Abstract
We have studied a family with homozygous lethal, blood coagulation factor VII (FVII) deficiency. To identify the mutation responsible for the deficiency, exons 2 to 8 and the intron-exon junctions of their FVII genes were amplified from peripheral white blood cell DNA by polymerase chain reaction and screened by single-strand conformational polymorphism analysis. The fragment showing aberrant mobility was cloned and sequenced. We detected a single point mutation, a homozygous G to A substitution at nucleotide position 6070, in the invariant GT dinucleotide at the 5′ splice site of intron 4. Homozygosity was confirmed by loss of a site for the restriction endonuclease Mlu I. Analysis of the splicing pattern of ectopic transcripts in lymphocytes in the parents revealed that this mutation is associated with skipping of exon 4, which produces an mRNA encoding FVII with an in-frame deletion of the first epidermal growth factor–like domain (EGF 1). Transient transfection of COS-7 cells with an expression vector containing the ▵EGF 1 FVII cDNA shows that this mutant protein is not expressed. The identification of the molecular basis of the FVII deficiency in this family allowed mutation-specific prenatal diagnosis to be performed in a subsequent pregnancy. In this family complete FVII deficiency is associated with a severe bleeding diathesis but no developmental abnormalities, lending weight to the hypothesis that fetal FVII is not required for the putative angiogenic functions of tissue factor in humans.
© 1998 by The American Society of Hematology.
COAGULATION FACTOR VII (FVII) is a vitamin K–dependent plasma glycoprotein that circulates in blood as a single-chain zymogen composed of 406 amino acid residues (Mr 50,000 kD).1 Upon vascular injury and in the presence of calcium, FVII forms a one-to-one stoichiometric complex with its cell surface receptor and cofactor tissue factor (TF). Once complexed to TF, FVII is rapidly cleaved to its active form, FVIIa, and converts zymogen factor X and factor IX to their active enzymes. The formation of an active complex between TF and FVIIa is widely thought to represent the primary stimulus for blood coagulation.
FVII zymogen is converted to its active form by proteolytic cleavage at a single site (Arg 152-Ile 153), resulting in a two-chain molecule composed of an N-terminal light chain, linked by a single disulfide bridge to a C-terminal heavy chain. The light chain largely consists of an amino terminal γ-carboxyglutamic acid-rich domain, followed by two epidermal growth factor (EGF)-like modules. The heavy chain consists of the serine protease catalytic domain. The FVII gene that spans 12.5 kb consists of nine exons; exons 1a and 1b encode the 5′ untranslated region and most of the pre-pro leader sequence, whereas exons 2 to 8 encode the mature protein.2
Hereditary FVII deficiency is a rare autosomal recessive bleeding disorder with variable clinical expression.3 In cases of congenital FVII deficiency there often seems to be little correlation between FVII activity measured in vitro and hemorrhagic symptoms; the reasons for this discrepancy are not clearly understood. However, patients with less than 1% to 2% FVII activity often have clinical complications similar to those experienced by patients with severe hemophilia A, consistent with the key role of FVII in the initiation of blood coagulation. In addition, an increased incidence of intracranial hemorrhage has been reported that occurs most often in infants and is usually ascribed to birth trauma, which represents a major hemostatic challenge.4
The recently reported targeted disruption of the mouse TF gene indicates that TF plays an essential role in establishing and/or maintaining vascular integrity in the developing embryo because TF−/− embryos die in utero between days 8.5 and 10.5 due to defective yolk-sac vessel and vitello-embryonic circulation.5-7 It is not clear whether TF exerts its role in vessel development by generation of downstream coagulation proteinases, intracellular signaling, or requires other unknown ligands.
In the present study, we have identified a family with homozygous, lethal FVII deficiency. We describe the molecular basis of the FVII deficiency and prenatal, mutation-specific diagnosis in a subsequent pregnancy. In this family homozygous lethal FVII deficiency is associated with a severe bleeding diathesis but not with developmental abnormalities, lending weight to the hypothesis suggesting that the requirement for TF in blood vessel development is independent of fetal FVII.
MATERIALS AND METHODS
Coagulation studies.
