer, the composition of which depended on the experiment. The 2 lysis buffers used are radioimmunoprecipitation assay (RIPA) 1× lysis buffer (150 mM NaCl, 25 mM Tris [tris(hydroxymethyl)aminomethane, pH 7.6], 1% nonidet P-40 [NP-40], 0.1% sodium dodecyl sulfate [SDS], 0.5% deoxycholate, 2 mM EDTA [ethylenediaminetetraacetic acid], 1 mM EGTA [ethylene glycol tetraacetic acid], 1 mM sodium orthovanadate, 10 mM sodium fluoride, 100 μM phenylmethylsulfonyl fluoride [PMSF], 1 μg/mL pepstatin, and 10 μg/mL leupeptin) and NP-40 lysis buffer (same as the RIPA lysis buffer, except for the absence of SDS and deoxycholate). Samples were kept on ice for 10 minutes to ensure total lysis and centrifuged for 10 minutes at 12 000g/4°C to remove debris.
Preparation of mouse platelets
Blood was collected from the vena cava of anesthetized mice into syringes containing 1/10 blood volume of 3.8% sodium citrate as anticoagulant. Red blood cells were separated by centrifugation at 100g for 10 minutes. Platelet-rich plasma was removed, and the platelet pellet was resuspended in Tyrode buffer (pH 7.4) containing 0.05 U/mL apyrase.
Immunoprecipitation and immunoblotting
Proteins were immunoprecipitated for 16 hours at 4°C with 2 μg of appropriate antibodies. Protein A/G PLUS-agarose (25 μL) was added and samples were incubated another 60 minutes at 4°C with rocking. Immunoprecipitates were washed 3 times with 1× lysis buffer and 1 time with Tris-buffered saline (TBS; 10 mM Tris [pH 7.6] and 150 mM NaCl). Proteins were subjected to SDS/polyacrylamide gel electrophoresis (PAGE, 8% acrylamide) and transferred to Immobilon-P. Blots were blocked with 5% nonfat milk in TBS-T (TBS + 0.05% Tween) for 1 hour at room temperature and probed overnight at 4°C with appropriate antibodies. Blots were washed 3 times with TBS-T and incubated with the appropriate HRP-conjugated secondary antibody for 60 minutes at room temperature. Blots were washed an additional 3 times and antigen-antibody complexes were detected using a chemiluminescent substrate. Bands were visualized on a Fuji imaging system and densities calculated with Image Gauge software (Fujifilm Medical Systems, Stamford, CT).
In vitro kinase assay
Samples subjected to in vitro kinase assays were lysed with the NP-40 lysis buffer. Proteins were immunoprecipitated with appropriate antibodies for 60 minutes at 4°C. Protein A/G PLUS-agarose was added and samples were incubated another 60 minutes at 4°C with rocking. The immunoprecipitates were washed 3 times with 1× lysis buffer and once with kinase assay buffer (50 mM MOPS [3-[N-morpholino]propanesulphonic acid, pH 7.5], 5 mM MgCl2, 5 mM MnCl2, and 1 mM dithiothreitol [DTT]) and incubated at room temperature in 45 μL of the same buffer supplemented with 2.5 μg tubulin. Reactions were started by addition of 5 μL of 25 μM ATP containing 5 μCi (0.185 MBq) [γ-32P] ATP. Reactions were stopped by addition of 15 μL of 4× sample buffer (1× sample buffer: 62.5 mM Tris [pH 6.8], 2% SDS, 10% glycerol, 100 mM DTT, 0.01% bromphenol blue) and tubes boiled for 10 minutes. Proteins were separated and transferred as described in “Immunoprecipitation and immunoblotting.” Membranes were exposed overnight to a Phosphor screen and bands visualized by a Packard Cyclone Storage Phosphor System (Packard Instrument, Meridian, CT). Densities were calculated with Image Gauge software. Membranes were then probed for Syk as described in “Immunoprecipitation and immunoblotting.”
