Abstract
16; 21 translocation is a recurrent primary abnormality in acute myeloid leukemia (AML). The genes involved in this translocation are ERG on chromosome 21 and TLS/FUS on chromosome 16. The rearrangement of the two chromosomes forms the TLS/FUS-ERG fusion gene and produces a consistent chimeric transcript on the der (21) chromosome. In this study, we analyzed the clinical characteristics of 19 patients with t(16; 21)-AML, including 2 patients who evolved from myelodysplastic syndrome, and detected the chimeric transcripts of the TLS/FUS-ERG fusion gene in the patients during various clinical stages by the reverse transcriptase-polymerase chain reaction (RT-PCR) technique. We found that the patients with t(16; 21) are characterized by a relatively younger age (median age, 22 years old), involvement of various subtypes of French-American-British classification and a poor prognosis: 18 of the 19 patients died of the disease (median survival was 16 months). Four types of TLS/FUS-ERG chimeric transcripts including a novel type were noted in the RT-PCR analysis. The novel transcript contained an additional 138 nucleotides consisting of TLS/FUS exon 8 and ERG exons 7 and 8 and had an in-frame fusion. These chimeric transcripts were consistently detectable in the samples obtained not only at diagnosis and relapse but also in short and long complete remission, suggesting that t(16; 21)-AML is resistant to conventional chemotherapy. Thus, we recommend that t(16; 21) should be monitored by RT-PCR even in clinical remission and the patients should be treated by other more powerful modality like stem-cell transplantation in the first remission.
SINCE THE discovery of the Philadelphia chromosome in cases of chronic myeloid leukemia (CML),1 a large number of leukemias have been noted to be associated with specific chromosomal translocations.2 By molecular analysis of these translocations, a number of proto-oncogenes involved in reciprocal chromosome translocations have been identified and characterized.2 A well-known example is the translocation between chromosomes 9 and 22 of CML, in which the c-ABL gene on chromosome 9 fuses to the BCR gene on chromosome 22, creating a BCR-ABL fusion gene.3
Translocation (16; 21)(p11; q22) is a nonrandom chromosomal abnormality found in human acute myeloid leukemia (AML)4-6 and blastic crisis of CML.7 To date, only about 28 patients with this karyotype were reported.4-17 The prognosis of this disease seems to be poor, and many clinical aspects remain unknown. Recently, we identified two genes involved in this translocation.16,17 The ERG gene located at chromosome 21q22 is a member of the ets oncogene family.18,19 The TLS/FUS gene at chromosome 16p11, first discovered in the myxoid liposarcoma,20,21 encodes an RNA-binding protein which has extensive amino-acid sequence homology to the EWS gene involved in the Ewing sarcoma and related tumors.21 In 16; 21 translocations, the 5′ part of TLS/FUS gene is fused to the 3′ part of ERG gene, forming a TLS/FUS-ERG fusion gene and resulting in TLS/FUS-ERG chimeric protein.17 Analysis of the TLS/FUS-ERG chimeric protein shows that the TLS/FUS fusion domain regulates the DNA-binding activities of this chimeric protein and functions as a transcriptional-activation domain, which shows weaker transcriptional-activation properties than normal ERG proteins. The alterations in both DNA-binding and transcriptional-activation properties are predicted to be responsible for the pathogenesis of t(16; 21)-AML.22
In this study, we analyzed 19 patients with t(16; 21)-AML, including 2 whose AML evolved from myelodysplastic syndrome (MDS), for clinical characteristics and consistently detected the chimeric transcripts of the TLS/FUS-ERG fusion gene in the patients at various clinical stages. Furthermore, we identified a new type of in-frame fusion transcript which contained an extra 3 exons including the TLS/FUS exon 8 and ERG exons 7 and 8 at the junction of the fusion gene.
