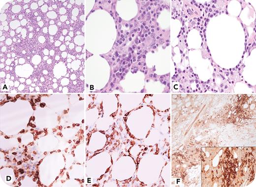
A 68-year-old woman with a history of discoid lupus erythematosus presented with multiple subcutaneous nodules on the breast and upper extremities. An incisional biopsy was performed due to concern for subcutaneous panniculitis-like T-cell lymphoma (SPTCL). Hematoxylin-eosin staining showed a dense lymphoid infiltrate (panel A: original magnification ×40; panel C: original magnification ×400) rimming adipocytes, with scattered plasma cells involving the deep dermis and subcutaneous tissue (panel B: original magnification ×100). Numerous T cells rimmed the adipocytes without aberrancies, as indicated by the intact expression of pan–T-cell markers, CD7 (panel D: original magnification ×400) and CD2 (panel E: original magnification ×400). CD123 (panel F: original magnification ×40, inset ×400) showed aggregates of plasmacytoid dendritic cells, supporting a diagnosis of lupus panniculitis.
The distinction between lupus panniculitis and SPTCL is clinically important but often difficult, compounded by false-positive T-cell clonality studies in lupus lesions. Features supporting a lupus diagnosis include an excess of CD4+ T cells over CD8+ T cells and low Ki-67 proliferation, although these findings are only variably present. Among other findings, both lesional plasmacytosis and aggregates of CD123+ plasmacytoid dendritic cells are useful diagnostic features commonly seen in lupus, but they are uncommon in SPTCL tissues. Such plasmacytoid dendritic cell excess is also frequently observed in lymph nodes with necrotizing histiocytic lymphadenitis, a morphologic finding sometimes seen in patients with autoimmune conditions, including lupus.
For additional images, visit the ASH Image Bank, a reference and teaching tool that is continually updated with new atlas and case study images. For more information, visit https://imagebank.hematology.org.