Assay of platelet proteasomal activity
Proteasome activity was assayed spectrofluorimetrically using Suc-Leu-Leu-Val-Tyr-AMC as a substrate.38,39 Assay buffer (20 mM HEPES, 0.5 mM EDTA, 0.035% SDS, pH 7.8) and Suc-Leu-Leu-Val-Tyr-AMC (25 μM) in dimethyl sulfoxide (DMSO) were added to a cuvette and placed in the jacketed cell holder of a fluorescence spectrophotometer at 37°C. The reaction was started by addition of 100 μL platelet lysate and the reaction progress was monitored by the increase in fluorescence emission at 440 nm (λex = 380 nm). In order to obtain the lysate, platelets were incubated at 37°C for 30 minutes with 1 μM epoxomicin, 1 μM MG262, or vehicle and then were washed twice in HEPES–Tyrode buffer, pH 6.5, containing 100 μU/mL apyrase and 100 nM carbacyclin. Platelets were pelleted and lysed in 10 mM HEPES, 150 mM NaCl (pH 7.7) containing 0.1% Triton and 1 mM EGTA.
Results
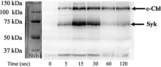
Since c-Cbl has been shown to be present in platelets and is thought to be a negative regulator of Syk activity in other cells, we investigated whether Syk and c-Cbl formed a stable complex in activated platelets. Platelets were activated with convulxin and lysed in a nondissociating buffer (NP-40 buffer). Lysates were immunoprecipitated with an anti–c-Cbl antibody and probed with antiphosphotyrosine. The results are shown in Figure 1. A phosphorylated protein band is at 120 kDa, which, when probed with anti–c-Cbl antibodies (not shown), corresponds to c-Cbl. c-Cbl is not phosphorylated in resting platelets but becomes rapidly tyrosine phosphorylated after stimulation with the collagen mimetic, convulxin, consistent with previous publications.31 Another major tyrosine-phosphorylated protein is found in the c-Cbl immunoprecipitates at about 70 kDa (Figure 1). Reprobing this blot with anti-Syk antibodies indicates that the band is the tyrosine kinase Syk (not shown).
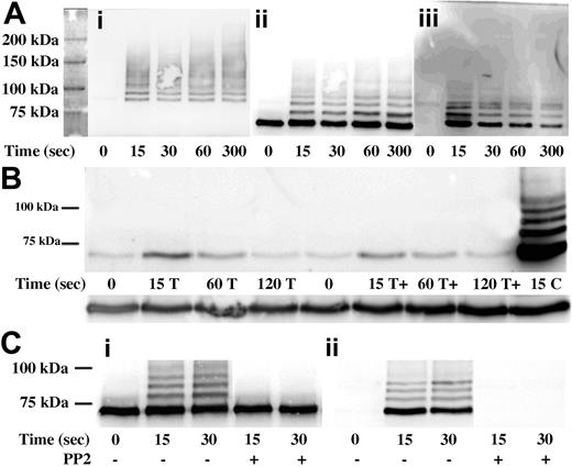
A potential consequence of the interaction of c-Cbl and Syk is the ubiquitination of Syk. c-Cbl is an E3 ubiquitin-protein ligase and ubiquitination is believed to be the mechanism by which c-Cbl down-regulates the activity of Syk. We assessed the ubiquitination of Syk after immunoprecipitation with anti-Syk antibodies under dissociating conditions. Figure 2Ai shows the pattern of immunostaining obtained when these blots were probed with an antiubiquitin antibody. The characteristic ladder pattern of polyubiquitinated proteins is seen. The first band is at about 90 000, indicating diubiquitinated Syk, which is consistent with the fact that this antibody does not interact with monoubiquitinated proteins.40 Figure 2Aii shows the same blot after it was stripped and reprobed with a Syk antibody. Syk and a band that is probably monoubiquitinated Syk can be seen under the polyubiquitinated bands. Ubiquitination does not occur unless the cells have been stimulated. Figure 2Aiii shows a blot of the same samples probed for phosphotyrosine. The pattern is similar to Figure 2B, with the exception that no band is seen in the control lane since Syk is not tyrosine phosphorylated in resting platelets. Similar patterns of ubiquitination were obtained with either collagen or the GPVI-specific peptide CRP.