Blood was collected by venipuncture in volume of 3.2% sodium citrate after informed consent. The prothrombin time was performed using rabbit brain thromboplastin. The coagulation activity of factors II, V, VII, and X were assayed by one-stage method: the activity of factors VIII and IX were studied with a one-stage method by activated partial thromboplastin time using the respective deficient plasma as substrates.
DNA amplification.
Exons 2 to 8 and the adjacent intronic sequences of the FVII genes of the propositus (Fig 1, IV-2) were amplified by polymerase chain reaction (PCR) using the oligonucleotides described previously.8 Five hundred nanograms of genomic DNA, 0.5 μg of each oligonucleotide, and 1.5 U of Taq DNA polymerase were added to 90 μL buffer containing 1.5 mmol/L MgCl2, 10 mmol/L Tris-HCl (pH 8.3), 50 mmol/L KCl, 0.01% gelatin, 200 μmol/L each deoxynucleotide triphosphate, and 92.5 kBq of α-33P-dATP (74 TBq/mmoL, 370 MBq/mL; Du Pont-NEN, Stevenage, UK). The reaction mixture was then amplified using the conditions described previously.9
The pedigree of the family. The propositus is indicated by an arrow. (•), IV.1 died at age 1 month with cerebral hemorrhage and hydrocephaly. (), IV.2 died at age of 12 days with hydrocephalus, intraventricular clots, and cerebral edema.
The pedigree of the family. The propositus is indicated by an arrow. (•), IV.1 died at age 1 month with cerebral hemorrhage and hydrocephaly. (), IV.2 died at age of 12 days with hydrocephalus, intraventricular clots, and cerebral edema.
Single-strand conformational polymorphism (SSCP) analysis.
SSCP analysis was performed according to the method of Hayashi.10 Of the PCR product, 3.5 μL were diluted 10-fold in 85% formamide, 20 mmol/L EDTA, 0.05% bromophenol blue, and 0.05% xylene cyanol. The samples were then heated at 80°C for 3 minutes to denature the DNA, and snap-cooled on ice for 5 minutes before loading onto a 4.5% nondenaturing acrylamide gel (%T, 4.5%; %C, 2.25%). Electrophoresis was performed at 40 W for 1.5 to 3 hours at 4°C. The gels were dried before autoradiography. Amplified products from exon 8 were digested with the restriction endonucleasesNarI, PstI, and BstXI according to the manufacturer's instructions (Promega Corp, Southampton, UK) before SSCP analysis.
DNA cloning and sequencing.
The amplified DNA fragments were gel purified on a 2% agarose gel and cloned at the EcoR V site of the plasmid vector pBSK (Stratagene, Cambridge, UK). The inserts were sequenced by the dideoxy chain termination method using a T7 DNA sequencing kit (Pharmacia Biotech, St Albans, UK). Ten independent clones were sequenced for each fragment.
Reverse transcription (RT)-PCR.
Polyadenylated RNA was isolated from peripheral lymphocytes using a commercial kit (Pharmacia Biotech) after purification of lymphocytes from a 10-mL blood sample on a Ficoll-Paque gradient (Pharmacia Biotech). First-strand cDNA synthesis was performed using a commercial kit (Pharmacia Biotech) with the addition of 200 ng of a FVII specific antisense primer: 5′-ACCTTGCCCCCCACAATTCG-3′. The entire reaction was used for PCR amplification using the oligonucleotide primers 5′-GACACCCCGTCTGCCAGCAG-3′ and 5′-ACCCAGGAGGAAGCCCACGG-3′ under the following conditions: initial denaturation at 94°C for 3 minutes, then 30 cycles of: denaturation at 94°C for 30 seconds, annealing at 57°C for 30 seconds, elongation at 72°C for 60 seconds, and a final elongation step at 72°C for 10 minutes. One tenth of this PCR reaction was then used in a further PCR reaction using nested oligonucleotide primers 5′-TACCCCTCGTGGCACCGACA-3′ and 5′-CCAACGCGTTCCTGGAGGAG-3′ under identical PCR conditions. The products were purified by 2% agarose gel electrophoresis and cloned at theEcoR V site of the plasmid vector pBSK (Stratagene). The inserts were sequenced by the dideoxy chain termination method using a T7 DNA sequencing kit (Pharmacia Biotech).
Construction of expression vectors for wild-type (wt) and ΔEGF 1 FVII.