MATERIALS AND METHODS
Patients and samples.This study examined 19 patients (8 males, 11 females) with t(16; 21)-AML or MDS, aged from 2 to 61 years with a median age of 22 years old. Clinical and hematological data of the patients are listed in Table 1. The patients were treated by AML-oriented chemotherapy according to the Japanese AML protocol organized by Ministry of Health and Welfare of Japan. Seven of these patients (patients 1, 2, 4, 7, 9, 12, and 15) have been described elsewhere except for clinical data or consistent detection of the chimeric transcripts of the fusion gene.16,17 We obtained 47 peripheral blood (PB) or bone marrow (BM) samples from the 19 patients at diagnosis, during complete remission (CR) or after relapse in various institutes throughout Japan (Table 2). Morphological diagnosis was made according to the French-American-British (FAB) morphologic classification.23 Karyotyping of blood or BM cells from patients was performed by routine G-banding.24 A t(16; 21) leukemia cell line, UTP-L12,17 was used as a positive control. The PB cells from healthy volunteers and AML patients without t(16; 21) were used as negative controls.
Reverse transcriptase-polymerase chain reaction (RT-PCR) method and Southern blotting of the PCR products.Total RNA of PB or BM cells were isolated by the acid guadinium thiocyanate/phenol/chloroform (AGTC) method. From 4 μg of this total RNA, cDNA was synthesized by reverse transcriptase in 20 μL of the reaction mixture using a cDNA synthesis kit (Boehringer Mannheim Corp, Mannheim, Germany) as described previously.25 Of the cDNA, 3 μL were used in 100 μL of reaction mixture consisting of 10 mmol/L Tris HCL (pH 8.8), 50 mmol/L KCL, 1.5 mmol/L MgCL2 , 200 μmol/L deoxyribonucleoside triphosphate (dNTP) containing 5 U of Taq DNA polymerase (Ampli Taq; Perkin Elmer-Cetus, Urayasu, Japan) and 25 pmol of each outer primer (4F1 and 8R, Fig 1) for the first PCR amplification. The PCR was performed on a thermal cycler under the conditions of 40 cycles of denaturation at 94°C, annealing at 60°C and extension at 72°C for 1, 1, and 2 minutes, respectively. At the end, 5 μL of the first PCR product was used for a second round of amplification for a further 35 cycles using a set of nested or inner primers (T1 and E2, Fig 1). The reaction and amplification conditions used in the nested PCR were the same as those in the first PCR except for the number of cycles.
Schematic diagram of the t(16; 21)-specific chimeric transcript and the location of the oligonucleotide primers and probe used for the RT-PCR and Southern blot analysis. The sizes of the products amplified by the two sets of primers are indicated.
Schematic diagram of the t(16; 21)-specific chimeric transcript and the location of the oligonucleotide primers and probe used for the RT-PCR and Southern blot analysis. The sizes of the products amplified by the two sets of primers are indicated.
The amplified PCR products were electrophoresed on a 3% agarose gel, stained with ethidium bromide, and then transferred to a nylon membrane (Pall Biosupport Division, Glen Cove, NY) under alkaline conditions. Blots were hybridized with a radiolabeled probe in 6× SSC, 5× Denhardts reagent, 0.5% sodium dodecyl sulfate, 50% formamide, and 100 mg/mL salmon sperm DNA at 42°C overnight and washed 4 times in 2× standard saline citrate (SSC) at room temperature for 20 minutes, followed by washing 2 times in 0.2× SSC at 57°C for 10 minutes. The probe for hybridization, GGAGGAACTGCCAA AGCTGGATCTGGCCAC, is a partial cDNA fragment of the ERG gene near the junction point of the TLS/FUS-ERG fusion gene (Fig 1). Autoradiography was performed using X-ray film (Fuji, Tokyo, Japan).
β-Actin, which is ubiquitously expressed, was amplified on the same cDNA as a control for the presence of amplifiable RNA. The PCR for amplification of the β-actin gene was performed at 94°C for 1 minute, 55°C for 1 minute, and 72°C for 2 minutes for 30 cycles in a solution containing β-actin specific oligonucleotides (β1 and β2). The sequences of the primers used are as follows: 4F1, CTATGGACAGCAGGACCGTG; 8R, CATAGTAGTAACGGAGGGCG; T1, 5′-GGTGGCTATGAACCCAGAGG -3′; E2, 5′-CCTCGTCGGGATCCGTCATC-3′; β1, 5′-CTTCTACAATGAGCTGCGTG -3′; β2, 5′-TCATGAGGTAGTCAGTCAGG -3′ (β1 as a sense and β2 as an antisense primer amplified a 305-base pair [bp] fragment).