In order to determine whether ubiquitination of Syk is a general phenomenon downstream of all platelet agonists, we stimulated platelets with thrombin, an agonist of Gq/G13-coupled protease-activated receptors (PARs).41,42 In contrast to GPVI-dependent agonists, thrombin did not cause the ubiquitination of Syk whether the platelets aggregated or aggregation was prevented by a fibrinogen receptor antagonist, SC57101A (Figure 2B). We saw no evidence of ubiquitination whether we probed for phosphotyrosine, ubiquitin, or Syk. Syk tyrosine phosphorylation is induced by thrombin but to a significantly lesser extent than convulxin (about 2-fold compared with about 40-fold). This result suggests that Syk has to be activated prior to ubiquitination since thrombin minimally activates Syk. We have found that tyrosine phosphorylation of Syk occurs more rapidly than ubiquitination, since 5 seconds after convulxin addition, tyrosine phosphorylation is evident in the absence of ubiquitination (data not shown).
Phosphotyrosine-containing proteins in c-Cbl immunoprecipitates of platelets stimulated with convulxin. Platelets were stimulated with 100 ng/mL convulxin for the indicated times and lysed with NP-40 lysis buffer. Proteins were immunoprecipitated with an antibody to c-Cbl and probed with an antibody to phosphotyrosine. Blots were analyzed on a Fuji LAS-1000 plus imaging system. This experiment and those shown in all other figures are representative of at least 3 similar experiments. Stds indicates protein molecular weight standards.
Phosphotyrosine-containing proteins in c-Cbl immunoprecipitates of platelets stimulated with convulxin. Platelets were stimulated with 100 ng/mL convulxin for the indicated times and lysed with NP-40 lysis buffer. Proteins were immunoprecipitated with an antibody to c-Cbl and probed with an antibody to phosphotyrosine. Blots were analyzed on a Fuji LAS-1000 plus imaging system. This experiment and those shown in all other figures are representative of at least 3 similar experiments. Stds indicates protein molecular weight standards.
The ubiquitination of Syk in activated human platelets. (A) Syk was immunoprecipitated from RIPA-lysed platelets that had been activated with convulxin for the indicated times. The immunoprecipitates were separated by SDS-PAGE and transferred to Immobilon. The blot was first probed for ubiquitin (antibody P4D1; Ai). This blot was stripped and probed for Syk (Aii). The same samples were run on another gel and transferred to Immobilon and probed for phosphotyrosine (Aiii). (B) Syk was immunoprecipitated from lysates of activated platelets with thrombin (T, lanes 2-4), thrombin plus SC57101 (T+, lanes 6-8), or convulxin (column 9) and probed for phosphotyrosine. (C) Platelets were preincubated for 10 minutes with 20 μM PP2 as indicated prior to activation with convulxin. Syk was immunoprecipitated and the blots were probed either for Syk (Ci) or for phosphotyrosine (Cii).
The ubiquitination of Syk in activated human platelets. (A) Syk was immunoprecipitated from RIPA-lysed platelets that had been activated with convulxin for the indicated times. The immunoprecipitates were separated by SDS-PAGE and transferred to Immobilon. The blot was first probed for ubiquitin (antibody P4D1; Ai). This blot was stripped and probed for Syk (Aii). The same samples were run on another gel and transferred to Immobilon and probed for phosphotyrosine (Aiii). (B) Syk was immunoprecipitated from lysates of activated platelets with thrombin (T, lanes 2-4), thrombin plus SC57101 (T+, lanes 6-8), or convulxin (column 9) and probed for phosphotyrosine. (C) Platelets were preincubated for 10 minutes with 20 μM PP2 as indicated prior to activation with convulxin. Syk was immunoprecipitated and the blots were probed either for Syk (Ci) or for phosphotyrosine (Cii).
Syk activation through the collagen receptor is downstream of Src-family kinases.36 Hence we used the Src-family kinase inhibitor PP2 to test whether activation of Syk is required for ubiquitination. Figure 2C shows that PP2 completely blocked ubiquitination of Syk. Syk phosphorylation was inhibited as well (Figure 2Cii). SU6656, another Src kinase inhibitor, had a similar effect, while PP3, the control for PP2, had no effect.