A cDNA for wtFVII was provided by Professor E. Davie (University of Washington, Seattle, WA). The ΔEGF 1 FVII was generated from the wtFVII cDNA by a two-stage PCR.11 Oligonucleotide primer pairs 5′-GCAGGGGCAGCACTGCAGA-3′, 5′-TCAGCTGGTCATCCTTGTGACTGTAAGAAATCCAGAACAGC-3′ and 5′-TGGGGTTTGCTGGCATTTCTTT-3′, 5′-GCTGTTCTGGATTTCTTACAGTCACAAGGATGACCAGCTGA-3′ were used to generate fragments of the FVII cDNA, spanning nucleotides 8-350 and 466-664 respectively, which overlap by 41 bp corresponding to the desired join of exons 3 to 5. These fragments were gel purified and used in a subsequent PCR with two further oligonucleotide primers 5′-TTTCATCATGGTCTCCCAGGCC-3′ and 5′-TTTTTTCTAGAATAGGTATTTTTCCACATGGA-3′. The PCR product was cloned and the nucleotide sequence verified by the dideoxy chain termination method using cycle sequencing kit (PE Applied Biosystems, Warrington, UK). The fragment was then subcloned into the wtFVII cDNA as aHindIII-XbaI fragment replacing nucleotides 29-639. Finally, the wtFVII and the ΔEGF 1 FVII cDNAs were cloned into the expression vector pcDNA3 (Invitrogen, Leek, The Netherlands).
Cell culture and expression of FVII.
COS-7 cells (European Collection of Animal Cell Cultures Catalogue [ECACC] No. 87021302) were grown in Eagle's minimum essential medium (MEM), 10% fetal calf serum, 5,000 IU/mL strep, and 5 μg/mL soluble vitamin K (menadione; Sigma, Poole, UK) in a 5% CO2 atmosphere. Cells were transfected by electroporation using the Gene Pulser apparatus (BioRad, Hemel Hempstead, UK) set at 250 V, 250 μFD. Plasmid (50 μg) was used to transfect 2 × 107 cells. One microgram of a β-galactosidase expression vector pCH110 (Pharmacia Biotech) containing the SV40 promoter was used as a cotransfectant to correct for variation in transfection efficiency. The electroporated cells were transferred to a 10-mL volume of MEM and grown for 24 hours. The cells were then washed twice with phosphate-buffered saline (PBS) and grown in 10 mL of protein-free medium (Hybrimax; Sigma), 5,000 IU/mL strep, and 5 μg/mL soluble vitamin K (menadione; Sigma) for a further 48 hours. The conditioned media were then collected.
Detection of FVII secreted from COS-7 cells.
The 10-mL conditioned medium was reduced to 1 mL by centrifuging the solution through the filter of a Centricon-10 concentrator (10,000 kD cut-off) (Amicon, Stonehouse, UK). FVII antigen was assayed using a commercial enzyme-linked immunosorbent assay (ELISA) kit according to the manufacturer's instructions (Stago Asserachrom; Shield Diagnostics, Dundee, UK) and Western blot analysis using a rabbit polyclonal antibody. FVII:Ag levels were referenced to a normal pool plasma which was calibrated against the first international standard for factors II, VII, IX, and X (National Institute for Biological Standards and Control [NIBSC], South Mimms, UK). FVII:Ag could be measured in the range 1.04 to 104 mU/mL. Equal amounts of protein of each sample were electrophoresed on 10% precast Nupage gels (Novex, Frankfurt, Germany) with MOPS buffer (50 mmol/L 3-(N-morpholino) propane sulfonic acid, 50 mmol/L Tris-HCl (pH 7.7), 3.5 mol/L sodium lantyl sulfate, 1 mmol/L EDTA) at constant voltage of 200 V according to the manufacturer's instructions. The proteins were transferred from the gel to a nitrocellulose membrane by electrophoretic transfer. FVII on the nitrocellulose membrane was detected using the rabbit polyclonal anti-human FVII detection antibody in the ELISA kit (Stago Asserachrom; Shield Diagnostics). The rabbit polyclonal antibody was detected using a horseradish peroxidase conjugated goat anti-rabbit IgG antibody (BioRad) and ECL+ chemiluminescence detection reagents according to the manufacturer's instructions (Amersham International, Little Chalfont, UK).