To evaluate the sensitivity of the RT-PCR, 1 μg of the total RNA isolated from leukemic cells expressing TLS/FUS-ERG fusion transcripts was serially 10-fold diluted in 1 μg of RNA from normal control PB cells that do not express this transcript. The cDNA synthesis was performed as described above. The resulting cDNA was then subjected to 40 cycles of amplification with outer primers 4F1 and 8R, followed by another 35 cycles of amplification with the inner primers T1 and E2.
Direct sequencing of PCR products.PCR products were sequenced by the dideoxy terminator method as described previously with slight modifications.26 The condition of the sequencing PCR was the same as that of the RT-PCR, and the inner primers (T1 and E2) used in the RT-PCR were used as sequencing primers. Sequencing reactions were performed using fluorescein isothiocyanate-labeled deoxyadenosine triphosphate and run on the Applied Biosystem Inc DNA sequencer (ABI Prism 310 Genetic Analyzer, Perkin Elmer) according to the manufacturer's protocol.
RESULTS
Clinical characteristics of the patients with 16; 21 translocation.Of the 19 patients, 6 were diagnosed as AML-M2, 5 as M5, 4 as M1, 3 as M7, and 1 as M4 (Table 1). Patients 1 and 2 had refractory anemia with excess of blasts in transformation (RAEBt) at onset and then evolved to AML-M2 and AML-M7, respectively. The white blood cell (WBC) counts were 0.8 to 120.3 × 109/L with a median of 11.8 × 109/L. Hemoglobin levels were 5.1 to 11.5 g/dL with a median of 8.2 g/dL; platelet counts were 17 to 173 × 109/L with a median of 52 × 109/L. In the BM specimen, Auer rods were found only in 2 patients, increase of eosinophils in 8 patients and micromegakaryocytes in 2 patients (patients 9 and 10). All patients had a standard t(16; 21)(p11; q22) karyotype. Twelve patients had a sole t(16; 21), and the other seven had additional chromosomal abnormalities. All of the patients died, with the exception of one (patient 3) who has been alive for 38 months since diagnosis. This patient relapsed 16 months after diagnosis and was given a CD34-selected BM transplantation (BMT) treatment after relapse (Fig 2). Seventeen patients died of the disease, and one (patient 10) died of complications of BMT (Fig 2). Of the 17 patients who died of the disease, 16 went into complete remission (CR) 1.5 to 12 months (median 3 months) after initial induction therapy, but soon relapsed at 1 to 14 months (median 8 months) after CR. One patient (patient 19) never obtained CR before he died of the disease 6 months after diagnosis. The median survival duration of the 18 patients was 16 months.
Consistent detection of the TLS/FUS-ERG chimeric transcripts by RT-PCR in the sequential samples of 12 patients with t(16; 21)-AML at various clinical stages. The top line indicates a time scale to represent the lapsed months after initial diagnosis. (•) Indicate chimeric transcripts were detectable; (○) indicate chimeric transcripts undetectable; and () represent the actual time of diagnosis, first or second CR or relapse, but the sample was not available. The clinical stages are indicated by CR or relapse above the circles. Dashed line represents the patient is alive, and the survival duration is indicated at end (patient 3). *Died of complications after BMT (patient 10). The chimeric transcripts were consistently detectable not only in the samples available at diagnosis or in relapse, but also in all of the samples during CR except one from patient 10.