The role of ubiquitination in the production of protein degradation by the proteasome is well established.28,29 Ubiquitinated Syk is degraded in some immune and cultured cells.35,43 Therefore we used several different proteasomal inhibitors to test whether ubiquitination primed Syk for degradation (Figure 3A). When platelets were preincubated with the proteasome inhibitor epoxomicin and stimulated with the GPVI agonist, convulxin, an increase in ubiquitinated Syk was not observed. An increase in ubiquitinated Syk would indicate that Syk is degraded by the proteasome. We also did the same experiment with collagen or CRP, with differing preincubation times and using platelet-rich plasma (PRP) for inhibitor preincubation rather than washed platelets and obtained no essential difference in the final results. Similar results were obtained with MG132 (20 μM) and MG262 (1 μM) alternative proteasome inhibitors (data not shown). To prove that these inhibitors actually entered the platelet and inhibited platelet proteasomal enzymes, we incubated platelets with proteasomal inhibitors, washed the platelets, lysed them, and tested the proteasomal activity of the lysate using a fluorogenic proteasomal substrate N-succinyl-l-leucyl-l-leucyl-l-valyl-l-tyrosine-7-amido-4-methylcoumarin (Suc-Leu-Leu-Val-Tyr-AMC). The results shown in Figure 3B demonstrate that both epoxomicin and MG262 enter the platelet and inhibit proteasomal enzymes. Epoxomicin inhibited activity by 100% and MG262 inhibited activity by more than 80%. The greater inhibition of epoxomicin is probably due to the fact that it is an irreversible inhibitor. Proteasomal degradation of ubiquitinated Syk is more likely to target active Syk exclusively rather than the bulk Syk.35,40,43 To assess this possibility, we used an antibody directed to 2 phosphotyrosines (Y525/Y256) in the activation loop of Syk. Immunoblots similar to Figure 3A were probed with the phosphospecific antibody. The results of this experiment are summarized in Figure 3C. There was no significant difference in the time course of the disappearance of phosphorylated Syk. In order to determine whether ubiquitinated Syk might be degraded by the lysosome, we measured the time course of Syk ubiquitination in the presence of a lysosomal inhibitor, chloroquine. Platelets were stimulated with collagen for the indicated times in the presence or absence of chloroquine (Figure 3D). Chloroquine also did not change the levels of ubiquitinated Syk in either collagen (Figure 3D) or convulxin-stimulated platelets (not shown).
Neither proteasome inhibitors nor lysosomal inhibitors affect the levels of ubiquitinated Syk. (A) Washed platelets were pretreated with the proteasomal inhibitor epoxomicin (1 μM 30 minutes at 37°C) prior to activation by convulxin (100 ng/mL) for indicated times. The platelets were lysed with RIPA buffer and Syk was immunoprecipitated. The blot was probed for Syk. (B) Epoxomicin and MG262 inhibit platelet proteasomal enzymes. Washed platelets were incubated with either epoxomicin (1 μM) or MG262 (1 μM) for 30 minutes at 37°C. The platelets were washed and lysed as described. The lysates were assayed for proteasomal activity with Suc-Leu-Leu-Val-Tyr-AMC as substrate. (C) Measurement of the effect of epoxomicin (○) on ubiquitinated Syk using a phosphospecific (pY525/pY526) antibody. The experiment was similar to panel A, except the Syk immunoblot was probed with phosphospecific (pY525/pY526) antibody. The total material in the Syk and ubiquitinated Syk bands was quantitated for each incubation time and the area plotted in the figure. ▪ indicates control. The inset shows the 2 blots used. The data are representative of 3 experiments. (D) Washed platelets were pretreated with chloroquine (200 μM for 60 minutes at 37°C), a lysosomal inhibitor, prior to activation by collagen for indicated times. The platelets were lysed and Syk was immunoprecipitated. The blots were probed for Syk.
Neither proteasome inhibitors nor lysosomal inhibitors affect the levels of ubiquitinated Syk. (A) Washed platelets were pretreated with the proteasomal inhibitor epoxomicin (1 μM 30 minutes at 37°C) prior to activation by convulxin (100 ng/mL) for indicated times. The platelets were lysed with RIPA buffer and Syk was immunoprecipitated. The blot was probed for Syk. (B) Epoxomicin and MG262 inhibit platelet proteasomal enzymes. Washed platelets were incubated with either epoxomicin (1 μM) or MG262 (1 μM) for 30 minutes at 37°C. The platelets were washed and lysed as described. The lysates were assayed for proteasomal activity with Suc-Leu-Leu-Val-Tyr-AMC as substrate. (C) Measurement of the effect of epoxomicin (○) on ubiquitinated Syk using a phosphospecific (pY525/pY526) antibody. The experiment was similar to panel A, except the Syk immunoblot was probed with phosphospecific (pY525/pY526) antibody. The total material in the Syk and ubiquitinated Syk bands was quantitated for each incubation time and the area plotted in the figure. ▪ indicates control. The inset shows the 2 blots used. The data are representative of 3 experiments. (D) Washed platelets were pretreated with chloroquine (200 μM for 60 minutes at 37°C), a lysosomal inhibitor, prior to activation by collagen for indicated times. The platelets were lysed and Syk was immunoprecipitated. The blots were probed for Syk.