Protein and β-galactosidase assay.
Cells were obtained by brief exposure to trypsin/EDTA. They were then washed in PBS, transferred to a 1.5-mL microfuge tube, and centrifuged at 5,000g for 5 minutes. The pellet was resuspended in 500 μL of 0.25 mol/L Tris HCl, pH 8.0, and the cells were disrupted by three freeze/thaw cycles. The debris was eliminated by centrifugation at 12,000g for 5 minutes at 4°C. Soluble proteins in the cell lysate (supernatant) were quantified using a Coomassie blue protein staining assay (BioRad). β-galactosidase activity was assayed as previously described.12
RESULTS
Case history and coagulation studies.
A baby boy was referred to the Paediatric Hospital in Coimbra with vomiting, prostration, and sudden onset twitching. He had been delivered 10 days previously by forceps, after an uneventful pregnancy; the Apgar score was 9/10/10. He had been discharged home on the third day after birth and had apparently been healthy until that morning.
His parents are consanguineous and both enjoy good health. However, a baby girl from a previous pregnancy had died at the age of 1 month with cerebral hemorrhage and hydrocephaly (Fig 1, IV-1).
Physical examination showed a prostrated baby boy, slightly pale with hypertonicity of the limbs, pausal respiration, and tense fontanelle. A computed axial tomography (CAT) scan showed hydrocephalus with compression of the IVth ventricle, numerous intraventricular clots, and marked cerebral edema. Coagulation studies revealed a prolonged prothrombin time, whereas the activated partial thromboplastin time was within the normal range. The procoagulant activities of the propositus were all within the normal range except for FVII activity, which was less than 1% (Table 1). A diagnosis of factor VII deficiency was made and fresh frozen plasma was administered.
Lumbar puncture performed under cover of fresh frozen plasma showed hemorrhagic fluid under tension. Emergency external drainage of the hydrocephalus was performed by removing 85 mL of hemorrhagic fluid, resulting in transient relief. A control CAT scan showed extensive bilateral cerebral hemorrhage and he died 44 hours after admission.
Identification of the mutation in the FVII gene.
To identify the mutation responsible for the FVII deficiency in this family, exons 2 to 8 and the adjacent intronic sequences of the FVII genes of the propositus were amplified by PCR. SSCP analysis of PCR products revealed no difference in mobilities between the propositus and normal controls analyzed in parallel except with PCR fragments which spanned exons 3 and 4 (Fig 2). Exons 3 and 4 were amplified and analyzed as a single fragment. To determine the nucleotide substitution responsible for the altered electrophoretic mobility detected by SSCP analysis, the PCR-amplified DNA fragment was cloned and sequenced. A G to A point mutation was found at nucleotide position 6070 (Fig 3). This mutation is in the invariant GT dinucleotide at the 5′ splice site of intron 4. All 10 clones sequenced corresponded to the mutant FVII sequence. The mutation abolishes a MluI restriction site by changing the sequence from ACGCGT to ACGCAT. PCR fragments of exons 3 and 4 from the propositus and his parents were digested with MluI and analyzed by agarose gel electrophoresis and Southern blot analysis with the human FVII cDNA (Fig 4). The propositus had only a 310-bp band and was therefore homozygous for the loss of the MluI site. His parents had both the 310- and 261-bp bands, indicating that they are heterozygous for the mutation.
PCR-SSCP analysis of exons 3 and 4 of the factor VII genes of: lane 1, normal control; lane 2, affected child (IV.2); lane 3, father (III.5); lane 4, mother (III.6); lane 5, double-stranded control. An arrow indicates extra band with altered migration, when compared with normal control bands.
PCR-SSCP analysis of exons 3 and 4 of the factor VII genes of: lane 1, normal control; lane 2, affected child (IV.2); lane 3, father (III.5); lane 4, mother (III.6); lane 5, double-stranded control. An arrow indicates extra band with altered migration, when compared with normal control bands.
Nucleotide sequence of mutant DNA spanning exon 4 and intron 4 of the gene for FVII. The DNA was sequenced by the dideoxy chain termination method after subcloning into Bluescript plasmid vector (Stratagene, Cambridge, UK). The antisense sequence is shown. An arrow indicates the mutated base.