Consistent detection of the TLS/FUS-ERG chimeric transcripts by RT-PCR in the sequential samples of 12 patients with t(16; 21)-AML at various clinical stages. The top line indicates a time scale to represent the lapsed months after initial diagnosis. (•) Indicate chimeric transcripts were detectable; (○) indicate chimeric transcripts undetectable; and () represent the actual time of diagnosis, first or second CR or relapse, but the sample was not available. The clinical stages are indicated by CR or relapse above the circles. Dashed line represents the patient is alive, and the survival duration is indicated at end (patient 3). *Died of complications after BMT (patient 10). The chimeric transcripts were consistently detectable not only in the samples available at diagnosis or in relapse, but also in all of the samples during CR except one from patient 10.
Consistent detection of TLS/FUS-ERG chimeric transcripts at various clinical stages of the patients.In all samples including the controls, β-actin was amplified with the specific primers to show that the RNA had been extracted and the cDNA had been synthesized. To increase the sensitivity of the RT-PCR, nested PCR was used to amplify the chimeric transcripts of the TLS/FUS-ERG fusion gene. The primers 4F1 and 8R were designed as outer primers to perform a first-step PCR, and T1 and E2 were used as inner primers to perform a second round of amplification (Fig 1). Southern blots of the PCR products were hybridized with a 30-bp probe corresponding to a portion of the ERG cDNA.
Sequential samples were available from patients 1 through 12 at various clinical status including diagnosis, various stages of CR and relapse for consistent detection of the TLS/FUS-ERG fusion gene by RT-PCR (Fig 2). Single samples either at diagnosis or relapse were obtained from patients 13 through 19 (Table 2). The TLS/FUS-ERG chimeric transcripts were consistently detectable in all the available samples from each patient except for one sample of CR from patient 10 (Fig 2). In patient 2, the transcripts were detected both at the time of RAEBt and during various AML stages (Fig 3A).
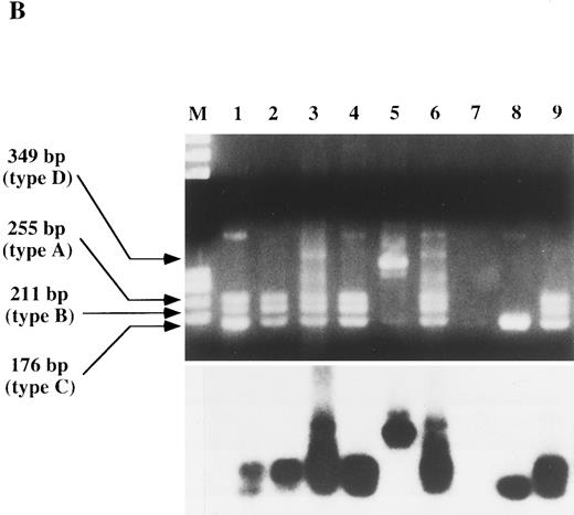
RT-PCR and Southern blot analysis of the TLS/FUS-ERG chimeric transcripts in patients with t(16; 21)-AML. M, Marker, φX174 HaeIII. The sizes of the transcripts are indicated. The hybridized products were located beneath the corresponding samples. (A) Consistent detection of the transcripts in patient 2. Three types of transcripts (types A, B, and C) were detectable in the samples at the stages of MDS (lane 1), diagnosis of AML (lane 2), CR (4, 7, and 9 months, respectively, after diagnosis of AML, lanes 4 through 6) and relapse (10.5 months after diagnosis, lane 7). A faint transcript of 211 bp (type B) was found in one sample in CR (3 months after diagnosis, lane 3). (B) RT-PCR analysis of the TLS/FUS-ERG gene in patients 8, 19, and 10. Three sized TLS/FUS-ERG chimeric transcripts (type A, B, and C) were noted in the positive control, UTP-12 (lane 1) and all of the sequential samples available at diagnosis (lane 2), CR (lane 3), and relapse (lane 4) in patient 8. A novel sized transcript (type D) was found in patient 19 at diagnosis (lane 5). The results of patient 10 are indicated in lanes 6 through 9: lane 6, at diagnosis; lanes 7 through 9, in CR 6, 11, and 15 months after diagnosis.