Since we could not demonstrate an effect of ubiquitination on the catabolism of Syk, we decided to test whether the enzymatic activity of Syk was affected by ubiquitination. FK2 is an antibody capable of immunoprecipitating polyubiquitinated proteins.36 FK2 was used to separate polyubiquitinated Syk from total Syk in platelets that were activated with convulxin (Figure 4, lane C). A fraction of Syk depleted in polyubiquitinated protein could be obtained by immunoprecipitating the supernatant obtained after FK2 treatment (Figure 4, lane B). We assessed the activity of ubiquitinated Syk in an in vitro kinase assay using tubulin as substrate. Tubulin has been shown to be a selective substrate for Syk and zeta-associated protein 70 (ZAP70) compared with Src-family kinases.44 In order to demonstrate the lack of interference by Src-family kinases in our assay, we tested the ability of tyrosine kinase inhibitors PP2 and piceatannol to inhibit the kinase activity found in an FK2 immunoprecipitate of convulxin-activated platelets (Figure 5A). The phosphorylation of tubulin by this fraction was inhibited by the Syk inhibitor, piceatannol, but not by the Src-family kinase inhibitor PP2. Figure 5B compares the activity of total Syk to the FK2 ubiquitinated fraction. Activity was measured as the ability of each fraction to incorporate [32P]-PO4 into tubulin divided by the immunostaining density of the fraction to assess specific activity. The activity in the ubiquitinated fraction was determined to be higher than the total Syk fraction. In order to compare similar levels of protein, the total Syk was diluted 10-fold to obtain the same immunostaining as seen in the FK2 fraction. The specific activity of the diluted Syk was the same as the undiluted Syk, confirming the linearity of the assay. We used 3 different antibodies to immunoprecipitate Syk: a monoclonal to linker region between the C-terminal SH2 domain and the kinase domain (4D10; Santa Cruz), a polyclonal raised against the N-terminus of Syk (N19; Santa Cruz), and a polyclonal we raised against the N-terminal SH2 domain. All 3 antibodies gave similar results. Similar results were also obtained when cdb3, another substrate with Syk specificity, was used in this assay37 (data not shown).
Separation of ubiquitinated Syk using an antiubiquitin antibody. Washed platelets were activated with convulxin (100 ng/mL) for 15 seconds. Cells were lysed with RIPA buffer and treated with FK2 antibody for 1 hour at 4°C, followed by Protein A/G PLUS-agarose for an additional hour. Supernatants were treated with anti-Syk using the same protocol. Aliquots were analyzed by Western blotting probing for Syk. Lane A shows total Syk; lane B, the second immunoprecipitate after the supernatant was treated with anti-Syk; and lane C, the material immunoprecipitated by FK2.
Separation of ubiquitinated Syk using an antiubiquitin antibody. Washed platelets were activated with convulxin (100 ng/mL) for 15 seconds. Cells were lysed with RIPA buffer and treated with FK2 antibody for 1 hour at 4°C, followed by Protein A/G PLUS-agarose for an additional hour. Supernatants were treated with anti-Syk using the same protocol. Aliquots were analyzed by Western blotting probing for Syk. Lane A shows total Syk; lane B, the second immunoprecipitate after the supernatant was treated with anti-Syk; and lane C, the material immunoprecipitated by FK2.
Phosphorylation of tubulin by FK2 immunoprecipitates. (A) Washed platelets were activated with convulxin and lysed in NP-40 buffer. Lysates were treated with FK2 antibody for 1 hour at 4°C followed by 1 hour with Protein A/G PLUS-agarose. The immunoprecipitates were assessed by an in vitro kinase assay in the presence of DMSO (• and —) or 2 μM PP2 (▵ and —) or 200 μM piceatannol (□ and –). The inset shows the blot from which these data were derived. (B) The FK2 fraction of convulxin-activated platelets (• and —) and the total Syk fraction (▵ and –) were assayed for their kinase activity as in Figure 4. The relative protein mass in each fraction was assessed from the immunoblots and activity calculated based on the relative mass. Since the mass of the total Syk was about 10-fold higher than the polyubiquitinated fraction, we also assayed the total Syk fraction after 10-fold dilution (□ and —).