Nucleotide sequence of mutant DNA spanning exon 4 and intron 4 of the gene for FVII. The DNA was sequenced by the dideoxy chain termination method after subcloning into Bluescript plasmid vector (Stratagene, Cambridge, UK). The antisense sequence is shown. An arrow indicates the mutated base.
Restriction endonuclease digestion of PCR products. (A) A fragment spanning exons 3 and 4 and the flanking introns was PCR amplified and digested with the restriction endonuclease Mlu I before electrophoresis on a 2% agarose gel, Southern blotted, and probed with the FVII cDNA sequence. Lane 1, normal control; lane 2, affected child, IV.2; lane 3, father, III.5; lane 4, mother, III.6. (B) Diagrammatic representation of the fragment the Mlu I sites are indicated.
Restriction endonuclease digestion of PCR products. (A) A fragment spanning exons 3 and 4 and the flanking introns was PCR amplified and digested with the restriction endonuclease Mlu I before electrophoresis on a 2% agarose gel, Southern blotted, and probed with the FVII cDNA sequence. Lane 1, normal control; lane 2, affected child, IV.2; lane 3, father, III.5; lane 4, mother, III.6. (B) Diagrammatic representation of the fragment the Mlu I sites are indicated.
Characterization of the splicing events associated with this mutation.
FVII is synthesized in the liver, a relatively inaccessible tissue. However, total RNA isolated from lymphocytes has been shown to contain mRNA transcripts for genes not normally expressed in these cells. The analysis of these so-called “ectopic transcripts” has been used in the analysis of mutations in a number of inherited disorders. To determine the splicing pattern associated with this mutation we isolated total polyadenylated RNA from lymphocytes of both parents (III.5, III.6) and analyzed the ectopic transcripts by RT-PCR. cDNA synthesis was primed using an oligonucleotide corresponding to the antisense sequence of exon 6 and two rounds of PCR were primed using nested primers from exons 2 and 5. The expected product after correct splicing would be 350 bp. However, if either the intron was not removed or exon skipping occurred, then fragments of 2064 and 237 bp, respectively, would be predicted. After RT-PCR there were two bands visible on agarose gel electrophoresis of about 220 and 344 bp, both of which hybridized to FVII cDNA on Southern blot analysis. These fragments were cloned and sequenced. The sequence of the larger fragment corresponded to wtFVII sequence spanning exons 2, 3, 4, and 5, whereas the sequence of the smaller fragment corresponded to exons 2 and 3 directly spliced to exon 5 (Fig 5). Therefore, the GT to AT transition at the 5′ donor splice site of intron 4 causes skipping of exon 4 in processed mRNA.
Nucleotide sequence of the exon 3-exon 5 splicing variant observed in RT-PCR analysis of ectopic transcripts in lymphocytes from the parents. (A) Normal allele, (B) mutant allele.
Nucleotide sequence of the exon 3-exon 5 splicing variant observed in RT-PCR analysis of ectopic transcripts in lymphocytes from the parents. (A) Normal allele, (B) mutant allele.
Expression of recombinant wt and ΔEGF 1 FVII.
The skipping of exon 4 would produce an mRNA with an in-frame deletion of 113 nucleotides which encode 38 amino acid residues (G47-H84) comprising the entire first EGF domain of FVII. To determine whether the ΔEGF 1 FVII mRNA would direct the expression of a mutant protein, we generated expression constructs containing either the wt or ΔEGF 1 FVII cDNA sequences, transiently transfected COS-7 cells, and compared the levels of secreted FVII:Ag in conditioned media by both ELISA and Western blot analysis. The relative efficiency of transfection was measured by cotransfecting with a β-galactosidase expression vector and measuring β-galactosidase activity in the transfected cell lysates. The values of FVII:Ag determined by the ELISA were corrected for transfection efficiency. FVII was secreted by COS-7 cells transfected with the wt cDNA (35 mU/mL); however, no detectable FVII was secreted by cells transfected with the ΔEGF 1 FVII cDNA even after fourfold concentration (ie, <0.26 mU/mL). Western blot analysis showed that the detection antibody from the ELISA kit recognized predominantly the heavy chain of fully purified recombinant FVIIa. FVII was detectable in the conditioned media from cells transfected with the wt cDNA but not in the conditioned media from cells transfected with the ΔEGF 1 FVII cDNA (Fig 6).