RT-PCR and Southern blot analysis of the TLS/FUS-ERG chimeric transcripts in patients with t(16; 21)-AML. M, Marker, φX174 HaeIII. The sizes of the transcripts are indicated. The hybridized products were located beneath the corresponding samples. (A) Consistent detection of the transcripts in patient 2. Three types of transcripts (types A, B, and C) were detectable in the samples at the stages of MDS (lane 1), diagnosis of AML (lane 2), CR (4, 7, and 9 months, respectively, after diagnosis of AML, lanes 4 through 6) and relapse (10.5 months after diagnosis, lane 7). A faint transcript of 211 bp (type B) was found in one sample in CR (3 months after diagnosis, lane 3). (B) RT-PCR analysis of the TLS/FUS-ERG gene in patients 8, 19, and 10. Three sized TLS/FUS-ERG chimeric transcripts (type A, B, and C) were noted in the positive control, UTP-12 (lane 1) and all of the sequential samples available at diagnosis (lane 2), CR (lane 3), and relapse (lane 4) in patient 8. A novel sized transcript (type D) was found in patient 19 at diagnosis (lane 5). The results of patient 10 are indicated in lanes 6 through 9: lane 6, at diagnosis; lanes 7 through 9, in CR 6, 11, and 15 months after diagnosis.
As indicated in Fig 3, one major band of 211 bp and two minor bands of 255 bp and 176 bp were detected in most of the t(16; 21)-AML samples. We designated them as types B, A, and C, which corresponded to the 211-bp, 255-bp, and 176-bp chimeric products of the TLS/FUS-ERG gene, respectively, in our previous study.17 Of the 47 samples of leukemic cells from the 19 patients with t(16; 21), 41 showed all 3 chimeric transcripts (Table 2). Of the remaining 6 samples, 3 samples, including 1 from patient 2, showed only a faint type B transcript (Fig 3A, lane 3), and 2 from patient 10 either showed a highly abundant type C transcript (Fig 3B, lane 8) or lacked any transcripts (Fig 3B, lane 7). The other 3 samples, 2 from patient 11 and 1 from patient 19, showed neither of the 3 types of transcripts but presented a novel sized transcript (349 bp), which was not found previously17 (Fig 3B, lane 5). We designated this type as type D. Sequencing this novel transcript showed that it was composed of a 124-bp TLS/FUS fragment and a 225-bp ERG fragment. Further analysis revealed that it had an additional 138-bp insertion, which consisted of the TLS/FUS exon 827 and ERG exons 7 and 828 and contained an in-frame junction between TLS/FUS exon 8 and ERG exon 7. The junction in type D was different from the other 3 types of transcripts in which all of the junctions were between either exon 6 or 7 of TLS/FUS and exon 9 of ERG (Fig 4). The 2 patients (patients 11 and 19) with detectable type D transcripts did not show special clinical characteristics except for a shortest survival in patient 19 (Table 1). All 4 types of products were proved to be specific to the TLS/FUS-ERG gene by Southern blotting. Other faint bands larger than the 4 types of transcripts that failed to hybridize with the ERG probe were considered to be nonspecific products (Fig 3B). No transcript was found in the control samples.
Four different TLS/FUS-ERG junctions are schematically depicted, and their sequences are indicated. (▨) Denote TLS/FUS exon sequence, (▪) represent ERG exon sequence, and an (□) (7′) indicates the sequence resulting from the possible alternative splicing of TLS/FUS intron 6. Numbers above boxes indicate the exon number of each gene. Vertical lines indicate the nucleotide position of the junction between the two genes. The types of these four transcripts are indicated in the left margin. The junction of type D was first reported here. Additional 3 exons of TLS/FUS exon 8 and ERG exons 7 and 8 are included in the junction position of type B to form a new fusion transcript, type D. Types B and D had in-frame junctions, and types A and C had out-of-frame junctions.
Four different TLS/FUS-ERG junctions are schematically depicted, and their sequences are indicated. (▨) Denote TLS/FUS exon sequence, (▪) represent ERG exon sequence, and an (□) (7′) indicates the sequence resulting from the possible alternative splicing of TLS/FUS intron 6. Numbers above boxes indicate the exon number of each gene. Vertical lines indicate the nucleotide position of the junction between the two genes. The types of these four transcripts are indicated in the left margin. The junction of type D was first reported here. Additional 3 exons of TLS/FUS exon 8 and ERG exons 7 and 8 are included in the junction position of type B to form a new fusion transcript, type D. Types B and D had in-frame junctions, and types A and C had out-of-frame junctions.