Phosphorylation of tubulin by FK2 immunoprecipitates. (A) Washed platelets were activated with convulxin and lysed in NP-40 buffer. Lysates were treated with FK2 antibody for 1 hour at 4°C followed by 1 hour with Protein A/G PLUS-agarose. The immunoprecipitates were assessed by an in vitro kinase assay in the presence of DMSO (• and —) or 2 μM PP2 (▵ and —) or 200 μM piceatannol (□ and –). The inset shows the blot from which these data were derived. (B) The FK2 fraction of convulxin-activated platelets (• and —) and the total Syk fraction (▵ and –) were assayed for their kinase activity as in Figure 4. The relative protein mass in each fraction was assessed from the immunoblots and activity calculated based on the relative mass. Since the mass of the total Syk was about 10-fold higher than the polyubiquitinated fraction, we also assayed the total Syk fraction after 10-fold dilution (□ and —).
A possible explanation for the apparent higher activity of the ubiquitinated Syk is that ubiquitination of Syk requires its activation, and thus a greater proportion of the ubiquitinated Syk is in the activated state. Immunoblotting for total tyrosine phosphorylation does not show a dramatic increase in the ubiquitinated fraction of Syk (Figure 2Aiii). However, overall tyrosine phosphorylation is a poor assessment of Syk activity, since Syk has numerous tyrosine phosphorylation sites that show no detectable effect on its activity.45 In order to determine the amount of active Syk in each fraction, we used a specific antibody to the phosphorylated tyrosines 525/526 of the activation loop.46 The results of these experiments, shown in Figure 6A, demonstrate that ubiquitinated Syk makes up the majority of the Syk that is phosphorylated on tyrosines 525/526. When specific kinase activity is calculated for the actual amount of Y525/Y526-phosphorylated Syk, ubiquitinated Syk and the fraction of Syk depleted in the ubiquitinated form demonstrate identical kinase-specific activities toward tubulin (Figure 6B).
In order to establish a role for c-Cbl in the ubiquitination of Syk, we compared the ubiquitination patterns for Syk in wild-type and c-Cbl knock-out mice. Figure 7 shows that wild-type mice show a similar pattern of Syk ubiquitination as seen in human platelets. There is no ubiquitination in the sample from the mouse platelets deficient in c-Cbl. However, consistent with previous results,34 Syk appears to be more heavily phosphorylated in the sample from the knock-out mouse platelets compared with the control. Loading of Syk was equivalent in all lanes. (The ratio of pY staining to Syk staining is 6.7 for wild type [WT] versus 8.9 for knock-out in the 1-minute sample.) Aggregation in the c-Cbl–deficient platelets to convulxin is enhanced, as has been demonstrated by Auger et al.34 More importantly, the level of phospho-Syk decreases after 4 minutes in the wild-type murine platelets. In contrast, the level of phospho-Syk in the c-Cbl–deficient platelets does not decline and appears to increase. It is likely that these levels represent the inability of phosphatases to interact with Syk in c-Cbl–deficient platelets.
Active Syk is enriched in the ubiquitinated fraction. (A) An immunoblot of ubiquitinated Syk probed with an antibody to total Syk (lane 1) is compared with a blot of ubiquitinated Syk probed with a phosphospecific (pY525/pY526) antibody (lane 2). (B) The FK2 fraction of convulxin-activated platelets (○ and —) and the Syk fraction obtained after the majority of the ubiquitinated form was removed (▪ and —) were assayed for their kinase activity as in Figure 5. The relative protein mass in each fraction was assessed from immunoblots using the phosphospecific antibody for Syk residues pY525/pY526. Error bars indicate standard error of three determinations.
