To the Editor:
Recently, we reported five Japanese patients with large B-cell lymphoma associated with hemophagocytic syndrome, ie, malignant histiocytosis-like B-cell lymphoma, and suggested that they might be regarded as an aggressive variant of intravascular lymphomatosis (IVL) based on the localization of tumor cells within the sinus and vessels of the involved organs.1 Phenotypically, these lymphomas were CD5−, CD10−, CD19+, CD20+, and HLA-DR+, with monoclonal rearrangement of the Ig heavy chain gene in two cases. They were also clinically characterized by onset in middle age or old age, fever, anemia, thrombocytopenia, hepatosplenomegaly, initial involvement of the bone marrow, hemophagocytosis, and a rapidly aggressive clinical course. Lymphadenopathy, skin lesions, neurological abnormalities, or peripheral blood lymphocytosis were rarely observed during the entire clinical course. Laboratory examinations showed elevated levels of D-D dimer, lactate dehydrogenase, C-reactive protein, interleukin-6 (IL-6), and the soluble IL-2 receptor isoforms, but not IL-1β, IL-2, or tumor necrosis factor-α, with serologic evidence of abnormal immune function such as circulating antinuclear antibody. Interestingly, more than 30 cases of malignant histiocytosis-like B-cell lymphoma or IVL with hemophagocytic syndrome have been reported exclusively in Asian patients, with only a few cases in Western patients, and their clinical features appeared to differ considerably from those of typical IVL in Western countries. We therefore proposed that this group should be called an Asian variant of IVL (AIVL). In our series, antibodies against human T-cell lymphotropic virus type-I were negative, and Epstein-Barr virus was not detected by in situ hybridization. Notably, in one of the autopsied cases (case no. 5 in our previous report), circumscribed egg granulomas of Schistosoma japonicum were observed to be distributed among the lymphoma cells in the liver (Fig1). This unusual finding prompted us to perform a seroimmunological survey for helminthous infections associated with AIVL, because some parasites, as well as viruses, most likely play an important role in the etiology of several endemic lymphoproliferative diseases.2-4
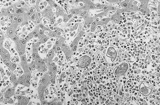
A circumscribed egg granuloma of Schistosoma japonicum among the lymphoma cells in a portal area of the liver. Sinusoidal involvement of the lymphoma cells is also evident. Hematoxylin and eosin stain; original magnification ×200.
A circumscribed egg granuloma of Schistosoma japonicum among the lymphoma cells in a portal area of the liver. Sinusoidal involvement of the lymphoma cells is also evident. Hematoxylin and eosin stain; original magnification ×200.
In the present study, all five patients with AIVL had lived for at least 20 years in suburban areas of Toyota, which is located in the central part of Japan. No patient showed eosinophilia or a high titer of total IgE. Informed consent was obtained from all patients or their families. Enzyme immunoassays for the detection of antibodies toEchinococcus (IgG and M), Trichinella (IgG, M, and A), Filaria (IgG and M), Toxocara (IgG, M, and A), Strongyloides (IgG), Schistosoma (IgG and M), and Fasciola (IgG and M) and radioallergosorbent tests (IgE) for Fasciola, Schistosoma, and Anisakiswere performed at Specialty Laboratories (Santa Monica, CA). The titers of anti-Fasciola IgG and anti-Anisakis IgE were judged as positive in four (3.2 to 5.3 SD) and three (1.03 to 11.2 kU/L) of five patients with AIVL, respectively. Among these, anti-Fasciola IgM was also positive in the case with the highest titer of anti-Fasciola IgG. Anti-ToxocaraIgG and M, together with anti-Fasciola IgG and anti-Anisakis IgE, was detected in another patient. All other antibodies were negative in the AIVL patients. As a control, the sera of 19 age- and habitat-matched patients with conventional large B-cell lymphoma were tested for anti-Fasciola IgG and anti-Anisakis IgE (Table 1). The percentage of anti-Fasciola IgG in the patients with AIVL (4/5 [80%]) was significantly higher than that in the control patients (1/19 [5%]). The presence of anti-Anisakis IgE in patients with AIVL (3/5 [60%]) tends to be more frequent than that in the control group (7/19 [37%]), but not at a significant level.
The present seroimmunological study indicates a positive relationship between Fasciola infection and AIVL. Although we could not find studies regarding carcinogenecity of Fasciola, the tumor promoting activity of the flukes in related genera, such as the genus Schistosoma, has been well reported.1 In addition, S mansoni was reported recently to be a possible pathogenic cofactor of Burkitt’s lymphoma in Brazil.5Anisakis, known as the sushi worm, is a tissue-penetrating nematode that causes acute zoonoses6 and may be a cofactor of gastric cancer.7 It is noted that the geographical distribution of these helminthous infections covers Asia. Further investigation of the association of AIVL with the infections ofFasciola, Schistosoma, or Anisakis may contribute to elucidation of the pathogenesis of AIVL.
ACKNOWLEDGMENT
We thank Prof Moriyasu Tsuji (Kyorin University, Tokyo, Japan) for helpful comments.