A serial 10-fold dilution of cDNA of 2 BM samples from patients 1 and 19 were used to detect the chimeric transcripts (data not shown). Type B and D transcripts were detectable even in the solution diluted to 10−6. Type A and C transcripts were seen until being diluted to 10−5 and 10−4, respectively.
DISCUSSION
A t(16; 21) is not common in patients with AML. The t(16; 21) patients in our study showed the following clinical and hematological features. Diagnosis of this disease was made in a wide range of ages from 1 to 61 years old with a median age of 22 years, in contrast to AML as a whole group in which the median age is above 60 years. No striking male or female preponderance was present. Almost all morphologic subtypes of AML except M3 were involved: M2 and M5 seemed to be most frequently involved, followed by M1, M7, and M4. Two patients presented with RAEBt eventually evolved into AML-M2 and M7, suggesting that t(16; 21) is not restricted to AML. Other hematological features of the patients included megakaryocytic involvement (micromegakaryocytes in two patients) and increases of eosinophils in BMs of some patients, supporting the view that t(16; 21)-AML is associated with multilineage leukemic differentiation and is a unique cytogenetical subtype.5,6 10-12 A correlation might exist between the t(16; 21) and rare Auer rods since the Auer rods were not seen in most of the AML patients with this translocation.
Chromosome analysis in this study showed a simple t(16; 21)(p11; q22) in 12 patients and additional aberrations in 7 patients. Deletion of the long arm of chromosome 7 was found in 2 of the 7 patients. This abnormality is associated with the so-called secondary AML or MDS and also predicts an unfavorable prognosis. To what extent all of these additional cytogenetic changes contribute to the overall prognosis of patients with a t(16; 21) is unknown.
Little is known about the survival of patients with t(16; 21)-AML. Detailed follow-ups were available on the patients in this study. Although almost all of them went into complete remission after induction chemotherapy, an early relapse was noted, and their survival did not exceed 3 years. This feature is similar to that of the t(6; 9)-AML, a subset of AML with a very poor prognosis,29 but forms a sharp contrast to the prognosis of patients with t(8; 21).30 31 Because of the very poor prognosis of the patients with t(16; 21)-AML, correct diagnosis and appropriate treatment is of most importance in trying to improve the prognosis of these patients.
Recently, we identified and characterized the genes of TLS/FUS and ERG involved in the t(16; 21).16,17 The fusion transcripts formed between the 5′ portion of the TLS/FUS gene and the 3′ portion of the ERG gene allowed us to find this translocation at the molecular level. RT-PCR is used to detect various chromosome translocations. It is especially powerful when used to detect the product of fusion genes that result from chromosome translocations.32-36 With two sets of primers mapping on both sides of the TLS/FUS-ERG chimeric cDNA junction, we have readily detected the chimeric transcripts including the largest TLS/FUS-ERG transcript, type D, by nested PCR in all 19 patients with t(16; 21)-AML at various clinical stages. Our findings showed that the chimeric transcripts were persistent in t(16; 21)-AML, not only at diagnosis or in relapse but also during different stages of CR. The accuracy and sensitivity were also proved well by hybridization with a probe from ERG cDNA. Presence of the chimeric transcripts even in CR revealed that leukemic cells with t(16; 21) are still present during hematological remission and this disease is resistant to conventional chemotherapy. No transcript found in one sample of CR may be due to the leukemic cells with t(16; 21) temporarily disappearing from the PB immediately after powerful chemotherapy or just the RNA degradation eliminating the TLS/FUS-ERG transcripts but not the more intrinsically stable and abundant β-actin. Findings from this study suggested that the RT-PCR method is useful for detecting the chimeric mRNA of the TLS /FUS-ERG fusion gene that results from t(16; 21) and is helpful in monitoring minimal residual disease (MRD) during hematological remission of the t(16; 21)-AML.