Active Syk is enriched in the ubiquitinated fraction. (A) An immunoblot of ubiquitinated Syk probed with an antibody to total Syk (lane 1) is compared with a blot of ubiquitinated Syk probed with a phosphospecific (pY525/pY526) antibody (lane 2). (B) The FK2 fraction of convulxin-activated platelets (○ and —) and the Syk fraction obtained after the majority of the ubiquitinated form was removed (▪ and —) were assayed for their kinase activity as in Figure 5. The relative protein mass in each fraction was assessed from immunoblots using the phosphospecific antibody for Syk residues pY525/pY526. Error bars indicate standard error of three determinations.
Aggregation and Syk activation in wild type (+/+) and c-Cbl knock-out (-/-) murine platelets. Washed murine platelets were activated for indicated times with 100 ng/mL convulxin (Cvx). (A) Aggregation tracings are shown (the arrow indicates addition of Cvx). (B) Syk was immunoprecipitated as described and immunoblots were probed for phosphotyrosine. This antibody was stripped from the blot and reprobed for Syk (not shown). IP indicates immunoprecipitation.
Aggregation and Syk activation in wild type (+/+) and c-Cbl knock-out (-/-) murine platelets. Washed murine platelets were activated for indicated times with 100 ng/mL convulxin (Cvx). (A) Aggregation tracings are shown (the arrow indicates addition of Cvx). (B) Syk was immunoprecipitated as described and immunoblots were probed for phosphotyrosine. This antibody was stripped from the blot and reprobed for Syk (not shown). IP indicates immunoprecipitation.
Discussion
The importance of Syk activation downstream of the collagen receptor of platelets is well established. It has been shown that the tandem SH2 domains of Syk interfere with Ca2+ mobilization by CRP in megakaryocytes.36 Syk-deficient megakaryocytes also show a defect in GPVI-dependent Ca2+ mobilization. The presence of c-Cbl in platelets and its agonist-dependent phosphorylation are also well established.30,31 Our study confirms the fact that there is a direct interaction of these 2 important signaling molecules in platelets.32 The interaction of Syk and c-Cbl has several potential functions in cellular signaling. c-Cbl may play a role in promoting signaling pathways by bringing important signaling molecules together.15 Phosphorylation of C-terminal tyrosines of c-Cbl by Syk and/or other kinases promotes its interaction with Src-family tyrosine kinases and other proteins involved in collagen receptor–induced signaling, such as the PI-3 kinase p85 subunit.18,20
c-Cbl is an E3 ligase and platelets contain both ubiquitin and ubiquitin-conjugating enzymes.47 Therefore, in this study we wished to determine whether Syk in platelets is ubiquitinated in response to activation of collagen-dependent signaling. We have found that Syk is ubiquitinated in platelets activated with agonists that activate the GPVI-dependent pathway. Most previous studies of Syk in platelets have either not directly considered ubiquitination of Syk or have indicated that it does not occur.34 However, in many studies, bands can be seen above Syk consistent with a ubiquitination pattern.9,46 In this study, we have detected ubiquitination of Syk using several independent approaches in response to GPVI-activating agonists but not to thrombin, an agonist that activates a guanine nucleotide binding protein–coupled receptor. It is hard to determine whether this is an inherent property of this agonist or due to fact that the level of Syk activation is about 20-fold lower with thrombin. The fact that Syk activation is required for ubiquitination argues for the latter explanation (Figure 2C). It is possible that thrombin causes a low level of ubiquitination that we have not been able to detect. The experiments with the c-Cbl knock-out mice demonstrate the importance of c-Cbl to the ubiquitination of Syk in platelets, which is consistent with studies in other cells.40
The pattern of Syk ubiquitination in platelets is virtually identical to that described in nucleated cells activated via multichain immunorecognition receptors.40 A major difference with these studies is the fact that proteasomal degradation inhibitors blocked the proteolysis of ubiquitinated Syk in nucleated cells. We failed to find an effect of either proteasomal or lysosomal inhibitors on the ubiquitination patterns. In fact, it appears that Syk is not degraded after platelet activation (for example, see Figure 2Aii or Figure 3). This is somewhat surprising in light of reports that proteasomes are present in platelets.38 It is possible that a small fraction of ubiquitinated Syk is degraded, but this may have no physiologic significance. The fact that Syk may be ubiquitinated but not catabolized by the proteasome is not unprecedented. Fgr has been shown to be diubiquitinated in neutrophils adhering via a β2 integrin, but no apparent degradation of the protein was detected.48
Since c-Cbl has been proposed to be a negative regulator of platelet function,34 we hypothesized that ubiquitination might inhibit the activity of Syk. In order to test this hypothesis, separation of Syk into ubiquitinated and ubiquitin-depleted fractions was accomplished by the use of the FK2 antibody. It was surprising to find that the ubiquitinated fraction appeared to have a higher specific activity than the total Syk. A possible explanation for this is that since Syk needs to be activated prior to ubiquitination, a greater fraction of ubiquitinated Syk would be active compared with nonubiquitinated Syk. We have used a phosphospecific antibody to the phosphorylated activation loop in Syk to assess Syk's activation status and determined that a substantial portion of Syk (60%-75%) phosphorylated on the tyrosines of the activation loop was ubiquitinated. These data are supported by Rao et al35 who showed that the presence of active Cbl did not influence the kinase activity of Syk.