Western blot analysis of proteins secreted by COS-7 cells into the growth media using a polyclonal antibody against FVII. From concentrated conditioned media 2.5 μg of protein was electrophoresed on a 10% sodium dodecyl sulfate polyacrylamide gel and transferred to nitrocellulose. The FVII was detected using a polyclonal rabbit anti-human FVII antibody (Stago Asserachrom; Shield Diagnostics) and chemiluminescence detection reagents. Lane 1, vector alone; lanes 2 and 3, ▵EGF 1 FVII; lanes 4 and 5, wt FVII; lanes 6 to 8, 5, 2, and 1 ng purified recombinant wtFVII, respectively; lanes 9 to 12, 5, 10, 20, and 50 ng recombinant FVIIa, respectively. The relative sizes of molecular weight markers are shown in kD.
Western blot analysis of proteins secreted by COS-7 cells into the growth media using a polyclonal antibody against FVII. From concentrated conditioned media 2.5 μg of protein was electrophoresed on a 10% sodium dodecyl sulfate polyacrylamide gel and transferred to nitrocellulose. The FVII was detected using a polyclonal rabbit anti-human FVII antibody (Stago Asserachrom; Shield Diagnostics) and chemiluminescence detection reagents. Lane 1, vector alone; lanes 2 and 3, ▵EGF 1 FVII; lanes 4 and 5, wt FVII; lanes 6 to 8, 5, 2, and 1 ng purified recombinant wtFVII, respectively; lanes 9 to 12, 5, 10, 20, and 50 ng recombinant FVIIa, respectively. The relative sizes of molecular weight markers are shown in kD.
Mutation-specific prenatal diagnosis.
While this work was in progress, the mother became pregnant again and requested prenatal diagnosis. Chorionic villus material obtained from the fetus in the 10th week of pregnancy was shown by SSCP andMluI restriction analysis of PCR-amplified exons 3 and 4 to be homozygous for the wt FVII sequence (Fig7). A baby boy was born after an uneventful pregnancy and was clinically normal with FVII activity in the cord blood sample of 62% (Table 1).
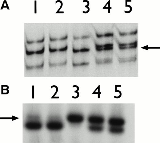
(A) PCR-SSCP analysis. (B) Restriction endonuclease analysis of exons 3 and 4 including intron/exon junctions. Lane 1, chorionic villus sample (IV.3); lane 2, normal control; lane 3, affected child (IV.2); lane 4, father (III.5); lane 5, mother (III.6). An arrow indicates extra band with altered migration, when compared with normal control bands.
(A) PCR-SSCP analysis. (B) Restriction endonuclease analysis of exons 3 and 4 including intron/exon junctions. Lane 1, chorionic villus sample (IV.3); lane 2, normal control; lane 3, affected child (IV.2); lane 4, father (III.5); lane 5, mother (III.6). An arrow indicates extra band with altered migration, when compared with normal control bands.
DISCUSSION
In this paper, we describe the further characterization of a novel mutation in a patient with homozygous lethal FVII deficiency which we reported in a preliminary form.13 This mutation has recently been reported in an Italian family with severe but nonlethal FVII deficiency due to double heterozygosity for the mutation described above and FVIIT359M.14 The mutation was identified by SSCP analysis of PCR-amplified DNA and sequencing cloned PCR products. The propositus was found to be homozygous for a G to A substitution in the invariant GT dinucleotide in the 5′ splice junction of intron 4. The homozygosity was confirmed by restriction endonuclease digestion. Splicing defects are not an uncommon cause of human genetic disease; between 8% and 15% of known single–base pair substitutions disrupt the normal splicing of an mRNA transcript.15 The vast majority of known mutations that affect splicing are single–base pair substitutions within 5′ and 3′ splice sites. Mutations within a 5′ or 3′ splice site usually reduce the amount of mature mRNA generated and/or activate alternative “cryptic” splice sites in the vicinity. The use of cryptic splice sites results in the production of mRNAs which either lack a portion of the coding sequence or instead contain additional intronic sequences. An alternative consequence of a splice site mutation could be for an exon to be no longer recognized as such, and as a result, to be excluded from the mature mRNA, a process called exon skipping. The analysis of the actual consequence of this mutation for FVII mRNA processing could not be carried out in cells which would normally express FVII because it is synthesized in the liver, which is inaccessible without invasive biopsy. The existence of extremely low background levels of correctly spliced mRNA transcripts of tissue-specific genes has been shown in supposedly “nonexpressing” cell types such as lymphocytes. These so-called ectopic transcripts can be analyzed by PCR after RT.16-19Analysis of the splicing pattern of ectopic transcripts in lymphocytes isolated from the parents of the propositus revealed that this mutation is associated with skipping of exon 4. The skipping of exon 4 would produce an mRNA with an in-frame deletion of 113 nucleotides which encode 38 amino acid residues (G47-H84) comprising the entire first EGF domain of FVII.