Four types of chimeric TLS/FUS-ERG transcripts were found in AML with t(16; 21). Three of them (types A, B, and C) have been already reported in our previous study.17 Type B, consisting of a 91-bp TLS/FUS sequence and a 120-bp ERG sequence, is an in-frame transcript and is expected to produce the TLS/FUS-ERG chimeric protein. Types A and C, either containing an extra 44-bp sequence within the TLS/FUS gene or lacking the 35-bp TLS/FUS sequence, both are fused to the same ERG sequence with out-of-frame junctions. The extra 44-bp sequence in type A was found to be from the sequence of the TLS/FUS intron 6, and the lacked 35-bp sequence in type C was from the exon 7 sequence of the TLS/FUS gene27 (Fig 4). Type D transcript was not reported previously. In this type, an additional 138 nucleotide (nt) were present compared with other types. This extra 138-nt inclusion consisted of 33 nt extended on the 3′ TLS/FUS end and 105 nt extended on the 5′ ERG end. The junction between the coding sequences of the two genes in this type was in-frame; thus, the reading frame of the downstream ERG was not disrupted. This novel type of fusion, like type B, was also predicted to produce the TLS/FUS-ERG chimeric protein, in which the ETS DNA-binding domain37 in the downstream of ERG replaces the RNA-binding motifs in the COOH terminals of the TLS/FUS22 and fuses to the NH2 terminals of the TLS/FUS.17 The resulting chimeric protein may function as a transcriptional activator,22 which is responsible for the neoplastic processes of some t(16; 21)-AML. Since the ETS DNA-binding domain of ERG and TLS/FUS fusion domain were present in either type D or type B in-frame products, it is possible that both of these fusion partners are essential for leukemogenesis of AML with t(16; 21).
Different positions of breakpoints in chromosome translocations have made several types of transcripts in the Ewing family of tumors28 and inv(16)-AML.38,39 Among the 4 types of transcripts found in this study, types A and C were out-of-frame fusion transcripts and were likely produced by alternative splicing.17 Other two in-frame transcripts, types B and D, occurred in separate patients, might have resulted from the fusion of TLS/FUS and ERG genes at different breakpoint positions in t(16; 21). Occurrence of this novel transcript of type D in the patients with t(16; 21) indicated that the chimeric TLS/FUS-ERG genes in t(16; 21) are more heterogeneous than previously realized. To date it is not clear what biological implications the heterogeneity of hybrid transcripts have on tumorigenesis behavior. The clinical significance of this novel fusion could not be concluded from this study since there were no significant different features between the patients with detectable type D and the other 3 transcripts. Further study is required to clarify this issue.
Transcripts A and C were previously shown to be less abundant than transcript B17, which may be also concluded from the fact that a type A or C band was absent by dilution of the RNA to 1:106, whereas a type B band remained in the sensitivity test of the present study. This may explain why only type B transcript occurred in one CR sample from patient 2. However, the reason why one CR sample from patient 10 showed only the highly abundant type C transcript is unknown. Further investigation is needed.
In conclusion, persistence of the TLS/FUS-ERG transcripts in the CR stage reflected that the present chemotherapy could not eradicate the leukemic cells with t(16; 21), suggesting that t(16; 21)-AML patients should be treated by other more powerful modality like stem-cell transplantation in the first remission. Detection of the novel transcript (type D) of TLS/FUS-ERG gene may be useful for monitoring the MRD in some of the patients who have neither of the other 3 types of transcripts. The role of this novel fusion in the leukemogenesis of t(16; 21)-AML warrants further investigation.
Supported in part by a Grant-in-Aid for Cancer Research and Scientific Research from the Ministry of Education, Science and Culture, Japan.
Address reprint requests to Yasuhide Hayashi, MD, PhD, Department of Pediatrics, Faculty of Medicine, University of Tokyo, Hongo 7-3-1, Bunkyo-ku, Tokyo 113, Japan.