Although degradation of ubiquitinated Syk has not been detected in our system, ubiquitination may regulate the activity of Syk in platelets through degradation-independent mechanisms. Ubiquitination has been shown to regulate the interaction of many intracellular proteins. For example, in the cascade that leads to IκB kinase activation downstream from several immune receptors, ubiquitination facilitates the interaction between 2 intermediate regulators, tumor necrosis factor receptor–associated factor 6 and TGFβ-activated kinase 1–binding protein 2 (TAB2).49 In other circumstances, ubiquitination has been shown to block the interaction of proteins. Ubiquitination of the p85 subunit of PI-3 kinase blocks its interaction with the T-cell receptor and CD28.50 Furthermore, ubiquitination can change the subcellular localization of proteins. Thus, ubiquitination of Syk may prevent its interaction with some of its downstream targets by directly blocking this interaction or translocating them to a compartment where Syk cannot phosphorylate them. Syk activation occurs more rapidly than ubiquitination, allowing a signal through that could be dampened by ubiquitination.
The fact that we found Syk to be more heavily phosphorylated in the c-Cbl knock-out mice confirms the observations of Auger et al.34 This suggests that in addition to ubiquitination, the level of Syk tyrosine phosphorylation may depend on an interaction with c-Cbl. We also confirmed the fact that c-Cbl–deficient platelets show more robust aggregation. We show in this paper that while ubiquitinated Syk from wild-type platelets is dephosphorylated, in the c-Cbl–deficient cells dephosphorylation does not appear to occur. Thus, we speculate that the interaction with c-Cbl is necessary for the interaction between Syk and its phosphatase. Interaction of c-Cbl and phosphatases has been proposed.51,52 We cannot say whether it is the ubiquitination itself that is important or just that c-Cbl acts as a scaffold to bring the phosphatase to Syk. This hypothesis would explain our observation and the observation of Auger et al34 that c-Cbl is a negative regulator of Syk function.
In summary, Syk is ubiquitinated in platelets by agonists that activate the GPVI pathway. Ubiquitination appears to be a consequence of the interaction of Syk with c-Cbl. Ubiquitination does appear to cause enhanced degradation either through proteosome- or lysosome-dependent pathways. Ubiquitinated Syk appears to exhibit elevated specific activity, but this increase is entirely due to the enrichment of the ubiquitinated fraction for activation loop–phosphorylated, and thus activated, Syk. Indeed, more than 50% of activated Syk is ubiquitinated. Thus, ubiquitination may modulate Syk by yet-to-be-discovered interactions. We suggest that one possible mechanism is that interaction with c-Cbl is essential to dephosphorylate Syk, and thus provides an off switch.
Prepublished online as Blood First Edition Paper, February 8, 2005; DOI 10.1182/blood-2004-09-3689.
Supported by research grants from the Southeastern Pennsylvania Affiliate of the American Heart Association (J.L.D.), and National Institutes of Health (NIH) grants HL60683 (S.P.K.), HL64943 (S.P.K.), and CA78499 (A.Y.T.).
The publication costs of this article were defrayed in part by page charge payment. Therefore, and solely to indicate this fact, this article is hereby marked “advertisement” in accordance with 18 U.S.C. section 1734.
We would like to thank Dr Jeffery Chiang, Dr Richard Hodes (National Institute on Aging/NIH, Bethesda, MD), and Hua Gu (Columbia University, New York) for the c-Cbl knockout mice.







This feature is available to Subscribers Only
Sign In or Create an Account Close Modal