One might predict that this mutant protein would fold correctly and be secreted from the cell. However, it seemed probable from the FVII antigen-activity measurements made on plasma samples obtained from the parents (Table 1) that they have little if any circulating EGF 1–deleted FVII. Transfection of COS-7 cells with expression constructs containing either wt or ΔEGF 1 FVII cDNAs confirmed that the mutant protein is not expressed in detectable amounts, less than 0.26 mU/mL or at least 135-fold less than wt, consistent with the observed phenotype.
Multiple lines of evidence suggest that the EGF domains of FVII are important in the TF/FVII interaction. Chimeric FIX/FVII molecules only bind to TF when FVII-EGF1-EGF2 modules are present.20 A monoclonal antibody whose epitope has been mapped to residues 51-88 of FVII (EGF 1) has been shown to inhibit FVII activation and its binding to TF.21 Analysis of the molecular defects responsible for FVII deficiency has identified two independent mutations at Arg 79 in the first EGF domain, FVII-R79Q and FVII-R79W.9 Surface plasmon resonance studies of the interaction between recombinant FVII-R79Q and TF have shown a decrease in its affinity for TF.22 The three-dimensional structure of the TF/FVIIa complex determined by x-ray crystallography shows EGF1 interacting with TF residues identified by mutational analysis as being responsible for FVIIa affinity.23 Finally, alanine scanning mutagenesis of FVII provides evidence that EGF1 tethers the enzyme to TF.24 Plausibly, an FVII molecule lacking EGF1 would be nonfunctional, or have severely reduced specific activity. However, the data presented in this work show that such a molecule is not expressed or expressed at extremely low levels.
The formation of the bimolecular complex of TF and FVII is thought to be the primary event in the initiation of blood coagulation in vivo. The mutation described in this paper results in severely reduced expression of a probably nonfunctional FVII molecule. Consequently, according to current coagulation theory, blood coagulation cannot be initiated—a situation incompatible with life. The fact that the homozygous affected children in this family survived to term suggests that the first serious hemostatic challenge occurs at parturition. Furthermore, the fact that both children had no detectable developmental abnormalities supports the hypothesis that FVII is not required for normal fetal development, thus the embryonic lethal phenotype associated with disruption of TF expression is independent of fetal FVII expression. This conclusion is supported by the recent description of the targeted disruption of the mouse FVII gene. FVII−/− mice develop normally to term but die at/or shortly after birth due to abdominal and intracranial hemorrhaging.25 It can be hypothesized that normal in utero development in mice and humans lacking FVII is due to maternal rescue by transplacental transfer of small but sufficient amounts of FVII. However, there is no evidence for maternal-fetal transfer of FVII in the FVII−/− mouse embryos.25
In conclusion, we have identified a mutation in the donor splice site of intron 4 of the gene encoding blood coagulation factor VII, which results in skipping of exon 4 which encodes the EGF 1 domain. This mutant protein is not expressed in vitro at detectable levels. Identification of the genetic basis of FVII deficiency in this family allowed mutation-specific prenatal diagnosis to be performed successfully in a subsequent pregnancy.
Address reprint requests to John H. McVey, PhD, Haemostasis Research Group, MRC Clinical Sciences Centre, ICSM, Du Cane Rd, London W12 0NN, UK; e-mail: jmcvey@hgmp.mrc.ac.uk.
The publication costs of this article were defrayed in part by page charge payment. This article must therefore be hereby marked "advertisement" is accordance with 18 U.S.C. section 1734 solely to indicate this fact.






